Palladium Complex-Loaded Magnetite Nanoparticles as Drug Delivery Systems for Targeted Liver Cancer Therapy
Abstract
1. Introduction
2. Materials and Methods
2.1. Materials
2.2. Preparation of MNPs
2.3. Preparation of Pd(DMEN)Cl2 Complex

2.4. Loading of the Metal/Ligand Complex onto MNPs
2.5. Characterization of the MNPs
2.6. Characterization of the Metal/Ligand Complex and the Metal/Ligand Complex Loaded MNPs
2.6.1. Molecular DFT Calculation
2.6.2. Thermal Analysis
2.6.3. FTIR Analysis
2.6.4. TEM Analysis
2.6.5. Molecular Docking
2.7. In Vitro Drug Release Behavior
2.8. In Vivo Studies
2.8.1. Experimental Animals
- Group I: Negative control rats: rats did not receive any intervention.
- Group II: Liver cancer-induced (DEN/TAA) positive control rats: Rats induced with hepatic cancer by receiving a single intraperitoneal (i.p.) injection of diethylnitrosamine [DEN, 200 mg/kg body weight, in 0.9% saline], and after two weeks, the rats were submitted to thioacetamide (TAA, 200 mg/kg body weight, i.p., in 0.9% saline) twice a week, according to Goto et al. [19].
- Group III: Liver cancer-induced (DEN/TAA) rats + MNP-treated rats: DEN+TAA-induced rats were treated with metal complex (10 mg/kg body weight; i.p.) once a week for 3 weeks
- Group IV: Liver cancer-induced (DEN/TAA) rats + metal/ligand complex-treated rats: DEN+TAA-induced rats were treated with metal complex/ligand (10 mg/kg body weight; i.p.) once a week for 3 weeks
- Group V: Liver cancer-induced (DEN/TAA) rats + metal/ligand complex-loaded magnetite: DEN+TAA-induced rats were treated with magnetite metal complex/ligand (10 mg/kg body weight; i.p.) once a week for 3 weeks.
2.8.2. Macroscopic Examination of Liver Samples
2.8.3. Collection of Blood and Liver Samples
2.8.4. Liver Function Markers
2.8.5. Serum Inflammatory Markers
2.8.6. Histopathological Analysis of Liver Tissues
2.9. Statistical Analysis
3. Results and Discussion
3.1. Characterization of MNPs
3.2. Characterization of Metal/Ligand Complex Pd(DMEN)Cl2 Acid-Base Equilibria of [Pd(DMEN)(H2O)2]2+ Complex
[Pd(DMEN)(H2O)2]2+ ⇌ [Pd(DMEN)(H2O)(OH)]++ H+
1 0 1-1
[Pd(DMEN)(H2O)(OH)]+ ⇌ [Pd(DMEN)(OH)2] + H+
1 0 1-1

3.2.1. Molecular DFT Calculation of Ligands (DMEN)
3.2.2. Molecular DFT Calculation of [Pd(DMEN)Cl2] Complex
3.2.3. Reactivity Studies
3.2.4. Molecular Docking
3.3. Thermogravimetric Analysis
3.4. Metal/Ligand Complex Pd(DMEN)Cl2 Loaded Magnetite
3.4.1. FTIR Analysis
3.4.2. TEM Analysis
3.5. In Vitro Drug Release Behavior
3.6. In Vivo Studies
3.6.1. Macroscopic Examinations of Liver Samples
3.6.2. Effects of Treatment of DEN/TAA Rats with Metal/Ligand Complex [Pd(DMEN)Cl2], on Hepatic Activities
3.6.3. Effects of Treatment of DEN/TAA Rats with Complex Compounds on the Inflammatory Markers TNF-α and MMP-9
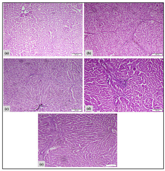
3.6.4. Histopathological Analysis of Liver Tissues
4. Conclusions
5. Study Limitations
Author Contributions
Funding
Institutional Review Board Statement
Informed Consent Statement
Data Availability Statement
Conflicts of Interest
References
