Mouse Syngeneic Melanoma Model with Human Epidermal Growth Factor Receptor Expression
Abstract
1. Introduction
2. Materials and Methods
2.1. Cell Lines
2.2. Modular Nanotransporters (MNTs)
2.3. Conjugation of Alexa Fluor 647 to Modular Nanotransporter (MNT)
2.4. Conjugation of Sulfo-Cy3 to Cetuximab
2.5. Labeling of Epidermal Growth Factor with 125I
2.6. Development and Selection of M3 Cells with Expressing Functional EGFR
2.7. EGF Binding Assay
2.8. EGFR Expression in M3-EGFR In Vitro
2.9. Study of EGFR-Targeted MNTs Endocytosis in M3-EGFR Cells
2.10. Flow Cytometry Studies of Cetuximab-Cy3 Interaction with M3-EGFR Cells
2.11. Animal Studies
2.12. Statistics
3. Results
3.1. EGF Binding to M3-EGFR Cells
3.2. EGFR Expression in M3-EGFR In Vitro
3.3. Study of MNT Endocytosis in M3-EGFR Cells
3.4. Flow Cytometry Studies of Cetuximab-Cy3 Interaction with M3-EGFR Cells
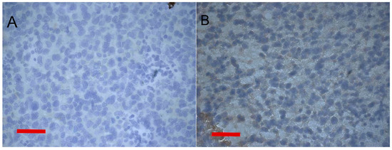
3.5. EGFR Expression in M3-EGFR In Vivo
4. Discussion
5. Conclusions
Supplementary Materials
Author Contributions
Funding
Institutional Review Board Statement
Informed Consent Statement
Data Availability Statement
Acknowledgments
Conflicts of Interest
References
- World Health Organization. World Health Statistics 2022: Monitoring Health for the SDGs, Sustainable Development Goals; World Health Organization: Geneva, Switzerland, 2022; ISBN 978-92-4-005114-0.
- Mitchell, R.A.; Luwor, R.B.; Burgess, A.W. Epidermal Growth Factor Receptor: Structure-Function Informing the Design of Anticancer Therapeutics. Exp. Cell Res. 2018, 371, 1–19. [Google Scholar] [CrossRef]
- Sabbah, D.A.; Hajjo, R.; Sweidan, K. Review on Epidermal Growth Factor Receptor (EGFR) Structure, Signaling Pathways, Interactions, and Recent Updates of EGFR Inhibitors. CTMC 2020, 20, 815–834. [Google Scholar] [CrossRef]
- Chen, X.; Liang, R.; Lai, L.; Chen, K.; Zhu, X. Prognostic Role of EGFR/p-EGFR in Patients With Nasopharyngeal Carcinoma: A Meta-Analysis. Front. Oncol. 2021, 11, 697369. [Google Scholar] [CrossRef]
- London, M.; Gallo, E. Epidermal Growth Factor Receptor (EGFR) Involvement in Epithelial-derived Cancers and Its Current Antibody-based Immunotherapies. Cell Biol. Int. 2020, 44, 1267–1282. [Google Scholar] [CrossRef]
- Rosenkranz, A.A.; Slastnikova, T.A. Epidermal Growth Factor Receptor: Key to Selective Intracellular Delivery. Biochem. Mosc. 2020, 85, 967–993. [Google Scholar] [CrossRef]
- Sobolev, A.S. Modular Nanotransporters for Nuclear-Targeted Delivery of Auger Electron Emitters. Front. Pharmacol. 2018, 9, 952. [Google Scholar] [CrossRef]
- Sobolev, A.S. The Delivery of Biologically Active Agents into the Nuclei of Target Cells for the Purposes of Translational Medicine. Acta Nat. 2020, 12, 47–56. [Google Scholar] [CrossRef]
- Slastnikova, T.A.; Rosenkranz, A.A.; Gulak, P.V.; Schiffelers, R.M.; Lupanova, T.N.; Khramtsov, Y.V.; Zalutsky, M.R.; Sobolev, A.S. Modular Nanotransporters: A Multipurpose in Vivo Working Platform for Targeted Drug Delivery. Int. J. Nanomed. 2012, 7, 467–482. [Google Scholar] [CrossRef]
