Berberine Encapsulated Lecithin–Chitosan Nanoparticles as Innovative Wound Healing Agent in Type II Diabetes
Abstract
:1. Introduction
2. Materials and Methods
2.1. Materials
2.2. Methods
2.2.1. Design of Experiments and Optimization
2.2.2. Preparation of BER-LC-CTS-NPs
2.2.3. Characterization and Optimization of BER-LC-CTS-NPs
Study of Size and Surface Charge of the Nanoparticles
BER Entrapment
2.3. Characterization of the Optimized BER-LC-CTS-NPs
2.3.1. In Vitro Release Study of BER
2.3.2. The Morphology and pH of the Optimized BER-LC-CTS-NPs
2.3.3. Stability Study of the Optimized BER-LC-CTS-NPs
2.3.4. Formulation of Topical BER-LC-CTS-NPs Based Gel
2.4. In Vivo Evaluation of BER-LC-CTS-NPs in a Diabetic Animal Model
2.4.1. Ethical Considerations and Animal Care
2.4.2. Induction of Diabetes Mellitus (DM)
2.4.3. Wound Creation
2.4.4. Wound Treatment
2.5. Treatment Evaluation (Macroscopic Analyses)
2.6. Histopathological Evaluation (Microscopic Analyses)
3. Statistical Analysis
4. Results and Discussion
4.1. Design of Experiments and Optimization
4.2. Characterization of the Optimized BER-LC-CTS-NPs
4.2.1. In Vitro Release Study of BER
4.2.2. The Morphology and pH of the Optimized BER-LC-CTS-NPs
4.2.3. Physical Stability of the Optimized BER-LC-CTS-NPs
4.3. In Vivo Investigations in the DM Rat Model
Macroscopic Analyses
4.4. Microscopic Analyses
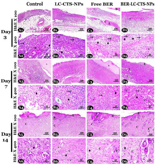
4.4.1. Evaluation of Healing Process in the Skin Wound Using H&E Stain
4.4.2. Identification and Evaluation of Collagen Fibers Area Percentage in the Skin Wound
4.4.3. By Using Picrosirius Red Stain (Polarized-Field View) (PR (PV))
5. Conclusions
Supplementary Materials
Author Contributions
Funding
Institutional Review Board Statement
Informed Consent Statement
Data Availability Statement
Acknowledgments
Conflicts of Interest
References
- Zhou, Y.; Ma, G.; Shi, S.; Yang, D.; Nie, J. Photopolymerized water-soluble chitosan-based hydrogel as potential use in tissue engineering. Int. J. Biol. Macromol. 2011, 48, 408–413. [Google Scholar] [CrossRef] [PubMed]
- Ayello, E.A.; Cuddigan, J.E. Conquer Chronic Wounds with Wound Bed Preparation. Nurse Pract. 2004, 29, 8–25. [Google Scholar] [CrossRef]
- Pastar, I.; Stojadinovic, O.; Tomic-Canic, M. Role of keratinocytes in healing of chronic wounds. Surg. Technol. Int. 2008, 17, 105–112. [Google Scholar]
- Eming, S.A.; Martin, P.; Tomic-Canic, M. Wound repair and regeneration: Mechanisms, signaling, and translation. Sci. Transl. Med. 2014, 6, 265sr6. [Google Scholar] [CrossRef] [Green Version]
