EBV gL-gH344-Ferritin Nanoparticle Vaccine Elicits Robust Immune Responses in Mice
Abstract
1. Introduction
2. Materials and Methods
2.1. Ethics Statement
2.2. Construction of the Recombinant Plasmid
2.3. Expression and Purification of the Recombinant Proteins
2.4. Identification of the Recombinant Proteins
2.5. Transmission Electron Microscope Imaging
2.6. Immunization and Detection Protocols for BALB/C Mice
2.7. Determination of Humoral Immunity in the Immunized Mice
2.8. Determination of Cellular Immunity in the Immunized Mice
2.9. Statistical Analysis
3. Results
3.1. Design and Expression of the pET30a-gL-gH344-Ferritin Recombinant Plasmid
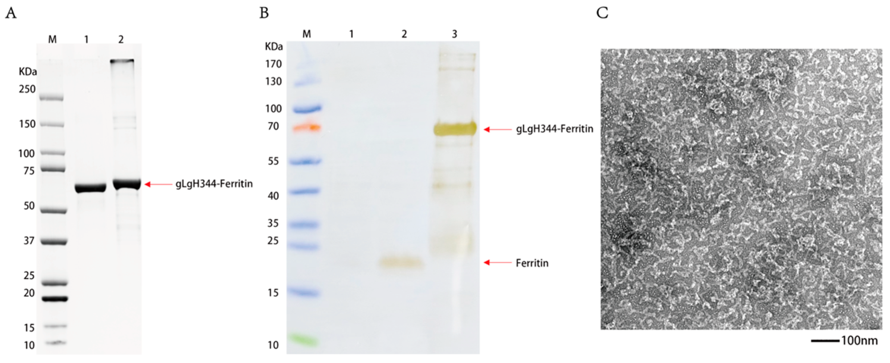
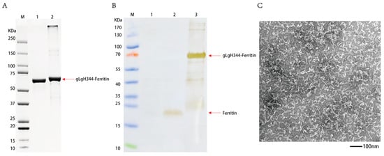
3.2. Expression and Characterization of the gL-gH344-Ferritin Recombinant Protein
3.3. Specific Antibody Levels Induced by the gL-gH344-Ferritin Vaccine
3.4. Expression of Cellular Immunity Induced by the gL-gH344-Ferritin Vaccine
4. Discussion
5. Conclusions
Author Contributions
Funding
Institutional Review Board Statement
Informed Consent Statement
Data Availability Statement
Acknowledgments
Conflicts of Interest
Abbreviations
| EBV | Epstein–Barr virus |
| IFN-γ | interferon -γ |
| IL-6 | Interlekin-6 |
| SDS-PAGE | sodium dodecyl sulfate-polyacrylamide gel electrophoresis |
| Domain | D |
| ELISA | enzyme-linked immunosorbent assay |
| ELISpot | enzyme-linked immunospot |
| TEM | transmission electron microscopy |
| SFCs | spots forming cells |
| w.p.i. | weeks post-primary immunization |
| Th | T helper |
References
- Cohen, J.I. Epstein-Barr virus infection. N. Engl. J. Med. 2000, 343, 481–492. [Google Scholar] [CrossRef] [PubMed]
- Chakravorty, S.; Afzali, B.; Kazemian, M. EBV-associated diseases: Current therapeutics and emerging technologies. Front. Immunol. 2022, 13, 1059133. [Google Scholar] [CrossRef] [PubMed]
- Cruz-Muñoz, M.E.; Fuentes-Pananá, E.M. Beta and Gamma Human Herpesviruses: Agonistic and Antagonistic Interactions with the Host Immune System. Front. Microbiol. 2017, 8, 2521. [Google Scholar] [CrossRef]
- Luzuriaga, K.; Sullivan, J.L. Infectious mononucleosis. N. Engl. J. Med. 2010, 362, 1993–2000. [Google Scholar] [CrossRef]
- Cai, J.; Zhang, B.; Li, Y.; Zhu, W.; Akihisa, T.; Li, W.; Kikuchi, T.; Liu, W.; Feng, F.; Zhang, J. Prophylactic and Therapeutic EBV Vaccines: Major Scientific Obstacles, Historical Progress, and Future Direction. Vaccines 2021, 9, 1290. [Google Scholar] [CrossRef]
- Heldwein, E.E. gH/gL supercomplexes at early stages of herpesvirus entry. Curr. Opin. Virol. 2016, 18, 1–8. [Google Scholar] [CrossRef] [PubMed]
