Oral Gel Formulation of Cotinus coggygria Scop. Stem Bark Extract: Development, Characterization, and Therapeutic Efficacy in a Rat Model of Aphthous Stomatitis
Abstract
1. Introduction
2. Materials and Methods
2.1. Materials
2.2. Preparation of C. coggygria Extract
2.3. HPLC Analysis of the Extract
2.4. Determination of Total Phenolic Content (TPC)
2.5. Determination of Total Flavonoid Content (TFC)
2.6. DPPH Radical Scavenging Assay
2.7. Preparation of C. coggygria Extract-Loaded Oral Mucoadhesive Gel (CC Gel)
2.8. Physicochemical Characterization of CC Gel
2.8.1. Determination of Organoleptic Properties
2.8.2. Determination of the pH Values
2.8.3. Determination of the Electrical Conductivity
2.8.4. Assessment of Long-Term Stability of the CC Gel
2.8.5. Centrifugation Test
2.8.6. Rheological Characterization
2.9. Oral Ulcer Healing Examinations in Wistar Albino Rats
2.9.1. Animals
2.9.2. Oral Ulcer Induction in Rats
2.9.3. Experimental Design
2.9.4. Assessment of the Oral Buccal Ulcer Healing Potential of CC Gel
2.9.5. Biochemical Analysis: Systemic and Local Redox State
2.9.6. Histological Analysis
2.10. Statistical Analysis
3. Results and Discussion
3.1. Phytochemical Analysis of the Extract
3.2. Antioxidant Activity of Cotinus coggygria Bark Extract
3.3. Physicochemical Characterization of the CC Gel
3.3.1. Organoleptic Characteristics and Physical Appearance of the CC Gel
3.3.2. pH Values and Electrical Conductivity of the CC Gel
3.3.3. Physical Stability Determined by the Centrifugation Test
3.3.4. Physical Stability Determined by Rheological Measurements
3.4. In Vivo Oral Ulcer Healing Potential of CC Gel
3.4.1. Body Weight, Food and Water Intake, and Health Status
3.4.2. Ulcer Healing Rate
3.4.3. Oxidative Stress Parameters
Buccal Tissue Redox State
Systemic Redox State
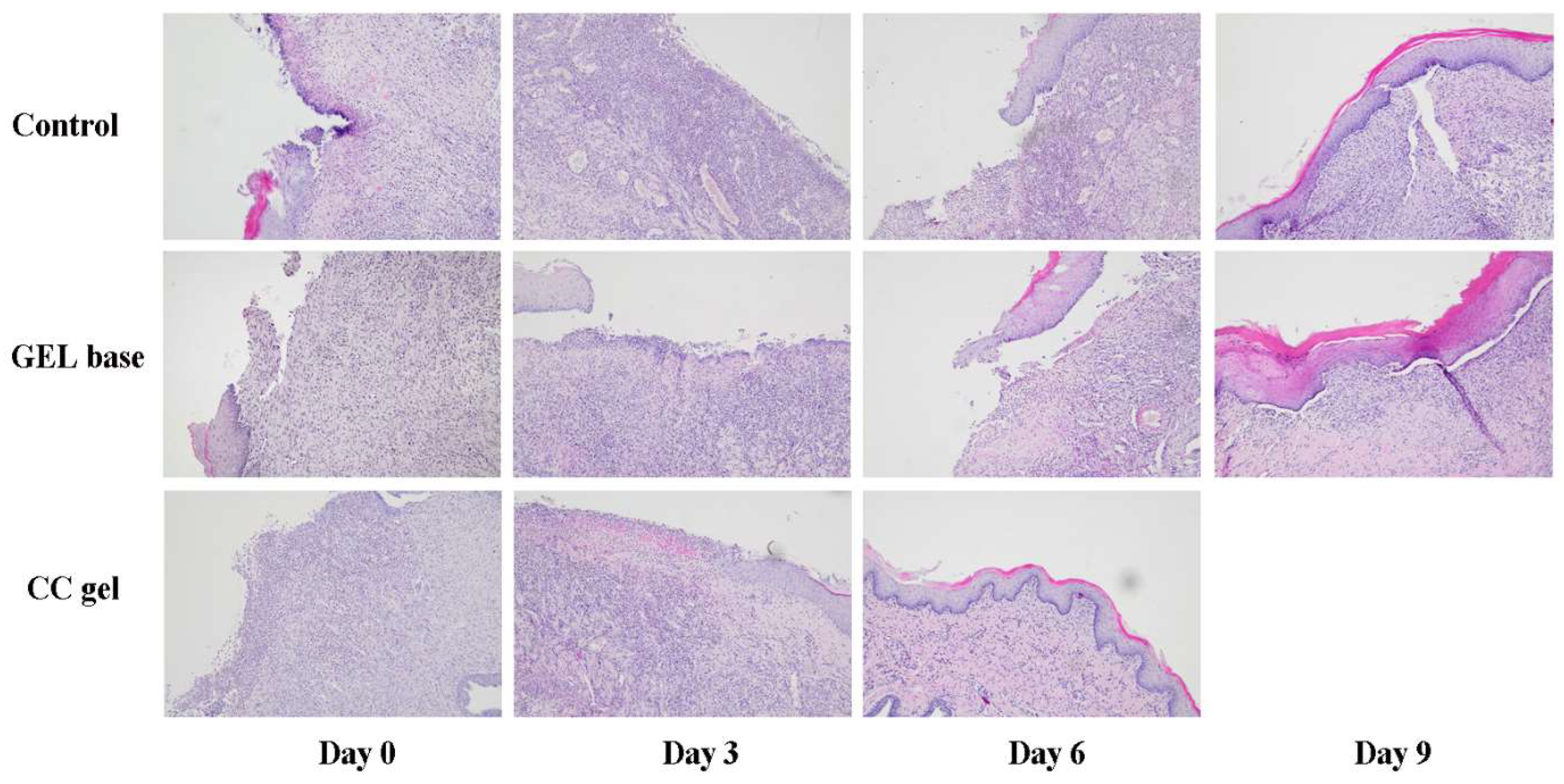
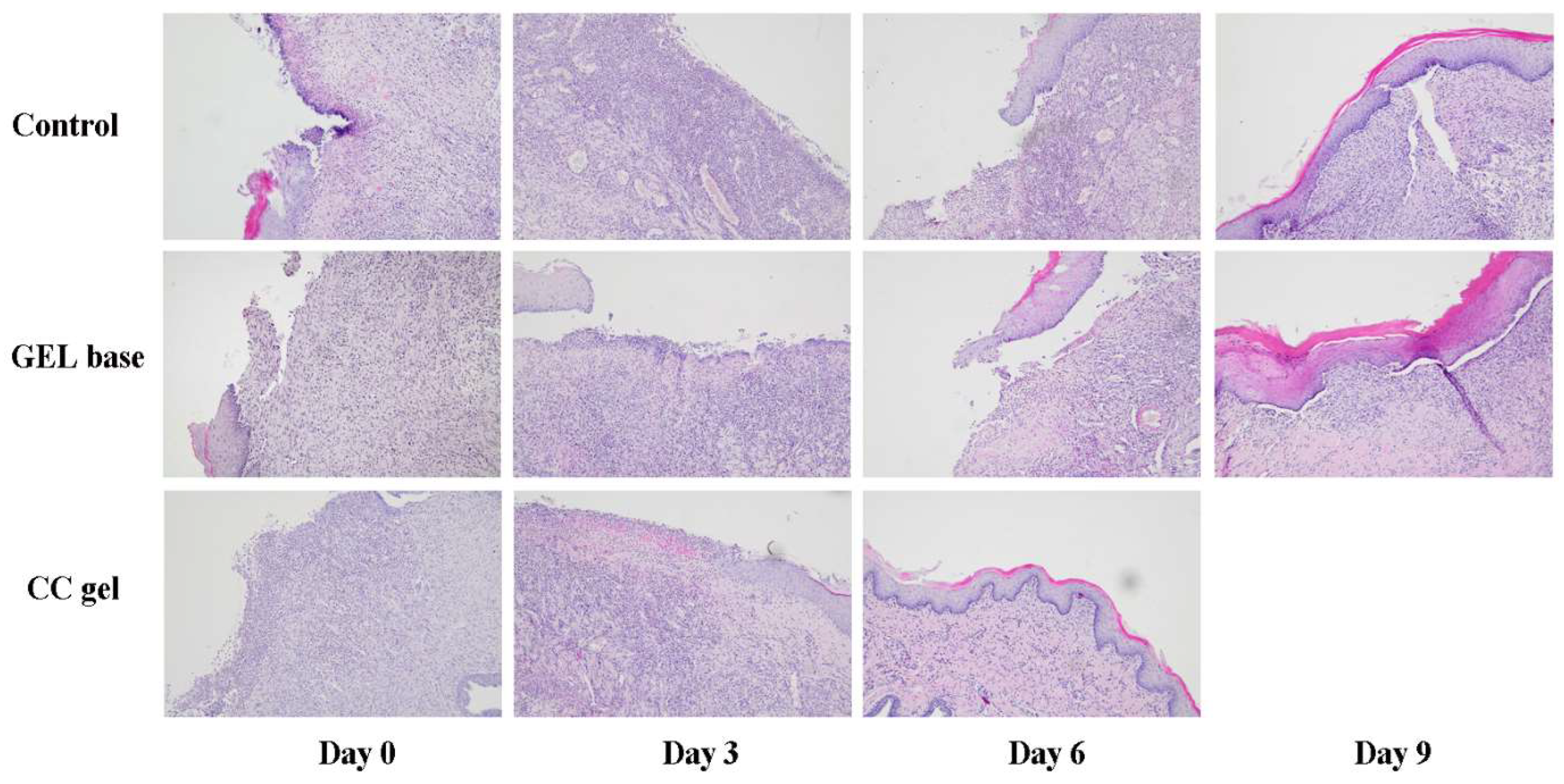
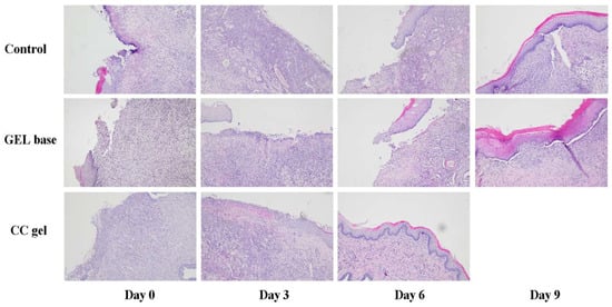
3.5. Histological Alterations
4. Conclusions
Supplementary Materials
Author Contributions
Funding
Institutional Review Board Statement
Informed Consent Statement
Data Availability Statement
Acknowledgments
Conflicts of Interest
References
- Novaković, M.; Vučković, I.; Janaćković, P.; Soković, M.; Filipović, A.; Tešević, V.; Milosavljević, S. Chemical Composition, Antibacterial and Antifungal Activity of the Essential Oils of Cotinus coggygria from Serbia. J. Serbian Chem. Soc. 2007, 72, 1045–1051. [Google Scholar] [CrossRef]
