Co-Delivery of Loxoprofen and Tofacitinib by Photothermal Microneedles for Rheumatoid Arthritis Treatment
Abstract
1. Introduction
2. Materials and Methods
2.1. Material
2.2. Preparation and Characterization of Tof NPs
2.3. Cellular Experiments
2.3.1. Cellular Uptake
2.3.2. Anti-Inflammatory Effects at the Cellular Level
2.4. Preparation and Characterization of Lox + Tof NPs@MN
2.4.1. Preparation of Lox + Tof NPs@MN
2.4.2. Mechanical Strength of MN
2.4.3. Insertion Depth of Parafilm and Skin In Vitro
2.4.4. Morphology of Lox + Tof NPs@MN
2.4.5. Drug Loading of Lox + Tof NPs@MN
2.4.6. The Skin Safety of Lox + Tof NPs@MN
2.5. The Photothermal Properties of Tof NPs and Lox + Tof NPs@MN In Vitro
2.6. Drug Release from Tof NPs and Lox + Tof NPs@MN In Vitro
2.7. In Vitro and In Vivo Permeation of Tof NPs and Lox + Tof NPs@MN through Rat Skin
2.8. Visualization of the Delivery Pathway with CLSM
2.9. Visualization of RhB NPs Distribution in the Joint In Vivo
2.10. Pharmacodynamics Studies
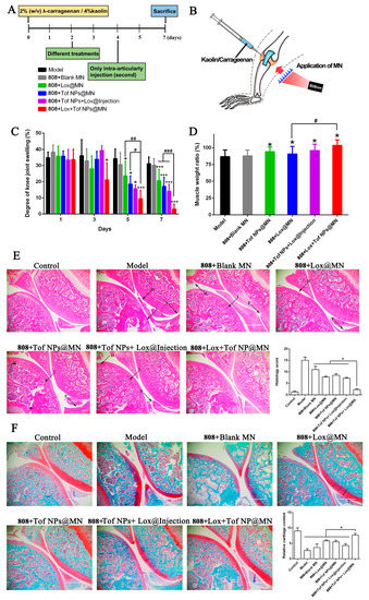
2.10.1. Establishing and Treating Arthritis Models
2.10.2. Histopathological Analysis
2.10.3. RT-PCR
2.11. Statistical Analysis
3. Results and Discussions
3.1. Physicochemical Characterization of Tof NPs
3.2. Effects of Tof NPs on Raw264.7 Cellular Uptake
3.3. Anti-Inflammatory Effects at the Cellular Level
3.4. Characterization of Lox + Tof NPs@MN
3.5. The Photothermal Properties of Tof NPs and Lox + Tof NPs@MN In Vitro
3.6. In Vitro Permeation of Tof NPs and Lox + Tof NPs@MN through Rat Skin
3.7. Visualization of the Delivery Pathway with CLSM
3.8. Visualization of RhB NPs Distribution in the Joint In Vivo
3.9. Effects of Lox + Tof NPs@MN on Rheumatoid Arthritis Treatment
3.9.1. Observations on Anti-Arthritis
3.9.2. Histopathological Analysis
3.9.3. RT-qPCR
4. Conclusions
Supplementary Materials
Author Contributions
Funding
Institutional Review Board Statement
Informed Consent Statement
Data Availability Statement
Conflicts of Interest
Abbreviations
References
- Smolen, J.S.; Aletaha, D.; McInnes, I.B. Rheumatoid arthritis. Lancet 2016, 388, 2023–2038. [Google Scholar] [CrossRef] [PubMed]
- Smolen, J.S.; Aletaha, D.; Barton, A.; Burmester, G.R.; Emery, P.; Firestein, G.S.; Kavanaugh, A.; McInnes, I.B.; Solomon, I.B.; Strand, V.; et al. Rheumatoid arthritis. Nat. Rev. Dis. Primers 2018, 4, 18002. [Google Scholar] [CrossRef]
- Cross, M.; Smith, E.; Hoy, D.; Carmona, L.; Wolfe, F.; Vos, T.; Williams, B.; Gabriel, S.; Lassere, M.; Johns, N.; et al. The global burden of rheumatoid arthritis: Estimates from the global burden of disease 2010 study. Ann. Rheum. Dis. 2014, 73, 1316–1322. [Google Scholar] [CrossRef] [PubMed]
- Hsieh, P.H.; Wu, O.; Geue, C.; McIntosh, E.; McInnes, I.B.; Siebert, S. Economic burden of rheumatoid arthritis: A systematic review of literature in biologic era. Ann. Rheum. Dis. 2020, 79, 771–777. [Google Scholar] [CrossRef]
