Ethical Considerations Regarding Advanced Heart Failure Therapies in Patients Affected by Dystrophinopathies
Abstract
1. Introduction
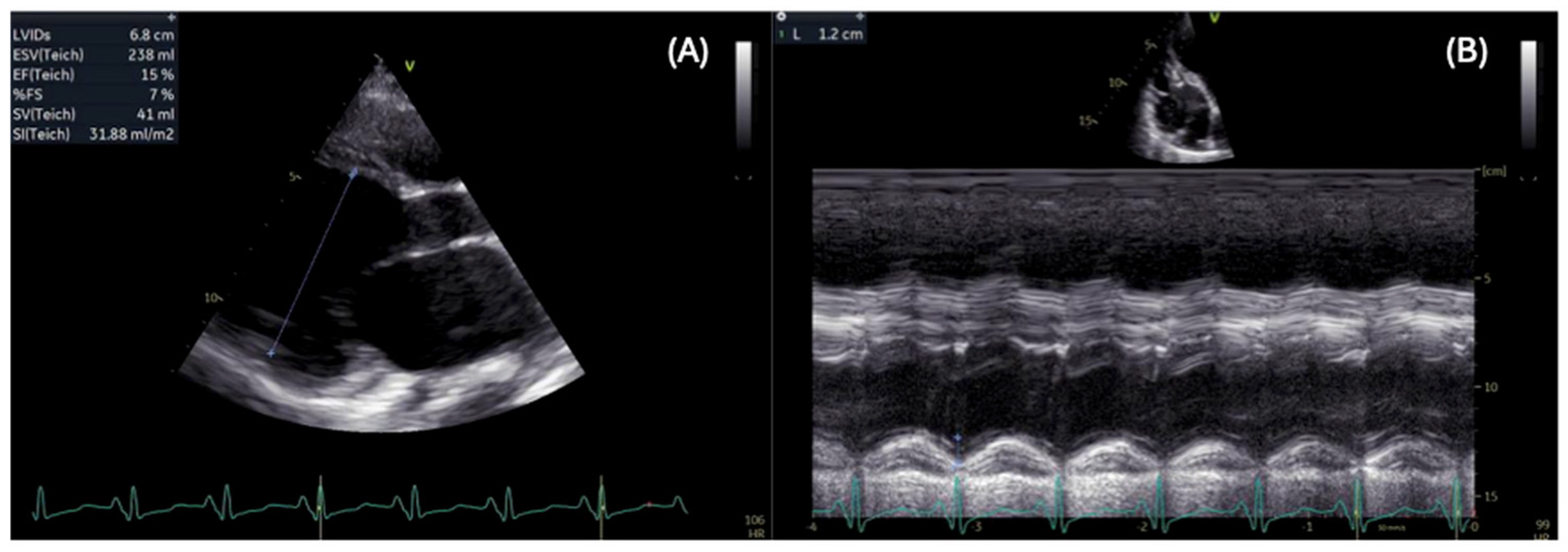
2. Clinical Presentation
3. Dystrophinopathies Prognosis
4. Heart Transplant in DMD
5. Heart Transplant in BMD
6. Ethical Considerations
7. LVAD in DMD
8. LVAD in BMD
9. Limitations
10. Conclusions
Author Contributions
Funding
Conflicts of Interest
Abbreviations
| DMD | Duchenne muscular dystrophy |
| BMD | Becker muscular dystrophy |
| LVAD | Left ventricular assist device |
References
- Ellis, J.A.; Vroom, E.; Muntoni, F. 195th ENMC International Workshop: Newborn screening for Duchenne muscular dystrophy 14–16th December, 2012, Naarden, The Netherlands. Neuromuscul. Disord. 2013, 23, 682–689. [Google Scholar] [CrossRef] [PubMed]
- Crisafulli, S.; Sultana, J.; Fontana, A.; Salvo, F.; Messina, S.; Trifirò, G. Global epidemiology of Duchenne muscular dystrophy: An updated systematic review and meta-analysis. Orphanet J. Rare Dis. 2020, 15, 141. [Google Scholar] [CrossRef]
- Earl, C.C.; Pyle, V.I.; Clark, S.Q.; Annamalai, K.; Torres, P.A.; Quintero, A.; Damen, F.W.; Hor, K.N.; Markham, L.W.; Soslow, J.H.; et al. Localized strain characterization of cardiomyopathy in Duchenne muscular dystrophy using novel 4D kinematic analysis of cine cardiovascular magnetic resonance. J. Cardiovasc. Magn. Reson. 2023, 25, 14. [Google Scholar] [CrossRef]
- Ho, R.; Nguyen, M.-L.; Mather, P. Cardiomyopathy in becker muscular dystrophy: Overview. World J. Cardiol. 2016, 8, 356. [Google Scholar] [CrossRef]
- Van Ruiten, H.J.A.; Marini Bettolo, C.; Cheetham, T.; Eagle, M.; Lochmuller, H.; Straub, V.; Bushby, K.; Guglieri, M. Why are some patients with Duchenne muscular dystrophy dying young: An analysis of causes of death in North East England. Eur. J. Paediatr. Neurol. 2016, 20, 904–909. [Google Scholar] [CrossRef]
- Passamano, L.; Taglia, A.; Palladino, A.; Viggiano, E.; D’Ambrosio, P.; Scutifero, M.; Rosaria Cecio, M.; Torre, V.; DE Luca, F.; Picillo, E.; et al. Improvement of survival in Duchenne Muscular Dystrophy: Retrospective analysis of 835 patients. Acta Myol. Myopathies Cardiomyopathies Off. J. Mediterr. Soc. Myol. 2012, 31, 121–125. [Google Scholar]
- Kieny, P.; Chollet, S.; Delalande, P.; Le Fort, M.; Magot, A.; Pereon, Y.; Perrouin Verbe, B. Evolution of life expectancy of patients with Duchenne muscular dystrophy at AFM Yolaine de Kepper centre between 1981 and 2011. Ann. Phys. Rehabil. Med. 2013, 56, 443–454. [Google Scholar] [CrossRef] [PubMed]
