Anti-Hyperpigmentation-Related Potential Activities in B16BL6 Cells and Chemical Composition of Essential Oil from Chamaecyparis pisifera Leaves
Abstract
1. Introduction
2. Materials and Methods
2.1. Materials
2.2. Preparation of C. pisifera var. filifera Leaf Essential Oil
2.3. Analysis and Identification of Compounds in C. pisifera var. filifera Leaf Essential Oil
2.4. Cell Culture
2.5. Cell Viability Assay
2.6. Proliferation Assay
2.7. Melanin Content Assay
2.8. Tyrosinase Activity Assays
2.9. Western Blotting
2.10. UVA Irradiation
2.11. Statistical Analysis
3. Results
3.1. Chemical Analysis of CPEO
3.2. Effects of CPEO on the Viability and Proliferation of B16BL6 Cells
3.3. Changes in Melanin Synthesis and Tyrosinase Activity in CPEO-Exposed B16BL6 Cells
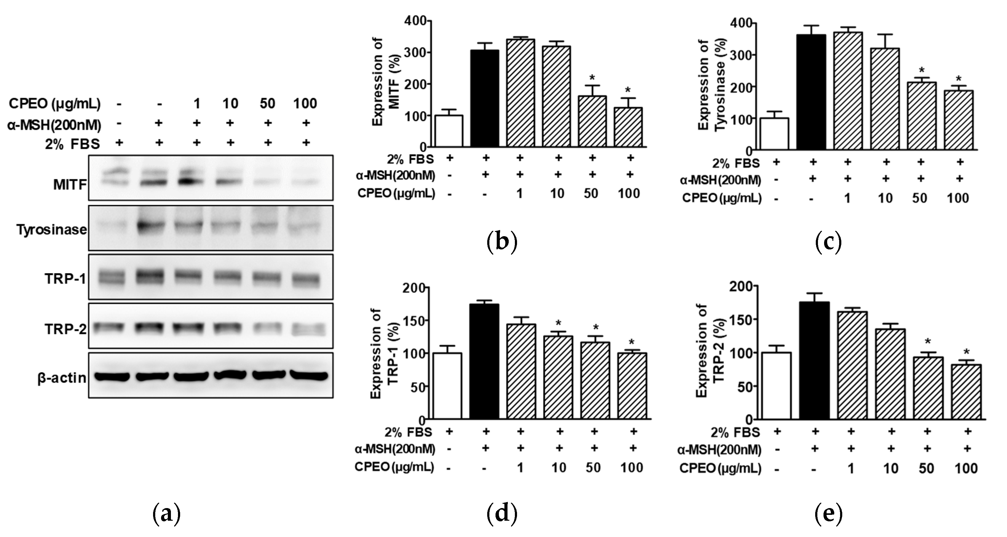
3.4. Changes in the Expressions of Melanogenesis-Regulator Molecules in CPEO-Exposed B16BL6 Cells
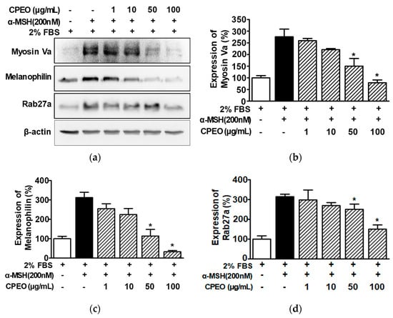
3.5. Altered Levels of Melanosome Transport-Associated Proteins in B16BL6 Cells Following CPEO Treatment
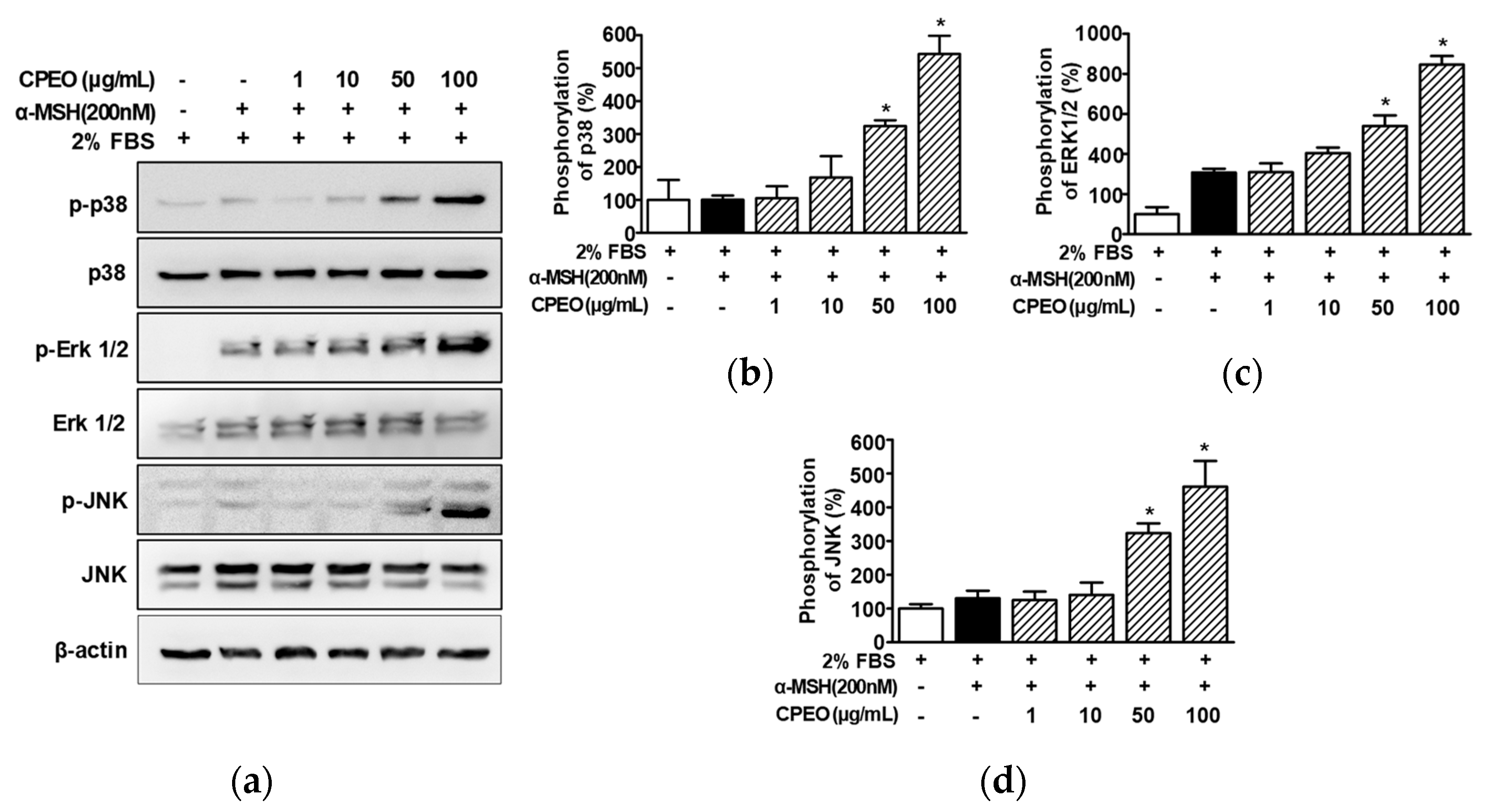
3.6. Changes in the Activations of MAPKs in CPEO-Treated B16BL6 Cells
3.7. Effect of CPEO on Tyrosinase Activity and Melanin Synthesis in B16BL6 Cells Exposed to Conditioned Medium Collected from UVA-Irradiated HaCaT Cells
4. Discussion
Author Contributions
Funding
Institutional Review Board Statement
Informed Consent Statement
Data Availability Statement
Conflicts of Interest
Abbreviations
| α-MSH | α-Melanocyte-stimulating hormone |
| BSA | Bovine serum albumin |
| BrdU | 5-Bromo-2′-deoxyuridine |
| CPEO | C. pisifera var. filifera leaf essential oil |
| DMEM | Dulbecco’s modified eagle medium |
| FBS | Fetal bovine serum |
| GC/MS | Gas chromatography/mass spectrometry |
| MEM | Minimum essential medium |
| P/S | Penicillin/streptomycin |
| RT | Room temperature |
| UV | Ultraviolet |
References
- Guo, L.; Li, W.; Gu, Z.; Wang, L.; Guo, L.; Ma, S.; Li, C.; Sun, J.; Han, B.; Chang, J. Recent advances and progress on melanin: From source to application. Int. J. Mol. Sci. 2023, 24, 4360. [Google Scholar] [CrossRef]
- Pillaiyar, T.; Manickam, M.; Jung, S.H. Recent development of signaling pathways inhibitors of melanogenesis. Cell Signal. 2017, 40, 99–115. [Google Scholar] [CrossRef]
