Fabrication and Optimization of a Silodosin In Situ-Forming PLGA Implants for the Treatment of Benign Prostatic Hyperplasia: In Vitro and In Vivo Study
Abstract
1. Introduction
2. Materials and Methods
2.1. Materials
2.2. Preliminary Study for the Preparation of ISFIs
2.2.1. Saturation Solubility of SLD in Different Organic Solvents
2.2.2. Preparation of SLD-Loaded ISFIs
2.2.3. Injectability Time Measurement
2.2.4. Morphological Study
2.2.5. In Vitro Release Study of SLD-Loaded ISFIs
2.3. Experimental Design and Statistical Analysis
2.4. Selection of an Optimized Formulation and Statistical Validation
2.5. In Vitro Characterization of Optimized ISFI Formulation
2.5.1. Injectability Time and In Vitro Release Studies
In Vitro Release Kinetics
2.5.2. Scanning Electron Microscopy (SEM)
2.5.3. Fourier Transform Infrared (FTIR) Spectroscopy
2.5.4. Differential Scanning Calorimetry (DSC)
2.6. In Vivo Evaluation of the Optimized SLD–ISFI Formulation
2.6.1. Animals and Ethical Approval
2.6.2. Induction of BPH and Animal Groups
2.6.3. High-Performance Liquid Chromatography (HPLC) Analysis
2.6.4. Pharmacokinetic Study
2.6.5. Determination of Prostate-Specific Antigen (PSA)
2.6.6. Prostatic Index
2.6.7. Histopathology and Histomorphometric Analysis
3. Results and Discussion
3.1. Preliminary Studies of SLD-Loaded ISFIs
3.2. I-Optimal Experimental Design
3.2.1. Experimental Setup and Model Selection
3.2.2. Effects of Independent Factors on the Q2h (Y1)
3.2.3. Effects of Independent Factors on the Q10d (Y2)
3.2.4. Effects of Independent Factors on the Injectability Time (Y3)
3.2.5. Optimization Process and Statistical Validation
3.3. In Vitro Characterization of the Optimized ISFI Formulation
3.3.1. SEM Study
3.3.2. FTIR Study
3.3.3. DSC Study
3.4. In Vivo Evaluation of the Optimized ISFI Formulation
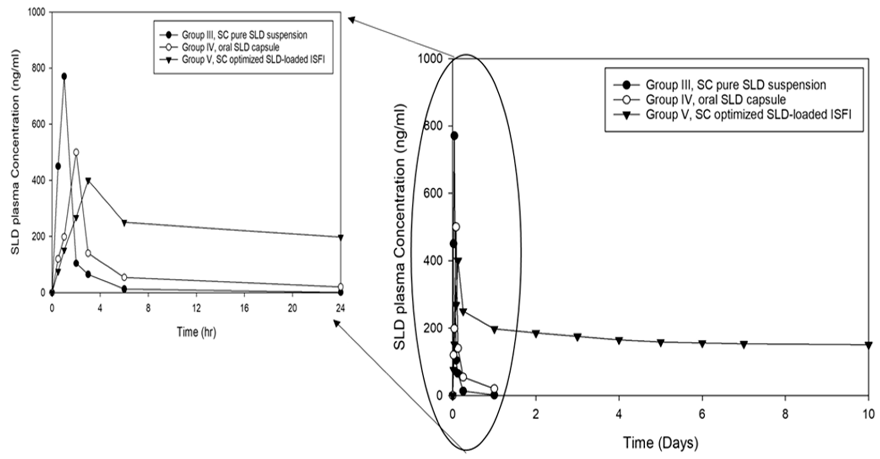
3.4.1. Pharmacokinetic Parameters
3.4.2. PSA Measurement
3.4.3. Prostatic Index
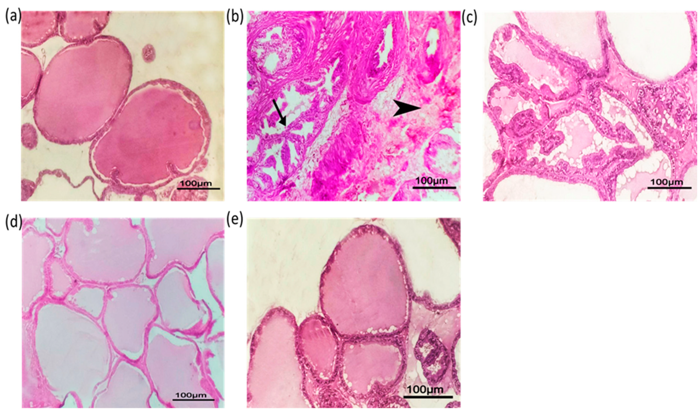
3.4.4. Histopathological Evaluation
4. Conclusions
Author Contributions
Funding
Institutional Review Board Statement
Informed Consent Statement
Data Availability Statement
Conflicts of Interest
References
- Alhayali, A.; Vuddanda, P.R.; Velaga, S. Silodosin oral films: Development, physico-mechanical properties and in vitro dissolution studies in simulated saliva. J. Drug Deliv. Sci. Technol. 2019, 53, 101122. [Google Scholar] [CrossRef]
- Kapoor, A. Management in the Primary Care Setting. Can. J. Urol. 2012, 19, 10–17. [Google Scholar] [PubMed]
- Saygisever-faikoglu, K.; Faikoglu, G.; Ozcan, F.O.; Berk, B. The efficacy and safety of silodosin-a review of literature. Pharm. Pharmacol. Int. J. 2021, 9, 249–256. [Google Scholar] [CrossRef]
- Sciacqua, L.V.; Vanzulli, A.; Di Meo, R.; Pellegrino, G.; Lavorato, R.; Vitale, G.; Carrafiello, G. Minimally Invasive Treatment in Benign Prostatic Hyperplasia (BPH). Technol. Cancer Res. Treat. 2023, 22, 15330338231155000. [Google Scholar] [CrossRef]
- Bakhaidar, R.B.; Hosny, K.M.; Mahier, I.M.; Rizq, W.Y.; Safhi, A.Y.; Bukhary, D.M.; Sultan, M.H.; Bukhary, H.A.; Madkhali, O.A.; Sabei, F.Y. Development and optimization of a tamsulosin nanostructured lipid carrier loaded with saw palmetto oil and pumpkin seed oil for treatment of benign prostatic hyperplasia. Drug Deliv. 2022, 29, 2579–2591. [Google Scholar] [CrossRef]