- Trengove, N.J.; Stacey, M.C.; Macauley, S.; Bennett, N.; Gibson, J.; Burslem, F.; Murphy, G.; Schultz, G. Analysis of the acute and chronic wound environments: The role of proteases and their inhibitors. Wound Repair Regen. 1999, 7, 442–452. [Google Scholar] [CrossRef]
- Stojadinovic, A.; Carlson, J.W.; Schultz, G.S.; Davis, T.A.; Elster, E. Topical advances in wound care. Gynecol. Oncol. 2008, 111, S70–S80. [Google Scholar] [CrossRef]
- Woo, K.; Ayello, E.A.; Sibbald, R.G. The edge effect: Current therapeutic options to advance the wound edge. Adv. Skin Wound Care 2007, 20, 99–117. [Google Scholar] [CrossRef]
- Damir, A. Why diabetic foot ulcers do not heal. J. Int. Med Sci. Acad. 2011, 24, 205. [Google Scholar]
- Ahmadi, F.; Oveisi, Z.; Samani, S.M.; Amoozgar, Z. Chitosan based hydrogels: Characteristics and pharmaceutical applications. Res. Pharm. Sci. 2015, 10, 1–16. [Google Scholar] [PubMed]
- Yates, C.; May, K.; Hale, T.; Allard, B.; Rowlings, N.; Freeman, A.; Harrison, J.; McCann, J.; Wraight, P. Wound Chronicity, Inpatient Care, and Chronic Kidney Disease Predispose to MRSA Infection in Diabetic Foot Ulcers. Diabetes Care 2009, 32, 1907–1909. [Google Scholar] [CrossRef] [Green Version]
- Wei, W.; Zhao, H.; Wang, A.; Sui, M.; Liang, K.; Deng, H.; Ma, Y.; Zhang, Y.; Zhang, H.; Guan, Y. A clinical study on the short-term effect of berberine in comparison to metformin on the metabolic characteristics of women with polycystic ovary syndrome. Eur. J. Endocrinol. 2012, 166, 99–105. [Google Scholar] [CrossRef] [Green Version]
- Luo, J.; Yan, D.; Yang, M.; Dong, X.; Xiao, X. Multicomponent therapeutics of berberine alkaloids. Evid. Based Complement. Altern. Med. 2013, 2013, 545898. [Google Scholar] [CrossRef] [Green Version]
- Wang, J.; Wang, L.; Lou, G.; Zeng, H.-R.; Hu, J.; Huang, Q.; Peng, W.; Yang, X.-B. Coptidis Rhizoma: A comprehensive review of its traditional uses, botany, phytochemistry, pharmacology and toxicology. Pharm. Biol. 2019, 57, 193–225. [Google Scholar] [CrossRef] [Green Version]
- Zhang, P.; He, L.; Zhang, J.; Mei, X.; Zhang, Y.; Tian, H.; Chen, Z. Preparation of novel berberine nano-colloids for improving wound healing of diabetic rats by acting Sirt1/NF-κB pathway. Colloids Surf. B Biointerfaces 2020, 187, 110647. [Google Scholar] [CrossRef] [PubMed]
- Li, J.; Liu, Y.; Liu, B.; Li, F.; Hu, J.; Wang, Q.; Li, M.; Lou, S. Mechanisms of Aerobic Exercise Upregulating the Expression of Hippocampal Synaptic Plasticity-Associated Proteins in Diabetic Rats. Neural Plast. 2019, 2019, 7920540. [Google Scholar] [CrossRef]
- Yang, H.; Bi, Y.; Xue, L.; Wang, J.; Lu, Y.; Zhang, Z.; Chen, X.; Chu, Y.; Yang, R.; Wang, R.; et al. Multifaceted Modulation of SIRT1 in Cancer and Inflammation. Crit. Rev. Oncog. 2015, 20, 49–64. [Google Scholar] [CrossRef]
