Polyphenols and Phenolic Glucosides in Antibacterial Twig Extracts of Naturally Occurring Salix myrsinifolia (Salisb.), S. phylicifolia (L.) and S. starkeana (Willd.) and the Cultivated Hybrid S. x pendulina (Wender.)
Abstract
1. Introduction
2. Materials and Methods
2.1. Plant Collections
2.2. Extraction Methods
2.2.1. Water Extracts
2.2.2. Methanol Extracts
2.3. Antimicrobial Assays
2.3.1. Bacterial Strains and Pure Compounds
2.3.2. Agar Diffusion Assays
2.3.3. Turbidimetric Microplate Assay
2.3.4. Statistical Analysis and Data Management
2.3.5. Microplate Method Measuring Optical Density Combined with a Plate Count Method to Assess Time-Kill Effects
2.4. Phytochemical Assays
UPLC/QTOF-MS Analysis
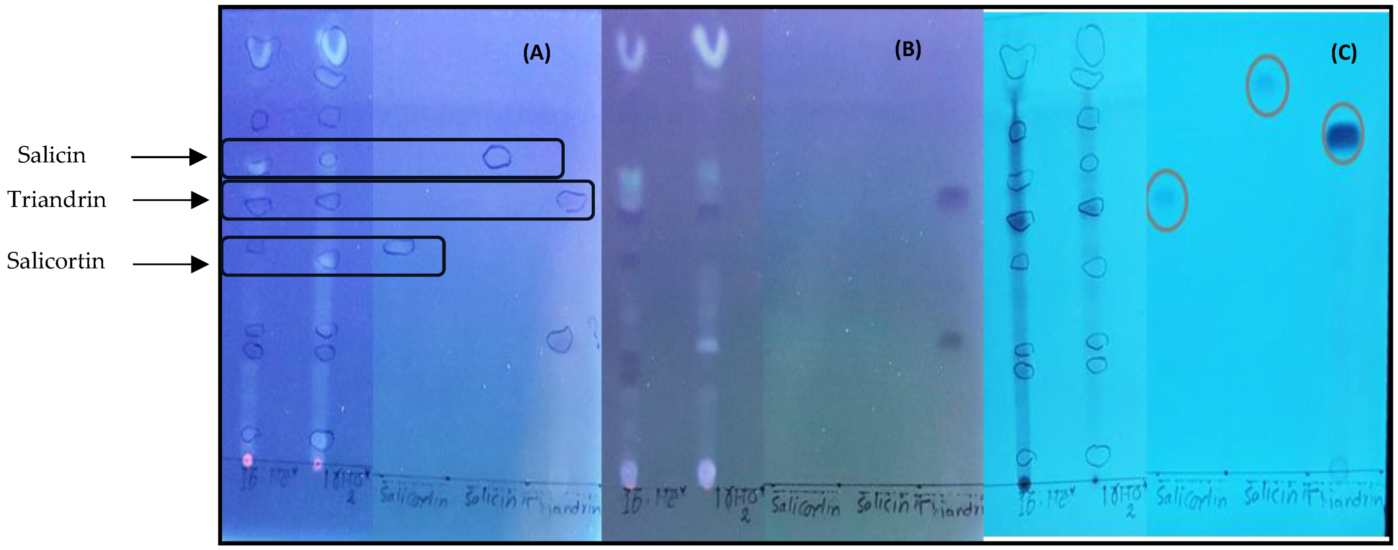
2.5. Qualitative Antioxidant Analysis of S. starkeana Extracts Using a TLC and DPPH Assay
3. Results
3.1. Description of the Collected Species
3.1.1. Pale Willow-Salix starkeana subs. starkeana (Willd.), Voucher No. 856578
3.1.2. Dark-Leaved Willow—Salix myrsinifolia (Salisb.), Voucher No. 856575
3.1.3. Tea-Leaved Willow-Salix phylicifolia (L.), Voucher No. 856576
3.1.4. Weeping Crack Willow-S. x pendulina (Wender.), Voucher No. H856569
3.2. Extraction Yields
3.3. Antimicrobial Effects of Salix Extracts
| Plant Extracts | P. aeruginosa | S. aureus | E. coli | Bacillus cereus | ||||
|---|---|---|---|---|---|---|---|---|
| IZD | MIC/GI% | IZD | MIC/GI% | IZD | MIC/GI% | IZD | MIC/GI% | |
| S. pendulina. HH2O | NA | ˃2500 (CI 44) | 16.83 ± 0.4 | NA | 14.00 ± 0.0 | NA | 21.67 ± 0.3 | ˃2500 (CI 11) |
| S. pendulina. H2O* | NA | NA | 16.00 ± 0.3 | ˃2500 (CI 44) | NA | NA | NA | |
| S. pendulina. Me* | 25.00 ± 0.1 | ˃2500 (CI 80) | 22.00 ± 0.4 | NT | NA | 22.00 ± 0.0 | ˃2500 (CI 51) | |
| S. phylicifolia. Me* | 26 ± 0.4 | ˃2500 (CI 71) | 24.00 ± 0.2 | 2500 * (CI 91 *) | NT | NT | 23.00 ± 0.2 | ˃2500 (CI 58) |
| S. phylicifolia. HH2O | 20.5 ± 0.2 | ˃2500 (CI 36) | 21.00 ± 0.2 | 2500 * (CI 106 *) | NA | 19.5 ± 0.3 | 59.29 (CI 59) | |
| S. phylicifolia. H2O* | 23.00 ± 0.4 | ˃2500 (CI 68) | NT | ˃2500 (CI 52) | NA | 15.4 ± 0.0 | ˃2500 (CI 31) | |
| S. myrsinifolia. Me* | 21.33 ± 1.2 | ˃2500 (CI 63) | 24.17 ± 0.4 | 1250 * (CI 93 *) | 17.00 ± 0.0 | ˃2500 (CI 86) | 23 ± 0.2 | 1250 * (CI 99 *) |
| S. myrsinifolia. HH2O | 24 ± 0.3 | ˃2500 (CI 87 *) | 22.00 ± 0.3 | 2500 * (CI 108 *) | 20 ± 0.2 | ˃2500 (CI 56) | 22 ± 0.4 | 2500 * (CI 106 *) |
| S. myrsinifolia. H2O* | 20 ± 0.3 | ˃2500 (CI 51) | NT | ˃2500 (CI 83 *) | NA | 21 ± 0.0 | ˃2500 * (CI 89 *) | |
| S. starkeana. Me* | 23 ± 0.0 | ˃2500 (CI 83 *) | 25 ± 0.3 | 1250 * (CI 99 *) | NA | 24 ± 0.3 | 625 * (CI 91 *) | |
| S. starkeana. HH2O | 22.00 ± 0.3 | ˃2500 (CI 57) | 20.00 ± 0.4 | ˃2500 (CI 61) | NA | 19.00 ± 0.0 | ˃2500 (CI 87 *) | |
| S. starkeana. H2O* | 17 ± 0.4 | ˃2500 (CI 62) | 16 ± 0.2 | ˃2500 (CI 21) | NA | 18 ± 0.3 | ˃2500 (CI 40) | |