- Rossi, M.; Roumeguère, T. Silodosin in the treatment of benign prostatic hyperplasia. Drug Des. Devel. Ther. 2010, 4, 291–297. [Google Scholar] [CrossRef]
- Bortnick, E.; Brown, C.; Simma-chiang, V.; Kaplan, S.A. Modern best practice in the management of benign prostatic hyperplasia in the elderly. Ther. Adv. Urol. 2020, 12, 1756287220929486. [Google Scholar] [CrossRef]
- Montorsi, F. Profile of Silodosin. Eur. Urol. Suppl. 2010, 9, 491–495. [Google Scholar] [CrossRef]
- Montorsi, F. Corrigendum to “Profile of Silodosin” [Eur Urol Suppl 2010;9:491–5]. Eur. Urol. 2011, 59, 315. [Google Scholar] [CrossRef]
- Jindan, L.; Xiao, W.; Liping, X. Evolving Role of Silodosin for the Treatment of Urological Disorders—A Narrative Review. Drug Des. Devel. Ther. 2022, 16, 2861–2884. [Google Scholar] [CrossRef]
- González-Álvarez, I.; Sánchez-Dengra, B.; Rodriguez-Galvez, R.; Ruiz-Picazo, A.; González-Álvarez, M.; García-Arieta, A.; Bermejo, M. Exploring a Bioequivalence Failure for Silodosin Products Due to Disintegrant Excipients. Pharmaceutics 2022, 14, 2565. [Google Scholar] [CrossRef] [PubMed]
- Ibrahim, T.M.; El-Megrab, N.A.; El-Nahas, H.M. Optimization of injectable PLGA in-situ forming implants of anti-psychotic risperidone via Box-Behnken Design. J. Drug Deliv. Sci. Technol. 2020, 58, 101803. [Google Scholar] [CrossRef]
- Chavda, V.P.; Jogi, G.; Paiva-santos, A.C.; Kaushik, A. Biodegradable and removable implants for controlled drug delivery and release application. Expert Opin. Drug Deliv. 2022, 19, 1177–1182. [Google Scholar] [CrossRef] [PubMed]
- Sequeira, J.A.D.; Santos, A.C.; Serra, J.; Veiga, F.; Ribeiro, A.J. Poly(lactic-co-glycolic acid) (PLGA) matrix implants. In Nanostructures for the Engineering of Cells, Tissues and Organs: From Design to Applications; William Andrew Publishing: Norwich, NY, USA, 2018; pp. 375–398. [Google Scholar]
- Major, I.; Lastakchi, S.; Dalton, M.; Mcconville, C. 5. Implantable Drug Delivery Systems; Elsevier Ltd.: Amsterdam, The Netherlands, 2020; pp. 111–146. [Google Scholar]
- Kempe, S.; Mäder, K. In situ forming implants—An attractive formulation principle for parenteral depot formulations. J. Control. Release 2012, 161, 668–679. [Google Scholar] [CrossRef]
- Kerimoglu, O.; Alarcin, E. Poly(Lactic-Co-Glycolic Acid) Based Drug Delivery Devices for Tissue Engineering and Regenerative Medicine. ANKEM Derg. 2012, 26, 86–98. [Google Scholar] [CrossRef]
- Bode, C.; Kranz, H.; Fivez, A.; Siepmann, F.; Siepmann, J. Often neglected: PLGA/PLA swelling orchestrates drug release: HME implants. J. Control. Release 2019, 306, 97–107. [Google Scholar] [CrossRef]
- Bakhrushina, E.O.; Sakharova, P.S.; Konogorova, P.D.; Pyzhov, V.S.; Kosenkova, S.I.; Bardakov, A.I.; Zubareva, I.M.; Krasnyuk, I.I.; Krasnyuk, I.I. Burst Release from In Situ Forming PLGA-Based Implants: 12 Effectors and Ways of Correction. Pharmaceutics 2024, 16, 115. [Google Scholar] [CrossRef]
- Zhang, X.; Yang, L.; Zhang, C.; Liu, D.; Meng, S.; Zhang, W.; Meng, S. Effect of polymer permeability and solvent removal rate on in situ forming implants: Drug burst release and microstructure. Pharmaceutics 2019, 11, 520. [Google Scholar] [CrossRef]