- Fraenkel, L.; Bathon, J.M.; England, B.R.; St Clair, E.W.; Arayssi, T.; Carandang, K.; Deane, K.D.; Genovese, M.; Huston, K.K.; Kerr, G.; et al. 2021 American college of rheumatology guideline for the treatment of rheumatoid arthritis. Arthritis Rheumatol. 2021, 73, 1108–1123. [Google Scholar] [CrossRef]
- Burmester, G.R.; Pope, J.E. Novel treatment strategies in rheumatoid arthritis. Lancet 2017, 389, 2338–2348. [Google Scholar] [CrossRef] [PubMed]
- Greig, S.L.; Garnock Jones, K.P. Loxoprofen: A Review in pain and inflammation. Clin. Drug Investig. 2016, 36, 771–781. [Google Scholar] [CrossRef]
- Xu, P.; Shen, P.; Yu, B.; Xu, X.; Ge, R.; Cheng, X.; Chen, Q.; Bian, J.; Li, Z.; Wang, J. Janus kinases (JAKs): The efficient therapeutic targets for autoimmune diseases and myeloproliferative disorders. Eur. J. Med. Chem. 2020, 192, 112155. [Google Scholar] [CrossRef]
- Lin, Q.X.; Meng, H.J.; Pang, Y.Y.; Qu, Y. Recurrent herpes zoster in a rheumatoid arthritis patient treated with tofacitinib: A case report and review of the literature. World J. Clin. Cases 2022, 10, 8703–8708. [Google Scholar] [CrossRef]
- Charles Schoeman, C.; Burmester, G.; Nash, P.; Zerbini, C.A.F.; Soma, K.; Kwok, K.; Hendrikx, T.; Bananis, E.; Fleischmann, R. Efficacy and safety of tofacitinib following inadequate response to conventional synthetic or biological disease-modifying antirheumatic drugs. Ann. Rheum. Dis. 2016, 75, 1293–1301. [Google Scholar] [CrossRef]
- Zaidi, F.; Narang, R.K.; Phipps Green, A.; Gamble, G.G.; Tausche, A.K.; So, A.; Riches, P.; Andres, M.; Perez Ruiz, F.; Doherty, M.; et al. Systematic genetic analysis of early-onset gout: ABCG2 is the only associated locus. Rheumatology 2020, 59, 2544–2549. [Google Scholar] [CrossRef] [PubMed]
- Wang, J.; Zeng, J.; Liu, Z.; Zhou, Q.; Wang, X.; Zhao, F.; Zhang, Y.; Wang, J.; Liu, M.; Du, R. Promising strategies for transdermal delivery of srthritis drugs: Microneedle systems. Pharmaceutics 2022, 14, 1736. [Google Scholar] [CrossRef] [PubMed]
- Qindeel, M.; Ullah, M.H.; Fakharud, D.; Ahmed, N.; Rehman, A. Recent trends, challenges and future outlook of transdermal drug delivery systems for rheumatoid arthritis therapy. J. Control Release 2020, 327, 595–615. [Google Scholar] [CrossRef] [PubMed]
- Ma, G.; Wu, C. Microneedle, bio-microneedle and bio-inspired microneedle: A review. J. Control Release 2017, 251, 11–23. [Google Scholar] [CrossRef]
- Ita, K. Transdermal delivery of drugs with microneedles-potential and challenges. Pharmaceutics 2015, 7, 90–105. [Google Scholar] [CrossRef]
- Rzhevskiy, A.S.; Singh, T.R.R.; Donnelly, R.F.; Anissimov, Y.G. Microneedles as the technique of drug delivery enhancement in diverse organs and tissues. J. Control Release 2018, 270, 184–202. [Google Scholar] [CrossRef]
- Zhang, X.; Fu, X.; Chen, G.; Wang, Y.; Zhao, Y. Versatile Ice Microneedles for transdermal delivery of diverse actives. Adv. Sci. 2021, 8, e2101210. [Google Scholar] [CrossRef]
- Ning, X.; Wiraja, C.; Chew, W.T.S.; Fan, C.; Xu, C. Transdermal delivery of Chinese herbal medicine extract using dissolvable microneedles for hypertrophic scar treatment. Acta Pharm. Sin. B 2021, 11, 2937–2944. [Google Scholar] [CrossRef]
