Myrrh Oil-Based Nanoemulsion Loaded with Curcumin and Insulin: Development, Characterization, and Evaluation of Enhanced Antibacterial and Diabetic Wound-Healing Activity
Abstract
1. Introduction
2. Materials and Methods
2.1. Materials
2.2. Solubility Studies of CUR
2.3. Construction of Pseudo-Ternary Phase Diagram
- Transparent and easily flowable: Nanoemulsion.
- Transparent gel: Nanoemulsion gel.
- Milky or cloudy: Emulsion.
- Milky gel: Emulgel.
2.4. Preparation of CUR-Loaded NEs
2.5. Optimization of CUR-Loaded NE Formulations
2.6. Selection of the Optimized NE Formulation
2.7. Measurement of Droplet Size, Polydispersity Index, and Zeta Potential
2.8. Drug Content Measurement
2.9. Physical Stability Testing
2.9.1. Centrifugation Study
2.9.2. Heating–Cooling Cycles
2.9.3. Freeze–Thaw Cycles
2.9.4. Dilution Test
2.10. pH Measurement
2.11. Transmission Electron Microscopy (TEM) Measurements
2.12. Fourier Transform Infrared (FT-IR) Studies
2.13. Differential Scanning Calorimetry (DSC) Studies
2.14. Preparation of Different Gel Formulations
2.15. Characterization of the Prepared Gels
2.15.1. Measurement of pH
2.15.2. Measurement of Gelation Temperature (Tsol-gel)
2.15.3. Measurement of Spreadability
2.15.4. Viscosity Measurement
2.15.5. Storage Stability Studies
2.16. In Vitro Drug Release Studies
2.17. Antibacterial Studies
2.17.1. Screening of Antibacterial Activity
2.17.2. Determination of Minimum Inhibitory Concentrations (MICs)
2.17.3. Anti-Biofilm Assay
2.18. In Vivo Wound-Healing Studies
2.18.1. Induction of Diabetes Mellitus (DM)
2.18.2. Wound Incision
2.18.3. Sample Collection
2.18.4. Histopathological Evaluation
2.18.5. Assessment of Oxidative Stress
2.18.6. Assessment of Inflammation
2.18.7. Immunohistochemistry for Transforming Growth Factor-β (TGF-β) and Vascular Endothelial Growth Factor (VEGF)
2.19. Statistical Analysis
3. Results and Discussion
3.1. Determination of CUR Solubility
3.2. Construction of Pseudo-Ternary Phase Diagrams
3.3. Model Fitting of Responses
3.4. Effect of Formulation Factors on the NE Droplet Size
3.5. Effect of Formulation Factors on the PDI
3.6. Effect of Formulation Factors on the Zeta Potential (ZP)
3.7. Effect of Formulation Factors on the Drug Content%
3.8. Selection of the Optimized Formulation
3.9. NE Physical Stability Testing
3.10. pH Measurement
3.11. TEM Studies
3.12. FT-IR Studies
3.13. DSC Studies
3.14. Characterization of the Prepared Gels
3.15. Storage Stability of CUR-INS-NEG
3.16. In Vitro Drug Release Studies
3.17. In Vitro Antibacterial Studies
3.17.1. Screening of Antibacterial Activity
3.17.2. MIC Determination
3.17.3. Anti-Biofilm Studies
3.18. In Vivo Studies
3.18.1. Effect of Treatments on Wound Healing
3.18.2. Effect of Treatments on Wound Oxidative Stress
3.18.3. Effect of Treatments on Wound Inflammation
3.18.4. Effect of Treatment on Wound Histological Features
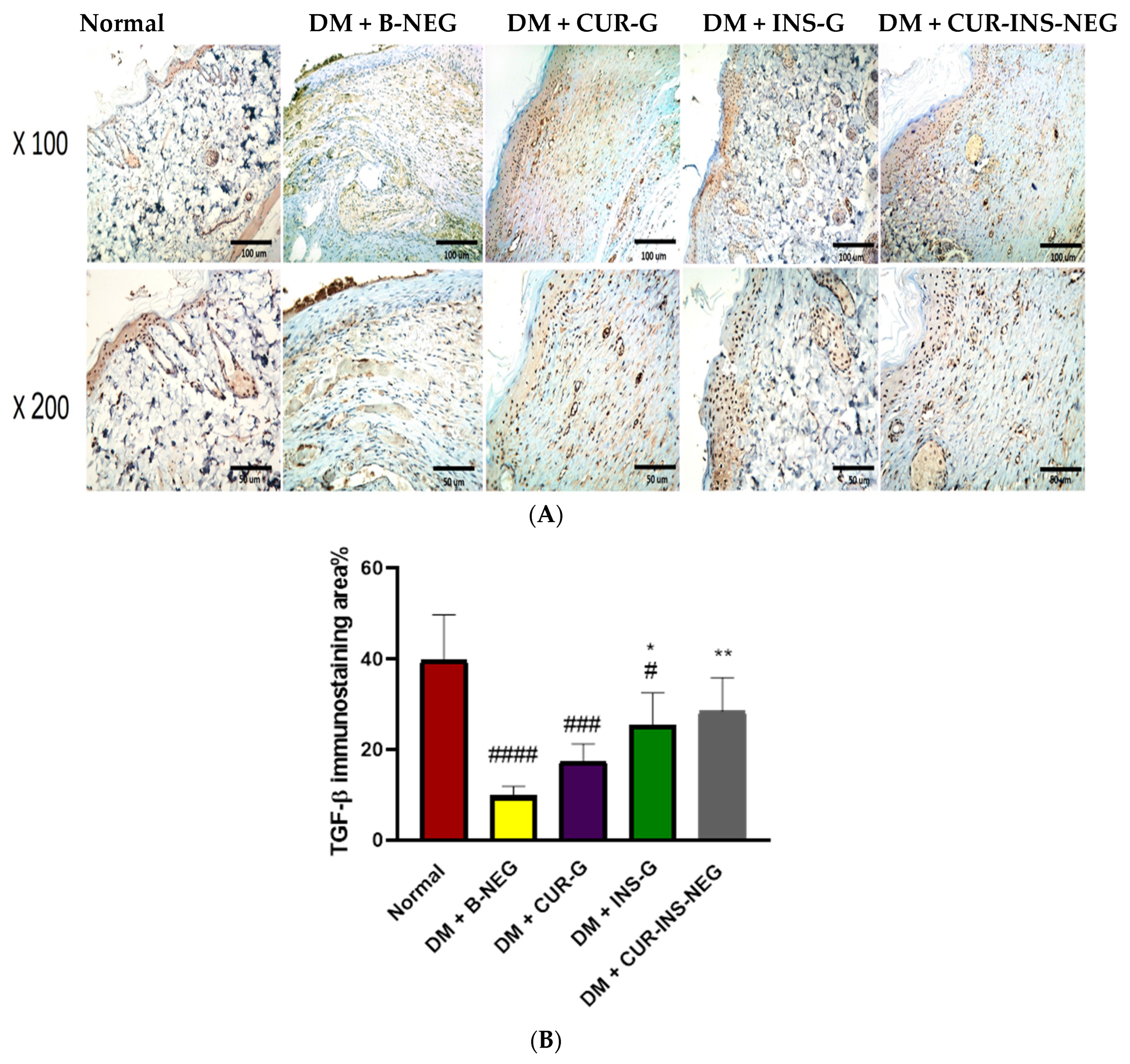
3.18.5. Effect of Treatment on Wound Collagen and TGF-β
3.18.6. Effect of Treatment on Wound VEGF
4. Conclusions
Supplementary Materials
Author Contributions
Funding
Institutional Review Board Statement
Informed Consent Statement
Data Availability Statement
Conflicts of Interest
Abbreviations
| CUR | Curcumin |
| NEs | Nanoemulsions |
| INS | Insulin |
| NEG | Nanoemulgel |
| DM | Diabetes mellitus |
| PL-F127 | Pluronic® F127 |
| TW80 | Tween 80 |
| CS | Chitosan |
| TEM | Transmission electron microscopy |
| FT-IR | Fourier transform infrared |
| DSC | Differential scanning calorimetry |
| MICs | Minimum inhibitory concentrations |
| STZ | Streptozotocin |
| H&E | Hematoxylin and eosin |
| ELISA | Enzyme-linked immunosorbent assay |
| Nrf-2 | Nuclear factor erythroid 2-related factor 2 |
| MDA | Malondialdehyde |
| GSH | Reduced glutathione |
| NF-κB | Nuclear factor kappa-light-chain-enhancer of activated B cells |
| TNF-α | Tumor necrosis factor alpha |
| IL-6 | Interleukin-6 |
| TGF-β | Transforming growth factor-β |
| VEGF | Vascular endothelial growth factor |
| ZP | Zeta potential |
| ROS | Reactive oxygen species |
References
- Saeedi, P.; Petersohn, I.; Salpea, P.; Malanda, B.; Karuranga, S.; Unwin, N.; Colagiuri, S.; Guariguata, L.; Motala, A.A.; Ogurtsova, K.; et al. Global and regional diabetes prevalence estimates for 2019 and projections for 2030 and 2045: Results from the International Diabetes Federation Diabetes Atlas, 9th edition. Diabetes Res. Clin. Pract. 2019, 157, 107843. [Google Scholar] [CrossRef]
- Bommer, C.; Sagalova, V.; Heesemann, E.; Manne-Goehler, J.; Atun, R.; Bärnighausen, T.; Davies, J.; Vollmer, S. Global economic burden of diabetes in adults: Projections from 2015 to 2030. Diabetes Care 2018, 41, 963–970. [Google Scholar] [CrossRef]
- Kelly, R.C.; Holt, R.I.G.; Desborough, L.; Majidi, S.; Town, M.; Naranjo, D.; Messer, L.; Barnard, E.; Soderberg, J.; Barnard-Kelly, K. The psychosocial burdens of living with diabetes. Diabet. Med. 2024, 41, e15219. [Google Scholar] [CrossRef]