- Assaf, S.M.; Ghanem, A.M.; Alhaj, S.A.; Khalil, E.A.; Sallam, A.S.A. Formulation and Evaluation of Eudragit® RL Polymeric Double Layer Films for Prolonged-Release Transdermal Delivery of Tamsulosin Hydrochloride. AAPS PharmSciTech 2022, 23, 210. [Google Scholar] [CrossRef]
- Li, Z.; Mu, H.; Weng Larsen, S.; Jensen, H.; Østergaard, J. An in vitro gel-based system for characterizing and predicting the long-term performance of PLGA in situ forming implants. Int. J. Pharm. 2021, 609, 121183. [Google Scholar] [CrossRef]
- Summonte, S.; Racaniello, G.F.; Lopedota, A.; Denora, N.; Bernkop-Schnürch, A. Thiolated polymeric hydrogels for biomedical application: Cross-linking mechanisms. J. Control. Release 2021, 330, 470–482. [Google Scholar] [CrossRef] [PubMed]
- Berger, J.; Reist, M.; Mayer, J.M.; Felt, O.; Peppas, N.A.; Gurny, R. Structure and interactions in covalently and ionically crosslinked chitosan hydrogels for biomedical applications. Eur. J. Pharm. Biopharm. 2004, 57, 19–34. [Google Scholar] [CrossRef] [PubMed]
- Burkoth, A.K.; Anseth, K.S. A review of photocrosslinked polyanhydrides: In situ forming degradable networks. Biomaterials 2000, 21, 2395–2404. [Google Scholar] [CrossRef] [PubMed]
- Singh, V.K.; Pal, K.; Banerjee, I.; Pramanik, K.; Anis, A.; Al-Zahrani, S.M. Novel organogel based lyotropic liquid crystal physical gels for controlled delivery applications. Eur. Polym. J. 2015, 68, 326–337. [Google Scholar] [CrossRef]
- Ahmed, T.A.; Hussain, Z. Preparation of parenteral in situ gel formulations based on smart PLGA polymers: Concepts to decrease initial drug burst and extend the drug release. In Biodegradable Polymers: Recent Developments and New Perspectives; IAPC Publishing: Zagreb, Croatia, 2010; pp. 315–336. [Google Scholar]
- Song, Y.; Nagai, N.; Saijo, S.; Kaji, H.; Nishizawa, M.; Abe, T. In situ formation of injectable chitosan-gelatin hydrogels through double crosslinking for sustained intraocular drug delivery. Mater. Sci. Eng. C 2018, 88, 1–12. [Google Scholar] [CrossRef]
- Sartor, O. Eligard: Leuprolide acetate in a novel sustained-release delivery system. Urology 2003, 61, 25–31. [Google Scholar] [CrossRef]
- Dunn, R.L.; English, J.P.; Cowsar, D.R.; Vanderbilt, D.P. Biodegradable In Situ Forming Implants and Methods of Producing the Same. U.S. Patent US5990194A, 23 November 1999. 13p. [Google Scholar]
- Ibrahim, T.M.; Ayoub, M.M.; El-Bassossy, H.M.; El-Nahas, H.M.; Gomaa, E. Investigation of Alogliptin-Loaded In Situ Gel Implants by 23 Factorial Design with Glycemic Assessment in Rats. Pharmaceutics 2022, 14, 1867. [Google Scholar] [CrossRef]
- Thakur, R.R.S.; McMillan, H.L.; Jones, D.S. Solvent induced phase inversion-based in situ forming controlled release drug delivery implants. J. Control. Release 2014, 176, 8–23. [Google Scholar] [CrossRef]
- Pandya, A.K.; Vora, L.K.; Umeyor, C.; Surve, D.; Patel, A.; Biswas, S.; Patel, K.; Patravale, V.B. Polymeric in situ forming depots for long-acting drug delivery systems. Adv. Drug Deliv. Rev. 2023, 200, 115003. [Google Scholar] [CrossRef]