- Matić, S.; Stanić, S.; Mihailović, M.; Bogojević, D. Cotinus coggygria Scop.: An Overview of Its Chemical Constituents, Pharmacological and Toxicological Potential. Saudi J. Biol. Sci. 2015, 23, 452–461. [Google Scholar] [CrossRef]
- Antal, D.S.; Ardelean, F.; Jijie, R.; Pinzaru, I.; Soica, C.; Dehelean, C. Integrating Ethnobotany, Phytochemistry, and Pharmacology of Cotinus coggygria and Toxicodendron vernicifluum: What Predictions Can Be Made for the European Smoketree? Front. Pharmacol. 2021, 12, 662852. [Google Scholar] [CrossRef] [PubMed]
- Marčetić, M.; Božić, D.; Milenković, M.; Malešević, N.; Radulović, S.; Kovačević, N. Antimicrobial, Antioxidant and Anti-Inflammatory Activity of Young Shoots of the Smoke Tree, Cotinus coggygria Scop. Phytother. Res. 2013, 27, 1658–1663. [Google Scholar] [CrossRef]
- Šavikin, K.; Zdunic, G.; Jankovic, T.; Stanojkovic, T.; Juranic, Z.; Menkovic, N. In Vitro Cytotoxic and Antioxidative Activity of Cornus mas and Cotinus coggygria. Nat. Prod. Res. 2009, 23, 1731–1739. [Google Scholar] [CrossRef]
- Simić, M.; Vučićević, D.; Milenković, M.; Kovačević, N. Antioxidant and Anti-Inflammatory Activity of Cotinus coggygria Extracts. Planta Med. 2008, 74, PA63. [Google Scholar] [CrossRef]
- Ivanova, D.; Gerova, D.; Chervenkov, T.; Yankova, T. Polyphenols and Antioxidant Capacity of Bulgarian Medicinal Plants. J. Ethnopharmacol. 2005, 96, 145–150. [Google Scholar] [CrossRef]
- Aksoy, H.; Sen, A.; Sancar, M.; Sekerler, T.; Akakin, D.; Bitis, L.; Uras, F.; Kultur, S.; Izzettin, F.V. Ethanol Extract of Cotinus coggygria Leaves Accelerates Wound Healing Process in Diabetic Rats. Pharm. Biol. 2016, 54, 2732–2736. [Google Scholar] [CrossRef]
- Chiang, C.P.; Yu-Fong Chang, J.; Wang, Y.P.; Wu, Y.H.; Wu, Y.C.; Sun, A. Recurrent Aphthous Stomatitis–Etiology, Serum Autoantibodies, Anemia, Hematinic Deficiencies, and Management. J. Formos. Med. Assoc. 2019, 118, 1279–1289. [Google Scholar] [CrossRef]
- Vuletic, M.; Jakovljevic, V.; Zivanovic, S.; Papic, M.; Papic, M.; Mladenovic, R.; Zivkovic, V.; Srejovic, I.; Jeremic, J.; Andjic, M.; et al. The Evaluation of Healing Properties of Galium Verum-Based Oral Gel in Aphthous Stomatitis in Rats. Molecules 2022, 27, 4680. [Google Scholar] [CrossRef] [PubMed]