- Sun, T.; Zhang, Y.S.; Pang, B.; Hyun, D.C.; Yang, M.; Xia, Y. Engineered nanoparticles for drug delivery in cancer therapy. Chem. Int. Ed. 2014, 53, 12320–12364. [Google Scholar] [CrossRef]
- Grigore, M.E. Organic and inorganic nano-systems used in cancer treatment. J. Med. Res. Health Educ. 2017, 1, 1–8. [Google Scholar]
- Rosenberg, B.; VanCamp, L.; Trosko, J.E.; Mansour, V.H. Platinum compounds: A new class of potent antitumour agents. Nature 1969, 222, 385–386. [Google Scholar] [CrossRef] [PubMed]
- Sung, H.; Ferlay, J.; Siegel, R.L.; Laversanne, M.; Soerjomataram, I.; Jemal, A.; Bray, F. Global Cancer Statistics 2020: GLOBOCAN Estimates of Incidence and Mortality Worldwide for 36 Cancers in 185 Countries. CA A Cancer J. Clin. 2021, 71, 209–249. [Google Scholar] [CrossRef] [PubMed]
- Akinyemiju, T.; Abera, S.; Ahmed, M.; Alam, N.; Alemayohu, M.A.; Allen, C.; Al-Raddadi, R.; Alvis-Guzman, N.; Amoako, Y.; Artaman, A.; et al. The burden of primary liver cancer and underlying etiologies from 1990 to 2015 at the global, regional, and national level: Results from the global burden of disease study 2015. JAMA Oncol. 2017, 3, 1683–1691. [Google Scholar]
- Asrani, S.K.; Devarbhavi, H.; Eaton, J.; Kamath, J.; Hepatol, P.S. Burden of liver diseases in the world. J. Hepatol. 2019, 70, 151–171. [Google Scholar] [CrossRef]
- Dasari, S.; Tchounwou, P.B. Cisplatin in cancer therapy: Molecular mechanisms of action. Eur. J. Pharmacol. 2014, 740, 364–378. [Google Scholar] [CrossRef]
- Galluzzi, L.; Senovilla, L.; Vitale, I.; Michels, J.; Martins, I.; Kepp, O.; Castedo, M.; Kroemer, G. Molecular mechanisms of cisplatin resistance. Oncogene 2012, 31, 1869–1883. [Google Scholar] [CrossRef]
- Zhao, G.; Rodriguez, B.L. Molecular targeting of liposomal nanoparticles to tumor microenvironment. Int. J. Nanomed. 2013, 8, 61. [Google Scholar] [CrossRef]
- Gutteridge, W.E. Existing chemotherapy and its limitations. Br. Med. Bull. 1985, 41, 162–168. [Google Scholar] [CrossRef]
- Wicki, A.; Witzigmann, D.; Balasubramanian, V.; Huwyler, J. Nanomedicine in cancer therapy: Challenges, opportunities, and clinical applications. J. Control. Release 2015, 200, 138–157. [Google Scholar] [CrossRef]
- Mabrouk, M.; Abd El-Wahab, R.M.; Abo-Elfadl, M.T.; Beherei, H.H.; Selim, M.M.; Ibrahim, A.M.; Das, D.B. Magnetic nanosystems substituted with zinc for enhanced antibacterial, drug delivery and cell viability behaviours. Colloids Surf. A Physicochem. Eng. Asp. 2022, 650, 129629. [Google Scholar] [CrossRef]
- Zoppellaro, G. Iron Oxide Magnetic Nanoparticles (NPs)-Tailored for Biomedical Applications. In Magnetic Nanoheterostructures: Diagnostic, Imaging and Treatment; Springer International Publishing: Cham, Switzerland, 2020; pp. 57–102. [Google Scholar]
- Ansari, L.; Jaafari, M.R.; Bastami, T.R.; Malaekeh-Nikouei, B. Improved anticancer efficacy of epirubicin by magnetic mesoporous silica nanoparticles: Invitro and in vivo studies. Artif. Cells Nanomed. Biotechnol. 2018, 46, 594–606. [Google Scholar] [CrossRef] [PubMed]
- Orel, V.; Mitrelias, T.; Shevchenko, A.; Romanov, A.; Barnes, C.; Tselepi, M.; Burlaka, A.; Lukin, S.; Schepoyin, I. Studies of Complex Magnetic Nanoparticles with Anticancer Agents for Cancer Therapy. J. Basic Appl. Phys. 2013, 2, 8–12. [Google Scholar]