- Rosenkranz, A.A.; Slastnikova, T.A.; Karmakova, T.A.; Vorontsova, M.S.; Morozova, N.B.; Petriev, V.M.; Abrosimov, A.S.; Khramtsov, Y.V.; Lupanova, T.N.; Ulasov, A.V.; et al. Antitumor Activity of Auger Electron Emitter 111In Delivered by Modular Nanotransporter for Treatment of Bladder Cancer With EGFR Overexpression. Front. Pharmacol. 2018, 9, 1331. [Google Scholar] [CrossRef]
- Pastwińska, J.; Karaś, K.; Karwaciak, I.; Ratajewski, M. Targeting EGFR in Melanoma—The Sea of Possibilities to Overcome Drug Resistance. Biochim. Biophys. Acta (BBA)—Rev. Cancer 2022, 1877, 188754. [Google Scholar] [CrossRef]
- Wang, J.; Huang, S.K.; Marzese, D.M.; Hsu, S.C.; Kawas, N.P.; Chong, K.K.; Long, G.V.; Menzies, A.M.; Scolyer, R.A.; Izraely, S.; et al. Epigenetic Changes of EGFR Have an Important Role in BRAF Inhibitor–Resistant Cutaneous Melanomas. J. Investig. Dermatol. 2015, 135, 532–541. [Google Scholar] [CrossRef]
- Guerin, M.V.; Finisguerra, V.; Van den Eynde, B.J.; Bercovici, N.; Trautmann, A. Preclinical Murine Tumor Models: A Structural and Functional Perspective. eLife 2020, 9, e50740. [Google Scholar] [CrossRef]
- Canon, J.; Bryant, R.; Roudier, M.; Osgood, T.; Jones, J.; Miller, R.; Coxon, A.; Radinsky, R.; Dougall, W.C. Inhibition of RANKL Increases the Anti-Tumor Effect of the EGFR Inhibitor Panitumumab in a Murine Model of Bone Metastasis. Bone 2010, 46, 1613–1619. [Google Scholar] [CrossRef]
- Diaz, A.; Suarez, E.; Blanco, R.; Badia, T.; Rivero, D.; Lopez-Requena, A.; Lopez, A.; Montero, E. Functional Expression of Human-Epidermal-Growth-Factor Receptor in a Melanoma Cell Line. Biotechnol. Appl. Biochem. 2007, 48, 21. [Google Scholar] [CrossRef]
- Diaz, A. Epidermal Growth Factor Receptor Modulates the Tumorigenic Potential of Melanoma. Front. Biosci. 2009, 14, 159–166. [Google Scholar] [CrossRef][Green Version]
- Karyagina, T.S.; Ulasov, A.V.; Slastnikova, T.A.; Rosenkranz, A.A.; Lupanova, T.N.; Khramtsov, Y.V.; Georgiev, G.P.; Sobolev, A.S. Targeted Delivery of 111In Into the Nuclei of EGFR Overexpressing Cells via Modular Nanotransporters With Anti-EGFR Affibody. Front. Pharmacol. 2020, 11, 176. [Google Scholar] [CrossRef]
- Gilyazova, D.G.; Rosenkranz, A.A.; Gulak, P.V.; Lunin, V.G.; Sergienko, O.V.; Khramtsov, Y.V.; Timofeyev, K.N.; Grin, M.A.; Mironov, A.F.; Rubin, A.B.; et al. Targeting Cancer Cells by Novel Engineered Modular Transporters. Cancer Res. 2006, 66, 10534–10540. [Google Scholar] [CrossRef]
- Crowe, A.; Yue, W. Semi-Quantitative Determination of Protein Expression Using Immunohistochemistry Staining and Analysis: An Integrated Protocol. Bio-Protocol 2019, 9, e3465. [Google Scholar] [CrossRef]
- Crowe, A.; Zheng, W.; Miller, J.; Pahwa, S.; Alam, K.; Fung, K.-M.; Rubin, E.; Yin, F.; Ding, K.; Yue, W. Characterization of Plasma Membrane Localization and Phosphorylation Status of Organic Anion Transporting Polypeptide (OATP) 1B1 c.521 T>C Nonsynonymous Single-Nucleotide Polymorphism. Pharm. Res. 2019, 36, 101. [Google Scholar] [CrossRef]