- Lee, B.M.; Lee, C.; Lahiji, S.F.; Jung, U.W.; Chung, G.; Jung, H. Dissolving microneedles for rapid and painless local anesthesia. Pharmaceutics 2020, 12, 366. [Google Scholar] [CrossRef]
- Ohn, J.; Jang, M.; Kang, B.M.; Yang, H.; Hong, J.T.; Kim, K.H.; Kwon, O.; Jung, H. Dissolving candlelit microneedle for chronic inflammatory skin diseases. Adv. Sci. 2021, 8, 2004873. [Google Scholar] [CrossRef]
- Muzzarelli, R.A.A.; Greco, F.; Busilacchi, A.; Sollazzo, V.; Gigante, A. Chitosan, hyaluronan and chondroitin sulfate in tissue engineering for cartilage regeneration: A review. Carbohyd. Polym. 2012, 89, 723–739. [Google Scholar] [CrossRef] [PubMed]
- Evans, C.H.; Kraus, V.B.; Setton, L.A. Progress in intra-articular therapy. Nat. Rev. Rheumatol. 2013, 10, 11–22. [Google Scholar] [CrossRef] [PubMed]
- Dalvi, M.; Kharat, P.; Thakor, P.; Bhavana, V.; Singh, S.B.; Mehra, N.K. Panorama of dissolving microneedles for transdermal drug delivery. Life Sci. 2021, 284, 119877. [Google Scholar] [CrossRef]
- Saha, I.; Rai, V.K. Hyaluronic acid based microneedle array: Recent applications in drug delivery and cosmetology. Carbohyd. Polym. 2021, 267, 118168. [Google Scholar] [CrossRef] [PubMed]
- Gorantla, S.; Batra, U.; Puppala, E.R.; Waghule, T.; Naidu, V.G.M.; Singhvi, G. Emerging trends in microneedle-based drug delivery strategies for the treatment of rheumatoid arthritis. Expert Opin. Drug Del. 2022, 19, 395–407. [Google Scholar] [CrossRef] [PubMed]
- Jiang, S.; Wang, W.; Ke, J.; Huang, S.; Wang, J.; Luo, C.; Li, X.; Zhang, K.; Liu, H.; Zheng, W.; et al. A mechanically tough and ultra-swellable microneedle for acute gout arthritis. Biomater. Sci. 2023, 11, 1714–1724. [Google Scholar] [CrossRef]
- Wei, F.; Wang, Q.; Liu, H.; Yang, X.; Cao, W.; Zhao, W.; Li, Y.; Zheng, L.; Ma, T.; Wang, Q. High efficacy combined microneedles array with methotrexate nanocrystals for effective anti-rheumatoid arthritis. Int. J. Nanomed. 2022, 17, 2397–2412. [Google Scholar] [CrossRef]
- Cao, J.; Su, J.; An, M.; Yang, Y.; Zhang, Y.; Zuo, J.; Zhang, N.; Zhao, Y. Novel DEK-targeting aptamer delivered by a hydrogel microneedle attenuates collagen-induced arthritis. Mol. Pharmaceut. 2020, 18, 305–316. [Google Scholar] [CrossRef]
- Anjani, Q.K.; Sabri, A.H.B.; Moreno Castellanos, N.; Utomo, E.; Cárcamo Martínez, Á.; Domínguez Robles, J.; Wardoyo, L.A.H.; Donnelly, R.F. Soluplus®-based dissolving microarray patches loaded with colchicine: Towards a minimally invasive treatment and management of gout. Biomater. Sci. 2022, 10, 5838–5855. [Google Scholar] [CrossRef]
- Zhao, W.; Zheng, L.; Yang, J.; Ma, Z.; Tao, X.; Wang, Q. Dissolving microneedle patch-assisted transdermal delivery of methotrexate improve the therapeutic efficacy of rheumatoid arthritis. Drug Deliv. 2023, 30, 121–132. [Google Scholar] [CrossRef]
