Construction and Characterization of PDA@MnO2-Cored Multifunctional Targeting Nanoparticles Loaded with Survivin siRNA for Breast Tumor Therapy
Abstract
1. Introduction
2. Materials and Methods
2.1. Materials
2.2. Cells
2.3. Animals
2.4. Preparation of the PDA@MnO2 Cores
2.5. Preparation of PDA@Mn-siSur-c-NPs
2.6. Characterization of PDA@Mn-siSur-c-NPs
2.6.1. Gel Retardation Assay
2.6.2. Size, Zeta Potential, and Morphology
2.6.3. Determination of Manganese Content
2.6.4. Simulated Serum Stability
2.6.5. Cellular Uptake Evaluation
2.6.6. In Vitro Photothermal Conversion Effect
2.6.7. Pharmacokinetic Dectectioin
2.6.8. Tissue Distribution Assay
2.6.9. Tumor Tissue Temperature Measurement
2.6.10. MRI Contrast Test Assay
2.7. Anti-Tumor Evaluation
2.8. Western Blot
2.9. Measurement of Biochemical Parameters
2.10. H&E Staining
2.11. Statistical Analysis
3. Results and Discussion
3.1. Preparation and Characterization of PDA@Mn-siSur-c-NPs
3.2. Stability in Simulated Serum
3.3. Cellular Uptake
3.4. In Vitro Photothermal Conversion Capability
3.5. Pharmacokinetics
3.6. Tissue Distribution
3.7. Tumor Tissue Thermometry
3.8. MRI Contrast Enhancement Profiles
3.9. Anti-Tumor Efficacy
3.10. Body Weight
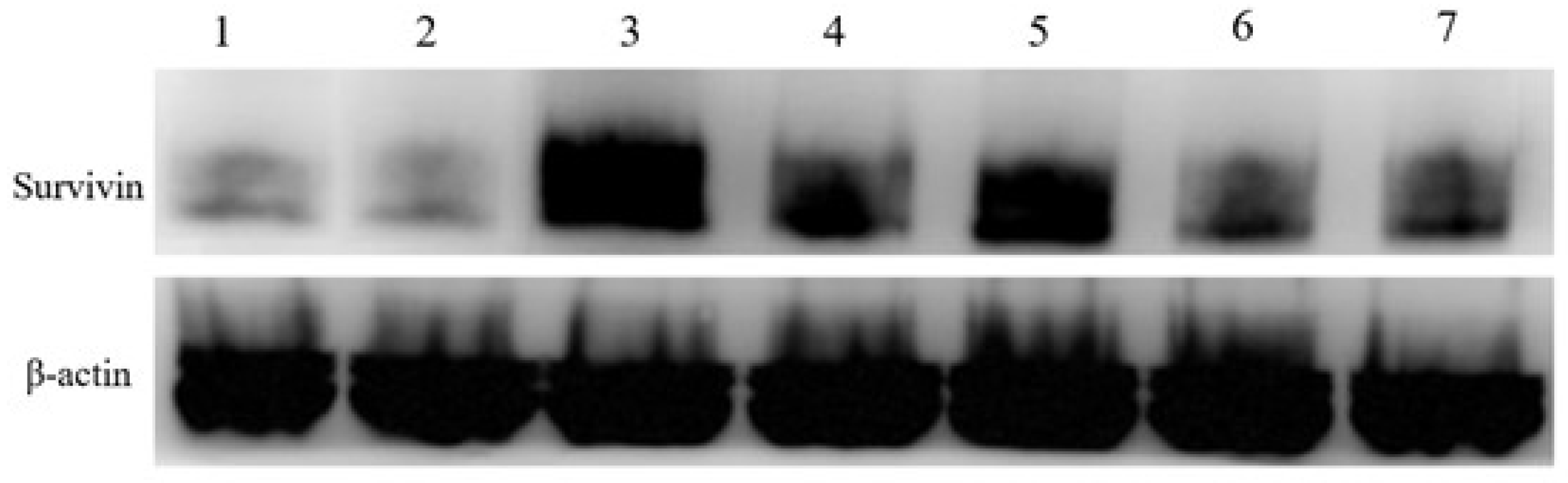
3.11. Western Blotting
3.12. Safety Evaluation
4. Conclusions
Supplementary Materials
Author Contributions
Funding
Institutional Review Board Statement
Informed Consent Statement
Data Availability Statement
Conflicts of Interest
References
- Sung, H.; Ferlay, J.; Siegel, R.L.; Laversanne, M.; Soerjomataram, I.; Jemal, A.; Bray, F. Global cancer statistics 2020: Globocan estimates of incidence and mortality worldwide for 36 cancers in 185 countries. CA A Cancer J. Clin. 2021, 71, 209–249. [Google Scholar] [CrossRef]
- Lei, S.; Zheng, R.; Zhang, S.; Wang, S.; Chen, R.; Sun, K.; Zeng, H.; Zhou, J.; Wei, W. Global patterns of breast cancer incidence and mortality: A population-based cancer registry data analysis from 2000 to 2020. Cancer Commun. 2021, 41, 1183–1194. [Google Scholar] [CrossRef]
- Soerjomataram, I.; Bray, F. Planning for tomorrow: Global cancer incidence and the role of prevention 2020–2070. Nat. Rev. Clin. Oncol. 2021, 18, 663–672. [Google Scholar] [CrossRef]
- Adams, S.C.; Nambiar, A.K.; Bressler, E.M.; Raut, C.P.; Colson, Y.L.; Wong, W.W.; Grinstaff, M.W. Immunotherapies for locally aggressive cancers. Adv. Drug Deliv. Rev. 2024, 210, 115331. [Google Scholar] [CrossRef]
- Xu, X.; Gao, X.; Pan, C.; Hou, J.; Zhang, L.; Lin, S. Postoperative outcomes of minimally invasive versus conventional nipple-sparing mastectomy with prosthesis breast reconstruction in breast cancer: A meta-analysis. J. Robot. Surg. 2024, 18, 274. [Google Scholar] [CrossRef]