- Gerosa, L.; Chidley, C.; Fröhlich, F.; Sanchez, G.; Lim, S.K.; Muhlich, J.; Chen, J.-Y.; Vallabhaneni, S.; Baker, G.J.; Schapiro, D.; et al. Receptor-Driven ERK Pulses Reconfigure MAPK Signaling and Enable Persistence of Drug-Adapted BRAF-Mutant Melanoma Cells. Cell Syst. 2020, 11, 478–494.e9. [Google Scholar] [CrossRef]
- Pathak, M.A.; Matrisian, L.M.; Magun, B.E.; Salmon, S.E. Effect of Epidermal Growth Factor on Clonogenic Growth of Primary Human Tumor Cells. Int. J. Cancer 1982, 30, 745–750. [Google Scholar] [CrossRef] [PubMed]
- Olivier, S.; Formento, P.; Fischel, J.L.; Etienne, M.C.; Milano, G. Epidermal Growth Factor Receptor Expression and Suramin Cytotoxicity in Vitro. Eur. J. Cancer Clin. Oncol. 1990, 26, 867–871. [Google Scholar] [CrossRef]
- Koprowski, H.; Herlyn, M.; Balaban, G.; Parmiter, A.; Ross, A.; Nowell, P. Expression of the Receptor for Epidermal Growth Factor Correlates with Increased Dosage of Chromosome 7 in Malignant Melanoma. Somat. Cell Mol. Genet. 1985, 11, 297–302. [Google Scholar] [CrossRef] [PubMed]
- Rudek, M.A.; Chau, C.H.; Figg, W.D.; McLeod, H.L. (Eds.) Handbook of Anticancer Pharmacokinetics and Pharmacodynamics; Cancer Drug Discovery and Development; Springer: New York, NY, USA, 2014; ISBN 978-1-4614-9134-7. [Google Scholar]
- Luo, F.R.; Yang, Z.; Dong, H.; Camuso, A.; McGlinchey, K.; Fager, K.; Flefleh, C.; Kan, D.; Inigo, I.; Castaneda, S.; et al. Correlation of Pharmacokinetics with the Antitumor Activity of Cetuximab in Nude Mice Bearing the GEO Human Colon Carcinoma Xenograft. Cancer Chemother. Pharmacol. 2005, 56, 455–464. [Google Scholar] [CrossRef] [PubMed]
- Peng, W.; Bruijn, H.S.; Hagen, T.L.M.; Dam, G.M.; Roodenburg, J.L.N.; Berg, K.; Witjes, M.J.H.; Robinson, D.J. Targeted Photodynamic Therapy of Human Head and Neck Squamous Cell Carcinoma with Anti-epidermal Growth Factor Receptor Antibody Cetuximab and Photosensitizer IR700DX in the Mouse Skin-fold Window Chamber Model. Photochem. Photobiol. 2020, 96, 708–717. [Google Scholar] [CrossRef]
- Ireson, C.R.; Alavijeh, M.S.; Palmer, A.M.; Fowler, E.R.; Jones, H.J. The Role of Mouse Tumour Models in the Discovery and Development of Anticancer Drugs. Br. J. Cancer 2019, 121, 101–108. [Google Scholar] [CrossRef]
- Ueno, Y.; Sakurai, H.; Tsunoda, S.; Choo, M.-K.; Matsuo, M.; Koizumi, K.; Saiki, I. Heregulin-Induced Activation of ErbB3 by EGFR Tyrosine Kinase Activity Promotes Tumor Growth and Metastasis in Melanoma Cells: Heregulin-Induced Metastasis via ErbB3/EGFR. Int. J. Cancer 2008, 123, 340–347. [Google Scholar] [CrossRef]
- Sawada, S.; Murakami, K.; Yamaura, T.; Sakamoto, T.; Ogawa, K.; Tsukada, K.; Saiki, I. Intrahepatic Metastasis by Orthotopic Implantation of a Fragment of Murine Hepatoma and Its Related Molecules. Tumor Biol. 2001, 22, 154–161. [Google Scholar] [CrossRef]