- Frey, C.; Grimes, P.; Callender, V.D.; Alexis, A.; Baldwin, H.; Elbuluk, N.; Farris, P.; Taylor, S.; Desai, S.R. Thiamidol: A breakthrough innovation in the treatment of hyperpigmentation. J. Drugs Dermatol. 2025, 24, 608–616. [Google Scholar] [CrossRef]
- Nautiyal, A.; Wairkar, S. Management of hyperpigmentation: Current treatments and emerging therapies. Pigment Cell Melanoma Res. 2021, 34, 1000–1014. [Google Scholar] [CrossRef] [PubMed]
- Ohbayashi, N.; Fukuda, M. Role of Rab family GTPases and their effectors in melanosomal logistics. J. Biochem. 2012, 151, 343–351. [Google Scholar] [CrossRef] [PubMed]
- Boissy, R.E. Melanosome transfer to and translocation in the keratinocyte. Exp. Dermatol. 2003, 12, 5–12. [Google Scholar] [CrossRef] [PubMed]
- Xie, Y.; Mei, X.; Shi, W. Kaempferol promotes melanogenesis and reduces oxidative stress in PIG1 normal human skin melanocytes. J. Cell. Mol. Med. 2023, 27, 982–990. [Google Scholar] [CrossRef]
- Qian, W.; Liu, W.; Zhu, D.; Cao, Y.; Tang, A.; Gong, G.; Su, H. Natural skin-whitening compounds for the treatment of melanogenesis (Review). Exp. Ther. Med. 2020, 20, 173–185. [Google Scholar] [CrossRef]
- Kim, K.; Huh, Y.; Lim, K.M. Anti-pigmentary natural compounds and their mode of action. Int. J. Mol. Sci. 2021, 22, 6206. [Google Scholar] [CrossRef]
- Choi, H.; Yoon, J.H.; Youn, K.; Jun, M. Decursin prevents melanogenesis by suppressing MITF expression through the regulation of PKA/CREB, MAPKs, and PI3K/Akt/GSK-3β cascades. Biomed. Pharmacother. 2022, 147, 112651. [Google Scholar] [CrossRef]
- Li, Y.; Huang, J.; Lu, J.; Ding, Y.; Jiang, L.; Hu, S.; Chen, J.; Zeng, Q. The role and mechanism of Asian medicinal plants in treating skin pigmentary disorders. J. Ethnopharmacol. 2019, 245, 112173. [Google Scholar] [CrossRef]
- Ye, Y.; Chu, J.H.; Wang, H.; Xu, H.; Chou, G.X.; Leung, A.K.; Fong, W.F.; Yu, Z.L. Involvement of p38 MAPK signaling pathway in the anti-melanogenic effect of San-bai-tang, a Chinese herbal formula, in B16 cells. J. Ethnopharmacol. 2010, 132, 533–535. [Google Scholar] [CrossRef] [PubMed]
- Seabra, M.C.; Coudrier, E. Rab GTPases and myosin motors in organelle motility. Traffic 2004, 5, 393–399. [Google Scholar] [CrossRef] [PubMed]
- Kuroda, T.S.; Itoh, T.; Fukuda, M. Functional analysis of slac2-a/melanophilin as a linker protein between Rab27A and myosin Va in melanosome transport. Methods Enzymol. 2005, 403, 419–431. [Google Scholar] [CrossRef] [PubMed]
