Post-Synthesis Modulation of the Physicochemical Properties of Green-Synthesized Iron Oxide Nanoparticles with Tween 80 to Enhance Their Antibacterial Activity and Biocompatibility
Abstract
1. Introduction
2. Materials and Methods
2.1. Materials
2.2. Methodology
2.2.1. Synthesis and Characterization of IONPs-G
2.2.2. Preparation and Characterization of IONPs-GTw80 Colloidal Dispersion
2.2.3. Microbiological Studies
Microdilution Assay
Time–Kill Curve Study of IONPs-GTw80
TEM Study
2.2.4. Acute Irritation Study
Animals
Skin Irritation Test
Eye Irritation Test
Histopathological Evaluations
Biochemical Examination
Hematological Examination
2.2.5. Statistical Analysis
3. Results
3.1. Green Synthesis and Characterization of IONPs
3.2. Antibacterial Activity
3.2.1. Determination of MIC and MBC
3.2.2. Time–Kill Curve Study
3.2.3. Transmission Electron Microscopy (TEM)
3.3. Irritation Test
3.3.1. Skin Irritation Test
3.3.2. Eye Irritation Test
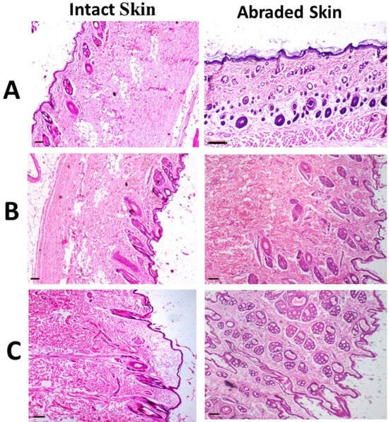
3.3.3. Histopathological Evaluations
3.3.4. Biochemical Analysis
3.3.5. Hematological Examination
4. Discussion
5. Conclusions
Supplementary Materials
Author Contributions
Funding
Institutional Review Board Statement
Informed Consent Statement
Data Availability Statement
Acknowledgments
Conflicts of Interest
References
- Naghavi, M.; Vollset, S.E.; Ikuta, K.S.; Swetschinski, L.R.; Gray, A.P.; Wool, E.E.; Robles Aguilar, G.; Mestrovic, T.; Smith, G.; Han, C.; et al. Global burden of bacterial antimicrobial resistance 1990–2021: A systematic analysis with forecasts to 2050. Lancet 2024, 404, 1199–1226. [Google Scholar] [CrossRef]
- Ali, A.M.; Hill, H.J.; Elkhouly, G.E.; Bakkar, M.R.; Raya, N.R.; Stamataki, Z.; Abo-zeid, Y. Rhamnolipid Nano-Micelles Inhibit SARS-CoV-2 Infection and Have No Dermal or Eye Toxic Effects in Rabbits. Antibiotics 2022, 11, 1556. [Google Scholar] [CrossRef] [PubMed]
- Abo-Zeid, Y.; Amer, A.; El-Houssieny, B.; Mahmoud, M.; Sakran, W. Overview on bacterial resistance and nanoparticles to overcome bacterial resistance. J. Adv. Pharm. Res. 2021, 5, 312–326. [Google Scholar] [CrossRef]
- Micheli, G.; Sangiorgi, F.; Catania, F.; Chiuchiarelli, M.; Frondizi, F.; Taddei, E.; Murri, R. The Hidden Cost of COVID-19: Focus on Antimicrobial Resistance in Bloodstream Infections. Microorganisms 2023, 11, 1299. [Google Scholar] [CrossRef]
- Tackling Drug-Resistant Infections Globally: Final Report and Recommendations. Review on Antimicrobial Resistance. 2016. Available online: https://www.cabidigitallibrary.org/doi/full/10.5555/20173071720 (accessed on 25 June 2025).
- Abo-zeid, Y.; Amer, A.; Bakkar, M.R.; El-Houssieny, B.; Sakran, W. Antimicrobial Activity of Azithromycin Encapsulated into PLGA NPs: A Potential Strategy to Overcome Efflux Resistance. Antibiotics 2022, 11, 1623. [Google Scholar] [CrossRef] [PubMed]
- Abo-zeid, Y.; Bakkar, M.R.; Elkhouly, G.E.; Raya, N.R.; Zaafar, D. Rhamnolipid Nano-micelles Versus Alcohol-Based Hand Sanitizer: A Comparative Study for Antibacterial Activity against Hospital-Acquired Infections and Toxicity Concerns. Antibiotics 2022, 11, 605. [Google Scholar] [CrossRef] [PubMed]
- Azadi, S.; Azizipour, E.; Amani, A.M.; Vaez, A.; Zareshahrabadi, Z.; Abbaspour, A.; Firuzyar, T.; Dortaj, H.; Kamyab, H.; Chelliapan, S.; et al. Antifungal activity of Fe3O4@SiO2/Schiff-base/Cu(II) magnetic nanoparticles against pathogenic Candida species. Sci. Rep. 2024, 14, 5855. [Google Scholar] [CrossRef]
- Abo-Zeid, Y.; Ismail, N.S.; McLean, G.R.; Hamdy, N.M. A Molecular Docking Study Repurposes FDA Approved Iron Oxide Nanoparticles to Treat and Control COVID-19 Infection. Eur. J. Pharm. Sci. 2020, 153, 105465. [Google Scholar] [CrossRef]
- Gutierrez, L.; Li, X.; Wang, J.; Nangmenyi, G.; Economy, J.; Kuhlenschmidt, T.B.; Kuhlenschmidt, M.S.; Nguyen, T.H. Adsorption of rotavirus and bacteriophage MS2 using glass fiber coated with hematite nanoparticles. Water Res. 2009, 43, 5198–5208. [Google Scholar] [CrossRef]
- Kumar, R.; Nayak, M.; Sahoo, G.C.; Pandey, K.; Sarkar, M.C.; Ansari, Y.; Das, V.N.R.; Topno, R.K.; Bhawna; Madhukar, M.; et al. Iron oxide nanoparticles based antiviral activity of H1N1 influenza A virus. J. Infect. Chemother. 2019, 25, 325–329. [Google Scholar] [CrossRef]
- Murugan, K.; Wei, J.; Alsalhi, M.S.; Nicoletti, M.; Paulpandi, M.; Samidoss, C.M.; Dinesh, D.; Chandramohan, B.; Paneerselvam, C.; Subramaniam, J.; et al. Magnetic nanoparticles are highly toxic to chloroquine-resistant Plasmodium falciparum, dengue virus (DEN-2), and their mosquito vectors. Parasitol. Res. 2017, 116, 495–502. [Google Scholar] [CrossRef]