- Katebi, K.; Asr, S.Y.; Mahboobi, Z.; Faramarzi, E.; Sharififard, N. Recurrent Aphthous Stomatitis (RAS) and Its Related Factors among the Azar Cohort Population. BMC Oral Health 2025, 25, 596. [Google Scholar] [CrossRef]
- Zhao, W.; Zhang, Y.; Chen, J.; Hu, D. Revolutionizing Oral Care: Reactive Oxygen Species (ROS)-Regulating Biomaterials for Combating Infection and Inflammation. Redox Biol 2025, 79, 103451. [Google Scholar] [CrossRef]
- Diaz-Salmeron, R.; Toussaint, B.; Huang, N.; Bourgeois Ducournau, E.; Alviset, G.; Goulay Dufaÿ, S.; Hillaireau, H.; Dufaÿ Wojcicki, A.; Boudy, V. Mucoadhesive Poloxamer-Based Hydrogels for the Release of HP-β-Cd-Complexed Dexamethasone in the Treatment of Buccal Diseases. Pharmaceutics 2021, 13, 117. [Google Scholar] [CrossRef]
- Gurav, N.H.; Husukale, P.S. Development and Evaluation of In Situ Gel Formation for Treatment of Mouth Ulcer. Turk. J. Pharm. Sci. 2023, 20, 185–197. [Google Scholar] [CrossRef] [PubMed]
- Zheng, P.; Liu, X.; Jiao, Y.; Mao, X.; Zong, Z.; Jia, Q.; Jiang, H.; Lee, E.-S.; Chen, Q. Preparation and Evaluation of Poloxamer/Carbopol In-Situ Gel Loaded with Quercetin: In-Vitro Drug Release and Cell Viability Study. Tissue Eng. Regen. Med. 2024, 21, 1153–1171. [Google Scholar] [CrossRef] [PubMed]
- Li, T.; Bao, Q.; Shen, J.; Lalla, R.V.; Burgess, D.J. Mucoadhesive in Situ Forming Gel for Oral Mucositis Pain Control. Int. J. Pharm. 2020, 580, 119238. [Google Scholar] [CrossRef] [PubMed]
- Stojković, D.; Dragičević, N.; Ivanov, M.; Gajović, N.; Jurišević, M.; Jovanović, I.; Tomović, M.; Živković, J. New Evidence for Cotinus coggygria Scop. Extracts Application in Gastrointestinal Ailments. Pharmaceuticals 2025, 18, 98. [Google Scholar] [CrossRef]
- Ainsworth, E.A.; Gillespie, K.M. Estimation of Total Phenolic Content and Other Oxidation Substrates in Plant Tissues Using Folin-Ciocalteu Reagent. Nat. Protoc. 2007, 2, 875–877. [Google Scholar] [CrossRef]
- Slinkard, K.; Singleton, V.L. Total Phenol Analysis: Automation and Comparison with Manual Methods. Am. J. Enol. Vitic. 1977, 28, 49–55. [Google Scholar] [CrossRef]
- Chang, C.C.; Yang, M.H.; Wen, H.M.; Chern, J.C. Estimation of Total Flavonoid Content in Propolis by Two Complementary Colometric Methods. J. Food Drug Anal. 2002, 10, 3. [Google Scholar] [CrossRef]
- Hsu, C.Y.; Chan, Y.P.; Chang, J. Antioxidant Activity of Extract from Polygonum cuspidatum. Biol. Res. 2007, 40, 13–21. [Google Scholar] [CrossRef]