- May, J.P.; Li, S.-D. Hyperthermia-induced drug targeting. Expert Opin. Drug Deliv. 2013, 10, 511–527. [Google Scholar] [CrossRef]
- Zhou, R.; Chen, Y.; Yao, S.; Zhang, W.; Ye, D. Advances in second near-infrared window photothermal agents and photothermal therapy for tumors in interdisciplinary medical research. Pharmaceutics 2025, 17, 1178. [Google Scholar] [CrossRef] [PubMed]
- Wang, S.; Wang, S.; Cao, M.; Wang, L.; Jiang, W.; Yan, X.; Liu, Y.; Jiang, B. Thermally gated dual-cascade dual cascade nanozyme for enhanced mild temperature photothermal therapy. Adv. Sci. 2025, e17528. [Google Scholar] [CrossRef]
- Feng, Q.; Zhang, H.; Ye, G.; Zhang, J.; Xiao, J.; Wang, Z.; Zhang, J.; Pan, M.; Feng, J.; Zhong, Y.; et al. Biohybrid system EcN@PB for reshaping tumor immunosuppressive microenvironment to improve photothermal therapy induced antitumor immune response. Mater. Today Bio 2025, 35, 102495. [Google Scholar] [CrossRef] [PubMed]
- Li, M.; Hasan, I.; Zhang, L.; Peng, T.; Guo, B.; Wang, Z. Photothermal and combinatory therapy as an emerging therapeutic paradigm of breast cancer treatment. Int. J. Nanomed. 2025, 20, 13955–13988. [Google Scholar] [CrossRef] [PubMed]
- Li, X.; Ferrel, G.L.; Guerra, M.C.; Hode, T.; Lunn, J.A.; Adalsteinsson, O.; Nordquist, R.E.; Liu, H.; Chen, W.R. Preliminary safety and efficacy results of laser immunotherapy for the treatment of metastatic breast cancer patients. Photochem. Photobiol. Sci. 2011, 10, 817–821. [Google Scholar] [CrossRef]
- Schwartzberg, B.; Lewin, J.; Abdelatif, O.; Bernard, J.; Bu-Ali, H.; Cawthorn, S.; Chen-Seetoo, M.; Feldman, S.; Govindarajulu, S.; Jones, L.; et al. Phase 2 open-label trial investigating percutaneous laser ablation for treatment of early-stage breast cancer: MRI, pathology, and outcome correlations. Ann. Surg. Oncol. 2018, 25, 2958–2964. [Google Scholar] [CrossRef]
- Shen, S.; Gao, Y.; Ouyang, Z.; Jia, B.; Shen, M.; Shi, X. Photothermal-triggered dendrimer nanovaccines boost systemic antitumor immunity. J. Control. Release 2023, 355, 171–183. [Google Scholar] [CrossRef]
- Ke, K.; Yang, W.; Xie, X.; Liu, R.; Wang, L.-L.; Lin, W.-W.; Huang, G.; Lu, C.-H.; Yang, H.-H. Copper Manganese Sulfide Nanoplates: A New Two-Dimensional Theranostic Nanoplatform for MRI/MSOT Dual-Modal Imaging-Guided Photothermal Therapy in the Second Near-Infrared Window. Theranostics 2017, 7, 4763–4776. [Google Scholar] [CrossRef]
