Transport and Permeation Properties of Dapivirine: Understanding Potential Drug-Drug Interactions
Abstract
1. Introduction
2. Materials and Methods
2.1. Materials
2.2. Vesicular Uptake in Membrane Vesicles
2.3. ATPase Assay
2.4. Cell Culture
2.5. Bi-Directional Transport across MDCKII Cell Monolayers
2.6. qPCR Analysis
2.7. Western Blot Analysis
2.8. Cellular Uptake in HEK293 Cells
2.9. Evaluation of Tight Junction Disruption
2.10. Evaluation of DPV Tissue Permeability
2.11. Histology
2.12. Statistical Analysis
2.13. Study Quality Management
3. Results
3.1. Evaluation of the Interaction between DPV and MRP1/MRP4
3.2. Evaluation of the Interaction between DPV and P-gp/BCRP
3.3. Evaluation of the Interaction between DPV and ENT1
3.4. Impact of DPV and MIC on Cellular Tight Junction
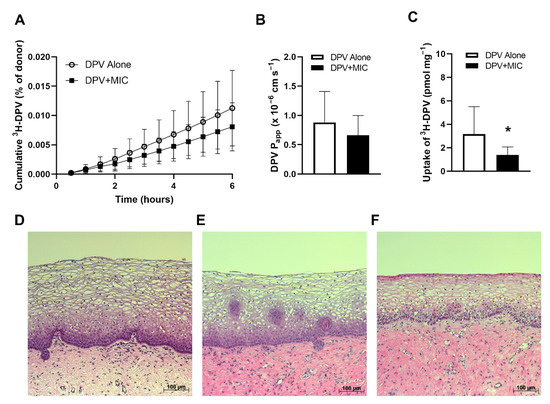
3.5. Impact of MIC on DPV Tissue Permeability
4. Discussion
5. Conclusions
Supplementary Materials
Author Contributions
Funding
Institutional Review Board Statement
Informed Consent Statement
Data Availability Statement
Acknowledgments
Conflicts of Interest
Abbreviations
| AIDS | acquired immunodeficiency syndrome |
| BCRP | breast cancer resistance protein |
| CYP | cytochrome P450 |
| DPV | dapivirine |
| EDTA | ethylenediaminetetraacetic acid |
| EGTA | ethylene-bis(oxyethylenenitrilo)tetraacetic acid |
| EMA | European Medicines Agency |
| ENT | equilibrative nucleoside transporter |
| EV | empty-vector |
| FDA | Food and Drug Administration |
| FRT | female reproductive tract |
| HBSS | Hank’s balanced salt solution |
| HEK293 | human embryonic kidney 293 cells |
| HIV | human immunodeficiency virus |
| IPM | International Partnership for Microbicides |
| MDCK cells | Madin-Darby canine kidney cells |
| MIC | miconazole |
| MRP | multidrug resistance protein |
| OAT | organic anion transporter |
| OCT | organic cation transporter |
| Papp | apparent permeability coefficient |
| P-gp | P-glycoprotein |
| TEER | transepithelial electrical resistance |
| UGT | uridine 5’-diphospho-glucuronosyltransferase |
| WHO | World Health Organization |
| WT | wild-type |
References
- UNAIDS. Aids by The Numbers. Available online: https://www.unaids.org/en (accessed on 30 June 2022).