- Abo-zeid, Y.; Williams, G.R. The potential anti-infective applications of metal oxide nanoparticles: A systematic review. Wiley Interdiscip. Rev. Nanomed. Nanobiotechnol. 2020, 12, e1592. [Google Scholar] [CrossRef] [PubMed]
- Dahl, N.V.; Kaper, R.F.; Strauss, W.E.; Corvino, F.A.; Zivkovic, M. Cost-effectiveness analysis of intravenous ferumoxytol for the treatment of iron deficiency anemia in adult patients with non-dialysis-dependent chronic kidney disease in the USA. Clin. Outcomes Res. 2017, 9, 557–567. [Google Scholar] [CrossRef] [PubMed]
- DeDiego, M.L.; Portilla, Y.; Daviu, N.; López-García, D.; Villamayor, L.; Mulens-Arias, V.; Ovejero, J.G.; Gallo-Cordova, Á.; Veintemillas-Verdaguer, S.; Morales, M.P.; et al. Iron oxide and iron oxyhydroxide nanoparticles impair SARS-CoV-2 infection of cultured cells. J. Nanobiotechnol. 2022, 20, 352. [Google Scholar] [CrossRef]
- Wang, J.; Fan, Y. Lung injury induced by TiO2 nanoparticles depends on their structural features: Size, shape, crystal phases, and surface coating. Int. J. Mol. Sci. 2014, 15, 22258–22278. [Google Scholar] [CrossRef]
- Seabra, A.B.; Durán, N. Nanotoxicology of Metal Oxide Nanoparticles. Metals 2015, 5, 934–975. [Google Scholar] [CrossRef]
- Bahrulolum, H.; Nooraei, S.; Javanshir, N.; Tarrahimofrad, H.; Mirbagheri, V.S.; Easton, A.J.; Ahmadian, G. Green synthesis of metal nanoparticles using microorganisms and their application in the agrifood sector. J. Nanobiotechnol. 2021, 19, 86. [Google Scholar] [CrossRef]
- Kamran, U.; Bhatti, H.N.; Iqbal, M.; Nazir, A. Green Synthesis of Metal Nanoparticles and their Applications in Different Fields: A Review. Z. Phys. Chem. 2018, 233, 1325–1349. [Google Scholar] [CrossRef]
- Amer, M.W.; Awwad, A.M. Green synthesis of copper nanoparticles by Citrus limon fruits extract, characterization and antibacterial activity. Chem. Int. 2021, 7, 1–8. [Google Scholar] [CrossRef]
- Shammout, M.W.; Awwad, A.M. A Novel Route for the Synthesis of Copper Oxide Nanoparticles Using Bougainvillea Plant Flowers Extract and Antifungal Activity Evaluation. Chem. Int. 2021, 7, 71–78. [Google Scholar] [CrossRef]
- Elkhateeb, O.; Atta, M.B.; Mahmoud, E. Biosynthesis of iron oxide nanoparticles using plant extracts and evaluation of their antibacterial activity. AMB Express 2024, 14, 92. [Google Scholar] [CrossRef] [PubMed]
- Radulescu, D.M.; Surdu, V.A.; Ficai, A.; Ficai, D.; Grumezescu, A.M.; Andronescu, E. Green Synthesis of Metal and Metal Oxide Nanoparticles: A Review of the Principles and Biomedical Applications. Int. J. Mol. Sci. 2023, 24, 15397. [Google Scholar] [CrossRef] [PubMed]
- Soltys, L.; Olkhovyy, O.; Tatarchuk, T.; Naushad, M. Green synthesis of metal and metal oxide nanoparticles: Principles of green chemistry and raw materials. Magnetochemistry 2021, 7, 145. [Google Scholar] [CrossRef]
- Vijayaram, S.; Razafindralambo, H.; Sun, Y.-Z.; Vasantharaj, S.; Ghafarifarsani, H.; Hoseinifar, S.H.; Raeeszadeh, M. Applications of Green Synthesized Metal Nanoparticles—A Review. Biol. Trace Element Res. 2023, 202, 360–386. [Google Scholar] [CrossRef]
- Azad, A.; Zafar, H.; Raza, F.; Sulaiman, M. Factors Influencing the Green Synthesis of Metallic Nanoparticles Using Plant Extracts: A Comprehensive Review. Pharm. Front. 2023, 5, e117–e131. [Google Scholar] [CrossRef]
- Zúñiga-Miranda, J.; Guerra, J.; Mueller, A.; Mayorga-Ramos, A.; Carrera-Pacheco, S.E.; Barba-Ostria, C.; Heredia-Moya, J.; Guamán, L.P. Iron Oxide Nanoparticles: Green Synthesis and Their Antimicrobial Activity. Nanomaterials 2023, 13, 2919. [Google Scholar] [CrossRef]
- Singh, K.; Chopra, D.S.; Singh, D.; Singh, N. Optimization and ecofriendly synthesis of iron oxide nanoparticles as potential antioxidant. Arab. J. Chem. 2020, 13, 9034–9046. [Google Scholar] [CrossRef]
- Nkosi, N.C.; Basson, A.K.; Ntombela, Z.G.; Dlamini, N.G.; Pullabhotla, R.V.S.R. Green synthesis and characterization of iron nanoparticles synthesized from bioflocculant for wastewater treatment: A review. Biotechnol. Notes 2025, 6, 10–31. [Google Scholar] [CrossRef]
- Ali, A.M.; Hill, H.J.; Elkhouly, G.E.; Raya, N.R.; Tawfik, N.F.; Bakkar, M.R.; El-basaty, A.B.; Stamataki, Z.; Abo-zeid, Y. Green and chemical synthesis of iron oxide nanoparticles: Comparative study for antimicrobial activity and toxicity concerns. J. Drug Deliv. Sci. Technol. 2025, 103, 106434. [Google Scholar] [CrossRef]