- Maurelli, A.M.; De Leo, V.; Catucci, L. Polydopamine-Modified Liposomes: Polydopamine-modified liposomes: Preparation and recent applications in the biomedical field. ACS Omega 2024, 9, 24105–24120. [Google Scholar] [CrossRef] [PubMed]
- Zou, Q.; Li, X.; Zhang, J.; Liu, J.; Zhou, X.; Zhang, P. Study on the combined effect of doxorubicin-targeted nanoparticles in core-shell structure and its in vitro photothermal chemotherapy. Shenyang Pharm. Univ. 2021, 38, 1006–1012. [Google Scholar]
- Sun, P.; Qu, F.; Zhang, C.; Cheng, P.; Li, X.; Shen, Q.; Li, D.; Fan, Q. NIR-II excitation phototheranostic platform for synergistic photothermal therapy/chemotherapy/chemodynamic therapy of breast cancer bone metastases. Adv. Sci. 2022, 9, e2204718. [Google Scholar] [CrossRef] [PubMed]
- Li, P.; Li, Y.; Fu, R.; Duan, Z.; Zhu, C.; Fan, D. NIR- and pH-responsive injectable nanocomposite alginate-graft-dopamine hydrogel for melanoma suppression and wound repair. Carbohydr. Polym. 2023, 314, 120899. [Google Scholar] [CrossRef]
- Lal, S.; Clare, S.E.; Halas, N.J. Nanoshell-enabled photothermal cancer therapy: Impending clinical impact. Accounts Chem. Res. 2008, 41, 1842–1851. [Google Scholar] [CrossRef]
- Zhang, Z.; Wang, J.; Chen, C. Near-infrared light-mediated nanoplatforms for cancer thermo-chemotherapy and optical imaging. Adv. Mater. 2013, 25, 3869–3880. [Google Scholar] [CrossRef]
- Li, X.; Zou, Q.; Zhang, J.; Zhang, P.; Zhou, X.; Yalamarty, S.S.K.; Liang, X.; Liu, Y.; Zheng, Q.; Gao, J. Self-assembled dual-targeted epirubicin-hybrid polydopamine nanoparticles for combined chemo-photothermal therapy of triple-negative breast cancer. Int. J. Nanomed. 2020, 15, 6791–6811. [Google Scholar] [CrossRef] [PubMed]
- Xiao, Y.; Yu, D. Tumor microenvironment as a therapeutic target in cancer. Pharmacol. Ther. 2021, 221, 107753. [Google Scholar] [CrossRef]
- Haque, S.; Tripathy, S.; Patra, C.R. Manganese-based advanced nanoparticles for biomedical applications: Future opportunity and challenges. Nanoscale 2021, 13, 16405–16426. [Google Scholar] [CrossRef]
- Zhang, K.; Qi, C.; Cai, K. Manganese-based tumor immunotherapy. Adv. Mater. 2023, 35, e2205409. [Google Scholar] [CrossRef] [PubMed]
- Kim, H.J.; Lim, Y.G.; Song, Y.J.; Park, K. Folate receptor-targetable and tumor microenvironment-responsive manganese dioxide-based nano-photosensitizer for enhancing hypoxia alleviation-triggered phototherapeutic effects. J. Ind. Eng. Chem. 2023, 119, 428–438. [Google Scholar] [CrossRef]
- Zhou, Z.; Liu, Y.; Song, W.; Jiang, X.; Deng, Z.; Xiong, W.; Shen, J. Metabolic reprogramming mediated PD-L1 depression and hypoxia reversion to reactivate tumor therapy. J. Control. Release 2022, 352, 793–812. [Google Scholar] [CrossRef]
