Recombinant Sheep Pox Virus Proteins Elicit Neutralizing Antibodies
Abstract
:1. Introduction
2. Materials and Methods
2.1. Viruses
2.2. Cloning of SPPV Genes
2.3. Gene Expression, Protein Extraction, Purification, and Raising Specific Antibodies
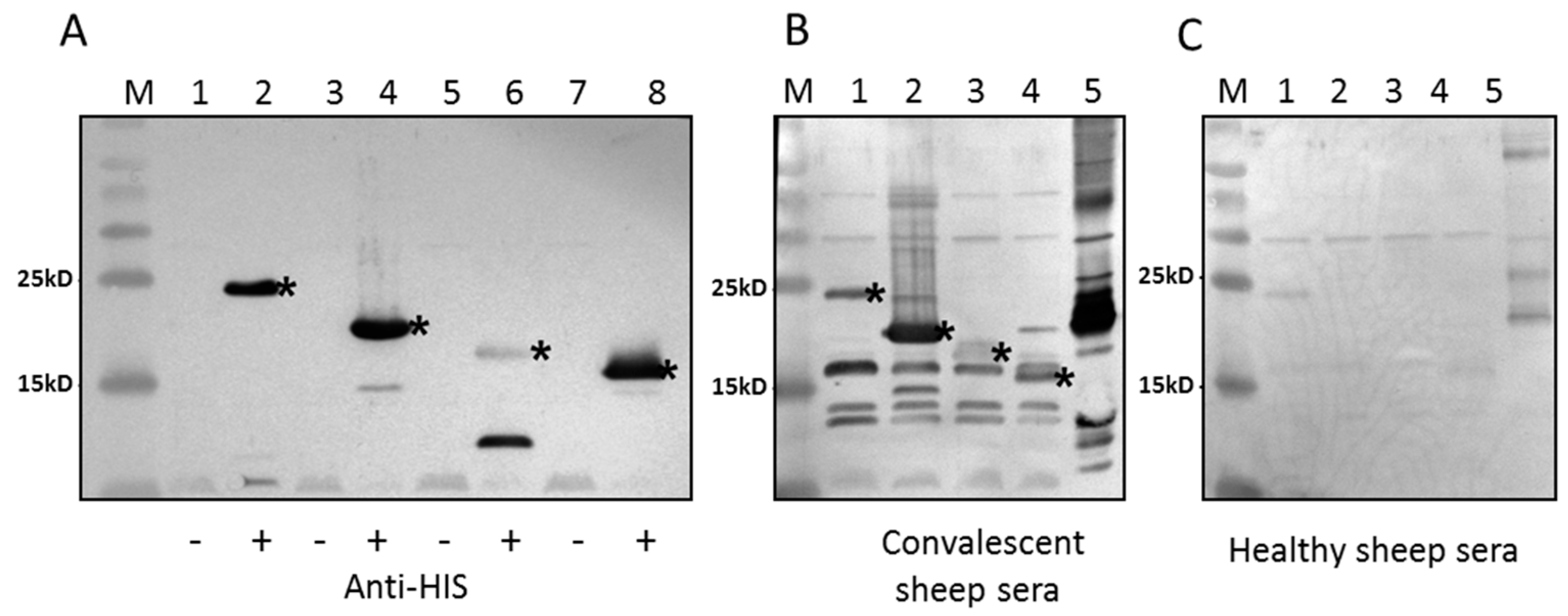
2.4. Western Blot Analysis
2.5. Virus Neutralization Studies
2.6. Light Microscopy
3. Results
3.1. Gene Expression and Purification of Recombinant Proteins
3.2. Immunodetection of Recombinant Proteins
3.3. Neutralization Assays of Polyclonal Antibodies Raised to the Recombinant Proteins
4. Discussion
5. Conclusions
Acknowledgments
Author Contributions
Conflicts of Interest
References
- Carn, V. Control of capripoxvirus infections. Vaccine 1993, 11, 1275–1279. [Google Scholar] [CrossRef]
- World Animal Health. Reports on the Animal Health Status and Disease Control Methods and Lists of Disease Outbreaks; Statistics O.I.E.: Paris, France, 1996. [Google Scholar]
- Mangana-Vougiouka, O.; Markoulatos, P.; Koptopoulos, G.; Nomikou, K.; Bakandritsos, N.; Papadopoulos, P. Sheep poxvirus identification from clinical specimens by PCR, cell culture, immunofluorescence and agar gel immunoprecipitation assay. Mol. Cell. Probes 2000, 14, 305–310. [Google Scholar] [CrossRef] [PubMed]
- The Center for Food Security and Public Health. 2008. Available online: http://www.cfsph.iastate.edu/Factsheets/pdfs/sheep_and_goat_pox.pdf (accessed on 2 June 2016).