- Nazar, M.; Shah, M.U.H.; Yahya, W.Z.N.; Goto, M.; Moniruzzaman, M. Surface active ionic liquid and Tween-80 blend as an effective dispersant for crude oil spill remediation. Environ. Technol. Innov. 2021, 24, 101868. [Google Scholar] [CrossRef]
- Bretón-Deval, L.; Rios-Leal, E.; Poggi-Varaldo, H.M.; Ponce-Noyola, T. Biodegradability of Nonionic Surfactant Used in the Remediation of Groundwaters Polluted with PCE. Water Environ. Res. 2016, 88, 2159–2168. [Google Scholar] [CrossRef]
- Paturi, U.M.R.; Kumar, G.N.; Vamshi, V.S. Silver nanoparticle-based Tween 80 green cutting fluid (AgNP-GCF) assisted MQL machining—An attempt towards eco-friendly machining. Clean. Eng. Technol. 2020, 1, 100025. [Google Scholar] [CrossRef]
- Zhao, Y.; Wang, Z.; Zhang, W.; Jiang, X. Adsorbed Tween 80 is unique in its ability to improve the stability of gold nanoparticles in solutions of biomolecules. Nanoscale 2010, 2, 2114–2119. [Google Scholar] [CrossRef]
- Zaafar, D.; Khalil, H.M.A.; Elkhouly, G.E.; Sedeky, A.S.; Ahmed, Y.H.; Khalil, M.G.; Abo-zeid, Y. Preparation and characterization of Sorafenib nano-emulsion: Impact on pharmacokinetics and toxicity; an in vitro and in vivo study. Drug Deliv. Transl. Res. 2024, 14, 3089–3111. [Google Scholar] [CrossRef] [PubMed]
- Mady, M.S.; Sobhy, Y.; Orabi, A.; Sharaky, M.; Mina, S.A.; Abo-zeid, Y. Preparation and characterization of nano-emulsion formulations of Asparagus densiflorus root and aerial parts extracts: Evaluation of in-vitro antibacterial and anticancer activities of nano-emulsion versus pure plant extract. Drug Dev. Ind. Pharm. 2024, 50, 658–670. [Google Scholar] [CrossRef] [PubMed]
- Ismail, A.; Raya, N.R.; Orabi, A.; Ali, A.M.; Abo-zeid, Y. Investigating the Antibacterial Activity and Safety of Zinc Oxide Nanoparticles versus a Commercial Alcohol-Based Hand-Sanitizer: Can Zinc Oxide Nanoparticles Be Useful for Hand Sanitation? Antibiotics 2022, 11, 1606. [Google Scholar] [CrossRef] [PubMed]
- CLSI M100; Performance Standards for Antimicrobial Susceptibility Testing Supplement M100S. Clinical and Laboratory Standards Institute (CLSI): Malvern, PA, USA, 2016.
- Balouiri, M.; Sadiki, M.; Ibnsouda, S.K. Methods for in vitro evaluating antimicrobial activity: A review. J. Pharm. Anal. 2016, 6, 71–79. [Google Scholar] [CrossRef]
- Ali, A.M.; Elkhouly, G.E.; Orabi, A.; Ismail, A.; de Melo Barbosa, R.; Riela, S.; Viseras, C.; Abo-zeid, Y. Optimization of Chemical Synthesis for Production of a Skin-Compatible and Scalable Copper Oxide Nanoparticles: A Promising and Safe Strategy for Healing of Non-infected and Infected Wounds in Diabetes. Bionanoscience 2024, 15, 141. [Google Scholar] [CrossRef]
- Magnusson, B.; Kilgman, A.M. The Identification of Contact Allergens by Animal Assay. The Guinea Pig Maximazation Test. J. Occup. Environ. Med. 1970, 12, 59. [Google Scholar] [CrossRef]
- Abraham, M.H.; Hassanisadi, M.; Jalali-Heravi, M.; Ghafourian, T.; Cain, W.S.; Cometto-Muñiz, J.E. Draize Rabbit Eye Test Compatibility with Eye Irritation Thresholds in Humans: A Quantitative Structure-Activity Relationship Analysis. Toxicol. Sci. 2003, 76, 384–391. [Google Scholar] [CrossRef] [PubMed]
- Li, J.; Li, Z.; Liang, Z.; Han, L.; Feng, H.; He, S.; Zhang, J. Fabrication of a Drug Delivery System That Enhances Antifungal Drug Corneal Penetration. Drug Deliv. 2018, 25, 938–949. [Google Scholar] [CrossRef]
- Ameeduzzafar; Syed Sarim, I.; Abbas Bukhari, S.N.; Ahmad, J.; Ali, A. Formulation and optimization of levofloxacin loaded chitosan nanoparticle for ocular delivery: In-vitro characterization, ocular tolerance and antibacterial activity. Int. J. Biol. Macromol. 2018, 108, 650–659. [Google Scholar] [CrossRef]
- Bancroft, J.D.; Gamble, M. (Eds.) Theory and Practice of Histological Techniques; Elsevier Health Sciences: London, UK, 2008; p. 23. [Google Scholar]
- Hanum, T.I.; Nasution, A.; Sumaiyah, S.; Bangun, H. Physical stability and dissolution of ketoprofen nanosuspension formulation: Polyvinylpyrrolidone and Tween 80 as stabilizers. Pharmacia 2023, 70, 209–215. [Google Scholar] [CrossRef]
- Dolai, J.; Mandal, K.; Jana, N.R. Nanoparticle Size Effects in Biomedical Applications. ACS Appl. Nano Mater. 2021, 4, 6471–6496. [Google Scholar] [CrossRef]
- Abdullah, J.A.A.; Jiménez-Rosado, M.; Guerrero, A.; Romero, A. Effect of Calcination Temperature and Time on the Synthesis of Iron Oxide Nanoparticles: Green vs. Chemical Method. Materials 2023, 16, 1798. [Google Scholar] [CrossRef] [PubMed]