| Pure Compounds and Antibiotics | ||||||||
| Procyanidin B1 | ˃500 (CI 49) | NT | NT | 250 (CI 95) | ||||
| Catechin | ˃500 (CI 33) | NT | NT | 250 (CI 98) | ||||
| Naringenin | ˃500 (CI 39) | NT | NT | NT | ||||
| Tremulacin | ˃500 (CI 47) | NT | NT | NT | ||||
| Acetyl-salicortin | ˃500 (CI 20) | NT | NT | ˃500 (CI 76) | ||||
| Salicortin | ˃500 (CI 20) | NT | NT | ˃500 (CI 68) | ||||
| Salireposide | ˃500 (CI 23) | NT | NT | NT | ||||
| Populin | ˃500 (CI 39) | NT | NT | NT | ||||
| Salicyloyl salicin | ˃500 (CI 39) | NT | NT | NT | ||||
| Salicin | ˃500 (CI 26) | NT | NT | NT | ||||
| Taxifolin | ˃500 (CI 33) | NT | NT | 250 (CI 99) | ||||
| trans-m-HCA | ˃500 (CI 26) | NT | NT | ˃500 (CI 70) | ||||
| trans-p-HCA | ˃500 (CI 26) | NT | NT | 250 (CI 99) | ||||
| Tetracycline | 62.5 (CI 100) | 0.24 (CI 94) | 0.98 | 0.49 (CI 100) | ||||
| Ciprofloxacin HCL | NT | NT | NT | 0.06 (CI 96) | ||||
| Rifampicin | NT | 0.015 (CI 99) | 15.63 | 0.244 (CI 96) | ||||
3.4. Time-Kill Effects of an S. myrsinifolia Twig Methanol Extract against B. cereus
3.5. Antibacterial Effects of Compounds Present in Salix spp.
3.6. Antioxidant Effects of a Methanol Twig Extract of S. starkeana
3.7. Phytochemical Analysis of a S. myrsinifolia Methanol Twig Extract Using UPLC/QTOF-MS
| Compounds | Rt UPLC | m/z [M–H]− | Chem. Formula | Calc m/z | Error (mDa) | Error (ppm) |
|---|---|---|---|---|---|---|
| Caffeoylhexose (1) | 0.22 | 341.0872 | C15H18O9 | 341.1079 | 0.2 | 0.6 |
| Salicylate derivative (2) | 0.42 | 411.0237 | C5H12N6O16 | 411.0232 | 0.5 | 1.2 |
| Procyanidin (catechin-gallocatechin dimer) (3) | 0.50 | 593.1290 | C30H26O13 | 593.1295 | −0.5 | −0.8 |
| Protocatechuoylglucose I (4) | 0.54 | 315.0714 | C13H16O9 | 315.0716 | −0.2 | −0.6 |
| Epigallocatechin (5) | 0.56 | 305.0661 | C15H14O7 | 305.0661 | 0.0 | 0.0 |
| Prodelphinidin (catechin-gallocatechin dimer) (6) | 0.62 | 593.1294 | C30H26O13 | 593.1295 | −0.1 | −0.2 |
| Protocatechuoylglucose II (7) | 0.64 | 315.0708 | C13H16O9 | 315.0716 | −0.8 | −2.5 |
| Salicin-7-sulfate (8) | 0.68 | 365.0544 | C13H18O10S | 366.0542 | −0.4 | −1.1 |
| Epigallocatechin-epicatechin-epicatechin (9) | 0.75 | 881.1914 | C45H38O19 | 881.1929 | −1.5 | −1.7 |
| Salicin (10a) * | 0.76 | 285.0977 | C13H18O7 | 285.0977 | 0.0 | 0.0 |
| Tryptophan (10b) | 0.78 | 203.0814 | C11H12N2O2 | 203.0821 | −0.7 | −3.4 |
| Caffeoylhexose isomer (11) | 0.79 | 341.0872 | C15H18O9 | 341.0873 | −0.1 | −0.3 |
| Procyanidin B1 (12) * | 0.88 | 577.1348 | C30H26O12 | 577.1346 | −0.2 | −0.3 |
| Salicylic acid glucoside (13) | 0.92 | 299.0752 | C13H16O8 | 299.0767 | −1.5 | −5.0 |
| Catechin (14) | 0.94 | 289.0706 | C15H14O6 | 289.0712 | −0.7 | −2.4 |
| Coumaric acid 2-glucoside (15) | 1.01 | 325.0922 | C15H18O8 | 325.0923 | −0.1 | −0.3 |
| Flavonoid pentose (16) | 1.06 | 491.1765 | C21H32O13 | 491.1765 | 0.0 | 0.0 |
| Benzyl-β-primeveroside (17) | 1.21 | 401.1452 | C18H26O10 | 401.1448 | 0.4 | 1.0 |
| Unknown compound | 1.31 | 357.0813 | C15H18O10 | 357.0822 | −0.9 | −2.5 |
| Procyanidin B1 dimer (18) | 1.39 | 577.1322 | C30H26O12 | 577.1346 | −2.4 | −4.2 |
| Salicin derivative (19a) | 1.40 | 373.1183 | C16H22O10 | 373.1135 | 4.8 | |
| Catechin dervative (19b) | 1.45 | 479.0815 | C21H20O13 | 479.0826 | −1.1 | −2.3 |
| Unknown compound (20) | 1.57 | 715.1660 | C37H32O15 | 715.1663 | −0.3 | −0.4 |
| Robinetidinol-6-Catechin (21a) | 1.62 | 557.1644 | C28H30O12 | 557.1659 | −1.5 | −2.7 |
| Rutin syn. quercetin rutinoside (21b) | 1.65 | 609.1445 | C27H30O16 | 609.1456 | −1.1 | −1.8 |
| Quercetin-3-O-glucoside (Isoquercitrin) (22a) | 1.68 | 463.0872 | C21H20O12 | 463.0877 | −0.5 | −1.1 |
| Taxifolin (22b) | 1.69 | 303.0500 | C15H12O7 | 303.0505 | −0.5 | −1.6 |
| Epicatechin (23) | 1.74 | 289.0707 | C15H14O6 | 289.0712 | −0.5 | −1.7 |
| Luteolin glucoside (24) | 1.76 | 447.0925 | C21H20O11 | 447.0927 | −0.2 | −0.4 |
| Salicortin (25) * | 1.79 | 423.1288 | C20H24O10 | 423.1291 | −0.3 | −0.7 |
| Naringenin glucoside (26) | 1.84 | 433.0762 | C20H18O11 | 433.0771 | −0.9 | −2.1 |
| Protocatechuic acid-salicylhexoside (27) | 1.89 | 435.0917 | C20H20O11 | 435.0927 | −1.0 | −2.3 |
| Catechin derivative (28a) | 1.94 | 427.1019 | C22H20O9 | 427.1029 | −1.0 | −2.3 |
| Naringenin (28a) | 1.94 | 271.0599 | C15H12O5 | 271.0606 | −0.7 | −2.6 |
| Unknown compound (28b) | 1.94 | 855.2122 | C44H40O18 | 855.2136 | −1.4 | −1.6 |
| Catechin derivative (28c) | 1.94 | 289.0701 | C15H14O6 | 289.0712 | −1.1 | −3.8 |
| Unknown compound (29) | 1.95 | 439.1603 | C21H28O10 | 439.1604 | −0.1 | −0.2 |
| Isorhamnetin glycoside (30) | 2.00 | 477.1024 | C22H22O12 | 477.1033 | −0.9 | −1.9 |
| Naringenin derivative (31a) | 2.02 | 271.0599 | C15H12O5 | 271.0606 | −0.7 | −2.6 |
| Luteolin derivative (31b) | 2.03 | 287.0545 | C15H12O6 | 287.0556 | −1.1 | −3.8 |
| Helicin (salicylaldehyde-B-D-glucoside) (32) | 2.10 | 283.0808 | C13H16O7 | 283.0818 | −1.0 | −3.5 |
| Salicortin derivative (33) | 2.25 | 423.1646 | C21H28O9 | 423.1655 | −0.9 | −2.1 |
| Acetyl-salicortin with formic acid (34) | 2.31 | 511.1441 | C23H28O13 | 511.1452 | −1.1 | −2.2 |
| Acetyl-O-salicortin (35) | 2.32 | 465.1394 | C22H26O11 | 465.1397 | −0.3 | −0.6 |
| Salireposide (36a) | 2.32 | 405.1174 | C20H22O9 | 405.1186 | −1.2 | −3.0 |
