Thymoquinone-Loaded Chitosan Nanoparticles Combat Testicular Aging and Oxidative Stress Through SIRT1/FOXO3a Activation: An In Vivo and In Vitro Study
Abstract
1. Introduction
2. Materials and Methods
2.1. Chemicals
2.2. Synthesis of Chitosan Nanoparticles and a Chitosan–Thymoquinone Nanocomposite (NCP)
2.3. Cell Culture and Cytotoxicity Assay
2.4. Animals
2.5. Experimental Design
2.6. Sampling
2.7. Oxidative Stress and Antioxidant Index Evaluation
2.8. Testosterone Measurement
2.9. Steroidogenic Enzyme Assessment
2.10. RT-PCR
2.11. Histopathological Assessment
2.12. Immunohistochemistry Analysis
2.13. Ultrastructure Assessment
2.14. Statistical Analysis
3. Results
3.1. Identification and Characterization of the Designed Nanoparticles
SEM Micrograph
3.2. Cytotoxicity Assay
3.3. Body Weight
3.4. Testicular Antioxidant and Oxidative Stress Status
3.5. Steroidogenic Enzyme Activity
3.6. Testicular Histopathology
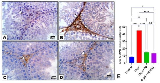
3.7. Immunohistochemistry of P53
3.8. Transmission Electron Microscopic Investigation
3.9. Regulators of Longevity, Stress Response, Mitochondrial Function, Antioxidant Defense, and Reproductive Health Gene Expression
3.10. Multivariate Assessments
4. Discussion
5. Conclusions
Supplementary Materials
Author Contributions
Funding
Institutional Review Board Statement
Informed Consent Statement
Data Availability Statement
Conflicts of Interest
References
- Chen, W.-K.; Tsai, Y.-L.; Shibu, M.A.; Shen, C.-Y.; Chang-Lee, S.N.; Chen, R.-J.; Yao, C.-H.; Ban, B.; Kuo, W.-W.; Huang, C.-Y. Exercise training augments Sirt1-signaling and attenuates cardiac inflammation in D-galactose induced-aging rats. Aging 2018, 10, 4166. [Google Scholar] [CrossRef] [PubMed]
- Davalli, P.; Mitic, T.; Caporali, A.; Lauriola, A.; D’Arca, D. ROS, cell senescence, and novel molecular mechanisms in aging and age-related diseases. Oxidative Med. Cell. Longev. 2016, 2016, 3565127. [Google Scholar] [CrossRef] [PubMed]
- Santiago, J.; Silva, J.V.; Alves, M.G.; Oliveira, P.F.; Fardilha, M. Testicular aging: An overview of ultrastructural, cellular, and molecular alterations. J. Gerontol. Ser. A 2019, 74, 860–871. [Google Scholar] [CrossRef] [PubMed]
- El-Far, A.H.; Elewa, Y.H.; Abdelfattah, E.-Z.A.; Alsenosy, A.-W.A.; Atta, M.S.; Abou-Zeid, K.M.; Al Jaouni, S.K.; Mousa, S.A.; Noreldin, A.E. Thymoquinone and curcumin defeat aging-associated oxidative alterations induced by D-galactose in rats’ brain and heart. Int. J. Mol. Sci. 2021, 22, 6839. [Google Scholar] [CrossRef]
- Zhu, J.; Mu, X.; Zeng, J.; Xu, C.; Liu, J.; Zhang, M.; Li, C.; Chen, J.; Li, T.; Wang, Y. Ginsenoside Rg1 prevents cognitive impairment and hippocampus senescence in a rat model of D-galactose-induced aging. PLoS ONE 2014, 9, e101291. [Google Scholar] [CrossRef]
- Zheng, S. Protective effect of Polygonatum sibiricum Polysaccharide on D-galactose-induced aging rats model. Sci. Rep. 2020, 10, 2246. [Google Scholar] [CrossRef]
- Wani, J.A.; Tsagkaris, C.; Majid, S.; Ganie, M.A.; Akhter, R.; Ahmad, S.B.; Ovais, S.; Khan, M.S.; Wani, H.A. Therapeutic effects of Nigella sativa on hormonal dysfunctions. In Black Seeds (Nigella sativa); Elsevier: Amsterdam, The Netherlands, 2022; pp. 217–238. [Google Scholar]
