Computational Insight of Phase Transformation and Drug Release Behaviour of Doxycycline-Loaded Ibuprofen-Based In-Situ Forming Gel
Abstract
:1. Introduction
2. Materials and Methods
2.1. Materials
2.2. Preparation of the ISG
2.3. Surface Tension
2.4. Water Tolerance Measurement
2.5. Gel Formation Study
2.6. In Vitro Drug Release Studies
2.7. Molecular Dynamics Simulation for Phase Transformation Study
2.8. Statistical Analysis
3. Results and Discussion
3.1. Water Tolerance
3.2. Surface Tension
3.3. Self-Gel Transformation Phenomenon of ISGs
3.4. In Vitro Drug Release
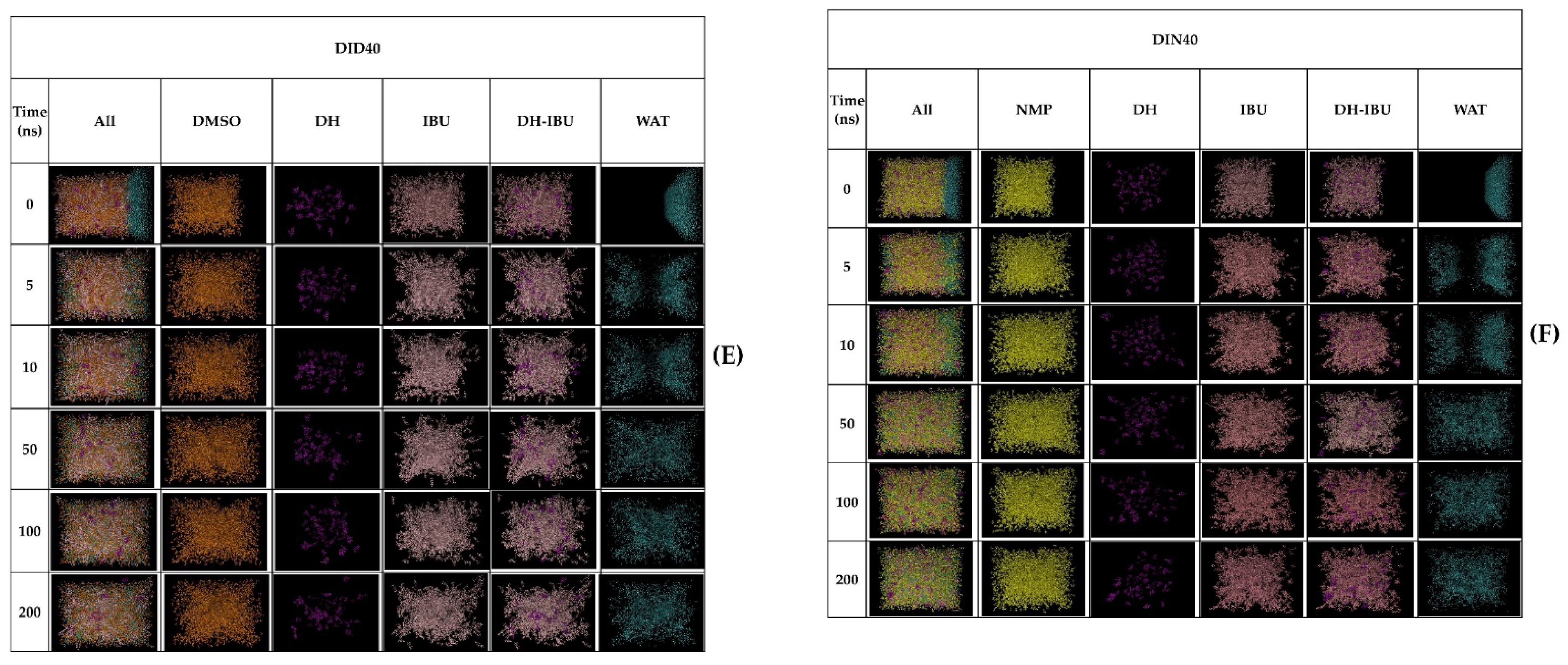
3.5. In Silico Results of MD Simulation
4. Conclusions
Author Contributions
Funding
Institutional Review Board Statement
Informed Consent Statement
Data Availability Statement
Acknowledgments
Conflicts of Interest
References
- Chuenbarn, T.; Chantadee, T.; Phaechamud, T. Doxycycline hyclate-loaded Eudragit® RS PO in situ-forming microparticles for periodontitis treatment. J. Drug Deliv. Sci. Technol. 2022, 71, 103294. [Google Scholar] [CrossRef]
- Chantadee, T.; Santimaleeworagun, W.; Phorom, Y.; Chuenbarn, T.; Phaechamud, T. Vancomycin HCl-loaded lauric acid in situ-forming gel with phase inversion for periodontitis treatment. J. Drug Deliv. Sci. Technol. 2020, 57, 101615. [Google Scholar] [CrossRef]
- Irvine, J.; Afrose, A.; Islam, N. Formulation and delivery strategies of ibuprofen: Challenges and opportunities. Drug Dev. Ind. Pharm. 2018, 44, 173–183. [Google Scholar] [CrossRef] [PubMed]
- Su, J.; Gu, J.; Dong, Z.; Mei, B. Ibuprofen rescues abnormalities in periodontal tissues in conditional presenilin 1 and presenilin 2 double knockout mice. Int. J. Mol. Sci. 2013, 14, 18457–18469. [Google Scholar] [CrossRef]
- Agossa, K.; Delepierre, A.; Lizambard, M.; Delcourt-Debruyne, E.; Siepmann, J.; Siepmann, F.; Neut, C. In-situ forming implants for dual controlled release of chlorhexidine and ibuprofen for periodontitis treatment: Microbiological and mechanical key properties. J. Drug Deliv. Sci. Technol. 2020, 60, 101956. [Google Scholar] [CrossRef]
- Maddiboyina, B.; Krishna, A.; Sri, R.; Kalyani, B.; Jabeena, S.; Sharmila, S.; Lakshmibai, V. Preparation and evaluation of ibuprofen in-situ periodontal gel. Int. J. Allied Med. Sci. Clin. Res. 2020, 8, 67–75. [Google Scholar]
- Moura, S.K.S.C.F.; dos Santos, M.L.V.; do Nascimento, L.A.; da Silva, M.F.A.; de França, G.M.; da Costa, L.M.; Medeiros, A.C.; Araújo-Júnior, R.F.; de Araújo, A.A.; Oliveira, C.N.; et al. Design of a thermosensitive ibuprofen-loaded nanogel as smart material applied as anti-inflammatory in tooth bleaching: An in vivo study. J. Drug Deliv. Sci. Technol. 2022, 68, 103123. [Google Scholar] [CrossRef]