- Debelec-Butuner, B.; Ertunc, N.; Korkmaz, K.S. Inflammation contributes to NKX3.1 loss and augments DNA damage but does not alter the DNA damage response via increased SIRT1 expression. J. Inflamm. 2015, 12, 12. [Google Scholar] [CrossRef] [PubMed] [Green Version]
- Kozen, B.G.; Kircher, S.J.; Henao, J.; Godinez, F.S.; Johnson, A.S. An Alternative Hemostatic Dressing: Comparison of CELOX, HemCon, and QuikClot. Acad. Emerg. Med. 2008, 15, 74–81. [Google Scholar] [CrossRef] [PubMed]
- Ahmed, S.; Ikram, S. Chitosan Based Scaffolds and Their Applications in Wound Healing. Achiev. Life Sci. 2016, 10, 27–37. [Google Scholar] [CrossRef] [Green Version]
- Ueno, H.; Mori, T.; Fujinaga, T. Topical formulations and wound healing applications of chitosan. Adv. Drug Deliv. Rev. 2001, 52, 105–115. [Google Scholar] [CrossRef]
- Raafat, D.; von Bargen, K.; Haas, A.; Sahl, H.-G. Insights into the Mode of Action of Chitosan as an Antibacterial Compound. Appl. Environ. Microbiol. 2008, 74, 3764–3773. [Google Scholar] [CrossRef] [PubMed] [Green Version]
- Seyfarth, F.; Schliemann, S.; Elsner, P.; Hipler, U. Antifungal effect of high- and low-molecular-weight chitosan hydrochloride, carboxymethyl chitosan, chitosan oligosaccharide and N-acetyl-d-glucosamine against Candida albicans, Candida krusei and Candida glabrata. Int. J. Pharm. 2008, 353, 139–148. [Google Scholar] [CrossRef] [PubMed]
- Biranje, S.; Madiwale, P.V.; Patankar, K.C.; Chhabra, R.; Dandekar-Jain, P.; Adivarekar, R.V. Hemostasis and anti-necrotic activity of wound-healing dressing containing chitosan nanoparticles. Int. J. Biol. Macromol. 2019, 121, 936–946. [Google Scholar] [CrossRef] [PubMed]
- Andreani, T.; Miziara, L.; Lorenzon, E.; de Souza, A.L.R.; Kiill, C.P.; Fangueiro, J.; Garcia, M.L.; Gremião, P.D.; Silva, A.; Souto, E.B. Effect of mucoadhesive polymers on the in vitro performance of insulin-loaded silica nanoparticles: Interactions with mucin and biomembrane models. Eur. J. Pharm. Biopharm. 2015, 93, 118–126. [Google Scholar] [CrossRef] [PubMed]
- Ahad, A.; Aqil, M.; Kohli, K.; Sultana, Y.; Mujeeb, M. Design, formulation and optimization of valsartan transdermal gel containing iso-eucalyptol as novel permeation enhancer: Preclinical assessment of pharmacokinetics in Wistar albino rats. Expert Opin. Drug Deliv. 2014, 11, 1149–1162. [Google Scholar] [CrossRef]
- Soetaert, K. plot3D: Plotting Multi-Dimensional Data; R Package Version 1.1.1. 2017. Available online: https://CRAN.R-project.org/package=plot3D (accessed on 4 August 2021).
- Sonvico, F.; Cagnani, A.; Rossi, A.; Motta, S.; Di Bari, M.; Cavatorta, F.; Alonso, M.J.; Deriu, A.; Colombo, P. Formation of self-organized nanoparticles by lecithin/chitosan ionic interaction. Int. J. Pharm. 2006, 324, 67–73. [Google Scholar] [CrossRef]