- Wang, Q.; Yang, X.; Gu, X.; Wei, F.; Cao, W.; Zheng, L.; Li, Y.; Ma, T.; Wu, C.; Wang, Q. Celecoxib nanocrystal-loaded dissolving microneedles with highly efficient for osteoarthritis treatment. Int. J. Pharm. 2022, 625, 122108. [Google Scholar] [CrossRef]
- An, M.; Shi, M.; Su, J.; Wei, Y.; Luo, R.; Sun, P.; Zhao, Y. Dual-drug loaded separable microneedles for efficient rheumatoid arthritis therapy. Pharmaceutics 2022, 14, 1518. [Google Scholar] [CrossRef] [PubMed]
- Cao, J.; Zhang, N.; Wang, Z.Y.; Su, J.J.; Yang, J.; Han, J.B.; Zhao, Y.X. Microneedle-assisted transdermal delivery of etanercept for rheumatoid arthritis treatment. Pharmaceutics 2019, 11, 235. [Google Scholar] [CrossRef] [PubMed]
- Jung, H.S.; Verwilst, P.; Sharma, A.; Shin, J.; Sessler, J.L.; Kim, J.S. Organic molecule-based photothermal agents: An expanding photothermal therapy universe. Chem. Soc. Rev. 2018, 47, 2280–2297. [Google Scholar] [CrossRef] [PubMed]
- Zhi, D.; Yang, T.; O’Hagan, J.; Zhang, S.; Donnelly, R.F. Photothermal therapy. J. Control Release 2020, 325, 52–71. [Google Scholar] [CrossRef] [PubMed]
- Lu, Y.; Li, L.; Lin, Z.; Wang, L.; Lin, L.; Li, M.; Zhang, Y.; Yin, Q.; Li, Q.; Xia, H. A new treatment modality for rheumatoid arthritis: Combined photothermal and photodynamic therapy using Cu7.2S4 nanoparticles. Adv. Healthc. Mater. 2018, 7, 1800013. [Google Scholar] [CrossRef]
- Gadeval, A.; Chaudhari, S.; Bollampally, S.P.; Polaka, S.; Kalyane, D.; Sengupta, P.; Kalia, K.; Tekade, R.K. Integrated nanomaterials for non-invasive photothermal therapy of rheumatoid arthritis. Drug Discov. Today 2021, 26, 2315–2328. [Google Scholar] [CrossRef]
- Chen, X.; Zhu, X.; Xu, T.; Xu, M.; Wen, Y.; Liu, Y.; Liu, J.; Qin, X. Targeted hexagonal Pd nanosheet combination therapy for rheumatoid arthritis via the photothermal controlled release of MTX. J. Mater. Chem. B 2019, 7, 112–122. [Google Scholar] [CrossRef]
- Yang, P.; Zhu, F.; Zhang, Z.B.; Cheng, Y.Y.; Wang, Z.; Li, Y.W. Stimuli-responsive polydopamine-based smart materials. Chem. Soc. Rev. 2021, 50, 8319–8343. [Google Scholar] [CrossRef]
- Liu, Y.; Ai, K.; Liu, J.; Deng, M.; He, Y.; Lu, L. Dopamine-melanin colloidal nanospheres: An efficient near-infrared photothermal therapeutic agent for in vivo cancer therapy. Adv. Mater. 2013, 25, 1353–1359. [Google Scholar] [CrossRef]
- Chen, W.; Wang, Y.; Qin, M.; Zhang, X.; Zhang, Z.; Sun, X.; Gu, Z. Bacteria-driven hypoxia targeting for combined biotherapy and photothermal therapy. ACS Nano 2018, 12, 5995–6005. [Google Scholar] [CrossRef] [PubMed]
- Chen, W.; Qin, M.; Chen, X.; Wang, Q.; Zhang, Z.; Sun, X. Combining photothermal therapy and immunotherapy against melanoma by polydopamine-coated Al2O3 nanoparticles. Theranostics 2018, 8, 2229–2241. [Google Scholar] [CrossRef] [PubMed]
- Bao, X.; Zhao, J.; Sun, J.; Hu, M.; Yang, X. Polydopamine nanoparticles as efficient scavengers for reactive oxygen species in periodontal disease. ACS Nano 2018, 12, 8882–8892. [Google Scholar] [CrossRef] [PubMed]
