Pancarditis as the Clinical Presentation of Eosinophilic Granulomatosis with Polyangiitis: A Multimodality Approach to Diagnosis
Abstract
:1. Introduction
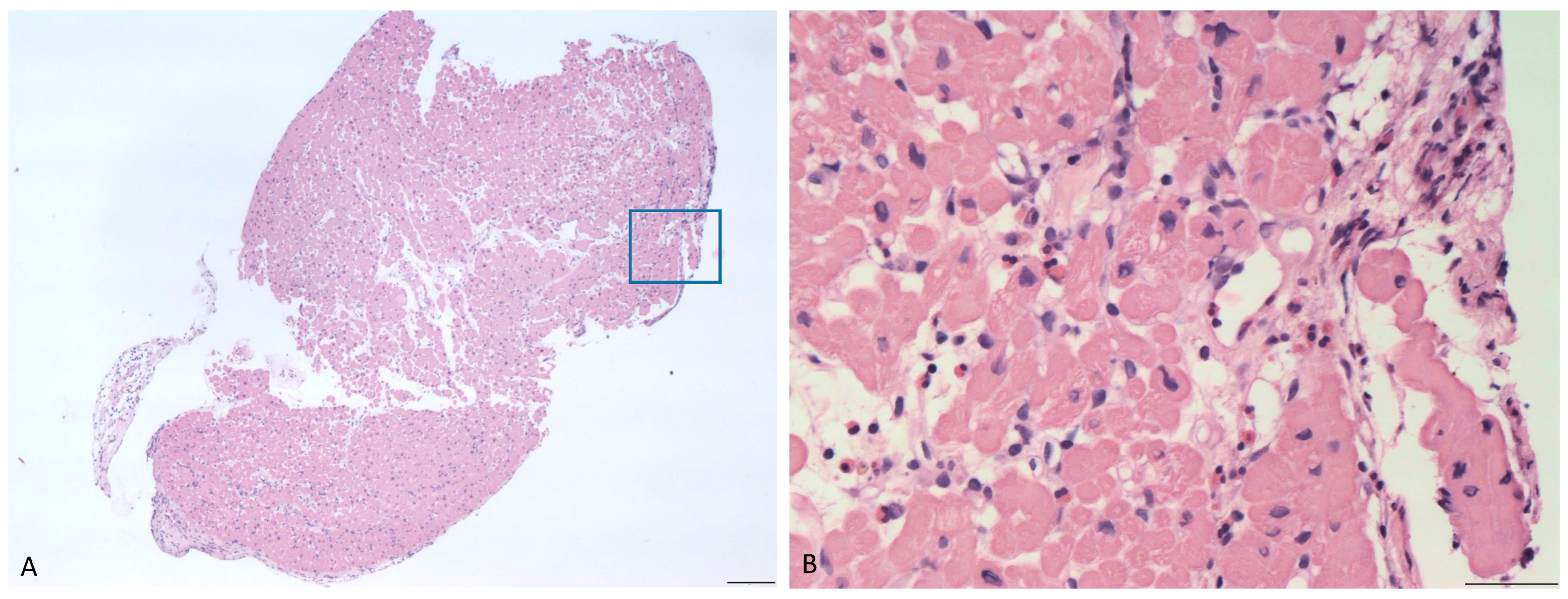
2. Case Presentation
3. Discussion
Author Contributions
Funding
Institutional Review Board Statement
Informed Consent Statement
Acknowledgments
Conflicts of Interest
References
- Brambatti, M.; Matassini, M.V.; Adler, E.D.; Klingel, K.; Camici, P.G.; Ammirati, E. Eosinophilic Myocarditis: Characteristics, Treatment, and Outcomes. J. Am. Coll. Cardiol. 2017, 70, 2363–2375. [Google Scholar] [CrossRef]
- Ammirati, E.; Veronese, G.; Brambatti, M.; Merlo, M.; Cipriani, M.; Potena, L.; Sormani, P.; Aoki, T.; Sugimura, K.; Sawamura, A.; et al. Fulminant Versus Acute Nonfulminant Myocarditis in Patients with Left Ventricular Systolic Dysfunction. J. Am. Coll. Cardiol. 2019, 74, 299–311. [Google Scholar] [CrossRef] [PubMed]
- Hoppens, K.R.; Alai, H.R.; Surla, J.; Khokhar, H.O.; Hendel, R.C. Fulminant Eosinophilic Myocarditis and VT Storm. JACC Case Rep. 2021, 3, 474–478. [Google Scholar] [CrossRef] [PubMed]
- Komatsu, J.; Kida, R.; Kubokawa, S.-i.; Ohkawa, Y.; Sakaeda, H.; Kuzume, D.; Yamasaki, M.; Kawai, K.; Hamashige, N.; Doi, Y.; et al. Eosinophilic myocarditis associated with hypereosinophilic syndromes. Geriatr. Gerontol. Int. 2020, 20, 727–729. [Google Scholar] [CrossRef] [PubMed]
- Terasaki, F.; Hayashi, T.; Hirota, Y.; Okabe, M.; Suwa, M.; Deguchi, H.; Kitaura, Y.; Kawamura, K. Evolution to dilated cardiomyopathy from acute eosinophilic pancarditis in Churg-Strauss syndrome. Heart Vessels 1997, 12, 43–48. [Google Scholar] [CrossRef] [PubMed]
- Di Nora, C.; De Gaspari, M.; Livi, U. A case of hypereosinophilic syndrome with Loeffler endocarditis successfully bridged to heart transplantation by biventricular mechanical support. Artif. Organs 2021, 45, 784–785. [Google Scholar] [CrossRef] [PubMed]
- Al Ali, A.M.; Straatman, L.P.; Allard, M.F.; Ignaszewski, A.P. Eosinophilic myocarditis: Case series and review of literature. Can. J. Cardiol. 2006, 22, 1233–1237. [Google Scholar] [CrossRef] [Green Version]
- Sheikh, H.; Siddiqui, M.; Uddin, S.M.M.; Haq, A.; Yaqoob, U. The Clinicopathological Profile of Eosinophilic Myocarditis. Cureus 2018, 10, e3677. [Google Scholar] [CrossRef] [Green Version]
- Amini, R.; Nielsen, C. Eosinophilic myocarditis mimicking acute coronary syndrome secondary to idiopathic hypereosinophilic syndrome: A case report. J. Med. Case Rep. 2010, 4, 40. [Google Scholar] [CrossRef] [PubMed] [Green Version]
- Fozing, T.; Zouri, N.; Tost, A.; Breit, R.; Seeck, G.; Koch, C.; Oezbek, C. Management of a Patient With Eosinophilic Myocarditis and Normal Peripheral Eosinophil Count. Circ. Heart Fail. 2014, 7, 692–694. [Google Scholar] [CrossRef] [Green Version]