- Wang, X.; Kenyon William, J.; Li, Q.; Müllberg, J.; Hutt-Fletcher, L.M. Epstein-Barr Virus Uses Different Complexes of Glycoproteins gH and gL To Infect B Lymphocytes and Epithelial Cells. J. Virol. 1998, 72, 5552–5558. [Google Scholar] [CrossRef]
- Bu, G.L.; Xie, C.; Kang, Y.F.; Zeng, M.S.; Sun, C. How EBV Infects: The Tropism and Underlying Molecular Mechanism for Viral Infection. Viruses 2022, 14, 2372. [Google Scholar] [CrossRef]
- Sun, C.; Chen, X.C.; Kang, Y.F.; Zeng, M.S. The Status and Prospects of Epstein-Barr Virus Prophylactic Vaccine Development. Front. Immunol. 2021, 12, 677027. [Google Scholar] [CrossRef]
- Rong, H.; Qi, M.; Pan, J.; Sun, Y.; Gao, J.; Zhang, X.; Li, W.; Zhang, B.; Zhang, X.E.; Cui, Z. Self-Assembling Nanovaccine Confers Complete Protection Against Zika Virus Without Causing Antibody-Dependent Enhancement. Front. Immunol. 2022, 13, 905431. [Google Scholar] [CrossRef]
- Kang, Y.F.; Sun, C.; Zhuang, Z.; Yuan, R.Y.; Zheng, Q.; Li, J.P.; Zhou, P.P.; Chen, X.C.; Liu, Z.; Zhang, X.; et al. Rapid Development of SARS-CoV-2 Spike Protein Receptor-Binding Domain Self-Assembled Nanoparticle Vaccine Candidates. ACS Nano 2021, 15, 2738–2752. [Google Scholar] [CrossRef] [PubMed]
- Houser, K.V.; Chen, G.L.; Carter, C.; Crank, M.C.; Nguyen, T.A.; Burgos Florez, M.C.; Berkowitz, N.M.; Mendoza, F.; Hendel, C.S.; Gordon, I.J.; et al. Safety and immunogenicity of a ferritin nanoparticle H2 influenza vaccine in healthy adults: A phase 1 trial. Nat. Med. 2022, 28, 383–391. [Google Scholar] [CrossRef]
- Malhi, H.; Homad, L.J.; Wan, Y.H.; Poudel, B.; Fiala, B.; Borst, A.J.; Wang, J.Y.; Walkey, C.; Price, J.; Wall, A.; et al. Immunization with a self-assembling nanoparticle vaccine displaying EBV gH/gL protects humanized mice against lethal viral challenge. Cell Rep. Med. 2022, 3, 100658. [Google Scholar] [CrossRef]
- Edwards, K.R.; Schmidt, K.; Homad, L.J.; Kher, G.M.; Xu, G.; Rodrigues, K.A.; Ben-Akiva, E.; Abbott, J.; Prlic, M.; Newell, E.W.; et al. Vaccination with nanoparticles displaying gH/gL from Epstein-Barr virus elicits limited cross-protection against rhesus lymphocryptovirus. Cell Rep. Med. 2024, 5, 101587. [Google Scholar] [CrossRef] [PubMed]
- Jiang, S.; Li, H.; Zhang, L.; Mu, W.; Zhang, Y.; Chen, T.; Wu, J.; Tang, H.; Zheng, S.; Liu, Y.; et al. Generic Diagramming Platform (GDP): A comprehensive database of high-quality biomedical graphics. Nucleic Acids Res. 2025, 53, D1670–D1676. [Google Scholar] [CrossRef]
- Shi, X.Y.; Hao, Y.Z.; Li, C.Y.; Ma, Q.; Wang, B.D.; Feng, X.; Li, S.Y. Identification of the T-cell Epitope in BALB/c Mice Immunized with Adenovirus Vector EBV Vaccine Expressing gH/gL Antigen. Virus Res. 2024, 40, 500–507. [Google Scholar] [CrossRef]
