Newcastle Disease Virus: Potential Therapeutic Application for Human and Canine Lymphoma
Abstract
:1. Introduction
2. Materials and Methods
2.1. Ethical Considerations
2.2. Cells and Culture Conditions
2.3. Newcastle Disease Virus

2.4. Cytotoxicity Assay
2.5. Flow Cytometry
2.6. Spontaneous Canine Lymphoma and Early NDV-MLS in Vivo Distribution
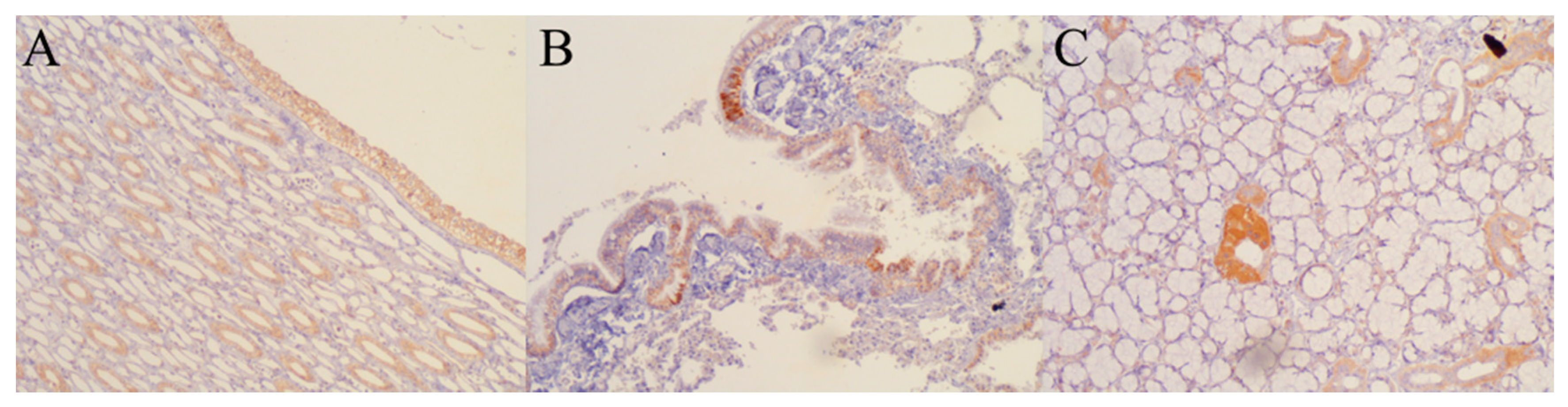
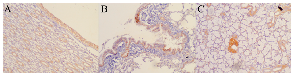
2.7. Post-Mortem Viral Biodistribution Tissue Analysis
2.8. RNA Isolation and Reverse Transcription PCR (RT-PCR)
| Gene | Primer Sequence | Lengh of Product (bp) | 
| NP | FP: 5′-ACCAAACAGAGAATCCGTGAGTTACGATAA-3′ | 527 | 
| RP: 5′-GGAGAGATCCTGCTATCATCGCAAATCT-3′ | 
2.9. Statistical Analysis
3. Results
3.1. Malignant Lymphocytes of Human and Canine Origin Are Selectively Killed by the NDV-MLS


3.2. Peripheral Blood Mononuclear Cells Are Less Sensitive to the NDV-MLS

3.3. Human Non-Malignant B-Cells Are Not Sensitive to the Cytotoxic Effect of the NDV-MLS

3.4. Early Biodistribution Is Not Widespread


| Tissue | RT-PCR | IHC | Tissue | RT-PCR | IHC | 
|---|---|---|---|---|---|
| Kidney | + | + | Pancreas | − | − | 
| Salivary gland | + | + | Adipose tissue | − | − | 
| Stomach | + | − | Colon | − | − | 
| Lung | − | + | Brain | − | − | 
| Cancerous tissues | − | − | Cerebelum | − | − | 
| Striated skeletal muscle | − | − | Adrenal gland | − | − | 
| Fibroadipose tissue | − | − | Cell package | − | − | 
| Nervous package | − | − | Serum | − | − | 
| Liver | − | − | Cerebrospinal fluid | − | − | 
| Squamous mucosa | − | − | 
4. Discussion
5. Conclusions
Acknowledgments
Author Contributions
Conflicts of Interest
References
- Larson, C.; Oronsky, B.; Scicinski, J.; Fanger, G.R.; Stirn, M.; Oronsky, A.; Reid, T.R. Going viral: A review of replication-selective oncolytic adenoviruses. Oncotarget 2015, 6, 19976–19989. [Google Scholar] [CrossRef] [PubMed]
- Zamarin, D.; Pesonen, S. Replication-competent viruses as cancer immunotherapeutics: Emerging clinical data. Hum. Gene Ther. 2015, 26, 538–549. [Google Scholar] [CrossRef] [PubMed]
- Bai, F.; Niu, Z.; Tian, H.; Li, S.; Lv, Z.; Zhang, T.; Ren, G.; Li, D. Genetically engineered Newcastle disease virus expressing interleukin 2 is a potential drug candidate for cancer immunotherapy. Immunol. Lett. 2014, 159, 36–46. [Google Scholar] [CrossRef] [PubMed]
- Zhao, H.; Janke, M.; Fournier, P.; Schirrmacher, V. Recombinant Newcastle disease virus expressing human interleukin-2 serves as a potential candidate for tumor therapy. Virus Res. 2008, 136, 75–80. [Google Scholar] [CrossRef] [PubMed]