- Leone, O.; Veinot, J.P.; Angelini, A.; Baandrup, U.T.; Basso, C.; Berry, G.; Bruneval, P.; Burke, M.; Butany, J.; Calabrese, F.; et al. 2011 consensus statement on endomyocardial biopsy from the Association for European Cardiovascular Pathology and the Society for Cardiovascular Pathology. Cardiovasc. Pathol. 2012, 21, 245–274. [Google Scholar] [CrossRef] [PubMed]
- Ginsberg, F.; Parrillo, J.E. Eosinophilic myocarditis. Heart Fail. Clin. 2005, 1, 419–429. [Google Scholar] [CrossRef] [PubMed]
- Caforio, A.L.; Pankuweit, S.; Arbustini, E.; Basso, C.; Gimeno-Blanes, J.; Felix, S.B.; Fu, M.; Heliö, T.; Heymans, S.; Jahns, R.; et al. Current state of knowledge on aetiology, diagnosis, management, and therapy of myocarditis: A position statement of the European Society of Cardiology Working Group on Myocardial and Pericardial Diseases. Eur. Heart J. 2013, 34, 2636–2648. [Google Scholar] [CrossRef] [PubMed]
- Caforio, A.L.; Adler, Y.; Agostini, C.; Allanore, Y.; Anastasakis, A.; Arad, M.; Boehm, M.; Charron, P.; Elliott, P.M.; Eriksson, U.; et al. Diagnosis and management of myocardial involvement in systemic immune-mediated diseases: A position statement of the European Society of Cardiology Working Group on Myocardial and Pericardial Disease. Eur. Heart J. 2017, 38, 2649–2662. [Google Scholar] [CrossRef] [Green Version]
- Baillie, T.J.; Scherer, D.J.; Wong, D.T.L.; Steele, P.M. Kounis syndrome and hypersensitivity myocarditis—One and the same? Insights from cardiac magnetic resonance imaging. J. Cardiol. Cases 2015, 12, 119. [Google Scholar] [CrossRef] [Green Version]
- Blagova, O.V.; Aliyeva, I.N.; Nedostup, A.V.; Kogan, E.A.; Komarov, R.N.; Chernyavsky, S.V.; Seslavinskaya, V.V.; Shelukha, P.A.; Sedov, V.P.; Gagarina, N.V.; et al. Morphologically proved ANCA positive Loeffler’s pancarditis: Medical and surgical treatment. Ter. Arkh. 2019, 91, 99–106. [Google Scholar] [CrossRef]
- Perazzolo Marra, M.; Thiene, G.; Rizzo, S.; De Lazzari, M.; Carturan, E.; Tona, F.; Caforio, A.L.; Cacciavillani, L.; Marcolongo, R.; Tarantini, G.; et al. Cardiac Magnetic Resonance Features of Biopsy-Proven Endomyocardial Diseases. JACC Cardiovasc. Imaging 2014, 7, 309–312. [Google Scholar] [CrossRef]
- Masi, A.T.; Hunder, G.G.; Lie, J.T.; Michel, B.A.; Bloch, D.A.; Arend, W.P.; Calabrese, L.H.; Edworthy, S.M.; Fauci, A.S.; Leavitt, R.Y.; et al. The American College of Rheumatology 1990 criteria for the classification of Churg-Strauss syndrome (allergic granulomatosis and angiitis). Arthritis Rheum. 1990, 33, 1094–1100. [Google Scholar] [CrossRef]
- Wechsler, M.E.; Akuthota, P.; Jayne, D.; Khoury, P.; Klion, A.; Langford, C.A.; Merkel, P.A.; Moosig, F.; Specks, U.; Cid, M.C.; et al. Mepolizumab or Placebo for Eosinophilic Granulomatosis with Polyangiitis. N. Engl. J. Med. 2017, 376, 1921–1932. [Google Scholar] [CrossRef] [Green Version]
- Taliercio, C.P.; Olney, B.A.; Lie, J.T. Myocarditis Related to Drug Hypersensitivity. Mayo Clin. Proc. 1985, 60, 463–468. [Google Scholar] [CrossRef]
- Jafri, F.; Arif, S.; Ashraf, U. Hypersensitivity Myocarditis Associated with Piperacillin-Tazobactam Use. Chest 2020, 158, A226. [Google Scholar] [CrossRef]