- Babiuk, S.; Bowden, T.R.; Boyle, D.B.; Wallace, D.B.; Kitching, R.P. Capripoxviruses: An emerging worldwide threat to sheep, goats and cattle. Transbound. Emerg. Dis. 2008, 55, 263–272. [Google Scholar] [CrossRef] [PubMed]
- Kitching, R.P.; Bhatt, P.P.; Black, D.N. The characterization of African strains of capripoxvirus. Epidemiol. Infect. 1989, 102, 335–343. [Google Scholar] [CrossRef] [PubMed]
- Ivanyushchenkov, V.N.; Koreba, O.A.; Kekukh, V.G. Biological characterization of the sheep pox virus strain “NISKhI”. Veterinariya 1990, 8, 22–24. [Google Scholar]
- Kurchenko, F.P.; Ivanyushchenkov, V.N.; Ufimtsev, K.P.; Alekhin, A.F.; Gononov, Y.M.; Seytkasymov, B.K.; Kutumbetov, L.B.; Safonov, G.A.; Tatarintcev, N.T. Efficacy of the dried virus vaccine based on the sheep pox virus strain “NISKhI”. Veterinariya 1991, 10, 21–23. [Google Scholar]
- Yeruham, I.; Perl, S.; Nyska, A.; Abraham, A.; Davidson, M.; Haymovich, M.; Zamir, O.; Grinstein, H. Adverse reactions in cattle to a capripox vaccine. Vet. Rec. 1994, 135, 330–332. [Google Scholar] [CrossRef] [PubMed]
- Beard, C.W.; Mason, P.W. Out on the farm with DNA vaccines. Nat. Biotechnol. 1998, 16, 1325–1328. [Google Scholar] [CrossRef] [PubMed]
- Ghendon, Y. Progress in development of viral polynucleotide (DNA) vaccines. Vopr. Virusol. 1999, 4, 148–154. [Google Scholar]
- Rao, T.V.; Bandyopadhyay, S.K. A comprehensive review of goat pox and sheep pox and their diagnosis. Anim. Health Res. Rev. 2000, 1, 127–136. [Google Scholar] [CrossRef] [PubMed]
- Tkachyov, S.E.; Mitrofanova, E.E.; Maximova, T.G.; Bakhvalova, V.N.; Vlasov, V.V.; Morozova, O.V. Comparative analysis of the protective effect of DNA-vaccines with different genes of tick-borne encephalitis virus. Immunologiya 2000, 3, 26–29. [Google Scholar]
- Lebedev, L.R.; Goncharova, E.P.; Sizov, A.A.; Bulychev, L.E.; Odegov, A.M.; Ryzhikov, A.B. Molecular constructs of experimental combined vaccines. Mol. Genet. Mikrobiol. Virusol. 2002, 1, 17–20. [Google Scholar]
- Berhe, G.; Minet, C.; Le Goff, C.; Barrett, T.; Ngangnou, A.; Grillet, C.; Libeau, G.; Fleming, M.; Black, D.N.; Diallo, A. Development of a dual recombinant vaccine to protect small ruminants against peste-des-petits-ruminants virus and capripoxvirus infections. J. Virol. 2003, 77, 1571–1577. [Google Scholar] [CrossRef] [PubMed]
- Zheng, M.; Jin, N.; Liu, Q.; Huo, A.; Li, Y.; Hu, B.; Ma, H.; Zhu, Z.; Cong, Y.; Li, X.; et al. Immunogenicity and protective efficacy of Semliki forest virus replicon-based DNA vaccines encoding goatpox virus structural proteins. Virology 2009, 391, 33–43. [Google Scholar] [CrossRef] [PubMed]
- Pacchioni, S.M.; Bissa, M.; Zanotto, C.; Morghen, C.D.G.; Illiano, E.; Radaelli, A. L1R, A27L, A33R, and B5R vaccinia virus genes expressed by fowlpox recombinants as putative novel orthopoxvirus vaccines. J. Transl. Med. 2013, 11, 95. [Google Scholar] [CrossRef] [PubMed]
- Tulman, E.R.; Alfonso, C.L.; Lu, Z.; Zsak, L.; Sur, J.-H.; Sandybaev, N.T.; Kerembekova, U.Z.; Zaitsev, V.L.; Kutish, G.F.; Rock, D.L. The genomes of sheeppox and goatpox viruses. J. Virol. 2002, 76, 6054–6061. [Google Scholar] [CrossRef] [PubMed]