- Liu, Y.; Liu, L.; Zhou, C.; Xia, X. Self-assembled lecithin/chitosan nanoparticles for oral insulin delivery: Preparation and functional evaluation. Int. J. Nanomed. 2016, 2016, 761–769. [Google Scholar] [CrossRef] [Green Version]
- Wang, Y.; Wang, S.; Shi, P. Transcriptional transactivator peptide modified lidocaine-loaded nanoparticulate drug delivery system for topical anesthetic therapy. Drug Deliv. 2016, 23, 3193–3199. [Google Scholar] [CrossRef]
- Mahmoud, M.; Aboud, H.; Hassan, A.H.; Ali, A.; Johnston, T.P. Transdermal delivery of atorvastatin calcium from novel nanovesicular systems using polyethylene glycol fatty acid esters: Ameliorated effect without liver toxicity in poloxamer 407-induced hyperlipidemic rats. J. Control. Release 2017, 254, 10–22. [Google Scholar] [CrossRef]
- Aboud, H.; Ali, A.; El-Menshawe, S.F.; Elbary, A.A. Nanotransfersomes of carvedilol for intranasal delivery: Formulation, characterization and in vivo evaluation. Drug Deliv. 2016, 23, 2471–2481. [Google Scholar] [CrossRef] [Green Version]
- Elkomy, M.; El Menshawe, S.F.; Eid, H.; Ali, A. Development of a nanogel formulation for transdermal delivery of tenoxicam: A pharmacokinetic–pharmacodynamic modeling approach for quantitative prediction of skin absorption. Drug Dev. Ind. Pharm. 2017, 43, 531–544. [Google Scholar] [CrossRef]
- Elkomy, M.H.; Elmenshawe, S.F.; Eid, H.; Ali, A.M.A. Topical ketoprofen nanogel: Artificial neural network optimization, clustered bootstrap validation, and in vivo activity evaluation based on longitudinal dose response modeling. Drug Deliv. 2016, 23, 3294–3306. [Google Scholar] [CrossRef]
- Wilson, R.D.; Islam, M.S. Fructose-fed streptozotocin-injected rat: An alternative model for type 2 diabetes. Pharmacol. Rep. 2012, 64, 129–139. [Google Scholar] [CrossRef]
- Altan, A.; Aras, M.H.; Damlar, İ.; Gökçe, H.; Özcan, O.; Alpaslan, C. The effect of Hypericum Perforatum on wound healing of oral mucosa in diabetic rats. Eur. Oral Res. 2018, 52, 143–149. [Google Scholar] [CrossRef] [PubMed]
- Yildirimturk, S.; Batu, S.; Alatli, C.; Olgac, V.; Firat, D.; Sirin, Y. The effects of supplemental melatonin administration on the healing of bone defects in streptozotocin-induced diabetic rats. J. Appl. Oral Sci. 2016, 24, 239–249. [Google Scholar] [CrossRef] [Green Version]
- Mirazi, N.; Nourbar, E.; Yari, S.; Rafieian-Kopaei, M.; Nasri, H. Effect of hydroethanolic extract of Nigella sativa L. on skin wound healing process in diabetic male rats. Int. J. Prev. Med. 2019, 10, 18. [Google Scholar] [CrossRef] [PubMed]
