A Novel Approach for Dermal Application of Pranoprofen-Loaded Lipid Nanoparticles for the Treatment of Post-Tattoo Inflammatory Reactions
Abstract
1. Introduction
2. Materials and Methods
2.1. Chemical and Reagents
2.2. Methods
2.2.1. Preparation and Characterization of Nanostructured Lipid Carriers
2.2.2. In Vitro Release Assay
2.2.3. Ex Vivo Skin Permeation Assay
2.2.4. Analytical Method for the Quantification of Pranoprofen
2.2.5. In Vitro Tolerance Studies: Cytotoxicity Study by MTT Assay
2.2.6. In Vivo Tolerance Studies by Monitoring Biomechanical Properties in Human Volunteers
2.2.7. In Vivo Anti-Inflammatory Efficacy Studies
Study Protocol and Animals
Xylol-Induced Inflammation Model in Mouse Ear
Post-Tattoo Inflammation Model on the Back in Hairless Rats
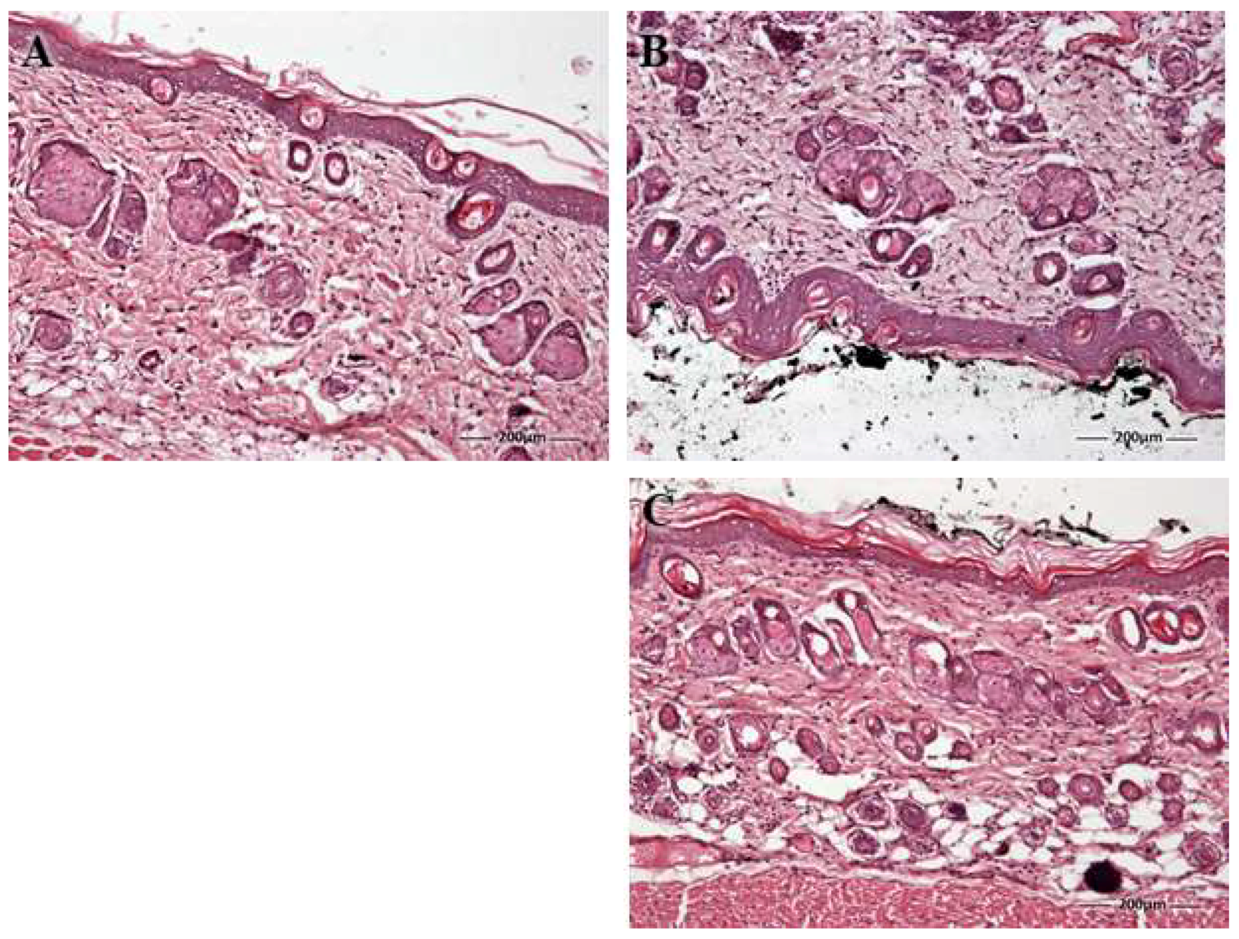
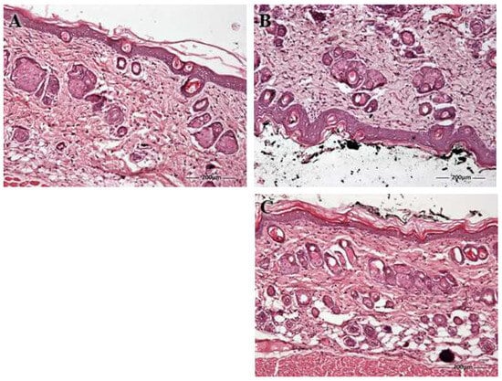
Histological Studies
3. Results
3.1. Physicochemical Characterization of the PRA-NLC
3.2. In Vitro Active Pharmaceutical Ingredient-Release Kinetics Studies
3.3. Ex Vivo Skin Permeation Studies
3.4. Cytotoxicity Study by MTT Assay
3.5. In Vivo Tolerance Studies by Monitoring Biomechanical Properties in Human Volunteers
3.6. Anti-Inflammatory Efficacy Studies
3.6.1. Xylol-Induced Inflammation Model in Mouse Ear
3.6.2. Post-Tattoo Inflammation Model on the Back in Hairless Rats
4. Discussion
5. Conclusions
Supplementary Materials
Author Contributions
Funding
Institutional Review Board Statement
Informed Consent Statement
Data Availability Statement
Acknowledgments
Conflicts of Interest
References
- Dash, G.; Patil, A.; Kassir, M.; Goldman, M.P.; Gold, M.H.; Adatto, M.; Große-Büning, S.; Grabbe, S.; Goldust, M. Non-Laser Treatment for Tattoo Removal. J. Cosmet. Dermatol. 2023, 22, 74–78. [Google Scholar] [CrossRef]
- Kuruvilla, A.S.; Gopman, J.M.; Cham, S.; Henderson, P.W. Nipple-Areolar Tattoo: Comprehensive Review of History, Theory, Technique, and Outcomes. J. Plast. Reconstr. Aesthetic Surg. 2022, 75, 544–549. [Google Scholar] [CrossRef]
- Holz, F.; Núñez Carrillo, G.G.; Martinez Peña, E.G.; Rivera Martinez, A.A.; de la Peña Jiménez, I.G.; Bonilla Virgen, R.; Verhoff, M.A.; Birngruber, C.G. A Guide to Classify Tattoo Motives in Mexico as a Tool to Identify Unknown Bodies. Int. J. Legal Med. 2022, 136, 1105–1111. [Google Scholar] [CrossRef]
- Desmedt, B.; Vanhamme, M.; Deconinck, E. The Purity of Tattoo Inks, Screening Substances of High Concern. Regul. Toxicol. Pharmacol. 2022, 129, 105123. [Google Scholar] [CrossRef]
- Giulbudagian, M.; Schreiver, I.; Singh, A.V.; Laux, P.; Luch, A. Safety of Tattoos and Permanent Make-up: A Regulatory View. Arch. Toxicol. 2020, 94, 357–369. [Google Scholar] [CrossRef]
- Bäumler, W. Chemical Hazard of Tattoo Colorants. Presse Medicale 2020, 49, 104046. [Google Scholar] [CrossRef]