- Mabrouk, M.; Ibrahim Fouad, G.; El-Sayed, S.A.M.; Rizk, M.Z.; Beherei, H.H. Hepatotoxic and Neurotoxic Potential of Iron Oxide Nanoparticles in Wistar Rats: A Biochemical and Ultrastructural Study. Biol. Trace Elem. Res. 2022, 200, 3638–3665. [Google Scholar] [CrossRef]
- Shehata, M.R.; Shoukry, M.M.; Mabrouk, M.A.; Van Eldik, R. Synthesis, X-ray structure, DFT and thermodynamic studies of mono-and binuclear palladium (II) complexes involving 1,4-bis(2-hydroxyethyl) piperazine, bio-relevant ligands and 4, 4′-bipiperidine. J. Coord. Chem. 2016, 69, 522–540. [Google Scholar] [CrossRef]
- Frisch, M.J.; Trucks, G.W.; Schlegel, H.B.; Scuseria, G.E.; Robb, M.A.; Cheeseman, J.R.; Scalmani, G.; Barone, V.; Petersson, G.A.; Nakatsuji, H.; et al. Fox. Gaussian 09, Revision A.02; Gaussian, Inc.: Wallingford, CT, USA, 2016. [Google Scholar]
- C.C.G. Inc. “Molecular Operating Environment (MOE 2022.02)” Chemical Computing Group ULC, 1010 Sherbrooke St. West, Suite #910; C.C.G. Inc.: Montreal, QC, Canada, 2022. [Google Scholar]
- Reitman, S.; Frankel, S. In vitro determination of transaminase activity in serum. Am. J. Clin. Pathol. 1957, 28, 56–63. [Google Scholar] [CrossRef]
- Zhu, M.; Diao, G. Synthesis of porous Fe3O4 nanospheres and its application for the catalytic degradation of xylenol orange. Am. J. Phys. Chem. C 2011, 115, 18923–18934. [Google Scholar] [CrossRef]
- Shaker, S.; Zafarian, S.; Chakra, C.S.; Rao, K.V. Preparation and characterization of magnetite nanoparticles by Sol-Gel method for water treatment. Int. J. Innov. Res. Sci. Eng. Technol. 2013, 2, 2969–2973. [Google Scholar]
- Molina, M.M.; Seabra, A.B.; de Oliveira, M.G.; Itri, R.; Haddad, P.S. Nitric oxide donor superparamagnetic iron oxide nano-particles. Mater. Sci. Eng. C 2013, 33, 746–751. [Google Scholar] [CrossRef]
- Gonçalves, L.C.; Seabra, A.B.; Pelegrino, M.T.; De Araujo, D.R.; Bernardes, J.S.; Haddad, P.S. Superparamagnetic iron oxide nanoparticles dispersed in Pluronic F127 hydrogel: Potential uses in topical applications. RSC Adv. 2017, 7, 14496–14503. [Google Scholar] [CrossRef]
- Labani, M.M.; Rezaee, R.; Saeedi, A.; Al Hinai, A. Evaluation of pore size spectrum of gas shale reservoirs using low pressure nitrogen adsorption, gas expansion and mercury porosimetry: A case study from the Perth and Canning Basins, Western Australia. J. Pet. Sci. Eng. 2013, 112, 7–16. [Google Scholar] [CrossRef]
- Bodade, A.B.; Taiwade, M.A.; Chaudhari, G.N. Bioelectrode based chitosan-nanocopperoxide for application to lipase biosensor. J. Appl. Pharm. Res. 2017, 5, 30–39. [Google Scholar]
- Kumar, K.N.; Padma, R.; Ratnakaram, Y.C.; Kang, M. Bright green emission from f-MWCNT embedded co-doped Bi 3++ Tb 3+: Polyvinyl alcohol polymer nanocomposites for photonic applications. RSC Adv. 2017, 7, 15084–15095. [Google Scholar] [CrossRef]
- Sridharan, K.; Endo, T.; Cho, S.G.; Kim, J.; Park, T.J.; Philip, R. Single step synthesis and optical limiting properties of Ni–Ag and Fe–Ag bimetallic nanoparticles. Opt. Mater. 2013, 35, 860–867. [Google Scholar] [CrossRef]
