Development of Polioencephalomyelitis in Cesarean-Derived Colostrum-Deprived Pigs Following Experimental Inoculation with Either Teschovirus A Serotype 2 or Serotype 11
Abstract
1. Introduction
2. Materials and Methods
2.1. Virus Inoculum
2.2. Next Generation Sequencing and Phylogenetic Analysis
2.3. Animals
2.4. Experimental Design and Clinical Evaluation
2.5. Necropsy
2.6. Histopathologic Examination
2.7. Serum Neutralization Test
2.8. Real-Time Reverse Transcription Polymerase Chain Reaction
2.9. Virus Re-Isolation
3. Results
3.1. Next Generation Sequencing and Phylogenetic Analysis
3.2. Clinical Evaluation
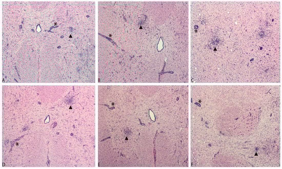
3.3. Necropsy and Histopathologic Examination
3.4. Serum Neutralization Test
3.5. Polymerase Chain Reaction
3.6. Virus Re-Isolation
4. Discussion
Supplementary Materials
Acknowledgments
Author Contributions
Conflicts of Interest
References
- OIE. Manual of Diagnostic Tests and Vaccines for Terrestrial Animals 2016, 8th ed.; OIE: Paris, France, 2016; Volume 2. [Google Scholar]
- Kouba, V. Teschen disease (Teschovirus encephalomyelitis) eradication in Czechoslovakia: A historical report. Vet. Med. 2009, 54, 550–560. [Google Scholar]
- Virus Taxonomy: Classification and Nomenclature of Viruses: Ninth Report of the International Committee on Taxonomy of Viruses; Elsevier Inc.: Amsterdam, The Netherlands, 2012.
- Pogranichniy, R.M.; Janke, B.H.; Gillespie, T.G.; Yoon, K.J. A prolonged outbreak of polioencephalomyelitis due to infection with a group I porcine enterovirus. J. Vet. Diagn. Investig. 2003, 15, 191–194. [Google Scholar] [CrossRef] [PubMed]
- Bangari, D.S.; Pogranichniy, R.M.; Gillespie, T.; Stevenson, G.W. Genotyping of Porcine teschovirus from nervous tissue of pigs with and without polioencephalomyelitis in Indiana. J. Vet. Diagn. Investig. 2010, 22, 594–597. [Google Scholar] [CrossRef] [PubMed]
- Hartmann, W. Foreign animal disease diagnostician investigation of a disease incident involving a central nervous system (CNS) syndrome in finisher pigs. In Proceedings of the Allen D. Leman Swine Conference, Minneapolis, MN, USA, 17 September 2005. [Google Scholar]
- Dunne, H.W.; Wang, J.T.; Ammerman, E.H. Classification of North american porcine enteroviruses: A comparison with European and Japanese strains 1. Infect. Immun. 1971, 4, 619–631. [Google Scholar] [PubMed]
- Deng, M.Y.; Millien, M.; Jacques-Simon, R.; Flanagan, J.K.; Bracht, A.J.; Carrillo, C.; Barrette, R.W.; Fabian, A.; Mohamed, F.; Moran, K.; et al. Diagnosis of Porcine teschovirus encephalomyelitis in the Republic of Haiti. J. Vet. Diagn. Investig. 2012, 24, 671–678. [Google Scholar] [CrossRef] [PubMed]
- Ventura, A.; Gonzalez, W.; Barrette, R.; Swenson, S.; Bracht, A.; Rowland, J.; Fabian, A.; Moran, K.; Mohamed, F.; O’Hearn, E.; et al. Virus and antibody diagnostics for swine samples of the Dominican Republic collected in regions near the border to Haiti. ISRN Virol. 2013, 2013, 425831. [Google Scholar] [CrossRef][Green Version]