- Rosli, F.D.; Hashim, N.H.; Yusuf, Y.M.; Osman, K.; Ibrahim, S.F.; Kabir, N. Thymoquinone enhances sperm DNA integrity in nicotineinduced infertile male rats. Trop. J. Pharm. Res. 2019, 18, 1219–1225. [Google Scholar] [CrossRef]
- Akhtar, N.; Ullah, Z.; Rashid, M.; Alshammari, A.A.A.; Alshammari, A.; Alawaji, R.; Khan, M.F.; Al-Mutairi, A.; Khan, R.A. Self-assembled nanoscale entities: Preparative process optimization, payload release, and enhanced bioavailability of thymoquinone natural product. Nanotechnol. Rev. 2023, 12, 20230178. [Google Scholar] [CrossRef]
- Karaman, K. Characterization of Saccharomyces cerevisiae based microcarriers for encapsulation of black cumin seed oil: Stability of thymoquinone and bioactive properties. Food Chem. 2020, 313, 126129. [Google Scholar] [CrossRef]
- Ahmad, A.; Raish, M.; Alkharfy, K.M.; Alsarra, I.A.; Khan, A.; Ahad, A.; Jan, B.L.; Shakeel, F. Solubility, solubility parameters and solution thermodynamics of thymoquinone in different mono solvents. J. Mol. Liq. 2018, 272, 912–918. [Google Scholar] [CrossRef]
- Shabani, H.; Karami, M.H.; Kolour, J.; Sayyahi, Z.; Parvin, M.A.; Soghala, S.; Baghini, S.S.; Mardasi, M.; Chopani, A.; Moulavi, P.; et al. Anticancer activity of thymoquinone against breast cancer cells: Mechanisms of action and delivery approaches. Biomed. Pharmacother. 2023, 165, 114972. [Google Scholar] [CrossRef] [PubMed]
- Shariare, M.H.; Khan, M.A.; Al-Masum, A.; Khan, J.H.; Uddin, J.; Kazi, M. Development of stable liposomal drug delivery system of thymoquinone and its in vitro anticancer studies using breast cancer and cervical cancer cell lines. Molecules 2022, 27, 6744. [Google Scholar] [CrossRef] [PubMed]
- Rathore, C.; Hemrajani, C.; Sharma, A.K.; Gupta, P.K.; Jha, N.K.; Aljabali, A.A.; Gupta, G.; Singh, S.K.; Yang, J.-C.; Dwivedi, R.P. Self-nanoemulsifying drug delivery system (SNEDDS) mediated improved oral bioavailability of thymoquinone: Optimization, characterization, pharmacokinetic, and hepatotoxicity studies. Drug Deliv. Transl. Res. 2023, 13, 292–307. [Google Scholar] [CrossRef] [PubMed]
- Rahat, I.; Rizwanullah, M.; Gilani, S.J.; Bin-Jummah, M.N.; Imam, S.S.; Kala, C.; Asif, M.; Alshehri, S.; Sharma, S.K. Thymoquinone loaded chitosan-Solid lipid nanoparticles: Formulation optimization to oral bioavailability study. J. Drug Deliv. Sci. Technol. 2021, 64, 102565. [Google Scholar] [CrossRef]
- Alam, S.; Khan, Z.I.; Mustafa, G.; Kumar, M.; Islam, F.; Bhatnagar, A.; Ahmad, F.J. Development and evaluation of thymoquinone-encapsulated chitosan nanoparticles for nose-to-brain targeting: A pharmacoscintigraphic study. Int. J. Nanomed. 2012, 7, 5705–5718. [Google Scholar] [CrossRef]
- Al-Gabri, N.A.; Saghir, S.A.M.; Al-Hashedi, S.A.; El-Far, A.H.; Khafaga, A.F.; Swelum, A.A.; Al-Wajeeh, A.S.; Mousa, S.A.; Abd El-Hack, M.E.; Naiel, M.A.E.; et al. Therapeutic Potential of Thymoquinone and Its Nanoformulations in Pulmonary Injury: A Comprehensive Review. Int. J. Nanomed. 2021, 16, 5117–5131. [Google Scholar] [CrossRef]