- Puyathorn, N.; Senarat, S.; Lertsuphotvanit, N.; Phaechamud, T.A.-O. Physicochemical and Bioactivity Characteristics of Doxycycline Hyclate-Loaded Solvent Removal-Induced Ibuprofen-Based In Situ Forming Gel. Gels 2023, 9, 128. [Google Scholar] [CrossRef]
- Shariatinia, Z.; Abdollahi-Moghadam, M. DFT computations on surface physical adsorption of hydrocarbons produced in the Fischer-Tropsch synthesis on a CNT/Co nanocatalyst. J. Saudi Chem. Soc. 2018, 22, 786–808. [Google Scholar] [CrossRef]
- Kazemi, S.; Daryani, A.S.; Abdouss, M.; Shariatinia, Z. DFT computations on the hydrogen bonding interactions between methacrylic acid-trimethylolpropane trimethacrylate copolymers and letrozole as drug delivery systems. J. Theor. Comput. Chem. 2016, 15, 1650015. [Google Scholar] [CrossRef]
- Li, J.; Chen, C.; Zhang, J.; Zhang, L.; Liang, L.; Kong, Z.; Jia-Wei, S.; Xu, Y.; Wang, X.; Zhang, W. Molecular dynamics study on loading mechanism of chitosan into boron nitride nanotubes. J. Mol. Liq. 2020, 297, 111753. [Google Scholar] [CrossRef]
- Shariatinia, Z.; Mazloom-Jalali, A. Molecular dynamics simulations on chitosan/graphene nanocomposites as anticancer drug delivery using systems. Chin. J. Phys. 2020, 66, 362–382. [Google Scholar] [CrossRef]
- Jalali, A.M.; Shariatinia, Z.; Taromi, F.A. Desulfurization efficiency of polydimethylsiloxane/silica nanoparticle nanocomposite membranes: MD simulations. Comput. Mater. Sci. 2017, 139, 115–124. [Google Scholar] [CrossRef]
- Maleki, R.; Afrouzi, H.H.; Hosseini, M.; Toghraie, D.; Piranfar, A.; Rostami, S. pH-sensitive loading/releasing of doxorubicin using single-walled carbon nanotube and multi-walled carbon nanotube: A molecular dynamics study. Comput. Methods Programs Biomed. 2020, 186, 105210. [Google Scholar] [CrossRef] [PubMed]
- Shariatinia, Z. Chapter 10—Molecular Dynamics Simulations on Drug Delivery Systems. In Modeling and Control of Drug Delivery Systems; Azar, A.T., Ed.; Academic Press: Cambridge, MA, USA, 2021; pp. 153–182. [Google Scholar]
- Mollazadeh, S.; Sahebkar, A.; Shahlaei, M.; Moradi, S. Nano drug delivery systems: Molecular dynamic simulation. J. Mol. Liq. 2021, 332, 115823. [Google Scholar] [CrossRef]
- Asmari, M.; Wang, X.; Casado, N.; Piponski, M.; Kovalenko, S.; Logoyda, L.; Hanafi, R.; El Deeb, S. Chiral Monolithic Silica-Based HPLC Columns for Enantiomeric Separation and Determination: Functionalization of Chiral Selector and Recognition of Selector-Selectand Interaction. Molecules 2021, 26, 5241. [Google Scholar] [CrossRef]
- Berillo, D.A.-O.; Yeskendir, A.; Zharkinbekov, Z.A.-O.; Raziyeva, K.; Saparov, A.A.-O. Peptide-Based Drug Delivery Systems. Medicina 2021, 57, 1209. [Google Scholar] [CrossRef]
- Man, V.A.-O.; Li, M.A.-O.; Wang, J.; Derreumaux, P.; Nguyen, P.A.-O.X. Interaction mechanism between the focused ultrasound and lipid membrane at the molecular level. J. Chem. Phys. 2019, 150, 215101. [Google Scholar] [CrossRef]