- Lavery, L.A.; Armstrong, D.G.; Wunderlich, R.P.; Mohler, M.J.; Wendel, C.S.; Lipsky, B.A. Risk factors for foot infections in individuals with diabetes. Diabetes Care 2006, 29, 1288–1293. [Google Scholar] [CrossRef] [PubMed]
- Armstrong, D.G.; Tan, T.-W.; Boulton, A.J.M.; Bus, S.A. Diabetic foot ulcers: A review. JAMA 2023, 330, 62–75. [Google Scholar] [CrossRef]
- Singer Adam, J.; Clark Richard, A.F. Cutaneous wound healing. N. Engl. J. Med. 1999, 341, 738–746. [Google Scholar] [CrossRef] [PubMed]
- Burgess, J.L.; Wyant, W.A.; Abdo Abujamra, B.; Kirsner, R.S.; Jozic, I. Diabetic wound-healing science. Medicina 2021, 57, 1072. [Google Scholar] [CrossRef]
- Senneville, É.; Albalawi, Z.; van Asten, S.A.; Abbas, Z.G.; Allison, G.; Aragón-Sánchez, J.; Embil, J.M.; Lavery, L.A.; Alhasan, M.; Oz, O.; et al. IWGDF/IDSA guidelines on the diagnosis and treatment of diabetes-related foot infections (IWGDF/IDSA 2023). Clin. Infect. Dis. 2023, 40, e3687. [Google Scholar] [CrossRef]
- Liu, M.; Wei, X.; Zheng, Z.; Li, Y.; Li, M.; Lin, J.; Yang, L. Recent advances in nano-drug delivery systems for the treatment of diabetic wound healing. Int. J. Nanomed. 2023, 18, 1537–1560. [Google Scholar] [CrossRef]
- Zhao, X.; Zhang, Y.; Huang, Z.; Wu, X.; Lin, J. Innovative therapies for diabetic foot ulcers: Application and prospects of smart dressings. Biomed. Pharmacother. 2025, 191, 118498. [Google Scholar] [CrossRef] [PubMed]
- Honeywell-Nguyen, P.L.; Bouwstra, J.A. Vesicles as a tool for transdermal and dermal delivery. Drug Discov. Today Technol. 2005, 2, 67–74. [Google Scholar] [CrossRef]
- Saltiel, A.R.; Kahn, C.R. Insulin signalling and the regulation of glucose and lipid metabolism. Nature 2001, 414, 799–806. [Google Scholar] [CrossRef] [PubMed]
- Oryan, A.; Alemzadeh, E. Effects of insulin on wound healing: A review of animal and human evidences. Life Sci. 2017, 174, 59–67. [Google Scholar] [CrossRef]
- Amaral, D.C.; Carvalho Soares Valentim, C.; Cheidde, L.; Cheidde, L.; Ladeira Júnior, P.P.; Weba, E.T.P.; Donato, K.O.; Filho, H.N.F.; Guedes, J.; Louzada, R.N. Impact of topical insulin as a therapeutic intervention for corneal wounds: A comprehensive systematic review and meta-analysis. Eur. J. Ophthalmol. 2025, 35, 2321–2335. [Google Scholar] [CrossRef] [PubMed]
- Sridharan, K.; Sivaramakrishnan, G. Efficacy of topical insulin in wound healing: A preliminary systematic review and meta-analysis of randomized controlled trials. Wound Repair Regen. 2017, 25, 279–287. [Google Scholar] [CrossRef]
- Wang, J.; Xu, J. Effects of topical insulin on wound healing: A review of animal and human evidences. Diabetes Metab. Syndr. Obes. 2020, 13, 719–727. [Google Scholar] [CrossRef] [PubMed]
- Alam, M.Z.; Bagabir, H.A.; Zaher, M.A.F.; Alqurashi, T.M.A.; Alghamdi, B.S.; Kazi, M.; Suhail, M.; Alshahrany, G.A.; Alzahrani, N.A.; Bakhalgi, R.M.; et al. Curcumin-piperine nanoparticles mitigate cuprizone-induced cognitive impairment via antioxidant and anti-inflammatory mechanisms. Front. Nutr. 2025, 12, 1633855. [Google Scholar] [CrossRef]
- Fan, H.-y.; Wang, X.-k.; Li, X.; Ji, K.; Du, S.-h.; Liu, Y.; Kong, L.-l.; Xu, J.-c.; Yang, G.-q.; Chen, D.-q.; et al. Curcumin, as a pleiotropic agent, improves doxorubicin-induced nephrotic syndrome in rats. J. Ethnopharmacol. 2020, 250, 112502. [Google Scholar] [CrossRef]
- Sharifi-Rad, J.; Rayess, Y.E.; Rizk, A.A.; Sadaka, C.; Zgheib, R.; Zam, W.; Sestito, S.; Rapposelli, S.; Neffe-Skocińska, K.; Zielińska, D.; et al. Turmeric and its major compound curcumin on health: Bioactive effects and safety profiles for food, pharmaceutical, biotechnological and medicinal applications. Front. Pharmacol. 2020, 11, 01021. [Google Scholar] [CrossRef] [PubMed]
- Salama, A.; Elsherbiny, N.; Hetta, H.F.; Safwat, M.A.; Atif, H.M.; Fathalla, D.; Almanzalawi, W.S.; Almowallad, S.; Soliman, G.M. Curcumin-loaded gold nanoparticles with enhanced antibacterial efficacy and wound healing properties in diabetic rats. Int. J. Pharm. 2024, 666, 124761. [Google Scholar] [CrossRef] [PubMed]
- Chen, J.; Liu, S.; Tang, Y.; Guan, X.; Wang, Y.; Li, Q.; Fu, S. Curcumin-loaded hydrogels promote skin wound healing. Soft Matter 2025, 21, 7184–7203. [Google Scholar] [CrossRef]
- Yadav, P.S.; Singh, M.; Vinayagam, R.; Shukla, P. Therapies and delivery systems for diabetic wound care: Current insights and future directions. Front. Pharmacol. 2025, 16, 1628252. [Google Scholar] [CrossRef] [PubMed]
- Shen, T.; Li, G.-H.; Wang, X.-N.; Lou, H.-X. The genus Commiphora: A review of its traditional uses, phytochemistry and pharmacology. J. Ethnopharmacol. 2012, 142, 319–330. [Google Scholar] [CrossRef] [PubMed]
- Suliman, R.S.; Alghamdi, S.S.; Ali, R.; Aljatli, D.; Aljammaz, N.A.; Huwaizi, S.; Suliman, R.; Kahtani, K.M.; Albadrani, G.M.; Barhoumi, T.; et al. The role of myrrh metabolites in cancer, inflammation, and wound healing: Prospects for a multi-targeted drug therapy. Pharmaceuticals 2022, 15, 944. [Google Scholar] [CrossRef] [PubMed]