- Henoumont, C.; Devreux, M.; Laurent, S. Mn-based MRI contrast agents: An overview. Molecules 2023, 28, 7275. [Google Scholar] [CrossRef]
- Patrick, P.S.; Bogart, L.K.; Macdonald, T.J.; Southern, P.; Powell, M.J.; Zaw-Thin, M.; Voelcker, N.H.; Parkin, I.P.; Pankhurst, Q.A.; Lythgoe, M.F.; et al. Surface radio-mineralisation mediates chelate-free radiolabelling of iron oxide nanoparticles. Chem. Sci. 2019, 10, 2592–2597. [Google Scholar] [CrossRef]
- Patrick, P.S.; Stuckey, D.J.; Zhu, H.; Kalber, T.L.; Iftikhar, H.; Southern, P.; Bear, J.C.; Lythgoe, M.F.; Hattersley, S.R.; Pankhurst, Q.A. Improved tumour delivery of iron oxide nanoparticles for magnetic hyperthermia therapy of melanoma via ultrasound guidance and 111In SPECT quantification. Nanoscale 2024, 16, 19715–19729. [Google Scholar] [CrossRef]
- Zhang, J.; Zha, M.; Xiao, S.; Filipczak, N.; Yalamarty, S.S.K.; Wu, X.; Gong, C.; Li, X. Lipid-coated Ag@MnO2 core-shell nanoparticles for co-delivery of survivin siRNA in breast tumor therapy. Int. J. Nanomed. 2025, 20, 6515–6531. [Google Scholar] [CrossRef] [PubMed]
- Ferrario, A.; Gomer, C.J. Targeting the 90 kDa heat shock protein improves photodynamic therapy. Cancer Lett. 2010, 289, 188–194. [Google Scholar] [CrossRef] [PubMed]
- Wen, Z.; Liu, F.; Liu, G.; Sun, Q.; Zhang, Y.; Muhammad, M.; Xu, Y.; Li, H.; Sun, S. Assembly of multifunction dyes and heat shock protein 90 inhibitor coupled to bovine serum albumin in nanoparticles for multimodal photodynamic/photothermal/chemo-therapy. J. Colloid Interface Sci. 2021, 590, 290–300. [Google Scholar] [CrossRef]
- Mirzaei, S.; Paskeh, M.D.A.; Entezari, M.; Bidooki, S.H.; Ghaleh, V.J.; Rezaei, S.; Hejazi, E.S.; Kakavand, A.; Behroozaghdam, M.; Movafagh, A.; et al. siRNA and targeted delivery systems in breast cancer therapy. Clin. Transl. Oncol. 2023, 25, 1167–1188. [Google Scholar] [CrossRef] [PubMed]
- Hu, B.; Zhong, L.; Weng, Y.; Peng, L.; Huang, Y.; Zhao, Y.; Liang, X.-J. Therapeutic siRNA: State of the art. Signal Transduct. Target. Ther. 2020, 5, 101. [Google Scholar] [CrossRef] [PubMed]
- Pandey, P.R.; Young, K.H.; Kumar, D.; Jain, N. RNA-mediated immunotherapy regulating tumor immune microenvironment: Next wave of cancer therapeutics. Mol. Cancer 2022, 21, 58. [Google Scholar] [CrossRef]
- Lou, J.; Heater, A.; Zheng, G. Improving the delivery of drugs and nucleic acids to T cells using nanotechnology. Small Struct. 2021, 2, 2100026. [Google Scholar] [CrossRef]