- Ahmed, T.A.; Aljaeid, B.M. Preparation, characterization, and potential application of chitosan, chitosan derivatives, and chitosan metal nanoparticles in pharmaceutical drug delivery. Drug Des. Dev. Ther. 2016, 10, 483–507. [Google Scholar] [CrossRef]
- Yanat, M.; Schroën, K. Preparation methods and applications of chitosan nanoparticles; with an outlook toward reinforcement of biodegradable packaging. React. Funct. Polym. 2021, 161, 104849. [Google Scholar] [CrossRef]
- Skehan, P.; Storeng, R.; Scudiero, D.; Monks, A.; McMahon, J.; Vistica, D.; Warren, J.T.; Bokesch, H.; Kenney, S.; Boyd, M.R. New colorimetric cytotoxicity assay for anticancer-drug screening. J. Natl. Cancer Inst. 1990, 82, 1107–1112. [Google Scholar] [CrossRef]
- Allam, R.M.; Al-Abd, A.M.; Khedr, A.; Sharaf, O.A.; Nofal, S.M.; Khalifa, A.E.; Mosli, H.A.; Abdel-Naim, A.B. Fingolimod interrupts the cross talk between estrogen metabolism and sphingolipid metabolism within prostate cancer cells. Toxicol. Lett. 2018, 291, 77–85. [Google Scholar] [CrossRef]
- El-Far, A.H.; Lebda, M.A.; Noreldin, A.E.; Atta, M.S.; Elewa, Y.H.; Elfeky, M.; Mousa, S.A. Quercetin attenuates pancreatic and renal D-galactose-induced aging-related oxidative alterations in rats. Int. J. Mol. Sci. 2020, 21, 4348. [Google Scholar] [CrossRef] [PubMed]
- Abduallah, A.M.; Rashed, A.A.; Gamaleldeen, A.K.; Sayed, S.R.M. The effect of Nigella sativa extract (thymoquinone) on glucose insulin levels and body weight of induced diabetic female rats. Am. J. Life Sci. 2017, 5, 5. [Google Scholar] [CrossRef][Green Version]
- Nishikimi, M.; Roa, N.; Yogi, K. Measurement of superoxide dismutase. Biochem. Biophys. Res. Commun. 1972, 46, 849–854. [Google Scholar] [CrossRef] [PubMed]
- Fossati, P.; Prencipe, L.; Berti, G. Use of 3, 5-dichloro-2-hydroxybenzenesulfonic acid/4-aminophenazone chromogenic system in direct enzymic assay of uric acid in serum and urine. Clin. Chem. 1980, 26, 227–231. [Google Scholar] [CrossRef]
- Ohkawa, H.; Ohishi, N.; Yagi, K. Assay for lipid peroxides in animal tissues by thiobarbituric acid reaction. Anal. Biochem. 1979, 95, 351–358. [Google Scholar] [CrossRef]
- Talalay, P. [69] Hydroxysteroid dehydrogenases: Hydroxysteroid+ DPN+(TPN+)⇄ Ketosteroid DPNH (TPNH)+ H+. In Methods in enzymology; Elsevier: Amsterdam, The Netherlands, 1962; Volume 5, pp. 512–526. [Google Scholar]
- Pfaffl, M.W. A new mathematical model for relative quantification in real-time RT–PCR. Nucleic Acids Res. 2001, 29, e45. [Google Scholar] [CrossRef]
- Culling, C.F.A. Handbook of Histopathological and Histochemical Techniques: Including Museum Techniques; Butterworth-Heinemann: Oxford, UK, 2013. [Google Scholar]
- Johnsen, S.G. Testicular biopsy score count–a method for registration of spermatogenesis in human testes: Normal values and results in 335 hypogonadal males. Horm. Res. Paediatr. 1970, 1, 2–25. [Google Scholar] [CrossRef]
- Hsu, S.-M.; Raine, L.; Fanger, H. Use of avidin-biotin-peroxidase complex (ABC) in immunoperoxidase techniques: A comparison between ABC and unlabeled antibody (PAP) procedures. J. Histochem. Cytochem. 1981, 29, 577–580. [Google Scholar] [CrossRef]