- Nel, A.M.; Coplan, P.; van de Wijgert, J.H.; Kapiga, S.H.; von Mollendorf, C.; Geubbels, E.; Vyankandondera, J.; Rees, H.V.; Masenga, G.; Kiwelu, I.; et al. Safety, tolerability, and systemic absorption of dapivirine vaginal microbicide gel in healthy, HIV-negative women. AIDS 2009, 23, 1531–1538. [Google Scholar] [CrossRef]
- Nel, A.; Bekker, L.G.; Bukusi, E.; Hellstrm, E.; Kotze, P.; Louw, C.; Martinson, F.; Masenga, G.; Montgomery, E.; Ndaba, N.; et al. Safety, Acceptability and Adherence of Dapivirine Vaginal Ring in a Microbicide Clinical Trial Conducted in Multiple Countries in Sub-Saharan Africa. PLoS ONE 2016, 11, e0147743. [Google Scholar] [CrossRef] [PubMed]
- Nel, A.; van Niekerk, N.; Kapiga, S.; Bekker, L.G.; Gama, C.; Gill, K.; Kamali, A.; Kotze, P.; Louw, C.; Mabude, Z.; et al. Safety and Efficacy of a Dapivirine Vaginal Ring for HIV Prevention in Women. N Engl. J. Med. 2016, 375, 2133–2143. [Google Scholar] [CrossRef] [PubMed]
- Robinson, J.A.; Marzinke, M.A.; Bakshi, R.P.; Fuchs, E.J.; Radebaugh, C.L.; Aung, W.; Spiegel, H.M.; Coleman, J.S.; Rohan, L.C.; Hendrix, C.W. Comparison of Dapivirine Vaginal Gel and Film Formulation Pharmacokinetics and Pharmacodynamics (FAME 02B). AIDS Res. Hum. Retrovir. 2017, 33, 339–346. [Google Scholar] [CrossRef]
- Bunge, K.E.; Dezzutti, C.S.; Rohan, L.C.; Hendrix, C.W.; Marzinke, M.A.; Richardson-Harman, N.; Moncla, B.J.; Devlin, B.; Meyn, L.A.; Spiegel, H.M.; et al. A Phase 1 Trial to Assess the Safety, Acceptability, Pharmacokinetics, and Pharmacodynamics of a Novel Dapivirine Vaginal Film. J. Acquir. Immune Defic. Syndr. 2016, 71, 498–505. [Google Scholar] [CrossRef] [PubMed]
- Montgomery, E.T.; van der Straten, A.; Chitukuta, M.; Reddy, K.; Woeber, K.; Atujuna, M.; Bekker, L.G.; Etima, J.; Nakyanzi, T.; Mayo, A.J.; et al. Acceptability and use of a dapivirine vaginal ring in a phase III trial. AIDS 2017, 31, 1159–1167. [Google Scholar] [CrossRef] [PubMed]
- Baeten, J.M.; Palanee-Phillips, T.; Brown, E.R.; Schwartz, K.; Soto-Torres, L.E.; Govender, V.; Mgodi, N.M.; Matovu Kiweewa, F.; Nair, G.; Mhlanga, F.; et al. Use of a Vaginal Ring Containing Dapivirine for HIV-1 Prevention in Women. N Engl. J. Med. 2016, 375, 2121–2132. [Google Scholar] [CrossRef]
- Roberts, S.T.; Nair, G.; Baeten, J.M.; Palanee-Philips, T.; Schwartz, K.; Reddy, K.; Kabwigu, S.; Matovu Kiweewa, F.; Govender, V.; Gaffoor, Z.; et al. Impact of Male Partner Involvement on Women’s Adherence to the Dapivirine Vaginal Ring During a Phase III HIV Prevention Trial. AIDS Behav. 2020, 24, 1432–1442. [Google Scholar] [CrossRef]
- Baeten, J.M.; Palanee-Phillips, T.; Mgodi, N.M.; Mayo, A.J.; Szydlo, D.W.; Ramjee, G.; Gati Mirembe, B.; Mhlanga, F.; Hunidzarira, P.; Mansoor, L.E.; et al. Safety, uptake, and use of a dapivirine vaginal ring for HIV-1 prevention in African women (HOPE): An open-label, extension study. Lancet HIV 2021, 8, e87–e95. [Google Scholar] [CrossRef]
- EMA. Vaginal Ring to Reduce the Risk of HIV Infection for Women in Non-EU Countries with High Disease Burden. 2020. Available online: https://www.ema.europa.eu/en/news/vaginal-ring-reduce-risk-hiv-infection-women-non-eu-countries-high-disease-burden (accessed on 30 June 2022).
- IPM. IPM’s Dapivirine Ring for Women’s HIV Prevention Receives WHO Prequalification. Available online: https://www.ipmglobal.org/content/ipm%E2%80%99s-dapivirine-ring-women%E2%80%99s-hiv-prevention-receives-who-prequalification (accessed on 30 June 2022).
- Dapivirine Vaginal Ring Approved For Use in Zimbabwe. Available online: https://healthtimes.co.zw/2021/07/14/breaking-dapivirine-vaginal-ring-approved-for-use-in-zimbabwe/ (accessed on 14 July 2021).