- Lin, S.; Fang, J.; Huang, Y.; Zhang, Y.; Zhong, J.; Xiang, W.; Liang, X. Study on the iron oxide/glass nanocomposite materials: Fabrication, microstructure and ultrafast nonlinear optical properties. J. Mater. Sci. Mater. Electron. 2017, 28, 17735–17743. [Google Scholar] [CrossRef]
- Fujii, T.; Sawatzky, G.A.; Voogt, F.C.; Hibma, T.; Okada, K. In situ XPS analysis of various iron oxide films grown by NO2-assisted molecular-beam epitaxy. Phys. Rev. B 1999, 59, 3195. [Google Scholar] [CrossRef]
- Huang, C.; Zhang, H.; Sun, Z.; Zhao, Y.; Chen, S.; Tao, R.; Liu, Z. Porous Fe3O4 nanoparticles: Synthesis and application in catalyzing epoxidation of styrene. J. Colloid Interface Sci. 2011, 364, 298–303. [Google Scholar] [CrossRef]
- Rao, P.M.; Zheng, X. Unique Magnetic Properties of Single Crystal γ-Fe2O3 Nanowires Synthesized by Flame Vapor Deposition. Nano Lett. 2011, 11, 2390–2395. [Google Scholar] [CrossRef]
- Cao, D.; Li, H.; Pan, L.; Li, J.; Wang, X.; Jing, P.; Liu, Q. High saturation magnetization of γ-Fe2O3 nano-particles by a facile one-step synthesis approach. Sci. Rep. 2016, 6, 32360. [Google Scholar] [CrossRef]
- Yu, Y.; Fan, S.S.; Wang, X.; Ma, Z.W.; Dai, H.W.; Han, J.B. Large third-order optical nonlinearity in coupled Au–Ni–Au composite nanorods. Mater. Lett. 2014, 134, 233–236. [Google Scholar] [CrossRef]
- C.C.G. ULC. Molecular Operating Environment (MOE), 2020.09, 1010 Sherbrooke St. West, Suite #910; C.C.G. ULC: Montreal, QC, Canada, 2020. [Google Scholar]
- Asl, A.M.; Abdouss, M.; Kalaee, M.R.; Homami, S.S.; Pourmadadi, M. Targeted delivery of quercetin using gelatin/starch/Fe3O4 nanocarrier to suppress the growth of liver cancer HepG2 cells. Int. J. Biol. Macromol. 2024, 281, 136535. [Google Scholar] [CrossRef]
- Castañeda, C.; Alvarado, I.; Martínez, J.J.; Brijaldo, M.H.; Passosc, F.B.; Rojas, H. Enhanced photocatalytic reduction of 4-nitrophenol over Ir/CeO2 photocatalysts under UV irradiation. J. Chem. Technol. Biotechnol. 2019, 94, 2630–2639. [Google Scholar] [CrossRef]
- Xu, Y.Y.; Zhao, D.; Zhang, X.J.; Jin, W.T.; Kashkarov, P.; Zhang, H. Synthesis and characterization of single-crystalline α-Fe2O3 nanoleaves. Phys. E Low Dimens. Syst. Nanostruct. 2009, 41, 806–811. [Google Scholar] [CrossRef]
- American Public Health Association (APHA); American Water Works Association (AWWA); Water Environment Federation (WEF). Standard Methods for the Examination of Water and Wastewater, 23rd ed.; Rice, E.W., Baird, R.B., Eaton, A.D., Clesceri, L.S., Eds.; American Public Health Association (APHA): Washington, DC, USA, 2017. [Google Scholar]
- Gaharwar, U.S.; Meena, R.; Rajamani, P. Iron oxide nanoparticles induced cytotoxicity, oxidative stress and DNA damage in lymphocytes. J. Appl. Toxicol. 2017, 37, 1232–1244. [Google Scholar] [CrossRef] [PubMed]
- Krishnamurthy, C.; Keshavayya, J.; Maliyappa, M.R.; Shekharagouda, P. Synthesis of anthraquinone-based azo-metal(II) complexes as potent anti-oxidizing agents. J. Coord. Chem. 2024, 77, 1905–1916. [Google Scholar] [CrossRef]