- Chemes, H.E. Ultrastructural analysis of testicular tissue and sperm by transmission and scanning electron microscopy. Spermatogenesis Methods Protoc. 2013, 927, 321–348. [Google Scholar]
- Ghamry, H.I.; Shukry, M.; Kassab, M.A.; Farrag, F.A.; El-Shafai, N.M.; Elgendy, E.; Ibrahim, A.N.; Elgendy, S.A.; Behairy, A.; Ibrahim, S.F. Arthrospira platensis nanoparticles mitigate aging-related oxidative injured brain induced by D-galactose in rats through antioxidants, anti-inflammatory, and MAPK pathways. Int. J. Nanomed. 2023, 18, 5591–5606. [Google Scholar] [CrossRef]
- Atta, M.S.; Almadaly, E.A.; El-Far, A.H.; Saleh, R.M.; Assar, D.H.; Al Jaouni, S.K.; Mousa, S.A. Thymoquinone defeats diabetes-induced testicular damage in rats targeting antioxidant, inflammatory and aromatase expression. Int. J. Mol. Sci. 2017, 18, 919. [Google Scholar] [CrossRef] [PubMed]
- El-Far, A.H.; Mohamed, H.H.; Elsabagh, D.A.; Mohamed, S.A.; Noreldin, A.E.; Al Jaouni, S.K.; Alsenosy, A.A. Eugenol and carvacrol attenuate brain d-galactose-induced aging-related oxidative alterations in rats. Environ. Sci. Pollut. Res. 2022, 29, 47436–47447. [Google Scholar] [CrossRef] [PubMed]
- Attari, S.S.; Mohammadi, S.; Ebrahimzadeh, A.; Hosseinzadeh, H.; Soukhtanloo, M.; Rajabzadeh, A. Effects of thymoquinone on sperm parameters, apoptosis, testosterone level, and oxidative stress in a mouse model of D-galactose-induced aging. Pharm. Sci. 2018, 24, 180–186. [Google Scholar] [CrossRef]
- Fouad, A.; Jresat, I. Thymoquinone therapy abrogates toxic effect of cadmium on rat testes. Andrologia 2015, 47, 417–426. [Google Scholar] [CrossRef]
- Erboga, M.; Aktas, C.; Kurt, O.; Uygur, R.; Caglar, V.; Turan, B.C.; Topcu, B.; Fidanol Erboga, Z.; Gurel, A.; Ozen, O. Protective effects of thymoquinone on experimental testicular ischaemia–reperfusion injury: An apoptotic, proliferative and biochemical study. Andrologia 2016, 48, 222–230. [Google Scholar] [CrossRef]
- Algaidi, S.A.; Faddladdeen, K.A.; Alrefaei, G.I.; Qahl, S.H.; Albadawi, E.A.; ALmohaimeed, H.M.; Ayuob, N.N. Thymoquinone protects the testes of hypothyroid rats by suppressing pro-inflammatory cytokines and oxidative stress and promoting SIRT1 testicular expression. Front. Pharmacol. 2022, 13, 1040857. [Google Scholar] [CrossRef]
- Halawa, A.; Elshopakey, G.; El-Adl, M.; Lashen, S.; Shalaby, N.; Eldomany, E.; Farghali, A.; Rezk, S. Chitosan attenuated the neurotoxicity-induced titanium dioxide nanoparticles in brain of adult rats. Environ. Toxicol. 2022, 37, 612–626. [Google Scholar] [CrossRef]
- Liu, D.; Zhao, L. Thymoquinone-induced autophagy mitigates doxorubicin-induced H9c2 cell apoptosis. Exp. Ther. Med. 2022, 24, 694. [Google Scholar] [CrossRef]
- Attoub, S.; Sperandio, O.; Raza, H.; Arafat, K.; Al-Salam, S.; Al Sultan, M.A.; Al Safi, M.; Takahashi, T.; Adem, A. Thymoquinone as an anticancer agent: Evidence from inhibition of cancer cells viability and invasion in vitro and tumor growth in vivo. Fundam. Clin. Pharmacol. 2013, 27, 557–569. [Google Scholar] [CrossRef]
- Taha, M.; Sheikh, B.; Salim, L.; Mohan, S.; Khan, A.; Kamalidehghan, B.; Ahmadipour, F.; Abdelwahab, S.I. Thymoquinone induces apoptosis and increase ROS in ovarian cancer cell line. Cell. Mol. Biol. 2016, 62, 97–101. [Google Scholar]
