Anemoside B4 Rectal Thermosensitive In Situ Gel to Treat Ulcerative Colitis by Overcoming Oral Bioavailability Barriers with Absorption Enhancer-Assisted Delivery
Abstract
1. Introduction
2. Materials and Methods
2.1. Chemicals, Cell Culture, and Animals
2.2. Screening of Absorption Enhancers
2.2.1. HPLC Method
2.2.2. Screening of Absorption Enhancers Using the Caco-2 Cell
2.2.3. Screening of Absorption Enhancers Using the Franz Diffusion Cell
2.3. Preparation of AB4-ISG
2.3.1. Gelation Temperature
2.3.2. Formulation Optimization Based on Box–Behnken Design Response Surface Methodology (BBD-RSM)
2.3.3. Model Fitting
2.3.4. Prediction and Validation of Optimal Formulations
2.4. Evaluation of AB4-ISG
2.4.1. Gelation Time
2.4.2. Viscosity, pH, Gelation Strength, and Bioadhesive Force
2.4.3. Stability
2.4.4. In Vitro Drug Release
2.5. Pharmacokinetic Study
2.5.1. UPLC-MS/MS Method
2.5.2. Grouping and Dosing
2.5.3. Collection and Treatment of Plasma Samples
2.6. Histopathological Studies
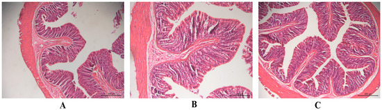
2.7. Rectal Retention Test
2.8. Pharmacodynamic Studies
3. Results and Discussion
3.1. Results of Absorption Enhancers Screening
3.1.1. Caco-2 Cell Permeation Studies
3.1.2. Franz Diffusion Cell
3.2. Optimization of the ISG Formulation
3.3. AB4-ISG Characterization
3.3.1. Gelation Temperature, Gelation Time, pH, and Viscosity
3.3.2. Gelation Strength and Bioadhesive Force
3.3.3. Stability Analysis
3.3.4. In Vitro Drug Release Analysis
3.4. Rectal Retention Test and Histopathological Studies
3.5. Pharmacokinetic Study Analysis
3.6. Pharmacodynamic Studies Analysis
3.6.1. Body Weight and DAI Scores
3.6.2. Spleen Weight and Colon Length
3.6.3. Serum Indicators
3.6.4. Colon Tissue Inflammatory Factor and MPO Activity
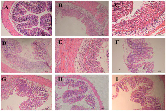
3.6.5. Histopathological Examination of Colonic Tissue
4. Conclusions
Supplementary Materials
Author Contributions
Funding
Institutional Review Board Statement
Informed Consent Statement
Data Availability Statement
Conflicts of Interest
References
- Da Silva, B.C.; Lyra, A.C.; Rocha, R.; Santana, G.O. Epidemiology, demographic characteristics and prognostic predictors of ulcerative colitis. World J. Gastroenterol. 2014, 20, 9458–9467. [Google Scholar] [CrossRef] [PubMed]
- Le Berre, C.; Honap, S.; Peyrin-Biroulet, L. Ulcerative colitis. Lancet 2023, 402, 571–584. [Google Scholar] [CrossRef] [PubMed]
- Ungaro, R.; Mehandru, S.; Allen, P.B.; Peyrin-Biroulet, L.; Colombel, J.F. Ulcerative colitis. Lancet 2017, 389, 1756–1770. [Google Scholar] [CrossRef]
- Zhang, Z.L.; Fan, H.Y.; Yang, M.Y.; Zhang, Z.K.; Liu, K. Therapeutic effect of a hydroxynaphthoquinone fraction on dextran sulfate sodium-induced ulcerative colitis. World J. Gastroenterol. 2014, 20, 15310–15318. [Google Scholar] [CrossRef]
- Liu, Y.; Zhou, M.; Yang, M.; Jin, C.; Song, Y.; Chen, J.; Gao, M.; Ai, Z.; Su, D. Pulsatilla chinensis Saponins Ameliorate Inflammation and DSS-Induced Ulcerative Colitis in Rats by Regulating the Composition and Diversity of Intestinal Flora. Front. Cell. Infect. Microbiol. 2021, 5, 728929. [Google Scholar] [CrossRef] [PubMed]
