Designing Stable Bacillus anthracis Antigens with a View to Recombinant Anthrax Vaccine Development
Abstract
1. Introduction
2. Materials and Methods
2.1. Obtaining Genetic Constructs
2.2. Protein Expression and Purification
2.3. Western Blot
2.4. Obtaining SPs
2.5. Labelling of Proteins and Fluorescence Microscopy
2.6. Immunofluorescence Analysis
2.7. Protein Stability Analysis
2.8. 2D-Electrophoresis Analysis
3. Results
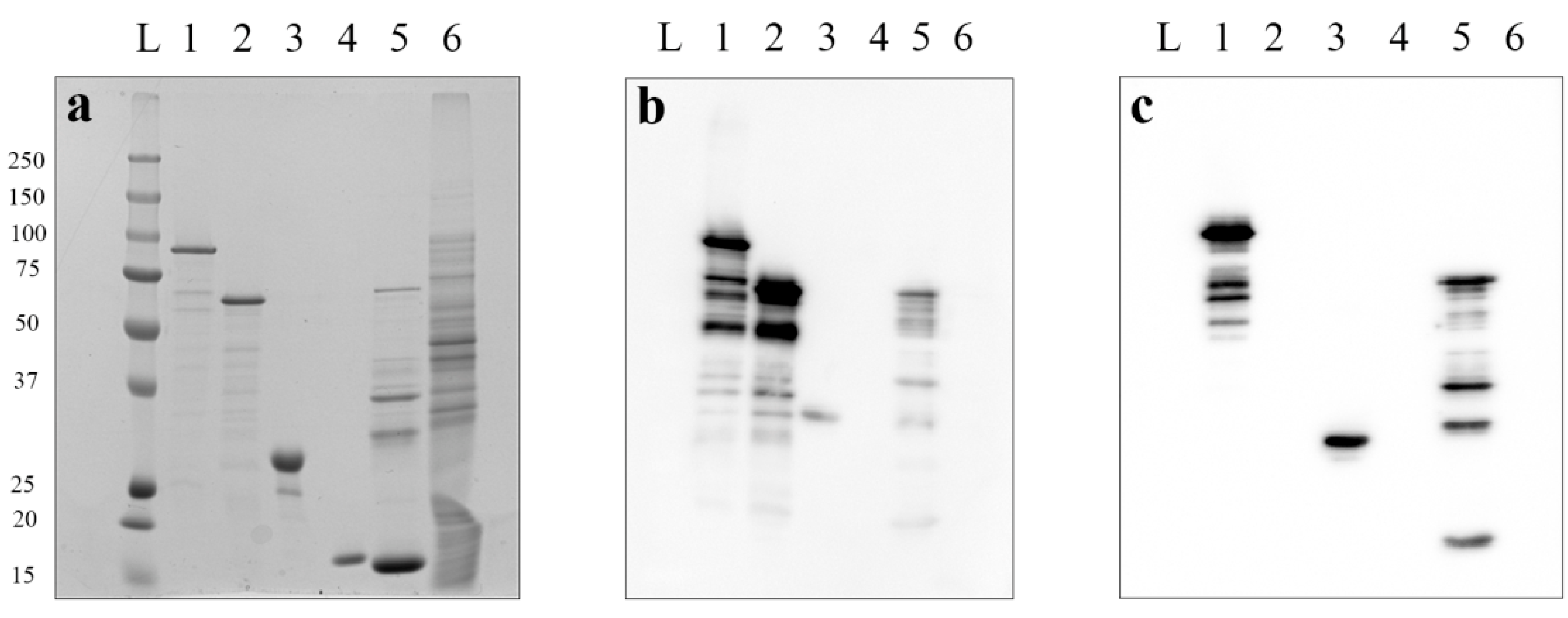
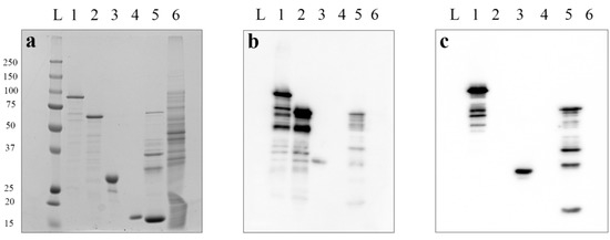
3.1. Designing and Obtaining Stable Recombinant Anthrax Antigens
3.2. Modified Recombinant Anthrax Antigens’ Adsorption to SPs
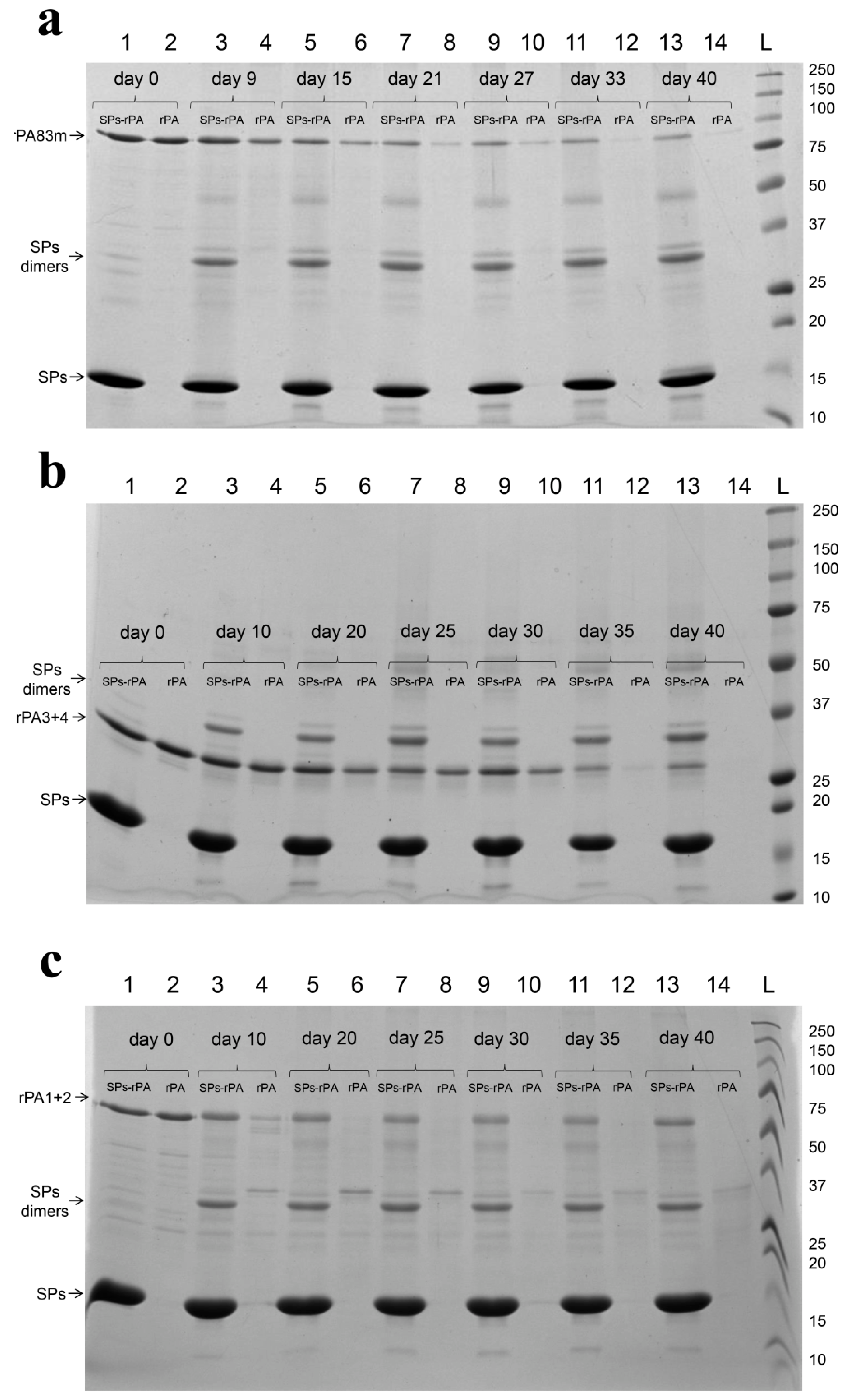
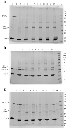
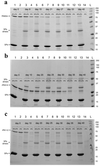
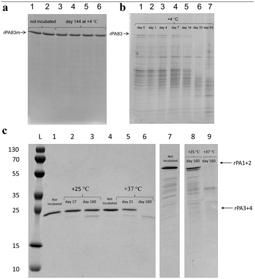
3.3. Evaluating the Stability of Modified Recombinant Anthrax Antigens in Compositions with SPs
4. Discussion
5. Conclusions
Supplementary Materials
Author Contributions
Funding
Institutional Review Board Statement
Informed Consent Statement
Data Availability Statement
Acknowledgments
Conflicts of Interest
Appendix A

| Protein | Data Source | Sample Type | Relative Volume of Major rPA Band | |||||
|---|---|---|---|---|---|---|---|---|
| Day 10 | Day 20 | Day 25 | Day 30 | Day 35 | Day 40 | |||
| rPA83m | Figure 7a | SPs-rPA83m | 0.84 | 0.48 | 0.35 | 0.26 | 0.24 | 0.22 |
| rPA83m | 0.54 | 0.32 | 0.11 | 0.11 | 0.04 | 0.04 | ||
| Figure A1a | SPs-rPA83m | 0.73 | 0.63 | 0.4 | 0.32 | 0.29 | 0.23 | |
| rPA83m | 0.51 | 0.28 | 0.1 | 0.06 | 0.04 | 0.05 | ||
| rPA3+4 | Figure 7b | SPs-rPA3+4 | 0.62 | 0.55 | 0.31 | 0.49 | 0.19 | 0.25 |
| rPA3+4 | 0.73 | 0.42 | 0.38 | 0.32 | 0.05 | 0.02 | ||
| Figure A1b | SPs-rPA3+4 | 0.91 | 0.68 | 0.6 | 0.5 | 0.42 | 0.52 | |
| rPA3+4 | 0.56 | 0.16 | 0.39 | 0.05 | 0.07 | 0.07 | ||
| rPA1+2 | Figure 7c | SPs-rPA1+2 | 0.63 | 0.42 | 0.38 | 0.37 | 0.3 | 0.47 |
| rPA831+2 | 0.16 | 0.05 | 0 | 0 | 0 | 0 | ||
| Figure A1c | SPs-rPA1+2 | 1.07 | 0.59 | 0.61 | 0.55 | 0.33 | 0.69 | |
| rPA1+2 | 0.29 | 0.1 | 0 | 0 | 0 | 0 | ||
Appendix B

Appendix C

References
- Centers for Disease Control and Prevention (CDC). Update: Investigation of bioterrorism-related anthrax and interim guidelines for exposure management and antimicrobial therapy, October 2001. MMWR Morb. Mortal. Wkly. Rep. 2001, 50, 909–919. [Google Scholar]