- Batiha, G.E.-S.; Wasef, L.; Teibo, J.O.; Shaheen, H.M.; Zakariya, A.M.; Akinfe, O.A.; Teibo, T.K.A.; Al-kuraishy, H.M.; Al-Garbee, A.I.; Alexiou, A.; et al. Commiphora myrrh: A phytochemical and pharmacological update. Naunyn Schmiedebergs Arch. Pharmacol. 2023, 396, 405–420. [Google Scholar] [CrossRef] [PubMed]
- Pandey, P.; Gulati, N.; Makhija, M.; Purohit, D.; Dureja, H. Nanoemulsion: A novel drug delivery approach for enhancement of bioavailability. Recent Pat. Nanotechnol. 2020, 14, 276–293. [Google Scholar] [CrossRef]
- Salama, A.; Soliman, G.M.; Elsherbiny, N.; Safwat, M.A. Chitosan-coated nanoemulsion for the direct nose-to-brain delivery of sildenafil: Development and in vivo evaluation in a brain oxidative stress and inflammation model. J. Drug Deliv. Sci. Technol. 2024, 98, 105842. [Google Scholar] [CrossRef]
- Naseema, A.; Kovooru, L.; Behera, A.K.; Kumar, K.P.P.; Srivastava, P. A critical review of synthesis procedures, applications and future potential of nanoemulsions. Adv. Colloid Interface Sci. 2021, 287, 102318. [Google Scholar] [CrossRef] [PubMed]
- Chakraborty, T.; Gupta, S.; Nair, A.; Chauhan, S.; Saini, V. Wound healing potential of insulin-loaded nanoemulsion with Aloe vera gel in diabetic rats. J. Drug Deliv. Sci. Technol. 2021, 64, 102601. [Google Scholar] [CrossRef]
- Ahmad, N.; Ahmad, R.; Al-Qudaihi, A.; Alaseel, S.E.; Fita, I.Z.; Khalid, M.S.; Pottoo, F.H. Preparation of a novel curcumin nanoemulsion by ultrasonication and its comparative effects in wound healing and the treatment of inflammation. RSC Adv. 2019, 9, 20192–20206. [Google Scholar] [CrossRef]
- Su, R.; Fan, W.; Yu, Q.; Dong, X.; Qi, J.; Zhu, Q.; Zhao, W.; Wu, W.; Chen, Z.; Li, Y.; et al. Size-dependent penetration of nanoemulsions into epidermis and hair follicles: Implications for transdermal delivery and immunization. Oncotarget 2017, 8, 38214. [Google Scholar] [CrossRef]
- Chhabra, J.; Chopra, H.; Pahwa, R.; Raina, N.; Wadhwa, K.; Saini, S.; Negi, P.; Gupta, M.; Singh, I.; Dureja, H.; et al. Potential of nanoemulsions for accelerated wound healing: Innovative strategies. Int. J. Surg. 2023, 109, 2365–2377. [Google Scholar] [CrossRef]
- Ali, M.; Khan, N.R.; Subhan, Z.; Mehmood, S.; Amin, A.; Rabbani, I.; Rehman, F.-u.; Basit, H.M.; Syed, H.K.; Khan, I.U.; et al. Novel curcumin-encapsulated α-tocopherol nanoemulsion system and its potential application for wound healing in diabetic animals. BioMed Res. Int. 2022, 2022, 7669255. [Google Scholar] [CrossRef]
- Gul, U.; Khan, M.I.; Madni, A.; Sohail, M.F.; Rehman, M.; Rasul, A.; Peltonen, L. Olive oil and clove oil-based nanoemulsion for topical delivery of terbinafine hydrochloride: In vitro and ex vivo evaluation. Drug Deliv. 2022, 29, 600–612. [Google Scholar] [CrossRef]
- Srivastava, M.; Kohli, K.; Ali, M. Formulation development of novel in situ nanoemulgel (NEG) of ketoprofen for the treatment of periodontitis. Drug Deliv. 2016, 23, 154–166. [Google Scholar] [CrossRef]
- Nirmala, M.J.; Durai, L.; Gopakumar, V.; Nagarajan, R. Preparation of celery essential oil-based nanoemulsion by ultrasonication and evaluation of its potential anticancer and antibacterial activity. Int. J. Nanomed. 2020, 15, 7651–7666. [Google Scholar] [CrossRef]
- Ma, X.; Yan, T.; Miao, S.; Mao, L.; Liu, D. In vitro digestion and storage stability of β-carotene-loaded nanoemulsion stabilized by soy protein isolate (SPI)-citrus pectin (CP) complex/conjugate prepared with ultrasound. Foods 2022, 11, 2410. [Google Scholar] [CrossRef]
- Yahya, N.A.; Wahab, R.A.; Attan, N.; Hashim, S.E.; Abdul Hamid, M.; Mohamed Noor, N.; Abdul Rahman, A. Optimization of oil-in-water nanoemulsion system of Ananas comosus peels extract by D-optimal mixture design and its physicochemical properties. J. Dispers. Sci. Technol. 2022, 43, 302–315. [Google Scholar] [CrossRef]
- Laxmi, M.; Bhardwaj, A.; Mehta, S.; Mehta, A. Development and characterization of nanoemulsion as carrier for the enhancement of bioavailability of artemether. Artif. Cells Nanomed. Biotechnol. 2015, 43, 334–344. [Google Scholar] [CrossRef]
- Shahnaz, G.; Hartl, M.; Barthelmes, J.; Leithner, K.; Sarti, F.; Hintzen, F.; Rahmat, D.; Salvenmoser, W.; Bernkop-Schnürch, A. Uptake of phenothiazines by the harvested chylomicrons ex vivo model: Influence of self-nanoemulsifying formulation design. Eur. J. Pharm. Biopharm. 2011, 79, 171–180. [Google Scholar] [CrossRef]
- García-Couce, J.; Tomás, M.; Fuentes, G.; Que, I.; Almirall, A.; Cruz, L.J. Chitosan/pluronic F127 thermosensitive hydrogel as an injectable dexamethasone delivery carrier. Gels 2022, 8, 44. [Google Scholar] [CrossRef]
- Schmolka, I.R. Artificial skin. I. Preparation and properties of pluronic F-127 gels for treatment of burns. J. Biomed. Mater. Res. 1972, 6, 571–582. [Google Scholar] [CrossRef] [PubMed]
- Quitério, M.; Simões, S.; Ascenso, A.; Carvalheiro, M.; Leandro, A.P.; Correia, I.; Viana, A.S.; Faísca, P.; Ascensão, L.; Molpeceres, J.; et al. Development of a topical insulin polymeric nanoformulation for skin burn regeneration: An experimental approach. Int. J. Mol. Sci. 2021, 22, 4087. [Google Scholar] [CrossRef] [PubMed]
