Management of Post-Traumatic Pseudomeningocele as Consequence of Root Nerve Avulsion: Case Report and Review of the Literature
Abstract
1. Introduction
2. Materials and Methods
2.1. Literature Search
2.2. Studies Selection
2.3. Outcomes
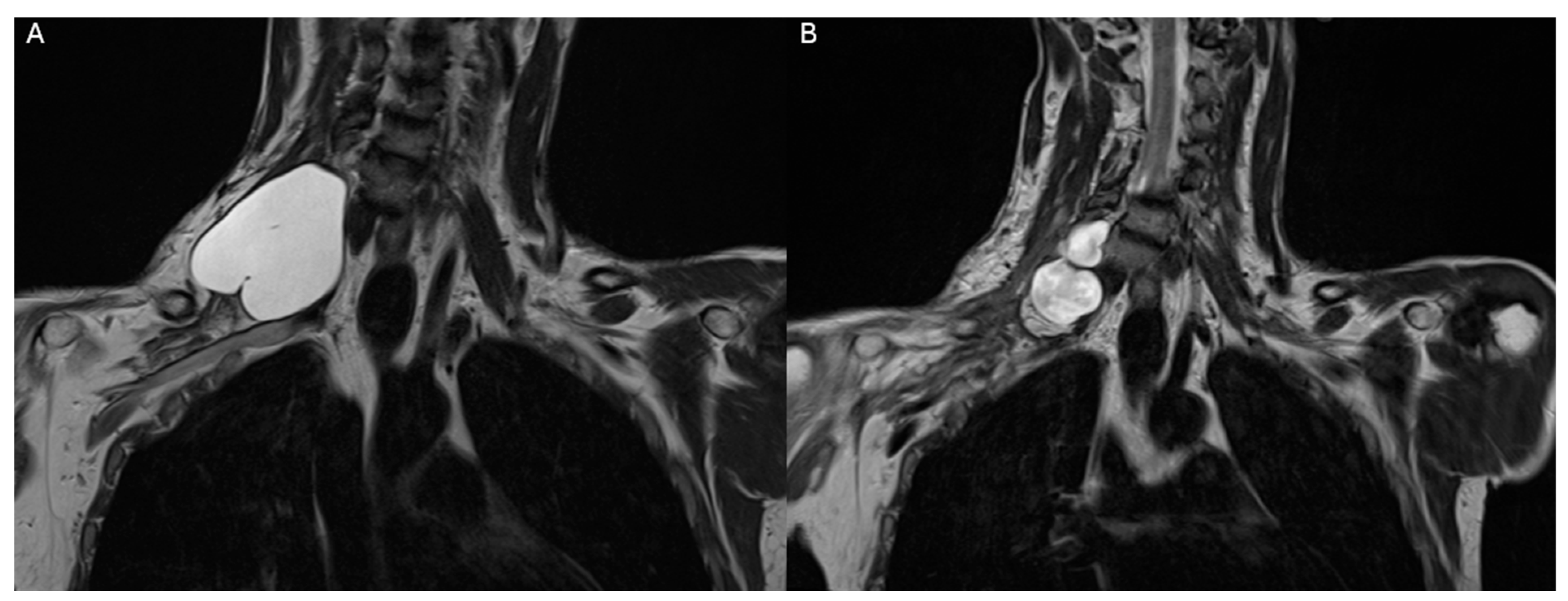
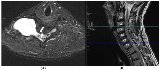
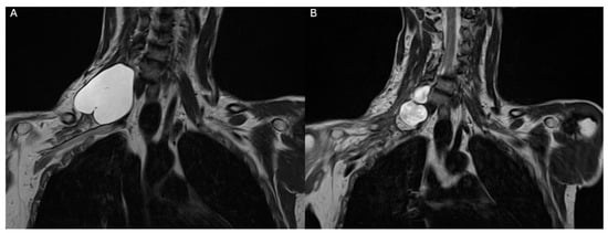
3. Case Report
4. Discussion
5. Limitations
6. Conclusions
Author Contributions
Funding
Institutional Review Board Statement
Informed Consent Statement
Data Availability Statement
Conflicts of Interest
Abbreviations
| PRISMA | Preferred Reporting Items for Systematic Reviews and Meta-Analyses; |
| AOD | Atlanto-Occipital Dislocation; |
| MRC | Medical Research Council; |
| MRI | Magnetic Resonance Imaging; |
| SBU | Skull Base Unit; |
| ELD | External Lumbar Drainage; |
| CSF | Cerebral Spinal Fluid; |
| PTP | Post-Traumatic Pseudomeningoceles; |
| SCH | Spinal Cord Herniation; |
| VIBE | Volumetric Interpolated Breath-hold Examination; |
| STIR | Short Tau Inversion Recovery; |
| MEDIC | Multiple Echo Recombined Gradient Echo. |
References
- Couture, D.; Branch, C.L., Jr. Spinal pseudomeningoceles and cerebrospinal fluid fistulas. Neurosurg. Focus. 2003, 15, E6. [Google Scholar] [CrossRef] [PubMed]
- Lee, K.S.; Hardy, I.M., 2nd. Postlaminectomy lumbar pseudomeningocele: Report of four cases. Neurosurgery 1992, 30, 111–114. [Google Scholar] [CrossRef] [PubMed]
- Brar, R.; Prasad, A.; Rana, S.; Dhingra, A.; Sharma, T. Post-traumatic occipito-cervical pseudomeningocele without any bony injury. Clin. Neurol. Neurosurg. 2014, 120, 20–22. [Google Scholar] [CrossRef]
- Page, M.J.; McKenzie, J.E.; Bossuyt, P.M.; Boutron, I.; Hoffmann, T.C.; Mulrow, C.D.; Shamseer, L.; Tetzlaff, J.M.; Akl, E.A.; Brennan, S.E.; et al. The PRISMA 2020 statement: An updated guideline for reporting systematic reviews. PLoS Med. 2021, 18, e1003583. [Google Scholar] [CrossRef] [PubMed] [PubMed Central]
- Gass, H.H.; Devadiga, K.V.; Taptas, J.N. Epanchement de liquide céphalo-rachidien sus-claviculaire après arrachement du plexus brachial [Supraclavicular cerebrospinal liquid effusion after brachial plexus avulsion]. Neurochirurgie 1972, 18, 541–542. (In French) [Google Scholar] [PubMed]