- Pai, R.V.; Monpara, J.D.; Vavia, P.R. Exploring molecular dynamics simulation to predict binding with ocular mucin: An in silico approach for screening mucoadhesive materials for ocular retentive delivery systems. J. Control. Release 2019, 309, 190–202. [Google Scholar] [CrossRef]
- Khalkhali, M.; Mohammadinejad, S.; Khoeini, F.; Rostamizadeh, K. Vesicle-like structure of lipid-based nanoparticles as drug delivery system revealed by molecular dynamics simulations. Int. J. Pharm. 2019, 559, 173–181. [Google Scholar] [CrossRef]
- Shariatinia, Z.; Ahmadi-Ashtiani, A. Corrosion inhibition efficiency of some phosphoramide derivatives: DFT computations and MD simulations. J. Mol. Liq. 2019, 292, 111409. [Google Scholar] [CrossRef]
- Mollazadeh, S.; Mackiewicz, M.; Yazdimamaghani, M. Recent advances in the redox-responsive drug delivery nanoplatforms: A chemical structure and physical property perspective. Mater. Sci. Eng. C 2021, 118, 111536. [Google Scholar] [CrossRef]
- Vatanparast, M.; Shariatinia, Z. Hexagonal boron nitride nanosheet as novel drug delivery system for anticancer drugs: Insights from DFT calculations and molecular dynamics simulations. J. Mol. Graph. Model. 2019, 89, 50–59. [Google Scholar] [CrossRef]
- Vatanparast, M.; Shariatinia, Z. AlN and AlP doped graphene quantum dots as novel drug delivery systems for 5-fluorouracil drug: Theoretical studies. J. Fluor. Chem. 2018, 211, 81–93. [Google Scholar] [CrossRef]
- Vatanparast, M.; Shariatinia, Z. Revealing the role of different nitrogen functionalities in the drug delivery performance of graphene quantum dots: A combined density functional theory and molecular dynamics approach. J. Mater. Chem. B 2019, 7, 6156–6171. [Google Scholar] [CrossRef] [PubMed]
- Chantadee, T.; Sirirak, J.; Hoshino, T.; Phaechamud, T. Augmentative molecular aspect for phase inversion of vancomycin hydrochloride-loaded fatty acid in situ forming matrices. Mater. Des. 2021, 199, 109429. [Google Scholar] [CrossRef]
- Lertsuphotvanit, N.; Sirirak, J.; Tamdee, P.; Tuntarawongsa, S.; Phaechamud, T.; Chantadee, T. Ways to Assess and Regulate the Performance of a Bi-Mechanism-Induced Borneol-Based In Situ Forming Matrix. Pharmaceutics 2023, 15, 2053. [Google Scholar] [CrossRef] [PubMed]
- Shahab, M.; Akter, S.; Sarkar, M.M.H.; Banu, T.A.; Goswami, B.; Chowdhury, S.F.; Naser, S.R.; Habib, M.A.; Shaikh, A.A.; Saki, M.; et al. Computational design of medicinal compounds to inhibit RBD-hACE2 interaction in the Omicron variant: Unveiling a vulnerable target site. Inform. Med. Unlocked 2023, 40, 101281. [Google Scholar] [CrossRef]
- Giorgino, T. Computing 1-D atomic densities in macromolecular simulations: The density profile tool for VMD. Comput. Phys. Commun. 2014, 185, 317–322. [Google Scholar] [CrossRef]