- Goudarzi, S. What Lies Beneath. Sci. Am. 2016, 315, 11–12. [Google Scholar] [CrossRef] [PubMed]
- World Health Organization (WHO). Information Sheet Observed Rate of Vaccine Reactions Anthrax Vaccines to Humans. Available online: https://www.who.int/vaccine_safety/initiative/tools/Anthrax_Vaccine_rates_information_sheet.pdf?ua=1 (accessed on 21 February 2022).
- Modi, T.; Gervais, D.; Smith, S.; Miller, G.; Subramaniam, S.; Thalassinos, K.; Shepher, A. Characterization of the UK anthrax vaccine and human immunogenicity. Hum. Vaccines Immunother. 2021, 17, 747–758. [Google Scholar] [CrossRef] [PubMed]
- Little, S.F.; Ivins, B.E.; Fellows, P.F.; Friedlander, A.M. Passive protection by polyclonal antibodies against Bacillus anthracis infection in guinea pigs. Infect. Immun. 1997, 65, 5171–5175. [Google Scholar] [CrossRef]
- Wagner, L.; Verma, A.; Meade, B.D.; Reiter, K.; Narum, D.L.; Brady, R.A.; Little, S.F.; Burns, D.L. Structural and immunological analysis of anthrax recombinant protective antigen adsorbed to aluminum hydroxide adjuvant. Clin. Vaccine Immunol. 2012, 19, 1465–1473. [Google Scholar] [CrossRef]
- Kondakova, O.A.; Nikitin, N.A.; Evtushenko, E.A.; Ryabchevskaya, E.M.; Atabekov, J.G.; Karpova, O.V. Vaccines against anthrax based on recombinant protective antigen: Problems and solutions. Expert Rev. Vaccines 2019, 18, 813–828. [Google Scholar] [CrossRef]
- Kondakova, O.A.; Nikitin, N.A.; Evtushenko, E.A.; Granovskiy, D.L.; Atabekov, J.G.; Karpova, O.V. Anthrax: Life cycle, mechanisms of pathogenesis and prospects in the development of veterinary vaccines. Agric. Biol. 2021, 56, 415–433. [Google Scholar] [CrossRef]
- Zomber, G.; Reuveny, S.; Garti, N.; Shafferman, A.; Elhanany, E. Effects of spontaneous deamidation on the cytotoxic activity of the Bacillus anthracis protective antigen. J. Biol. Chem. 2005, 280, 39897–39906. [Google Scholar] [CrossRef]
- Powell, B.S.; Enama, J.T.; Ribot, W.J.; Webster, W.; Little, S.; Hoover, T.; Adamovicz, J.J.; Andrews, G.P. Multiple asparagine deamidation of Bacillus anthracis protective antigen causes charge isoforms whose complexity correlates with reduced biological activity. Proteins 2007, 68, 458–479. [Google Scholar] [CrossRef]
- Ramirez, D.M.; Leppla, S.H.; Schneerson, R.; Shiloach, J. Production, recovery and immunogenicity of the protective antigen from a recombinant strain of Bacillus anthracis. J. Ind. Microbiol. Biotechnol. 2002, 28, 232–238. [Google Scholar] [CrossRef]