- Dhochak, N.; Ram Jat, K.; Sankar, J.; Kabra, S.K.; Lodha, R. Hypersensitivity Myocarditis Due to Antitubercular Drugs in Children. Pediatr. Infect. Dis. J. 2020, 39, 1088–1091. [Google Scholar] [CrossRef] [PubMed]
- Fenoglio, J.J.; McAllister, H.A.; Mullick, F.G. Drug related myocarditis: I. Hypersensitivity myocarditis. Hum. Pathol. 1981, 12, 900–907. [Google Scholar] [CrossRef]
- Verma, A.K.; Lavine, K.J.; Lin, C.-Y. Myocarditis after Covid-19 mRNA Vaccination. N. Engl. J. Med. 2021, 385, 1332–1334. [Google Scholar] [CrossRef] [PubMed]
- Caforio, A.L.; Baritussio, A.; Basso, C.; Marcolongo, R. Clinically Suspected and Biopsy-Proven Myocarditis Temporally Associated with SARS-CoV-2 Infection. Annu. Rev. Med. 2021, 73, 149–166. [Google Scholar] [CrossRef] [PubMed]
- Shomali, W.; Gotlib, J. World Health Organization-defined eosinophilic disorders: 2019 update on diagnosis, risk stratification, and management. Am. J. Hematol. 2019, 94, 1149–1167. [Google Scholar] [CrossRef] [Green Version]
- Cools, J.; DeAngelo, D.J.; Gotlib, J.; Stover, E.H.; Legare, R.D.; Cortes, J.; Kutok, J.; Clark, J.; Galinsky, I.; Griffin, J.D.; et al. A Tyrosine Kinase Created by Fusion of the PDGFRA and FIP1L1 Genes as a Therapeutic Target of Imatinib in Idiopathic Hypereosinophilic Syndrome. N. Engl. J. Med. 2003, 348, 1201–1214. [Google Scholar] [CrossRef]
- Arber, D.A.; Orazi, A.; Hasserjian, R.; Thiele, J.; Borowitz, M.J.; Le Beau, M.M.; Bloomfield, C.D.; Cazzola, M.; Vardiman, J.W. The 2016 revision to the World Health Organization classification of myeloid neoplasms and acute leukemia. Blood 2016, 127, 2391–2405. [Google Scholar] [CrossRef]
- Bain, B.J. Myeloid and lymphoid neoplasms with eosinophilia and abnormalities of PDGFRA, PDGFRB or FGFR1. Haematologica 2010, 95, 696–698. [Google Scholar] [CrossRef] [Green Version]
- Nilsen, A.T.; Karlsen, C.; Bakland, G.; Watts, R.; Luqmani, R.; Koldingsnes, W. Increasing incidence and prevalence of ANCA-associated vasculitis in Northern Norway. Rheumatology 2020, 59, 2316–2324. [Google Scholar] [CrossRef]
- Marmursztejn, J.; Guillevin, L.; Trebossen, R.; Cohen, P.; Guilpain, P.; Pagnoux, C.; Mouthon, L.; Legmann, P.; Vignaux, O.; Duboc, D. Churg-Strauss syndrome cardiac involvement evaluated by cardiac magnetic resonance imaging and positron-emission tomography: A prospective study on 20 patients. Rheumatology 2013, 52, 642–650. [Google Scholar] [CrossRef] [PubMed] [Green Version]
- Yoshiji, M.; Matsumoto, K.; Fujita, H.; Miwa, K.; Tanaka, H.; Komatsu, M.; Hirata, K.I. A Rare Case of Löffler “Pancarditis” Associated with Hypereosinophilic Syndrome. Intern. Med. 2021, 60, 265–268. [Google Scholar] [CrossRef]
- Slungaard, A.; Vercellotti, G.M.; Tran, T.; Gleich, G.J.; Key, N.S. Eosinophil cationic granule proteins impair thrombomodulin function. A potential mechanism for thromboembolism in hypereosinophilic heart disease. J. Clin. Investig. 1993, 91, 1721–1730. [Google Scholar] [CrossRef] [PubMed]