| Catechin pentoside (36b) | 2.37 | 421.1288 | C20H22O10 | 421.1287 | 0.1 | 0.2 |
| Salicortin derivative (37) | 2.40 | 423.1646 | C21H28O9 | 423.1655 | −0.9 | −2.1 |
| Luteolin (38) | 2.54 | 285.0391 | C15H10O6 | 285.0399 | −0.8 | −2.8 |
| Unknown compound (39) | 2.78 | 585.1600 | C29H28O13 | 585.1608 | −0.8 | −1.4 |
| Naringenin derivative (40) | 2.88 | 271.0602 | C15H12O5 | 271.0606 | −0.4 | −1.5 |
| Unknown compound (41) | 2.95 | 581.2022 | C38H30O6 | 581.1964 | 5.8 | |
| Acetyl-salicortin derivative (42) | 3.04 | 465.1387 | C22H26O11 | 465.1397 | −1.0 | −2.1 |
| Salicortin derivative (43) | 3.07 | 423.1289 | C20H24O10 | 423.1291 | −0.2 | −0.5 |
| Unknown compound (44) | 3.12 | 809.3012 | C42H50O16 | 809.3021 | −0.9 | −1.1 |
| Unknown compound (45) | 3.20 | 327.2172 | C18H32O5 | 327.2171 | 0.1 | 0.3 |
| Salicortin derivative (46) | 3.36 | 423.1291 | C20H24O10 | 423.1291 | 0.0 | 0.0 |
| Unknown compound (47) | 3.46 | 329.2322 | C18H34O5 | 329.2328 | −0.6 | −1.8 |
| Unknown compound (48) | 3.58 | 703.0000 | C45H35O8 | 703.0000 | 0.0 | 0.0 |
| Methylated catechin glucopyranoside (49) | 3.65 | 465.1389 | C22H26O11 | 465.1397 | −0.8 | −1.7 |
4. Discussion
4.1. Antimicrobial Effects of Salix Extracts in Relation to Other Studies
4.2. Antibacterial Potential of Pure Compounds Present in Salix Species
5. Conclusions
Supplementary Materials
Author Contributions
Funding
Institutional Review Board Statement
Informed Consent Statement
Data Availability Statement
Conflicts of Interest
References
- World Health Organization (WHO). 2023. Available online: https://www.who.int/news-room/fact-sheets/detail/antimicrobial-resistance (accessed on 12 January 2024).
- World Health Organization (WHO). 2021. Available online: https://www.who.int/news/item/30-07-2021-call-to-action-on-antimicrobial-resistance-2021 (accessed on 9 July 2023).
- World Health Organization (WHO). WHO Publishes List of Bacteria for Which New Antibiotics Are Urgently Needed. 2017. Available online: https://www.who.int/news/item/27-02-2017-who-publishes-list-of-bacteria-for-which-new-antibiotics-are-urgently-needed (accessed on 12 January 2024).
- Terreni, M.; Taccani, M.; Pregnolato, M. New antibiotics for multidrug-resistant bacterial strains: Latest research developments and future perspectives. Molecules 2021, 26, 2671. [Google Scholar] [CrossRef] [PubMed]
- Yang, L.; Wen, K.S.; Ruan, X.; Zhao, Y.X.; Wei, F.; Wang, Q. Response of plant secondary metabolites to environmental factors. Molecules 2018, 23, 762. [Google Scholar] [CrossRef] [PubMed]
- Vaou, N.; Stavropoulou, E.; Voidarou, C.; Tsigalou, C.; Bezirtzoglou, E. Towards advances in medicinal plant antimicrobial activity: A review study on challenges and future perspectives. Microorganisms 2021, 9, 2041. [Google Scholar] [CrossRef] [PubMed]
- Lewis, K.; Ausubel, F.M. Prospects for plant-derived antibacterials. Nat. Biotechnol. 2006, 24, 1504–1507. [Google Scholar] [CrossRef] [PubMed]
- Shankar, S.R.; Rangarajan, R.; Sarada, D.V.L.; Kumar, C.S. Evaluation of antibacterial activity and phytochemical screening of Wrightia tinctoria L. Pharmacogn. J. 2010, 2, 19–22. [Google Scholar] [CrossRef]
- Lewis, W.H.; Elvin-Lewis, M.P. Medicinal plants as sources of new therapeutics. In Annals of the Missouri Botanical Garden; Missouri Botanical Garden Press: St. Louis, MO, USA, 1995; pp. 16–24. [Google Scholar]
- Yadav, R.N.S.; Agarwala, M. Phytochemical analysis of some medicinal plants. J. Phytol. 2011, 3, 10–14. [Google Scholar]
- Tajkarimi, M.M.; Ibrahim, S.A.; Cliver, D.O. Antimicrobial herb and spice compounds in food. Food Control 2010, 21, 1199–1218. [Google Scholar] [CrossRef]
- Rechinger, K.H.; Akeroyd, J.R. Salix L. In Flora Europaea, 2nd ed.; Tutin, T.G., Burges, N.A., Chater, A.O., Edmondson, J.R., Heywood, V.H., Moore, D.M., Valentine, D.H., Walters, S.M., Webb, D.A., Eds.; Cambridge University Press: Cambridge, UK, 1993; Volume 1, pp. 53–64. [Google Scholar]
- Hämet-Ahti, L.; Suominen, J.; Ulvinen, T.; Uotila, P.; Vuokko, S.R. (Eds.) Retkeilykasvio; Suomen Luonnonsuojelun Tuki Oy: Helsinki, Finland, 1986. [Google Scholar]
- Julkunen-Tiitto, R. Phenolic constituents of Salix: A chemotaxonomic survey of further Finnish species. Phytochemistry 1989, 28, 2115–2125. [Google Scholar] [CrossRef]
- Skvortsov, A.K. Willows of Russia and adjacent countries. In Taxonomical and Geographical Revision; Faculty of Mathematics and Natural Sciences Report Series No. 39; University of Joensuu: Joensuu, Finland, 1999; pp. 1–307. [Google Scholar]
- Wagner, N.D.; He, L.; Hörandl, E. The Evolutionary History, Diversity, and Ecology of Willows (Salix L.) in the European Alps. Diversity 2021, 13, 146. [Google Scholar] [CrossRef]
- Christersson, L. Biomass Production by Irrigated and Fertilized Salix Clones. Biomass 1987, 12, 83–95. [Google Scholar] [CrossRef]
- Lumme, I.; Törmälä, T. Selection of fast-growing willow (Salix spp.) clones for short-rotation forestry on mined peatlands in northern Finland. Silva Fenn. 1988, 22, 67–88. [Google Scholar] [CrossRef][Green Version]
- The European Agroforestry Fedration (EURAF). 2022. Available online: http://www.europeanagroforestry.eu/resources/agroforestry_videos (accessed on 12 November 2023).