- Correa, V.L.R.; Martins, J.A.; de Souza, T.R.; Rincon, G.D.C.N.; Miguel, M.P.; de Menezes, L.B.; Amaral, A.C. Melatonin loaded lecithin-chitosan nanoparticles improved the wound healing in diabetic rats. Int. J. Biol. Macromol. 2020, 162, 1465–1475. [Google Scholar] [CrossRef] [PubMed]
- Ozler, M.; Simsek, K.; Ozkan, C.K.; Akgul, E.O.; Topal, T.; Oter, S.; Korkmaz, A. Comparison of the effect of topical and systemic melatonin administration on delayed wound healing in rats that underwent pinealectomy. Scand. J. Clin. Lab. Investig. 2010, 70, 447–452. [Google Scholar] [CrossRef]
- Suvarna, K.S.; Layton, C.; Bancroft, J.D. Bancroft’s Theory and Practice of Histological Techniques E-Book; Elsevier Health Sciences: London, UK, 2018. [Google Scholar]
- Puchtler, H.; Waldrop, F.S.; Valentine, L.S. Polarization Microscopic Studies of Connective Tissue Stained with Picro-Sirius Red FBA. Beiträge Pathol. 1973, 150, 174–187. [Google Scholar] [CrossRef]
- Alkholief, M. Optimization of Lecithin-Chitosan nanoparticles for simultaneous encapsulation of doxorubicin and piperine. J. Drug Deliv. Sci. Technol. 2019, 52, 204–214. [Google Scholar] [CrossRef]
- Haas, S.E.; De Andrade, C.; Sansone, P.E.D.S.; Guterres, S.; Costa, T.D. Development of innovative oil-core self-organized nanovesicles prepared with chitosan and lecithin using a 23 full-factorial design. Pharm. Dev. Technol. 2014, 19, 769–778. [Google Scholar] [CrossRef]
- Souza, M.; Vaz, A.; Correia, M.T.S.; Cerqueira, M.; Vicente, A.; Carneiro-Da-Cunha, M.G. Quercetin-Loaded Lecithin/Chitosan Nanoparticles for Functional Food Applications. Food Bioprocess Technol. 2014, 7, 1149–1159. [Google Scholar] [CrossRef] [Green Version]
- Khalil, R.M.; El Arini, S.K.; AbouSamra, M.M.; Zaki, H.S.; El-Gazaerly, O.N.; Elbary, A.A. Development of Lecithin/Chitosan Nanoparticles for Promoting Topical Delivery of Propranolol Hydrochloride: Design, Optimization and In-Vivo Evaluation. J. Pharm. Sci. 2021, 110, 1337–1348. [Google Scholar] [CrossRef] [PubMed]
- Senyiğit, T.; Sonvico, F.; Barbieri, S.; Ozer, O.; Santi, P.; Colombo, P. Lecithin/chitosan nanoparticles of clobetasol-17-propionate capable of accumulation in pig skin. J. Control. Release 2010, 142, 368–373. [Google Scholar] [CrossRef] [PubMed]
- Elkomy, M.H.; El Gazayerly, O.; Abdelrahman, A.A. The Influence of Solid/Solvent Interfacial Interactions on Physicochemical and Mechanical Properties of Ofloxacin. J. Pharm. Innov. 2021, 16, 170–180. [Google Scholar] [CrossRef]
- Elkomy, M.H.; Elmowafy, M.; Shalaby, K.; Azmy, A.F.; Ahmad, N.; Zafar, A.; Eid, H.M. Development and machine-learning optimization of mucoadhesive nanostructured lipid carriers loaded with fluconazole for treatment of oral candidiasis. Drug Dev. Ind. Pharm. 2021, 47, 246–258. [Google Scholar] [CrossRef]