- Lambert, J.; Onderwater, J.; Vander Haeghen, Y.; Vancoillie, G.; Koerten, H.K.; Mommaas, A.M.; Naeyaert, J.M. Myosin V colocalizes with melanosomes and subcortical actin bundles not associated with stress fibers in human epidermal melanocytes. J. Investig. Dermatol. 1998, 111, 835–840. [Google Scholar] [CrossRef][Green Version]
- Perry, L.M. Medicinal Plants of East and Southeast Asia; The MIT press: Cambridge, UK, 1980; pp. 311–312. [Google Scholar]
- Hwang, G.S.; Phuong, N.T.; Park, K.R.; Kim, Y.H.; Kim, K.H.; Kang, J.S. Distribution of (-)-yatein in Cupressaceae family analysed by high performance liquid chromatography. Arch. Pharm. Res. 2004, 27, 35–39. [Google Scholar] [CrossRef]
- Wang, S.Y.; Wu, C.L.; Chu, F.H.; Chien, S.C.; Kuo, Y.H.; Shyur, L.F.; Chang, S.T. Chemical composition and antifungal activity of essential oil isolated from Chemaecyparis formosensis Matsum. wood. Holzforshung 2005, 59, 295–299. [Google Scholar] [CrossRef]
- Gao, H.; Shupe, T.F.; Hse, C.Y.; Eberhardt, T.L.; Usda, F.S. Antioxidant activity of extracts from the bark of Chamaecyparis lawsoniana (A. Murry) parl. Holzforchung 2006, 60, 459–462. [Google Scholar] [CrossRef]
- Jang, Y.S.; Lee, C.H.; Kim, M.K.; Kim, J.H.; Lee, S.H.; Lee, H.S. Acaricidal activity of active constituent isolated in Chamaecyparis obtusa leaves against Dermatophagoides spp. J. Agric. Food Chem. 2005, 53, 1934–1937. [Google Scholar] [CrossRef]
- Kuo, P.M.; Chu, F.H.; Chang, S.T.; Hsiao, W.F.; Wang, S.Y. Insecticidal activity of essential oil from Chamaecyparis formosensis matsum. Holzforschung 2007, 61, 595–599. [Google Scholar] [CrossRef]
- Pettit, G.R.; Tan, R.; Northen, J.S.; Herald, D.L.; Chapuis, J.C.; Pettit, R.K. Antineoplastic agents. 529. Isolation and structure of nootkastatins 1 and 2 from the Alaskan yellow cedar Chamaecyparis nootkatensis. J. Nat. Prod. 2004, 67, 1476–1482. [Google Scholar] [CrossRef]
- Park, C.; Woo, H.; Park, M.J. Development of Pinaceae and Cupressaceae essential oils from forest waste in South Korea. Plants 2023, 12, 3409. [Google Scholar] [CrossRef]
- Xiao, D.; Kuroyanagi, M.; Itani, T.; Matsuura, H.; Udayama, M.; Murakami, M.; Umehara, K.; Kawahara, N. Studies on constituents from Chamaecyparis pisifera and antibacterial activity of diterpenes. Chem. Pharm. Bull. 2001, 49, 1479–1481. [Google Scholar] [CrossRef]