- Noleto-Dias, C.; Ward, J.L.; Bellisai, A.; Lomax, C.; Beale, M.H. Salicin-7-sulfate: A new salicinoid from willow and implications for herbal medicine. Fitoterapia 2018, 127, 166–172. [Google Scholar] [CrossRef] [PubMed]
- Rautavaara, T. Mitenluonto parantaa. Kansanparannuskeinoja jaluontaislääketiedettä. In How Nature Heals. Folk Remedies and Natural Medicine; Werner Söderström Limited Liability Company (WSOY): Helsinki, Finland, 1980; p. 284. [Google Scholar]
- Deane, G. Willow Weep for Me. Medicinal, Plants, Trees/Shrubs. 2011. Available online: https://www.eattheweeds.com/salix-caroliniana-nothing-would-be-finer-2/ (accessed on 2 September 2023).
- Rachel of the Woods. The Wood Folk Diaries: Volume 3, Chapter 19: Viceroys and Willows. 2023. Available online: https://www.songofthewoods.com/the-wood-folk-diaries-volume-3-chapter-19-viceroys-and-willows/ (accessed on 24 October 2023).
- European Medicines Agency. European Union Herbal Monograph on Salix [Various Species including S. purpurea L., S. daphnoides Vill., S. fragilis L.], Cortex; Committee on Herbal Medicinal Products (HMPC): London, UK, 2017; 9p, Available online: https://www.ema.europa.eu/en/documents/herbal-monograph/final-european-union-herbal-monograph-salix-various-species-including-s-purpurea-l-s-daphnoides-vill-s-fragilis-l-cortex_en.pdf (accessed on 13 November 2023).
- European Union Pharmacopeia. Willow Bark. Salicis Cortex (2005) European Pharmacopoeia 5.2; Conseil d’Europe: Strasbourg, France, 2005; pp. 2702–2703. [Google Scholar]
- Nahrstedt, A.; Schmidt, M.; Jäggi, R.; Metz, J.; Khayyal, M.T. Willow bark extract: The contribution of polyphenols to the overall effect. Wien. Med. Wochenschr. 2007, 157, 348–351. [Google Scholar] [CrossRef] [PubMed]
- Kurkin, V.A. Phenylpropanoids as the biologically active compounds of the medicinal plants and phytopharmaceuticals. Adv. Biol. Chem. 2013, 3, 26–28. [Google Scholar] [CrossRef]
- Nyman, T.; Julkunen-Tiitto, R. Manipulation of the phenolic chemistry of willows by gall-inducing sawflies. Proc. Natl. Acad. Sci. USA 2000, 97, 13184–13187. [Google Scholar] [CrossRef] [PubMed]
- Tegelberg, R.; Julkunen-Tiitto, R. Quantitative changes in secondary metabolites of dark-leaved willow (Salix myrsinifolia) exposed to enhanced ultraviolet-B radiation. Physiol. Plant. 2001, 113, 541–547. [Google Scholar] [CrossRef]
- Paajanen, R.; Julkunen-Tiitto, R.; Nybakken, L.; Petrelius, M.; Tegelberg, R.; Pusenius, J.; Rousi, M.; Kellomäki, S. Dark-leaved willow (Salix myrsinifolia) is resistant to three-factor (elevated CO2, temperature and UV-B-radiation) climate change. New Phytol. 2011, 190, 161–168. [Google Scholar] [CrossRef] [PubMed]
- Nybakken, L.; Julkunen-Tiitto, R. Gender differences in Salix myrsinifolia at the pre-reproductive stage are little affected by simulated climatic change. Physiol. Plant. 2013, 147, 465–476. [Google Scholar] [CrossRef] [PubMed]
- Lavola, A.; Maukonen, M.; Julkunen-Tiitto, R. Variability in the composition of phenolic compounds in winter-dormant Salix pyrolifolia in relation to plant part and age. Phytochemistry 2018, 153, 102–110. [Google Scholar] [CrossRef] [PubMed]
- Du, Q.; Jerz, G.; Shen, L.; Xiu, L.; Winterhalter, P. Isolation and structure determination of a lignan from the bark of Salix alba. Nat. Prod. Res. 2007, 21, 451–454. [Google Scholar] [CrossRef] [PubMed]
- Brereton, N.J.; Berthod, N.; Lafleur, B.; Pedneault, K.; Pitre, F.E.; Labrecque, M. Extractable phenolic yield variation in five cultivars of mature short rotation coppice willow from four plantations in Quebec. Ind. Crop. Prod. 2017, 97, 525–535. [Google Scholar] [CrossRef]
- Dou, J.; Ilina, P.; Hemming, J.; Malinen, K.; Mäkkylä, H.; Oliveira de Farias, N.; Tammela, P.; de Aragão Umbuzeiro, G.; Räisänen, R.; Vuorinen, T. Effect of hybrid type and harvesting season on phytochemistry and antibacterial activity of extracted metabolites from Salix bark. J. Agric. Food Chem. 2022, 70, 2948–2956. [Google Scholar] [CrossRef] [PubMed]
- Dou, J.; Kögler, M.; Kesari, K.K.; Pitkänen, L.; Vuorinen, T. Seasonal dynamics in structural characteristics within bark stems of cultivated willow (Salix sp.) by NMR and time-gated Raman spectroscopy. Green Chem. 2023, 25, 1908–1919. [Google Scholar]
- González-Alamilla, E.N.; Gonzalez-Cortazar, M.; Valladares-Carranza, B.; Rivas-Jacobo, M.A.; Herrera-Corredor, C.A.; Ojeda-Ramírez, D.; Zaragoza-Bastida, A.; Rivero-Perez, N. Chemical constituents of Salix babylonica L. and their antibacterial activity against gram-positive and gram-negative animal bacteria. Molecules 2019, 24, 2992. [Google Scholar] [CrossRef] [PubMed]