- Agrawal, G.; Negi, Y.S.; Pradhan, S.; Dash, M.; Samal, S.K. 3—Wettability and contact angle of polymeric biomaterials. In Characterization of Polymeric Biomaterials; Tanzi, M.C., Farè, S., Eds.; Woodhead Publishing: Sawston, UK, 2017; pp. 57–81. [Google Scholar]
- Qazi, M.J.; Schlegel, S.J.; Backus, E.H.G.; Bonn, M.; Bonn, D.; Shahidzadeh, N. Dynamic Surface Tension of Surfactants in the Presence of High Salt Concentrations. Langmuir 2020, 36, 7956–7964. [Google Scholar] [CrossRef]
- McClements, D.J. Nanoemulsions versus microemulsions: Terminology, differences, and similarities. Soft Matter 2012, 8, 1719–1729. [Google Scholar] [CrossRef]
- Parent, M.; Nouvel, C.; Koerber, M.; Sapin, A.; Maincent, P.; Boudier, A. PLGA in situ implants formed by phase inversion: Critical physicochemical parameters to modulate drug release. J. Control. Release 2013, 172, 292–304. [Google Scholar] [CrossRef] [PubMed]
- Javali, M.A.; Vandana, K.L. A comparative evaluation of atrigel delivery system (10% doxycycline hyclate) Atridox with scaling and root planing and combination therapy in treatment of periodontitis: A clinical study. J. Indian. Soc. Periodontol. 2012, 16, 43–48. [Google Scholar] [CrossRef]
- Lobanov, M.Y.; Bogatyreva, N.S.; Galzitskaya, O.V. Radius of gyration as an indicator of protein structure compactness. Mol. Biol. 2008, 42, 623–628. [Google Scholar] [CrossRef]
- Crossley-Lewis, J.; Dunn, J.; Buda, C.; Sunley, G.J.; Elena, A.M.; Todorov, I.T.; Yong, C.W.; Glowacki, D.R.; Mulholland, A.J.; Allan, N.L. Interactive molecular dynamics in virtual reality for modelling materials and catalysts. J. Mol. Graph. Model. 2023, 125, 108606. [Google Scholar] [CrossRef]
- Vahed, M.; Neya, S.; Matsuzaki, K.; Hoshino, T.A.-O. Analysis of Physicochemical Interaction of Aβ(40) with a GM1 Ganglioside-Containing Lipid Membrane. J. Phys. Chem. B 2018, 122, 3771–3781. [Google Scholar] [CrossRef]












| (A) | ||||||
| Formulation | IBU (% w/w) | DH (% w/w) | Organic Solvent (Adjust to 100% w/w) | |||
| DD | - | 5 | DMSO | |||
| DN | - | 5 | NMP | |||
| ID10 | 10 | - | DMSO | |||
| ID20 | 20 | - | DMSO | |||
| ID30 | 30 | - | DMSO | |||
| ID40 | 40 | - | DMSO | |||
| IN10 | 10 | - | NMP | |||
| IN20 | 20 | - | NMP | |||
| IN30 | 30 | - | NMP | |||
| IN40 | 40 | - | NMP | |||
| DID40 | 40 | 5 | DMSO | |||
| DIN40 | 40 | 5 | NMP | |||
| (B) | ||||||
| Molecular Dynamic Box Details | DD | DN | ID40 | IN40 | DID40 | DIN40 |
| Amount of DH molecules | 80 | 80 | 0 | 0 | 80 | 80 |
| Amount of IBU molecules | 0 | 0 | 1600 | 1600 | 1440 | 1440 |
| Amount of DMS molecules | 8640 | 0 | 6400 | 0 | 5040 | 0 |
| Amount of NMP molecules | 0 | 6880 | 0 | 4800 | 0 | 4000 |
| Amount of WAT molecules | 7896 | 7973 | 8837 | 10,029 | 7458 | 9074 |