- Park, C.; Woo, H. Development of native essential oils from forestry resources in South Korea. Life 2022, 12, 1995. [Google Scholar] [CrossRef]
- Kovats, E. Gas chromatographic characterization of organic substances in the retention index system. Adv. Chromatogr. 1965, 1, 229–247. [Google Scholar]
- Adams, R.P. Identification of Essential Oil Components by Gas Chromatography/Mass Spectrometry, 4th ed.; Allured Publishing Corporation: Carol Stream, IL, USA, 2007. [Google Scholar]
- Kim, D.Y.; Won, K.J.; Kim, Y.Y.; Yoo, D.Y.; Lee, H.M. Potential wound healing and anti-melanogenic activities in skin cells of Aralia elata (Miq.) Seem. flower essential oil and its chemical composition. Pharmaceutics 2024, 16, 1008. [Google Scholar] [CrossRef] [PubMed]
- Lee, D.K.; Won, K.J.; Kim, D.Y.; Kim, Y.Y.; Lee, H.M. Chemical composition and skin-whitening activities of Siegesbeckia glabrescens Makino flower absolute in melanocytes. Plants 2023, 12, 3930. [Google Scholar] [CrossRef] [PubMed]
- Chen, H.; Weng, Q.Y.; Fisher, D.E. UV signaling pathways within the skin. J. Investig. Dermatol. 2014, 134, 2080–2085. [Google Scholar] [CrossRef]
- Chen, S.J.; Hseu, Y.C.; Gowrisankar, Y.V.; Chung, Y.T.; Zhang, Y.Z.; Way, T.D.; Yang, H.L. The anti-melanogenic effects of 3-O-ethyl ascorbic acid via Nrf2-mediated α-MSH inhibition in UVA-irradiated keratinocytes and autophagy induction in melanocytes. Free Radic. Biol. Med. 2021, 173, 151–169. [Google Scholar] [CrossRef]
- Hu, Y.; Zeng, H.; Huang, J.; Jiang, L.; Chen, J.; Zeng, Q. Traditional Asian herbs in skin whitening: The current development and limitations. Front. Pharmacol. 2020, 11, 982. [Google Scholar] [CrossRef]
- Kim, J.H.; Baek, S.H.; Kim, D.H.; Choi, T.Y.; Yoon, T.J.; Hwang, J.S.; Kim, M.R.; Kwon, H.J.; Lee, C.H. Downregulation of melanin synthesis by haginin A and its application to in vivo lightening model. J. Investig. Dermatol. 2008, 128, 1227–1235. [Google Scholar] [CrossRef]
- Insaf, A.; Parveen, R.; Gautam, G.; Samal, M.; Zahiruddin, S.; Ahmad, S. A comprehensive study to explore tyrosinase inhibitory medicinal plants and respective phytochemicals for hyperpigmentation; molecular approach and future perspectives. Curr. Pharm. Biotechnol. 2023, 24, 780–813. [Google Scholar] [CrossRef] [PubMed]