- Pascual-Gallego, M.; Zimman, H.; Gil, A.; López-Ibor, L. Pseudomeningocele after traumatic nerve root avulsion. A novel technique to close the fistula. Interv. Neuroradiol. 2013, 19, 496–499. [Google Scholar] [CrossRef] [PubMed] [PubMed Central]
- Rahimizadeh, A.; Javadi, S.A. Symptomatic intraspinal lumbosacral pseudomeningocele, a late consequence of root avulsion injury secondary to a gunshot wound. N. Am. Spine Soc. J. 2020, 3, 100025. [Google Scholar] [CrossRef] [PubMed] [PubMed Central]
- Lad, P.B.; Ahire, P.; Tanpure, S. Treatment of Ruptured Meningocele Post-Brachial Plexus Surgery: Potential Life-Threatening Complication-An Unique Case Report of Management of Ruptured Meningocele Post-Brachial Plexus Surgery to Avoid Dreadful Complication. J. Orthop. Case Rep. 2021, 11, 16–18. [Google Scholar] [CrossRef] [PubMed] [PubMed Central]
- Huang, S.T.; Lee, M.H.; Tang, S.F.T.; Wang, C.Y.; Hsieh, Y.T. Pseudomeningocele Following Traumatic Brachial Plexus Injury: A Case Report. Rehabil. Pract. 2024, 2024, 5. [Google Scholar] [CrossRef]
- Natale, M.; Bocchetti, A.; Scuotto, A.; Rotondo, M.; Cioffi, F.A. Post traumatic retropharyngeal pseudomeningocele. Acta Neurochir. 2004, 146, 735–739. [Google Scholar] [CrossRef] [PubMed]
- Alotaibi, N.H.; AlShehri, A.J.; Alshankiti, O.H.; AlThubaiti, I. Surgical management of a retropharyngeal pseudomeningocele: Case report. Int. J. Surg. Case Rep. 2020, 76, 331–334. [Google Scholar] [CrossRef] [PubMed] [PubMed Central]
- Caranci, F.; Briganti, F.; La Porta, M.; Antinolfi, G.; Cesarano, E.; Fonio, P.; Brunese, L.; Coppolino, F. Magnetic resonance imaging in brachial plexus injury. Musculoskelet. Surg. 2013, 97 (Suppl. S2), S181–S190. [Google Scholar] [CrossRef] [PubMed]
- Silbermann-Hoffman, O.; Teboul, F. Post-traumatic brachial plexus MRI in practice. Diagn. Interv. Imaging 2013, 94, 925–943. [Google Scholar] [CrossRef] [PubMed]
- Moschilla, G.; Song, S.; Chakera, T. Post-traumatic lumbar nerve root avulsion. Australas. Radiol. 2001, 45, 281–284. [Google Scholar] [CrossRef] [PubMed]
- Sharma, M.S.; Spinner, R.J. Post-traumatic lumbar pseudomeningocele. Spine J. 2011, 11, 1079. [Google Scholar] [CrossRef] [PubMed]
- Rahimizadeh, A.; Ehteshami, S.; Yazdi, T.; Rahimizadeh, S. Remote Paraparesis due to a Traumatic Extradural Arachnoid Cyst Developing 2 Years after Brachial Plexus Root Avulsion Injury: Case Report and Review of the Literature. J. Brachial Plex. Peripher. Nerve Inj. 2015, 10, e43–e49. [Google Scholar] [CrossRef] [PubMed] [PubMed Central]