- Ehterami, A.; Salehi, M.; Farzamfar, S.; Vaez, A.; Samadian, H.; Sahrapeyma, H.; Mirzaii, M.; Ghorbani, S.; Goodarzi, A. In vitro and in vivo study of PCL/COLL wound dressing loaded with insulin-chitosan nanoparticles on cutaneous wound healing in rats model. Int. J. Biol. Macromol. 2018, 117, 601–609. [Google Scholar] [CrossRef]
- Soliman, G.M.; Fetih, G.; Abbas, A.M. Thermosensitive bioadhesive gels for the vaginal delivery of sildenafil citrate: In vitro characterization and clinical evaluation in women using clomiphene citrate for induction of ovulation. Drug Dev. Ind. Pharm. 2017, 43, 399–408. [Google Scholar] [CrossRef]
- Abdallah, M.H.; Abu Lila, A.S.; Unissa, R.; Elsewedy, H.S.; Elghamry, H.A.; Soliman, M.S. Preparation, characterization and evaluation of anti-inflammatory and anti-nociceptive effects of brucine-loaded nanoemulgel. Colloids Surf. B Biointerfaces 2021, 205, 111868. [Google Scholar] [CrossRef] [PubMed]
- Ostróżka-Cieślik, A.; Wilczyński, S.; Dolińska, B. Hydrogel formulations for topical insulin application: Preparation, characterization and in vitro permeation across the Strat-M® membrane. Polymers 2023, 15, 3639. [Google Scholar] [CrossRef]
- Quality of biotechnological products: Stability testing of biotechnological/biological products. Annex to the ICH Harmonised Tripartite Guideline for the Stability Testing of New Drug Substances and Products. Dev. Biol. Stand. 1998, 93, 211–219.
- Aljohani, F.R.; Alanazi, A.A.; Albalawi, A.Z.A.; Soliman, G.M.; Qushawy, M.; Arafa, M.F.; Elsherbiny, N.; Atif, H.M.; Hetta, H.F.; Ramadan, Y.N.; et al. Development and evaluation of fusidic acid myrrh oil organogel for the reversal of Gram-negative bacterial resistance and improvement of wound-healing potential. J. Drug Deliv. Sci. Technol. 2025, 112, 107247. [Google Scholar] [CrossRef]
- Abd El-Aziz, F.E.-Z.A.; Hetta, H.F.; Abd Ellah, N.H.; Abd El-Aal, M. Antibacterial and healing potential of Zn-Al LDHs/cellulose acetate nanocomposite in burns and wounds: A study on earthworms as a human skin model. J. Inorg. Organomet. Polym. Mater. 2024, 35, 1615–1626. [Google Scholar] [CrossRef]
- Hetta, H.F.; Al-Kadmy, I.M.S.; Khazaal, S.S.; Abbas, S.; Suhail, A.; El-Mokhtar, M.A.; Ellah, N.H.A.; Ahmed, E.A.; Abd-ellatief, R.B.; El-Masry, E.A.; et al. Antibiofilm and antivirulence potential of silver nanoparticles against multidrug-resistant Acinetobacter baumannii. Sci. Rep. 2021, 11, 10751. [Google Scholar] [CrossRef]
- Binsuwaidan, R.; El-Masry, T.A.; El-Nagar, M.M.F.; El Zahaby, E.I.; Gaballa, M.M.S.; El-Bouseary, M.M. Investigating the antibacterial, antioxidant, and anti-inflammatory properties of a lycopene selenium nano-formulation: An in vitro and in vivo study. Pharmaceuticals 2024, 17, 1600. [Google Scholar] [CrossRef] [PubMed]
- Abdallah, M.H.; Abu Lila, A.S.; El-Nahas, H.M.; Ibrahim, T.M. Optimization of potential nanoemulgels for boosting transdermal glimepiride delivery and upgrading its anti-diabetic activity. Gels 2023, 9, 494. [Google Scholar] [CrossRef]
- Samia, O.; Hanan, R.; Kamal, E.T. Carbamazepine mucoadhesive nanoemulgel (MNEG) as brain targeting delivery system via the olfactory mucosa. Drug Deliv. 2012, 19, 58–67. [Google Scholar] [CrossRef] [PubMed]
- Shaker, D.S.; Ishak, R.A.H.; Ghoneim, A.; Elhuoni, M.A. Nanoemulsion: A review on mechanisms for the transdermal delivery of hydrophobic and hydrophilic drugs. Sci. Pharm. 2019, 87, 17. [Google Scholar] [CrossRef]
- Thomas, L.; Zakir, F.; Mirza, M.A.; Anwer, M.K.; Ahmad, F.J.; Iqbal, Z. Development of curcumin loaded chitosan polymer based nanoemulsion gel: In vitro, ex vivo evaluation and in vivo wound healing studies. Int. J. Biol. Macromol. 2017, 101, 569–579. [Google Scholar] [CrossRef]
- Sarheed, O.; Dibi, M.; Ramesh, K.V.R.N.S. Studies on the effect of oil and surfactant on the formation of alginate-based O/W lidocaine nanocarriers using nanoemulsion template. Pharmaceutics 2020, 12, 1223. [Google Scholar] [CrossRef] [PubMed]
- Althaqfi, W.M.; Alshahrani, S.H.; Alanazi, M.M.; Sharahili, R.A.; Qushawy, M.; Mortagi, Y.; Atif, H.M.; Prabahar, K.; Alanazi, M.A.; Albalawi, M.; et al. Development and optimization of flaxseed oil nanoemulsions: Implications for ulcerative colitis treatment. J. Dispers. Sci. Technol. 2025, 1–15. [Google Scholar] [CrossRef]
- Khorasani, R.; Pourmahdian, S. Synthesis and characterization of hydrogel nanoparticles through inverse microemulsion polymerization of 2-acrylamido-2-methyl-1-propanesulfonic Acid. J. Macromol. Sci. Part A 2014, 51, 240–248. [Google Scholar] [CrossRef]
- Musallam, A.A.; Aldeeb, R.A.; Mansour, R.M.; Kassem, M.A.; Saeed, D.F.; Mahdy, M.A.; Abdelnaby, R.M.; Elnahas, H.M.; Ibrahim, T.M. Development of a novel drug delivery system “nanoemulfoam” for topical delivery of terbinafine hydrochloride as a repurposed therapy in skin cancer: Formulation, optimization, in vitro characterization, ex vivo transdermal permeability, cytotoxicity studies, and in silico assessment. Pharmaceuticals 2025, 18, 972. [Google Scholar] [CrossRef]