- South Africa Approves Dapivirine Vaginal Ring for Use by Women. Available online: https://www.ipmglobal.org/content/south-africa-approves-dapivirine-vaginal-ring-use-women (accessed on 5 May 2022).
- Benedict, K.; Jackson, B.R.; Chiller, T.; Beer, K.D. Estimation of Direct Healthcare Costs of Fungal Diseases in the United States. Clin. Infect. Dis. 2019, 68, 1791–1797. [Google Scholar] [CrossRef]
- Sobel, J.D. Vulvovaginal candidosis. Lancet 2007, 369, 1961–1971. [Google Scholar] [CrossRef]
- Peixoto, F.; Camargos, A.; Duarte, G.; Linhares, I.; Bahamondes, L.; Petracco, A. Efficacy and tolerance of metronidazole and miconazole nitrate in treatment of vaginitis. Int. J. Gynaecol. Obstet. 2008, 102, 287–292. [Google Scholar] [CrossRef] [PubMed]
- Fan, S.; Liu, X.; Liang, Y. Miconazole nitrate vaginal suppository 1,200 mg versus oral fluconazole 150 mg in treating severe vulvovaginal candidiasis. Gynecol. Obstet. Invest. 2015, 80, 113–118. [Google Scholar] [CrossRef]
- Nel, A.H.W.; Russell, M.; Nuttall, J.; Van Niekerk, N.; Treijtel, N. Drug-drug Interactions between the Dapivirine Vaginal Ring (Ring-004) and Miconazole Nitrate Vaginal Capsule (Gyno-Daktarin®). AIDS Res. Hum. Retrovir. 2014, 30, A144. [Google Scholar] [CrossRef]
- Valicherla, G.R.; Graebing, P.; Zhang, J.; Zheng, R.; Nuttall, J.; Silvera, P.; Rohan, L.C. Investigating the Contribution of Drug-Metabolizing Enzymes in Drug-Drug Interactions of Dapivirine and Miconazole. Pharmaceutics 2021, 13, 2193. [Google Scholar] [CrossRef] [PubMed]
- International Transporter, C.; Giacomini, K.M.; Huang, S.M.; Tweedie, D.J.; Benet, L.Z.; Brouwer, K.L.; Chu, X.; Dahlin, A.; Evers, R.; Fischer, V.; et al. Membrane transporters in drug development. Nat. Rev. Drug Discov. 2010, 9, 215–236. [Google Scholar] [CrossRef] [PubMed]
- USFDA. Clinical Drug Interaction Studies—Cytochrome P450 Enzyme- and Transporter-Mediated Drug Interactions Guidance for Industry; USFDA: Silver Spring, MD, USA, 2020. [Google Scholar]
- EMA. Guideline on the Investigation of Drug Interactions; EMA: Amsterdam, The Netherlands, 2012. [Google Scholar]
- Hijazi, K.; Cuppone, A.M.; Smith, K.; Stincarelli, M.A.; Ekeruche-Makinde, J.; De Falco, G.; Hold, G.L.; Shattock, R.; Kelly, C.G.; Pozzi, G.; et al. Expression of Genes for Drug Transporters in the Human Female Genital Tract and Modulatory Effect of Antiretroviral Drugs. PLoS ONE 2015, 10, e0131405. [Google Scholar] [CrossRef]
- Nicol, M.R.; Fedoriw, Y.; Mathews, M.; Prince, H.M.; Patterson, K.B.; Geller, E.; Mollan, K.; Mathews, S.; Kroetz, D.L.; Kashuba, A.D. Expression of six drug transporters in vaginal, cervical, and colorectal tissues: Implications for drug disposition in HIV prevention. J. Clin. Pharmacol. 2014, 54, 574–583. [Google Scholar] [CrossRef]
- Zhou, T.; Hu, M.; Cost, M.; Poloyac, S.; Rohan, L. Short communication: Expression of transporters and metabolizing enzymes in the female lower genital tract: Implications for microbicide research. AIDS Res. Hum. Retrovir. 2013, 29, 1496–1503. [Google Scholar] [CrossRef]
- Zhou, T.; Hu, M.; Pearlman, A.; Patton, D.; Rohan, L. Expression and localization of p-glycoprotein, multidrug resistance protein 4, and breast cancer resistance protein in the female lower genital tract of human and pigtailed macaque. AIDS Res. Hum. Retrovir. 2014, 30, 1106–1116. [Google Scholar] [CrossRef]