- O’Brien, R.W.; Midmore, B.R.; Lamb, A.; Hunter, R.J. Electroacoustic studies of moderately concentrated colloidal suspensions. Faraday Discuss. Chem. Soc. 1990, 90, 301–312. [Google Scholar] [CrossRef]
- Zubairu, Y.; Negi, L.M.; Iqbal, Z.; Talegaonkar, S. Design and development of novel bioadhesive niosomal formulation for the transcorneal delivery of anti-infective agent: In-vitro and ex-vivo investigations. Asian J. Pharm. Sci. 2015, 10, 322–330. [Google Scholar] [CrossRef] [Green Version]
- Samadian, H.; Zamiri, S.; Ehterami, A.; Farzamfar, S.; Vaez, A.; Khastar, H.; Alam, M.; Ai, A.; Derakhshankhah, H.; Allahyari, Z.; et al. Electrospun cellulose acetate/gelatin nanofibrous wound dressing containing berberine for diabetic foot ulcer healing: In vitro and in vivo studies. Sci. Rep. 2020, 10, 8312. [Google Scholar] [CrossRef]
- Amato, G.; Grimaudo, M.A.; Alvarez-Lorenzo, C.; Concheiro, A.; Carbone, C.; Bonaccorso, A.; Puglisi, G.; Musumeci, T. Hyaluronan/Poly-L-lysine/Berberine Nanogels for Impaired Wound Healing. Pharmaceutics 2021, 13, 34. [Google Scholar] [CrossRef]
- Paul, W.; Sharma, C.P. Chitosan and alginate wound dressings: A short review. Trends Biomater. Artif. Organs 2004, 18, 18–23. [Google Scholar]
- Zhou, R.; Xiang, C.; Cao, G.; Xu, H.; Zhang, Y.; Yang, H.; Zhang, J. Berberine accelerated wound healing by restoring TrxR1/JNK in diabetes. Clin. Sci. 2021, 135, 613–627. [Google Scholar] [CrossRef] [PubMed]
- Peng, L.; Kang, S.; Yin, Z.; Jia, R.; Song, X.; Li, L.; Li, Z.; Zou, Y.; Liang, X.; Li, L.; et al. Antibacterial activity and mechanism of berberine against Streptococcus agalactiae. Int. J. Clin. Exp. Pathol. 2015, 8, 5217–5223. [Google Scholar] [PubMed]
- Dorsett-Martin, W.A. Rat models of skin wound healing: A review. Wound Repair Regen. 2004, 12, 591–599. [Google Scholar] [CrossRef] [PubMed]










| Factor | Levels | ||
|---|---|---|---|
| −1 | 0 | 1 | |
| X1: Lecithin amount (mg) | 100 | 150 | 200 |
| X2: CTS amount (mg) | 10 | 25 | 40 |
| X3: IPM concentration in ethanolic solution (% w/v) | 1 | 2 | 3 |
| Dependent variables | Applied constrains | ||
| Y1:particle size (nm) | Minimize | ||
| Y2: zeta potential (mV) | Maximize | ||
| Y3: entrapment efficiency (%) | Maximize | ||
| No. | X1 Lecithin Amount (mg) | X2 CTS Amount (mg) | X3 IPM (% w/v) | Y1 PS (nm) | Y2 ZP (mV) | Y3 EE (%) |
|---|---|---|---|---|---|---|
| 1 | 150 | 10 | 1 | 116.4 ± 5.33 | 19.1 ± 0.3 | 43.32 ± 3.4 |
| 2 | 150 | 25 | 2 | 175.0 ± 10.4 | 28.3 ± 1.3 | 72.79 ± 5.2 |
| 3 | 100 | 10 | 2 | 125.4 ± 7.95 | 21.7 ± 0.9 | 67.21 ± 4.2 |
| 4 | 200 | 25 | 3 | 196.4 ± 11.3 | 27.9 ± 1.7 | 82.37 ± 6.2 |