- Yazan, L.S.; Ng, W.K.; Al-Naqeeb, G.; Ismail, M. Cytotoxicity of thymoquinone (TQ) from Nigella sativa towards human cervical carcinoma cells (HeLa). J. Pharm. Res. 2009, 2, 585–589. [Google Scholar]
- Guler, E.M.; Sisman, B.H.; Kocyigit, A.; Hatiboglu, M.A. Investigation of cellular effects of thymoquinone on glioma cell. Toxicol. Rep. 2021, 8, 162–170. [Google Scholar] [CrossRef] [PubMed]
- Wu, Z.; Li, W.; Cheng, S.; Liu, J.; Wang, S. Novel fabrication of bioengineered injectable chitosan hydrogel loaded with conductive nanoparticles to improve therapeutic potential of mesenchymal stem cells in functional recovery after ischemic myocardial infarction. Nanomed. Nanotechnol. Biol. Med. 2023, 47, 102616. [Google Scholar] [CrossRef] [PubMed]
- Kandil, H.; Ekram, B.; Abo-Zeid, M.A. Cytocompatibility of MG-63 osteosarcoma cells on chitosan/hydroxyapatite/lignin hybrid composite scaffold in vitro. Biomed. Mater. 2022, 18, 015002. [Google Scholar] [CrossRef] [PubMed]
- Netam, A.K.; Bhargava, V.P.; Singh, R.; Sharma, P. Testosterone propionate and Swarna Bhasma treatment modulated D-galactose induced reproductive alterations in male Wistar rats: An experimental study. Int. J. Reprod. BioMedicine 2023, 21, 303. [Google Scholar]
- Akintunde, O.; Joseph, O.; Afolabi, H.; Alamu, O.; Abdulrahaman, A. Protective and Ameliorative Effects of Virgin Coconut Oil on Cadmium-Damaged Wistar Rats’ Testes. World J. Surg. Surgical Res. 2023, 6, 1440. [Google Scholar]
- Qadri, M.M.; Alam, M.F.; Khired, Z.A.; Alaqi, R.O.; Khardali, A.A.; Alasmari, M.M.; Alrashah, A.S.; Muzafar, H.M.; Qahl, A.M. Thymoquinone ameliorates carfilzomib-induced renal impairment by modulating oxidative stress markers, inflammatory/apoptotic mediators, and augmenting Nrf2 in rats. Int. J. Mol. Sci. 2023, 24, 10621. [Google Scholar] [CrossRef]
- Nassar, W.M.; El-Kholy, W.M.; El-Sawi, M.R.; El-Shafai, N.M.; Alotaibi, B.S.; Ghamry, H.I.; Shukry, M. Ameliorative effect of thymoquinone and thymoquinone nanoparticles against diazinon-induced hepatic injury in rats: A possible protection mechanism. Toxics 2023, 11, 783. [Google Scholar] [CrossRef]
- Wardani, G.; Nugraha, J.; Mustafa, M.R.; Kurnijasanti, R.; Sudjarwo, S.A. Antioxidative Stress and Antiapoptosis Effect of Chitosan Nanoparticles to Protect Cardiac Cell Damage on Streptozotocin-Induced Diabetic Rat. Oxidative Med. Cell. Longev. 2022, 2022, 3081397. [Google Scholar] [CrossRef]
- Aydin, S.; Yanar, K.; Simsek, B.; Cebe, T.; Sitar, M.E.; Belce, A.; Cakatay, U. Galactose-induced aging model in rat testicular tissue. J. Coll. Physicians Surg. Pak. 2018, 28, 501–504. [Google Scholar] [CrossRef]
- El-Far, A.H.; Al Jaouni, S.K.; Li, W.; Mousa, S.A. Protective roles of thymoquinone nanoformulations: Potential nanonutraceuticals in human diseases. Nutrients 2018, 10, 1369. [Google Scholar] [CrossRef] [PubMed]
- Shaterzadeh-Yazdi, H.; Noorbakhsh, M.-F.; Hayati, F.; Samarghandian, S.; Farkhondeh, T. Immunomodulatory and anti-inflammatory effects of thymoquinone. Cardiovasc. Haematol. Disord. Drug Targets 2018, 18, 52–60. [Google Scholar] [CrossRef] [PubMed]
