Development of a Novel Method to Detect AAV Vector Integration
Abstract
1. Introduction
2. Materials and Methods
2.1. Virus Transduction and Cell Line Production
2.2. DNA Library Preparation for Long-Read Nanopore Sequencing
2.3. DNA Library Preparation for Short-Read Illumina Sequencing
2.4. Bioinformatic Identification of AAV Integration Sites from Long-Read Sequencing
2.5. Bioinformatic Identification of AAV Integration Sites from Short-Read Sequencing
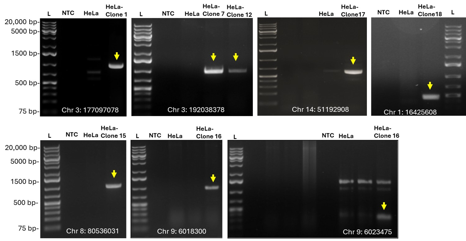
2.6. Validation of AAV Integration Sites
2.7. Droplet Digital PCR (ddPCR)
3. Results
3.1. Generation and Characterization of HeLa-AAV2-eGFP Single-Cell Clones for AAV Genome Integration Assay
3.2. Overview of Target Enrichment Methods for Genome Integration Assay
3.3. Validation of AAV Integration Sites in HeLa-AVV2-eGFP Single-Cell Clones
4. Discussion
Supplementary Materials
Author Contributions
Funding
Data Availability Statement
Acknowledgments
Conflicts of Interest
References
- Byrne, B.J.; Flanigan, K.M.; Matesanz, S.E.; Finkel, R.S.; Waldrop, M.A.; D’Ambrosio, E.S.; Johnson, N.E.; Smith, B.K.; Bonnemann, C.; Carrig, S.; et al. Current clinical applications of AAV-mediated gene therapy. Mol. Ther. 2025, 33, 2479–2516. [Google Scholar] [CrossRef] [PubMed] [PubMed Central]
- Wang, J.H.; Gessler, D.J.; Zhan, W.; Gallagher, T.L.; Gao, G. Adeno-associated virus as a delivery vector for gene therapy of human diseases. Signal Transduct. Target Ther. 2024, 9, 78. [Google Scholar] [CrossRef] [PubMed] [PubMed Central]
- Kantor, B.; O’Donovan, B.; Chiba-Falek, O. Trends and challenges of AAV-delivered gene editing therapeutics for CNS disorders: Implications for neurodegenerative disease. Mol. Ther. Nucleic. Acids 2025, 36, 102635. [Google Scholar] [CrossRef] [PubMed] [PubMed Central]
- McCarty, D.M.; Young, S.M.; Samulski, R.J., Jr. Integration of adeno-associated virus (AAV) and recombinant AAV vectors. Annu. Rev. Genet. 2004, 38, 819–845. [Google Scholar] [CrossRef] [PubMed]
- Nakai, H.; Montini, E.; Fuess, S.; Storm, T.A.; Grompe, M.; Kay, M.A. AAV serotype 2 vectors preferentially integrate into active genes in mice. Nat. Genet. 2003, 34, 297–302. [Google Scholar] [CrossRef] [PubMed]
- Miller, D.G.; Petek, L.M.; Russell, D.W. Adeno-associated virus vectors integrate at chromosome breakage sites. Nat. Genet. 2004, 36, 767–773. [Google Scholar] [CrossRef] [PubMed]
- Nowrouzi, A.; Penaud-Budloo, M.; Kaeppel, C.; Appelt, U.; Le Guiner, C.; Moullier, P.; von Kalle, C.; Snyder, R.O.; Schmidt, M. Integration frequency and intermolecular recombination of rAAV vectors in non-human primate skeletal muscle and liver. Mol. Ther. 2012, 20, 1177–1186. [Google Scholar] [CrossRef] [PubMed] [PubMed Central]
- Miller, D.G.; Trobridge, G.D.; Petek, L.M.; Jacobs, M.A.; Kaul, R.; Russell, D.W. Large-scale analysis of adeno-associated virus vector integration sites in normal human cells. J. Virol. 2005, 79, 11434–11442. [Google Scholar] [CrossRef] [PubMed] [PubMed Central]
- Tai, P.W.L.; Xie, J.; Fong, K.; Seetin, M.; Heiner, C.; Su, Q.; Weiand, M.; Wilmot, D.; Zapp, M.L.; Gao, G. Adeno-associated Virus Genome Population Sequencing Achieves Full Vector Genome Resolution and Reveals Human-Vector Chimeras. Mol. Ther. Methods Clin. Dev. 2018, 9, 130–141. [Google Scholar] [CrossRef] [PubMed] [PubMed Central]