- Schwab, D.; Fischer, H.; Tabatabaei, A.; Poli, S.; Huwyler, J. Comparison of in vitro P-glycoprotein screening assays: Recommendations for their use in drug discovery. J. Med. Chem. 2003, 46, 1716–1725. [Google Scholar] [CrossRef] [PubMed]
- Yasuda, K.; Lan, L.B.; Sanglard, D.; Furuya, K.; Schuetz, J.D.; Schuetz, E.G. Interaction of cytochrome P450 3A inhibitors with P-glycoprotein. J. Pharmacol. Exp. Ther. 2002, 303, 323–332. [Google Scholar] [CrossRef] [PubMed]
- Lempers, V.J.; van den Heuvel, J.J.; Russel, F.G.; Aarnoutse, R.E.; Burger, D.M.; Bruggemann, R.J.; Koenderink, J.B. Inhibitory Potential of Antifungal Drugs on ATP-Binding Cassette Transporters P-Glycoprotein, MRP1 to MRP5, BCRP, and BSEP. Antimicrob. Agents Chemother. 2016, 60, 3372–3379. [Google Scholar] [CrossRef] [PubMed]
- Gupta, A.; Unadkat, J.D.; Mao, Q. Interactions of azole antifungal agents with the human breast cancer resistance protein (BCRP). J. Pharm. Sci. 2007, 96, 3226–3235. [Google Scholar] [CrossRef] [PubMed]
- Heiskanen, T.; Backman, J.T.; Neuvonen, M.; Kontinen, V.K.; Neuvonen, P.J.; Kalso, E. Itraconazole, a potent inhibitor of P-glycoprotein, moderately increases plasma concentrations of oral morphine. Acta Anaesthesiol. Scand. 2008, 52, 1319–1326. [Google Scholar] [CrossRef]
- Sandherr, M.; Maschmeyer, G. Pharmacology and metabolism of voriconazole and Posaconazole in the treatment of invasive aspergillosis: Review of the literature. Eur. J. Med. Res. 2011, 16, 139–144. [Google Scholar] [CrossRef]
- Cerveny, L.; Ptackova, Z.; Ceckova, M.; Karahoda, R.; Karbanova, S.; Jiraskova, L.; Greenwood, S.L.; Glazier, J.D.; Staud, F. Equilibrative Nucleoside Transporter 1 (ENT1, SLC29A1) Facilitates Transfer of the Antiretroviral Drug Abacavir across the Placenta. Drug Metab. Dispos. 2018, 46, 1817–1826. [Google Scholar] [CrossRef]
- Zhou, T.; Hu, M.; Pearlman, A.; Rohan, L.C. Expression, regulation, and function of drug transporters in cervicovaginal tissues of a mouse model used for microbicide testing. Biochem. Pharmacol. 2016, 116, 162–175. [Google Scholar] [CrossRef]
- Benet, L.Z. The role of BCS (biopharmaceutics classification system) and BDDCS (biopharmaceutics drug disposition classification system) in drug development. J. Pharm. Sci. 2013, 102, 34–42. [Google Scholar] [CrossRef]
- Burgos, M.H.; de Roig, V.-L. Cell junctions in the human vaginal epithelium. Am. J. Obstet. Gynecol. 1970, 108, 565–571. [Google Scholar] [CrossRef]
- Lemmer, H.J.; Hamman, J.H. Paracellular drug absorption enhancement through tight junction modulation. Expert Opin. Drug Deliv. 2013, 10, 103–114. [Google Scholar] [CrossRef] [PubMed]
- Liang, G.H.; Weber, C.R. Molecular aspects of tight junction barrier function. Curr. Opin. Pharmacol. 2014, 19, 84–89. [Google Scholar] [CrossRef] [PubMed]
- Zhang, W.; Parniak, M.A.; Mitsuya, H.; Sarafianos, S.G.; Graebing, P.W.; Rohan, L.C. Preformulation studies of EFdA, a novel nucleoside reverse transcriptase inhibitor for HIV prevention. Drug Dev. Ind. Pharm. 2014, 40, 1101–1111. [Google Scholar] [CrossRef][Green Version]