- Borodina, N.; Raal, A.; Kovalyov, V.; Osolodchenko, T.; Koshovyi, O.; Nguyen, H.T.; Komissarenko, A. Phytochemical Research and Antimicrobial Properties of Lipophylic Extracts of Some Species of Salix L. genus from Ukraine. Open Agric. J. 2020, 14, 136–144. [Google Scholar] [CrossRef]
- Mostafa, I.; Abbas, H.A.; Ashour, M.L.; Yasri, A.; El-Shazly, A.M.; Wink, M.; Sobeh, M. Polyphenols from Salix tetrasperma impair virulence and inhibit quorum sensing of Pseudomonas aeruginosa. Molecules 2020, 25, 1341. [Google Scholar] [CrossRef] [PubMed]
- AbdAlrahman, M.R.; Sofi, S.A. The Bark Extraction of Salix Aegyptiaca L Antibacterial Activity. J. Contemp. Issues Bus. Gov. 2021, 27, 169–171. [Google Scholar]
- Salih, E.Y.A.; Kanninen, M.; Sipi, M.; Luukkanen, O.; Hiltunen, R.; Vuorela, H.; Julkunen-Tiitto, R.; Fyhrquist, P. Tannins, flavonoids and stilbenes in extracts of African savanna woodland trees Terminalia brownii, Terminalia laxiflora and Anogeissus leiocarpus showing promising antibacterial potential. S. Afr. J. Bot. 2017, 108, 370–386. [Google Scholar] [CrossRef]
- Fyhrquist, P.; Mwasumbi, L.; Hæggström, C.-A.; Vuorela, H.; Hiltunen, R.; Vuorela, P. Ethnobotanical and antimicrobial investigation on some species of Terminalia and Combretum (Combretaceae) growing in Tanzania. J. Ethnopharmacol. 2002, 79, 169–177. [Google Scholar] [CrossRef] [PubMed]
- Salih, E.Y.; Julkunen-Tiitto, R.; Luukkanen, O.; Fyhrqvist, P. Anti-Candida Activity of Extracts Containing Ellagitannins, Triterpenes and Flavonoids of Terminalia brownii, a Medicinal Plant Growing in Semi-Arid and Savannah Woodland in Sudan. Pharmaceutics 2022, 14, 2469. [Google Scholar] [CrossRef] [PubMed]
- Fyhrquist, P.; Salih, E.Y.; Helenius, S.; Laakso, I.; Julkunen-Tiitto, R. HPLC-DAD and UHPLC/QTOF-MS Analysis of Polyphenols in Extracts of the African Species Combretum padoides, C. zeyheri and C. psidioides Related to Their Antimycobacterial Activity. Antibiotics 2020, 9, 459. [Google Scholar] [CrossRef] [PubMed]
- Salih, E.Y.; Julkunen-Tiitto, R.; Luukkanen, O.; Fahmi, M.K.; Fyhrquist, P. Hydrolyzable tannins (ellagitannins), flavonoids, pentacyclic triterpenes and their glycosides in antimycobacterial extracts of the ethnopharmacologically selected Sudanese medicinal plant Combretum hartmannianum Schweinf. Biomed. Pharmacother. 2021, 144, 112264. [Google Scholar] [CrossRef] [PubMed]
- Clinical and Laboratory Standards Institute. Methods for Dilution Antimicrobial Susceptibility Tests for Bacteria That Grow Aerobically, 9th ed.; Clinical and Laboratory Standards Institute: Wayne, PA, USA, 2012. [Google Scholar]
- Mordmuang, A.; Brouillette, E.; Voravuthikunchai, S.P.; Malouin, F. Evaluation of a Rhodomyrtus tomentosa ethanolic extract for its therapeutic potential on Staphylococcus aureus infections using in vitro and in vivo models of mastitis. Vet. Res. 2019, 50, 49. [Google Scholar] [CrossRef] [PubMed]
- Baysal, Ö. The Induced Resistance Against Fire Blight by the Plant Activator BTH (BION) or Extract of Hedera Helix Leaves and Studies on the Mode of Action. Ph.D. Thesis, Niedersächsische Staats-und Universitätsbibliothek, Göttingen, Germany, 2001. [Google Scholar]
- Sipari, N.; Lihavainen, J.; Keinänen, M. Metabolite Profiling of Paraquat Tolerant Arabidopsis thaliana Radical-induced Cell Death1 (rcd1)—A Mediator of Antioxidant Defence Mechanisms. Antioxidants 2022, 11, 2034. [Google Scholar] [CrossRef]
- Schofield, J.A.; Hagerman, A.E.; Harold, A. Loss of tannins and other phenolics from willow leaf litter. J. Chem. Ecol. 1998, 24, 1409–1421. [Google Scholar] [CrossRef]
- Makino, R.; Hashida, K. Chemical characterization and efficient extraction of condensed tannin from the bark of juvenile Salix species. Bull. For. For. Prod. Res. Inst. 2018, 17, 35–42. [Google Scholar]
- Hämet-Ahti, L.; Suominen, J.; Ulvinen, T.; Uotila, P. (Eds.) Retkeilykasvio, 4. Painos: Luonnontieteellinen Keskusmuseo, Kasvimuseo, Helsinki. Camping Equipment, 4th ed.; Central Museum of Natural Sciences, Botanical Museum: Helsinki, Finland, 1998; pp. 494–505. ISBN 9519381155. [Google Scholar]
- Pertti, U.; Henry, V. Salix x pendulina. FinBIF Master Checklist. 2010. Available online: https://laji.fi/en/taxon/MX.38530/taxonomy (accessed on 21 September 2023).
- Salix x pendulina ‘Blanda’—Weeping Willow. Arboretum Mustila Foundation, Southern Finland. Available online: http://www.mustila.fi/kasvit/salix_pendulina_blanda_kyynelsalava (accessed on 11 November 2023).