- Bäumler, W. Absorption, Distribution, Metabolism and Excretion of Tattoo Colorants and Ingredients in Mouse and Man: The Known and the Unknown. In Current Problems in Dermatology; Karger Publishers: Basel, Switzerland, 2015; pp. 176–184. [Google Scholar]
- Weiß, K.T.; Schreiver, I.; Siewert, K.; Luch, A.; Haslböck, B.; Berneburg, M.; Bäumler, W. Tattoos—More than Just Colored Skin? Searching for Tattoo Allergens. JDDG—J. Ger. Soc. Dermatol. 2021, 19, 657–669. [Google Scholar] [CrossRef]
- Carlsen, K.H.; Serup, J. Chronic Tattoo Reactions Cause Reduced Quality of Life Equaling Cumbersome Skin Diseases. Curr. Probl. Dermatol. 2015, 48, 71–75. [Google Scholar] [CrossRef]
- Tounouga, D.N.; Nansseu, J.R.; Kouotou, E.A. Bifocal Contact Dermatitis Following a Temporary Tattoo. Clin. Case Rep. 2022, 10, e6470. [Google Scholar] [CrossRef]
- Atwater, A.R.; Bembry, R.; Reeder, M. Tattoo Hypersensitivity Reactions: Inky Business. Cutis 2020, 106, 64–67. [Google Scholar] [CrossRef]
- Orzan, O.A.; Popa, L.G.; Vexler, E.S.; Olaru, I.; Voiculescu, V.M.; Rumbăcea, R.S. Tattoo-Induced Psoriasis. J. Med. Life 2014, 7, 65–68. [Google Scholar]
- Peterson, A.S.; Patterson, A.W. Case Series: Tattoo-Associated Uveitis. Optom. Vis. Sci. 2022, 99, 383–388. [Google Scholar] [CrossRef]
- Alisi, L.; Armentano, M.; Sampalmieri, L.; Bruschi, S.; Zito, R.; Iannetti, L. Unusual Presentation of Skin Tattoo-Associated Panuveitis. Ocul. Immunol. Inflamm. 2022, 31, 653–655. [Google Scholar] [CrossRef]
- Orellana Rios, J.; Verdaguer Díaz, J.I.; Agee, J.; Theodore Smith, R. Retinocoroiditis Asociada a Tatuaje. Arch. Soc. Esp. Oftalmol. 2018, 93, 193–197. [Google Scholar] [CrossRef]
- Bäsler, K.; Brandner, J.M. Tight Junctions in Skin Inflammation. Pflügers Arch. 2017, 469, 3–14. [Google Scholar] [CrossRef]
- Mueller, K. Inflammation’s Yin-Yang. Science 2013, 339, 155. [Google Scholar] [CrossRef]
- BS EN 17169:2020; Tattooing. Safe and Hygienic Practice. British Standards Institution (BSI): London, UK, 2020.
- Fauger, A.; Sonck, S.; Kluger, N.; Chavagnac-Bonneville, M.; Sayag, M. Tattoo Aftercare Management with a Dermo-Cosmetic Product: Improvement in Discomfort Sensation and Skin Repair Quality. J. Cosmet. Dermatol. 2022, 21, 1051–1056. [Google Scholar] [CrossRef]
- Chen, M.; Gureeye, A.A.; Cissé, Y.; Bai, L. The Therapeutic Effects and Possible Mechanism of Pranoprofen in Mouse Model of Corneal Alkali Burns. J. Ophthalmol. 2020, 2020, 7485912. [Google Scholar] [CrossRef]
- Choi, J.S.; Shin, S.C. Preparation and Evaluation of Pranoprofen Gel for Percutaneous Administration. Drug Dev. Ind. Pharm. 2007, 33, 19–26. [Google Scholar] [CrossRef]
- Nagaich, U.; Gulati, N. Nanostructured Lipid Carriers (NLC) Based Controlled Release Topical Gel of Clobetasol Propionate: Design and in Vivo Characterization. Drug Deliv. Transl. Res. 2016, 6, 289–298. [Google Scholar] [CrossRef]