- Zhang, J.; Yu, X.; Chrzanowski, M.; Tian, J.; Pouchnik, D.; Guo, P.; Herzog, R.W.; Xiao, W. Thorough molecular configuration analysis of noncanonical AAV genomes in AAV vector preparations. Mol. Ther. Methods Clin. Dev. 2024, 32, 101215. [Google Scholar] [CrossRef] [PubMed] [PubMed Central]
- Gil-Farina, I.; Fronza, R.; Kaeppel, C.; Lopez-Franco, E.; Ferreira, V.; D’Avola, D.; Benito, A.; Prieto, J.; Petry, H.; Gonzalez-Aseguinolaza, G.; et al. Recombinant AAV Integration Is Not Associated With Hepatic Genotoxicity in Nonhuman Primates and Patients. Mol. Ther. 2016, 24, 1100–1105. [Google Scholar] [CrossRef] [PubMed] [PubMed Central]
- Sabatino, D.E.; Bushman, F.D.; Chandler, R.J.; Crystal, R.G.; Davidson, B.L.; Dolmetsch, R.; Eggan, K.C.; Gao, G.; Gil-Farina, I.; Kay, M.A.; et al. Evaluating the state of the science for adeno-associated virus integration: An integrated perspective. Mol. Ther. 2022, 30, 2646–2663. [Google Scholar] [CrossRef] [PubMed] [PubMed Central]
- Nguyen, G.N.; Everett, J.K.; Kafle, S.; Roche, A.M.; Raymond, H.E.; Leiby, J.; Wood, C.; Assenmacher, C.A.; Merricks, E.P.; Long, C.T.; et al. A long-term study of AAV gene therapy in dogs with hemophilia A identifies clonal expansions of transduced liver cells. Nat. Biotechnol. 2020, 39, 47–55. [Google Scholar] [CrossRef] [PubMed]
- Chandler, R.J.; Sands, M.S.; Venditti, C.P. Recombinant Adeno-Associated Viral Integration and Genotoxicity: Insights from Animal Models. Hum. Gene Ther. 2017, 28, 314–322. [Google Scholar] [CrossRef] [PubMed] [PubMed Central]
- Sherman, E.; Nobles, C.; Berry, C.C.; Six, E.; Wu, Y.; Dryga, A.; Malani, N.; Male, F.; Reddy, S.; Bailey, A.; et al. INSPIIRED: A Pipeline for Quantitative Analysis of Sites of New DNA Integration in Cellular Genomes. Mol. Ther. Methods Clin. Dev. 2017, 4, 39–49. [Google Scholar] [CrossRef] [PubMed] [PubMed Central]
- Berry, C.C.; Nobles, C.; Six, E.; Wu, Y.; Malani, N.; Sherman, E.; Dryga, A.; Everett, J.K.; Male, F.; Bailey, A.; et al. INSPIIRED: Quantification and Visualization Tools for Analyzing Integration Site Distributions. Mol. Ther. Methods Clin. Dev. 2017, 4, 17–26. [Google Scholar] [CrossRef] [PubMed] [PubMed Central]
- Lin, T.Y.; Ceoldo, G.; House, K.; Welty, M.; Dang, T.T.; Klatt, D.; Brendel, C.; Murphy, M.P.; Cornetta, K.; Pellin, D. Modeling integration site data for safety assessment with MELISSA. Nat. Commun. 2025, 16, 7868. [Google Scholar] [CrossRef] [PubMed] [PubMed Central]
- Oziolor, E.M.; Kumpf, S.W.; Qian, J.; Gosink, M.; Sheehan, M.; Rubitski, D.M.; Newman, L.; Whiteley, L.O.; Lanz, T.A. Comparing molecular and computational approaches for detecting viral integration of AAV gene therapy constructs. Mol. Ther. Methods Clin. Dev. 2023, 29, 395–405. [Google Scholar] [CrossRef] [PubMed] [PubMed Central]
- Batty, P.; Fong, S.; Franco, M.; Sihn, C.R.; Swystun, L.L.; Afzal, S.; Harpell, L.; Hurlbut, D.; Pender, A.; Su, C.; et al. Vector integration and fate in the hemophilia dog liver multiple years after AAV-FVIII gene transfer. Blood 2024, 143, 2373–2385. [Google Scholar] [CrossRef] [PubMed]