- Pasdar, H.; Hedayati, S.B.; Foroughifar, N.; Davallo, M. Synthesis, Characterization and Antibacterial Activity of Novel 1,3-Diethyl-1,3-bis(4-nitrophenyl)urea and Its Metal(II) Complexes. Molecules 2017, 22, 2125. [Google Scholar] [CrossRef] [PubMed]
- Shoukry, M.M.; van Eldik, R. Equilibrium Studies on Pd(II)-Amine Complexes with Bio-Relevant Ligands in Reference to Their Antitumor Activity. Int. J. Mol. Sci. 2023, 24, 4843. [Google Scholar] [CrossRef]
- Godymchuk, A.; Papina, I.; Karepina, E.; Kuznetsov, D.; Lapin, I.; Svetlichnyi, V. Agglomeration of iron oxide nanoparticles: pH effect is stronger than amino acid acidity. J. Nanopart. Res. 2019, 21, 208. [Google Scholar] [CrossRef]
- Hidekazu, T. Influence of Anions and Cations on the Formation of Iron Oxide Nanoparticles in Aqueous Media. Kona Powder Part. J. 2022, 39, 119–129. [Google Scholar]
- Shehata, M.R.; Shoukry, M.M.; Ali, S. Thermodynamics of the interaction of Pd (DMEN) (H2O) 22+ with bio-relevant ligands with reference to the deactivation of metal-based drug by thiol ligands. Spectrochim. Acta Part A Mol. Biomol. Spectrosc. 2012, 91, 383–388. [Google Scholar] [CrossRef] [PubMed]
- Zhu, X.; Gu, J.; Li, Y.; Zhao, W.; Shi, J. Magnetic core-mesoporous shell nanocarriers with drug anchorages suspended in mesopore interior for cisplatin delivery. Microporous Mesoporous Mater. 2014, 196, 115–121. [Google Scholar] [CrossRef]
- Sallem, F.; Haji, R.; Vervandier-Fasseur, D.; Nury, T.; Maurizi, L.; Boudon, J.; Millot, N. Elaboration of trans-resveratrol derivative-loaded superparamagnetic iron oxide nanoparticles for glioma treatment. Nanomaterials 2019, 9, 287. [Google Scholar] [CrossRef] [PubMed]
- Manjili, H.K.; Ma’mani, L.; Izadi, A.; Moslemi, E.; Mashhadikhan, M.; Mohammadi, M.M.; Naderi-Manesh, H. Sulforaphane loaded PEGylated iron oxide-gold core shell nanoparticles: A promising delivery system for cancer therapy. Am. Int. J. Contemp. Sci. Res. 2015, 2, 84–94. [Google Scholar]
- Kheiri Manjili, H.; Ma’mani, L.; Tavaddod, S.; Mashhadikhan, M.; Shafiee, A.; Naderi-Manesh, H.D. L-sulforaphane loaded Fe3O4@ gold core shell nanoparticles: A potential sulforaphane delivery system. PLoS ONE 2016, 11, e0151344. [Google Scholar] [CrossRef]
- Saadat, M.; Mostafaei, F.; Mahdinloo, S.; Abdi, M.; Zahednezhad, F.; Zakeri-Milani, P.; Valizadeh, H. Drug delivery of pH-Sensitive nanoparticles into the liver cancer cells. J. Drug Deliv. Sci. Technol. 2021, 63, 102557. [Google Scholar] [CrossRef]
- Ebadi, M.; Bullo, S.; Buskara, K.; Hussein, M.Z.; Fakurazi, S.; Pastorin, G. Release of a liver anticancer drug, sorafenib from its PVA/LDH-and PEG/LDH-coated iron oxide nanoparticles for drug delivery applications. Sci. Rep. 2020, 10, 2152. [Google Scholar] [CrossRef]
- Ding, Y.F.; Wu, Z.H.; Wei, Y.J.; Shu, L.; Peng, Y.R. Hepatic inflammation-fibrosis-cancer axis in the rat hepatocellular carcinoma induced by diethylnitrosamine. J. Cancer Res. Clin. Oncol. 2017, 143, 821–834. [Google Scholar] [CrossRef]
- Abood, W.N.; Bradosty, S.W.; Shaikh, F.K.; Salehen, N.A.; Farghadani, R.; Agha, N.F.S.; Al-Medhtiy, M.H.; Kamil, T.D.A.; Agha, A.S.; Abdulla, M.A. Garcinia mangostana peel extracts exhibit hepatoprotective activity against thioacetamide-induced liver cirrhosis in rats. J. Funct. Foods 2020, 74, 104200. [Google Scholar] [CrossRef]