- Gasparotti, R.; Ferraresi, S.; Pinelli, L.; Crispino, M.; Pavia, M.; Bonetti, M.; Garozzo, D.; Manara, O.; Chiesa, A. Three-dimensional MR myelography of traumatic injuries of the brachial plexus. Am. J. Neuroradiol. 1997, 18, 1733–1742. [Google Scholar] [PubMed] [PubMed Central]
- Patel, J.; Stewart, J.; Biswas, S.; Zaid, S. Spinal Cord Herniation into a Pseudomeningocele-A Delayed Presentation following a Traumatic Cervical Root Avulsion Injury. Indian. J. Radiol. Imaging 2023, 33, 264–266. [Google Scholar] [CrossRef] [PubMed] [PubMed Central]
- Tanaka, M.; Ikuma, H.; Nakanishi, K.; Sugimoto, Y.; Misawa, H.; Takigawa, T.; Ozaki, T. Spinal cord herniation into pseudomeningocele after traumatic nerve root avulsion: Case report and review of the literature. Eur. Spine J. 2008, 17 (Suppl. S2), S263–S266. [Google Scholar] [CrossRef] [PubMed] [PubMed Central]
- Moses, J.E.; Bansal, S.K.; Goyal, D. Herniation of spinal cord into nerve root avulsion pseudomeningocele: A rare cause of delayed progressive neurological deficit. Indian. J. Radiol. Imaging 2013, 23, 205–207. [Google Scholar] [CrossRef] [PubMed] [PubMed Central]
- Ijiri, K.; Hida, K.; Yano, S.; Komiya, S.; Iwasaki, Y. Traumatic spinal-cord herniation associated with pseudomeningocele after lower-thoracic nerve-root avulsion. Spinal Cord. 2009, 47, 829–831. [Google Scholar] [CrossRef] [PubMed][Green Version]
- Sastry, R.A.; Walek, K.; Leary, O.P.; Rex, N.; Shaaya, E.A.; Poggi, J.A.; Cielo, D. Incidence, Characteristics, and Outcomes of Pseudomeningocele and Cerebrospinal Fluid Fistula after Posterior Fossa Surgery. World Neurosurg. 2022, 164, e1094–e1102. [Google Scholar] [CrossRef] [PubMed]
- Shapiro, S.A.; Scully, T. Closed continuous drainage of cerebrospinal fluid via a lumbar subarachnoid catheter for treatment or prevention of cranial/spinal cerebrospinal fluid fistula. Neurosurgery 1992, 30, 241–245. [Google Scholar] [CrossRef] [PubMed]
- Ebersold, M.J.; Harner, S.G.; Beatty, C.W.; Harper, C.M., Jr.; Quast, L.M. Current results of the retrosigmoid approach to acoustic neurinoma. J. Neurosurg. 1992, 76, 901–909. [Google Scholar] [CrossRef] [PubMed]




| Author(s) | Year | N° Patient (s) | Type of Management |
|---|---|---|---|
| Gass HH. et al. [5] | 1972 | 1 | Laminectomy with direct suturing of dural tears |