- Zhao, J.; Tian, G.; Qu, H. Application of I-Optimal Design for Modeling and Optimizing the Operational Parameters of Ibuprofen Granules in Continuous Twin-Screw Wet Granulation. Biomedicines 2023, 11, 2030. [Google Scholar] [CrossRef]
- Ranade, S.S.; Thiagarajan, P. Selection of a design for response surface. IOP Conf. Ser. Mater. Sci. Eng. 2017, 263, 022043. [Google Scholar] [CrossRef]
- Hegazy, D.; Tag, R.; Habib, B.A. Statistical Sequential Experimentation: Preliminary Mixed Factorial Design, I-Optimal Mixture Design Then Finally Novel Design Space Expansion for Optimization of Tazarotene Cubosomes. Int. J. Nanomed. 2022, 17, 1069–1086. [Google Scholar] [CrossRef] [PubMed]
- Tekdemir, O.; Tilki, G.; Uğurlu, T. Development of a multiple-unit system: Tablets containing amlodipine besylate which have different release kinetics. J. Res. Pharm. 2020, 24, 572–581. [Google Scholar] [CrossRef]
- Öztürk, A.A.; Banderas, L.M.; Otero, M.D.C.; Yenilmez, E.; Şenel, B.; Yazan, Y. Dexketoprofen trometamol-loaded poly-lactic-co-glycolic acid (PLGA) nanoparticles: Preparation, in vitro characterization and cyctotoxity. Trop. J. Pharm. Res. 2019, 18, 1–11. [Google Scholar] [CrossRef]
- de Abreu, L.C.L.; de Souza Furtado, P.; da Silva Honorio, T.; Hossy, B.H.; de Pádula, M.; Domingos, T.F.S.; do Carmo, F.A.; de Oliveira Miguel, N.C.; Rodrigues, C.R.; de Sousa, V.P.; et al. A synergistic nanoformulation of babassu and copaiba oils as natural alternative for prevention of benign prostatic hyperplasia. J. Drug Deliv. Sci. Technol. 2018, 47, 167–75. [Google Scholar] [CrossRef]
- Nair, A.; Jacob, S. A simple practice guide for dose conversion between animals and human. J. Basic Clin. Pharm. 2016, 7, 27. [Google Scholar] [CrossRef]
- Kishore, P. Validated Estimation of Silodosin in Pure, Pharmaceuticals and in Biological Sample by UV-Spectroscopic and Rp-Hplc Method. Master’s Thesis, Adhiparasakthi College of Pharmacy, Tamil Nadu, India, 2012. [Google Scholar]
- Zhang, Y.; Huo, M.; Zhou, J.; Xie, S. PKSolver: An add-in program for pharmacokinetic and pharmacodynamic data analysis in Microsoft Excel. Comput. Methods Programs Biomed. 2010, 99, 306–314. [Google Scholar] [CrossRef]
- Vahabzadeh, Z.; Molodi, M.; Nikkho, B.; Saghebjoo, M.; Saedmocheshi, S.; Zamani, F.; Roshani, Y.; Babanzadeh, S. Aerobic training and hydroalcoholic extracts of green tea improve pro-oxidant-antioxidant balance and histopathological score in the n-methyl-n-nitrosourea–induced prostate cancer model of rat. EXCLI J. 2020, 19, 762–772. [Google Scholar] [CrossRef]
- de Souza Furtado, P.; Ribeiro da Silva Melo, J.; Wetler Meireles, P.; da Silva Honorio, T.; Campos de Oliveira Miguel, N.; Simon, A.; Cunha Sathler, P.; Coli Louvisse de Abreu, L.; Almada do Carmo, F.; Rodrigues, C.R.; et al. Benign prostatic hyperplasia therapy through liquisolid technology composed of polymer-layered nanocomposites based on silicate that contain babassu oil and copaiba oil-resin. J. Drug Deliv. Sci. Technol. 2021, 64, 102586. [Google Scholar] [CrossRef]
- Ahmed, T.; Ibrahim, H.; Samy, A.; Kaseem, A.; Nutan, M.; Hussain, M.D. Biodegradable injectable in situ implants and microparticles for sustained release of montelukast: In vitro release, pharmacokinetics, and stability. AAPS PharmSciTech 2014, 15, 772–780. [Google Scholar] [CrossRef]