| 5 | 150 | 40 | 3 | 242.1 ± 12.3 | 34.8 ± 2.3 | 84.97 ± 4.9 |
| 6 | 200 | 40 | 2 | 219.2 ± 7.14 | 31.2 ± 1.9 | 77.36 ± 2.7 |
| 7 | 150 | 25 | 2 | 178.6 ± 8.26 | 29.6 ± 2.4 | 73.44 ± 4.3 |
| 8 | 100 | 25 | 1 | 171.3 ± 6.41 | 31.5 ± 2.8 | 46.74 ± 3.9 |
| 9 | 150 | 40 | 1 | 211.1 ± 9.79 | 35.1 ± 3.2 | 53.37 ± 4.7 |
| 10 | 200 | 25 | 1 | 173.8 ± 10.6 | 27.1 ± 2.4 | 48.93 ± 2.5 |
| 11 | 200 | 10 | 2 | 141.9 ± 5.23 | 18.5 ± 0.6 | 69.53 ± 3.6 |
| 12 | 150 | 10 | 3 | 157.7 ± 4.62 | 19.7 ± 1.2 | 79.39 ± 5.1 |
| 13 | 100 | 40 | 2 | 216.8 ± 13.1 | 36.8 ± 2.7 | 75.71 ± 4.5 |
| 14 | 100 | 25 | 3 | 184.9 ± 5.84 | 30.7 ± 2.5 | 81.52 ± 3.7 |
| 15 | 150 | 25 | 2 | 180.0 ± 4.92 | 27.8 ± 1.6 | 74.37 ± 6.3 |
| 16 | 150 | 25 | 2 | 168.4 ± 3.47 | 28.8 ± 2.3 | 71.73 ± 3.1 |
| 17 | 150 | 25 | 2 | 173.5 ± 6.28 | 30.0 ± 2.9 | 70.95 ± 4.6 |
| Independent Factors | Optimal Value | Response Variables | Estimated Value | Model Expected Value | Prediction Error (%) * |
|---|---|---|---|---|---|
| X1: Lecithin amount (mg) | 100 | PS (nm) | 168.4 | 179.1 | 6.4 |
| X2: CTS amount (mg) | 23.5 | ZP (mV) | 33.1 | 30.5 | 7.9 |
| X3: IPM concentration in ethanolic solution (% w/v) | 2.6 | EE% | 82.3 | 79.2 | 3.8 |
| Day | (a) Wound Gap Length (µm) | |||
| Control | LC-CTS-NPs | Free BER | BER-LC-CTS-NPs | |
| Day 3 | 17,297 ± 1025 | 15,191 ± 455 a | 13,933 ± 206 a | 13,130 ± 271 ab |
| Day 7 | 14,312 ± 655 | 10,955 ± 934 a | 9160 ± 711 a | 7406 ± 400 ab |
| Day 14 | 4697 ± 994 | 1623 ± 514 a | 106 ± 32 ab | 33 ± 9 ab |
| Day | (b) Granulation Tissue Thickness (Height) (µm) | |||
| Control | LC-CTS-NPs | Free BER | BER-LC-CTS-NPs | |
| Day 3 | 1977 ± 254 | 2220 ± 202 | 4284 ± 275 ab | 4916 ± 124 abc |
| Day 7 | 3513 ± 103 | 4172 ± 189 a | 5030 ± 27 ab | 5222 ± 69 ab |
| Day 14 | 4547 ± 479 | 4908 ± 199 | 6159 ± 120 ab | 7422 ± 200 abc |
| Day | (c) Inflammatory Cell Infiltration | |||
| Control | LC-CTS-NPs | Free BER | BER-LC-CTS-NPs | |
| Day 3 | 140.3 ± 7.2 | 128.0 ± 8.7 | 127.3 ± 8.6 | 122.3 ± 4.0 |
| Day 7 | 98.7 ± 4.0 | 89.7 ± 4.7 | 80.0 ± 6.1 a | 70.0 ± 3.0 ab |
| Day 14 | 33.3 ± 4.2 | 27.3 ± 2.5 | 25.0 ± 2.6 | 25.7 ± 4.1 |
| Day | (d) Fibroblast Proliferation | |||
| Control | LC-CTS-NPs | Free BER | BER-LC-CTS-NPs | |
| Day 3 | 8.0 ± 2.0 | 12.7 ± 1.5 a | 22.0 ± 3.0 ab | 25.0 ± 2.6 ab |
| Day 7 | 43.0 ± 3.0 | 55.3 ± 2.5 a | 51.3 ± 3.1 a | 56.7 ± 1.5 a |
| Day 14 | 75.3 ± 4.5 | 73.3 ± 1.5 | 67.0 ± 4.6 | 64.7 ± 1.3 a |
| Day | (e) Blood Vessels Count | |||
| Control | LC-CTS-NPs | Free BER | BER-LC-CTS-NPs | |
| Day 3 | 3.0 ± 2.0 | 8.0 ± 1.0 | 11.0 ± 2.0 a | 13.0 ± 2.6 a |
| Day 7 | 8.0 ± 2.0 | 11.0 ± 1.7 | 15.0 ± 1.0 a | 16.3 ± 1.5 ab |
| Day 14 | 25.3 ± 1.5 | 22.0 ± 1.0 a | 12.0 ± 1.0 ab | 12.3 ± 0.6 ab |