- Al-Shahari, E.A.; ElBealy, E.R.; Alkhazendar, A.A.; Alm-Eldeen, A.A. Quercetin Improves Liver Function, Decreases the Expression of Pro-apoptotic Proteins p53 and Bax and Increases the Antioxidant Defense of Hepatocytes in Aged Male Rats. Pak. J. Zool. 2022, 54, 2691. [Google Scholar] [CrossRef]
- Ahmad, A.; Husain, A.; Mujeeb, M.; Khan, S.A.; Najmi, A.K.; Siddique, N.A.; Damanhouri, Z.A.; Anwar, F. A review on therapeutic potential of Nigella sativa: A miracle herb. Asian Pac. J. Trop. Biomed. 2013, 3, 337–352. [Google Scholar] [CrossRef] [PubMed]
- Kanter, M. Protective effects of thymoquinone on the neuronal injury in frontal cortex after chronic toluene exposure. J. Mol. Histol. 2011, 42, 39–46. [Google Scholar] [CrossRef]
- Guarente, L. Calorie restriction and sirtuins revisited. Genes. Dev. 2013, 27, 2072–2085. [Google Scholar] [CrossRef]
- Morris, B.J.; Willcox, D.C.; Donlon, T.A.; Willcox, B.J. FOXO3: A major gene for human longevity-a mini-review. Gerontology 2015, 61, 515–525. [Google Scholar] [CrossRef]
- Yoshida, T.; Delafontaine, P. Mechanisms of IGF-1-mediated regulation of skeletal muscle hypertrophy and atrophy. Cells 2020, 9, 1970. [Google Scholar] [CrossRef]
- Chen, M.; Yan, R.; Luo, J.; Ning, J.; Zhou, R.; Ding, L. The role of PGC-1α-mediated mitochondrial biogenesis in neurons. Neurochem. Res. 2023, 48, 2595–2606. [Google Scholar] [CrossRef]
- Srinivas, N.; Rachakonda, S.; Kumar, R. Telomeres and telomere length: A general overview. Cancers 2020, 12, 558. [Google Scholar] [CrossRef]
- Jomova, K.; Raptova, R.; Alomar, S.Y.; Alwasel, S.H.; Nepovimova, E.; Kuca, K.; Valko, M. Reactive oxygen species, toxicity, oxidative stress, and antioxidants: Chronic diseases and aging. Arch. Toxicol. 2023, 97, 2499–2574. [Google Scholar] [PubMed]
- Pisoschi, A.M.; Pop, A.; Iordache, F.; Stanca, L.; Predoi, G.; Serban, A.I. Oxidative stress mitigation by antioxidants-an overview on their chemistry and influences on health status. Eur. J. Med. Chem. 2021, 209, 112891. [Google Scholar] [CrossRef] [PubMed]
- Merges, G.E.; Meier, J.; Schneider, S.; Kruse, A.; Fröbius, A.C.; Kirfel, G.; Steger, K.; Arévalo, L.; Schorle, H. Loss of Prm1 leads to defective chromatin protamination, impaired PRM2 processing, reduced sperm motility and subfertility in male mice. Development 2022, 149, dev200330. [Google Scholar] [CrossRef] [PubMed]
- Hu, B.; Ting, Y.; Zeng, X.; Huang, Q. Bioactive peptides/chitosan nanoparticles enhance cellular antioxidant activity of (−)-epigallocatechin-3-gallate. J. Agric. Food Chem. 2013, 61, 875–881. [Google Scholar] [CrossRef]
- Oliveira Lima, K.; Barreto Pinilla, C.M.; Alemán, A.; López-Caballero, M.E.; Gómez-Guillén, M.C.; Montero, P.; Prentice, C. Characterization, bioactivity and application of chitosan-based nanoparticles in a food emulsion model. Polymers 2021, 13, 3331. [Google Scholar] [CrossRef]
- Barclay, R.D.; Burd, N.A.; Tyler, C.; Tillin, N.A.; Mackenzie, R.W. The role of the IGF-1 signaling cascade in muscle protein synthesis and anabolic resistance in aging skeletal muscle. Front. Nutr. 2019, 6, 146. [Google Scholar] [CrossRef]