- Chao, W.W.; Su, C.C.; Peng, H.Y.; Chou, S.T. Melaleuca quinquenervia essential oil inhibits α-melanocyte-stimulating hormone-induced melanin production and oxidative stress in B16 melanoma cells. Phytomedicine 2017, 34, 191–201. [Google Scholar] [CrossRef] [PubMed]
- Capetti, F.; Tacchini, M.; Marengo, A.; Cagliero, C.; Bicchi, C.; Rubiolo, P.; Sgorbini, B. Citral-containing essential oils as potential tyrosinase inhibitors: A bio-guided fractionation approach. Plants 2021, 10, 969. [Google Scholar] [CrossRef]
- Yang, J.; Lee, S.Y.; Jang, S.K.; Kim, K.J.; Park, M.J. Inhibition of melanogenesis by essential oils from the citrus cultivars peels. Int. J. Mol. Sci. 2023, 24, 4207. [Google Scholar] [CrossRef]
- D’Mello, S.A.; Finlay, G.J.; Baguley, B.C.; Askarian-amiri, M.E. Signaling pathways in melanogenesis. Int. J. Mol. Sci. 2016, 17, 1144. [Google Scholar] [CrossRef]
- Zhang, J.; Li, Y.; Wu, Y.; Yang, T.; Yang, K.; Wang, R.; Yang, J.; Guo, H. Wnt5a inhibits the proliferation and melanogenesis of melanocytes. Int. J. Med. Sci. 2013, 10, 699–706. [Google Scholar] [CrossRef]
- Makino, E.T.; Mehta, R.C.; Banga, A.; Jain, P.; Sigler, M.L.; Sonti, S. Evaluation of a hydroquinone-free skin brightening product using in vitro inhibition of melanogenesis and clinical reduction of ultraviolet-induced hyperpigmentation. J. Drugs Dermatol. 2013, 12, s16–s20. [Google Scholar] [PubMed]
- Maeda, K.; Yokokawa, Y.; Hatao, M.; Naganuma, M.; Tomita, Y. Comparison of the melanogenesis in human black and light brown melanocytes. J. Dermatol. Sci. 1997, 14, 199–206. [Google Scholar] [CrossRef]
- Lee, R.; Ko, H.J.; Kim, K.; Sohn, Y.; Min, S.Y.; Kim, J.A.; Na, D.; Yeon, J.H. Anti-melanogenic effects of extracellular vesicles derived from plant leaves and stems in mouse melanoma cells and human healthy skin. J. Extracell. Vesicles 2019, 9, 1703480. [Google Scholar] [CrossRef]
- Joo, I.H.; Choi, J.H.; Kim, D.H.; Chung, M.J.; Lim, M.H. Ligularia fischeri ethanol extract: An inhibitor of alpha-melanocyte-stimulating hormone-stimulated melanogenesis in B16F10 melanoma cells. J. Cosmet. Dermatol. 2023, 22, 637–644. [Google Scholar] [CrossRef]
- Van Den Bossche, K.; Naeyaert, J.M.; Lambert, J. The quest for the mechanism of melanin transfer. Traffic 2006, 7, 769–778. [Google Scholar] [CrossRef]