- Ji, J.; Huang, Y.; Wang, X.F.; Ma, Z.; Wu, H.G.; Im, H.; Liu, H.R.; Wu, L.Y.; Li, J. Review of Clinical Studies of the Treatment of Ulcerative Colitis Using Acupuncture and Moxibustion. Gastroenterol. Res. Pract. 2016, 2016, 9248589. [Google Scholar] [CrossRef]
- Li, Y.; Li, B.; Gou, Y.; Tian, X.; Chang, L.; Qu, C. Clinical observation of probiotics combined with mesalazine and Yiyi Baitouweng Decoction retention enema in treating mild-to-moderate ulcerative colitis. Open. Med. 2025, 20, 20241126. [Google Scholar] [CrossRef]
- Zhang, Y.; Zha, Z.; Shen, W.; Li, D.; Kang, N.; Chen, Z.; Liu, Y.; Xu, G.; Xu, Q. Anemoside B4 ameliorates TNBS-induced colitis through S100A9/MAPK/NF-κB signaling pathway. Chin. Med. 2021, 16, 11. [Google Scholar] [CrossRef]
- Ma, H.; Zhou, Z.; Chen, L.; Wang, L.; Muge, Q. Anemoside B4 prevents chronic obstructive pulmonary disease through alleviating cigarette smoke-induced inflammatory response and airway epithelial hyperplasia. Phytomedicine 2022, 107, 154431. [Google Scholar] [CrossRef]
- He, J.; Yuan, R.; Cui, X.; Cui, Y.; Han, S.; Wang, Q.Q.; Chen, Y.; Huang, L.; Yang, S.; Xu, Q.; et al. Anemoside B4 protects against Klebsiella pneumoniae and influenza virus FM1-induced pneumonia via the TLR4/Myd88 signaling pathway in mice. Chin. Med. 2020, 15, 68. [Google Scholar] [CrossRef]
- Pei, L.; He, L. Hepatoprotective effect of anemoside B4 against sepsis-induced acute liver injury through modulating the mTOR/p70S6K-mediated autophagy. Chem. Biol. Interact. 2021, 345, 109534. [Google Scholar] [CrossRef]
- Chang, Y.; Fan, T.; Huang, J. Anemoside B4 protects against IgE-dependent allergic responses by suppressing the PLC/IP3 and JAK/STAT3 pathways. Chem. Biol. Interact. 2022, 366, 110153. [Google Scholar] [CrossRef]
- He, L.; Zhang, Y.; Kang, N.; Wang, Y.; Zhang, Z.; Zha, Z.; Yang, S.; Xu, Q.; Liu, Y. Anemoside B4 attenuates nephrotoxicity of cisplatin without reducing anti-tumor activity of cisplatin. Phytomedicine 2019, 56, 136–146. [Google Scholar] [CrossRef]
- Akl, M.A.; Ismael, H.R.; Abd Allah, F.I.; Kassem, A.A.; Samy, A.M. Tolmetin sodium-loaded thermosensitive mucoadhesive liquid suppositories for rectal delivery; strategy to overcome oral delivery drawbacks. Drug Dev. Ind. Pharm. 2019, 45, 252–264. [Google Scholar] [CrossRef]
- Purohit, T.J.; Hanning, S.M.; Wu, Z. Advances in rectal drug delivery systems. Pharm. Dev. Technol. 2018, 23, 942–952. [Google Scholar] [CrossRef]
- Moqejwa, T.; Marimuthu, T.; Kondiah, P.P.D.; Choonara, Y.E. Development of Stable Nano-Sized Transfersomes as a Rectal Colloid for Enhanced Delivery of Cannabidiol. Pharmaceutics 2022, 14, 703. [Google Scholar] [CrossRef] [PubMed]
- Maher, S.; Brayden, D.J. Formulation strategies to improve the efficacy of intestinal permeation enhancers. Adv. Drug Deliv. Rev. 2021, 177, 113925. [Google Scholar] [CrossRef] [PubMed]
- Zhao, R.; Du, S.; Liu, Y.; Lv, C.; Song, Y.; Chen, X.; Zhang, B.; Li, D.; Gao, S.; Cui, W.; et al. Mucoadhesive-to-penetrating controllable peptosomes-in-microspheres co-loaded with anti-miR-31 oligonucleotide and Curcumin for targeted colorectal cancer therapy. Theranostics 2020, 10, 3594–3611. [Google Scholar] [CrossRef]