- Dalwadi, D.A.; Torrens, L.; Abril-Fornaguera, J.; Pinyol, R.; Willoughby, C.; Posey, J.; Llovet, J.M.; Christian Lanciault, C.; Russell, D.W.; Markus Grompe, M.; et al. Liver Injury Increases the Incidence of HCC following AAV Gene Therapy in Mice. Mol. Ther. 2020, 29, 680–690. [Google Scholar] [CrossRef] [PubMed]
- Chen, Y.; Hu, S.; Lee, W.; Walsh, N.; Iozza, K.; Huang, N.; Preston, G.; Drouin, L.M.; Jia, N.; Deng, J.; et al. A Comprehensive Study of the Effects by Sequence Truncation within Inverted Terminal Repeats (ITRs) on the Productivity, Genome Packaging, and Potency of AAV Vectors. Microorganisms 2024, 12, 310. [Google Scholar] [CrossRef] [PubMed] [PubMed Central]
- Esposito, F.; Dell’Aquila, F.; Rhiel, M.; Auricchio, S.; Chmielewski, K.O.; Andrieux, G.; Ferla, R.; Horrach, P.S.; Padmanabhan, A.; Di Cunto, R.; et al. Safe and effective liver-directed AAV-mediated homology-independent targeted integration in mouse models of inherited diseases. Cell Rep. Med. 2024, 5, 101619. [Google Scholar] [CrossRef] [PubMed] [PubMed Central]
- Greig, J.A.; Martins, K.M.; Breton, C.; Lamontagne, R.J.; Zhu, Y.; He, Z.; White, J.; Zhu, J.X.; Chichester, J.A.; Zheng, Q.; et al. Integrated vector genomes may contribute to long-term expression in primate liver after AAV administration. Nat. Biotechnol. 2024, 42, 1232–1242. [Google Scholar] [CrossRef] [PubMed] [PubMed Central]
- Namkung, S.; Tran, N.T.; Manokaran, S.; He, R.; Su, Q.; Xie, J.; Gao, G.; Tai, P.W.L. Direct ITR-to-ITR Nanopore Sequencing of AAV Vector Genomes. Hum. Gene Ther. 2022, 33, 1187–1196. [Google Scholar] [CrossRef] [PubMed] [PubMed Central]
- Bushman, F.D.; Cantu, A.; Everett, J.; Sabatino, D.; Berry, C. Challenges in estimating numbers of vectors integrated in gene-modified cells using DNA sequence information. Mol Ther. 2021, 29, 3328–3331. [Google Scholar] [CrossRef] [PubMed] [PubMed Central]
- Gilpatrick, T.; Lee, I.; Graham, J.E.; Raimondeau, E.; Bowen, R.; Heron, A.; Downs, B.; Sukumar, S.; Sedlazeck, F.J.; Timp, W. Targeted nanopore sequencing with Cas9-guided adapter ligation. Nat. Biotechnol. 2020, 38, 433–438. [Google Scholar] [CrossRef] [PubMed]
- Ewing, A.D.; Smits, N.; Sanchez-Luque, F.J.; Faivre, J.; Brennan, P.M.; Richardson, S.R.; Cheetham, S.W.; Faulkner, G.J. Nanopore Sequencing Enables Comprehensive Transposable Element Epigenomic Profiling. Mol. Cell 2020, 80, 915–928.e5. [Google Scholar] [CrossRef]
- Malekshoar, M.; Azimi, S.A.; Kaki, A.; Mousazadeh, L.; Motaei, J.; Vatankhah, M. CRISPR-Cas9 Targeted Enrichment and Next-Generation Sequencing for Mutation Detection. J. Mol. Diagn. 2023, 25, 249–262. [Google Scholar] [CrossRef] [PubMed]
- van Haasteren, J.; Munis, A.M.; Gill, D.R.; Hyde, S.C. Genome-wide integration site detection using Cas9 enriched amplification-free long-range sequencing. Nucleic Acids Res. 2021, 49, e16. [Google Scholar] [CrossRef] [PubMed] [PubMed Central]
- López-Girona, E.; Davy, M.W.; Albert, N.W.; Hilario, E.; Smart, M.E.M.; Kirk, C.; Thomson, S.J.; Chagné, D. CRISPR-Cas9 enrichment and long read sequencing for fine mapping in plants. Plant Methods 2020, 16, 121. [Google Scholar] [CrossRef]