- Peled, Y.; Ducharme, A.; Kittleson, M.; Bansal, N.; Stehlik, J.; Amdani, S.; Saeed, D.; Cheng, R.; Clarke, B.; Dobbels, F.; et al. International Society for Heart and Lung Transplantation Guidelines for the Evaluation and Care of Cardiac Transplant Candidates—2024. J. Heart Lung Transplant. 2024, 43, 1529–1628.e54. [Google Scholar] [CrossRef] [PubMed]
- Mercuri, E.; Bönnemann, C.G.; Muntoni, F. Muscular dystrophies. Lancet 2019, 394, 2025–2038. [Google Scholar] [CrossRef]
- Mavrogeni, S. Cardiac involvement in Duchenne and Becker muscular dystrophy. World J. Cardiol. 2015, 7, 410. [Google Scholar] [CrossRef] [PubMed]
- Hakimi, M.; Burnham, T.; Ramsay, J.; Cheung, J.W.; Goyal, N.A.; Jefferies, J.L.; Donaldson, D. Electrophysiologic and cardiovascular manifestations of Duchenne and Becker muscular dystrophies. Heart Rhythm 2025, 22, 192–202. [Google Scholar] [CrossRef] [PubMed]
- Hoffman, E.P.; Fischbeck, K.H.; Brown, R.H.; Johnson, M.; Medori, R.; Loire, J.D.; Harris, J.B.; Waterston, R.; Brooke, M.; Specht, L.; et al. Characterization of Dystrophin in Muscle-Biopsy Specimens from Patients with Duchenne’s or Becker’s Muscular Dystrophy. N. Engl. J. Med. 1988, 318, 1363–1368. [Google Scholar] [CrossRef]
- Bradley, W.G.; Jones, M.Z.; Mussini, J.; Fawcett, P.R.W. Becker-type muscular dystrophy. Muscle Nerve 1978, 1, 111–132. [Google Scholar] [CrossRef]
- Finsterer, J.; Stöllberger, C. Cardiac involvement in Becker muscular dystrophy. Can. J. Cardiol. 2008, 24, 786–792. [Google Scholar] [CrossRef]
- Del Rio-Pertuz, G.; Morataya, C.; Parmar, K.; Dubay, S.; Argueta-Sosa, E. Dilated cardiomyopathy as the initial presentation of Becker muscular dystrophy: A systematic review of published cases. Orphanet J. Rare Dis. 2022, 17, 194. [Google Scholar] [CrossRef]
- Bushby, K.M.; Gardner-Medwin, D. The clinical, genetic and dystrophin characteristics of Becker muscular dystrophy. I. Natural history. J. Neurol. 1993, 240, 98–104. [Google Scholar] [CrossRef]
- Jolly, H.; Aartsma-Rus, A.; Bertini, E.; De Waele, L.; Haberlova, J.; Klein, A.; Niks, E.; Servais, L. Gene therapy approval for Duchenne muscular dystrophy: A European perspective. Lancet 2025, 405, 1572–1573. [Google Scholar] [CrossRef]
- Politano, L. Is Cardiac Transplantation Still a Contraindication in Patients with Muscular Dystrophy-Related End-Stage Dilated Cardiomyopathy? A Systematic Review. Int. J. Mol. Sci. 2024, 25, 5289. [Google Scholar] [CrossRef]
- Rees, W.; Schüler, S.; Hummel, M.; Hetzer, R. Heart transplantation in patients with muscular dystrophy associated with end-stage cardiomyopathy. J. Heart Lung Transplant. Off. Publ. Int. Soc. Heart Transplant. 1993, 12, 804–807. [Google Scholar]
- Wu, R.S.; Gupta, S.; Brown, R.N.; Yancy, C.W.; Wald, J.W.; Kaiser, P.; Kirklin, N.M.; Patel, P.C.; Markham, D.W.; Drazner, M.H.; et al. Clinical outcomes after cardiac transplantation in muscular dystrophy patients. J. Heart Lung Transplant. 2010, 29, 432–438. [Google Scholar] [CrossRef] [PubMed]