- Li, H.; Yu, Y.; Faraji Dana, S.; Li, B.; Lee, C.Y.; Kang, L. Novel engineered systems for oral, mucosal and transdermal drug delivery. J. Drug Target. 2013, 21, 611–629. [Google Scholar] [CrossRef] [PubMed]
- Liu, C.; Yan, X.; Zhang, Y.; Yang, M.; Ma, Y.; Zhang, Y.; Xu, Q.; Tu, K.; Zhang, M. Oral administration of turmeric-derived exosome-like nanovesicles with anti-inflammatory and pro-resolving bioactions for murine colitis therapy. J. Nanobiotechnol. 2022, 20, 206. [Google Scholar] [CrossRef]
- Purohit, T.J.; Hanning, S.M.; Amirapu, S.; Wu, Z. Rectal bioavailability of amoxicillin sodium in rabbits: Effects of suppository base and drug dose. J. Control. Release 2021, 338, 858–869. [Google Scholar] [CrossRef] [PubMed]
- Bialik, M.; Kuras, M.; Sobczak, M.; Oledzka, E. Achievements in Thermosensitive Gelling Systems for Rectal Administration. Int. J. Mol. Sci. 2021, 22, 5500. [Google Scholar] [CrossRef]
- Prasaja, B.; Harahap, Y.; Sandra, M.; Iskandar, I.; Lusthom, W.; Cahyaningsih, P. Rectal Administration of Ibuprofen: Comparison of Enema and Suppository Form. Drug Res. 2022, 72, 18–22. [Google Scholar] [CrossRef]
- Kolawole, O.M.; Cook, M.T. In situ gelling drug delivery systems for topical drug delivery. Eur. J. Pharm. Biopharm. 2023, 184, 36–49. [Google Scholar] [CrossRef]
- Mohananaidu, K.; Chatterjee, B.; Mohamed, F.; Mahmood, S.; Hamed Almurisi, S. Thermoreversible Carbamazepine In Situ Gel for Intranasal Delivery: Development and In Vitro, Ex Vivo Evaluation. AAPS PharmSciTech 2022, 23, 288. [Google Scholar] [CrossRef]
- Elmowafy, E.; Cespi, M.; Bonacucina, G.; Soliman, M.E. In situ composite ion-triggered gellan gum gel incorporating amino methacrylate copolymer microparticles: A therapeutic modality for buccal applicability. Pharm. Dev. Technol. 2019, 4, 1258–1271. [Google Scholar] [CrossRef]
- Tyagi, P.; Barros, M.; Stansbury, J.W.; Kompella, U.B. Light-activated, in situ forming gel for sustained suprachoroidal delivery of bevacizumab. Mol. Pharm. 2013, 10, 2858–2867. [Google Scholar] [CrossRef]
- Chen, J.; Cui, Y.; Yang, F.; Zhang, S.; Ma, Y.; Liu, J. pH-responsive in situ gelling properties of thiolated citrus high-methoxyl pectin and its potential gel mechanism. Food Res. Int. 2023, 163, 112220. [Google Scholar] [CrossRef] [PubMed]
- Kurniawansyah, I.S.; Rusdiana, T.; Sopyan, I.; Ramoko, H.; Wahab, H.A.; Subarnas, A. In situ ophthalmic gel forming systems of poloxamer 407 and hydroxypropyl methyl cellulose mixtures for sustained ocular delivery of chloramphenicole: Optimization study by factorial design. Heliyon 2020, 6, e05365. [Google Scholar] [CrossRef]
- Chowhan, A.; Giri, T.K. Polysaccharide as renewable responsive biopolymer for in situ gel in the delivery of drug through ocular route. Int. J. Biol. Macromol. 2020, 150, 559–572. [Google Scholar] [CrossRef] [PubMed]
- Zhao, Y.; Xu, J.; Shangguan, J.; Pan, H.; Lu, K.; Hu, S.; Xu, H. In situ gel-forming oil as rectally delivering platform of hydrophobic therapeutics for ulcerative colitis therapy. Int. J. Pharm. 2023, 642, 123149. [Google Scholar] [CrossRef] [PubMed]