- Camargo, J.A.; Sapin, A.; Nouvel, C.; Daloz, D.; Leonard, M.; Bonneaux, F.; Six, J.L.; Maincent, P. Injectable PLA-based in situ forming implants for controlled release of Ivermectin a BCS Class II drug: Solvent selection based on physico-chemical characterization. Drug Dev. Ind. Pharm. 2013, 39, 146–155. [Google Scholar] [CrossRef] [PubMed]
- Lambert, W.J.; Peck, K.D. Development of an in situ forming biodegradable poly-lactide-coglycolide system for the controlled release of proteins. J. Control. Release 1995, 33, 189–195. [Google Scholar] [CrossRef]
- Voigt, V. Biodegradable In Situ Forming Systems and Sponge-Like Implants. Ph.D. Thesis, Freie Universität Berlin, Berlin, Germany, 2006. [Google Scholar]
- Barton, A.F.M. Solubility Parameters. Chem. Rev. 1975, 75, 731–753. [Google Scholar] [CrossRef]
- Rowe, R.C.; Sheskey, P.; Quinn, M. Remington: The Science and Practice of Pharmacy. In Handbook of Pharmaceutical Excipients; Pharmaceutical Press: London, UK, 2009. [Google Scholar]
- Alrashdan, M.; Shraideh, Z.A.; Abulateefeh, S.R. Optimizing formulation parameters for the development of carvedilol injectable in situ forming depots. Pharm. Dev. Technol. 2023, 28, 865–876. [Google Scholar] [CrossRef]
- Gomaa, E.; Eissa, N.G.; Ibrahim, T.M.; El-Bassossy, H.M.; El-Nahas, H.M.; Ayoub, M.M. Development of depot PLGA-based in-situ implant of Linagliptin: Sustained release and glycemic control. Saudi Pharm. J. 2023, 31, 499–509. [Google Scholar] [CrossRef]
- Parent, M.; Nouvel, C.; Koerber, M.; Sapin, A.; Maincent, P.; Boudier, A. PLGA in situ implants formed by phase inversion: Critical physicochemical parameters to modulate drug release. J. Control. Release 2013, 172, 292–304. [Google Scholar] [CrossRef]
- Calvo, N.L.; Tejada, G.; Svetaz, L.A.; Quiroga, A.D.; Alvarez, V.A.; Lamas, M.C.; Leonardi, D. Development and optimization of a new tioconazole vaginal mucoadhesive film using an experimental design strategy. Physicochemical and biological characterization. J. Pharm. Biomed. Anal. 2021, 205, 114303. [Google Scholar] [CrossRef]
- Ibrahim, T.M.; Abdulla, N.A.; Mohamed, M.A. Investigating the efficacy of mirtazapine-embedded invasomal gel nanocarriers via I-optimal design for management of atopic dermatitis. J. Drug Deliv. Sci. Technol. 2024, 92, 105395. [Google Scholar] [CrossRef]
- Bode, C.; Kranz, H.; Siepmann, F.; Siepmann, J. In-situ forming PLGA implants for intraocular dexamethasone delivery. Int. J. Pharm. 2018, 548, 337–348. [Google Scholar] [CrossRef]
- Sheshala, R.; Hong, G.C.; Yee, W.P.; Meka, V.S.; Thakur, R.R.S. In situ forming phase-inversion implants for sustained ocular delivery of triamcinolone acetonide. Drug Deliv. Transl. Res. 2019, 9, 534–542. [Google Scholar] [CrossRef]
- Elder, S.H.; Ross, M.K.; Nicaise, A.J.; Miller, I.N.; Breland, A.N.; Hood, A.R.S. Development of in situ forming implants for controlled delivery of punicalagin. Int. J. Pharm. 2024, 652, 123842. [Google Scholar] [CrossRef] [PubMed]
- Lin, X.; Yang, S.; Gou, J.; Zhao, M.; Zhang, Y.; Qi, N.; He, H.; Cai, C.; Tang, X.; Guo, P. A novel risperidone-loaded SAIB-PLGA mixture matrix depot with a reduced burst release: Effects of solvents and PLGA on drug release behaviors in vitro/in vivo. J. Mater. Sci. Mater. Med. 2012, 23, 443–455. [Google Scholar] [CrossRef] [PubMed]