- Zhong, L.; Zhang, W.; Krummenacher, C.; Chen, Y.; Zheng, Q.; Zhao, Q.; Zeng, M.S.; Xia, N.; Zeng, Y.X.; Xu, M.; et al. Targeting herpesvirus entry complex and fusogen glycoproteins with prophylactic and therapeutic agents. Trends Microbiol. 2023, 31, 788–804. [Google Scholar] [CrossRef] [PubMed]
- Möhl, B.S.; Schröter, C.; Klupp, B.G.; Fuchs, W.; Mettenleiter, T.C.; Jardetzky, T.S.; Longnecker, R. Comparative Mutagenesis of Pseudorabies Virus and Epstein-Barr Virus gH Identifies a Structural Determinant within Domain III of gH Required for Surface Expression and Entry Function. J. Virol. 2016, 90, 2285–2293. [Google Scholar] [CrossRef]
- Möhl, B.S.; Sathiyamoorthy, K.; Jardetzky, T.S.; Longnecker, R. The conserved disulfide bond within domain II of Epstein-Barr virus gH has divergent roles in membrane fusion with epithelial cells and B cells. J. Virol. 2014, 88, 13570–13579. [Google Scholar] [CrossRef]
- Kawasaki, Y.; Suzuki, J.; Sakai, N.; Isome, M.; Nozawa, R.; Tanji, M.; Suzuki, H. Evaluation of T helper-1/-2 balance on the basis of IgG subclasses and serum cytokines in children with glomerulonephritis. Am. J. Kidney Dis. 2004, 44, 42–49. [Google Scholar] [CrossRef]
- Edwards, K.R.; Malhi, H.; Schmidt, K.; Davis, A.R.; Homad, L.J.; Warner, N.L.; Chhan, C.B.; Scharffenberger, S.C.; Gaffney, K.; Hinkley, T.; et al. A gH/gL-encoding replicon vaccine elicits neutralizing antibodies that protect humanized mice against EBV challenge. npj Vaccines 2024, 9, 120. [Google Scholar] [CrossRef] [PubMed]
- Zhong, L.; Zhang, W.; Liu, H.; Zhang, X.; Yang, Z.; Wen, Z.; Chen, L.; Chen, H.; Luo, Y.; Chen, Y.; et al. A cocktail nanovaccine targeting key entry glycoproteins elicits high neutralizing antibody levels against EBV infection. Nat. Commun. 2024, 15, 5310. [Google Scholar] [CrossRef] [PubMed]
- Dong, C.; Flavell, R.A. Th1 and Th2 cells. Curr. Opin. Hematol. 2001, 8, 47–51. [Google Scholar] [CrossRef] [PubMed]
- Li, P.; Jiang, Z.; Shi, J.; Sha, H.; Yu, Z.; Zhao, Y.; Han, S.; Ma, L. A self-assembled nanoparticle vaccine elicits effective neutralizing antibody response against EBV infection. Front. Immunol. 2024, 15, 1530364. [Google Scholar] [CrossRef]
- Muhammad Mazhar, A.; Muhammad Mudaseer, N.; Noreen, S.; Muhammad, Z.; Muhammad, H.; Mubashir, A.; Ahsan Sattar, S.; Atif, A.; Abdul, W.; Aqal, Z.; et al. Parasitism in Goats: Husbandry Management, Range Management, Gut Immunity and Therapeutics. In Goat Science; Sándor, K., Ed.; IntechOpen: Rijeka, Croatia, 2018; Chapter 13. [Google Scholar]
- Ogulur, I.; Mitamura, Y.; Yazici, D.; Pat, Y.; Ardicli, S.; Li, M.; D’Avino, P.; Beha, C.; Babayev, H.; Zhao, B.; et al. Type 2 immunity in allergic diseases. Cell. Mol. Immunol. 2025, 22, 211–242. [Google Scholar] [CrossRef]