- Cuadrado-Castano, S.; Sanchez-Aparicio, M.T.; Garcia-Sastre, A.; Villar, E. The therapeutic effect of death: Newcastle disease virus and its antitumor potential. Virus Res. 2015, 209, 56–66. [Google Scholar] [CrossRef] [PubMed]
- Tzadok-David, Y.; Metzkin-Eizenberg, M.; Zakay-Rones, Z. The effect of a mesogenic and a lentogenic Newcastle disease virus strain on burkitt lymphoma daudi cells. J. Cancer Res. Clin. Oncol. 1995, 121, 169–174. [Google Scholar] [CrossRef] [PubMed]
- Bar-Eli, N.; Giloh, H.; Schlesinger, M.; Zakay-Rones, Z. Preferential cytotoxic effect of Newcastle disease virus on lymphoma cells. J. Cancer Res. Clin. Oncol. 1996, 122, 409–415. [Google Scholar] [CrossRef] [PubMed]
- Gentschev, I.; Patil, S.S.; Petrov, I.; Cappello, J.; Adelfinger, M.; Szalay, A.A. Oncolytic virotherapy of canine and feline cancer. Viruses 2014, 6, 2122–2137. [Google Scholar] [CrossRef] [PubMed]
- IARC: International Agency for Research on Cancer. Available online: http://globocan.iarc.fr/Pages/fact_sheets_population.aspx (accessed on 1 September 2015).
- Vail, D.M.; MacEwen, E.G. Spontaneously occurring tumors of companion animals as models for human cancer. Cancer Investig. 2000, 18, 781–792. [Google Scholar] [CrossRef]
- Ito, D.; Frantz, A.M.; Modiano, J.F. Canine lymphoma as a comparative model for human non-hodgkin lymphoma: Recent progress and applications. Vet. Immunol. Immunopathol. 2014, 159, 192–201. [Google Scholar] [CrossRef] [PubMed]
- Ostrander, E.A.; Franklin, H. Epstein lecture. Both ends of the leash—The human links to good dogs with bad genes. N. Engl. J. Med. 2012, 367, 636–646. [Google Scholar] [CrossRef] [PubMed]
- Rowell, J.L.; McCarthy, D.O.; Alvarez, C.E. Dog models of naturally occurring cancer. Trends Mol. Med. 2011, 17, 380–388. [Google Scholar] [CrossRef] [PubMed]
- Gordon, I.K.; Khanna, C. Modeling opportunities in comparative oncology for drug development. ILAR J. 2010, 51, 214–220. [Google Scholar] [CrossRef] [PubMed]
- Peterson, J.K.; Houghton, P.J. Integrating pharmacology and in vivo cancer models in preclinical and clinical drug development. Eur. J. Cancer 2004, 40, 837–844. [Google Scholar] [CrossRef] [PubMed]
- Marconato, L. The staging and treatment of multicentric high-grade lymphoma in dogs: A review of recent developments and future prospects. Vet. J. 2011, 188, 34–38. [Google Scholar] [CrossRef] [PubMed]
- Reed, L.J.; Muench, H. A simple method of estimating fifty percent endpoins. Am. J. Hyg. 1983, 27, 493–497. [Google Scholar]
- SE, G. FAO, Rap Publication: Rome, Italy, 2002; Volume 22.