- Yehia, S.A.; Elshafeey, A.H.; Elsayed, I. A novel injectable in situ forming poly-DL-lactide and DL-lactide/glycolide implant containing lipospheres for controlled drug delivery. J. Liposome Res. 2012, 22, 128–138. [Google Scholar] [CrossRef] [PubMed]
- Liu, H.; Venkatranan, S.S. Cosolvent Effects on the Drug Release and Depot Swelling in Injectable In Situ Depot-Forming Systems. J. Pharm. Sci. 2012, 101, 1783–1793. [Google Scholar] [CrossRef]
- Hosny, K.M.; Rizg, W.Y. Quality by design approach to optimize the formulation variables influencing the characteristics of biodegradable intramuscular in-situ gel loaded with alendronate sodium for osteoporosis. PLoS ONE 2018, 13, e0197540. [Google Scholar] [CrossRef]
- Kanwar, N.; Sinha, V.R. In situ forming depot as sustained-release drug delivery systems. Crit. Rev. Ther. Drug Carrier Syst. 2019, 36, 93–136. [Google Scholar] [CrossRef]
- Abdelnabi, D.; Lastakchi, S.; Watts, C.; Atkins, H.; Hingtgen, S.; Valdivia, A.; McConville, C. Local administration of irinotecan using an implantable drug delivery device stops high-grade glioma tumor recurrence in a glioblastoma tumor model. Drug Deliv. Transl. Res. 2024, 14, 3070–3088. [Google Scholar] [CrossRef]
- Huo, L.; Wei, Y.; Zhang, H.; Wang, Y.; Deng, B.; Wang, Y.; Jin, L. Preparation and properties of triethyl citrate plasticized chitosan-based membranes for efficient release of curcumin. J. Appl. Polym. Sci. 2022, 139, 51908. [Google Scholar] [CrossRef]
- Ibrahim, T.M.; Eissa, R.G.; El-Megrab, N.A.; El-Nahas, H.M. Morphological characterization of optimized risperidone-loaded in-situ gel forming implants with pharmacokinetic and behavioral assessments in rats. J. Drug Deliv. Sci. Technol. 2021, 61, 102195. [Google Scholar] [CrossRef]
- Karimi, M.; Abrishami, M.; Farzadnia, M.; Kamali, H.; Malaekeh-Nikouei, B. In-situ forming biodegradable implants for sustained Fluocinolone acetonide release to the posterior eye: In-vitro and in-vivo investigations in rabbits. Int. J. Pharm. 2024, 654, 123973. [Google Scholar] [CrossRef]
- Chenna, G.P.; Sathish Kumar Shetty, A.; Pai, J.B. Development and validation of RP-HPLC method for quantitative estimation of pyrazinamide in bulk and pharmaceutical dosage forms. Int. J. PharmTech Res. 2011, 3, 1275–1280. [Google Scholar]
- Lu, B.; Lv, X.; Le, Y. Chitosan-modified PLGA nanoparticles for control-released drug delivery. Polymers 2019, 11, 304. [Google Scholar] [CrossRef] [PubMed]
- Gaur, M.; Maurya, S.; Akhtar, M.S.; Yadav, A.B. Synthesis and Evaluation of BSA-Loaded PLGA-Chitosan Composite Nanoparticles for the Protein-Based Drug Delivery System. ACS Omega 2023, 8, 18751–18759. [Google Scholar] [CrossRef] [PubMed]
- He, P.; Xu, S.; Guo, Z.; Yuan, P.; Liu, Y.; Chen, Y.; Zhang, T.; Que, Y.; Hu, Y. Pharmacodynamics and pharmacokinetics of PLGA-based doxorubicin-loaded implants for tumor therapy. Drug Deliv. 2022, 29, 478–488. [Google Scholar] [CrossRef]
- Mainardes, R.M.; Gremião, M.P.D.; Evangelista, R.C. Thermoanalytical study of praziquantel-loaded PLGA nanoparticles. Rev. Bras. Cienc. Farm. J. Pharm. Sci. 2006, 42, 523–530. [Google Scholar] [CrossRef]