- Betakova, T.W.; Wolffe, E.J.; Moss, B. The vaccinia virus A14.5L gene encodes a hydrophobic 53-amino-acid virion membrane protein that enhances virulence in mice and is conserved among vertebrate poxviruses. J. Virol. 2000, 7, 4085–4092. [Google Scholar] [CrossRef]
- Chertov, O.; Telezhinskaya, I.N.; Zaitseva, E.V.; Golubeva, T.B.; Zinov’ev, V.V.; Ovechkina, L.G.; Mazkova, L.B.; Malygin, E.G. Amino acid sequence determination of vaccinia virus immunodominant protein p35 and identification of the gene. Biomed. Sci. 1991, 2, 151–154. [Google Scholar] [PubMed]
- Franke, C.A.; Wilson, E.M.; Hruby, D.E. Use of a cell-free system to identify the vaccinia virus L1R gene product as the major late myristylated virion protein M25. J. Virol. 1990, 64, 5988–5996. [Google Scholar] [PubMed]
- Niles, E.G.; Seto, J. Vaccinia virus gene D8 encodes a virion transmembrane protein. J. Virol. 1988, 62, 3772–3778. [Google Scholar] [PubMed]
- Rodriguez, J.F.; Esteban, M. Mapping and nucleotide sequence of the vaccinia virus gene that encodes a 14-kilodalton fusion protein. J. Virol. 1987, 61, 3550–3554. [Google Scholar] [PubMed]
- Salmons, T.; Kuhn, A.; Wylie, F.; Schleich, S.; Rodriguez, J.R.; Rodriguez, D.; Esteban, M.; Griffiths, G.; Locker, J.K. Vaccinia virus membrane proteins p8 and p16 are cotranslationally inserted into the rough endoplasmic reticulum and retained in the intermediate compartment. J. Virol. 1997, 71, 7404–7420. [Google Scholar] [PubMed]
- Senkevich, T.G.; Weisberg, A.S.; Moss, B. Vaccinia virus E10R protein is associated with the membranes of intracellular mature virions and has a role in morphogenesis. Virology 2000, 278, 244–252. [Google Scholar] [CrossRef] [PubMed]
- Takahashi, T.; Oie, M.; Ichihashi, Y. N-terminal amino acid sequences of vaccinia virus structural proteins. Virology 1994, 202, 844–852. [Google Scholar] [CrossRef] [PubMed]
- Yeh, W.W.; Moss, B.; Wolffe, E.J. The vaccinia virus A9L gene encodes a membrane protein required for an early step in virion morphogenesis. J. Virol. 2000, 74, 9701–9711. [Google Scholar] [CrossRef] [PubMed]
- Duncan, S.A.; Smith, G.L. Identification and characterization of an extracellular envelope glycoprotein affecting vaccinia virus egress. J. Virol. 1992, 66, 1610–1621. [Google Scholar] [PubMed]
- Engelstad, M.; Smith, G.L. The vaccinia virus 42-kDa envelope protein is required for the envelopment and egress of extracellular virus and for virus virulence. Virology 1993, 194, 627–637. [Google Scholar] [CrossRef] [PubMed]
- Hirt, P.; Hiller, G.; Wittek, R. Localization and fine structure of a vaccinia virus gene encoding an envelope antigen. J. Virol. 1986, 58, 757–764. [Google Scholar] [PubMed]
- Isaacs, S.N.; Wolffe, E.J.; Payne, L.G.; Moss, B. Characterization of a vaccinia virus-encoded 42-kilodalton class I membrane glycoprotein component of the extracellular virus envelope. J. Virol. 1992, 66, 7217–7224. [Google Scholar] [PubMed]
- Roper, R.; Wolffe, E.J.; Weisberg, A.; Moss, B. The envelope protein encoded by the A33R gene is required for formation of actin-containing microvilli and efficient cell-to-cell spread of vaccinia virus. J. Virol. 1998, 72, 4192–4204. [Google Scholar] [PubMed]