- Zhang, J.; Chen, B.; Gan, C.; Sun, H.; Zhang, J.; Feng, L. A comprehensive review of small interfering RNAs (siRNAs): Mechanism, therapeutic targets, and delivery strategies for cancer therapy. Int. J. Nanomed. 2023, 18, 7605–7635. [Google Scholar] [CrossRef]
- Gajbhiye, V.; Kumar, P.V.; Tekade, R.K.; Jain, N. PEGylated PPI dendritic architectures for sustained delivery of H2 receptor antagonist. Eur. J. Med. Chem. 2009, 44, 1155–1166. [Google Scholar] [CrossRef]
- Li, X.; Naeem, A.; Xiao, S.; Hu, L.; Zhang, J.; Zheng, Q. Safety challenges and application strategies for the use of dendrimers in medicine. Pharmaceutics 2022, 14, 1292. [Google Scholar] [CrossRef]
- Choi, Y.; Seok, S.H.; Yoon, H.Y.; Ryu, J.H.; Kwon, I.C. Advancing cancer immunotherapy through siRNA-based gene silencing for immune checkpoint blockade. Adv. Drug Deliv. Rev. 2024, 209, 115306. [Google Scholar] [CrossRef]
- Du, J.Q. Biomimetic Doxorubicin-Manganese Dioxide Nanoparticles for Glioma Targeted Therapy. Master’s Thesis, Jinzhou Medical University, Jinzhou, China, 2024. [Google Scholar]
- Jia, L.; Gao, Y.; Zhou, T.; Zhao, X.-L.; Hu, H.-Y.; Chen, D.-W.; Qiao, M.-X. Enhanced response to PD-L1 silencing by modulation of TME via balancing glucose metabolism and robust co-delivery of siRNA/Resveratrol with dual-responsive polyplexes. Biomaterials 2021, 271, 120711. [Google Scholar] [CrossRef]
- Tang, Y.; Li, Y.-B.; Wang, B.; Lin, R.-Y.; van Dongen, M.; Zurcher, D.M.; Gu, X.-Y.; Holl, M.M.B.; Liu, G.; Qi, R. Efficient in vitro siRNA delivery and intramuscular gene silencing using PEG-modified PAMAM dendrimers. Mol. Pharm. 2012, 9, 1812–1821. [Google Scholar] [CrossRef]
- Yalamarty, S.S.K.; Filipczak, N.; Li, X.; Pathrikar, T.V.; Cotter, C.; Torchilin, V.P. Co-delivery of siRNA and chemotherapeutic drug using 2C5 antibody-targeted dendrimer-based mixed micelles for multidrug resistant cancers. Pharmaceutics 2022, 14, 1470. [Google Scholar] [CrossRef] [PubMed]
- Urbiola, K.; Blanco-Fernández, L.; Ogris, M.; Rödl, W.; Wagner, E.; de Ilarduya, C.T. Novel PAMAM-PEG-peptide conjugates for siRNA delivery targeted to the transferrin and epidermal growth factor receptors. J. Pers. Med. 2018, 8, 4. [Google Scholar] [CrossRef]
- Wen, E.; Tian, Y.; Chen, Y.; Wang, Z.; Feng, Y.; Liao, Z. Tumor microenvironment responsive Mn-based nanoplatform activate cGAS-STING pathway combined with metabolic interference for enhanced anti-tumor therapy. J. Nanobiotechnol. 2025, 23, 377. [Google Scholar] [CrossRef] [PubMed]