- Kennedy, S.R.; Schmitt, M.W.; Fox, E.J.; Kohrn, B.F.; Salk, J.J.; Ahn, E.H.; Prindle, M.J.; Kuong, K.J.; Shen, J.-C.; Risques, R.-A.; et al. Detecting ultralow-frequency mutations by Duplex Sequencing. Nat. Protoc. 2014, 9, 2586–2606. [Google Scholar] [CrossRef]
- Li, H. Minimap2: Pairwise alignment for nucleotide sequences. Bioinformatics 2018, 34, 3094–3100. [Google Scholar] [CrossRef] [PubMed] [PubMed Central]
- Li, H.; Handsaker, B.; Wysoker, A.; Fennell, T.; Ruan, J.; Homer, N.; Marth, G.; Abecasis, G.; Durbin, R.; Genome Project Data Processing, S. The Sequence Alignment/Map format and SAMtools. Bioinformatics 2009, 25, 2078–2079. [Google Scholar] [CrossRef] [PubMed] [PubMed Central]
- De Coster, W.; D’Hert, S.; Schultz, D.T.; Cruts, M.; Van Broeckhoven, C. NanoPack: Visualizing and processing long-read sequencing data. Bioinformatics 2018, 34, 2666–2669. [Google Scholar] [CrossRef] [PubMed] [PubMed Central]
- Smolka, M.; Paulin, L.F.; Grochowski, C.M.; Horner, D.W.; Mahmoud, M.; Behera, S.; Kalef-Ezra, E.; Gandhi, M.; Hong, K.; Pehlivan, D.; et al. Detection of mosaic and population-level structural variants with Sniffles2. Nat. Biotechnol. 2024, 42, 1571–1580. [Google Scholar] [CrossRef] [PubMed] [PubMed Central]
- Heller, D.; Vingron, M. SVIM: Structural variant identification using mapped long reads. Bioinformatics 2019, 35, 2907–2915. [Google Scholar] [CrossRef] [PubMed] [PubMed Central]
- Thorvaldsdottir, H.; Robinson, J.T.; Mesirov, J.P. Integrative Genomics Viewer (IGV): High-performance genomics data visualization and exploration. Brief Bioinform. 2013, 14, 178–192. [Google Scholar] [CrossRef] [PubMed] [PubMed Central]




Disclaimer/Publisher’s Note: The statements, opinions and data contained in all publications are solely those of the individual author(s) and contributor(s) and not of MDPI and/or the editor(s). MDPI and/or the editor(s) disclaim responsibility for any injury to people or property resulting from any ideas, methods, instructions or products referred to in the content. |
© 2026 by the authors. Licensee MDPI, Basel, Switzerland. This article is an open access article distributed under the terms and conditions of the Creative Commons Attribution (CC BY) license.
Share and Cite
Zhang, J.; Dang, T.T.; Lin, T.-Y.; Yu, X.; Pellin, D.; Tian, J.; Simmons, O.; Kou, E.; Cornetta, K.; Xiao, W. Development of a Novel Method to Detect AAV Vector Integration. Viruses 2026, 18, 315. https://doi.org/10.3390/v18030315
Zhang J, Dang TT, Lin T-Y, Yu X, Pellin D, Tian J, Simmons O, Kou E, Cornetta K, Xiao W. Development of a Novel Method to Detect AAV Vector Integration. Viruses. 2026; 18(3):315. https://doi.org/10.3390/v18030315
Chicago/Turabian StyleZhang, Junping, Thao Thi Dang, Tsai-Yu Lin, Xiangping Yu, Danilo Pellin, Jiahe Tian, Olga Simmons, Emma Kou, Kenneth Cornetta, and Weidong Xiao. 2026. "Development of a Novel Method to Detect AAV Vector Integration" Viruses 18, no. 3: 315. https://doi.org/10.3390/v18030315
APA StyleZhang, J., Dang, T. T., Lin, T.-Y., Yu, X., Pellin, D., Tian, J., Simmons, O., Kou, E., Cornetta, K., & Xiao, W. (2026). Development of a Novel Method to Detect AAV Vector Integration. Viruses, 18(3), 315. https://doi.org/10.3390/v18030315