- Higashitani, K.; Yoshimi, R.; Sato, Y.; Watanabe, T.; Ihata, A. Rituximab and Mepolizumab Combination Therapy for Glucocorticoid-Resistant Myocarditis Related to Eosinophilic Granulomatosis with Polyangiitis. Mod. Rheumatol. Case Rep. 2022, 6, 87–92. [Google Scholar] [CrossRef] [PubMed]
- Ueno, M.; Miyagawa, I.; Nakano, K.; Iwata, S.; Hanami, K.; Fukuyo, S.; Kubo, S.; Miyazaki, Y.; Kawabe, A.; Yoshinari, H.; et al. Effectiveness and safety of mepolizumab in combination with corticosteroids in patients with eosinophilic granulomatosis with polyangiitis. Arthritis Res. Ther. 2021, 23, 86. [Google Scholar] [CrossRef]
- Colantuono, S.; Pellicano, C.; Leodori, G.; Cilia, F.; Francone, M.; Visentini, M. Early benralizumab for eosinophilic myocarditis in eosinophilic granulomatosis with polyangiitis. Allergol. Int. 2020, 69, 483–484. [Google Scholar] [CrossRef]





Publisher’s Note: MDPI stays neutral with regard to jurisdictional claims in published maps and institutional affiliations. |
© 2022 by the authors. Licensee MDPI, Basel, Switzerland. This article is an open access article distributed under the terms and conditions of the Creative Commons Attribution (CC BY) license (https://creativecommons.org/licenses/by/4.0/).
Share and Cite
Lioncino, M.; Monda, E.; Dellegrottaglie, S.; Cirillo, A.; Caiazza, M.; Fusco, A.; Esposito, F.; Verrillo, F.; Ciccarelli, G.; Rubino, M.; et al. Pancarditis as the Clinical Presentation of Eosinophilic Granulomatosis with Polyangiitis: A Multimodality Approach to Diagnosis. Cardiogenetics 2022, 12, 133-141. https://doi.org/10.3390/cardiogenetics12020014
Lioncino M, Monda E, Dellegrottaglie S, Cirillo A, Caiazza M, Fusco A, Esposito F, Verrillo F, Ciccarelli G, Rubino M, et al. Pancarditis as the Clinical Presentation of Eosinophilic Granulomatosis with Polyangiitis: A Multimodality Approach to Diagnosis. Cardiogenetics. 2022; 12(2):133-141. https://doi.org/10.3390/cardiogenetics12020014
Chicago/Turabian StyleLioncino, Michele, Emanuele Monda, Santo Dellegrottaglie, Annapaola Cirillo, Martina Caiazza, Adelaide Fusco, Francesca Esposito, Federica Verrillo, Giovanni Ciccarelli, Marta Rubino, and et al. 2022. "Pancarditis as the Clinical Presentation of Eosinophilic Granulomatosis with Polyangiitis: A Multimodality Approach to Diagnosis" Cardiogenetics 12, no. 2: 133-141. https://doi.org/10.3390/cardiogenetics12020014
APA StyleLioncino, M., Monda, E., Dellegrottaglie, S., Cirillo, A., Caiazza, M., Fusco, A., Esposito, F., Verrillo, F., Ciccarelli, G., Rubino, M., Triggiani, M., Scarpa, R., Caforio, A. L. P., Marcolongo, R., Rizzo, S., Basso, C., Nigro, G., Russo, M. G., Golino, P., & Limongelli, G. (2022). Pancarditis as the Clinical Presentation of Eosinophilic Granulomatosis with Polyangiitis: A Multimodality Approach to Diagnosis. Cardiogenetics, 12(2), 133-141. https://doi.org/10.3390/cardiogenetics12020014