- Brand-Williams, W.; Cuvelier, M.E.; Berset, C. Use of a Free Radical Method to Evaluate Antioxidant Activity. LWT-Food Sci. Technol. 1995, 28, 25–30. [Google Scholar] [CrossRef]
- Mishra, K.; Ojha, H.; Chaudhury, N.K. Estimation of Antiradical Properties of Antioxidants Using DPPH-Assay: A Critical Review and Results. Food Chem. 2012, 130, 1036–1043. [Google Scholar] [CrossRef]
- Bradic, J.; Petrovic, A.; Nikolic, M.; Nedeljkovic, N.; Andjic, M.; Baljak, J.; Jakovljevic, V.; Kocovic, A.; Tadic, V.; Stojanovic, A.; et al. Potentilla Tormentilla Extract Loaded Gel: Formulation, In Vivo and In Silico Evaluation of Anti-Inflammatory Properties. Int. J. Mol. Sci. 2024, 25, 9389. [Google Scholar] [CrossRef]
- Bradic, J.; Petrovic, A.; Nikolic, M.; Nedeljkovic, N.; Andjic, M.; Kladar, N.; Bolevich, S.; Jakovljevic, V.; Kocovic, A. Newly Developed Semi-Solid Formulations Containing Mellilotus Officinalis Extract: Characterization, Assessment of Stability, Safety, and Anti-Inflammatory Activity. Pharmaceutics 2024, 16, 1003. [Google Scholar] [CrossRef]
- Dragicevic, N.; Predic-Atkinson, J.; Nikolic, B.; Malic, Z. Coenzyme Q10-Loaded Nanoemulsion Hydrophilic Gel: Development, Characterization, Stability Evaluation and in Vivo Effects in Skin. J. Drug Deliv. Sci. Technol. 2024, 92, 105383. [Google Scholar] [CrossRef]
- Bradic, J.; Andjic, M.; Novakovic, J.; Kocovic, A.; Tomovic, M.; Petrovic, A.; Nikolic, M.; Mitrovic, S.; Jakovljevic, V.; Pecarski, D. Lady’s Bedstraw as a Powerful Antioxidant for Attenuation of Doxorubicin-Induced Cardiotoxicity. Antioxidants 2023, 12, 1277. [Google Scholar] [CrossRef]
- Wang, T.; Lv, L.; Feng, H.; Gu, W. Unlocking the Potential: Quercetin and Its Natural Derivatives as Promising Therapeutics for Sepsis. Biomedicines 2024, 12, 444. [Google Scholar] [CrossRef]
- Kumar, N.; Goel, N. Phenolic Acids: Natural Versatile Molecules with Promising Therapeutic Applications. Biotechnol. Rep. 2019, 24, e00370. [Google Scholar] [CrossRef]
- Shaboyan, N.K.; Moghrovyan, A.V.; Dumanyan, K.H.; Ghukasyan, N.H.; Altunyan, A.A.; Arshakyan, N.I.; Ghazaryan, A.M.; Ulikhanyan, G.R.; Ginosyan, A.L.; Dadayan, A.S.; et al. Phytochemical Analysis and Antioxidant Activity of Cotinus coggygria Scop. From Armenian Flora. Pharmacogn. J. 2021, 13, 933–941. [Google Scholar] [CrossRef]