| Day | (a) Total Collagen Area Percentage (Crossman’s Trichrome Stain) | |||
| Control | LC-CTS-NPs | Free BER | BER-LC-CTS-NPs | |
| Day 3 | 3.6 ± 0.3 | 4.2 ± 0.1 | 4.6 ± 0.3 a | 6.9 ± 0.4 abc |
| Day 7 | 7.2 ± 0.5 | 8.0 ± 0.6 | 10.1 ± 0.2 ab | 15.2 ± 0.3 abc |
| Day 14 | 13.4 ± 0.2 | 15.3 ± 0.2 a | 20.2 ± 0.4 ab | 28.6 ± 0.6 abc |
| Day | (b) Total Collagen Area Percentage (Picrosirius Red Stain) (Bright View) | |||
| Control | LC-CTS-NPs | Free BER | BER-LC-CTS-NPs | |
| Day 3 | 3.78 ± 0.21 | 5.84 ± 0.26 a | 7.92 ± 0.20 ab | 9.47 ± 0.22 abc |
| Day 7 | 8.05 ± 0.18 | 9.96 ± 0.19 a | 11.98 ± 0.21 ab | 17.36 ± 0.21 abc |
| Day 14 | 14.98 ± 0.24 | 18.09 ± 0.30 a | 22.74 ± 0.66 ab | 29.38 ± 0.76 abc |
| Day | (c) Mature Collagen Fibers Area Percentage (Picrosirius Red Stain) (Polarized-Field View) | |||
| Control | LC-CTS-NPs | Free BER | BER-LC-CTS-NPs | |
| Day 3 | 3.0 ± 0.11 | 3.1 ± 0.15 | 4.4 ± 0.60 ab | 5.0 ± 0.15 ab |
| Day 7 | 6.2 ± 0.09 | 6.7 ± 0.20 | 8.7 ± 0.21 ab | 12.6 ± 0.35 abc |
| Day 14 | 11.8 ± 0.20 | 12.6 ± 0.35 a | 17.0 ± 0.18 ab | 20.9 ± 0.30 abc |
Publisher’s Note: MDPI stays neutral with regard to jurisdictional claims in published maps and institutional affiliations. |
© 2021 by the authors. Licensee MDPI, Basel, Switzerland. This article is an open access article distributed under the terms and conditions of the Creative Commons Attribution (CC BY) license (https://creativecommons.org/licenses/by/4.0/).
Share and Cite
Panda, D.S.; Eid, H.M.; Elkomy, M.H.; Khames, A.; Hassan, R.M.; Abo El-Ela, F.I.; Yassin, H.A. Berberine Encapsulated Lecithin–Chitosan Nanoparticles as Innovative Wound Healing Agent in Type II Diabetes. Pharmaceutics 2021, 13, 1197. https://doi.org/10.3390/pharmaceutics13081197
Panda DS, Eid HM, Elkomy MH, Khames A, Hassan RM, Abo El-Ela FI, Yassin HA. Berberine Encapsulated Lecithin–Chitosan Nanoparticles as Innovative Wound Healing Agent in Type II Diabetes. Pharmaceutics. 2021; 13(8):1197. https://doi.org/10.3390/pharmaceutics13081197
Chicago/Turabian StylePanda, Dibya Sundar, Hussein M. Eid, Mohammed H. Elkomy, Ahmed Khames, Randa M. Hassan, Fatma I. Abo El-Ela, and Heba A. Yassin. 2021. "Berberine Encapsulated Lecithin–Chitosan Nanoparticles as Innovative Wound Healing Agent in Type II Diabetes" Pharmaceutics 13, no. 8: 1197. https://doi.org/10.3390/pharmaceutics13081197
APA StylePanda, D. S., Eid, H. M., Elkomy, M. H., Khames, A., Hassan, R. M., Abo El-Ela, F. I., & Yassin, H. A. (2021). Berberine Encapsulated Lecithin–Chitosan Nanoparticles as Innovative Wound Healing Agent in Type II Diabetes. Pharmaceutics, 13(8), 1197. https://doi.org/10.3390/pharmaceutics13081197