- Verma, A.; Burns, D.L. Improving the stability of recombinant anthrax protective antigen vaccine. Vaccine 2018, 36, 6379–6382. [Google Scholar] [CrossRef] [PubMed]
- Flick-Smith, H.C.; Walker, N.J.; Gibson, P.; Bullifent, H.; Hayward, S.; Miller, J.; Titball, R.W.; Williamson, E.D. A recombinant carboxy-terminal domain of the protective antigen of Bacillus anthracis protects mice against anthrax infection. Infect. Immun. 2002, 70, 1653–1656. [Google Scholar] [CrossRef] [PubMed][Green Version]
- Abboud, N.; Casadevall, A. Immunogenicity of Bacillus anthracis protective antigen domains and efficacy of elicited antibody responses depend on host genetic background. Clin. Vaccine Immunol. 2008, 15, 1115–1123. [Google Scholar] [CrossRef] [PubMed]
- Ryabchevskaya, E.M.; Evtushenko, E.A.; Granovskiy, D.L.; Ivanov, P.A.; Atabekov, J.G.; Kondakova, O.A.; Nikitin, N.A.; Karpova, O.V. Two approaches for the stabilization of Bacillus anthracis recombinant protective antigen. Hum. Vaccines Immunother. 2021, 17, 560–565. [Google Scholar] [CrossRef]
- Denis, J.; Acosta-Ramirez, E.; Zhao, Y.; Hamelin, M.-E.; Koukavica, I.; Baz, M.; Abed, Y.; Savard, C.; Pare, C.; Macias, C.L.; et al. Development of a universal influenza A vaccine based on the M2e peptide fused to the papaya mosaic virus (PapMV) vaccine platform. Vaccine 2008, 26, 3395–3403. [Google Scholar] [CrossRef]
- Trifonova, E.A.; Zenin, V.A.; Nikitin, N.A.; Yurkova, M.S.; Ryabchevskaya, E.M.; Putlyaev, E.V.; Donchenko, E.K.; Kondakova, O.A.; Fedorov, A.N.; Atabekov, J.G.; et al. Study of rubella candidate vaccine based on a structurally modified plant virus. Antiviral Res. 2017, 144, 27–33. [Google Scholar] [CrossRef]
- Bruckman, M.; Randolph, L.N.; VanMeter, A.; Hern, S.; Shoffstall, A.J.; Taurog, R.E.; Steinmetz, N.F. Biodistribution, pharmacokinetics, and blood compatibility of native and PEGylated tobacco mosaic virus nano-rods and-spheres in mice. Virology 2014, 449, 163–173. [Google Scholar] [CrossRef]
- Nikitin, N.A.; Zenin, V.A.; Trifonova, E.A.; Ryabchevskaya, E.M.; Kondakova, O.A.; Fedorov, A.N.; Atabekov, J.G.; Karpova, O.V. Assessment of structurally modified plant virus as a novel adjuvant in toxicity studies. Regul. Toxicol. Pharmacol. 2018, 97, 127–133. [Google Scholar] [CrossRef]