- Syed, M.A.; Hanif, S.; Ain, N.U.; Syed, H.K.; Zahoor, A.F.; Khan, I.U.; Abualsunun, W.A.; Jali, A.M.; Qahl, S.H.; Sultan, M.H.; et al. Assessment of Binary Agarose–Carbopol Buccal Gels for Mucoadhesive Drug Delivery: Ex Vivo and In Vivo Characterization. Molecules 2022, 27, 7004. [Google Scholar] [CrossRef]
- Wahyuni, I.S.; Sufiawati, I.; Shafuria, A.; Nittayananta, W.; Levita, J. Formulation and Evaluation of Mucoadhesive Oral Care Gel Containing Kaempferia galanga Extract. Pharmaceutics 2024, 16, 421. [Google Scholar] [CrossRef] [PubMed]
- Baliga, S.; Muglikar, S.; Kale, R. Salivary PH: A Diagnostic Biomarker. J. Indian. Soc. Periodontol. 2013, 17, 461–465. [Google Scholar] [CrossRef] [PubMed]
- Tadić, V.M.; Žugić, A.; Martinović, M.; Stanković, M.; Maksimović, S.; Frank, A.; Nešić, I. Enhanced Skin Performance of Emulgel vs. Cream as Systems for Topical Delivery of Herbal Actives (Immortelle Extract and Hemp Oil). Pharmaceutics 2021, 13, 1919. [Google Scholar] [CrossRef]
- Agarwala, S. Electrically Conducting Hydrogels for Health Care: Concept, Fabrication Methods, and Applications. Int. J. Bioprint. 2020, 6, 1–15. [Google Scholar] [CrossRef]
- Opatha, S.A.T.; Titapiwatanakun, V.; Boonpisutiinant, K.; Chutoprapat, R. Preparation, Characterization and Permeation Study of Topical Gel Loaded with Transfersomes Containing Asiatic Acid. Molecules 2022, 27, 4865. [Google Scholar] [CrossRef]
- Tamburic, S.; Craig, D.Q.M. The Effects of Ageing on the Rheological, Dielectric and Mucoadhesive Properties of Poly(Acrylic Acid) Gel Systems. Pharm. Res. 1996, 13, 886. [Google Scholar] [CrossRef] [PubMed]
- Tamburic, S.; Craig, D.Q.M. An Investigation into the Rheological, Dielectric and Mucoadhesive Properties of Poly(Acrylic Acid) Gel Systems. J. Control. Release 1995, 37, 59–68. [Google Scholar] [CrossRef]
- Dragicevic-Curic, N.; Winter, S.; Stupar, M.; Milic, J.; Krajišnik, D.; Gitter, B.; Fahr, A. Temoporfin-Loaded Liposomal Gels: Viscoelastic Properties and in Vitro Skin Penetration. Int. J. Pharm. 2009, 373, 77–84. [Google Scholar] [CrossRef]
- Gašperlin, M.; Tušar, L.; Tušar, M.; Šmid-Korbar, J.; Zupan, J.; Kristl, J. Viscosity Prediction of Lipophilic Semisolid Emulsion Systems by Neural Network Modelling. Int. J. Pharm. 2000, 196, 37–50. [Google Scholar] [CrossRef]
- Idrus, E.; Hartanti, P.D.; Suniarti, D.F.; Prasetyo, S.R.; Wimardhani, Y.S.; Subarnbhesaj, A. An Experimental Model of Chemically-Induced Ulceration of the Buccal Mucosa of Mus musculus. Makara J. Health Res. 2019, 23, 181–187. [Google Scholar] [CrossRef]