- Liu, Y.; Zhang, Z.; Xia, Y.; Ran, M.; Wang, Q.; Wu, Q.; Yu, W.; Li, C.; Li, S.; Guo, N. Dual-targeting of tumor cells and tumor-associated macrophages by hyaluronic acid-modified MnO2 for enhanced sonodynamic therapy. Int. J. Biol. Macromol. 2024, 283, 137543. [Google Scholar] [CrossRef] [PubMed]
- Georgeous, J.; AlSawaftah, N.; Abuwatfa, W.H.; Husseini, G.A. Review of gold nanoparticles: Synthesis, properties, shapes, cellular uptake, targeting, release mechanisms and applications in drug delivery and therapy. Pharmaceutics 2024, 16, 1332. [Google Scholar] [CrossRef]
- Li, M.; Jiang, S.; Simon, J.; Paßlick, D.; Frey, M.-L.; Wagner, M.; Mailänder, V.; Crespy, D.; Landfester, K. Brush conformation of polyethylene glycol determines the stealth effect of nanocarriers in the low protein adsorption regime. Nano Lett. 2021, 21, 1591–1598. [Google Scholar] [CrossRef] [PubMed]
- McKiernan, E.P.; Moloney, C.; Chaudhuri, T.R.; Clerkin, S.; Behan, K.; Straubinger, R.M.; Crean, J.; Brougham, D.F. Formation of hydrated PEG layers on magnetic iron oxide nanoflowers shows internal magnetisation dynamics and generates high in-vivo efficacy for MRI and magnetic hyperthermia. Acta Biomater. 2022, 152, 393–405. [Google Scholar] [CrossRef]
- Paunovska, K.; Loughrey, D.; Dahlman, J.E. Drug delivery systems for RNA therapeutics. Nat. Rev. Genet. 2022, 23, 265–280. [Google Scholar] [CrossRef]
- Cai, X.; Zhu, Q.; Zeng, Y.; Zeng, Q.; Chen, X.; Zhan, Y. Manganese oxide nanoparticles as mri contrast agents in tumor multimodal imaging and therapy. Int. J. Nanomed. 2019, 14, 8321–8344. [Google Scholar] [CrossRef]
- Jin, A.; Wang, Y.; Lin, K.; Jiang, L. Nanoparticles modified by polydopamine: Working as “drug” carriers. Bioact. Mater. 2020, 5, 522–541. [Google Scholar] [CrossRef]
- Yang, F.; Fang, E.; Luo, M.; Qiu, J.; Huang, Y.; Qiu, J.; Zeng, M. Functional integration and synergistic effects of metal-based nanocomplexes in tumor photothermal therapy and bioimaging. Int. J. Pharm. 2025, 685, 126286. [Google Scholar] [CrossRef]
- Hu, H.; Liu, X.; Hong, J.; Ye, N.; Xiao, C.; Wang, J.; Li, Z.; Xu, D. Mesoporous polydopamine-based multifunctional nanoparticles for enhanced cancer phototherapy. J. Colloid Interface Sci. 2022, 612, 246–260. [Google Scholar] [CrossRef] [PubMed]
- Poinard, B.; Neo, S.Z.Y.; Yeo, E.L.L.; Heng, H.P.S.; Neoh, K.G.; Kah, J.C.Y. Polydopamine nanoparticles enhance drug release for combined photodynamic and photothermal therapy. ACS Appl. Mater. Interfaces 2018, 10, 21125–21136. [Google Scholar] [CrossRef]
- Guo, L.-Y.; Xia, Q.-S.; Qin, J.-L.; Yang, M.; Yang, T.-Y.; You, F.-T.; Chen, Z.-H.; Liu, B.; Peng, H.-S. Skin-safe nanophotosensitizers with highly-controlled synthesized polydopamine shell for synergetic chemo-photodynamic therapy. J. Colloid Interface Sci. 2022, 616, 81–92. [Google Scholar] [CrossRef]