- El Maghraby, G.M. Transdermal delivery of hydrocortisone from eucalyptus oil microemulsion: Effects of cosurfactants. Int. J. Pharm. 2008, 355, 285–292. [Google Scholar] [CrossRef]
- Hamdy, A.; El-Badry, M.; Fathy, M.; El-Sayed, A.M. Impact of oil type on the development and oral bioavailability of self-nanoemulsifying drug delivery systems containing simvastatin. Sci. Rep. 2024, 14, 22584. [Google Scholar] [CrossRef] [PubMed]
- Gupta, A.; Eral, H.B.; Hatton, T.A.; Doyle, P.S. Nanoemulsions: Formation, properties and applications. Soft Matter 2016, 12, 2826–2841. [Google Scholar] [CrossRef]
- L’Estimé, M.; Schindler, M.; Shahidzadeh, N.; Bonn, D. Droplet size distribution in emulsions. Langmuir 2024, 40, 275–281. [Google Scholar] [CrossRef]
- Algahtani, M.S.; Ahmad, M.Z.; Ahmad, J. Investigation of factors influencing formation of nanoemulsion by spontaneous emulsification: Impact on droplet size, polydispersity index, and stability. Bioengineering 2022, 9, 384. [Google Scholar] [CrossRef]
- Fissan, H.; Ristig, S.; Kaminski, H.; Asbach, C.; Epple, M. Comparison of different characterization methods for nanoparticle dispersions before and after aerosolization. Anal. Methods 2014, 6, 7324–7334. [Google Scholar] [CrossRef]
- Kolev, T.M.; Velcheva, E.A.; Stamboliyska, B.A.; Spiteller, M. DFT and experimental studies of the structure and vibrational spectra of curcumin. Int. J. Quantum Chem. 2005, 102, 1069–1079. [Google Scholar] [CrossRef]
- Ismail, E.; Sabry, D.; Younis, H.; Khalil, M. Synthesis and characterization of some ternary metal complexes of curcumin with 1,10-phenanthroline and their anticancer applications. J. Sci. Res. 2014, 6, 509–519. [Google Scholar] [CrossRef]
- Samiotaki, C.; Koumentakou, I.; Christodoulou, E.; Bikiaris, N.D.; Vlachou, M.; Karavas, E.; Tourlouki, K.; Kehagias, N.; Barmpalexis, P. Fabrication of PLA-based nanoneedle patches loaded with transcutol-modified chitosan nanoparticles for the transdermal delivery of levofloxacin. Molecules 2024, 29, 4289. [Google Scholar] [CrossRef]
- Atta, A.M.; Mohamed, N.H.; Hegazy, A.K.; Moustafa, Y.M.; Mohamed, R.R.; Safwat, G.; Diab, A.A. Green technology for remediation of water polluted with petroleum crude oil: Using of eichhornia crassipes (mart.) solms combined with magnetic nanoparticles capped with myrrh resources of Saudi Arabia. Nanomaterials 2020, 10, 262. [Google Scholar] [CrossRef]
- Ram Prasad, S.; Leena, S.S.; Deepthi, A.; Resmi, A.N.; Jayasree, R.S.; Sandhya, K.S.; Jayakrishnan, A. Doxorubicin-polysorbate 80 conjugates: Targeting effective and sustained delivery to the brain. RSC Pharm. 2024, 1, 412–429. [Google Scholar] [CrossRef]
- Liltorp, K.; Larsen, T.G.; Willumsen, B.; Holm, R. Solid state compatibility studies with tablet excipients using non thermal methods. J. Pharm. Biomed. Anal. 2011, 55, 424–428. [Google Scholar] [CrossRef]
- Lin, S.Y. Current and potential applications of simultaneous DSC-FTIR microspectroscopy for pharmaceutical analysis. J. Food Drug Anal. 2021, 29, 182–202. [Google Scholar] [CrossRef]
- Lohan, S.; Verma, R.; Kaushik, D.; Bhatia, M. Optimization and evaluation of microwave-assisted curcumin-loaded nanostructured lipid carriers: A green approach. Futur. J. Pharm. Sci. 2023, 9, 117. [Google Scholar] [CrossRef]
- Abdulla, N.A.; Balata, G.F.; El-ghamry, H.A.; Gomaa, E. Intranasal delivery of clozapine using nanoemulsion-based in-situ gels: An approach for bioavailability enhancement. Saudi Pharm. J. 2021, 29, 1466–1485. [Google Scholar] [CrossRef]
- Pramod, K.; Suneesh, C.V.; Shanavas, S.; Ansari, S.H.; Ali, J. Unveiling the compatibility of eugenol with formulation excipients by systematic drug-excipient compatibility studies. J. Anal. Sci. Technol. 2015, 6, 34. [Google Scholar] [CrossRef]
- Gao, M.; Zhao, S.; Yang, H.; Wu, X.; Xiao, Y. An analysis of the influence of DSC parameters on the measurement of the thermal properties of phase-change material. Materials 2024, 17, 5689. [Google Scholar] [CrossRef] [PubMed]
- Ubbink, D.T.; Brölmann, F.E.; Go, P.M.N.Y.H.; Vermeulen, H. Evidence-based care of acute wounds: A perspective. Adv. Wound Care 2014, 4, 286–294. [Google Scholar] [CrossRef]
- Russo, E.; Villa, C. Poloxamer hydrogels for biomedical applications. Pharmaceutics 2019, 11, 671. [Google Scholar] [CrossRef]
- Abou-Taleb, B.A.; Abdelwahab, I.A. Comparative evaluation of nano ocular delivery systems loaded pH and thermosensitive in situ gels for Acanthamoeba keratitis treatment. Sci. Rep. 2025, 15, 19430. [Google Scholar] [CrossRef] [PubMed]
- Fatima, F.; Aleemuddin, M.; Ahmed, M.M.; Anwer, M.K.; Aldawsari, M.F.; Soliman, G.A.; Mahdi, W.A.; Jafar, M.; Hamad, A.M.; Alshehri, S. Design and evaluation of solid lipid nanoparticles loaded topical gels: Repurpose of fluoxetine in diabetic wound healing. Gels 2022, 9, 21. [Google Scholar] [CrossRef] [PubMed]