- Shida, H. Nucleotide sequence of the vaccinia virus hemagglutinin gene. Virology 1986, 150, 451–462. [Google Scholar] [CrossRef]
- Moss, B. Poxvirus cell entry: How many proteins does it take? Viruses 2012, 4, 688–707. [Google Scholar] [CrossRef] [PubMed]
- Malik, Y.P.S.; Chand, P. Detection and characterization of soluble proteins of sheep pox virus. Indian J. Anim. Sci. 2010, 80, 707–710. [Google Scholar]
- Pandey, R.; Singh, I.P. Soluble antigens of sheep pox and goat pox viruses as determined by immunodiffusion in agar gel. Acta Virol. 1972, 16, 41–46. [Google Scholar] [PubMed]
- Subba Rao, M.V.; Malik, B.S. Application of electroimmunodiffusion test for detection of antigenic relationship between sheeppox and goatpox viruses. Acta Virol. 1983, 27, 177–179. [Google Scholar] [PubMed]
- Sambyal, D.S.; Singh, I.P. Immunogenicity of soluble antigens of sheep pox virus. Indian J. Anim. Sci. 1978, 48, 511–514. [Google Scholar]
- Bhanot, V.; Balamurugan, V.; Bhanuprakash, V.; Venkatesan, G.; Sen, A.; Yadav, V.; Yogisharadhya, R.; Singh, R.K. Expression of P32 protein of goatpox virus in Pichia pastoris and its potential use as a diagnostic antigen in ELISA. J. Virol. Methods 2009, 162, 251–257. [Google Scholar] [CrossRef] [PubMed]
- Bowden, T.C. Detection of antibodies specific for sheeppox and goatpox viruses using recombinant capripoxvirus antigens in an indirect enzyme-linked immunosorbent assay. J. Virol. Methods 2009, 161, 19–29. [Google Scholar] [CrossRef] [PubMed]
- Carn, V.M.; Kitching, R.P.; Hammond, J.M.; Chand, P. Use of a recombinant antigen in an indirect ELISA for detecting bovine antibody to capripoxvirus. J. Virol. Methods 1994, 49, 285–294. [Google Scholar] [CrossRef]
- Hein, H.G.; Stevens, M.P.; Foord, A.J.; Boyle, D.B. A capripoxvirus detection PCR and antibody ELISA based on the major antigen P32, the homolog of the vaccinia virus H3L gene. J. Immunol. Methods 1999, 227, 187–196. [Google Scholar] [CrossRef]
- Krogh, A.; Larsson, B.; von Heijne, G.; Sonnhammer, E.L.L. Predicting transmembrane protein topology with a hidden Markov model: Application to complete genomes. J. Mol. Biol. 2001, 305, 567–580. [Google Scholar] [CrossRef] [PubMed]
- Madden, T. The BLAST Sequence Analysis Tool. In The NCBI Handbook [Internet], 2nd ed.Bethesda (MD): National Center for Biotechnology Information (US), 2013. Available from: http://www.ncbi.nlm.nih.gov/books/NBK153387/ (accessed on 2 June 2016). [Google Scholar]
- Ramirez, J.C.; Tapia, E.; Esteban, M. Administration to mice of a monoclonal antibody that neutralizes the intracellular mature virus form of vaccinia virus limits virus replication efficiently under prophylactic and therapeutic conditions. J. Gen. Virol. 2002, 83, 1059–1067. [Google Scholar] [CrossRef] [PubMed]
- Rodriguez, J.F.; Smith, G.L. Inducible gene expression from vaccinia virus vectors. Virology 1990, 177, 239–250. [Google Scholar] [CrossRef]
- Hsiao, J.C.; Chung, C.S.; Chang, W. Vaccinia virus envelope D8L protein binds to cell surface chondroitin sulfate and mediates the adsorption of intracellular mature virions to cells. J. Virol. 1999, 73, 8750–8761. [Google Scholar] [PubMed]