- Hu, M.; Zhou, T.; Dezzutti, C.S.; Rohan, L.C. The Effect of Commonly Used Excipients on the Epithelial Integrity of Human Cervicovaginal Tissue. AIDS Res. Hum. Retrovir. 2016, 32, 992–1004. [Google Scholar] [CrossRef]
- Kay, K.; Shah, D.K.; Rohan, L.; Bies, R. Physiologically-based pharmacokinetic model of vaginally administered dapivirine ring and film formulations. Br. J. Clin. Pharmacol. 2018, 84, 1950–1969. [Google Scholar] [CrossRef]
- Akil, A.; Devlin, B.; Cost, M.; Rohan, L.C. Increased Dapivirine tissue accumulation through vaginal film codelivery of dapivirine and Tenofovir. Mol. Pharm. 2014, 11, 1533–1541. [Google Scholar] [CrossRef]
- Tivnan, A.; Zakaria, Z.; O’Leary, C.; Kogel, D.; Pokorny, J.L.; Sarkaria, J.N.; Prehn, J.H. Inhibition of multidrug resistance protein 1 (MRP1) improves chemotherapy drug response in primary and recurrent glioblastoma multiforme. Front. Neurosci. 2015, 9, 218. [Google Scholar] [CrossRef] [PubMed]
- Li, Y.H.; Bi, H.C.; Huang, L.; Jin, J.; Zhong, G.P.; Zhou, X.N.; Huang, M. Phorbol 12-myristate 13-acetate inhibits P-glycoprotein-mediated efflux of digoxin in MDCKII-MDR1 and Caco-2 cell monolayer models. Acta Pharmacol. Sin. 2014, 35, 283–291. [Google Scholar] [CrossRef] [PubMed][Green Version]
- Empey, P.E. Xenobiotic Transporters in Lactating Mammary Epithelial Cells: Predictions for Drug Accumulation in Breast Milk. Theses and Dissertations—Pharmacy. 2007, Volume 30. Available online: https://uknowledge.uky.edu/pharmacy_etds/30 (accessed on 11 September 2022).
- Irvine, J.D.; Takahashi, L.; Lockhart, K.; Cheong, J.; Tolan, J.W.; Selick, H.; Grove, J.R. MDCK (Madin–Darby canine kidney) cells: A tool for membrane permeability screening. J. Pharm. Sci. 1999, 88, 28–33. [Google Scholar] [CrossRef]
- Hu, M.; Valicherla, G.R.; Zhou, T.; Hillier, S.L.; Rohan, L.C. Expression, Activity, and Regulation of Phosphorylating Enzymes in Tissues and Cells Relevant to HIV-1 Sexual Transmission. AIDS Res. Hum. Retrovir. 2022, 38, 22–32. [Google Scholar] [CrossRef]
- Waidmann, O.; Pleli, T.; Dvorak, K.; Baehr, C.; Mondorf, U.; Plotz, G.; Biondi, R.M.; Zeuzem, S.; Piiper, A. Inhibition of the equilibrative nucleoside transporter 1 and activation of A2A adenosine receptors by 8-(4-chlorophenylthio)-modified cAMP analogs and their hydrolytic products. J. Biol. Chem. 2009, 284, 32256–32263. [Google Scholar] [CrossRef] [PubMed]
- Gali, Y.; Arien, K.K.; Praet, M.; Van den Bergh, R.; Temmerman, M.; Delezay, O.; Vanham, G. Development of an in vitro dual-chamber model of the female genital tract as a screening tool for epithelial toxicity. J. Virol. Methods 2010, 165, 186–197. [Google Scholar] [CrossRef] [PubMed]
- Owen, D.H.; Katz, D.F. A vaginal fluid simulant. Contraception 1999, 59, 91–95. [Google Scholar] [CrossRef]
- Cummins, J.E., Jr.; Guarner, J.; Flowers, L.; Guenthner, P.C.; Bartlett, J.; Morken, T.; Grohskopf, L.A.; Paxton, L.; Dezzutti, C.S. Preclinical testing of candidate topical microbicides for anti-human immunodeficiency virus type 1 activity and tissue toxicity in a human cervical explant culture. Antimicrob. Agents Chemother. 2007, 51, 1770–1779. [Google Scholar] [CrossRef]