- Wang, L.L.; Huang, S.; Guo, H.H.; Han, Y.X.; Zheng, W.S.; Jiang, J.D. In situ delivery of thermosensitive gel-mediated 5-fluorouracil microemulsion for the treatment of colorectal cancer. Drug Des. Devel Ther. 2016, 10, 2855–2867. [Google Scholar] [CrossRef] [PubMed]
- Li, Z.; Chen, L.; He, C.; Han, Y.; Han, M.; Zhang, Y.; Qi, L.; Xing, X.; Huang, W.; Gao, Z.; et al. Improving anti-tumor outcomes for colorectal cancer therapy through in situ thermosensitive gel loading harmine. Am. J. Transl. Res. 2020, 12, 1658–1671. [Google Scholar]
- Tenci, M.; Rossi, S.; Giannino, V.; Vigani, B.; Sandri, G.; Bonferoni, M.C.; Daglia, M.; Longo, L.M.; Macelloni, C.; Ferrari, F. An In Situ Gelling System for the Local Treatment of Inflammatory Bowel Disease (IBD). The Loading of Maqui (Aristotelia Chilensis) Berry Extract as an Antioxidant and Anti-Inflammatory Agent. Pharmaceutics 2019, 11, 611. [Google Scholar] [CrossRef]
- Kus, M.; Ibragimow, I.; Piotrowska-Kempisty, H. Caco-2 Cell Line Standardization with Pharmaceutical Requirements and In Vitro Model Suitability for Permeability Assays. Pharmaceutics 2023, 15, 2523. [Google Scholar] [CrossRef]
- Panse, N.; Gerk, P.M. The Caco-2 Model: Modifications and enhancements to improve efficiency and predictive performance. Int. J. Pharm. 2022, 624, 122004. [Google Scholar] [CrossRef]
- Mohamed, S.; Nasr, M.; Salama, A.; Refai, H. Novel lipid-polymer hybrid nanoparticles incorporated in thermosensitive in situ gel for intranasal delivery of terbutaline sulphate. J. Microencapsul. 2020, 37, 577–594. [Google Scholar] [CrossRef]
- Ivanova, N.A.; Trapani, A.; Franco, C.D.; Mandracchia, D.; Trapani, G.; Franchini, C.; Corbo, F.; Tripodo, G.; Kolev, I.N.; Stoyanov, G.S.; et al. In vitro and ex vivo studies on diltiazem hydrochloride-loaded microsponges in rectal gels for chronic anal fissures treatment. Int. J. Pharm. 2019, 557, 53–65. [Google Scholar] [CrossRef]
- Lei, X.; Zhang, G.; Yang, T.; Wu, Y.; Peng, Y.; Wang, T.; Li, D.; Liu, Q.; Wang, C.; Zhang, G. Preparation and In Vitro and In Vivo Evaluation of Rectal In Situ Gel of Meloxicam Hydroxypropyl-β-cyclodextrin Inclusion Complex. Molecules 2023, 28, 4099. [Google Scholar] [CrossRef]
- Chen, L.; Han, X.; Xu, X.; Zhang, Q.; Zeng, Y.; Su, Q.; Liu, Y.; Sheng, Y.; Xie, X. Optimization and Evaluation of the Thermosensitive In Situ and Adhesive Gel for Rectal Delivery of Budesonide. AAPS PharmSciTech 2020, 21, 97. [Google Scholar] [CrossRef] [PubMed]
- Ozgüney, I.; Kardhiqi, A.; Yıldız, G.; Ertan, G. In vitro-in vivo evaluation of in situ gelling and thermosensitive ketoprofen liquid suppositories. Eur. J. Drug Metab. Pharmacokinet. 2014, 39, 283–291. [Google Scholar] [CrossRef]
- Yong, C.S.; Choi, Y.K.; Kim, Y.I.; Park, B.J.; Quan, Q.Z.; Rhee, J.D.; Kim, C.K.; Choi, H.G. Physicochemical characterization and in vivo evaluation of thermosensitive diclofenac liquid suppository. Arch. Pharm. Res. 2003, 26, 162–167. [Google Scholar] [PubMed]
- Seo, Y.G.; Kim, D.W.; Yeo, W.H.; Ramasamy, T.; Oh, Y.K.; Park, Y.J.; Kim, J.A.; Oh, D.H.; Ku, S.K.; Kim, J.K.; et al. Docetaxel-loaded thermosensitive and bioadhesive nanomicelles as a rectal drug delivery system for enhanced chemotherapeutic effect. Pharm. Res. 2013, 30, 1860–1870. [Google Scholar] [CrossRef]