- Ku, K.E.; Choi, N.; Sung, J.H. Inhibition of Rab27a and Rab27b has opposite effects on the regulation of hair cycle and hair growth. Int. J. Mol. Sci. 2020, 21, 5672. [Google Scholar] [CrossRef] [PubMed]
- Lv, J.; Yang, Y.; Jia, B.; Li, S.; Zhang, X.; Gao, R. The inhibitory effect of curcumin derivative J147 on melanogenesis and melanosome transport by facilitating ERK-mediated MITF degradation. Front. Pharmacol. 2021, 12, 783730. [Google Scholar] [CrossRef]
- Fukuda, M. Rab GTPases: Key players in melanosome biogenesis, transport, and transfer. Pigment Cell. Melanoma Res. 2021, 34, 222–235. [Google Scholar] [CrossRef]
- Van Gele, M.; Dynoodt, P.; Lambert, J. Griscelli syndrome: A model system to study vesicular trafficking. Pigment Cell. Melanoma Res. 2009, 22, 268–282. [Google Scholar] [CrossRef]
- Kudo, M.; Kobayashi-Nakamura, K.; Tsuji-Naito, K. Bifunctional effects of O-methylated flavones from Scutellaria baicalensis Georgi on melanocytes: Inhibition of melanin production and intracellular melanosome transport. PLoS ONE 2017, 12, e0171513. [Google Scholar] [CrossRef]
- Van Gele, M.; Geusens, B.; Schmitt, A.M.; Aguilar, L.; Lambert, J. Knockdown of myosin Va isoforms by RNAi as a tool to block melanosome transport in primary human melanocytes. J. Investig. Dermatol. 2008, 128, 2474–2484. [Google Scholar] [CrossRef]
- Liu, J.; Jiang, R.; Zhou, J.; Xu, X.; Sun, Z.; Li, J.; Chen, X.; Li, Z.; Yan, X.; Zhao, D.; et al. Salicylic acid in ginseng root alleviates skin hyperpigmentation disorders by inhibiting melanogenesis and melanosome transport. Eur. J. Pharmacol. 2021, 910, 174458. [Google Scholar] [CrossRef] [PubMed]
- Park, J.I.; Lee, H.Y.; Lee, J.E.; Myung, C.H.; Hwang, J.S. Inhibitory effect of 2-methyl-naphtho[1,2,3-de]quinolin-8-one on melanosome transport and skin pigmentation. Sci. Rep. 2016, 6, 29189. [Google Scholar] [CrossRef] [PubMed]
- Choi, B.M.; Kim, M.; Hong, H.; Park, T.J.; Kim, C.; Park, J.S.; Chi, W.J.; Kim, S.Y. Melanin inhibitory effect of Tuber himalayense isolated in Incheon, Korea. J. Microbiol. Biotechnol. 2024, 34, 949–957. [Google Scholar] [CrossRef]
- Lim, J.; Nam, S.; Li, H.; Yang, Y.; Lee, M.S.; Lee, H.G.; Ryu, J.H.; Lim, J.S. Antimelanogenic effect of 4-hydroxylonchocarpin through the inhibition of tyrosinase-related proteins and MAPK phosphatase. Exp. Dermatol. 2016, 25, 574–576. [Google Scholar] [CrossRef]