- Brown, R.C.; Davis, T.P. Calcium modulation of adherens and tight junction function: A potential mechanism for blood-brain barrier disruption after stroke. Stroke 2002, 33, 1706–1711. [Google Scholar] [CrossRef]
- Hiller, C.; Bock, U.; Balser, S.; Haltner-Ukomadu, E.; Dahm, M. Establishment and validation of an ex vivo human cervical tissue model for local delivery studies. Eur. J. Pharm. Biopharm. 2008, 68, 390–399. [Google Scholar] [CrossRef]
- Bijlsma, P.B.; Peeters, R.A.; Groot, J.A.; Dekker, P.R.; Taminiau, J.A.; Van Der Meer, R. Differential in vivo and in vitro intestinal permeability to lactulose and mannitol in animals and humans: A hypothesis. Gastroenterology 1995, 108, 687–696. [Google Scholar] [CrossRef]
- Hendrix, C.W.; Chen, B.A.; Guddera, V.; Hoesley, C.; Justman, J.; Nakabiito, C.; Salata, R.; Soto-Torres, L.; Patterson, K.; Minnis, A.M.; et al. MTN-001: Randomized pharmacokinetic cross-over study comparing tenofovir vaginal gel and oral tablets in vaginal tissue and other compartments. PLoS ONE 2013, 8, e55013. [Google Scholar] [CrossRef] [PubMed]
- Zembruski, N.C.; Haefeli, W.E.; Weiss, J. Interaction potential of etravirine with drug transporters assessed in vitro. Antimicrob. Agents Chemother. 2011, 55, 1282–1284. [Google Scholar] [CrossRef]
- Center for Drug Evaluation and Research. In Vitro Drug Interaction Studies—Cytochrome P450 Enzyme—and Transporter-Mediated Drug Interactions; USFDA: Silver Spring, MD, USA, 2020. [Google Scholar]
- Swedrowska, M.; Jamshidi, S.; Kumar, A.; Kelly, C.; Rahman, K.M.; Forbes, B. In Silico and in Vitro Screening for P-Glycoprotein Interaction with Tenofovir, Darunavir, and Dapivirine: An Antiretroviral Drug Combination for Topical Prevention of Colorectal HIV Transmission. Mol. Pharm. 2017, 14, 2660–2669. [Google Scholar] [CrossRef]
- Chen, B.A.; Panther, L.; Marzinke, M.A.; Hendrix, C.W.; Hoesley, C.J.; van der Straten, A.; Husnik, M.J.; Soto-Torres, L.; Nel, A.; Johnson, S.; et al. Phase 1 Safety, Pharmacokinetics, and Pharmacodynamics of Dapivirine and Maraviroc Vaginal Rings: A Double-Blind Randomized Trial. J. Acquir. Immune Defic. Syndr. 2015, 70, 242–249. [Google Scholar] [CrossRef] [PubMed]
- MacArthur, R.D.; Novak, R.M. Maraviroc: The first of a new class of antiretroviral agents. Clin. Infect. Dis. 2008, 47, 236–241. [Google Scholar] [CrossRef] [PubMed]
- Evers, R.; Piquette-Miller, M.; Polli, J.W.; Russel, F.G.M.; Sprowl, J.A.; Tohyama, K.; Ware, J.A.; de Wildt, S.N.; Xie, W.; Brouwer, K.L.R.; et al. Disease-Associated Changes in Drug Transporters May Impact the Pharmacokinetics and/or Toxicity of Drugs: A White Paper From the International Transporter Consortium. Clin. Pharmacol Ther 2018, 104, 900–915. [Google Scholar] [CrossRef] [PubMed]
- Dam, E.; Lebel-Binay, S.; Rochas, S.; Thibaut, L.; Faudon, J.L.; Thomas, C.M.; Essioux, L.; Hill, A.; Schutz, M.; Clavel, F. Synergistic inhibition of protease-inhibitor-resistant HIV type 1 by saquinavir in combination with atazanavir or lopinavir. Antivir. Ther. 2007, 12, 371–380. [Google Scholar] [CrossRef] [PubMed]
- Stormer, E.; von Moltke, L.L.; Perloff, M.D.; Greenblatt, D.J. Differential modulation of P-glycoprotein expression and activity by non-nucleoside HIV-1 reverse transcriptase inhibitors in cell culture. Pharm. Res. 2002, 19, 1038–1045. [Google Scholar] [CrossRef] [PubMed]