- ICH Harmonised Tripartite. Q1A(R2) Stability Testing of New Drug Substances and Products; Guideline; ICH Harmonised Tripartite: London, UK, 2022. [Google Scholar]
- ICH Harmonised Tripartite. Q1B Photostability Testing of New Drug Substance and Products; Guideline; ICH Harmonised Tripartite: London, UK, 2024. [Google Scholar]
- Ghadiri, M.; Young, P.M.; Traini, D. Strategies to Enhance Drug Absorption via Nasal and Pulmonary Routes. Pharmaceutics 2019, 11, 113. [Google Scholar] [CrossRef]
- Tran, H.; Aihara, E.; Mohammed, F.A.; Qu, H.; Riley, A.; Su, Y.; Lai, X.; Huang, S.; Aburub, A.; Chen, J.J.H.; et al. In Vivo Mechanism of Action of Sodium Caprate for Improving the Intestinal Absorption of a GLP1/GIP Coagonist Peptide. Mol. Pharm. 2023, 20, 929–941. [Google Scholar] [CrossRef]
- Saitoh, H.; Takami, K.; Ohnari, H.; Chiba, Y.; Ikeuchi-Takahashi, Y.; Obata, Y. Effects and Mode of Action of Oleic Acid and Tween 80 on Skin Permeation of Disulfiram. Chem. Pharm. Bull. 2023, 71, 289–298. [Google Scholar] [CrossRef]
- Kamei, N.; Khafagy, E.S.; Hirose, J.; Takeda-Morishita, M. Potential of single cationic amino acid molecule “Arginine” for stimulating oral absorption of insulin. Int. J. Pharm. 2017, 521, 176–183. [Google Scholar] [CrossRef]
- Pamlényi, K.; Kristó, K.; Sovány, T.; Regdon, G., Jr. Development and evaluation of bioadhesive buccal films based on sodium alginate for allergy therapy. Heliyon 2022, 8, e10364. [Google Scholar] [CrossRef] [PubMed]
- Song, W.; Bai, L.; Xu, P.; Zhao, Y.; Zhou, X.; Xiong, J.; Li, X.; Xue, M. Long-Circulating and Brain-Targeted Liposomes Loaded with Isoliquiritigenin: Formation, Characterization, Pharmacokinetics, and Distribution. Pharmaceutics 2024, 16, 975. [Google Scholar] [CrossRef] [PubMed]
- Xu, Y.; Zhu, B.W.; Sun, R.; Li, X.; Wu, D.; Hu, J.N. Colon-Targeting Angelica sinensis Polysaccharide Nanoparticles with Dual Responsiveness for Alleviation of Ulcerative Colitis. ACS Appl. Mater. Interfaces 2023, 15, 26298–26315. [Google Scholar] [CrossRef]
- Xu, Y.; Zhu, B.W.; Li, X.; Li, Y.F.; Ye, X.M.; Hu, J.N. Glycogen-based pH and redox sensitive nanoparticles with ginsenoside Rh2 for effective treatment of ulcerative colitis. Biomaterials 2022, 280, 121077. [Google Scholar] [CrossRef] [PubMed]
- Xue, P.; Wang, L.; Xu, J.; Liu, J.; Pan, X.; Zhao, Y.; Xu, H. Temperature-sensitive hydrogel for rectal perfusion improved the therapeutic effect of Kangfuxin liquid on DSS-induced ulcerative colitis mice: The inflammation alleviation and the colonic mucosal barriers repair. Int. J. Pharm. 2020, 589, 119846. [Google Scholar] [CrossRef] [PubMed]








 F: HP-β-CD-AB4-ISG low-dose group,
F: HP-β-CD-AB4-ISG low-dose group,  G: HP-β-CD-AB4-ISG high-dose group,
G: HP-β-CD-AB4-ISG high-dose group,  H: SC-AB4-ISG low-dose group, and
H: SC-AB4-ISG low-dose group, and  I: SC-AB4-ISG high-dose group. Compared with the blank group, *** p < 0.001; compared with the positive group, # p < 0.05, ## p < 0.01, and ### p < 0.001.
I: SC-AB4-ISG high-dose group. Compared with the blank group, *** p < 0.001; compared with the positive group, # p < 0.05, ## p < 0.01, and ### p < 0.001.