- Davies, D.H.; McCausland, M.M.; Valdez, C.; Huynh, D.; Hernandez, J.E.; Mu, Y.; Hirst, S.; Villarreal, L.; Felgner, P.L.; Crotty, S. Vaccinia virus H3L envelope protein is a major target of neutralizing antibodies in humans and elicits protection against lethal challenge in mice. J. Virol. 2005, 79, 11724–11733. [Google Scholar] [CrossRef] [PubMed]
- Lin, C.L.; Chung, C.S.; Heine, H.G.; Chang, W. Vaccinia virus envelope H3L protein binds to cell surface heparin sulfate and is important for intracellular mature virion morphogenesis and virus infection in vitro and in vivo. J. Virol. 2000, 74, 3353–3365. [Google Scholar] [CrossRef] [PubMed]
- Ichihashi, Y.; Oie, M. Neutralizing epitope on penetration protein of vaccinia virus. Virology 1996, 220, 491–494. [Google Scholar] [CrossRef] [PubMed]
- Shinoda, K.; Wyatt, L.S.; Irvine, K.R.; Moss, B. Engineering the vaccinia virus L1 protein for increased neutralizing antibody response after DNA immunization. Virol. J. 2009, 6, 28. [Google Scholar] [CrossRef] [PubMed]
- Wolffe, E.J.; Vijaya, S.; Moss, B. A myristylated membrane protein encoded by the vaccinia virus L1R open reading frame is the target of potent neutralizing monoclonal antibodies. Virology 1995, 211, 53–63. [Google Scholar] [CrossRef] [PubMed]
- Engelstad, M.; Howard, S.T.; Smith, G.L. A constitutively expressed vaccinia gene encodes a 42-kDa glycoprotein related to complement control factors that forms part of the extracellular virus envelope. Virology 1992, 188, 801–810. [Google Scholar] [CrossRef]
- Law, M.; Smith, G.L. Antibody neutralization of the extracellular enveloped form of vaccinia virus. Virology 2001, 280, 132–142. [Google Scholar] [CrossRef] [PubMed]
- Fogg, C.N.; Americo, J.L.; Lustig, S.; Huggins, J.W.; Smith, S.K.; Damon, I.; Resch, W.; Earl, P.L.; Klinman, D.M.; Moss, B. Adjuvant-enhanced antibody responses to recombinant proteins correlates with protection of mice and monkeys to orthopoxvirus challenges. Vaccine 2007, 25, 2787–2799. [Google Scholar] [CrossRef] [PubMed]
- Hooper, J.W.; Custer, D.M.; Thompson, E. Four-gene-combination DNA vaccine protects mice against a lethal vaccinia virus challenge and elicits appropriate antibody responses in nonhuman primates. Virology 2003, 306, 181–195. [Google Scholar] [CrossRef]
- Demkowicz, W.E.; Maa, J.S.; Esteban, M. Identification and characterization of vaccinia virus genes encoding proteins that are highly antigenic in animals and are immunodominant in vaccinated humans. J. Virol. 1992, 66, 386–398. [Google Scholar] [PubMed]
- Madhaven, V.; Bhatt, F.; Jeffery, C.J. Recombinant expression screening of P. aeruginosa bacterial inner membrane proteins. BMC Biotechnol. 2010, 10, 83. [Google Scholar] [CrossRef] [PubMed]
- Sahdev, S.; Khattar, S.K.; Saini, K.S. Production of active eukaryotic proteins through bacterial expression systems: A review of the existing biotechnology strategies. Mol. Cell. Biochem. 2008, 307, 249–264. [Google Scholar] [CrossRef] [PubMed]