- Yang, D.; Gong, Z.; Ye, C.; Huang, H.; Liu, Y.; Bai, B. Positive correlation between VCA-IgM and Th1/Th2 immunocytokines in children with infectious mononucleosis. Am. J. Transl. Res. 2022, 14, 7578–7584. [Google Scholar]
- Moran, A.; Agaliotis, M.; Seale, H. The views of key stakeholders around mandatory influenza vaccination of hospital and aged care staff: Examining the current climate in Australia. Vaccine 2019, 37, 705–710. [Google Scholar] [CrossRef]
- Lee, J.; Kenward, C.; Worrall, L.J.; Vuckovic, M.; Gentile, F.; Ton, A.-T.; Ng, M.; Cherkasov, A.; Strynadka, N.C.J.; Paetzel, M. X-ray crystallographic characterization of the SARS-CoV-2 main protease polyprotein cleavage sites essential for viral processing and maturation. Nat. Commun. 2022, 13, 5196. [Google Scholar] [CrossRef]
- Damania, B.; Kenney, S.C.; Raab-Traub, N. Epstein-Barr virus: Biology and clinical disease. Cell 2022, 185, 3652–3670. [Google Scholar] [CrossRef]
- Moss, D.J.; Burrows, S.R.; Khanna, R. EBV: Immunobiology and host response. In Human Herpesviruses: Biology, Therapy, and Immunoprophylaxis; Arvin, A., Campadelli-Fiume, G., Mocarski, E., Moore, P.S., Roizman, B., Whitley, R., Yamanishi, K., Eds.; Cambridge University Press: Cambridge, UK, 2007. [Google Scholar]
- Todorović, N.; Ambrosio, M.R.; Amedei, A. Immune Modulation by Epstein–Barr Virus Lytic Cycle: Relevance and Implication in Oncogenesis. Pathogens 2024, 13, 876. [Google Scholar] [CrossRef]
- Wu, J.; Liang, J.; Li, S.; Lu, J.; Li, Y.; Zhang, B.; Gao, M.; Zhou, J.; Zhang, Y.; Chen, J. Cancer vaccine designed from homologous ferritin-based fusion protein with enhanced DC-T cell crosstalk for durable adaptive immunity against tumors. Bioact. Mater. 2025, 46, 516–530. [Google Scholar] [CrossRef] [PubMed]
- Yoshida, S.; Yamada, S.; Yokose, K.; Matsumoto, H.; Fujita, Y.; Asano, T.; Matsuoka, N.; Temmoku, J.; Sato, S.; Yoshiro-Furuya, M.; et al. Interferon-γ induces interleukin-6 production by neutrophils via the Janus kinase (JAK)-signal transducer and activator of transcription (STAT) pathway. BMC Res. Notes 2021, 14, 447. [Google Scholar] [CrossRef]
- Cui, X.; Snapper, C.M. Epstein Barr Virus: Development of Vaccines and Immune Cell Therapy for EBV-Associated Diseases. Front. Immunol. 2021, 12, 734471. [Google Scholar] [CrossRef] [PubMed]
- Li, Y.; Tian, S.; Ai, Y.; Hu, Z.; Ma, C.; Fu, M.; Xu, Z.; Li, Y.; Liu, S.; Zou, Y.; et al. A nanoparticle vaccine displaying varicella-zoster virus gE antigen induces a superior cellular immune response than a licensed vaccine in mice and non-human primates. Front. Immunol. 2024, 15, 1419634. [Google Scholar] [CrossRef] [PubMed]