- Reeve, P.; Alexander, D.J.; Pope, G.; Poste, G. Studies on the cytopathic effects of Newcastle disease virus: Metabolic requirements. J. Gen. Virol. 1971, 11, 25–34. [Google Scholar] [CrossRef] [PubMed]
- King, D.J. Newcastle disease virus passage in MDBK cells as an aid in detection of a virulent subpopulation. Avian Dis. 1993, 37, 961–969. [Google Scholar] [CrossRef] [PubMed]
- Strober, W. Trypan blue exclusion test of cell viability. Curr. Protoc. Immunol. 2001. [Google Scholar] [CrossRef]
- Buijs, P.R.; van Amerongen, G.; van Nieuwkoop, S.; Bestebroer, T.M.; van Run, P.R.; Kuiken, T.; Fouchier, R.A.; van Eijck, C.H.; van den Hoogen, B.G. Intravenously injected Newcastle disease virus in non-human primates is safe to use for oncolytic virotherapy. Cancer Gene Ther. 2014, 21, 463–471. [Google Scholar] [CrossRef] [PubMed]
- Pecora, A.L.; Rizvi, N.; Cohen, G.I.; Meropol, N.J.; Sterman, D.; Marshall, J.L.; Goldberg, S.; Gross, P.; O’Neil, J.D.; Groene, W.S.; et al. Phase I trial of intravenous administration of PV701, an oncolytic virus, in patients with advanced solid cancers. J. Clin. Oncol. 2002, 20, 2251–2266. [Google Scholar] [CrossRef] [PubMed]
- Hotte, S.J.; Lorence, R.M.; Hirte, H.W.; Polawski, S.R.; Bamat, M.K.; O’Neil, J.D.; Roberts, M.S.; Groene, W.S.; Major, P.P. An optimized clinical regimen for the oncolytic virus PV701. Clin. Cancer Res. 2007, 13, 977–985. [Google Scholar] [CrossRef] [PubMed]
- Laurie, S.A.; Bell, J.C.; Atkins, H.L.; Roach, J.; Bamat, M.K.; O’Neil, J.D.; Roberts, M.S.; Groene, W.S.; Lorence, R.M. A phase I clinical study of intravenous administration of PV701, an oncolytic virus, using two-step desensitization. Clin. Cancer Res. 2006, 12, 2555–2562. [Google Scholar] [CrossRef] [PubMed]
- Buijs, P.R.; Verhagen, J.H.; van Eijck, C.H.; van den Hoogen, B.G. Oncolytic viruses: From bench to bedside with a focus on safety. Hum. Vaccines Immunother. 2015, 11, 1573–1584. [Google Scholar] [CrossRef] [PubMed]
- Chen, C.Y.; Senac, J.S.; Weaver, E.A.; May, S.M.; Jelinek, D.F.; Greipp, P.; Witzig, T.; Barry, M.A. Species d adenoviruses as oncolytics against b-cell cancers. Clin. Cancer Res. 2011, 17, 6712–6722. [Google Scholar] [CrossRef] [PubMed]
- Patel, B.; Dey, A.; Ghorani, E.; Kumar, S.; Malam, Y.; Rai, L.; Steele, A.J.; Thomson, J.; Wickremasinghe, R.G.; Zhang, Y.; et al. Differential cytopathology and kinetics of measles oncolysis in two primary B-cell malignancies provides mechanistic insights. Mol. Ther. 2011, 19, 1034–1040. [Google Scholar] [CrossRef] [PubMed]
- Russell, S.J.; Federspiel, M.J.; Peng, K.W.; Tong, C.; Dingli, D.; Morice, W.G.; Lowe, V.; O’Connor, M.K.; Kyle, R.A.; Leung, N.; et al. Remission of disseminated cancer after systemic oncolytic virotherapy. Mayo Clin. Proc. 2014, 89, 926–933. [Google Scholar] [CrossRef] [PubMed]
- Walter, R.J.; Attar, B.M.; Rafiq, A.; Tejaswi, S.; Delimata, M. Newcastle disease virus lasota strain kills human pancreatic cancer cells in vitro with high selectivity. JOP 2012, 13, 45–53. [Google Scholar] [CrossRef]