- Salles, M.W.; Scholes, S.F.; Dauber, M.; Strebelow, G.; Wojnarowicz, C.; Hassard, L.; Acton, A.C.; Bollinger, T.K. Porcine teschovirus polioencephalomyelitis in western Canada. J. Vet. Diagn. Investig. 2011, 23, 367–373. [Google Scholar] [CrossRef] [PubMed]
- Knowles, N.J.; Buckley, L.S.; Pereira, H.G. Classification of porcine enteroviruses by antigenic analysis and cytopathic effects in tissue culture: Description of 3 new serotypes. Arch. Virol. 1979, 62, 201–208. [Google Scholar] [CrossRef] [PubMed]
- Auerbach, J.; Prager, D.; Neuhaus, S.; Loss, U.; Witte, K.H. Grouping of porcine enteroviruses by indirect immunofluorescence and description of two new serotypes. Zentralbl. Veterinärmed. Reihe B 1994, 41, 277–282. [Google Scholar] [CrossRef]
- Doherty, M.; Todd, D.; McFerran, N.; Hoey, E.M. Sequence analysis of a porcine enterovirus serotype 1 isolate: Relationships with other picornaviruses. J. Gen. Virol. 1999, 80, 1929–1941. [Google Scholar] [CrossRef] [PubMed]
- Zell, R.; Krumbholz, A.; Henke, A.; Birch-Hirschfeld, E.; Stelzner, A.; Doherty, M.; Hoey, E.; Dauber, M.; Prager, D.; Wurm, R. Detection of porcine enteroviruses by nRT-PCR: Differentiation of CPE groups I-III with specific primer sets. J. Virol. Methods 2000, 88, 205–218. [Google Scholar] [CrossRef]
- Kaku, Y.; Sarai, A.; Murakami, Y. Genetic reclassification of porcine enteroviruses. J. Gen. Virol. 2001, 82, 417–424. [Google Scholar] [CrossRef] [PubMed]
- Zell, R.; Dauber, M.; Krumbholz, A.; Henke, A.; Birch-Hirschfeld, E.; Stelzner, A.; Prager, D.; Wurm, R. Porcine teschoviruses comprise at least eleven distinct serotypes: Molecular and evolutionary aspects. J. Virol. 2001, 75, 1620–1631. [Google Scholar] [CrossRef] [PubMed]
- Cano-Gomez, C.; Palero, F.; Buitrago, M.D.; Garcia-Casado, M.A.; Fernandez-Pinero, J.; Fernandez-Pacheco, P.; Aguero, M.; Gomez-Tejedor, C.; Jimenez-Clavero, M.A. Analyzing the genetic diversity of teschoviruses in Spanish pig populations using complete VP1 sequences. Infect. Genet. Evol. 2011, 11, 2144–2150. [Google Scholar] [CrossRef] [PubMed]
- Boros, A.; Nemes, C.; Pankovics, P.; Kapusinszky, B.; Delwart, E.; Reuter, G. Porcine teschovirus in wild boars in Hungary. Arch. Virol. 2012, 157, 1573–1578. [Google Scholar] [CrossRef] [PubMed]
- Jimenez-Clavero, M.A.; Fernandez, C.; Ortiz, J.A.; Pro, J.; Carbonell, G.; Tarazona, J.V.; Roblas, N.; Ley, V. Teschoviruses as indicators of porcine fecal contamination of surface water. Appl. Environ. Microbiol. 2003, 69, 6311–6315. [Google Scholar] [CrossRef] [PubMed]
- Buitrago, D.; Cano-Gomez, C.; Aguero, M.; Fernandez-Pacheco, P.; Gomez-Tejedor, C.; Jimenez-Clavero, M.A. A survey of porcine picornaviruses and adenoviruses in fecal samples in Spain. J. Vet. Diagn. Investig. 2010, 22, 763–766. [Google Scholar] [CrossRef] [PubMed]