- Li, G.; Qi, L.; Chen, H.; Tian, G. Involvement of NF-κB/PI3K/AKT signaling pathway in the protective effect of prunetin against a diethylnitrosamine induced hepatocellular carcinogenesis in rats. J. Biochem. Mol. Toxicol. 2022, 36, e23016. [Google Scholar] [CrossRef]
- Liu, J.; Wen, X.; Liu, B.; Zhang, Q.; Zhang, J.; Miao, H.; Zhu, R. Diosmetin inhibits the metastasis of hepatocellular carcinoma cells by downregulating the expression levels of MMP-2 and MMP-9. Mol. Med. Rep. 2016, 13, 2401–2408. [Google Scholar] [CrossRef] [PubMed]
- Rashid, Z.A.; Bardaweel, S.K. Novel matrix metalloproteinase-9 (MMP-9) inhibitors in cancer treatment. Int. J. Mol. Sci. 2023, 24, 12133. [Google Scholar] [CrossRef]
- Hidalgo, M.; Eckhardt, S.G. Development of matrix metalloproteinase inhibitors in cancer therapy. J. Natl. Cancer Inst. 2001, 93, 178–193. [Google Scholar] [CrossRef] [PubMed]
- Abdel-Hamid, N.M.; Abass, S.A.; Eldomany, R.A.; Abdel-Kareem, M.A.; Zakaria, S. Dual regulating of mitochondrial fusion and Timp-3 by leflunomide and diallyl disulfide combination suppresses diethylnitrosamine-induced hepatocellular tumorigenesis in rats. Life Sci. 2022, 294, 120369. [Google Scholar] [CrossRef] [PubMed]
- Kurma, K.; Manches, O.; Chuffart, F.; Sturm, N.; Gharzeddine, K.; Zhang, J.; Decaens, T. DEN-induced rat model reproduces key features of human hepatocellular carcinoma. Cancers 2021, 13, 4981. [Google Scholar] [CrossRef]
- Singh, D.; Singh, M.; Yadav, E.; Falls, N.; Dangi, D.S.; Kumar, V.; Verma, A. Attenuation of diethylnitrosamine (DEN)–Induced hepatic cancer in experimental model of Wistar rats by Carissa carandas embedded silver nanoparticles. Biomed. Pharmacother. 2018, 108, 757–765. [Google Scholar] [CrossRef]
- Santos, N.P.; Pereira, I.C.; Pires, M.J.; Lopes, C.; Andrade, R.; Oliveira, M.M.; Oliveira, P.A. Histology, bioenergetics and oxidative stress in mouse liver exposed to N-diethylnitrosamine. In Vivo 2022, 26, 921–929. [Google Scholar]
- Ojeaburu, S.I.; Oriakhi, K. Hepatoprotective, antioxidant and, anti-inflammatory potentials of gallic acid in carbon tetrachloride-induced hepatic damage in Wistar rats. Toxicol. Rep. 2021, 8, 177–185. [Google Scholar] [CrossRef]












| System | M H a | logβ b | pKa c |
|---|---|---|---|
| Pd(DMEN)-OH | |||
| 1-1 | −5.29 (0.02) | 5.29 | |
| 1-2 | −14.74 (0.02) | 9.45 | |
| 2-1 | −2.12 (0.07) | Kdimer = 3.17 |
| Bond Lengths (Å) | Bond Angles (°) | ||
|---|---|---|---|
| Pd-N1 | 2.108 | N1-Pd-N2 | 84.37 |
| Pd-N2 | 2.156 | N1-Pd-Cl1 | 87.20 |
| Pd-Cl1 | 2.386 | N2-Pd-Cl2 | 92.86 |
| Pd-Cl2 | 2.386 | Cl1-Pd-Cl2 | 95.53 |
| N1-Pd-Cl2 | 176.6 | ||
| N2-Pd-Cl1 | 171.5 | ||
| N1-N2-Cl2-Cl1 | −0.479 * | ||
| Property | DMEN | [Pd(DMEN)Cl2] |
|---|---|---|
| E (a.u.) | −269.216 | −1316.430 |
| HOMO (eV) | −5.9474 | −6.3822 |
| LUMO (eV) | −0.3260 | −2.6656 |
| Eg (eV) | 5.6214 | 3.7166 |
| Dipole moment (Debye) | 1.3486 | 13.6537 |
| I = −EHOMO | 5.9474 | 6.3822 |
| A = −ELUMO | 0.326 | 2.6656 |
| χ = (I + A)/2 | 3.1367 | 4.5239 |