- Mehrifar, Y.; Moqtaderi, H.; Hamidi, S.M.; Golbabaei, F.; Hasanzadeh, M.; Dehghan, S.F. Magnetic nanoparticles of Nd2Fe14B prepared by ethanol-assisted wet ball milling technique. Sci. Rep. 2025, 15, 3257. [Google Scholar] [CrossRef] [PubMed]
- Eze, A.A.; Sadiku, E.R.; Kupolati, W.K.; Snyman, J.; Ndambuki, J.M.; Jamiru, T.; Durowoju, M.O.; Ibrahim, I.D.; Shongwe, M.B.; Desai, D.A. Wet ball milling of niobium by using ethanol, determination of the crystallite size and microstructures. Sci. Rep. 2021, 11, 22422. [Google Scholar] [CrossRef]
- Fayyaz, A.; Muhamad, N.; Sulong, A.B.; Yunn, H.S.; Amin, S.Y.M.; Rajabi, J. Effect of dry and wet ball milling process on critical powder loading and mixture properties of fine WC-10Co-0.8VC powder. J. Teknol. 2012, 59, 141–144. [Google Scholar] [CrossRef][Green Version]
- De Souza, J.P.; Atre, S.V.; Suri, P.K.; Thomas, J.A.; German, R.M. Understanding homogeneity of powder-polymer mixtures-effect of mixing on tungsten powder injection molding feedstock. Metal. Mater. 2003, 59 (Suppl. S7), 16–19. [Google Scholar]
- Hosseinabadi, S.; Jafari, M.J.; Kokabi, M.; Mohseni, M. Improving the electromagnetic shielding of fabricated NdFeB particles by a coating thin carbonaceous layer. Chem. Phys. Lett. 2020, 739, 137015. [Google Scholar] [CrossRef]
- Chakka, V.M.; Altuncevahir, B.; Jin, Z.Q.; Li, Y.; Liu, J.P. Magnetic nanoparticles produced by surfactant-assisted ball milling. J. Appl. Phys. 2006, 99, 08E912. [Google Scholar] [CrossRef]
- Simeonidis, K.; Sarafidis, C.; Papastergiadis, E.; Angelakeris, M.; Tsiaoussis, I.; Kalogirou, O. Evolution of Nd2Fe14B nanoparticles magnetism during surfactant-assisted ball-milling. Intermetallics 2011, 19, 589–595. [Google Scholar] [CrossRef]
- Abo-zeid, Y.; Mantovani, G.; Irving, W.L.; Garnett, M.C. Synthesis of nucleoside-boronic esters hydrophobic pro-drugs: A possible route to improve hydrophilic nucleoside drug loading into polymer nanoparticles. J. Drug Deliv. Sci. Technol. 2018, 46, 354–364. [Google Scholar] [CrossRef]
- Kong, M.; Park, H.J. Stability investigation of hyaluronic acid based nanoemulsion and its potential as transdermal carrier. Carbohydr. Polym. 2011, 83, 1303–1310. [Google Scholar] [CrossRef]
- Tran, E.; Richmond, G.L. Interfacial Steric and Molecular Bonding Effects Contributing to the Stability of Neutrally Charged Nanoemulsions. Langmuir 2021, 37, 12643–12653. [Google Scholar] [CrossRef] [PubMed]
- Mahmoud, K.; Teaima, M.; Attia, Y.; El-Nabarawi, M.; Swidan, S. Size-optimized simvastatin-loaded TPGS modified lipid nanocapsules for targeting epithelial-to-mesenchymal transition in hepatocellular carcinoma: Role of PTEN/AKT signaling. Expert Opin. Drug Deliv. 2023, 20, 703–719. [Google Scholar] [CrossRef]
- Ahmadi Tehrani, A.; Omranpoor, M.M.; Vatanara, A.; Seyedabadi, M.; Ramezani, V. Formation of nanosuspensions in bottom-up approach: Theories and optimization. DARU J. Pharm. Sci. 2019, 27, 451–473. [Google Scholar] [CrossRef]
- Jacobs, C.; Müller, R.H. Production and characterization of a budesonide nanosuspension for pulmonary administration. Pharm. Res. 2002, 19, 189–194. [Google Scholar] [CrossRef]
- Müller, R.H.; Jacobs, C. Buparvaquone mucoadhesive nanosuspension: Preparation, optimisation and long-term stability. Int. J. Pharm. 2002, 237, 151–161. [Google Scholar] [CrossRef]
- Papdiwal, A.P.; Pande, V.V.; Aher, S.J. Investigation of effect of different stabilizers on formulation of zaltoprofen nanosuspension. Int. J. Pharm. Sci. Rev. Res. 2014, 27, 244–249. [Google Scholar]
- Singare, D.S.; Kulkarni, G.T.; Gowthamrajan, K. Nanosuspension solidification technique: Evaluation of high shear granulation as per industrial perspective. Int. J. Pharma Bio Sci. 2013, 4, 18–29. [Google Scholar]
- Van Eerdenbrugh, B.; Van den Mooter, G.; Augustijns, P. Top-down production of drug nanocrystals: Nanosuspension stabilization, miniaturization and transformation into solid products. Int. J. Pharm. 2008, 364, 64–75. [Google Scholar] [CrossRef] [PubMed]
- Jacobs, C.; Kayser, O.; Müller, R.H. Nanosuspensions as a new approach for the formulation for the poorly soluble drug tarazepide. Int. J. Pharm. 2000, 196, 161–164. [Google Scholar] [CrossRef] [PubMed]
- Müller, R.H.; Hildebrand, G.E. Zetapotential und Partikelladung in der Laborpraxis: Einführung in die Theorie, Praktische Messdurchführung, Dateninterpretation; APV Wissenschaftliche Verlagsgesellschaft: Frankfurt am Main, Germany, 1996. [Google Scholar]