- Engelhardt, U.; Winterhalter, P. Counter current chromatography I Flavonoids. In Encyclopedia of Separation Science; Ian, D.W., Ed.; Academic Press: New York, NY, USA; Elsevier Science Ltd.: Amsterdam, The Netherlands, 2007; pp. 1–9. ISBN 978-0-12-226770-3. [Google Scholar] [CrossRef]
- Ferreira, D.; Reinier, J.; Bekker, R. Condensed tannins. Compr. Nat. Prod. Chem. 1999, 3, 747–797. [Google Scholar] [CrossRef]
- Gunawardena, D.; Govindaraghavan, S.; Münch, G. Anti-inflammatory properties of cinnamon polyphenols and their monomeric precursors. In Polyphenols in Human Health and Disease; Academic Press: New York, NY, USA, 2014; pp. 409–425. [Google Scholar]
- Rue, E.A.; Rush, M.D.; van Breemen, R.B. Procyanidins: A comprehensive review encompassing structure elucidation via mass spectrometry. Phytochem. Rev. 2018, 17, 1–16. [Google Scholar] [CrossRef] [PubMed]
- Salih, E.Y.A. Ethnobotany, Phytochemistry and Antimicrobial Activity of Combretum, Terminalia and Anogeissus Species (Combretaceae) Growing Naturally in Sudan. Tropical Forestry Reports. Doctoral Dissertation, University of Helsinki, Helsinki, Finalnd, 2019. Available online: https://helda.helsinki.fi/items/ca4fd929-475a-409f-b0d0-5b227e5b6537 (accessed on 12 August 2023).
- Enomoto, H.; Takahashi, S.; Takeda, S.; Hatta, H. Distribution of flavan-3-ol species in ripe strawberry fruit revealed by matrix-assisted laser desorption/ionization-mass spectrometry imaging. Molecules 2019, 25, 103. [Google Scholar] [CrossRef] [PubMed]
- Piątczak, E.; Dybowska, M.; Płuciennik, E.; Kośla, K.; Kolniak-Ostek, J.; Kalinowska-Lis, U. Identification and accumulation of phenolic compounds in the leaves and bark of Salix alba (L.) and their biological potential. Biomolecules 2020, 10, 1391. [Google Scholar] [CrossRef] [PubMed]
- Díaz-Mula, H.M.; Tomás-Barberán, F.A.; García-Villalba, R. Pomegranate fruit and juice (cv. Mollar), rich in ellagitannins and anthocyanins, also provide a significant content of a wide range of proanthocyanidins. J. Agric. Food Chem. 2019, 67, 9160–9167. [Google Scholar] [CrossRef] [PubMed]
- Karonen, M.; Imran, I.B.; Engström, M.T.; Salminen, J.P. Characterization of natural and alkaline-oxidized proanthocyanidins in plant extracts by ultrahigh-resolution UHPLC-MS/MS. Molecules 2021, 26, 1873. [Google Scholar] [CrossRef] [PubMed]
- Karonen, M.; Loponen, J.; Ossipov, V.; Pihlaja, K. Analysis of procyanidins in pine bark with reversed-phase and normal-phase high-performance liquid chromatography–electrospray ionization mass spectrometry. Anal. Chim. Acta 2004, 522, 105–112. [Google Scholar] [CrossRef]
- Cuyckens, F.; Claeys, M. Mass spectrometry in the structural analysis of flavonoids. J. Mass Spectrom. 2004, 39, 1–15. [Google Scholar] [CrossRef] [PubMed]
- Xu, Y.; Liang, P.L.; Chen, X.L.; Gong, M.J.; Zhang, L.; Qiu, X.H.; Zhang, J.; Huang, Z.H.; Xu, W. The impact of citrus-tea cofermentation process on chemical composition and contents of Pu-erh tea: An integrated metabolomics study. Front. Nutr. 2021, 8, 737539. [Google Scholar] [CrossRef] [PubMed]
- Hellström, J.; Sinkkonen, J.; Karonen, M.; Mattila, P. Isolation and structure elucidation of procyanidin oligomers from saskatoon berries (Amelanchier alnifolia). J. Agric. Food Chem. 2007, 55, 157–164. [Google Scholar] [CrossRef] [PubMed]
- Deshaies, S.; Sommerer, N.; Garcia, F.; Mouls, L.; Saucier, C. UHPLC-Q-Orbitrap/MS2 identification of (+)-Catechin oxidation reaction dimeric products in red wines and grape seed extracts. Food Chem. 2022, 382, 132505. [Google Scholar] [CrossRef] [PubMed]
- Deshaies, S.; Le Guernevé, C.; Suc, L.; Mouls, L.; Garcia, F.; Saucier, C. Unambiguous NMR Structural Determination of (+)-Catechin—Laccase Dimeric Reaction Products as Potential Markers of Grape and Wine Oxidation. Molecules 2021, 26, 6165. [Google Scholar] [CrossRef] [PubMed]
- Huang, R.J.; Cao, J.; Chen, Y.; Yang, L.; Shen, J.; You, Q.; Wang, K.; Lin, C.; Xu, W.; Gao, B.; et al. Organosulfates in atmospheric aerosol: Synthesis and quantitative analysis of PM2.5 from Xi’an, northwestern China. Atmos. Meas. Tech. 2018, 11, 3447–3456. [Google Scholar] [CrossRef]
- Lackus, N.D.; Müller, A.; Kröber, T.D.; Reichelt, M.; Schmidt, A.; Nakamura, Y.; Paetz, C.; Luck, K.; Lindroth, R.L.; Constabel, C.P.; et al. The occurrence of sulfated salicinoids in poplar and their formation by sulfotransferase1. Plant Physiol. 2020, 183, 137–151. [Google Scholar] [CrossRef] [PubMed]
- Huang, F.; Karu, K.; Campos, L.C. Simultaneous measurement of free and conjugated estrogens in surface water using capillary liquid chromatography tandem mass spectrometry. Analyst 2021, 146, 2689–2704. [Google Scholar] [CrossRef]
- González-Alamilla, E.; Rivas-Jacobo, M.; Sosa-Gutiérrez, C.; Delgadillo-Ruiz, L.; Valladares-Carranza, B.; Rosenfeld-Miranda, C.; Zaragoza-Bastida, A.; Rivero-Pérez, N. Antibacterial effect of the methanol extract of Salix babylonica against important bacteria in public Health. Abanico Vet. 2020, 11. [Google Scholar] [CrossRef]
- Mai, T.M.N.; Vu, T.B.H.; Le, M.H.; Nguyen, T.T.H.; Trinh, T.T.H.; Le, M.H.; Tran, N.N.; Nguyen, Q.L.; Pham, T.H.Y.; Pham, H.N.; et al. Protective Effect of Willow (Salix babylonica L.) on Fish Resistance to Vibrio parahaemolyticus and Vibrio alginolyticus. Antibiotics 2023, 12, 989. [Google Scholar] [CrossRef]