- Khounganian, R.; Auda, S.; Al-Zaqzouq, R.; Al-Zaqzouq, R.; Al-Semari, H.; Shakeel, F. Effect of Two Different Delivery Systems of Honey on the Healing of Oral Ulcer in an Animal Model. J. Food Sci. Technol. 2020, 57, 4211–4219. [Google Scholar] [CrossRef] [PubMed]
- Yilmaz Ozdogan, C.; Kenar, H.; Uzuner, H.; Karadenizli, A. Atelocollagen-Based Hydrogel Loaded with Cotinus coggygria Extract for Treatment of Type 2 Diabetic Wounds. Biomed. Mater. 2025, 20, 025009. [Google Scholar] [CrossRef]
- Auh, Q.S.; Park, K.R.; Yun, H.M.; Lim, H.C.; Kim, G.H.; Lee, D.S.; Kim, Y.C.; Oh, H.; Kim, E.C. Sulfuretin Promotes Osteoblastic Differentiation in Primary Cultured Osteoblasts and in Vivo Bone Healing. Oncotarget 2016, 7, 78320–78330. [Google Scholar] [CrossRef]
- Li, M.C.; Liu, J.J.; Liu, J.; Bai, H.Y.; Zhao, M.M.; Liu, J.Y.; Xu, Y.N.; Ren, X.H. Sulfuretin: Unraveling Its Potent Therapeutic Potential in a Holistic Literature Review. Fitoterapia 2025, 182, 106490. [Google Scholar] [CrossRef]
- Suharyani, I.; Mohammed, A.F.A.; Muchtaridi, M.; Wathoni, N.; Abdassah, M. Evolution of Drug Delivery Systems for Recurrent Aphthous Stomatitis. Drug Des. Dev. Ther. 2021, 15, 4071–4089. [Google Scholar] [CrossRef]
- Estornut, C.; Rinaldi, G.; Carceller, M.C.; Estornut, S.; Pérez-Leal, M. Systemic and Local Effect of Oxidative Stress on Recurrent Aphthous Stomatitis: Systematic Review. J. Mol. Med. 2024, 102, 453–463. [Google Scholar] [CrossRef]
- Ghasemi, S.; Farokhpour, F.; Mortezagholi, B.; Movahed, E.; Ghaedi, A.; Gargari, M.K.; Khanzadeh, M.; Bazrgar, A.; Khanzadeh, S. Systematic Review and Meta-Analysis of Oxidative Stress and Antioxidant Markers in Recurrent Aphthous Stomatitis. BMC Oral Health 2023, 23, 960. [Google Scholar] [CrossRef]
- Sardaro, N.; della Vella, F.; Incalza, M.A.; Stasio, D.D.I.; Lucchese, A.; Contaldo, M.; Laudadio, C.; Petruzzi, M. Oxidative Stress and Oral Mucosal Diseases: An Overview. In Vivo 2019, 33, 289–296. [Google Scholar] [CrossRef] [PubMed]
- Ivanovska, A.; Petrović, A.; Lazarević-Pašti, T.; Ilic-Tomic, T.; Dimić-Mišić, K.; Lađarević, J.; Bradić, J. Development of Bioactive Cotton, Wool, and Silk Fabrics Functionalized with Origanum vulgare L. for Healthcare and Medical Applications: An In Vivo Study. Pharmaceutics 2025, 17, 856. [Google Scholar] [CrossRef]