- Freitas, C.; Müller, R.H. Effect of light and temperature on zeta potential and physical stability in solid lipid nanoparticle (SLN®) dispersions. Int. J. Pharm. 1998, 168, 221–229. [Google Scholar] [CrossRef]
- Cynthia Jemima Swarnavalli, G.; Dinakaran, S.; Divya, S. Preparation and characterization of nanosized Ag/SLN composite and its viability for improved occlusion. Appl. Nanosci. 2016, 6, 1065–1072. [Google Scholar] [CrossRef][Green Version]
- Bunjes, H.; Koch, M.H.J.; Westesen, K. Influence of emulsifiers on the crystallization of solid lipid nanoparticles. J. Pharm. Sci. 2003, 92, 1509–1520. [Google Scholar] [CrossRef]
- Zimmermann, E.; Müller, R.H. Electrolyte- and pH-stabilities of aqueous solid lipid nanoparticle (SLN™) dispersions in artificial gastrointestinal media. Eur. J. Pharm. Biopharm. 2001, 52, 203–210. [Google Scholar] [CrossRef]
- Einarson, M.B.; Berg, J.C. Electrosteric stabilization of colloidal latex dispersions. J. Colloid Interface Sci. 1993, 155, 165–172. [Google Scholar] [CrossRef]
- Shenoy, D.B.; Sukhorukov, G.B. Engineered microcrystals for direct surface modification with layer-by-layer technique for optimized dissolution. Eur. J. Pharm. Biopharm. 2004, 58, 521–527. [Google Scholar] [CrossRef]
- Giermanska-Kahn, J.; Schmitt, V.; Binks, B.P.; Leal-Calderon, F. A new method to prepare monodisperse Pickering emulsions. Langmuir 2002, 18, 2515–2518. [Google Scholar] [CrossRef]
- Tatsuo, S.; Richard, R. Stabilization of Colloidal Dispersions by Polymer Adsorption; Marcel Dekker Inc.: New York, NY, USA, 1980. [Google Scholar]
- Izak-Nau, E.; Huk, A.; Reidy, B.; Uggerud, H.; Vadset, M.; Eiden, S.; Voetz, M.; Himly, M.; Duschl, A.; Dusinska, M.; et al. Impact of storage conditions and storage time on silver nanoparticles’ physicochemical properties and implications for their biological effects. RSC Adv. 2015, 5, 84172–84185. [Google Scholar] [CrossRef]
- Orsi, G.; Galletti, C.; Brunazzi, E.; Mauri, R. Mixing of Two Miscible Liquids in T-Shaped Microdevices. Chem. Eng. Trans. 2013, 32, 1471–1476. [Google Scholar] [CrossRef]
- Wensink, E.J.W.; Hoffmann, A.C.; Van Maaren, P.J.; Van Der Spoel, D. Dynamic properties of water/alcohol mixtures studied by computer simulation. J. Chem. Phys. 2003, 119, 7308–7317. [Google Scholar] [CrossRef]
- Filippov, S.K.; Khusnutdinov, R.; Murmiliuk, A.; Inam, W.; Zakharova, L.Y.; Zhang, H.; Khutoryanskiy, V.V. Dynamic light scattering and transmission electron microscopy in drug delivery: A roadmap for correct characterization of nanoparticles and interpretation of results. Mater. Horizons 2023, 10, 5354–5370. [Google Scholar] [CrossRef]
- Chen, B.; Ten Brink, G.H.; Palasantzas, G.; Kooi, B.J. Size-dependent and tunable crystallization of GeSbTe phase-change nanoparticles. Sci. Rep. 2016, 6, 39546. [Google Scholar] [CrossRef] [PubMed]
- Attia, H.G.; Albarqi, H.A.; Said, I.G.; Alqahtani, O.; Raey, M.A.E.I. Synergistic Effect between Amoxicillin and Zinc Oxide Nanoparticles Reduced by Oak Gall Extract against Helicobacter pylori. Molecules 2022, 27, 4559. [Google Scholar] [CrossRef] [PubMed]
- Naqvi, Q.U.A.; Kanwal, A.; Qaseem, S.; Naeem, M.; Ali, S.R.; Shaffique, M.; Maqbool, M. Size-dependent inhibition of bacterial growth by chemically engineered spherical ZnO nanoparticles. J. Biol. Phys. 2019, 45, 147–159. [Google Scholar] [CrossRef] [PubMed]
- Wang, L.; Hu, C. The antimicrobial activity of nanoparticles: Present situation and prospects for the future. Int. J. Nanomed. 2017, 12, 1227–1249. [Google Scholar] [CrossRef]
- Kvítek, L.; Panáček, A.; Soukupová, J.; Kolář, M.; Večeřová, R.; Prucek, R.; Holecová, M.; Zbořil, R. Effect of surfactants and polymers on stability and antibacterial activity of silver nanoparticles (NPs). J. Phys. Chem. C 2008, 112, 5825–5834. [Google Scholar] [CrossRef]
- Bilal, M.; Iqbal, H.M.N.; Adil, S.F.; Shaik, M.R.; Abdelgawad, A.; Hatshan, M.R.; Khan, M. Surface-coated magnetic nanostructured materials for robust bio-catalysis and biomedical applications-A review. J. Adv. Res. 2022, 38, 157–177. [Google Scholar] [CrossRef]
- Mohamed, A.; Atta, R.R.; Kotp, A.A.; Abo El-Ela, F.I.; Abd El-Raheem, H.; Farghali, A.; Alkhalifah, D.H.M.; Hozzein, W.N.; Mahmoud, R. Green synthesis and characterization of iron oxide nanoparticles for the removal of heavy metals (Cd2+ and Ni2+) from aqueous solutions with Antimicrobial Investigation. Sci. Rep. 2023, 13, 7227. [Google Scholar] [CrossRef]