- Nikitin, N.A.; Zenin, V.A.; Ryabchevskaya, E.M.; Yurkova, M.S.; Kondakova, O.A.; Fedorov, A.N.; Atabekov, J.G.; Karpova, O.V. Data in support of toxicity studies of structurally modified plant virus to safety assessment. Data Brief 2018, 21, 1504–1507. [Google Scholar] [CrossRef]
- Lacy, D.B.; Wigelsworth, D.J.; Melnyk, R.A.; Harrison, S.C.; Collier, R.J. Structure of heptameric protective antigen bound to an anthrax toxin receptor: A role for receptor in pH-dependent pore formation. Proc. Natl. Acad. Sci. USA 2004, 101, 13147–13151. [Google Scholar] [CrossRef]
- Panina, A.A.; Aliev, T.K.; Toporova, V.A.; Shemchukova, O.B.; Biketov, S.F.; Dolgikh, D.A.; Sveshnikov, P.G. Neutralizing antibodies against Bacillus anthracis exotoxin components. In Proceedings of the 5th Russian Symposium “Proteins and Peptides”, Petrozavodsk, Russia, 8 August–8 December 2011; KarRC RAS: Petrozavodsk, Russia, 2011; p. 77. [Google Scholar]
- Trifonova, E.A.; Nikitin, N.A.; Kirpichnikov, M.P.; Karpova, O.V.; Atabekov, J.G. Obtaining and characterization of spherical particles—New biogenic platforms. Moscow. Univ. Biol. Sci. Bull. 2015, 70, 194–197. [Google Scholar] [CrossRef]
- Ryabchevskaya, E.M.; Evtushenko, E.A.; Arkhipenko, M.V.; Manukhova, T.I.; Donchenko, E.K.; Nikitin, N.A.; Atabekov, J.G.; Kaprova, O.V. Novel approach for designing rotavirus vaccine candidate based on two plant viruses. Agric. Biol. 2020, 55, 1004–1017. [Google Scholar] [CrossRef]
- Zvereva, E.A.; Kovalev, L.I.; Ivanov, A.V.; Kovaleva, M.A.; Zherdev, A.V.; Shishkin, S.S.; Lisitsin, A.B.; Chernukha, I.M.; Dzantiev, B.B. Enzyme immunoassay and proteomic characterization of troponin I as a marker of mammalian muscle compounds in raw meat and some meat products. Meat. Sci. 2015, 105, 46–52. [Google Scholar] [CrossRef] [PubMed]
- Ribot, W.J.; Powell, B.S.; Ivins, B.E.; Little, S.F.; Johnson, W.M.; Hoover, T.A.; Norris, S.L.; Adamovicz, J.J.; Friedlander, A.M.; Andrews, G.P. Comparative vaccine efficacy of different isoforms of recombinant protective antigen against Bacillus anthracis spore challenge in rabbits. Vaccine 2006, 24, 3469–3476. [Google Scholar] [CrossRef] [PubMed]
- Verma, A.; Ngundi, M.M.; Price, G.A.; Takeda, K.; Yu, J.; Burns, D.L. Role of the antigen capture pathway in the induction of a neutralizing antibody response to anthrax protective antigen. Mbio 2018, 9, e00209–e00218. [Google Scholar] [CrossRef]