- Alam, M.B.; Ahmed, A.; Motin, M.A.; Kim, S.; Lee, S.H. Attenuation of melanogenesis by Nymphaea nouchali (Burm. f) flower extract through the regulation of cAMP/CREB/MAPKs/MITF and proteasomal degradation of tyrosinase. Sci. Rep. 2018, 8, 13928. [Google Scholar] [CrossRef]
- Han, H.; Hyun, C. Acenocoumarol, an anticoagulant drug, prevents melanogenesis in B16F10 melanoma cells. Pharmaceuticals 2023, 16, 604. [Google Scholar] [CrossRef] [PubMed]
- Ko, H.H.; Chiang, Y.C.; Tsai, M.H.; Liang, C.J.; Hsu, L.F.; Li, S.Y.; Wang, M.C.; Yen, F.L.; Lee, C.W. Eupafolin, a skin whitening flavonoid isolated from Phyla nodiflora, downregulated melanogenesis: Role of MAPK and Akt pathways. J. Ethnopharmacol. 2014, 151, 386–393. [Google Scholar] [CrossRef] [PubMed]
- Oh, J.H.; Karadeniz, F.; Seo, Y.; Kong, C.S. Dietary flavonoid myricetin 3-O-galactoside suppresses α-melanocyte stimulating hormone-induced melanogenesis in B16F10 melanoma cells by regulating PKA and ERK1/2 activation. Z. Naturforsch. C. J. Biosci. 2023, 78, 399–407. [Google Scholar] [CrossRef] [PubMed]
- Hseu, Y.C.; Chen, X.Z.; Vudhya Gowrisankar, Y.; Yen, H.R.; Chuang, J.Y.; Yang, H.L. The skin-whitening effects of ectoine via the suppression of α-MSH-stimulated melanogenesis and the activation of antioxidant Nrf2 pathways in UVA-irradiated keratinocytes. Antioxidants 2020, 9, 63. [Google Scholar] [CrossRef]







| No | Component Name | RT 1 (min) | RI 2 | Area (%) | |
|---|---|---|---|---|---|
| Observed | Literature | ||||
| 1 | Tricyclene | 17.09 | 918 | 918 | 0.78 |
| 2 | α-Phellandrene | 17.36 | 920 | 920 | 0.12 |
| 3 | (+)-α-Pinene | 18.17 | 927 | 929 | 21.33 |
| 4 | α-Fenchene | 19.78 | 941 | 941 | 0.69 |
| 5 | Camphene | 19.97 | 942 | 942 | 1.52 |
| 6 | 3,7,7-trimethylcyclohepta-1,3,5-triene | 22.63 | 964 | 970 | 0.18 |
| 7 | Sabinene | 22.85 | 966 | 966 | 0.09 |
| 8 | β-Pinene | 23.52 | 972 | 972 | 0.50 |
| 9 | Myrcene | 25.30 | 987 | 987 | 17.51 |
| 10 | 3-Carene | 28.45 | 1009 | 1009 | 12.47 |
| 11 | P-Cymene | 31.56 | 1028 | 1028 | 0.35 |
| 12 | (-)-Limonene | 32.48 | 1033 | 1031 | 5.04 |
| 13 | β-Phellandrene | 32.75 | 1035 | 1035 | 0.11 |
| 14 | γ-Terpinene | 38.74 | 1071 | 1071 | 0.25 |
| 15 | Terpinolene | 41.69 | 1089 | 1089 | 0.11 |
| 16 | Isoterpinolene | 42.09 | 1091 | 1091 | 1.67 |
| 17 | α,p-Dimethylstyrene | 42.64 | 1094 | 1094 | 0.45 |
| 18 | Camphor | 46.92 | 1151 | 1151 | 0.09 |