- Aksoy, H.; Sancar, M.; Sen, A.; Okuyan, B.; Bitis, L.; Uras, F.; Akakin, D.; Cevik, O.; Kultur, S.; Izzettin, F.V. The Effect of Topical Ethanol Extract of Cotinus coggygria Scop. on Cutaneous Wound Healing in Rats. Nat. Prod. Res. 2016, 30, 452–455. [Google Scholar] [CrossRef] [PubMed]
- Lee, Y.R.; Hwang, J.K.; Koh, H.W.; Jang, K.Y.; Lee, J.H.; Park, J.W.; Park, B.H. Sulfuretin, a Major Flavonoid Isolated from Rhus verniciflua, Ameliorates Experimental Arthritis in Mice. Life Sci. 2012, 90, 799–807. [Google Scholar] [CrossRef]
- Wen, S.D.; Sans-Serramitjana, E.; Santander, J.F.; Sánchez, M.R.; Salazar-Aguilar, P.; Zepeda, A.B.; Alvarado, S.I.; Miranda, I.B. Effects of Natural Extracts in the Treatment of Oral Ulcers: A Systematic Review of Evidence from Experimental Studies in Animals. J. Clin. Exp. Dent. 2021, 13, e1038–e1048. [Google Scholar] [CrossRef]
- Abbasi, F.; Rasoulzadeh, Z.; Yavari, A. The Effect of Sage (Salvizan Gel) Compared to Triamcinolone Acetonide on the Treatment of Recurrent Aphthous Stomatitis: A Double-Blinded Randomized Clinical Trial. BMC Oral Health 2023, 23, 157. [Google Scholar] [CrossRef] [PubMed]
- Lou, J.; Duan, H.; Qin, Q.; Teng, Z.; Gan, F.; Zhou, X.; Zhou, X. Advances in Oral Drug Delivery Systems: Challenges and Opportunities. Pharmaceutics 2023, 15, 484. [Google Scholar] [CrossRef] [PubMed]












| Polyphenolic Compounds | Content (μg/g dw) |
|---|---|
| Fisetin | 20.79 ± 1.03 |
| Hyperoside | 5.62 ± 0.18 |
| Rutin | 0.84 ± 0.03 |
| Isoquercitrin | 2.11 ± 0.11 |
| Gallic acid | 1.17 ± 0.04 |
| Chlorogenic acid | 0.90 ± 0.02 |
| Ellagic acid | 0.57 ± 0.02 |
| Quercetin | 1.01 ± 0.05 |
| Quercitrin | tr. * |
| Sulfuretin | 154.62 ± 7.63 |
| TPC (mg GAE/g DE) | TFC Q (mg QE/g DE) | TFC R (mg RE/g DE) | |
|---|---|---|---|
| CC | 1504.00 ± 7.15 | 875.87 ± 2.10 | 1460.79 ± 3.44 |
| DPPH (IC50 µg/mL) | |
|---|---|
| CC | 292.02 ± 24.28 |
| AA | 9.12 ± 1.91 |
| Trolox | 14.22 ± 3.92 |
| Parameter | 1 Day | 60 Days | 180 Days | 1 Day | 60 Days | 180 Days |
|---|---|---|---|---|---|---|
| Color | White | White | White | Brownish | Brownish | Brownish |
| Odor | / | / | / | Characteristic odor of the extract | Characteristic odor of the extract | Characteristic odor of the extract |
| Consistency | Semi-solid | Semi-solid | Semi-solid | Semi-solid | Semi-solid | Semi-solid |
| Homogeneity | No phase separation | No phase separation | No phase separation | No phase separation | No phase separation | No phase separation |