- Boros, Á.; Pankovics, P.; Reuter, G. Characterization of a novel porcine enterovirus in domestic pig in Hungary. Infect. Genet. Evol. 2011, 11, 1096–1102. [Google Scholar] [CrossRef] [PubMed]
- Haack, S.K.; Duris, J.W.; Kolpin, D.W.; Fogarty, L.R.; Johnson, H.E.; Gibson, K.E.; Focazio, M.; Schwab, K.J.; Hubbard, L.E.; Foreman, W.T. Genes indicative of zoonotic and swine pathogens are persistent in stream water and sediment following a swine manure spill. Appl. Environ. Microbiol. 2015, 81, 3430–3441. [Google Scholar] [CrossRef] [PubMed]
- Chen, Q.; Gauger, P.C.; Stafne, M.R.; Thomas, J.T.; Madson, D.M.; Huang, H.; Zheng, Y.; Li, G.; Zhang, J. Pathogenesis comparison between the United States porcine epidemic diarrhoea virus prototype and S-INDEL-variant strains in conventional neonatal piglets. J. Gen. Virol. 2016, 97, 1107–1121. [Google Scholar] [CrossRef] [PubMed]
- Chen, Q.; Li, G.; Stasko, J.; Thomas, J.T.; Stensland, W.R.; Pillatzki, A.E.; Gauger, P.C.; Schwartz, K.J.; Madson, D.; Yoon, K.J.; et al. Isolation and characterization of porcine epidemic diarrhea viruses associated with the 2013 disease outbreak among swine in the United States. J. Clin. Microbiol. 2014, 52, 234–243. [Google Scholar] [CrossRef] [PubMed]
- Li, H. Aligning sequence reads, clone sequences and assembly contigs with BWA-MEM. arXiv, 2013; arXiv:1303.3997v2. [Google Scholar]
- Zhang, J.; Zheng, Y.; Xia, X.Q.; Chen, Q.; Bade, S.A.; Yoon, K.J.; Harmon, K.M.; Gauger, P.C.; Main, R.G.; Li, G. High-throughput whole genome sequencing of porcine reproductive and respiratory syndrome virus from cell culture materials and clinical specimens using next-generation sequencing technology. J. Vet. Diagn. Investig. 2017, 29, 41–50. [Google Scholar] [CrossRef] [PubMed]
- Simpson, J.T.; Wong, K.; Jackman, S.D.; Schein, J.E.; Jones, S.J.; Birol, İ. Abyss: A parallel assembler for short read sequence data. Genome Res. 2009, 19, 1117–1123. [Google Scholar] [CrossRef] [PubMed]
- Williams, C.R. Focus on Genome Research; Nova Biomedical Books: New York, NY, USA, 2004; pp. 39–80. [Google Scholar]
- Villanova, F.; Cui, S.; Ai, X.; Leal, E. Analysis of full-length genomes of porcine teschovirus (PTV) and the effect of purifying selection on phylogenetic trees. Arch. Virol. 2016, 161, 1199–1208. [Google Scholar] [CrossRef] [PubMed]
- Long, J.F.; Koestner, A.; Kasza, L. Infectivity of three porcine polioencephalomyelitis viruses for germfree and pathogen-free pigs. Am. J. Vet. Res. 1966, 27, 274–279. [Google Scholar] [PubMed]
- Hahnefeld, H.; Hahnefled, E.; Wittig, W. Talfan disease der Schweine in Deutschland. 1. Isolierung und Charakterisierung von Teschenvirus Subtyp Talfan bei Saugferkeln im Bezirk Dresden. Arch. Exp. Veterinarmed. 1965, 19, 185–218. [Google Scholar]