- Li, D.; Hu, C.; Li, H. Survivin as a novel target protein for reducing the proliferation of cancer cells (Review). Biomed. Rep. 2018, 8, 399–406. [Google Scholar] [CrossRef]
- Chen, W.; Lu, Y.; Sun, X.; Leng, J.; Lin, S.; He, X.; Zhang, C.; Yuan, C. A multifunctional CaCO3 bioreactor coated with coordination polymers enhances cancer immunotherapy. J. Control. Release 2024, 368, 780–796. [Google Scholar] [CrossRef] [PubMed]
- Zhang, C.; Yong, Y.; Song, L.; Dong, X.; Zhang, X.; Liu, X.; Gu, Z.; Zhao, Y.; Hu, Z. Multifunctional WS2@Poly(ethylene imine) nanoplatforms for imaging guided gene-photothermal synergistic therapy of cancer. Adv. Heal. Mater. 2016, 5, 2776–2787. [Google Scholar] [CrossRef] [PubMed]
- Li, Y.; Liu, D.; Zhou, Y.; Li, Y.; Xie, J.; Lee, R.J.; Cai, Y.; Teng, L. Silencing of survivin expression leads to reduced proliferation and cell cycle arrest in cancer cells. J. Cancer 2015, 6, 1187–1194. [Google Scholar] [CrossRef]
- Dirandeh, E.; Palizgir, A.; Kassiri, N. An overview of the relationship between occupational manganese exposure and parkinsonism. Cureus 2022, 14, e32161. [Google Scholar] [CrossRef] [PubMed]
- Karyakina, N.A.; Shilnikova, N.; Farhat, N.; Ramoju, S.; Cline, B.; Momoli, F.; Mattison, D.; Jensen, N.; Terrell, R.; Krewski, D. Biomarkers for occupational manganese exposure. Crit. Rev. Toxicol. 2022, 52, 636–663. [Google Scholar] [CrossRef]
- Kim, K.W.; Shrestha, M. Hepatic dysfunction and neuropsychiatric sequelae through manganese toxicity. J. Brown Hosp. Med. 2025, 4, 144589. [Google Scholar] [CrossRef] [PubMed]
- Zhang, Y.; Schwerbrock, N.M.; Rogers, A.B.; Kim, W.Y.; Huang, L. Codelivery of VEGF siRNA and gemcitabine monophosphate in a single nanoparticle formulation for effective treatment of NSCLC. Mol. Ther. 2013, 21, 1559–1569. [Google Scholar] [CrossRef] [PubMed]









| Sample | Hydrodynamic Diameters (nm) | PDI | Zeta Potential (mV) |
|---|---|---|---|
| MnO2 | 35.73 ± 1.00 | 0.21 ± 0.04 | 0.07 ± 0.03 |
| PDA@Mn | 93.80 ± 4.85 | 0.16 ± 0.14 | −13.80 ± 0.42 |
| PDA@Mn-siSur-c-NPs | 125.10 ± 2.07 | 0.14 ± 0.01 | 10.51 ± 1.21 |
| Formulation | Mn Concentration After 5 min (μg/mL) | Mn Concentration After 15 min (μg/mL) |
|---|---|---|
| PDA@Mn-siSur-NPs | 0.21 ± 0.09 | 0.27 ± 0.06 |
| PDA@Mn-siSur-c-NPs | 0.25 ± 0.03 | 0.34 ± 0.13 |
| Group | AUC0→t (ng/mL·h−1) | MRT (h) | CL (μg)/(ng/mL)/h | Vd (μg)/(ng/mL) |
|---|---|---|---|---|
| PDA@Mn-siSur-NPs | 131.786 ± 12.686 | 1.646 ± 0.090 | 0.345 ± 0.038 | 1.513 ± 0.117 |