- Dowlath, M.J.H.; Anjum, S.; Khalith, S.B.M.; Varjani, S.; Kumar, S.; Munuswamy, G.; Woong, S.; Jin, W.; Ravindran, B. Comparison of characteristics and biocompatibility of green synthesized iron oxide nanoparticles with chemical synthesized nanoparticles. Environ. Res. 2021, 201, 111585. [Google Scholar] [CrossRef] [PubMed]
- Ingle, P.U.; Biswas, J.K.; Mondal, M.; Rai, M.K.; Senthil Kumar, P.; Gade, A.K. Assessment of in vitro antimicrobial efficacy of biologically synthesized metal nanoparticles against pathogenic bacteria. Chemosphere 2022, 291, 132676. [Google Scholar] [CrossRef]
- Abou-Dobara, M.I.; Kamel, M.A.; El-Sayed, A.K.A.; El-Zahed, M.M. Antibacterial activity of extracellular biosynthesized iron oxide nanoparticles against locally isolated β-lactamase-producing Escherichia coli from Egypt. Discov. Appl. Sci. 2024, 6, 113. [Google Scholar] [CrossRef]
- Treangen, T.J.; Maybank, R.A.; Enke, S.; Friss, M.B.; Diviak, L.F.; David, D.K.; Koren, S.; Ondov, B.; Phillippy, A.M.; Bergman, N.H.; et al. Complete genome sequence of the quality control strain Staphylococcus aureus subsp. aureus ATCC 25923. Genome Announc. 2014, 2, e01110-14. [Google Scholar] [CrossRef] [PubMed]
- Cao, H.; Lai, Y.; Bougouffa, S.; Xu, Z.; Yan, A. Comparative genome and transcriptome analysis reveals distinctive surface characteristics and unique physiological potentials of Pseudomonas aeruginosa ATCC 27853. BMC Genom. 2017, 18, 459. [Google Scholar] [CrossRef]
- Yerlikaya, O.; Saygili, D.; Akpinar, A. Evaluation of antimicrobial activity and antibiotic susceptibility profiles of Lactobacillus delbrueckii subsp. bulgaricus and Streptococcus thermophilus strains isolated from commercial yoghurt starter cultures. Food Sci. Technol. 2021, 41, 418–425. [Google Scholar] [CrossRef]
- Kowalczyk, P.; Koszelewski, D.; Brodzka, A.; Kramkowski, K.; Ostaszewski, R. Evaluation of Antibacterial Activity against Nosocomial Pathogens of an Enzymatically Derived α-Aminophosphonates Possessing Coumarin Scaffold. Int. J. Mol. Sci. 2023, 24, 14886. [Google Scholar] [CrossRef]
- Kunjan, F.; Shanmugam, R.; Govindharaj, S. Evaluation of Free Radical Scavenging and Antimicrobial Activity of Coleus amboinicus-Mediated Iron Oxide Nanoparticles. Cureus 2024, 16, e55472. [Google Scholar] [CrossRef]
- Govindharaj, S.; Mithun Athiraj, A.T.; Prabhu, J.S.; Thangavelu, L.; Shanmugam, R. Antimicrobial Activity of Hydrocotyle umbellata L. Assisted Iron Oxide Nanoparticles against Urinary Tract Infection Pathogens. Nanotechnol. Perceptions 2024, 20, 385–394. [Google Scholar] [CrossRef]
- Yu, J.; Zhang, W.; Li, Y.; Wang, G.; Yang, L.; Jin, J.; Chen, Q.; Huang, M. Synthesis, characterization, antimicrobial activity and mechanism of a novel hydroxyapatite whisker/nano zinc oxide biomaterial. Biomed. Mater. 2015, 10, 015001. [Google Scholar] [CrossRef] [PubMed]
- Kohanski, M.A.; DePristo, M.A.; Collins, J.J. Sublethal Antibiotic Treatment Leads to Multidrug Resistance via Radical-Induced Mutagenesis. Mol. Cell 2010, 37, 311–320. [Google Scholar] [CrossRef] [PubMed]
- Janani, B.; Al-Mohaimeed, A.M.; Raju, L.L.; Al Farraj, D.A.; Thomas, A.M.; Khan, S.S. Synthesis and characterizations of hybrid PEG-Fe3O4 nanoparticles for the efficient adsorptive removal of dye and antibacterial, and antibiofilm applications. J. Environ. Health Sci. Eng. 2021, 19, 389–400. [Google Scholar] [CrossRef]
- Li, Y.; Yang, D.; Wang, S.; Li, C.; Xue, B.; Yang, L.; Shen, Z.; Jin, M.; Wang, J.; Qiu, Z. The detailed bactericidal process of ferric oxide nanoparticles on E. coli. Molecules 2018, 23, 606. [Google Scholar] [CrossRef]
- Elshikiby, L.A.; Baka, Z.A.M.; El-Zahed, M.M. Biological activities of optimized biosynthesized selenium nanoparticles using Proteus mirabilis PQ350419 alone or combined with chitosan and ampicillin against common multidrug-resistant bacteria. Microb. Cell Fact. 2025, 24, 159. [Google Scholar] [CrossRef]
- Simon-Deckers, A.; Loo, S.; Hermite, M.M.-L.; Herlin-Boime, N. Size-, Composition- and Shape-Dependent Toxicological Impact of Metal Oxide Nanoparticles and Carbon Nanotubes toward Bacteria. Environ. Sci. Technol. 2009, 43, 8423–8429. [Google Scholar] [CrossRef]
- Kumar, A.; Pandey, A.K.; Singh, S.S.; Shanker, R.; Dhawan, A. Engineered ZnO and TiO2 nanoparticles induce oxidative stress and DNA damage leading to reduced viability of Escherichia coli. Free Radic. Biol. Med. 2011, 51, 1872–1881. [Google Scholar] [CrossRef]