- Tienaho, J.; Reshamwala, D.; Sarjala, T.; Kilpeläinen, P.; Liimatainen, J.; Dou, J.; Viherä-Aarnio, A.; Linnakoski, R.; Marjomäki, V.; Jyske, T. Salix spp. bark hot water extracts show antiviral, antibacterial, and antioxidant activities—The bioactive properties of 16 clones. Front. Bioeng. Biotechnol. 2021, 9, 797939. [Google Scholar]
- Rangel-López, L.; Zaragoza-Bastida, A.; Valladares-Carranza, B.; Peláez-Acero, A.; Sosa-Gutiérrez, C.G.; Hetta, H.F.; Batiha, G.E.S.; Alqahtani, A.; Rivero-Perez, N. In vitro antibacterial potential of Salix babylonica extract against bacteria that affect Oncorhynchus mykiss and Oreochromis spp. Animals 2020, 10, 1340. [Google Scholar] [CrossRef] [PubMed]
- Eloff, J.N. A proposal on expressing the antibacterial activity of plant extracts—A small first step in applying scientific knowledge to rural primary health care in South Africa. S. Afr. J. Sci. 2000, 96, 116–118. [Google Scholar]
- Lobiuc, A.; Pavăl, N.E.; Mangalagiu, I.I.; Gheorghiță, R.; Teliban, G.C.; Amăriucăi-Mantu, D.; Stoleru, V. Future antimicrobials: Natural and functionalized phenolics. Molecules 2023, 28, 1114. [Google Scholar] [CrossRef]
- Wang, R.; Zhang, Y.; Jia, Y.; Zhang, M.; Huang, Y.; Li, C.; Li, K. Persimmon oligomeric proanthocyanidins exert antibacterial activity through damaging the cell membrane and disrupting the energy metabolism of Staphylococcus aureus. ACS Food Sci. Technol. 2020, 1, 35–44. [Google Scholar] [CrossRef]
- Prasain, J.K.; Barnes, S. Polyphenols in chronic diseases and their mechanisms of action. In Polyphenols in Human Health and Disease; Academic Press: New York, NY, USA, 2014; pp. 1401–1419. [Google Scholar]
- Nissinen, K.; Virjamo, V.; Mehtätalo, L.; Lavola, A.; Valtonen, A.; Nybakken, L.; Julkunen-Tiitto, R. A seven-year study of phenolic concentrations of the dioecious Salix myrsinifolia. J. Chem. Ecol. 2018, 44, 416–430. [Google Scholar] [CrossRef] [PubMed]
- Zhao, Y.; Qu, Y.; Tang, J.; Chen, J.; Liu, J. Tea catechin inhibits biofilm formation of methicillin-resistant S. aureus. J. Food Qual. 2021, 2021, 1–7. [Google Scholar] [CrossRef]
- Lekbach, Y.; Dong, Y.; Li, Z.; Xu, D.; El Abed, S.; Yi, Y.; Li, L.; Koraichi, S.I.; Sun, T.; Wang, F. Catechin hydrate as an eco-friendly biocorrosion inhibitor for 304L stainless steel with dual-action antibacterial properties against Pseudomonas aeruginosa biofilm. Corros. Sci. 2019, 157, 98–108. [Google Scholar] [CrossRef]
- Hsu, F.L.; Nonaka, G.I.; Nishioka, I. Acylated flavanols and procyanidins from Salix sieboldiana. Phytochemistry 1985, 24, 2089–2092. [Google Scholar] [CrossRef]
- Ramadhani, S.; Santoni, A.; Efdi, M. Antibacterial Activity and Structure Elucidation of Salicin from Stem Bark of Salix tetrasperma ROXB. Indones. J. Fundam. Appl. Chem. 2019, 4, 47–52. [Google Scholar] [CrossRef]
- Bone, K.; Mills, S. Principles and Practice of Phytotherapy: Modern Herbal Medicine, 2nd ed.; Elsevier Health Sciences: Amsterdam, The Netherlands, 2013; ISBN 978-443-06992.5. [Google Scholar]
- Bhatwalkar, S.B.; Mondal, R.; Krishna, S.B.N.; Adam, J.K.; Govender, P.; Anupam, R. Antibacterial properties of organosulfur compounds of garlic (Allium sativum). Front. Microbiol. 2021, 12, 1869. [Google Scholar] [CrossRef] [PubMed]
- Aires, A.; Mota, V.R.; Saavedra, M.J.; Rosa, E.A.S.; Bennett, R.N. The antimicrobial effects of glucosinolates and their respective enzymatic hydrolysis products on bacteria isolated from the human intestinal tract. J. Appl. Microbiol. 2009, 106, 2086–2095. [Google Scholar] [CrossRef] [PubMed]
- Miękus, N.; Marszałek, K.; Podlacha, M.; Iqbal, A.; Puchalski, C.; Świergiel, A.H. Health benefits of plant-derived sulfur compounds, glucosinolates, and organosulfur compounds. Molecules 2020, 25, 3804. [Google Scholar] [CrossRef] [PubMed]
- Lee, J.H.; Kim, Y.G.; Gwon, G.; Wood, T.K.; Lee, J. Halogenated indoles eradicate bacterial persister cells and biofilms. Amb. Express 2016, 6, 123. [Google Scholar] [CrossRef] [PubMed]
- Romeo, L.; Iori, R.; Rollin, P.; Bramanti, P.; Mazzon, E. Isothiocyanates: An overview of their antimicrobial activity against human infections. Molecules 2018, 23, 624. [Google Scholar] [CrossRef]
- Sethupathy, S.; Sathiyamoorthi, E.; Kim, Y.G.; Lee, J.H.; Lee, J. Antibiofilm and antivirulence properties of indoles against Serratia marcescens. Front. Microbiol. 2020, 11, 584812. [Google Scholar] [CrossRef] [PubMed]
- Sikorska-Zimny, K.; Beneduce, L. The metabolism of glucosinolates by gut microbiota. Nutrients 2021, 13, 2750. [Google Scholar] [CrossRef]
- Julkunen-Tiitto, R. Defensive efforts of Salix myrsinifolia plantlets in photomixotrophic culture conditions: The effect of sucrose, nitrogen and pH on the phytomass and secondary phenolic accumulation. Ecoscience 1996, 3, 297–303. [Google Scholar] [CrossRef]
- Jia, X.; Wang, L.; Zhao, H.; Zhang, Y.; Chen, Z.; Xu, L.; Yi, K. The origin and evolution of salicylic acid signaling and biosynthesis in plants. Mol. Plant 2023, 16, 245–259. [Google Scholar] [CrossRef] [PubMed]
- Tahvanainen, J.; Julkunen-Tiitto, R.; Kettunen, J. Phenolic glycosides govern the food selection pattern of willow feeding leaf beetles. Oecologia 1985, 67, 52–56. [Google Scholar] [CrossRef] [PubMed]
- Kwon, D.J.; Bae, Y.S.; Ju, S.M.; Youn, G.S.; Choi, S.Y.; Park, J. Salicortin suppresses lipopolysaccharide-stimulated inflammatory responses via blockade of NF-κB and JNK activation in RAW 264.7 macrophages. BMB Rep. 2014, 47, 318. [Google Scholar] [CrossRef] [PubMed]