- Wells, D.; Rizwan, R.; Jefferies, J.L.; Bryant, R.; Ryan, T.D.; Lorts, A.; Chin, C.; Zafar, F.; Morales, D.L. Heart Transplantation in Muscular Dystrophy Patients: Is it a Viable Option? Circ. Heart Fail. 2020, 13, e005447. [Google Scholar] [CrossRef]
- Cripe, L.; Kinnett, K.; Uzark, K.; Eghtesady, P.; Wong, B.; Spicer, R. P1.14 Cardiac transplantation in Duchenne muscular dystrophy: A case report. Neuromuscul. Disord. 2011, 21, 645. [Google Scholar] [CrossRef]
- Piperata, A.; Bottio, T.; Toscano, G.; Avesani, M.; Vianello, A.; Gerosa, G. Is heart transplantation a real option in patients with Duchenne syndrome? Inferences from a case report. ESC Heart Fail. 2020, 7, 3198–3202. [Google Scholar] [CrossRef] [PubMed]
- Connuck, D.M.; Sleeper, L.A.; Colan, S.D.; Cox, G.F.; Towbin, J.A.; Lowe, A.M.; Wilkinson, J.D.; Orav, E.J.; Cuniberti, L.; Salbert, B.A.; et al. Characteristics and outcomes of cardiomyopathy in children with Duchenne or Becker muscular dystrophy: A comparative study from the Pediatric Cardiomyopathy Registry. Am. Heart J. 2008, 155, 998–1005. [Google Scholar] [CrossRef]
- Casazza, F.; Brambilla, G.; Salvato, A.; Morandi, L.; Gronda, E.; Bonacina, E. Dilated cardiomyopathy and successful cardiac transplantation in Becker’s muscular distrophy. Follow-up after two years. G. Ital. Cardiol. 1988, 18, 753–757. [Google Scholar] [PubMed]
- Donofrio, P.D.; Challa, V.R.; Hackshaw, B.T.; Mills, S.A.; Cordell, A.R. Cardiac Transplantation in a Patient with Muscular Dystrophy and Cardiomyopathy. Arch. Neurol. 1989, 46, 705–707. [Google Scholar] [CrossRef]
- Villa, C.; Auerbach, S.R.; Bansal, N.; Birnbaum, B.F.; Conway, J.; Esteso, P.; Gambetta, K.; Hall, E.K.; Kaufman, B.D.; Kirmani, S.; et al. Current Practices in Treating Cardiomyopathy and Heart Failure in Duchenne Muscular Dystrophy (DMD): Understanding Care Practices in Order to Optimize DMD Heart Failure Through ACTION. Pediatr. Cardiol. 2022, 43, 977–985. [Google Scholar] [CrossRef]
- Wall, A.; Lee, G.H.; Maldonado, J.; Magnus, D. Genetic disease and intellectual disability as contraindications to transplant listing in the United States: A survey of heart, kidney, liver, and lung transplant programs. Pediatr. Transplant. 2020, 24, e13837. [Google Scholar] [CrossRef]
- De Souza Leon, M.A.; Lizzi, E.A.D.S.; Viana, S.C.P.; Sobreira, C.F.D.R.; Mattiello-Sverzut, A.C. Do Patients with Duchenne Muscular Dystrophy Receive the Palliative Care Approach? Palliat Med Pract [Internet]. 22 August 2024. Available online: https://journals.viamedica.pl/palliative_medicine_in_practice/article/view/100494 (accessed on 9 July 2025).