| η = (I − A)/2 | 2.8107 | 1.8583 |
| S = 1/2η | 0.1779 | 0.2691 |
| μ = −χ | −3.1367 | −4.5239 |
| ω = μ2/2η | 1.7503 | 5.5066 |
| Receptor | Interaction | Distance (Å) * | E (kcal/mol) | |
|---|---|---|---|---|
| DMEN | ||||
| N 1 | NZ LYS 97 | H-acceptor | 3.07 (2.28) | −4.5 |
| N 4 | NH1 ARG 168 | H-acceptor | 3.38 (2.41) | −2.6 |
| [Pd(DMEN)Cl2] | ||||
| N 1 | OE1 GLU 57 | H-donor | 2.97 (2.23) | −4.0 |
| PD 18 | O THR 262 | Metal | 2.68 | −0.6 |
| N 1 | OE1 GLU 57 | Ionic | 2.97 | −4.7 |
| N 1 | OE2 GLU 57 | Ionic | 3.86 | −0.8 |
| Assignment Loss | TGA °C | %Wt Loss Found (Calcd) |
|---|---|---|
| C4H12N2 + Cl | 220–320 | 47.07 (46.56) |
| Cl | 320–570 | 12.92 (13.35) |
| Remaining Pd | >570 | 40.01 (40.09) |
| AST (IU/L) | ALT (IU/L) | |
|---|---|---|
| Negative control | 31.94 ± 1.98 a | 134.73 ± 4.52 a |
| DEN/TAA positive control | 48.95 ± 0.66 c | 168.26 ± 0.54 b |
| DEN/TAA +MNPs | 32.72 ± 1.26 ab | 134.89 ± 7.80 a |
| DEN/TAA + complex | 32.81 ± 2.97 ab | 138.49 ± 8 a |
| DEN/TAA + complex loaded MNPs | 31.94 ± 0.00 a | 132.85 ± 11.91 a |
| Groups | TNF-α | MMP-9 |
|---|---|---|
| Negative control | 82.92 ± 0.64 a | 491.34 ± 48.74 a |
| DEN/TAA control | 125.97 ± 16.22 b | 1079.79 ± 124.93 bc |
| DEN/TAA +MNPs | 93.15 ± 8.20 ab | 638.53 ± 69.72 ab |
| DEN/TAA + complex | 102.8150 ± 6.94 ab | 2252.52 ± 407.29 d |
| DEN/TAA + complex loaded MNPs | 105.69 ± 10.43 ab | 1079.72 ± 0.00 bc |
Disclaimer/Publisher’s Note: The statements, opinions and data contained in all publications are solely those of the individual author(s) and contributor(s) and not of MDPI and/or the editor(s). MDPI and/or the editor(s) disclaim responsibility for any injury to people or property resulting from any ideas, methods, instructions or products referred to in the content. |
© 2025 by the authors. Licensee MDPI, Basel, Switzerland. This article is an open access article distributed under the terms and conditions of the Creative Commons Attribution (CC BY) license (https://creativecommons.org/licenses/by/4.0/).
Share and Cite
El-Sayed, S.A.M.; Fouad, G.I.; Beherei, H.H.; Shehata, M.R.; Mabrouk, M. Palladium Complex-Loaded Magnetite Nanoparticles as Drug Delivery Systems for Targeted Liver Cancer Therapy. Pharmaceutics 2025, 17, 1033. https://doi.org/10.3390/pharmaceutics17081033
El-Sayed SAM, Fouad GI, Beherei HH, Shehata MR, Mabrouk M. Palladium Complex-Loaded Magnetite Nanoparticles as Drug Delivery Systems for Targeted Liver Cancer Therapy. Pharmaceutics. 2025; 17(8):1033. https://doi.org/10.3390/pharmaceutics17081033
Chicago/Turabian StyleEl-Sayed, Sara A. M., Ghadha Ibrahim Fouad, Hanan H. Beherei, Mohamed R. Shehata, and Mostafa Mabrouk. 2025. "Palladium Complex-Loaded Magnetite Nanoparticles as Drug Delivery Systems for Targeted Liver Cancer Therapy" Pharmaceutics 17, no. 8: 1033. https://doi.org/10.3390/pharmaceutics17081033
APA StyleEl-Sayed, S. A. M., Fouad, G. I., Beherei, H. H., Shehata, M. R., & Mabrouk, M. (2025). Palladium Complex-Loaded Magnetite Nanoparticles as Drug Delivery Systems for Targeted Liver Cancer Therapy. Pharmaceutics, 17(8), 1033. https://doi.org/10.3390/pharmaceutics17081033