| Groups | Inoculum | Passage | No. of Animals | Route of Inoculation |
|---|---|---|---|---|
| Control | Cell culture media 1 | - | 4 | Intravenous |
| PTV-2 | 106 TCID50 PTV-2 | 8 | 7 | Intravenous |
| PTV-11 | 106 TCID50 PTV-11 | 7 | 7 | Intravenous |
| Score | Mentation | Ambulation Score |
|---|---|---|
| 0 | Normal | Normal |
| 1 | Reduction in alertness | Mild incoordination of rear legs |
| 2 | Marked depression and head tilt | Intermittent ataxia of rear legs |
| 3 | 2 plus seizures or opisthotonus | Anterior and/or posterior ataxia ± knuckling |
| 4 | 3 plus events of seizures and opisthotonus | Posterior paresis, paralysis or quadriparesis |
| Score | No. of Cell Layers in Virchow-Robin Spaces | Areas of Gliosis |
|---|---|---|
| 0 | None | None |
| 1 | 1 | 1–2 foci |
| 2 | 2 | 3–4 foci |
| 3 | 3 | >4 foci |
| 4 | >3 | - |
| Inoculum | Animal ID | Mentation Score | Ambulation Score 1 | Ambulation Score by DPI 2 | Diarrhea | ||||||||||
|---|---|---|---|---|---|---|---|---|---|---|---|---|---|---|---|
| 1 | 3 | 5 | 7 | 9 | 11 | 13 | 15 | 17 | 19 | 21 | |||||
| PTV-2 | 61 | 0 | 2 | 0 | 0 | 0 | 0 | 0 | 0 | 0 | 1 | 2 | 2 | 0 * | + |
| 67 | 0 | 0 | 0 | 0 | 0 | 0 | 0 | 0 * | - | - | - | - | - | - | |
| 68 | 0 | 2 | 0 | 0 | 0 | 0 | 0 | 0 | 0 | 1 | 2 | 1 | 0 * | - | |
| 72 | 0 | 3 | 0 | 0 | 0 | 0 | 0 | 0 | 2 | 3 * | - | - | - | + | |
| 73 | 0 | 2 | 0 | 0 | 0 | 0 | 0 | 0 | 0 | 2 | 2 | 0 | 0* | + | |
| 74 | 0 | 0 | 0 | 0 | 0 | 0 | 0 | 0 * | - | - | - | - | - | + | |
| 76 | 0 | 0 | 0 | 0 | 0 | 0 | 0 | 0 | 0 | 0 | 0 | 0 | 0 * | + | |
| PTV-11 | 64 | 0 | 2 | 0 | 0 | 0 | 0 | 0 | 2 | 2 | 2 | 2 | 2 | 2 * | + |
| 65 | 0 | 3 | 0 | 0 | 0 | 0 | 0 | 3 * | - | - | - | - | - | + | |
| 70 | 0 | 4 | 0 | 0 | 0 | 0 | 2 | 4 * | - | - | - | - | - | + | |
| 71 | 0 | 2 | 0 | 0 | 0 | 0 | 2 | 0 | 0 | 0 | 0 | 0 | 0 * | + | |
| 75 | 0 | 4 | 0 | 0 | 0 | 0 | 2 | 4 * | - | - | - | - | - | + | |
| 77 | 0 | 4 | 0 | 0 | 0 | 0 | 2 | 4 * | - | - | - | - | - | + | |
| 78 | 0 | 3 | 0 | 0 | 0 | 0 | 0 | 3 | 3 | 3 | 3 | 2 | 2 * | + | |
| Location | Severity Score | Distribution | |||
|---|---|---|---|---|---|
| Control | PTV-2 | PTV-11 | PTV-2 | PTV-11 | |
| Spinal ganglia | 0 | 3 | 3 | 100% | 100% |
| Cervical spinal cord | 0 | 4 | 5 | 100% | 100% |
| Thoracic spinal cord | 0 | 3 | 5 | 100% | 100% |
| Lumbar spinal cord | 0 | 5 | 6 | 100% | 100% |
| Sciatic nerve | 0 | 0 | 0 | 0% | 0% |
| Obex | 0 | 4 | 6 | 100% | 100% |
| Pons | 0 | 4 | 5 | 100% | 100% |
| Midbrain | 0 | 4 | 5 | 100% | 100% |
| Cerebrum plus diencephalon | 0 | 2 | 4 | 86% | 71% |
| Cerebellum | 0 | 1 | 3 | 57% | 71% |
| Front cortex | 0 | 1 | 2 | 57% | 71% |
| Inoculum | Animal No. | Necropsy DPI | PCR (CT) 1 | SVN DPI 2 | |||
|---|---|---|---|---|---|---|---|
| Feces | CNS | 0 | 11 | 21 | |||
| Cell Media 3 | 62 | 21 | 0 | 0 | |||
| 63 | 21 | 0 | 0 | ||||
| 66 | 11 | 0 | 0 | - | |||
| 69 | 11 | 0 | 0 | - | |||