| PDA@Mn-siSur-c-NPs | 362.297 ± 33.587 | 5.006 ± 1.519 | 0.108 ± 0.043 | 1.227 ± 0.147 |
| Groups | ALT (U/L) | AST (U/L) | CRE (μmol/L) | BUN (mmol/L) |
|---|---|---|---|---|
| Model | 34.00 ± 8.19 | 252.00 ± 15.10 | 6.87 ± 15 | 10.83 ± 0.31 |
| Free siSur | 31.00 ± 11.36 | 240.33 ± 32.96 | 5.40 ± 1.44 | 7.33 ± 2.56 |
| Free siSur+NIR | 39.00 ± 6.93 | 331.50 ± 17.68 | 7.03 ± 1.89 | 8.63 ± 0.29 |
| PDA@Mn-siScr-c-NPs | 24.67 ± 12.58 | 288.67 ± 54.86 | 6.07 ± 1.07 | 10.10 ± 0.26 |
| PDA@Mn-siScr-c-NPs+NIR | 40.67 ± 13.65 | 261.67 ± 78.36 | 5.77 ± 0.6 | 8.60 ± 0.56 |
| PDA@Mn-siSur-c-NPs | 28.33 ± 18.01 | 305.5 ± 45.5 | 5.83 ± 1.45 | 9.73 ± 0.93 |
| PDA@Mn-siSur-c-NPs+NIR | 31.67 ± 11.24 | 266.00 ± 33.15 | 6.63 ± 0.57 | 9.63 ± 0.06 |
Disclaimer/Publisher’s Note: The statements, opinions and data contained in all publications are solely those of the individual author(s) and contributor(s) and not of MDPI and/or the editor(s). MDPI and/or the editor(s) disclaim responsibility for any injury to people or property resulting from any ideas, methods, instructions or products referred to in the content. |
© 2025 by the authors. Licensee MDPI, Basel, Switzerland. This article is an open access article distributed under the terms and conditions of the Creative Commons Attribution (CC BY) license.
Share and Cite
Zhang, J.; Jiang, W.; Hu, L.; Du, Q.; Filipczak, N.; Yalamarty, S.S.K.; Li, X. Construction and Characterization of PDA@MnO2-Cored Multifunctional Targeting Nanoparticles Loaded with Survivin siRNA for Breast Tumor Therapy. Pharmaceutics 2026, 18, 10. https://doi.org/10.3390/pharmaceutics18010010
Zhang J, Jiang W, Hu L, Du Q, Filipczak N, Yalamarty SSK, Li X. Construction and Characterization of PDA@MnO2-Cored Multifunctional Targeting Nanoparticles Loaded with Survivin siRNA for Breast Tumor Therapy. Pharmaceutics. 2026; 18(1):10. https://doi.org/10.3390/pharmaceutics18010010
Chicago/Turabian StyleZhang, Jing, Wenhao Jiang, Lei Hu, Qing Du, Nina Filipczak, Satya Siva Kishan Yalamarty, and Xiang Li. 2026. "Construction and Characterization of PDA@MnO2-Cored Multifunctional Targeting Nanoparticles Loaded with Survivin siRNA for Breast Tumor Therapy" Pharmaceutics 18, no. 1: 10. https://doi.org/10.3390/pharmaceutics18010010
APA StyleZhang, J., Jiang, W., Hu, L., Du, Q., Filipczak, N., Yalamarty, S. S. K., & Li, X. (2026). Construction and Characterization of PDA@MnO2-Cored Multifunctional Targeting Nanoparticles Loaded with Survivin siRNA for Breast Tumor Therapy. Pharmaceutics, 18(1), 10. https://doi.org/10.3390/pharmaceutics18010010