- Birnkrant, D.J.; Bushby, K.; Bann, C.M.; Apkon, S.D.; Blackwell, A.; Colvin, M.K.; Cripe, L.; Herron, A.R.; Kennedy, A.; Kinnett, K.; et al. Diagnosis and management of Duchenne muscular dystrophy, part 3: Primary care, emergency management, psychosocial care, and transitions of care across the lifespan. Lancet Neurol. 2018, 17, 445–455. [Google Scholar] [CrossRef]
- Agdamag, A.C.; Nandar, P.P.; Tang, W.H.W. Advanced Heart Failure Therapies in Neuromuscular Diseases. Curr. Treat. Options Cardiovasc. Med. 2024, 26, 255–270. [Google Scholar] [CrossRef] [PubMed]
- Perri, G.; Filippelli, S.; Adorisio, R.; Iacobelli, R.; Iodice, F.; Testa, G.; Paglietti, M.G.; D’Amario, D.; Massetti, M.; Amodeo, A. Left ventricular assist device as destination therapy in cardiac end-stage dystrophinopathies: Midterm results. J. Thorac. Cardiovasc. Surg. 2017, 153, 669–674. [Google Scholar] [CrossRef]
- Wittlieb-Weber, C.A.; Villa, C.R.; Conway, J.; Bock, M.J.; Gambetta, K.E.; Johnson, J.N.; Lal, A.K.; Schumacher, K.R.; Law, S.P.; Deshpande, S.R.; et al. Use of advanced heart failure therapies in Duchenne muscular dystrophy. Prog. Pediatr. Cardiol. 2019, 53, 11–14. [Google Scholar] [CrossRef] [PubMed]
- Iodice, F.; Testa, G.; Averardi, M.; Brancaccio, G.; Amodeo, A.; Cogo, P. Implantation of a left ventricular assist device as a destination therapy in Duchenne muscular dystrophy patients with end stage cardiac failure: Management and lessons learned. Neuromuscul. Disord. 2015, 25, 19–23. [Google Scholar] [CrossRef]
- Ryan, T.D.; Jefferies, J.L.; Sawnani, H.; Wong, B.L.; Gardner, A.; Del Corral, M.; Lorts, A.; Morales, D.L.S. Implantation of the HeartMate II and HeartWare Left Ventricular Assist Devices in Patients with Duchenne Muscular Dystrophy: Lessons Learned From the First Applications. ASAIO J. 2014, 60, 246–248. [Google Scholar] [CrossRef]
- Amodeo, A.; Adorisio, R. Left ventricular assist device in Duchenne Cardiomyopathy: Can we change the natural history of cardiac disease? Int. J. Cardiol. 2012, 161, e43. [Google Scholar] [CrossRef]
- Hayes, E.A.; Nandi, D. Is there a future for the use of left ventricular assist devices in Duchenne muscular dystrophy? Pediatr. Pulmonol. 2021, 56, 753–759. [Google Scholar] [CrossRef] [PubMed]
- Nandi, D.; Auerbach, S.R.; Bansal, N.; Buchholz, H.; Conway, J.; Esteso, P.; Kaufman, B.D.; Lal, A.K.; Law, S.P.; Lorts, A.; et al. Initial multicenter experience with ventricular assist devices in children and young adults with muscular dystrophy: An ACTION registry analysis. J. Heart Lung Transplant. 2023, 42, 246–254. [Google Scholar] [CrossRef] [PubMed]
- Bhattal, G.; Rawitscher, D.; George, T.; Afzal, A.; Kabra, N. Durable Left Ventricular Assist Device For Dilated Cardiomyopathy From Becker’s Muscular Dystrophy. J. Card. Fail. 2023, 29, 693. [Google Scholar] [CrossRef]
- Gyoten, T.; Amiya, E.; Kinoshita, O.; Tsuji, M.; Kimura, M.; Hatano, M.; Ono, M. Clinical outcomes of continuous flow left ventricular assist device therapy as bridge to transplant strategy in muscular dystrophy: A single-center study. Gen. Thorac. Cardiovasc. Surg. 2023, 71, 347–353. [Google Scholar] [CrossRef]


| Feature | DMD | BMD |
|---|---|---|
| Prognosis | Poor; early onset and rapid progression; average life expectancy in the third decade | More favorable; later onset and slower progression; many survive into mid-adulthood or beyond, with average life expectancy in the fifth decade |
| Heart Transplantation | Rare; limited experience due to multisystem involvement leading to poor candidacy | More common and well-documented; more than 115 cases reported with good outcomes |
| LVAD | Limited use; challenges due to small body size, respiratory weakness, and disease severity. Nevertheless, it remains a more feasible option compared to heart transplantation | More feasible; used as bridge-to-transplant or destination therapy in select cases |