- Passos, J.S.; Martino, L.C.D.; Dartora, V.F.C.; de Araujo, G.L.B.; Ishida, K.; Lopes, L.B. Development, Skin Targeting and Antifungal Efficacy of Topical Lipid Nanoparticles Containing Itraconazole. Eur. J. Pharm. Sci. 2020, 149, 105296. [Google Scholar] [CrossRef]
- Müller, R.H.; Radtke, M.; Wissing, S.A. Solid Lipid Nanoparticles (SLN) and Nanostructured Lipid Carriers (NLC) in Cosmetic and Dermatological Preparations. Adv. Drug Deliv. Rev. 2002, 54, S131–S155. [Google Scholar] [CrossRef]
- Garcês, A.; Amaral, M.H.; Sousa Lobo, J.M.; Silva, A.C. Formulations Based on Solid Lipid Nanoparticles (SLN) and Nanostructured Lipid Carriers (NLC) for Cutaneous Use: A Review. Eur. J. Pharm. Sci. 2018, 112, 159–167. [Google Scholar] [CrossRef]
- Rincón, M.; Espinoza, L.C.; Silva-Abreu, M.; Sosa, L.; Pesantez-Narvaez, J.; Abrego, G.; Calpena, A.C.; Mallandrich, M. Quality by Design of Pranoprofen Loaded Nanostructured Lipid Carriers and Their Ex Vivo Evaluation in Different Mucosae and Ocular Tissues. Pharmaceuticals 2022, 15, 1185. [Google Scholar] [CrossRef]
- Saez, V.; Souza, I.D.L.; Mansur, C.R.E. Lipid Nanoparticles (SLN & NLC) for Delivery of Vitamin E: A Comprehensive Review. Int. J. Cosmet. Sci. 2018, 40, 103–116. [Google Scholar]
- López, K.L.; Ravasio, A.; González-Aramundiz, J.V.; Zacconi, F.C. Solid Lipid Nanoparticles (SLN) and Nanostructured Lipid Carriers (NLC) Prepared by Microwave and Ultrasound-Assisted Synthesis: Promising Green Strategies for the Nanoworld. Pharmaceutics 2023, 15, 1333. [Google Scholar] [CrossRef]
- Garrós, N.; Mallandrich, M.; Beirampour, N.; Mohammadi, R.; Domènech, Ò.; Rodríguez-Lagunas, M.J.; Clares, B.; Colom, H. Baricitinib Liposomes as a New Approach for the Treatment of Sjögren’s Syndrome. Pharmaceutics 2022, 14, 1895. [Google Scholar] [CrossRef]
- Ha, E.-S.; Sim, W.-Y.; Lee, S.-K.; Jeong, J.-S.; Kim, J.-S.; Baek, I.; Choi, D.H.; Park, H.; Hwang, S.-J.; Kim, M.-S. Preparation and Evaluation of Resveratrol-Loaded Composite Nanoparticles Using a Supercritical Fluid Technology for Enhanced Oral and Skin Delivery. Antioxidants 2019, 8, 554. [Google Scholar] [CrossRef]
- Salamanca, C.H.; Barrera-Ocampo, A.; Lasso, J.C.; Camacho, N.; Yarce, C.J. Franz Diffusion Cell Approach for Pre-Formulation Characterisation of Ketoprofen Semi-Solid Dosage Forms. Pharmaceutics 2018, 10, 148. [Google Scholar] [CrossRef]
- Błaszczyk, M.M.; Sęk, J.; Przybysz, Ł. The Combined Diffusion and Adsorption Concept for Prediction of Nanoparticles Transport through Dermal Layers Based on Experiments in Membranes. Int. J. Mol. Sci. 2022, 23, 6419. [Google Scholar] [CrossRef] [PubMed]
- Cañadas, C.; Alvarado, H.; Calpena, A.C.; Silva, A.M.; Souto, E.B.; García, M.L.; Abrego, G. In Vitro, Ex Vivo and in Vivo Characterization of PLGA Nanoparticles Loading Pranoprofen for Ocular Administration. Int. J. Pharm. 2016, 511, 719–727. [Google Scholar] [CrossRef]
- Fernández-Campos, F.; Obach, M.; Moreno, M.C.; García, A.; González, J. Pharmaceutical Development of a Generic Corticoid Semisolid Formulation. J. Drug Deliv. Sci. Technol. 2017, 42, 227–236. [Google Scholar] [CrossRef]