- Wei, P.R.; Cheng, S.H.; Liao, W.N.; Kao, K.C.; Weng, C.F.; Lee, C.H. Synthesis of chitosan-coated near-infrared layered double hydroxide nanoparticles for in vivo optical imaging. J. Mater. Chem. 2012, 22, 5503–5513. [Google Scholar] [CrossRef]
- Kura, A.U.; Hussein-Al-Ali, S.H.; Hussein, M.Z.; Fakurazi, S. Preparation of Tween 80-Zn/Al-levodopa-layered double hydroxides nanocomposite for drug delivery system. Sci. World J. 2014, 2014, 104246. [Google Scholar] [CrossRef]
- Yu, M.; Huang, S.; Yu, K.J.; Clyne, A.M. Dextran and polymer polyethylene glycol (PEG) coating reduce both 5 and 30 nm iron oxide nanoparticle cytotoxicity in 2D and 3D cell culture. Int. J. Mol. Sci. 2012, 13, 5554–5570. [Google Scholar] [CrossRef]
- Shang, L.; Nienhaus, K.; Nienhaus, G.U. Engineered nanoparticles interacting with cells: Size matters. J. Nanobiotechnol. 2014, 12, 5. [Google Scholar] [CrossRef]
- Alizadeh, S.; Seyedalipour, B.; Shafieyan, S.; Kheime, A.; Mohammadi, P.; Aghdami, N. Copper nanoparticles promote rapid wound healing in acute full thickness defect via acceleration of skin cell migration, proliferation, and neovascularization. Biochem. Biophys. Res. Commun. 2019, 517, 684–690. [Google Scholar] [CrossRef]
- Abdullah, A.R.; Hapidin, H.; Abdullah, H. Phytochemical Analysis of Quercus Infectoria Galls Extracts Using FTIR, LC-MS and MS/MS Analysis. Res. J. Biotechnol. 2017, 12, 55–61. [Google Scholar]
- Zhang, M.; Vervoort, L.; Moalin, M.; Mommers, A.; Douny, C.; den Hartog, G.J.M.; Haenen, G.R.M.M. The Chemical Reactivity of (-)-Epicatechin Quinone Mainly Resides in Its B-Ring. Free Radic. Biol. Med. 2018, 124, 31–39. [Google Scholar] [CrossRef] [PubMed]
- Liu, W.; Kong, Y.; Zu, Y.; Fu, Y.; Luo, M.; Zhang, L.; Li, J. Determination and Quantification of Active Phenolic Compounds in Pigeon Pea Leaves and Its Medicinal Product Using Liquid Chromatography-Tandem Mass Spectrometry. J. Chromatogr. A 2010, 1217, 4723–4731. [Google Scholar] [CrossRef] [PubMed]
- Xiao, Z.; Yuan, M.; Yang, B.; Liu, Z.; Huang, J.; Sun, D. Plant-Mediated Synthesis of Highly Active Iron Nanoparticles for Cr (VI) Removal: Investigation of the Leading Biomolecules. Chemosphere 2016, 150, 357–364. [Google Scholar] [CrossRef]
- Kouhbanani, M.A.J.; Beheshtkhoo, N.; Taghizadeh, S.; Amani, A.M.; Alimardani, V. One-Step Green Synthesis and Characterization of Iron Oxide Nanoparticles Using Aqueous Leaf Extract of Teucrium polium and Their Catalytic Application in Dye Degradation. Adv. Nat. Sci. Nanosci. Nanotechnol. 2019, 10, 015007. [Google Scholar] [CrossRef]
- Lakshmnarayanan, S.; Shereen, M.F.; Niraimathi, K.L.; Brindha, P. One-Pot Green Synthesis of Iron Oxide Nanoparticles from Bauhinia tomentosa: Characterization and Application towards Synthesis of 1, 3 Diolein. Sci. Rep. 2021, 11, 8643. [Google Scholar] [CrossRef]
- Aida, M.S.; Alonizan, N.; Zarrad, B.; Hjiri, M. Green Synthesis of Iron Oxide Nanoparticles Using Hibiscus Plant Extract. J. Taibah Univ. Sci. 2023, 17, 2221827. [Google Scholar] [CrossRef]
- Abasali Karaj Abad, Z.; Nemati, A.; Malek Khachatourian, A.; Golmohammad, M. Synthesis and Characterization of RGO/Fe2O3 Nanocomposite as an Efficient Supercapacitor Electrode Material. J. Mater. Sci. Mater. Electron. 2020, 31, 14998–15005. [Google Scholar] [CrossRef]
- Bibi, I.; Nazar, N.; Ata, S.; Sultan, M.; Ali, A.; Abbas, A.; Jilani, K.; Kamal, S.; Sarim, F.M.; Khan, M.I.; et al. Green Synthesis of Iron Oxide Nanoparticles Using Pomegranate Seeds Extract and Photocatalytic Activity Evaluation for the Degradation of Textile Dye. J. Mater. Res. Technol. 2019, 8, 6115–6124. [Google Scholar] [CrossRef]
- Yekeen, M.O.; Ibrahim, M.; Wachira, J.; Pramanik, S. Green Synthesis and Characterization of Iron Oxide Nanoparticles Using Egeria Densa Plant Extract. Appl. Biosci. 2025, 4, 27. [Google Scholar] [CrossRef]
- Khan, Y.; Durrani, S.K.; Siddique, M.; Mehmood, M. Hydrothermal Synthesis of Alpha Fe2O3 Nanoparticles Capped by Tween-80. Mater. Lett. 2011, 65, 2224–2227. [Google Scholar] [CrossRef]
- Chen, M.; Wang, L.Y.; Han, J.T.; Zhang, J.Y.; Li, Z.Y.; Qian, D.J. Preparation and Study of Polyacryamide-Stabilized Silver Nanoparticles through a One-Pot Process. J. Phys. Chem. B 2006, 110, 11224–11231. [Google Scholar] [CrossRef] [PubMed]
- Iacovita, C.; Stiufiuc, R.; Radu, T.; Florea, A.; Stiufiuc, G.; Dutu, A.; Mican, S.; Tetean, R.; Lucaciu, C.M. Polyethylene Glycol-Mediated Synthesis of Cubic Iron Oxide Nanoparticles with High Heating Power. Nanoscale Res. Lett. 2015, 10, 391. [Google Scholar] [CrossRef]