| Ethical Considerations | Highly complex; early age, limited prognosis, and quality of life concerns complicate decisions | Relevant but more manageable; better prognosis allows more time for shared decision-making |
| Available Evidence | Sparse; few case reports or small series; lack of RCTs | Growing body of evidence from case series and outcome studies; more robust over time |
| Study | Year | N. of Patients (Model of Implanted LVAD) | Outcomes |
|---|---|---|---|
| Heart Transplant | |||
| Rees et al. [19] | 1993 | 3 | All alive after a mean follow-up of 2.8 years |
| Wu et al. [20] | 2010 | 3 | All alive after a mean follow-up of 10 years |
| Wells et al. [21] | 2020 | 3 | 1 alive after a follow-up of 10 years, 1 alive after a follow-up of 2 years, 1 dead after 3 years (bacterial septicemia) |
| Cripe et al. [22] | 2011 | 1 | Alive after a follow-up of 4 years |
| Piperata et al. [23] | 2020 | 1 | Alive after a follow-up of 3 months |
| LVAD | |||
| Perri et al. [32] | 2017 | 6 (Jarvik 2000, Jarvik Heart Inc., New York, NY, USA) | 3 alive and 3 dead (2 hemorrhagic complications, 1 infectious complication) after a mean follow-up of 21.7 months |
| Iodice et al. [34] | 2015 | 4 (Jarvik 2000, Jarvik Heart Inc., New York, NY, USA) | 3 alive one year after implantation and 1 dead (hemorrhagic complication) |
| Wittlieb-Weber et al. [33] | 2019 | 4 (2 HeartWare HVAD, Medtronic, Minneapolis, MN, USA, 2 HeartMate II, Abbott, Abbott Park, IL, USA) | 3 alive one year after implantation and 1 dead (embolic stroke) |
| Ryan et al. [35] | 2014 | 2 (1 HeartWare HVAD, Medtronic, Minneapolis, MN, USA, 1 HeartMate II, Abbott, Abbott Park, IL, USA) | All alive after a follow-up of 6 months |
| Amodeo et al. [36] | 2012 | 2 (Jarvik 2000, Jarvik Heart Inc., New York, NY, USA) | All alive after a follow-up of 6 months |
Disclaimer/Publisher’s Note: The statements, opinions and data contained in all publications are solely those of the individual author(s) and contributor(s) and not of MDPI and/or the editor(s). MDPI and/or the editor(s) disclaim responsibility for any injury to people or property resulting from any ideas, methods, instructions or products referred to in the content. |
© 2025 by the authors. Licensee MDPI, Basel, Switzerland. This article is an open access article distributed under the terms and conditions of the Creative Commons Attribution (CC BY) license (https://creativecommons.org/licenses/by/4.0/).
Share and Cite
Spagnolin, M.; Fazzini, L.; Terzi, A.; Iacovoni, A.; Abete, R.; Zucchetti, O.; Senni, M.; Gori, M. Ethical Considerations Regarding Advanced Heart Failure Therapies in Patients Affected by Dystrophinopathies. Cardiogenetics 2025, 15, 26. https://doi.org/10.3390/cardiogenetics15030026
Spagnolin M, Fazzini L, Terzi A, Iacovoni A, Abete R, Zucchetti O, Senni M, Gori M. Ethical Considerations Regarding Advanced Heart Failure Therapies in Patients Affected by Dystrophinopathies. Cardiogenetics. 2025; 15(3):26. https://doi.org/10.3390/cardiogenetics15030026
Chicago/Turabian StyleSpagnolin, Marco, Luca Fazzini, Amedeo Terzi, Attilio Iacovoni, Raffaele Abete, Ottavio Zucchetti, Michele Senni, and Mauro Gori. 2025. "Ethical Considerations Regarding Advanced Heart Failure Therapies in Patients Affected by Dystrophinopathies" Cardiogenetics 15, no. 3: 26. https://doi.org/10.3390/cardiogenetics15030026
APA StyleSpagnolin, M., Fazzini, L., Terzi, A., Iacovoni, A., Abete, R., Zucchetti, O., Senni, M., & Gori, M. (2025). Ethical Considerations Regarding Advanced Heart Failure Therapies in Patients Affected by Dystrophinopathies. Cardiogenetics, 15(3), 26. https://doi.org/10.3390/cardiogenetics15030026