- Zhang, Q.; Murawsky, M.; LaCount, T.; Kasting, G.B.; Li, S.K. Transepidermal Water Loss and Skin Conductance as Barrier Integrity Tests. Toxicol. Vitr. 2018, 51, 129–135. [Google Scholar] [CrossRef]
- Moussaoui, S.E.; Fernández-Campos, F.; Alonso, C.; Limón, D.; Halbaut, L.; Garduño-Ramirez, M.L.; Calpena, A.C.; Mallandrich, M. Topical Mucoadhesive Alginate-Based Hydrogel Loading Ketorolac for Pain Management after Pharmacotherapy, Ablation, or Surgical Removal in Condyloma Acuminata. Gels 2021, 7, 8. [Google Scholar] [CrossRef]
- Noor, A.; Jamil, S.; Sadeq, T.W.; Mohammed Ameen, M.S.; Kohli, K. Development and Evaluation of Nanoformulations Containing Timur Oil and Rosemary Oil for Treatment of Topical Fungal Infections. Gels 2023, 9, 516. [Google Scholar] [CrossRef]
- Panzade, P.; Heda, A.; Puranik, P.; Patni, M.; Mogal, V. Enhanced Transdermal Delivery of Granisetron by Using Iontophoresis. Iran. J. Pharm. Res. IJPR 2012, 11, 503–512. [Google Scholar]
- Kajiyama, H.; Fujimura, A.; Ebihara, A.; Hino, Y. The Pharmacokinetics of Pranoprofen in the Elderly. Int. J. Clin. Pharmacol. Res. 1991, 11, 123–127. [Google Scholar]
- Abrego, G.; Alvarado, H.; Souto, E.B.; Guevara, B.; Bellowa, L.H.; Garduño, M.L.; Garcia, M.L.; Calpena, A.C. Biopharmaceutical Profile of Hydrogels Containing Pranoprofen-Loaded PLGA Nanoparticles for Skin Administration: In Vitro, Ex Vivo and in Vivo Characterization. Int. J. Pharm. 2016, 501, 350–361. [Google Scholar] [CrossRef]
- Rincón, M.; Silva-Abreu, M.; Espinoza, L.C.; Sosa, L.; Calpena, A.C.; Rodríguez-Lagunas, M.J.; Colom, H. Enhanced Transdermal Delivery of Pranoprofen Using a Thermo-Reversible Hydrogel Loaded with Lipid Nanocarriers for the Treatment of Local Inflammation. Pharmaceuticals 2022, 15, 22. [Google Scholar] [CrossRef]
- Yang, X.; Dang, X.; Zhang, X.; Zhao, S. Liquiritin Reduces Lipopolysaccharide-Aroused HaCaT Cell Inflammation Damage via Regulation of MicroRNA-31/MyD88. Int. Immunopharmacol. 2021, 101, 108283. [Google Scholar] [CrossRef]
- López-García, J.; Lehocký, M.; Humpolíček, P.; Sáha, P. HaCaT Keratinocytes Response on Antimicrobial Atelocollagen Substrates: Extent of Cytotoxicity, Cell Viability and Proliferation. J. Funct. Biomater. 2014, 5, 43–57. [Google Scholar] [CrossRef] [PubMed]
- Green, M.; Kashetsky, N.; Feschuk, A.; Maibach, H.I. Transepidermal Water Loss (TEWL): Environment and Pollution—A Systematic Review. Ski. Health Dis. 2022, 2, e104. [Google Scholar] [CrossRef] [PubMed]
- Lopes, J.A.; Rodrigues, V.P.; Tangerina, M.M.P.; Rocha, L.R.M.D.; Nishijima, C.M.; Nunes, V.V.A.; de Almeida, L.F.R.; Vilegas, W.; dos Santos, A.R.S.; Sannomiya, M.; et al. Machaerium Hirtum (Vell.) Stellfeld Alleviates Acute Pain and Inflammation: Potential Mechanisms of Action. Biomolecules 2020, 10, 590. [Google Scholar] [CrossRef] [PubMed]