- Sengupta, P.; Chatterjee, B.; Tekade, R.K. Current regulatory requirements and practical approaches for stability analysis of pharmaceutical products: A comprehensive review. Int. J. Pharm. 2018, 543, 328–344. [Google Scholar] [CrossRef]
- Faheem, A.N.; Ali, A.; Shamim, A.; Mohapatra, S.; Siddiqui, A.; Iqbal, Z.; Mirza, M.A. Development of a naproxen and gaultheria oil based topical nanoemulsion for the amelioration of osteoarthritis. RSC Pharm. 2024, 1, 498–512. [Google Scholar] [CrossRef]
- Ali, F.R.; Shoaib, M.H.; Ali, S.A.; Yousuf, R.I.; Siddiqui, F.; Raja, R.; Jamal, H.S.; Saleem, M.T.; Ahmed, K.; Imtiaz, M.S.; et al. A nanoemulsion based transdermal delivery of insulin: Formulation development, optimization, in-vitro permeation across Strat-M® membrane and its pharmacokinetic/pharmacodynamic evaluation. J. Drug Deliv. Sci. Technol. 2022, 71, 103338. [Google Scholar] [CrossRef]
- Li, X.; Qi, J.; Xie, Y.; Zhang, X.; Hu, S.; Xu, Y.; Lu, Y.; Wu, W. Nanoemulsions coated with alginate/chitosan as oral insulin delivery systems: Preparation, characterization, and hypoglycemic effect in rats. Int. J. Nanomed. 2012, 8, 23–32. [Google Scholar] [CrossRef]
- Liu, Y.; Petreaca, M.; Yao, M.; Martins-Green, M. Cell and molecular mechanisms of keratinocyte function stimulated by insulin during wound healing. BMC Cell Biol. 2009, 10, 1. [Google Scholar] [CrossRef]
- Madia, V.N.; De Angelis, M.; De Vita, D.; Messore, A.; De Leo, A.; Ialongo, D.; Tudino, V.; Saccoliti, F.; De Chiara, G.; Garzoli, S.; et al. Investigation of Commiphora myrrha (Nees) Engl. oil and its main components for antiviral activity. Pharmaceuticals 2021, 14, 243. [Google Scholar] [CrossRef]
- Pouget, C.; Dunyach-Remy, C.; Pantel, A.; Schuldiner, S.; Sotto, A.; Lavigne, J.-P. Biofilms in diabetic foot ulcers: Significance and clinical relevance. Microorganisms 2020, 8, 1580. [Google Scholar] [CrossRef]
- Confessor, M.V.A.; Agreles, M.A.A.; Campos, L.A.d.A.; Silva Neto, A.F.; Borges, J.C.; Martins, R.M.; Scavuzzi, A.M.L.; Lopes, A.C.S.; Kretzschmar, E.A.d.M.; Cavalcanti, I.M.F. Olive oil nanoemulsion containing curcumin: Antimicrobial agent against multidrug-resistant bacteria. Appl. Microbiol. Biotechnol. 2024, 108, 241. [Google Scholar] [CrossRef]
- Lei, Z.; Ren, Y.; Wang, J.; Shi, H.; Lin, H.; Chen, H.; Bi, L.; Wang, Y.; Zhang, H. Development and application of a curcumin-cinnamon essential oil nanoemulsion agent against mycobacteria. Front. Cell. Infect. Microbiol. 2025, 15, 1582416. [Google Scholar] [CrossRef]
- Kumari, A.; Raina, N.; Wahi, A.; Goh, K.W.; Sharma, P.; Nagpal, R.; Jain, A.; Ming, L.C.; Gupta, M. Wound-healing effects of curcumin and its nanoformulations: A comprehensive review. Pharmaceutics 2022, 14, 2288. [Google Scholar] [CrossRef]
- Singh, N.; Ranjan, V.; Zaidi, D.; Shyam, H.; Singh, A.; Lodha, D.; Sharma, R.; Verma, U.; Dixit, J.; Balapure, A.K. Insulin catalyzes the curcumin-induced wound healing: An: In vitro: Model for gingival repair. Indian J. Pharmacol. 2012, 44, 458–462. [Google Scholar] [PubMed]
- Hunt, M.; Torres, M.; Bachar-Wikstrom, E.; Wikstrom, J.D. Cellular and molecular roles of reactive oxygen species in wound healing. Commun. Biol. 2024, 7, 1534. [Google Scholar] [CrossRef]
- Yu, Q.; Zheng, Z.; Zhang, H.; Xie, E.; Chen, L.; Jiang, Z.; Gao, Y.; Ma, J.; Yang, L. Effects of reactive oxygen species and antioxidant strategies on wound healing in diabetes. Interdiscip. Med. 2025, 3, e20240062. [Google Scholar] [CrossRef]
- Wang, S.; Zhang, Y.; Zhong, Y.; Xue, Y.; Liu, Z.; Wang, C.; Kang, D.D.; Li, H.; Hou, X.; Tian, M.; et al. Accelerating diabetic wound healing by ROS-scavenging lipid nanoparticle–mRNA formulation. Proc. Natl. Acad. Sci. USA 2024, 121, e2322935121. [Google Scholar] [CrossRef]
- Momtaz, S.; Abdollahi, M. Chapter Seven—ROS-mediated redox signaling in diabetic wound healing. In Advances in Biogerontology; Atayik, M.C., Çakatay, U., Eds.; Academic Press: Cambridge, MA, USA, 2025; Volume 3, pp. 209–235. [Google Scholar]
- Wang, X.; Huo, H.; Cao, L.; Zhong, Y.; Gong, J.; Lin, Z.; Xie, X.; Bao, Z.; Zhang, P. Curcumin-release antibacterial dressings with antioxidation and anti-inflammatory function for diabetic wound healing and glucose monitoring. J. Control. Release 2025, 378, 153–169. [Google Scholar] [CrossRef]
- Dhall, S.; Silva, J.P.; Liu, Y.; Hrynyk, M.; Garcia, M.; Chan, A.; Lyubovitsky, J.; Neufeld, R.J.; Martins-Green, M. Release of insulin from PLGA–alginate dressing stimulates regenerative healing of burn wounds in rats. Clin. Sci. 2015, 129, 1115–1129. [Google Scholar] [CrossRef]
- Chen, L.-Y.; Cheng, H.-L.; Kuan, Y.-H.; Liang, T.-J.; Chao, Y.-Y.; Lin, H.-C. Therapeutic potential of luteolin on impaired wound healing in streptozotocin-induced rats. Biomedicines 2021, 9, 761. [Google Scholar] [CrossRef] [PubMed]