- Larrañeta, E.; Moore, J.; Vicente Pérez, E.M.; González Vázquez, P.; Lutton, R.; Woolfson, A.D.; Donnelly, R.F. A proposed model membrane and test method for microneedle insertion studies. Int. J. Pharm. 2014, 472, 65–73. [Google Scholar] [CrossRef]
- Society of Japanese Pharmacopoeia. The Japanese Pharmacopoeia, 6th ed.; Hirokawa Publishing Co.: Tokyo, Japan, 2011; p. 1047. [Google Scholar]
- Dandekar, A.A.; Garimella, H.T.; German, C.L.; Banga, A.K. Microneedle mediated iontophoretic delivery of tofacitinib citrate. Pharm. Res. 2022, 40, 735–747. [Google Scholar] [CrossRef] [PubMed]
- Jain, A.K.; Lee, C.H.; Gill, H.S. 5-Aminolevulinic acid coated microneedles for photodynamic therapy of skin tumors. J. Control Release 2016, 239, 72–81. [Google Scholar] [CrossRef]
- Kim, H.; Thompson, J.; Ji, G.; Ganapathy, V.; Neugebauer, V. Monomethyl fumarate inhibits pain behaviors and amygdala activity in a rat arthritis model. Pain 2017, 158, 2376–2385. [Google Scholar] [CrossRef] [PubMed]
- Chen, J.; Qi, J.; Chen, C.; Chen, J.; Liu, L.; Gao, R.; Zhang, T.; Song, L.; Ding, D.; Zhang, P.; et al. Tocilizumab-conjugated polymer nanoparticles for NIR-II photoacoustic-imaging-guided therapy of rheumatoid arthritis. Adv. Mater. 2020, 32, 2003399. [Google Scholar] [CrossRef]










Disclaimer/Publisher’s Note: The statements, opinions and data contained in all publications are solely those of the individual author(s) and contributor(s) and not of MDPI and/or the editor(s). MDPI and/or the editor(s) disclaim responsibility for any injury to people or property resulting from any ideas, methods, instructions or products referred to in the content. |
© 2023 by the authors. Licensee MDPI, Basel, Switzerland. This article is an open access article distributed under the terms and conditions of the Creative Commons Attribution (CC BY) license (https://creativecommons.org/licenses/by/4.0/).
Share and Cite
Lu, Y.; Xiao, T.; Lai, R.; Liu, Z.; Luo, W.; Wang, Y.; Fu, S.; Chai, G.; Jia, J.; Xu, Y. Co-Delivery of Loxoprofen and Tofacitinib by Photothermal Microneedles for Rheumatoid Arthritis Treatment. Pharmaceutics 2023, 15, 1500. https://doi.org/10.3390/pharmaceutics15051500
Lu Y, Xiao T, Lai R, Liu Z, Luo W, Wang Y, Fu S, Chai G, Jia J, Xu Y. Co-Delivery of Loxoprofen and Tofacitinib by Photothermal Microneedles for Rheumatoid Arthritis Treatment. Pharmaceutics. 2023; 15(5):1500. https://doi.org/10.3390/pharmaceutics15051500
Chicago/Turabian StyleLu, Yi, Ting Xiao, Rongrong Lai, Ziyi Liu, Weixuan Luo, Yixuan Wang, Shijia Fu, Guihong Chai, Jinjing Jia, and Yuehong Xu. 2023. "Co-Delivery of Loxoprofen and Tofacitinib by Photothermal Microneedles for Rheumatoid Arthritis Treatment" Pharmaceutics 15, no. 5: 1500. https://doi.org/10.3390/pharmaceutics15051500
APA StyleLu, Y., Xiao, T., Lai, R., Liu, Z., Luo, W., Wang, Y., Fu, S., Chai, G., Jia, J., & Xu, Y. (2023). Co-Delivery of Loxoprofen and Tofacitinib by Photothermal Microneedles for Rheumatoid Arthritis Treatment. Pharmaceutics, 15(5), 1500. https://doi.org/10.3390/pharmaceutics15051500