   F: HP-β-CD-AB4-ISG low-dose group,
F: HP-β-CD-AB4-ISG low-dose group,  G: HP-β-CD-AB4-ISG high-dose group,
G: HP-β-CD-AB4-ISG high-dose group,  H: SC-AB4-ISG low-dose group, and
H: SC-AB4-ISG low-dose group, and  I: SC-AB4-ISG high-dose group. Compared with the blank group, *** p < 0.001; compared with the positive group, # p < 0.05, ## p < 0.01, and ### p < 0.001.
I: SC-AB4-ISG high-dose group. Compared with the blank group, *** p < 0.001; compared with the positive group, # p < 0.05, ## p < 0.01, and ### p < 0.001.



| Formulation | P407% | P188% | HPMC% | Prediction of Gel Temperature (°C) | Measured Gel Temperature (°C) | Deviation (%) | 
|---|---|---|---|---|---|---|
| 1 | 17.41 | 4.07 | 0.44 | 32 | 32.10 ± 0.10 | 0.31 | 
| 2 | 17.67 | 4.84 | 0.34 | 32 | 33.43 ± 0.10 | 4.38 | 
| 3 | 17.50 | 4.34 | 0.31 | 32 | 33.36 ± 0.26 | 4.06 | 
| Sampling Time (d) | 0 | 2 | 5 | 10 | |||
|---|---|---|---|---|---|---|---|
| State | |||||||
| High temperature | Appearance | Clear and transparent gel | |||||
| Gelation temperature/°C | HP-β-CD | / | / | / | / | ||
| SC | / | / | / | / | |||
| Content/% | HP-β-CD | 100% | 96.94 ± 1.54 | 96.03 ± 0.96 | 95.35 ± 0.33 | ||
| SC | 100% | 93.81 ± 0.32 | 85.72 ± 1.05 | 79.57 ± 0.87 | |||
| Stratification | No | ||||||
| Low temperature | Appearance | Clear and transparent liquid | |||||
| Gelation temperature/°C | HP-β-CD | 32.77 ± 0.15 | 32.79 ± 0.03 | 31.96 ± 0.53 | 32.03 ± 0.96 | ||
| SC | 35.87 ± 0.15 | 35.74 ± 0.52 | 35.32 ± 0.57 | 35.63 ± 1.12 | |||
| Content/% | HP-β-CD | 100% | 99.94 ± 0.12 | 99.03 ± 0.85 | 98.87 ± 0.39 | ||
| SC | 100% | 99.81 ± 0.51 | 99.12 ± 0.94 | 98.93 ± 0.89 | |||
| Stratification | No | ||||||
| High humidity | Appearance | Clear and transparent liquid | |||||
| Gelation temperature/°C | HP-β-CD | 33.05 ± 0.43 | 32.45 ± 0.54 | 32.07 ± 0.96 | 32.85 ± 0.43 | ||
| SC | 36.25 ± 0.87 | 35.56 ± 0.85 | 35.07 ± 1.57 | 35.96 ± 0.35 | |||
| Content/% | HP-β-CD | 100% | 99.28 ± 0.54 | 98.32 ± 0.69 | 98.53 ± 1.57 | ||
| SC | 100% | 99.32 ± 0.38 | 98.93 ± 0.89 | 98.01 ± 0.23 | |||
| Stratification | No | ||||||
| High-intensity light | appearance | Clear and transparent liquid | |||||
| Gelation temperature/°C | HP-β-CD | 32.65 ± 0.05 | 32.58 ± 0.13 | 33.23 ± 0.86 | 32.98 ± 0.52 | ||
| SC | 35.82 ± 0.35 | 35.56 ± 0.85 | 35.02 ± 0.32 | 34.73 ± 1.29 | |||
| Content/% | HP-β-CD | 100% | 99.75 ± 1.03 | 99.54 ± 0.23 | 99.21 ± 1.57 | ||
| SC | 100% | 98.51 ± 1.58 | 98.28 ± 0.59 | 97.34 ± 1.04 | |||
| Stratification | No | ||||||
| Days | A | B | C | D | E | F | G | H | I | 
|---|---|---|---|---|---|---|---|---|---|
| 1 | 0 | 0 | 0 | 0 | 0 | 0 | 0 | 0 | 0 | 
| 2 | 0 | 1.00 ± 1.00 | 0.67 ± 0.58 | 0.67 ± 0.58 | 0.67 ± 0.58 | 0.67 ± 0.58 | 0.67 ± 0.58 | 0.67 ± 0.58 | 0.67 ± 0.58 | 
| 3 | 0 | 1.33 ± 1.15 * | 1.33 ± 0.58 | 1.00 ± 1.00 | 1.33 ± 0.58 | 1.33 ± 1.15 | 1.00 ± 0.00 | 0.67 ± 0.58 **# | 0.67 ± 0.58 **# | 