- Singh, S.; Singh, A.; Aziz, M.A.; Waheed, S.M.; Bhat, R.; Bhatnagar, R. Thermal inactivation of protective antigen of Bacillus anthracis and its prevention by polyol osmolytes. Biochem. Biophys. Res. Commun. 2004, 322, 1029–1037. [Google Scholar] [CrossRef]
- Ganesan, A.; Watkinson, A.; Moore, B.D. Biophysical characterization of thermal-induced precipitates of recombinant anthrax protective antigen: Evidence for kinetically trapped unfolding domains in solid-state. Eur. J. Pharm. Biopharm. 2012, 82, 475–484. [Google Scholar] [CrossRef]
- Belton, D.J.; Miller, A.F. Thermal aggregation of recombinant protective antigen: Aggregate morphology and growth rate. J. Biophys. 2013, 2013, 751091. [Google Scholar] [CrossRef]
- Harris, J.R.; Soliakov, A.; Watkinson, A.; Lakey, J.H. Recombinant anthrax protective antigen: Observation of aggregation phenomena by TEM reveals specific effects of sterols. Micron 2017, 93, 1–8. [Google Scholar] [CrossRef]
- Amador-Molina, J.C.; Valerdi-Madrigal, E.D.; Domínguez-Castillo, R.I.; Sirota, L.A.; Arciniega, J.L. Temperature-mediated recombinant anthrax protective antigen aggregate development: Implications for toxin formation and immunogenicity. Vaccine 2016, 34, 4188–4195. [Google Scholar] [CrossRef]
- Evtushenko, E.A.; Ryabchevskaya, E.M.; Nikitin, N.A.; Atabekov, J.G.; Karpova, O.V. Plant virus particles with various shapes as potential adjuvants. Sci. Rep. 2020, 10, 10356. [Google Scholar] [CrossRef] [PubMed]
- Kovalenko, A.O.; Ryabchevskaya, E.M.; Evtushenko, E.A.; Manukhova, T.I.; Kondakova, O.A.; Ivanov, P.A.; Arkhipenko, M.V.; Gushchin, V.A.; Nikitin, N.A.; Karpova, O.V. Vaccine Candidate Against COVID-19 Based on Structurally Modified Plant Virus as an Adjuvant. Front. Microbiol. 2022, 13, 845316. [Google Scholar] [CrossRef] [PubMed]
- Petersen, L.K.; Phanse, Y.; Ramer-Tait, A.E.; Wannemuehler, M.J.; Narasimhan, B. Amphiphilic polyanhydride nanoparticles stabilize Bacillus anthracis protective antigen. Mol. Pharm. 2012, 9, 874–882. [Google Scholar] [CrossRef][Green Version]
- Kelly, S.M.; Larsen, K.R.; Darling, R.; Petersen, A.C.; Bellaire, B.H.; Wannemuehler, M.J.; Narasimhan, B. Single-dose combination nanovaccine induces both rapid and durable humoral immunity and toxin neutralizing antibody responses against Bacillus anthracis. Vaccine 2021, 39, 3862–3870. [Google Scholar] [CrossRef] [PubMed]