- Hernando-Amado, S.; Alcalde-Rico, M.; Gil-Gil, T.; Valverde, J.R.; Martínez, J.L. Naringenin inhibition of the Pseudomonas aeruginosa quorum sensing response is based on its time-dependent competition with N-(3-Oxo-dodecanoyl)-L-homoserine lactone for LasR binding. Front. Mol. Biosci. 2020, 7, 25. [Google Scholar] [CrossRef] [PubMed]
- Veiko, A.G.; Olchowik-Grabarek, E.; Sekowski, S.; Roszkowska, A.; Lapshina, E.A.; Dobrzynska, I.; Zamaraeva, M.; Zavodnik, I.B. Antimicrobial activity of quercetin, naringenin and catechin: Flavonoids inhibit Staphylococcus aureus induced hemolysis and modify membranes of bacteria and erythrocytes. Molecules 2023, 28, 1252. [Google Scholar] [CrossRef] [PubMed]
- Latos-Brozio, M.; Masek, A.; Piotrowska, M. Polymeric forms of plant flavonoids obtained by enzymatic reactions. Molecules 2022, 27, 3702. [Google Scholar] [CrossRef] [PubMed]
- Osorio, M.; Carvajal, M.; Vergara, A.; Butassi, E.; Zacchino, S.; Mascayano, C.; Montoya, M.; Mejías, S.; Martín, M.C.S.; Vásquez-Martínez, Y. Prenylated flavonoids with potential antimicrobial activity: Synthesis, biological activity, and in silico study. Int. J. Mol. Sci. 2021, 22, 5472. [Google Scholar] [CrossRef] [PubMed]
- Morimoto, R.; Matsubara, C.; Hanada, A.; Omoe, Y.; Ogata, T.; Isegawa, Y. Effect of Structural Differences in Naringenin, Prenylated Naringenin, and Their Derivatives on the Anti-Influenza Virus Activity and Cellular Uptake of Their Flavanones. Pharmaceuticals 2022, 15, 1480. [Google Scholar] [CrossRef] [PubMed]
- Sasaki, K.; Mito, K.; Ohara, K.; Yamamoto, H.; Yazaki, K. Cloning and characterization of naringenin 8-prenyltransferase, a flavonoid-specific prenyltransferase of Sophora flavescens. Plant Physiol. 2008, 146, 1075–1084. [Google Scholar] [CrossRef]
- Liu, Y.; Shi, X.; Tian, Y.; Zhai, S.; Liu, Y.; Xiong, Z.; Chu, S. An insight into novel therapeutic potentials of taxifolin. Front. Pharmacol. 2023, 14, 1173855. [Google Scholar] [CrossRef] [PubMed]
- VanDrisse, C.M.; Escalante-Semerena, J.C. Protein acetylation in bacteria. Annu. Rev. Microbiol. 2019, 73, 111–132. [Google Scholar] [CrossRef]
- Paruch, K.; Popiołek, Ł.; Wujec, M. Antimicrobial and antiprotozoal activity of 3-acetyl-2,5-disubstituted-1,3,4-oxadiazolines: A review. Med. Chem. Res. 2020, 29, 1–16. [Google Scholar] [CrossRef]
- Paunonen, R.; Julkunen-Tiitto, R.; Tegelberg, R.; Rousi, M.; Heiska, S. Salicylate and biomass yield, and leaf phenolics of dark-leaved willow (Salix myrsinifolia Salisb.) clones under different cultivation methods after the second cultivation cycle. Ind. Crop. Prod. 2009, 29, 261–268. [Google Scholar] [CrossRef]
- Heiska, S.; Tikkanen, O.P.; Rousi, M.; Julkunen-Tiitto, R. Bark salicylates and condensed tannins reduce vole browsing amongst cultivated dark-leaved willows (Salix myrsinifolia). Chemoecology 2007, 17, 245–253. [Google Scholar] [CrossRef]
- Karlsson, A.; Albrektson, A. Height development of Betula and Salix species following pre-commercial thinning through breaking the tops of secondary stems: 3-year results. Forestry 2001, 74, 41–51. [Google Scholar] [CrossRef]
- Miettinen, J.; Helle, P.; Nikula, A.; Niemelä, P. Capercaillie (Tetrao urogallus) habitat characteristics in north-boreal Finland. Silva Fenn. 2010, 44, 151. [Google Scholar] [CrossRef]












Disclaimer/Publisher’s Note: The statements, opinions and data contained in all publications are solely those of the individual author(s) and contributor(s) and not of MDPI and/or the editor(s). MDPI and/or the editor(s) disclaim responsibility for any injury to people or property resulting from any ideas, methods, instructions or products referred to in the content. |
© 2024 by the authors. Licensee MDPI, Basel, Switzerland. This article is an open access article distributed under the terms and conditions of the Creative Commons Attribution (CC BY) license (https://creativecommons.org/licenses/by/4.0/).
Share and Cite
Salih, E.; Mgbeahuruike, E.E.; Prévost-Monteiro, S.; Sipari, N.; Väre, H.; Novak, B.; Julkunen-Tiitto, R.; Fyhrqvist, P. Polyphenols and Phenolic Glucosides in Antibacterial Twig Extracts of Naturally Occurring Salix myrsinifolia (Salisb.), S. phylicifolia (L.) and S. starkeana (Willd.) and the Cultivated Hybrid S. x pendulina (Wender.). Pharmaceutics 2024, 16, 916. https://doi.org/10.3390/pharmaceutics16070916
Salih E, Mgbeahuruike EE, Prévost-Monteiro S, Sipari N, Väre H, Novak B, Julkunen-Tiitto R, Fyhrqvist P. Polyphenols and Phenolic Glucosides in Antibacterial Twig Extracts of Naturally Occurring Salix myrsinifolia (Salisb.), S. phylicifolia (L.) and S. starkeana (Willd.) and the Cultivated Hybrid S. x pendulina (Wender.). Pharmaceutics. 2024; 16(7):916. https://doi.org/10.3390/pharmaceutics16070916
Chicago/Turabian StyleSalih, Enass, Eunice Ego Mgbeahuruike, Stella Prévost-Monteiro, Nina Sipari, Henry Väre, Brigita Novak, Riitta Julkunen-Tiitto, and Pia Fyhrqvist. 2024. "Polyphenols and Phenolic Glucosides in Antibacterial Twig Extracts of Naturally Occurring Salix myrsinifolia (Salisb.), S. phylicifolia (L.) and S. starkeana (Willd.) and the Cultivated Hybrid S. x pendulina (Wender.)" Pharmaceutics 16, no. 7: 916. https://doi.org/10.3390/pharmaceutics16070916
APA StyleSalih, E., Mgbeahuruike, E. E., Prévost-Monteiro, S., Sipari, N., Väre, H., Novak, B., Julkunen-Tiitto, R., & Fyhrqvist, P. (2024). Polyphenols and Phenolic Glucosides in Antibacterial Twig Extracts of Naturally Occurring Salix myrsinifolia (Salisb.), S. phylicifolia (L.) and S. starkeana (Willd.) and the Cultivated Hybrid S. x pendulina (Wender.). Pharmaceutics, 16(7), 916. https://doi.org/10.3390/pharmaceutics16070916