- Berhanu, A.; Wilson, R.L.; Kirkwood-Watts, D.L.; King, D.S.; Warren, T.K.; Lund, S.A.; Brown, L.L.; Krupkin, A.K.; VanderMay, E.; Weimers, W.; et al. Vaccination of BALB/c mice with Escherichia coli-expressed vaccinia virus proteins A27L, B5R, and D8L protects mice from lethal vaccinia virus challenge. J. Virol. 2008, 82, 3517–3529. [Google Scholar] [CrossRef] [PubMed]
- Galmiche, M.C.; Goenaga, J.; Wittek, R.; Rindisbacher, L. Neutralizing and protective antibodies directed against vaccinia virus envelope antigens. Virology 1999, 254, 71–80. [Google Scholar] [CrossRef] [PubMed]
- Rodriguez, J.F.; Paez, E.; Esteban, M. A 14,000-Mr envelope protein of vaccinia virus is involved in cell fusion and forms covalently linked trimers. J. Virol. 1987, 61, 395–404. [Google Scholar] [PubMed]
- Lai, C.F.; Gong, S.C.; Esteban, M. The purified 14-kilodalton envelope protein of vaccinia virus produced in Escherichia coli induces virus immunity in animals. J. Virol. 1991, 65, 5631–5635. [Google Scholar] [PubMed]
- Fogg, C.; Lustig, S.; Whitbeck, J.C.; Eisenberg, R.J.; Cohen, G.H.; Moss, B. Protective immunity to vaccinia virus induced by vaccination with multiple recombinant outer membrane proteins of intracellular and extracellular virions. J. Virol. 2004, 78, 10230–10237. [Google Scholar] [CrossRef] [PubMed]
- Fogg, C.N.; Americo, J.L.; Earl, P.L.; Resch, W.; Aldaz-Carroll, L.; Eisenberg, R.J.; Cohen, G.H.; Moss, B. Disparity between levels of in vitro neutralization of vaccinia virus by antibody to the A27 protein and protection of mice against intranasal challenge. J. Virol. 2008, 82, 8022–8029. [Google Scholar] [CrossRef] [PubMed]
- Lustig, S.; Fogg, C.; Whitbeck, J.C.; Eisenberg, R.J.; Cohen, G.H.; Moss, B. Combinations of polyclonal or monoclonal antibodies to proteins of the outer membranes of the two infectious forms of vaccinia virus protect mice against a lethal respiratory challenge. J. Virol. 2005, 79, 13454–13462. [Google Scholar] [CrossRef] [PubMed]
- Gubser, C.; Hue, S.; Kellam, P.; Smith, G.L. Poxvirus genomes: A phylogenetic analysis. J. Gen. Virol. 2004, 85, 105–117. [Google Scholar] [CrossRef] [PubMed]
- Earl, P.L.; Americo, J.L.; Wyatt, L.S.; Eller, L.A.; Whitbeck, J.C.; Cohen, G.H.; Eisenberg, R.J.; Hartmann, C.J.; Jackson, D.L.; Kulesh, D.A.; et al. Immunogenicity of a highly attenuated MVA smallpox vaccine and protection against monkeypox. Nature 2004, 428, 182–185. [Google Scholar] [CrossRef] [PubMed]
- Subba Rao, M.V.; Malik, B.S.; Sharma, S.N. Antigenic relationships among sheep pox, goat pox and contagious pustular dermatitis viruses. Acta Virol. 1984, 28, 380–387. [Google Scholar] [PubMed]
- Dashprakash, M.; Venkatesan, G.; Ramakrishnan, M.A.; Muthuchelvan, D.; Sankar, M.; Pandy, A.B.; Mondal, B. Genetic diversity of fusion gene (ORF 117), an analogue of vaccinia virus A27L gene of carpipox virus isolates. Virus Genes 2015, 50, 325–328. [Google Scholar] [CrossRef] [PubMed]
- Orlova, E.S. Improving Methods of Sheep Pox and Goat Pox Diagnosis. Ph.D. Thesis (Biol.Sci.), Federal Centre for Animal Health (FGBI “ARRIAH”), Vladimir, Russia, 2007. [Google Scholar]





| Primer Name | 5′ → 3′ Sequence a | Gene Amplified | Restriction Site |