- Olofsen, E.; Dahan, A. Using Akaike’s Information Theoretic Criterion in Population Analysis: A Simulation Study. F1000Res 2013, 2, 71. [Google Scholar] [CrossRef]
- OECD. Test No. 439: In Vitro Skin Irritation: Reconstructed Human Epidermis Test Methods, OECD Guideline for Testing of Chemicals, Section 4; OECD Publishing: Paris, France, 2021; Available online: https://doi.org/10.1787/9789264242845-en (accessed on 26 October 2023).
- Thiruchenthooran, V.; Świtalska, M.; Bonilla, L.; Espina, M.; García, M.L.; Wietrzyk, J.; Sánchez-López, E.; Gliszczyńska, A. Novel Strategies against Cancer: Dexibuprofen-Loaded Nanostructured Lipid Carriers. Int. J. Mol. Sci. 2022, 23, 11310. [Google Scholar] [CrossRef] [PubMed]
- Levitsky, D.O.; Dembitsky, V.M. Anti-Breast Cancer Agents Derived from Plants. Nat. Prod. Bioprospect. 2015, 5, 1–16. [Google Scholar] [CrossRef]
- Sharif Makhmalzadeh, B.; Torabi, S.; Azarpanah, A. Optimization of Ibuprofen Delivery through Rat Skin from Traditional and Novel Nanoemulsion Formulations. Iran. J. Pharm. Res. 2012, 11, 47–58. [Google Scholar]
- Rowe, R.C.; Sheskey, P.J.; Owen, S.C. Handbook of Pharmaceutical Excipients, 5th ed.; Pharmaceutical Press and American Pharmacists Association: Washington, DC, USA, 2006. [Google Scholar]
- Mahdi, E.S.; Sakeena, M.H.; Abdulkarim, M.F.; Abdullah, G.Z.; Sattar, M.A.; Noor, A.M. Effect of Surfactant and Surfactant Blends on Pseudoternary Phase Diagram Behavior of Newly Synthesized Palm Kernel Oil Esters. Drug Des. Dev. Ther. 2011, 5, 311–323. [Google Scholar] [CrossRef] [PubMed]
- Sánchez-López, E.; Guerra, M.; Dias-Ferreira, J.; Lopez-Machado, A.; Ettcheto, M.; Cano, A.; Espina, M.; Camins, A.; Garcia, M.L.; Souto, E.B. Current Applications of Nanoemulsions in Cancer Therapeutics. Nanomaterials 2019, 9, 821. [Google Scholar] [CrossRef]
- Qian, C.; McClements, D.J. Formation of Nanoemulsions Stabilized by Model Food-Grade Emulsifiers Using High-Pressure Homogenization: Factors Affecting Particle Size. Food Hydrocoll. 2011, 25, 1000–1008. [Google Scholar] [CrossRef]
- Jiamphun, S.; Chaiyana, W. Enhancing Skin Delivery and Stability of Vanillic and Ferulic Acids in Aqueous Enzymatically Extracted Glutinous Rice Husk by Nanostructured Lipid Carriers. Pharmaceutics 2023, 15, 1961. [Google Scholar] [CrossRef] [PubMed]
- Danaei, M.; Dehghankhold, M.; Ataei, S.; Hasanzadeh Davarani, F.; Javanmard, R.; Dokhani, A.; Khorasani, S.; Mozafari, M.R. Impact of Particle Size and Polydispersity Index on the Clinical Applications of Lipidic Nanocarrier Systems. Pharmaceutics 2018, 10, 57. [Google Scholar] [CrossRef] [PubMed]
- Beber, T.C.; Andrade, D.F.; Kann, B.; Fontana, M.C.; Coradini, K.; Windbergs, M.; Beck, R.C.R. Submicron Polymeric Particles Prepared by Vibrational Spray-Drying: Semisolid Formulation and Skin Penetration/Permeation Studies. Eur. J. Pharm. Biopharm. 2014, 88, 602–613. [Google Scholar] [CrossRef] [PubMed]