| Mole ratio of DH:IBU:(DMS/NMP):WAT | 1:0:108:98.7 | 1:0:86:99.7 | 0:18:72:99.5 | 0:18:54:112.8 | 1:18:63:93.2 | 1:18:50:113.4 |
| Total amount of molecules in the system | 16,616 | 14,933 | 16,837 | 16,429 | 14,018 | 14,594 |
| Total amount of atoms in the system | 166,408 | 138,490 | 143,311 | 159,687 | 124,774 | 143,222 |
| Formula | Surface Tension (mN/m) |
|---|---|
| DMSO | 43.95 ± 0.13 |
| DD | 41.72 ± 0.28 |
| ID40 | 35.10 ± 0.87 |
| DID40 | 34.81 ± 1.88 |
| NMP | 39.31 ± 0.28 |
| DN | 38.45 ± 0.11 |
| IN40 | 36.91 ± 0.24 |
| DIN40 | 36.73 ± 0.89 |
| Composition | Formulation | |||||
|---|---|---|---|---|---|---|
| DD | DN | ID40 | IN40 | DID40 | DIN40 | |
| DH | 1.2452 | 0.3703 | - | - | 0.3372 | 0.2245 |
| IBU | - | - | 1.4820 | 0.6618 | 0.7130 | 0.4529 |
| DMSO | 5.8256 | - | 4.4566 | - | 2.6423 | - |
| NMP | - | 2.1479 | - | 2.0939 | - | 1.2914 |
| WAT | 9.2859 | 4.2385 | 8.1378 | 4.5864 | 5.6385 | 3.7678 |
Disclaimer/Publisher’s Note: The statements, opinions and data contained in all publications are solely those of the individual author(s) and contributor(s) and not of MDPI and/or the editor(s). MDPI and/or the editor(s) disclaim responsibility for any injury to people or property resulting from any ideas, methods, instructions or products referred to in the content. |
© 2023 by the authors. Licensee MDPI, Basel, Switzerland. This article is an open access article distributed under the terms and conditions of the Creative Commons Attribution (CC BY) license (https://creativecommons.org/licenses/by/4.0/).
Share and Cite
Puyathorn, N.; Tamdee, P.; Sirirak, J.; Okonogi, S.; Phaechamud, T.; Chantadee, T. Computational Insight of Phase Transformation and Drug Release Behaviour of Doxycycline-Loaded Ibuprofen-Based In-Situ Forming Gel. Pharmaceutics 2023, 15, 2315. https://doi.org/10.3390/pharmaceutics15092315
Puyathorn N, Tamdee P, Sirirak J, Okonogi S, Phaechamud T, Chantadee T. Computational Insight of Phase Transformation and Drug Release Behaviour of Doxycycline-Loaded Ibuprofen-Based In-Situ Forming Gel. Pharmaceutics. 2023; 15(9):2315. https://doi.org/10.3390/pharmaceutics15092315
Chicago/Turabian StylePuyathorn, Napaphol, Poomipat Tamdee, Jitnapa Sirirak, Siriporn Okonogi, Thawatchai Phaechamud, and Takron Chantadee. 2023. "Computational Insight of Phase Transformation and Drug Release Behaviour of Doxycycline-Loaded Ibuprofen-Based In-Situ Forming Gel" Pharmaceutics 15, no. 9: 2315. https://doi.org/10.3390/pharmaceutics15092315
APA StylePuyathorn, N., Tamdee, P., Sirirak, J., Okonogi, S., Phaechamud, T., & Chantadee, T. (2023). Computational Insight of Phase Transformation and Drug Release Behaviour of Doxycycline-Loaded Ibuprofen-Based In-Situ Forming Gel. Pharmaceutics, 15(9), 2315. https://doi.org/10.3390/pharmaceutics15092315