- Wang, J.; Feng, J.; Ni, Y.; Wang, Y.; Zhang, T.; Cao, Y.; Zhou, M.; Zhao, C. Histone modifications and their roles in macrophage-mediated inflammation: A new target for diabetic wound healing. Front. Immunol. 2024, 15, 1450440. [Google Scholar] [CrossRef]
- Yadav, J.P.; Verma, A.; Pathak, P.; Dwivedi, A.R.; Singh, A.K.; Kumar, P.; Khalilullah, H.; Jaremko, M.; Emwas, A.-H.; Patel, D.K. Phytoconstituents as modulators of NF-κB signalling: Investigating therapeutic potential for diabetic wound healing. Biomed. Pharmacother. 2024, 177, 117058. [Google Scholar] [CrossRef]
- Li, F.; Shi, Y.; Liang, J.; Zhao, L. Curcumin-loaded chitosan nanoparticles promote diabetic wound healing via attenuating inflammation in a diabetic rat model. J. Biomater. Appl. 2019, 34, 476–486. [Google Scholar] [CrossRef] [PubMed]
- Alissa, M.; Alghamdi, A.; Alshehri, M.A. Curcumin nanoparticles loaded in a bioengineering and biodegradable silk-hyaluronan scaffold triggered wound healing by regulating inflammation and accelerating proliferation in a diabetic rat model. Tissue Cell 2025, 95, 102840. [Google Scholar] [CrossRef] [PubMed]
- Muthusamy, S.; Nath, A.V.; Ramasamy, S. Chapter 12—Collagen-based strategies in wound healing and skin tissue engineering. In Natural Polymers in Wound Healing and Repair; Sah, M.K., Kasoju, N., Mano, J.F., Eds.; Elsevier: Amsterdam, The Netherlands, 2022; pp. 273–300. [Google Scholar]
- Akter, S.; Ahmad, S.U.; Bhuiyan, M.A.; Dewan, I.; Reza, R.; Morshed, N.; Samdani, M.N.; Reza, M.S.; Kumer, A.; Naina Mohamed, I. Network pharmacology, molecular docking and experimental validation on potential application of diabetic wound healing of cinnamomum zeylanicum through matrix metalloproteinases-8 And 9 (MMP-8 And MMP-9). Drug Des. Devel. Ther. 2025, 19, 1753–1782. [Google Scholar] [CrossRef]
- Fu, Z.; Zou, J.; Zhong, J.; Zhan, J.; Zhang, L.; Xie, X.; Zhang, L.; Li, W.; He, R. Curcumin-loaded nanocomposite hydrogel dressings for promoting infected wound healing and tissue regeneration. Int. J. Nanomed. 2024, 19, 10479–10496. [Google Scholar] [CrossRef]
- Petrai, N.; Loukelis, K.; Chatzinikolaidou, M. Curcumin-functionalized electrospun nanofibrous membranes with antimicrobial activity for wound healing. Nanomaterials 2025, 15, 388. [Google Scholar] [CrossRef]
- Yang, P.; Wang, D.; Shi, Y.; Li, M.; Gao, M.; Yu, T.; Liu, D.; Zhang, J.; Wang, J.; Zhang, X.; et al. Insulin-containing wound dressing promotes diabetic wound healing through stabilizing HIF-1α. Front. Bioeng. Biotechnol. 2020, 8, 592833. [Google Scholar] [CrossRef]
- Rujirachotiwat, A.; Suttamanatwong, S. Curcumin upregulates transforming growth factor-β1, its receptors, and vascular endothelial growth factor expressions in an in vitro human gingival fibroblast wound healing model. BMC Oral Health 2021, 21, 535. [Google Scholar] [CrossRef] [PubMed]
- Silveira, L.L.; Sarandy, M.M.; Novaes, R.D.; Morais-Santos, M.; Gonçalves, R.V. Oxinflammation affects transdifferentiation to myofibroblasts, prolonging wound healing in diabetes: A systematic review. Int. J. Mol. Sci. 2024, 25, 8992. [Google Scholar] [CrossRef]
- Rezaii, M.; Oryan, S.; Javeri, A. Curcumin nanoparticles incorporated collagen-chitosan scaffold promotes cutaneous wound healing through regulation of TGF-β1/Smad7 gene expression. Mater. Sci. Eng. C 2019, 98, 347–357. [Google Scholar] [CrossRef]
- Alharthi, N.S. Fabrication of curcumin-incorporated poly glycerol sebacate/poly lactide acid (PGS/PLA) hydrogel to enhance full-thickness wound healing in diabetic rats. Tissue Cell 2025, 95, 102856. [Google Scholar] [CrossRef]
- Kant, V.; Gopal, A.; Kumar, D.; Pathak, N.N.; Ram, M.; Jangir, B.L.; Tandan, S.K.; Kumar, D. Curcumin-induced angiogenesis hastens wound healing in diabetic rats. J. Surg. Res. 2015, 193, 978–988. [Google Scholar] [CrossRef] [PubMed]
- Apolinário, P.P.; Zanchetta, F.C.; Breder, J.S.C.; Adams, G.; Consonni, S.R.; Gillis, R.; Saad, M.J.A.; Lima, M.H.M. Anti-inflammatory, procollagen, and wound repair properties of topical insulin gel. Braz. J. Med. Biol. Res. 2023, 56, e12640. [Google Scholar] [CrossRef] [PubMed]
- Peterson, C.; Chandler, H.L. Insulin facilitates corneal wound healing in the diabetic environment through the RTK-PI3K/Akt/mTOR axis in vitro. Mol. Cell Endocrinol. 2022, 548, 111611. [Google Scholar] [CrossRef] [PubMed]
- Przybyła, M.; Dolińska, B.; Ostróżka-Cieślik, A. Research progress on insulin dressings to promote wound healing. Eng. Proc. 2023, 56, 21. [Google Scholar] [CrossRef]
- Oryan, A.; Alemzadeh, E.; Mohammadi, S. Healing potential of curcumin nanomicelles in cutaneous burn wounds: An in vitro and in vivo study. Connect. Tissue Res. 2023, 64, 555–568. [Google Scholar] [CrossRef]
- Elshazly, E.M.; Arafa, M.G.; Nour, S.A. Exploration of recent advancements of nanoparticle-based therapeutics emphasis on diabetic-related chronic wound management: A comprehensive review. Arch. Pharm. Res. 2025, 49, 101–133. [Google Scholar] [CrossRef]