- Eisenbach, L.; Hollander, N.; Greenfeld, L.; Yakor, H.; Segal, S.; Feldman, M. The Differential Expression of H-2K versus H-2D Antigens, Distinguishing High- Metastatic from Low- Metastatic Clones, Is Correlated with the Immunogenic Properties of the Tumor Cells. Int. J. Cancer 1984, 34, 567–573. [Google Scholar] [CrossRef]
- Palomo, A.G.; Santana, R.B.; Pérez, X.E.; Santana, D.B.; Gabri, M.R.; Monzon, K.L.; Pérez, A.C. Frequent Co-Expression of EGFR and NeuGcGM3 Ganglioside in Cancer: It’s Potential Therapeutic Implications. Clin. Exp. Metastasis 2016, 33, 717–725. [Google Scholar] [CrossRef]
- Pulaski, B.A.; Ostrand-Rosenberg, S. Mouse 4T1 Breast Tumor Model. Curr. Protoc. Immunol. 2000, 39. [Google Scholar] [CrossRef] [PubMed]
- Castle, J.C.; Loewer, M.; Boegel, S.; de Graaf, J.; Bender, C.; Tadmor, A.D.; Boisguerin, V.; Bukur, T.; Sorn, P.; Paret, C.; et al. Immunomic, Genomic and Transcriptomic Characterization of CT26 Colorectal Carcinoma. BMC Genom. 2014, 15, 190. [Google Scholar] [CrossRef] [PubMed]
- Turker, N.S.; Heidari, P.; Kucherlapati, R.; Kucherlapati, M.; Mahmood, U. An EGFR Targeted PET Imaging Probe for the Detection of Colonic Adenocarcinomas in the Setting of Colitis. Theranostics 2014, 4, 893–903. [Google Scholar] [CrossRef] [PubMed]
- Slastnikova, T.; Rosenkranz, A.; Khramtsov, Y.; Karyagina, T.; Ovechko, S.; Sobolev, A. Development and Evaluation of a New Modular Nanotransporter for Drug Delivery into Nuclei of Pathological Cells Expressing Folate Receptors. Drug Des. Dev. Ther. 2017, 11, 1315–1334. [Google Scholar] [CrossRef] [PubMed]







Publisher’s Note: MDPI stays neutral with regard to jurisdictional claims in published maps and institutional affiliations. |
© 2022 by the authors. Licensee MDPI, Basel, Switzerland. This article is an open access article distributed under the terms and conditions of the Creative Commons Attribution (CC BY) license (https://creativecommons.org/licenses/by/4.0/).
Share and Cite
Slastnikova, T.A.; Rosenkranz, A.A.; Ulasov, A.V.; Khramtsov, Y.V.; Lupanova, T.N.; Georgiev, G.P.; Sobolev, A.S. Mouse Syngeneic Melanoma Model with Human Epidermal Growth Factor Receptor Expression. Pharmaceutics 2022, 14, 2448. https://doi.org/10.3390/pharmaceutics14112448
Slastnikova TA, Rosenkranz AA, Ulasov AV, Khramtsov YV, Lupanova TN, Georgiev GP, Sobolev AS. Mouse Syngeneic Melanoma Model with Human Epidermal Growth Factor Receptor Expression. Pharmaceutics. 2022; 14(11):2448. https://doi.org/10.3390/pharmaceutics14112448
Chicago/Turabian StyleSlastnikova, Tatiana A., Andrey A. Rosenkranz, Alexey V. Ulasov, Yuri V. Khramtsov, Tatiana N. Lupanova, Georgii P. Georgiev, and Alexander S. Sobolev. 2022. "Mouse Syngeneic Melanoma Model with Human Epidermal Growth Factor Receptor Expression" Pharmaceutics 14, no. 11: 2448. https://doi.org/10.3390/pharmaceutics14112448
APA StyleSlastnikova, T. A., Rosenkranz, A. A., Ulasov, A. V., Khramtsov, Y. V., Lupanova, T. N., Georgiev, G. P., & Sobolev, A. S. (2022). Mouse Syngeneic Melanoma Model with Human Epidermal Growth Factor Receptor Expression. Pharmaceutics, 14(11), 2448. https://doi.org/10.3390/pharmaceutics14112448