- Janke, M.; Peeters, B.; de Leeuw, O.; Moorman, R.; Arnold, A.; Fournier, P.; Schirrmacher, V. Recombinant Newcastle disease virus (NDV) with inserted gene coding for GM-CSF as a new vector for cancer immunogene therapy. Gene Ther. 2007, 14, 1639–1649. [Google Scholar] [CrossRef] [PubMed]
- Elankumaran, S.; Chavan, V.; Qiao, D.; Shobana, R.; Moorkanat, G.; Biswas, M.; Samal, S.K. Type I interferon-sensitive recombinant Newcastle disease virus for oncolytic virotherapy. J. Virol. 2010, 84, 3835–3844. [Google Scholar] [CrossRef] [PubMed]
- Biswas, M.; Johnson, J.B.; Kumar, S.R.; Parks, G.D.; Elankumarana, S. Incorporation of host complement regulatory proteins into Newcastle disease virus enhances complement evasion. J. Virol. 2012, 86, 12708–12716. [Google Scholar] [CrossRef] [PubMed]
- Morton, L.M.; Wang, S.S.; Devesa, S.S.; Hartge, P.; Weisenburger, D.D.; Linet, M.S. Lymphoma incidence patterns by who subtype in the united states, 1992–2001. Blood 2006, 107, 265–276. [Google Scholar] [CrossRef] [PubMed]
- Vezzali, E.; Parodi, A.L.; Marcato, P.S.; Bettini, G. Histopathologic classification of 171 cases of canine and feline non-hodgkin lymphoma according to the WHO. Vet. Comp. Oncol. 2010, 8, 38–49. [Google Scholar] [CrossRef] [PubMed]
- Guija de Arespacochaga, A.; Schwendenwein, I.; Weissenbock, H. Retrospective study of 82 cases of canine lymphoma in Austria based on the working formulation and immunophenotyping. J. Comp. Pathol. 2007, 136, 186–192. [Google Scholar] [CrossRef] [PubMed]
- Álvarez Berger, F.J.; Aburto Fernández, E.; Gerardo, A.U.; Chávez Gris, G. Estudio histológico e inmunofenotípico de linfoma canino en el centro de méxico. Vet. Mex. 2009, 40, 141–155. [Google Scholar]
- Fiola, C.; Peeters, B.; Fournier, P.; Arnold, A.; Bucur, M.; Schirrmacher, V. Tumor selective replication of Newcastle disease virus: Association with defects of tumor cells in antiviral defence. Int. J. Cancer 2006, 119, 328–338. [Google Scholar] [CrossRef] [PubMed]
- Krishnamurthy, S.; Takimoto, T.; Scroggs, R.A.; Portner, A. Differentially regulated interferon response determines the outcome of Newcastle disease virus infection in normal and tumor cell lines. J. Virol. 2006, 80, 5145–5155. [Google Scholar] [CrossRef] [PubMed]
- Mansour, M.; Palese, P.; Zamarin, D. Oncolytic specificity of Newcastle disease virus is mediated by selectivity for apoptosis-resistant cells. J. Virol. 2011, 85, 6015–6023. [Google Scholar] [CrossRef] [PubMed]
- Vail, D.M. Comparative oncology—The north american experience. BMC Proc. 2013, 7, K5. [Google Scholar] [CrossRef] [PubMed]
- McNicholas, J.; Gilbey, A.; Rennie, A.; Ahmedzai, S.; Dono, J.A.; Ormerod, E. Pet ownership and human health: A brief review of evidence and issues. BMJ 2005, 331, 1252–1254. [Google Scholar] [CrossRef] [PubMed]