- Hu, F.-Q.; Jiang, S.-P.; Du, Y.-Z.; Yuan, H.; Ye, Y.-Q.; Zeng, S. Preparation and Characteristics of Monostearin Nanostructured Lipid Carriers. Int. J. Pharm. 2006, 314, 83–89. [Google Scholar] [CrossRef]
- Jain, A.; Jain, S.K. In Vitro Release Kinetics Model Fitting of Liposomes: An Insight. Chem. Phys. Lipids 2016, 201, 28–40. [Google Scholar] [CrossRef] [PubMed]
- Espinoza, L.C.; Guaya, D.; Calpena, A.C.; Perotti, R.M.; Halbaut, L.; Sosa, L.; Brito-Llera, A.; Mallandrich, M. Comparative Study of Donepezil-Loaded Formulations for the Treatment of Alzheimer’s Disease by Nasal Administration. Gels 2022, 8, 715. [Google Scholar] [CrossRef] [PubMed]
- Akash, M.S.H.; Rehman, K. Drug Stability and Chemical Kinetics; Springer: Singapore, 2020; ISBN 9789811564260. [Google Scholar]
- Medina, J.R.; Cortes, M.; Romo, E. Comparison of the USP Apparatus 2 and 4 for Testing the in Vitro Release Performance of Ibuprofen Generic Suspensions. Int. J. Appl. Pharm. 2017, 9, 90–95. [Google Scholar] [CrossRef][Green Version]
- Uskoković, V. Mechanism of Formation Governs the Mechanism of Release of Antibiotics from Calcium Phosphate Nanopowders and Cements in a Drug-Dependent Manner. J. Mater. Chem. B 2019, 7, 3982–3992. [Google Scholar] [CrossRef] [PubMed]
- Weng, J.; Tong, H.H.Y.; Chow, S.F. In Vitro Release Study of the Polymeric Drug Nanoparticles: Development and Validation of a Novel Method. Pharmaceutics 2020, 12, 732. [Google Scholar] [CrossRef]
- Zhu, W.; Long, J.; Shi, M. Release Kinetics Model Fitting of Drugs with Different Structures from Viscose Fabric. Materials 2023, 16, 3282. [Google Scholar] [CrossRef]
- Hopf, N.B.; Champmartin, C.; Schenk, L.; Berthet, A.; Chedik, L.; Du Plessis, J.L.; Franken, A.; Frasch, F.; Gaskin, S.; Johanson, G.; et al. Reflections on the OECD Guidelines for in Vitro Skin Absorption Studies. Regul. Toxicol. Pharmacol. 2020, 117, 104752. [Google Scholar] [CrossRef] [PubMed]
- Limón, D.; Amirthalingam, E.; Rodrigues, M.; Halbaut, L.; Andrade, B.; Garduño-Ramírez, M.L.; Amabilino, D.B.; Pérez-García, L.; Calpena, A.C. Novel Nanostructured Supramolecular Hydrogels for the Topical Delivery of Anionic Drugs. Eur. J. Pharm. Biopharm. 2015, 96, 421–436. [Google Scholar] [CrossRef]
- Zsikó, S.; Csányi, E.; Kovács, A.; Budai-Szűcs, M.; Gácsi, A.; Berkó, S. Methods to Evaluate Skin Penetration In Vitro. Sci. Pharm. 2019, 87, 19. [Google Scholar] [CrossRef]
- Baek, J.S.; Pham, C.V.; Myung, C.S.; Cho, C.W. Tadalafil-Loaded Nanostructured Lipid Carriers Using Permeation Enhancers. Int. J. Pharm. 2015, 495, 701–709. [Google Scholar] [CrossRef] [PubMed]
- Halkier-Sørensen, L.; Thestrup-Pedersen, K.; Maibach, H.I. Equation for Conversion of Transepidermal Water Loss (TEWL) to a Common Reference Temperature: What Is the Slope? Contact Dermat. 1993, 29, 280–281. [Google Scholar] [CrossRef]