- Behrens, M.; Comabella, M.; Lünemann, J.D. EBV-specific T-cell immunity: Relevance for multiple sclerosis. Front. Immunol. 2024, 15, 1509927. [Google Scholar] [CrossRef]
- Pollet, J.; Chen, W.H.; Strych, U. Recombinant protein vaccines, a proven approach against coronavirus pandemics. Adv. Drug Deliv. Rev. 2021, 170, 71–82. [Google Scholar] [CrossRef]






| Parameter | Platform | Antigen Design | Immune Response | Key Strength | Limitations |
|---|---|---|---|---|---|
| gL-gH344-Ferritin vaccine | Ferritin nanoparticle | Full-length gL and the truncated form of gH (gH344) | Balanced Th1/Th2 (IgG1 ≈ IgG2a) | Balanced immune activation | Preclinical data only |
| Viral Vector Vaccine (NCT01094405) | Adenovirus | LMP1 fragment | Th1-biased (High IFN-γ, low IL-6) | Phase II efficacy validated | Vector immunity risk |
| Peptide Vaccine (NCT00078494) | Synthetic peptide | EBNA1 peptide | Th2-biased (High IgG1, weak IFN-γ) | Excellent safety profile | Narrow antigen coverage |
| mRNA Vaccine (NCT05714748) | LNP-encapsulated mRNA | undisclosed | Th1-skewed (IFN-γ dominant) | High scalability | Unknown durability of response |
Disclaimer/Publisher’s Note: The statements, opinions and data contained in all publications are solely those of the individual author(s) and contributor(s) and not of MDPI and/or the editor(s). MDPI and/or the editor(s) disclaim responsibility for any injury to people or property resulting from any ideas, methods, instructions or products referred to in the content. |
© 2025 by the authors. Licensee MDPI, Basel, Switzerland. This article is an open access article distributed under the terms and conditions of the Creative Commons Attribution (CC BY) license (https://creativecommons.org/licenses/by/4.0/).
Share and Cite
Li, C.; Cao, Y.; Ma, Q.; Yang, J.; Zhang, X.; Li, H.; Xu, K.; Jiang, T.; Li, S.; Hao, Y.; et al. EBV gL-gH344-Ferritin Nanoparticle Vaccine Elicits Robust Immune Responses in Mice. Viruses 2025, 17, 754. https://doi.org/10.3390/v17060754
Li C, Cao Y, Ma Q, Yang J, Zhang X, Li H, Xu K, Jiang T, Li S, Hao Y, et al. EBV gL-gH344-Ferritin Nanoparticle Vaccine Elicits Robust Immune Responses in Mice. Viruses. 2025; 17(6):754. https://doi.org/10.3390/v17060754
Chicago/Turabian StyleLi, Chenyu, Yuxi Cao, Qi Ma, Jing Yang, Xiaoguang Zhang, Hongxia Li, Ke Xu, Tao Jiang, Shuying Li, Yanzhe Hao, and et al. 2025. "EBV gL-gH344-Ferritin Nanoparticle Vaccine Elicits Robust Immune Responses in Mice" Viruses 17, no. 6: 754. https://doi.org/10.3390/v17060754
APA StyleLi, C., Cao, Y., Ma, Q., Yang, J., Zhang, X., Li, H., Xu, K., Jiang, T., Li, S., Hao, Y., & Feng, X. (2025). EBV gL-gH344-Ferritin Nanoparticle Vaccine Elicits Robust Immune Responses in Mice. Viruses, 17(6), 754. https://doi.org/10.3390/v17060754