- Sasidharan, S.; Srinivasakumar, K.P.; Bhaumik, A.; Das, S.K.; Hareebndran Nair, J. Administration of Caesalpinia bonduc Seed Extracts Ameliorates Testosterone-Induced Benign Prostatic Hyperplasia (BPH) in Male Wistar Rats. Res. Rep. Urol. 2022, 14, 225–239. [Google Scholar] [CrossRef]














| Independent Factors | Unit | Symbol | Type | Levels | |||
|---|---|---|---|---|---|---|---|
| PLGA amount | mg | A | Numeric | 50 (Low) | 125 (Medium) | 200 (High) | |
| Type of solvent | - | B | Categoric | NMP | DMSO | TA | NMP–TA mixture (1:1) |
| Dependent responses | Unit | Symbol | Goal | ||||
| Q2h | % | Y1 | Minimize | ||||
| Q10d | % | Y2 | Maximize | ||||
| Injectability time | sec | Y3 | Minimize | ||||
| Solvent | δ (MPa1/2) * | Molecular Volume (mL/mol) | SLD Solubility (mg/mL) | PLGA Solubility | Viscosity (mPa s) at 25 °C ** |
|---|---|---|---|---|---|
| NMP | 23.1 | 96.50 | 674.63 ± 1.12 | +++ | 1.65 |
| DMSO | 24.5 | 71.03 | 580.14 ± 1.39 | +++ | 2.00 |
| EA | 18.6 | 97.68 | 73.40 ± 2.86 | +++ | 0.42 |
| TA | 23.7 | 188.2 | 79.21 ± 1.09 | +++ | 17.4 |
| Run | A | B | Y1 | Y2 | Y3 |
|---|---|---|---|---|---|
| PLGA Amount (mg) | Solvent Type | Q2h (%) | Q10d (%) | Injectability Time (s) | |
| F1 | 125 | NMP–TA | 44.82 | 52.94 | 41.35 |
| F2 | 125 | TA | 13.69 | 43.43 | 110.62 |
| F3 | 125 | NMP | 66.11 | 84.26 | 9.07 |
| F4 | 50 | NMP | 76.15 | 88.56 | 3.42 |
| F5 | 50 | NMP–TA | 65.17 | 70.81 | 10.27 |
| F6 | 50 | TA | 36.55 | 53.84 | 18.95 |
| F7 | 125 | DMSO | 44.82 | 62.69 | 13.14 |
| F8 | 200 | NMP–TA | 20.32 | 47.69 | 76.44 |
| F9 | 125 | DMSO | 50.79 | 57.20 | 18.07 |
| F10 | 50 | NMP | 66.15 | 82.49 | 3.92 |
| F11 | 125 | NMP | 63.11 | 80.28 | 9.94 |
| F12 | 200 | NMP–TA | 20.32 | 46.85 | 71.85 |
| F13 | 200 | NMP | 57.46 | 71.61 | 17.16 |
| F14 | 50 | DMSO | 56.87 | 73.99 | 4.93 |
| F15 | 125 | TA | 20.36 | 42.22 | 104.91 |
| F16 | 200 | TA | 8.46 | 26.62 | 210.75 |
| F17 | 200 | DMSO | 19.86 | 44.04 | 36.54 |
| F18 | 50 | DMSO | 66.87 | 69.10 | 7.37 |
| F19 | 125 | NMP–TA | 51.85 | 57.55 | 35.51 |
| Terms | Y1 (2FI Model) | Y2 (Linear Model) | Y3 (Quadratic Model) | |||
|---|---|---|---|---|---|---|
| p-value | Significance | p-value | Significance | p-value | Significance | |
| Model | <0.0001 | Significant | <0.0001 | Significant | <0.0001 | Significant |
| A | <0.0001 | Significant | <0.0001 | Significant | <0.0001 | Significant |
| B | <0.0001 | Significant | <0.0001 | Significant | <0.0001 | Significant |
| AB | 0.0148 | Significant | - | <0.0001 | Significant | |
| A2 | - | - | 0.0106 | Significant | ||
| Lack-of-Fit | 0.3728 | Not Significant | 0.1827 | Not Significant | 0.4774 | Not Significant |
| Fit statistics | ||||||
| S.D. | 5.14 | 3.76 | 2.88 | |||
| R2 | 0.9650 | 0.9621 | 0.9984 | |||
| Adjusted R2 | 0.9428 | 0.9513 | 0.9970 | |||
| Predicted R2 | 0.8637 | 0.9289 | 0.9926 | |||
| Formulation | Zero Order | First Order | Higuchi | Hixson–Crowell | Korsmeyer–Peppas | |
|---|---|---|---|---|---|---|
| R2 | R2 | R2 | R2 | R2 | n | |
| Optimized formulation | 0.2395 | 0.6717 | 0.9113 | 0.5699 | 0.9700 | 0.233 |
| Parameter | SC Pure SLD Suspension | Oral Commercial SLD Capsule | SC Optimized SLD–ISFI |