- Puigserver, P.; Spiegelman, B.M. Peroxisome proliferator-activated receptor-γ coactivator 1α (PGC-1α): Transcriptional coactivator and metabolic regulator. Endocr. Rev. 2003, 24, 78–90. [Google Scholar] [CrossRef]
- Shay, J.W.; Wright, W.E. Telomeres and telomerase in normal and cancer stem cells. FEBS Lett. 2010, 584, 3819–3825. [Google Scholar] [CrossRef]
- Maritim, A.; Sanders, A.; Watkins Iii, J. Diabetes, oxidative stress, and antioxidants: A review. J. Biochem. Mol. Toxicol. 2003, 17, 24–38. [Google Scholar] [CrossRef]
- Weydert, C.J.; Cullen, J.J. Measurement of superoxide dismutase, catalase and glutathione peroxidase in cultured cells and tissue. Nat. Protoc. 2010, 5, 51–66. [Google Scholar] [CrossRef]
- Reyhani Poul, S.; Yeganeh, S. Physicochemical and antioxidant properties of chitosan-coated nanoliposome loaded with bioactive peptides produced from shrimp wastes hydrolysis. Iran. J. Fish. Sci. 2022, 21, 987–1003. [Google Scholar]















Disclaimer/Publisher’s Note: The statements, opinions and data contained in all publications are solely those of the individual author(s) and contributor(s) and not of MDPI and/or the editor(s). MDPI and/or the editor(s) disclaim responsibility for any injury to people or property resulting from any ideas, methods, instructions or products referred to in the content. |
© 2025 by the authors. Licensee MDPI, Basel, Switzerland. This article is an open access article distributed under the terms and conditions of the Creative Commons Attribution (CC BY) license (https://creativecommons.org/licenses/by/4.0/).
Share and Cite
Kasem, E.A.; Hamza, G.; El-Shafai, N.M.; Ghanem, N.F.; Mahmoud, S.; Sayed, S.M.; Alshehri, M.A.; Al-Shuraym, L.A.; Ghamry, H.I.; Mahfouz, M.E.; et al. Thymoquinone-Loaded Chitosan Nanoparticles Combat Testicular Aging and Oxidative Stress Through SIRT1/FOXO3a Activation: An In Vivo and In Vitro Study. Pharmaceutics 2025, 17, 210. https://doi.org/10.3390/pharmaceutics17020210
Kasem EA, Hamza G, El-Shafai NM, Ghanem NF, Mahmoud S, Sayed SM, Alshehri MA, Al-Shuraym LA, Ghamry HI, Mahfouz ME, et al. Thymoquinone-Loaded Chitosan Nanoparticles Combat Testicular Aging and Oxidative Stress Through SIRT1/FOXO3a Activation: An In Vivo and In Vitro Study. Pharmaceutics. 2025; 17(2):210. https://doi.org/10.3390/pharmaceutics17020210
Chicago/Turabian StyleKasem, Enas A., Gehan Hamza, Nagi M. El-Shafai, Nora F. Ghanem, Shawky Mahmoud, Samy M. Sayed, Mohammed Ali Alshehri, Laila A. Al-Shuraym, Heba I. Ghamry, Magdy E. Mahfouz, and et al. 2025. "Thymoquinone-Loaded Chitosan Nanoparticles Combat Testicular Aging and Oxidative Stress Through SIRT1/FOXO3a Activation: An In Vivo and In Vitro Study" Pharmaceutics 17, no. 2: 210. https://doi.org/10.3390/pharmaceutics17020210
APA StyleKasem, E. A., Hamza, G., El-Shafai, N. M., Ghanem, N. F., Mahmoud, S., Sayed, S. M., Alshehri, M. A., Al-Shuraym, L. A., Ghamry, H. I., Mahfouz, M. E., & Shukry, M. (2025). Thymoquinone-Loaded Chitosan Nanoparticles Combat Testicular Aging and Oxidative Stress Through SIRT1/FOXO3a Activation: An In Vivo and In Vitro Study. Pharmaceutics, 17(2), 210. https://doi.org/10.3390/pharmaceutics17020210