- Sridevi, H.; Bhat, M.R.; Kumar, P.S.; Kumar, N.M.; Selvaraj, R. Structural Characterization of Cuboidal α-Fe2O3 Nanoparticles Synthesized by a Facile Approach. Appl. Nanosci. 2023, 13, 5605–5613. [Google Scholar] [CrossRef]
- Shen, S.; Zhou, J.; Dong, C.; Hu, Y.; Tseng, E.N.; Guo, P.; Guo, L.; Mao, S.S. Surface Engineered Doping of Hematite Nanorod Arrays for Improved Photoelectrochemical Water Splitting. Sci. Rep. 2014, 4, 6627. [Google Scholar] [CrossRef]
- Banbela, H.M.; Alharbi, L.M.; Al-Dahiri, R.H.; Jaremko, M.; Salam, M.A. Preparation, Characterization, and Electrochemical Performance of the Hematite/Oxidized Multi-Walled Carbon Nanotubes Nanocomposite. Molecules 2022, 27, 2708. [Google Scholar] [CrossRef]
- Farhanian, D.; De Crescenzo, G.; Tavares, J.R. Large-Scale Encapsulation of Magnetic Iron Oxide Nanoparticles via Syngas Photo-Initiated Chemical Vapor Deposition. Sci. Rep. 2018, 8, 12223. [Google Scholar] [CrossRef]
- Ahmmad, B.; Leonard, K.; Shariful Islam, M.; Kurawaki, J.; Muruganandham, M.; Ohkubo, T.; Kuroda, Y. Green Synthesis of Mesoporous Hematite (α-Fe2O3) Nanoparticles and Their Photocatalytic Activity. Adv. Powder Technol. 2013, 24, 160–167. [Google Scholar] [CrossRef]








| Sample Name | Particle Size (D nm ± SD) | PDI ± SD | Zeta Potential (mV ± SD) |
|---|---|---|---|
| IONPs-GTw80 | 9.7 ± 2.1 | 0.111 ± 0.02 | −11.4 ± 2.4 |
| Sample | S. aureus | E. coli | ||
|---|---|---|---|---|
| MIC | MBC | MIC | MBC | |
| ** Plant Extract | NS | NS | NS | NS |
| ** Blank sample of IONPs-GTw80 | NS | NS | NS | NS |
| IONPs-GTw80 | 100 | 200 | 100 | 200 |
| Animal Group | ALK (U/L) ± SE | ALT (U/L) ± SE |
|---|---|---|
| Untreated animal (Negative control) | 31.02 ± 2.35 | 28.45 ± 1.75 |
| IONPs-GTw80 (200 µg/mL) | 31.67 ± 2.85 | 27.98 ± 2.43 |
| Blank solution | 30.91 ± 2.55 | 28.32 ± 2.71 |
| Animal Groups | PCV (%) ± SE | Hb (g/dL) ± SE | RBCs (×106/nL) ± SE | MCV (fL) ± SE | MCHC (%) ± SE |
|---|---|---|---|---|---|
| Untreated animal (Negative control) | 39.48 ± 2.96 | 11.00 ± 2.84 | 8.92 ± 0.21 | 48.60 ± 0.23 | 38.26 ± 2.46 |
| IONPs-GTw80 (200 µg/mL) | 38.57 ± 0.85 | 11.85 ± 0.92 | 7.85 ± 0.58 | 48.90 ± 3.85 | 39.85 ± 5.85 |
| Blank solution | 37.41 ± 1.26 | 12.34 ± 2.21 | 8.61 ± 1.15 | 47.92 ± 1.25 | 38.27 ± 1.23 |
Disclaimer/Publisher’s Note: The statements, opinions and data contained in all publications are solely those of the individual author(s) and contributor(s) and not of MDPI and/or the editor(s). MDPI and/or the editor(s) disclaim responsibility for any injury to people or property resulting from any ideas, methods, instructions or products referred to in the content. |
© 2025 by the authors. Licensee MDPI, Basel, Switzerland. This article is an open access article distributed under the terms and conditions of the Creative Commons Attribution (CC BY) license (https://creativecommons.org/licenses/by/4.0/).
Share and Cite
Bakkar, M.R.; Ali, A.M.; Elkhouly, G.E.; Raya, N.R.; Bilverstone, T.W.; Chatterton, N.P.; McLean, G.R.; Abo-Zeid, Y. Post-Synthesis Modulation of the Physicochemical Properties of Green-Synthesized Iron Oxide Nanoparticles with Tween 80 to Enhance Their Antibacterial Activity and Biocompatibility. Pharmaceutics 2025, 17, 1371. https://doi.org/10.3390/pharmaceutics17111371
Bakkar MR, Ali AM, Elkhouly GE, Raya NR, Bilverstone TW, Chatterton NP, McLean GR, Abo-Zeid Y. Post-Synthesis Modulation of the Physicochemical Properties of Green-Synthesized Iron Oxide Nanoparticles with Tween 80 to Enhance Their Antibacterial Activity and Biocompatibility. Pharmaceutics. 2025; 17(11):1371. https://doi.org/10.3390/pharmaceutics17111371
Chicago/Turabian StyleBakkar, Marwa R., Alaa M. Ali, Gehad E. Elkhouly, Nermeen R. Raya, Terry W. Bilverstone, Nicholas P. Chatterton, Gary R. McLean, and Yasmin Abo-Zeid. 2025. "Post-Synthesis Modulation of the Physicochemical Properties of Green-Synthesized Iron Oxide Nanoparticles with Tween 80 to Enhance Their Antibacterial Activity and Biocompatibility" Pharmaceutics 17, no. 11: 1371. https://doi.org/10.3390/pharmaceutics17111371
APA StyleBakkar, M. R., Ali, A. M., Elkhouly, G. E., Raya, N. R., Bilverstone, T. W., Chatterton, N. P., McLean, G. R., & Abo-Zeid, Y. (2025). Post-Synthesis Modulation of the Physicochemical Properties of Green-Synthesized Iron Oxide Nanoparticles with Tween 80 to Enhance Their Antibacterial Activity and Biocompatibility. Pharmaceutics, 17(11), 1371. https://doi.org/10.3390/pharmaceutics17111371