|---|---|---|---|
| Cmax (ng/mL) | 770.66 ± 5.32 | 500.12 ± 10.05 * | 400.37 ± 8.32 * |
| Tmax (h) | 1.00 ± 0.00 | 2.00 ± 0.01 * | 3.00 ± 0.04 * |
| Kel (h−1) | 0.18 ± 0.01 | 0.08 ± 0.00 * | 0.03 ± 0.00 * |
| t1/2 (h) | 3.84 ± 0.01 | 8.75 ± 0.11 * | 26.14 ± 1.52 * |
| AUC0–t(ng/mL·h) | 1182.61 ± 87.87 | 1741.59 ± 62.04 * | 5627.09 ± 54.32 * |
| AUC0–∞(ng/mL·h) | 1190.08 ± 80.24 | 1996.73 ± 52.12 * | 13,073.90 ± 67.02 * |
| AUMC0–∞(ng/mL·h2) | 2613.80 ± 99.02 | 19,150.83 ± 231.01 * | 521,063.99 ± 564.21 * |
| MRT (h) | 2.20 ± 0.09 | 9.59 ± 0.74 * | 39.86 ± 2.12 * |
| Relative bioavailability (%) | ---- | 147.27 | 475.82 |
| Groups | Prostatic Index | Histomorphometric Evaluation of Male Rat Ventral Prostatic Lobe | |
|---|---|---|---|
| No. of Projections/Acini | Projection Height/Acini (µm) | ||
| Group I | 0.28 ± 0.01 | 0.85 ± 0.35 | 3.22 ± 0.44 |
| Group II | 0.69 ± 0.05 | 12.00 ± 2.16 | 39.78 ± 9.65 |
| Group III | 0.55 ± 0.04 * | 8.75 ± 0.96 | 30.84 ± 6.32 |
| Group IV | 0.41 ± 0.03 * | 2.75 ± 1.71 * | 9.14 ± 1.80 * |
| Group V | 0.33 ± 0.05 * | 1.00 ± 0.32 * | 3.67 ± 0.59 * |
Disclaimer/Publisher’s Note: The statements, opinions and data contained in all publications are solely those of the individual author(s) and contributor(s) and not of MDPI and/or the editor(s). MDPI and/or the editor(s) disclaim responsibility for any injury to people or property resulting from any ideas, methods, instructions or products referred to in the content. |
© 2024 by the authors. Licensee MDPI, Basel, Switzerland. This article is an open access article distributed under the terms and conditions of the Creative Commons Attribution (CC BY) license (https://creativecommons.org/licenses/by/4.0/).
Share and Cite
Husseini, R.A.; Ibrahim, T.M.; Hamed, E.; Gomaa, E.; Faisal, M.M.; Wan, G.; Amin, M.; Alkolaib, A.M.; Abdelnabi, D.M. Fabrication and Optimization of a Silodosin In Situ-Forming PLGA Implants for the Treatment of Benign Prostatic Hyperplasia: In Vitro and In Vivo Study. Pharmaceutics 2024, 16, 1364. https://doi.org/10.3390/pharmaceutics16111364
Husseini RA, Ibrahim TM, Hamed E, Gomaa E, Faisal MM, Wan G, Amin M, Alkolaib AM, Abdelnabi DM. Fabrication and Optimization of a Silodosin In Situ-Forming PLGA Implants for the Treatment of Benign Prostatic Hyperplasia: In Vitro and In Vivo Study. Pharmaceutics. 2024; 16(11):1364. https://doi.org/10.3390/pharmaceutics16111364
Chicago/Turabian StyleHusseini, Rabab A., Tarek M. Ibrahim, Eslam Hamed, Eman Gomaa, Mennatullah M. Faisal, Ghadeer Wan, Manna Amin, Ali M. Alkolaib, and Dina M. Abdelnabi. 2024. "Fabrication and Optimization of a Silodosin In Situ-Forming PLGA Implants for the Treatment of Benign Prostatic Hyperplasia: In Vitro and In Vivo Study" Pharmaceutics 16, no. 11: 1364. https://doi.org/10.3390/pharmaceutics16111364
APA StyleHusseini, R. A., Ibrahim, T. M., Hamed, E., Gomaa, E., Faisal, M. M., Wan, G., Amin, M., Alkolaib, A. M., & Abdelnabi, D. M. (2024). Fabrication and Optimization of a Silodosin In Situ-Forming PLGA Implants for the Treatment of Benign Prostatic Hyperplasia: In Vitro and In Vivo Study. Pharmaceutics, 16(11), 1364. https://doi.org/10.3390/pharmaceutics16111364