- Beetz, A.; Julius, H.; Turner, D.; Kotrschal, K. Effects of social support by a dog on stress modulation in male children with insecure attachment. Front. Psychol. 2012, 3, 352. [Google Scholar] [CrossRef] [PubMed]
- Beetz, A.; Uvnas-Moberg, K.; Julius, H.; Kotrschal, K. Psychosocial and psychophysiological effects of human-animal interactions: The possible role of oxytocin. Front. Psychol. 2012, 3, 234. [Google Scholar] [CrossRef] [PubMed]
- Regan, R.C.; Kaplan, M.S.; Bailey, D.B. Diagnostic evaluation and treatment recommendations for dogs with substage-a high-grade multicentric lymphoma: Results of a survey of veterinarians. Vet. Comp. Oncol. 2013, 11, 287–295. [Google Scholar] [CrossRef] [PubMed]
- Patil, S.S.; Gentschev, I.; Adelfinger, M.; Donat, U.; Hess, M.; Weibel, S.; Nolte, I.; Frentzen, A.; Szalay, A.A. Virotherapy of canine tumors with oncolytic vaccinia virus GLV-1h109 expressing an anti-VEGF single-chain antibody. PLoS ONE 2012, 7, e47472. [Google Scholar] [CrossRef] [PubMed]
- Urbasic, A.S.; Hynes, S.; Somrak, A.; Contakos, S.; Rahman, M.M.; Liu, J.; MacNeill, A.L. Oncolysis of canine tumor cells by myxoma virus lacking the serp2 gene. Am. J. Vet. Res. 2012, 73, 1252–1261. [Google Scholar] [CrossRef] [PubMed]
- LeBlanc, A.K.; Naik, S.; Galyon, G.D.; Jenks, N.; Steele, M.; Peng, K.W.; Federspiel, M.J.; Donnell, R.; Russell, S.J. Safety studies on intravenous administration of oncolytic recombinant vesicular stomatitis virus in purpose-bred beagle dogs. Hum. Gene Ther. Clin. Dev. 2013, 24, 174–181. [Google Scholar] [CrossRef] [PubMed]
© 2015 by the authors; licensee MDPI, Basel, Switzerland. This article is an open access article distributed under the terms and conditions of the Creative Commons by Attribution (CC-BY) license (http://creativecommons.org/licenses/by/4.0/).
Share and Cite
Sánchez, D.; Pelayo, R.; Medina, L.A.; Vadillo, E.; Sánchez, R.; Núñez, L.; Cesarman-Maus, G.; Sarmiento-Silva, R.E. Newcastle Disease Virus: Potential Therapeutic Application for Human and Canine Lymphoma. Viruses 2016, 8, 3. https://doi.org/10.3390/v8010003
Sánchez D, Pelayo R, Medina LA, Vadillo E, Sánchez R, Núñez L, Cesarman-Maus G, Sarmiento-Silva RE. Newcastle Disease Virus: Potential Therapeutic Application for Human and Canine Lymphoma. Viruses. 2016; 8(1):3. https://doi.org/10.3390/v8010003
Chicago/Turabian StyleSánchez, Diana, Rosana Pelayo, Luis Alberto Medina, Eduardo Vadillo, Rogelio Sánchez, Luis Núñez, Gabriela Cesarman-Maus, and Rosa Elena Sarmiento-Silva. 2016. "Newcastle Disease Virus: Potential Therapeutic Application for Human and Canine Lymphoma" Viruses 8, no. 1: 3. https://doi.org/10.3390/v8010003
APA StyleSánchez, D., Pelayo, R., Medina, L. A., Vadillo, E., Sánchez, R., Núñez, L., Cesarman-Maus, G., & Sarmiento-Silva, R. E. (2016). Newcastle Disease Virus: Potential Therapeutic Application for Human and Canine Lymphoma. Viruses, 8(1), 3. https://doi.org/10.3390/v8010003
 
         
                                                

 
       