| 0 Day | 3 Days | 6 Days | 9 Days | |
|---|---|---|---|---|
| Control | 2.00 ± 0.00 | 2.90 ± 0.15 | 3.90 ± 0.15 | 4.90 ± 0.15 |
| Gel base | 2.32 ± 0.04 | 3.3 ± 0.04 | 4.32 ± 0.04 | 5.0 ± 0.00 |
| CC gel | 2.68 ± 0.04 | 4.0 ± 0.00 | 5.0 ± 0.00 | NA |
Disclaimer/Publisher’s Note: The statements, opinions and data contained in all publications are solely those of the individual author(s) and contributor(s) and not of MDPI and/or the editor(s). MDPI and/or the editor(s) disclaim responsibility for any injury to people or property resulting from any ideas, methods, instructions or products referred to in the content. |
© 2025 by the authors. Licensee MDPI, Basel, Switzerland. This article is an open access article distributed under the terms and conditions of the Creative Commons Attribution (CC BY) license (https://creativecommons.org/licenses/by/4.0/).
Share and Cite
Bradic, J.; Vuletic, M.; Jakovljevic, V.; Sretenovic, J.; Zivanovic, S.; Tomovic, M.; Zivkovic, J.; Kocovic, A.; Dragicevic, N. Oral Gel Formulation of Cotinus coggygria Scop. Stem Bark Extract: Development, Characterization, and Therapeutic Efficacy in a Rat Model of Aphthous Stomatitis. Pharmaceutics 2025, 17, 1293. https://doi.org/10.3390/pharmaceutics17101293
Bradic J, Vuletic M, Jakovljevic V, Sretenovic J, Zivanovic S, Tomovic M, Zivkovic J, Kocovic A, Dragicevic N. Oral Gel Formulation of Cotinus coggygria Scop. Stem Bark Extract: Development, Characterization, and Therapeutic Efficacy in a Rat Model of Aphthous Stomatitis. Pharmaceutics. 2025; 17(10):1293. https://doi.org/10.3390/pharmaceutics17101293
Chicago/Turabian StyleBradic, Jovana, Miona Vuletic, Vladimir Jakovljevic, Jasmina Sretenovic, Suzana Zivanovic, Marina Tomovic, Jelena Zivkovic, Aleksandar Kocovic, and Nina Dragicevic. 2025. "Oral Gel Formulation of Cotinus coggygria Scop. Stem Bark Extract: Development, Characterization, and Therapeutic Efficacy in a Rat Model of Aphthous Stomatitis" Pharmaceutics 17, no. 10: 1293. https://doi.org/10.3390/pharmaceutics17101293
APA StyleBradic, J., Vuletic, M., Jakovljevic, V., Sretenovic, J., Zivanovic, S., Tomovic, M., Zivkovic, J., Kocovic, A., & Dragicevic, N. (2025). Oral Gel Formulation of Cotinus coggygria Scop. Stem Bark Extract: Development, Characterization, and Therapeutic Efficacy in a Rat Model of Aphthous Stomatitis. Pharmaceutics, 17(10), 1293. https://doi.org/10.3390/pharmaceutics17101293