| PTV-2 | 61 | 21 | 26.16 | 33.26 | 1/16 | ||
| 67 | 11 | 18.23 | 27.84 | 1/16 | - | ||
| 68 | 21 | 26.24 | 31.69 | 1/32 | 1/16 | ||
| 72 | 16 | 18.72 | 30.53 | 1/16 | - | ||
| 73 | 21 | 22.62 | 32.46 | 1/16 | 1/32 | ||
| 74 | 11 | 18.79 | 26.95 | 1/16 | - | ||
| 76 | 21 | 24.78 | 28.67 | 1/16 | 1/16 | ||
| PTV-11 | 64 | 21 | 21.75 | 31.97 | 1/64 | 1/64 | |
| 65 | 11 | 18.59 | 26.23 | 1/64 | - | ||
| 70 | 11 | 17.78 | 24.43 | 1/32 | - | ||
| 71 | 21 | 21.64 | 31.38 | 1/32 | 1/64 | ||
| 75 | 11 | 18.57 | 24.62 | 1/128 | - | ||
| 77 | 11 | 20.0 | 24.48 | 1/32 | - | ||
| 78 | 21 | 21.92 | 32.01 | 1/16 | 1/32 | ||
| Inoculum | Animal ID | CPE P0 | CPE P1 | IFA P1 | PCR 1 |
|---|---|---|---|---|---|
| PTV-2 | 61 | + | + | + | 33.87 |
| 67 | + | + | + | 18.36 | |
| 68 | + | + | + | 35.13 | |
| 72 | + | + | + | 31.52 | |
| 73 | + | + | + | 33.13 | |
| 74 | + | + | + | 22.11 | |
| 76 | + | + | + | 31.85 | |
| PTV-11 | 64 | + | + | + | 34.2 |
| 65 | + | + | + | 28.78 | |
| 70 | + | + | + | 28.42 | |
| 71 | + | + | + | 21.57 | |
| 75 | + | + | + | 28.03 | |
| 77 | + | + | + | 28.14 | |
| 78 | + | + | + | 34.08 |
© 2017 by the authors. Licensee MDPI, Basel, Switzerland. This article is an open access article distributed under the terms and conditions of the Creative Commons Attribution (CC BY) license (http://creativecommons.org/licenses/by/4.0/).
Share and Cite
Matias Ferreyra, F.; Arruda, B.; Stevenson, G.; Schwartz, K.; Madson, D.; Yoon, K.-J.; Zhang, J.; Piñeyro, P.; Chen, Q.; Arruda, P. Development of Polioencephalomyelitis in Cesarean-Derived Colostrum-Deprived Pigs Following Experimental Inoculation with Either Teschovirus A Serotype 2 or Serotype 11. Viruses 2017, 9, 179. https://doi.org/10.3390/v9070179
Matias Ferreyra F, Arruda B, Stevenson G, Schwartz K, Madson D, Yoon K-J, Zhang J, Piñeyro P, Chen Q, Arruda P. Development of Polioencephalomyelitis in Cesarean-Derived Colostrum-Deprived Pigs Following Experimental Inoculation with Either Teschovirus A Serotype 2 or Serotype 11. Viruses. 2017; 9(7):179. https://doi.org/10.3390/v9070179
Chicago/Turabian StyleMatias Ferreyra, Franco, Bailey Arruda, Gregory Stevenson, Kent Schwartz, Darin Madson, Kyoung-Jin Yoon, Jianqiang Zhang, Pablo Piñeyro, Qi Chen, and Paulo Arruda. 2017. "Development of Polioencephalomyelitis in Cesarean-Derived Colostrum-Deprived Pigs Following Experimental Inoculation with Either Teschovirus A Serotype 2 or Serotype 11" Viruses 9, no. 7: 179. https://doi.org/10.3390/v9070179
APA StyleMatias Ferreyra, F., Arruda, B., Stevenson, G., Schwartz, K., Madson, D., Yoon, K.-J., Zhang, J., Piñeyro, P., Chen, Q., & Arruda, P. (2017). Development of Polioencephalomyelitis in Cesarean-Derived Colostrum-Deprived Pigs Following Experimental Inoculation with Either Teschovirus A Serotype 2 or Serotype 11. Viruses, 9(7), 179. https://doi.org/10.3390/v9070179