- Hsu, N.-S.; Huang, W.; Chang, H.-M.; Tsai, C.-H.; Ku, W.-H.; Chang, Y.-C.; Lin, S.-Y.; Chang, L.; Lin, R.P.-P.; Tsai, H.-C. Development of a sprayable thermosensitive lysine-modified pluronic hyaluronic acid hydrogel for enhanced wound healing and adhesion prevention in laparoscopic applications. Int. J. Biol. Macromol. 2025, 321, 146297. [Google Scholar] [CrossRef] [PubMed]












| Independent Variables (% v/v) | Level of Variables | ||
|---|---|---|---|
| Range | Low | High | |
| X1 = Oil% | 10–15 | 10 | 15 |
| X2 = Smix% | 40–50 | 40 | 50 |
| X3 = Water% | 40–50 | 40 | 50 |
| Dependent variables | Goal | ||
| Y1 = Particle size (nm) | Minimize | ||
| Y2 = PDI | Minimize | ||
| Y3 = Zeta potential (mV) | Maximize | ||
| Y4 = Drug content (%) | Maximize | ||
| Independent Variables | Responses | ||||||
|---|---|---|---|---|---|---|---|
| Oil (%) (X1) | Smix (%)(X2) | Water (%) (X3) | Particle Size (nm) (Y1) | PDI (Y2) | Zeta Potential (mV) (Y3) | Drug Content % (Y4) | |
| NE1 | 11 | 48 | 41 | 164.1 ± 0.8 | 0.29 ± 0.02 | −31.1 ± 0.9 | 97.9 ± 0.1 |
| NE2 | 10 | 40 | 50 | 308.2 ± 2.9 | 0.35 ± 0.01 | −23.8 ± 0.3 | 95.0 ± 0.3 |
| NE3 | 15 | 44 | 41 | 276.0 ± 6.5 | 0.34 ± 0.01 | −24.9 ± 1.2 | 95.3 ± 0.7 |
| NE4 | 12 | 40 | 48 | 326.4 ± 1.3 | 0.32 ± 0.03 | −22.9 ± 0.6 | 94.3 ± 0.4 |
| NE5 | 13 | 43 | 44 | 251.2 ± 1.6 | 0.34 ± 0.01 | −26.6 ± 1.5 | 95.4 ± 0.4 |
| NE6 | 10 | 45 | 45 | 194.4 ± 4.8 | 0.30 ± 0.02 | −28.2 ± 0.4 | 96.1 ± 0.1 |
| NE7 | 13 | 47 | 40 | 193.8 ± 3.4 | 0.30 ± 0.03 | −29.8 ± 2.3 | 96.8 ± 0.3 |
| NE8 | 10 | 43 | 47 | 246.2 ± 5.2 | 0.32 ± 0.01 | −27.0 ± 0.1 | 95.8 ± 0.4 |
| NE9 | 10 | 47 | 43 | 166.0 ± 2.1 | 0.30 ± 0.02 | −30.4 ± 1.4 | 97.0 ± 0.1 |
| NE10 | 12 | 45 | 42 | 221.0 ± 2.4 | 0.31 ± 0.03 | −27.8 ± 0.3 | 96.0 ± 0.8 |
| NE11 | 15 | 40 | 45 | 349.7 ± 10.9 | 0.30 ± 0.01 | −21.9 ± 0.7 | 93.0 ± 0.6 |
| NE12 | 10 | 50 | 40 | 155.2 ± 0.8 | 0.28 ± 0.00 | −31.4 ± 0.8 | 98.3 ± 0.6 |
| Formulation | pH | Gelation Temperature (°C) | Spreadability (mm) | Viscosity (P) |
|---|---|---|---|---|
| Control PL-F127 | 6.94 ± 0.03 | 35.70 ± 0.42 | 60.81 ± 0.80 | 122 ± 1.73 |
| CS-PL-F127 | 6.22 ± 0.07 | 34.70 ± 0.15 | 41.12 ± 0.3 | 226 ± 6.24 |
| B-NEG | 6.55 ± 0.07 | 35.13 ±0.05 | 51.30 ± 0.55 | 182 ± 4.58 |
| CUR-G | 6.26 ± 0.04 | 34.96 ± 0.11 | 55.70 ± 0.45 | 166 ± 4.58 |
| INS-G | 6.15 ± 0.03 | 34.63 ± 0.15 | 57.20 ± 0.36 | 156 ± 3.0 |
| CUR-INS-NEG | 6.01 ± 0.09 | 34.20 ± 0.21 | 47.90 ± 0.60 | 219 ± 9.0 |
| Parameter | Freshly Prepared | Stored for 90 Days |
|---|---|---|
| Color | Transparent yellow | Transparent yellow |
| Homogeneity | Homogenous | Homogenous |
| pH | 6.01 ± 0.09 | 5.95 ± 0.13 |
| Viscosity (P) | 219 ± 9.0 | 289 ± 1.73 |
| INS content (%) | 98.8 ± 0.36 | 94.8 ± 0.31 |
| Droplet size (nm) | 20.70 ± 1.00 | 21.01 ± 0.69 |
| PDI | 0.29 ± 0.005 | 0.32 ± 0.007 |
| Zeta potential (mV) | 46.66 ± 3.72 | 41.66 ± 0.11 |
Disclaimer/Publisher’s Note: The statements, opinions and data contained in all publications are solely those of the individual author(s) and contributor(s) and not of MDPI and/or the editor(s). MDPI and/or the editor(s) disclaim responsibility for any injury to people or property resulting from any ideas, methods, instructions or products referred to in the content. |
© 2026 by the authors. Licensee MDPI, Basel, Switzerland. This article is an open access article distributed under the terms and conditions of the Creative Commons Attribution (CC BY) license.
Share and Cite
Salama, A.; Qushawy, M.; Elsherbiny, N.; Hetta, H.F.; Alqifari, S.F.; Safwat, M.A.; Elsaed, W.M.; Elsabahy, M.; Ramadan, Y.N.; Soliman, G.M. Myrrh Oil-Based Nanoemulsion Loaded with Curcumin and Insulin: Development, Characterization, and Evaluation of Enhanced Antibacterial and Diabetic Wound-Healing Activity. Pharmaceutics 2026, 18, 369. https://doi.org/10.3390/pharmaceutics18030369
Salama A, Qushawy M, Elsherbiny N, Hetta HF, Alqifari SF, Safwat MA, Elsaed WM, Elsabahy M, Ramadan YN, Soliman GM. Myrrh Oil-Based Nanoemulsion Loaded with Curcumin and Insulin: Development, Characterization, and Evaluation of Enhanced Antibacterial and Diabetic Wound-Healing Activity. Pharmaceutics. 2026; 18(3):369. https://doi.org/10.3390/pharmaceutics18030369
Chicago/Turabian StyleSalama, Ayman, Mona Qushawy, Nehal Elsherbiny, Helal F. Hetta, Saleh F. Alqifari, Mohamed A. Safwat, Wael M. Elsaed, Mahmoud Elsabahy, Yasmin N. Ramadan, and Ghareb M. Soliman. 2026. "Myrrh Oil-Based Nanoemulsion Loaded with Curcumin and Insulin: Development, Characterization, and Evaluation of Enhanced Antibacterial and Diabetic Wound-Healing Activity" Pharmaceutics 18, no. 3: 369. https://doi.org/10.3390/pharmaceutics18030369
APA StyleSalama, A., Qushawy, M., Elsherbiny, N., Hetta, H. F., Alqifari, S. F., Safwat, M. A., Elsaed, W. M., Elsabahy, M., Ramadan, Y. N., & Soliman, G. M. (2026). Myrrh Oil-Based Nanoemulsion Loaded with Curcumin and Insulin: Development, Characterization, and Evaluation of Enhanced Antibacterial and Diabetic Wound-Healing Activity. Pharmaceutics, 18(3), 369. https://doi.org/10.3390/pharmaceutics18030369