- Kenechukwu, F.C.; Attama, A.A.; Ibezim, E.C.; Nnamani, P.O.; Umeyor, C.E.; Uronnachi, E.M.; Momoh, M.A.; Akpa, P.A.; Ozioko, A.C. Novel Intravaginal Drug Delivery System Based on Molecularly PEGylated Lipid Matrices for Improved Antifungal Activity of Miconazole Nitrate. Biomed. Res. Int 2018, 2018, 3714329. [Google Scholar] [CrossRef]
- Niwa, T.; Shiraga, T.; Takagi, A. Effect of antifungal drugs on cytochrome P450 (CYP) 2C9, CYP2C19, and CYP3A4 activities in human liver microsomes. Biol. Pharm. Bull. 2005, 28, 1805–1808. [Google Scholar] [CrossRef]
- Niwa, T.; Imagawa, Y.; Yamazaki, H. Drug interactions between nine antifungal agents and drugs metabolized by human cytochromes P450. Curr. Drug Metab. 2014, 15, 651–679. [Google Scholar] [CrossRef]
- Gronlund, J.; Saari, T.I.; Hagelberg, N.; Neuvonen, P.J.; Olkkola, K.T.; Laine, K. Miconazole oral gel increases exposure to oral oxycodone by inhibition of CYP2D6 and CYP3A4. Antimicrob. Agents Chemother. 2011, 55, 1063–1067. [Google Scholar] [CrossRef]
- Sawamura, R.; Sato, H.; Kawakami, J.; Iga, T. Inhibitory effect of azole antifungal agents on the glucuronidation of lorazepam using rabbit liver microsomes in vitro. Biol. Pharm. Bull. 2000, 23, 669–671. [Google Scholar] [CrossRef][Green Version]






| Common Name(Official Symbol) | GenBank Accession No. | Sequence of Primers (5′→3′) |
|---|---|---|
| GAPDH (GAPDH) | NM_001357943 | Forward: GGA GCG AGA TCC CTC CAA AAT |
| Reverse: GGC TGT TGT CAT ACT TCT CAT GG | ||
| ENT1 (SLC29A1) | NM_001372327 | Forward: TGA GCG GAA CTC TCT CAG TG |
| Reverse: GA GGT AGG TGA ATA ACA GCA GG |
Publisher’s Note: MDPI stays neutral with regard to jurisdictional claims in published maps and institutional affiliations. |
© 2022 by the authors. Licensee MDPI, Basel, Switzerland. This article is an open access article distributed under the terms and conditions of the Creative Commons Attribution (CC BY) license (https://creativecommons.org/licenses/by/4.0/).
Share and Cite
Zheng, R.; Valicherla, G.R.; Zhang, J.; Nuttall, J.; Silvera, P.; Marshall, L.J.; Empey, P.E.; Rohan, L.C. Transport and Permeation Properties of Dapivirine: Understanding Potential Drug-Drug Interactions. Pharmaceutics 2022, 14, 1948. https://doi.org/10.3390/pharmaceutics14091948
Zheng R, Valicherla GR, Zhang J, Nuttall J, Silvera P, Marshall LJ, Empey PE, Rohan LC. Transport and Permeation Properties of Dapivirine: Understanding Potential Drug-Drug Interactions. Pharmaceutics. 2022; 14(9):1948. https://doi.org/10.3390/pharmaceutics14091948
Chicago/Turabian StyleZheng, Ruohui, Guru R. Valicherla, Junmei Zhang, Jeremy Nuttall, Peter Silvera, Leslie J. Marshall, Philip E. Empey, and Lisa C. Rohan. 2022. "Transport and Permeation Properties of Dapivirine: Understanding Potential Drug-Drug Interactions" Pharmaceutics 14, no. 9: 1948. https://doi.org/10.3390/pharmaceutics14091948
APA StyleZheng, R., Valicherla, G. R., Zhang, J., Nuttall, J., Silvera, P., Marshall, L. J., Empey, P. E., & Rohan, L. C. (2022). Transport and Permeation Properties of Dapivirine: Understanding Potential Drug-Drug Interactions. Pharmaceutics, 14(9), 1948. https://doi.org/10.3390/pharmaceutics14091948