- Ksenofontov, A.L.; Fedorova, N.V.; Badun, G.A.; Serebryakova, M.V.; Nikitin, N.A.; Evtushenko, E.A.; Chernysheva, M.G.; Bogacheva, E.N.; Dobrov, E.N.; Baratova, L.A.; et al. Surface characterization of the thermal remodeling helical plant virus. PLoS ONE 2019, 14, e0216905. [Google Scholar] [CrossRef]








| Template | Primer Name | Primer Sequence |
|---|---|---|
| pQE-30-rPA1+2 | SphIFwd | 5′-acgcggaagtgcatgcgtct-3′ |
| pQE-30-rPA1+2 | rPA1+2Rev | 5′-ggtttcctgaatctgcggca-3′ |
| pQE-30-rPA3+4 | rPA3+4Fwd | 5′-tgccgcagattcaggaaaccaccgctcgtatcatcttcaac-3′ |
| pQE-30-rPA3+4 | PstIRev | 5′-ctggtactgcaggttaccgt-3′ |
Publisher’s Note: MDPI stays neutral with regard to jurisdictional claims in published maps and institutional affiliations. |
© 2022 by the authors. Licensee MDPI, Basel, Switzerland. This article is an open access article distributed under the terms and conditions of the Creative Commons Attribution (CC BY) license (https://creativecommons.org/licenses/by/4.0/).
Share and Cite
Ryabchevskaya, E.M.; Granovskiy, D.L.; Evtushenko, E.A.; Ivanov, P.A.; Kondakova, O.A.; Nikitin, N.A.; Karpova, O.V. Designing Stable Bacillus anthracis Antigens with a View to Recombinant Anthrax Vaccine Development. Pharmaceutics 2022, 14, 806. https://doi.org/10.3390/pharmaceutics14040806
Ryabchevskaya EM, Granovskiy DL, Evtushenko EA, Ivanov PA, Kondakova OA, Nikitin NA, Karpova OV. Designing Stable Bacillus anthracis Antigens with a View to Recombinant Anthrax Vaccine Development. Pharmaceutics. 2022; 14(4):806. https://doi.org/10.3390/pharmaceutics14040806
Chicago/Turabian StyleRyabchevskaya, Ekaterina M., Dmitriy L. Granovskiy, Ekaterina A. Evtushenko, Peter A. Ivanov, Olga A. Kondakova, Nikolai A. Nikitin, and Olga V. Karpova. 2022. "Designing Stable Bacillus anthracis Antigens with a View to Recombinant Anthrax Vaccine Development" Pharmaceutics 14, no. 4: 806. https://doi.org/10.3390/pharmaceutics14040806
APA StyleRyabchevskaya, E. M., Granovskiy, D. L., Evtushenko, E. A., Ivanov, P. A., Kondakova, O. A., Nikitin, N. A., & Karpova, O. V. (2022). Designing Stable Bacillus anthracis Antigens with a View to Recombinant Anthrax Vaccine Development. Pharmaceutics, 14(4), 806. https://doi.org/10.3390/pharmaceutics14040806