|---|---|---|---|
| SPPV117-REV | gcatctcgagtcactttagtgttgtaattcttcctgttt | SPPV117 (NP_659689) | XhoI |
| SPPV117-DIR | gcatcatatggacagagagcgttatcaatctttccaggcga | NdeI | |
| SPPV095-DIR | cccatatggacttcatgaaaaaaatatac | SPPV095 (NP_659667) | NdeI |
| SPPV095-REV | gcggccgctttgctgttattatcatcc | NotI | |
| SPPV122-DIR | cccatatgcatcatcatcatcatcataataatacatgtgaattaaatc | SPPV122∆TM (NP_659694) | XhoI |
| SPPV122-REV | ccctcgagttattaaaagttcatcatgaaaaaaagatcttacacagtaata | NdeI | |
| SPPV060-DIR | attcatatggagcagccgctagtatacaaac | SPPV060∆TM (NP_659632) | SacI |
| SPPV060-REV | ctgcgagctctatataaaattgatatccgtatc | NdeI |
| Components | Serum Dilutions | Control | Geometric Average Titer of Neutralizing Antibodies Log2 | |||||||
|---|---|---|---|---|---|---|---|---|---|---|
| 1:2 | 1:4 | 1:8 | 1:16 | 1:32 | 1:64 | Virus (100 TCD50) + Medium | Serum 1:2 + Medium | medium | ||
| Serum to the protein SPPV060 + virus (100 TCD50) | - - - - | - - - - | - - - - | - + + + | + + + + | + + + + | + + + + | - - - - | - - - - | 3.75 |
| Serum to the protein SPPV095 + virus (100 TCD50) | + + + + | + + + + | + + + + | + + + + | + + + + | + + + + | + + + + | - - - - | - - - - | 0.0 |
| Serum to the protein SPPV117 + virus (100 TCD50) | - - - - | - - - - | - - - - | - - + + | + + + + | + + + + | + + + + | - - - - | - - - - | 4.0 |
| Serum to the protein SPPV122 + virus (100 TCD50) | - - - - | - - - - | - - - - | + + + + | + + + + | + + + + | + + + + | - - - - | - - - - | 3.5 |
© 2016 by the authors; licensee MDPI, Basel, Switzerland. This article is an open access article distributed under the terms and conditions of the Creative Commons Attribution (CC-BY) license (http://creativecommons.org/licenses/by/4.0/).
Share and Cite
Chervyakova, O.V.; Zaitsev, V.L.; Iskakov, B.K.; Tailakova, E.T.; Strochkov, V.M.; Sultankulova, K.T.; Sandybayev, N.T.; Stanbekova, G.E.; Beisenov, D.K.; Abduraimov, Y.O.; et al. Recombinant Sheep Pox Virus Proteins Elicit Neutralizing Antibodies. Viruses 2016, 8, 159. https://doi.org/10.3390/v8060159
Chervyakova OV, Zaitsev VL, Iskakov BK, Tailakova ET, Strochkov VM, Sultankulova KT, Sandybayev NT, Stanbekova GE, Beisenov DK, Abduraimov YO, et al. Recombinant Sheep Pox Virus Proteins Elicit Neutralizing Antibodies. Viruses. 2016; 8(6):159. https://doi.org/10.3390/v8060159
Chicago/Turabian StyleChervyakova, Olga V., Valentin L. Zaitsev, Bulat K. Iskakov, Elmira T. Tailakova, Vitaliy M. Strochkov, Kulyaisan T. Sultankulova, Nurlan T. Sandybayev, Gulshan E. Stanbekova, Daniyar K. Beisenov, Yergali O. Abduraimov, and et al. 2016. "Recombinant Sheep Pox Virus Proteins Elicit Neutralizing Antibodies" Viruses 8, no. 6: 159. https://doi.org/10.3390/v8060159
APA StyleChervyakova, O. V., Zaitsev, V. L., Iskakov, B. K., Tailakova, E. T., Strochkov, V. M., Sultankulova, K. T., Sandybayev, N. T., Stanbekova, G. E., Beisenov, D. K., Abduraimov, Y. O., Mambetaliyev, M., Sansyzbay, A. R., Kovalskaya, N. Y., Nemchinov, L. G., & Hammond, R. W. (2016). Recombinant Sheep Pox Virus Proteins Elicit Neutralizing Antibodies. Viruses, 8(6), 159. https://doi.org/10.3390/v8060159