| 19 | Linalool | 47.39 | 1158 | 1140 | 0.19 |
| 20 | (-)-Borneol | 48.45 | 1175 | 1173 | 0.17 |
| 21 | 4-Carvomenthenol | 48.95 | 1182 | 1182 | 0.12 |
| 22 | Nonanal | 50.60 | 1206 | 1206 | 0.05 |
| 23 | (-)-Bornyl acetate | 56.60 | 1285 | 1285 | 26.72 |
| 24 | α-Terpineol | 60.39 | 1342 | 1231 | 0.17 |
| 25 | Terpinyl acetate | 61.25 | 1356 | 1356 | 2.01 |
| 26 | Methyl undecanoate | 65.12 | 1415 | 1414 | 2.17 |
| 27 | Rimuene | 79.98 | 1911 | 1914 | 1.86 |
| 28 | Neocembrene | 82.74 | 1948 | 1941 | 3.26 |
| Total Identified (%) | 100.00 | ||||
Disclaimer/Publisher’s Note: The statements, opinions and data contained in all publications are solely those of the individual author(s) and contributor(s) and not of MDPI and/or the editor(s). MDPI and/or the editor(s) disclaim responsibility for any injury to people or property resulting from any ideas, methods, instructions or products referred to in the content. |
© 2025 by the authors. Licensee MDPI, Basel, Switzerland. This article is an open access article distributed under the terms and conditions of the Creative Commons Attribution (CC BY) license (https://creativecommons.org/licenses/by/4.0/).
Share and Cite
Kim, D.Y.; Won, K.J.; Kim, Y.Y.; Yoo, D.Y.; Lee, H.M. Anti-Hyperpigmentation-Related Potential Activities in B16BL6 Cells and Chemical Composition of Essential Oil from Chamaecyparis pisifera Leaves. Pharmaceutics 2025, 17, 1386. https://doi.org/10.3390/pharmaceutics17111386
Kim DY, Won KJ, Kim YY, Yoo DY, Lee HM. Anti-Hyperpigmentation-Related Potential Activities in B16BL6 Cells and Chemical Composition of Essential Oil from Chamaecyparis pisifera Leaves. Pharmaceutics. 2025; 17(11):1386. https://doi.org/10.3390/pharmaceutics17111386
Chicago/Turabian StyleKim, Do Yoon, Kyung Jong Won, Yoon Yi Kim, Da Yeon Yoo, and Hwan Myung Lee. 2025. "Anti-Hyperpigmentation-Related Potential Activities in B16BL6 Cells and Chemical Composition of Essential Oil from Chamaecyparis pisifera Leaves" Pharmaceutics 17, no. 11: 1386. https://doi.org/10.3390/pharmaceutics17111386
APA StyleKim, D. Y., Won, K. J., Kim, Y. Y., Yoo, D. Y., & Lee, H. M. (2025). Anti-Hyperpigmentation-Related Potential Activities in B16BL6 Cells and Chemical Composition of Essential Oil from Chamaecyparis pisifera Leaves. Pharmaceutics, 17(11), 1386. https://doi.org/10.3390/pharmaceutics17111386