| 4 | 0 | 2.67 ±1.00 ** | 1.67 ± 0.58 ** | 1.67 ± 0.58 **# | 1.67 ± 0.58 **# | 1.67 ± 0.58 **# | 1.67 ± 0.58 **# | 1.33 ± 0.58 ***## | 1.33 ± 0.58 ***## | 
| 5 | 0 | 3.10 ± 0.34 ** | 2.67 ± 0.58 * | 2.33 ± 1.15 *# | 2.67 ± 0.58 *# | 2.33 ± 1.15 **# | 2.67 ± 0.58 **# | 1.33 ± 0.58 ***## | 1.53 ± 0.67 ***## | 
| 6 | 0 | 3.52 ± 0.93 ** | 2.80 ± 1.73 ** | 2.42 ± 1.53 **# | 2.70 ± 1.73 **# | 2.67 ± 1.53 **# | 2.33 ± 1.15 **# | 2.33 ± 1.15 **# | 1.67 ± 1.09 ***# | 
| 7 | 0 | 3.67 ± 0.58 ** | 3.03 ± 1.15 * | 2.67 ± 1.15 **# | 2.83 ± 1.15 **# | 2.37 ± 1.15 **# | 2.53 ± 1.73 **# | 2.33 ± 1.15 **# | 2.33 ± 1.15 **# | 
| Disclaimer/Publisher’s Note: The statements, opinions and data contained in all publications are solely those of the individual author(s) and contributor(s) and not of MDPI and/or the editor(s). MDPI and/or the editor(s) disclaim responsibility for any injury to people or property resulting from any ideas, methods, instructions or products referred to in the content. | 
© 2025 by the authors. Licensee MDPI, Basel, Switzerland. This article is an open access article distributed under the terms and conditions of the Creative Commons Attribution (CC BY) license (https://creativecommons.org/licenses/by/4.0/).
Share and Cite
Lei, X.; Wang, C.; Xia, M.; Zhang, G.; Wang, T.; Chen, Y.; Huang, Y.; Wang, T.; Li, D.; Zhang, W.; et al. Anemoside B4 Rectal Thermosensitive In Situ Gel to Treat Ulcerative Colitis by Overcoming Oral Bioavailability Barriers with Absorption Enhancer-Assisted Delivery. Pharmaceutics 2025, 17, 1400. https://doi.org/10.3390/pharmaceutics17111400
Lei X, Wang C, Xia M, Zhang G, Wang T, Chen Y, Huang Y, Wang T, Li D, Zhang W, et al. Anemoside B4 Rectal Thermosensitive In Situ Gel to Treat Ulcerative Colitis by Overcoming Oral Bioavailability Barriers with Absorption Enhancer-Assisted Delivery. Pharmaceutics. 2025; 17(11):1400. https://doi.org/10.3390/pharmaceutics17111400
Chicago/Turabian StyleLei, Xiaomeng, Canjian Wang, Mingyan Xia, Guansheng Zhang, Tangxun Wang, Yang Chen, Yufang Huang, Tiantian Wang, Dongxun Li, Wenliu Zhang, and et al. 2025. "Anemoside B4 Rectal Thermosensitive In Situ Gel to Treat Ulcerative Colitis by Overcoming Oral Bioavailability Barriers with Absorption Enhancer-Assisted Delivery" Pharmaceutics 17, no. 11: 1400. https://doi.org/10.3390/pharmaceutics17111400
APA StyleLei, X., Wang, C., Xia, M., Zhang, G., Wang, T., Chen, Y., Huang, Y., Wang, T., Li, D., Zhang, W., & Zhang, G. (2025). Anemoside B4 Rectal Thermosensitive In Situ Gel to Treat Ulcerative Colitis by Overcoming Oral Bioavailability Barriers with Absorption Enhancer-Assisted Delivery. Pharmaceutics, 17(11), 1400. https://doi.org/10.3390/pharmaceutics17111400
 
        
 
                                                
 
                         
       