| Pascual-Gallego M. et al. [6] | 2013 | 1 | Direct puncture and injection of coils and onyx in the fistula |
| Rahimizadeh A. [7] | 2020 | 1 | Partial excision of the cyst wall and reinstitution of the root sleeve |
| Lad PB. et al. [8] | 2021 | 1 | Lumbar puncture with CSF drainage |
| Huang, Shih-Ting et al. [9] | 2024 | 1 | Direct suture of the dura mater and fibrin sealant along the suture line |
Disclaimer/Publisher’s Note: The statements, opinions and data contained in all publications are solely those of the individual author(s) and contributor(s) and not of MDPI and/or the editor(s). MDPI and/or the editor(s) disclaim responsibility for any injury to people or property resulting from any ideas, methods, instructions or products referred to in the content. |
© 2024 by the authors. Licensee MDPI, Basel, Switzerland. This article is an open access article distributed under the terms and conditions of the Creative Commons Attribution (CC BY) license (https://creativecommons.org/licenses/by/4.0/).
Share and Cite
Bradaschia, L.; Lacatena, F.; Vincitorio, F.; Titolo, P.; Battiston, B.; Garbossa, D.; Cofano, F. Management of Post-Traumatic Pseudomeningocele as Consequence of Root Nerve Avulsion: Case Report and Review of the Literature. Neurol. Int. 2024, 16, 1742-1749. https://doi.org/10.3390/neurolint16060126
Bradaschia L, Lacatena F, Vincitorio F, Titolo P, Battiston B, Garbossa D, Cofano F. Management of Post-Traumatic Pseudomeningocele as Consequence of Root Nerve Avulsion: Case Report and Review of the Literature. Neurology International. 2024; 16(6):1742-1749. https://doi.org/10.3390/neurolint16060126
Chicago/Turabian StyleBradaschia, Leonardo, Filippo Lacatena, Francesca Vincitorio, Paolo Titolo, Bruno Battiston, Diego Garbossa, and Fabio Cofano. 2024. "Management of Post-Traumatic Pseudomeningocele as Consequence of Root Nerve Avulsion: Case Report and Review of the Literature" Neurology International 16, no. 6: 1742-1749. https://doi.org/10.3390/neurolint16060126
APA StyleBradaschia, L., Lacatena, F., Vincitorio, F., Titolo, P., Battiston, B., Garbossa, D., & Cofano, F. (2024). Management of Post-Traumatic Pseudomeningocele as Consequence of Root Nerve Avulsion: Case Report and Review of the Literature. Neurology International, 16(6), 1742-1749. https://doi.org/10.3390/neurolint16060126