- Akdeniz, M.; Gabriel, S.; Lichterfeld-Kottner, A.; Blume-Peytavi, U.; Kottner, J. Transepidermal Water Loss in Healthy Adults: A Systematic Review and Meta-analysis Update. Br. J. Dermatol. 2018, 179, 1049–1055. [Google Scholar] [CrossRef]
- Espinoza, L.C.; Valarezo, E.; Fábrega, M.J.; Rodríguez-Lagunas, M.J.; Sosa, L.; Calpena, A.C.; Mallandrich, M. Characterization and In Vivo Anti-Inflammatory Efficacy of Copal (Dacryodes Peruviana (Loes.) H.J. Lam) Essential Oil. Plants 2022, 11, 3104. [Google Scholar] [CrossRef]
- Tampa, M.; Neagu, M.; Caruntu, C.; Constantin, C.; Georgescu, S.R. Skin Inflammation—A Cornerstone in Dermatological Conditions. J. Pers. Med. 2022, 12, 1370. [Google Scholar] [CrossRef] [PubMed]
- Rancan, F.; Papakostas, D.; Hadam, S.; Hackbarth, S.; Delair, T.; Primard, C.; Verrier, B.; Sterry, W.; Blume-Peytavi, U.; Vogt, A. Investigation of Polylactic Acid (PLA) Nanoparticles as Drug Delivery Systems for Local Dermatotherapy. Pharm. Res. 2009, 26, 2027–2036. [Google Scholar] [CrossRef]
- Nørreslet, L.B.; Serup, J.; Kezic, S.; Engebretsen, K.A.; Thyssen, J.P.; Agner, T.; Clausen, M.L. Tattoos and Skin Barrier Function: Measurements of TEWL, Stratum Corneum Conductance and Capacitance, PH, and Filaggrin. Ski. Res. Technol. 2019, 25, 382–388. [Google Scholar] [CrossRef]
- Kluger, N.; De Cuyper, C. A Practical Guide About Tattooing in Patients with Chronic Skin Disorders and Other Medical Conditions. Am. J. Clin. Dermatol. 2018, 19, 167–180. [Google Scholar] [CrossRef] [PubMed]












| Composition of PRA-NLC | |||||
|---|---|---|---|---|---|
| cPRA 1 (%) | cTW80 2 (%) | cSL/LP 3 (%) | Milli-Q Water (%) | ||
| Lanette® 18 (SL) | LAS (LL) | Castor Oil (LL) | |||
| 1.50 | 2.50 | 2.50 | 1.88 | 0.63 | 91.00 |
| Condition | Specification |
|---|---|
| Receptor fluid | Phosphate buffered saline (PBS pH = 7.4) |
| Cell volume (mL) | 5 |
| Membrane | Dialysis membrane |
| Active diffusion area (cm2) | 0.64 |
| Temperature (°C) | 32 ± 0.5 |
| Stirring speed (r.p.m.) | 700 |
| Dose (µg) | 750 |
| Sample volume (µL) | 200 |
| Sampling point times (h) | 1, 2, 6, 12, 24, 36, 48, 72 |
| Number of replicates | n = 5 |
| Condition | Specification |
|---|---|
| Receptor fluid | Phosphate buffered saline (PBS pH = 7.4) |
| Cell volume (mL) | 4 |
| Membrane material | Abdominal human skin |
| Active diffusion area (cm2) | 0.64 |
| The thickness of the skin (µm) | 400 |
| Temperature (°C) | 32 ± 0.5 |
| Stirring speed (r.p.m.) | 700 |
| Dose (µg) | 750 |
| Sample volume (µL) | 200 |
| Sampling point times (h) | 6, 10, 12, 16, 19 and 24. |
| Number of replicates | n = 5 |
| Physicochemical Characterization | |||
|---|---|---|---|
| Mean Particle Size (nm) ± SD * | Polydispersity Index ± SD * | Zeta Potential (mV) ± SD * | Encapsulation Efficiency (%) ± SD * |
| 220.40 ± 8.36 | 0.24 ± 0.05 | −11.07 ± 0.32 | 98.06 ± 0.09 |
| Kinetic Model | Amax | Kf | β | td | |
|---|---|---|---|---|---|
| PRA-NLC | First-order | 565.30 ± 34.52 | 0.03 ± 0.00 | - | - |
| PRA-solution | Weibull | 1.98 ± 3.86 | - | 0.79 ± 0.44 | 0.56 ± 0.24 |
| Biopharmaceutical Parameters | |||||
|---|---|---|---|---|---|
| Jss (µg/h/cm2) | Kp (×105 cm/h) | TL (h) | Q24h (µg) | Qret (µg/g/cm2) | |
| PRA-NLC | 0.1598 (0.1434–0.1861) | 1.07 (0.96–1.24) | 5.73 (2.91–8.72) | 2.14 (1.54–2.31) | 33.48 (31.41–34.00) |
| PRA-solution | 0.0388 (0.0368–0.0393) | 2.99 (2.83–3.02) | 4.10 (4.01–4.17) | 0.49 (0.35–0.81) | 20.50 (5.79–71.47) |
| Younger Humans Css (ng/mL) | Older Humans Css (ng/mL) | |
|---|---|---|
| PRA-NLC | 13.94 (12.51–16.23) | 26.25 (23.55–30.56) |
| PRA-solution | 3.39 (3.21–3.43) | 6.38 (6.04–6.45) |
Disclaimer/Publisher’s Note: The statements, opinions and data contained in all publications are solely those of the individual author(s) and contributor(s) and not of MDPI and/or the editor(s). MDPI and/or the editor(s) disclaim responsibility for any injury to people or property resulting from any ideas, methods, instructions or products referred to in the content. |
© 2024 by the authors. Licensee MDPI, Basel, Switzerland. This article is an open access article distributed under the terms and conditions of the Creative Commons Attribution (CC BY) license (https://creativecommons.org/licenses/by/4.0/).
Share and Cite
De Grau-Bassal, G.; Mallandrich, M.; Sosa, L.; Espinoza, L.; Calpena, A.C.; Bozal-de Febrer, N.; Rodríguez-Lagunas, M.J.; Garduño-Ramírez, M.L.; Rincón, M. A Novel Approach for Dermal Application of Pranoprofen-Loaded Lipid Nanoparticles for the Treatment of Post-Tattoo Inflammatory Reactions. Pharmaceutics 2024, 16, 643. https://doi.org/10.3390/pharmaceutics16050643
De Grau-Bassal G, Mallandrich M, Sosa L, Espinoza L, Calpena AC, Bozal-de Febrer N, Rodríguez-Lagunas MJ, Garduño-Ramírez ML, Rincón M. A Novel Approach for Dermal Application of Pranoprofen-Loaded Lipid Nanoparticles for the Treatment of Post-Tattoo Inflammatory Reactions. Pharmaceutics. 2024; 16(5):643. https://doi.org/10.3390/pharmaceutics16050643
Chicago/Turabian StyleDe Grau-Bassal, Guillermo, Mireia Mallandrich, Lilian Sosa, Lupe Espinoza, Ana Cristina Calpena, Núria Bozal-de Febrer, María J. Rodríguez-Lagunas, María L. Garduño-Ramírez, and María Rincón. 2024. "A Novel Approach for Dermal Application of Pranoprofen-Loaded Lipid Nanoparticles for the Treatment of Post-Tattoo Inflammatory Reactions" Pharmaceutics 16, no. 5: 643. https://doi.org/10.3390/pharmaceutics16050643
APA StyleDe Grau-Bassal, G., Mallandrich, M., Sosa, L., Espinoza, L., Calpena, A. C., Bozal-de Febrer, N., Rodríguez-Lagunas, M. J., Garduño-Ramírez, M. L., & Rincón, M. (2024). A Novel Approach for Dermal Application of Pranoprofen-Loaded Lipid Nanoparticles for the Treatment of Post-Tattoo Inflammatory Reactions. Pharmaceutics, 16(5), 643. https://doi.org/10.3390/pharmaceutics16050643

