Managing HIV-Associated Hodgkin Lymphoma During the COVID-19 Pandemic: Case Report and Literature Review
Abstract
1. Introduction
2. Case Presentation
2.1. Demographic Data
2.2. Medical History
2.3. Clinical Presentation and Evaluation
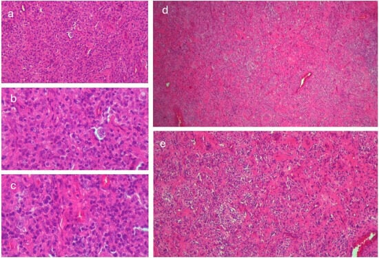
2.4. Diagnostic Investigations
2.5. Therapeutic Interventions and Outcome
3. Discussion
3.1. HIV and COVID-19
3.2. Hodgkin Lymphoma and COVID-19
3.3. HIV and Cancer
3.4. Immunophenotypic Profiling of Lymphoma in Patients with HIV
3.5. COVID-19 Vaccination in People with HIV or Lymphoma
4. Conclusions
Author Contributions
Funding
Institutional Review Board Statement
Informed Consent Statement
Data Availability Statement
Acknowledgments
Conflicts of Interest
Abbreviations
| AIDS | Acquired immunodeficiency syndrome |
| ALT | Alanin aminotransferase |
| ARN-HIV | HIV viral load |
| AST | Aspartate aminotransferase |
| BP | Blood pressure |
| CBC | Complete blood count |
| COVID-19 | Coronavirus Disease 2019 |
| CT | Computed tomography |
| ECOG | Eastern Cooperative Oncology Group |
| ELISA | Enzyme-linked immunosorbent assay |
| GSC | Glasgow scale coma |
| HL | Hodgkin’s lymphoma |
| HIV | Human immunodeficiency virus |
| HBc Ab | Hepatitis B core antibody |
| HBs-Ag | Hepatitis B surface antigen |
| HCV-Ab | Hepatitis C virus antibody |
| HP | Histopathology |
| HR | Heart rate |
| IHC | Immunohistochemy |
| NET | Neutrophil extracellular trap |
| PLWH | People living with HIV |
| RT-PCR | Real-time polymerase chain reaction |
| SARS-CoV-2 | Severe Acute Respiratory Syndrome Coronavirus 2 |
| SO2 | Saturation of oxygen |
Appendix A
| Test Name | Week 0 | Week 2 | Week 3 | Week 4 | Week 6 | Week 8 | Week 9 |
|---|---|---|---|---|---|---|---|
| WBC ×109 (4–9) | 3.8 | 3.3 | 4.2 | 3.7 | 1.5 | 1.7 | 1.5 |
| N ×106 (2000–6300) | 2150 | 1370 | 2610 | 2990 | 1140 | 1300 | 1340 |
| CD4/mmc (430–1800) | 112 | 73 | 46 | 21 | |||
| Hb g/L (130–170) | 111 | 97 | 106 | 73 | 63 | 83 | 66 |
| PTL ×109 (150–450) | 117 | 139 | 155.6 | 111 | 47 | 21 | 4 |
| CRP mg/L (0–10) | 6.16 | 42.9 | 109.1 | 114.9 | 65.1 | 113.9 | 115.9 |
| ERS mm/h (0–20) | 80 | 110 | 110 | 100 | 120 | 56 | 34 |
| Cr. mg/dL (0.7–1.3) | 0.76 | 0.68 | 1.36 | 0.71 | 0.76 | 0.53 | 0.52 |
| ALT U/L (0–40) | 84 | 32.4 | 185.7 | 58.3 | 32.5 | 113.2 | 135.4 |
| Bt mg/dL (0.3–1.2) | 0.91 | 1,24 | 8.2 | 12.4 | 21.5 | ||
| Albumin g/L (38–54) | 26.4 | 16.4 | 18.6 | 21.1 | 33.3 | ||
| D-Drs ug/L (˂500) | 4616 | 2445 | 1999.9 | 2075 | 940 | 1007 | 632 |
| LA mg/dL (5–20) | 18.28 | 24.13 | 23.9 | 31.7 | 18.7 | 38.2 | |
| SARS-CoV-2 | positive | positive | positive | positive | |||
| HCV-Ab | negative | ||||||
| HBsAg HBcAb | negative negative | ||||||
| Tumoral markers | Safety limits CA 19.9 = 21 U/mL (1.2–30.9), CEA = 0.5 ng/mL (0.5–5), PSA = −0.19 (0–4 ng/mL), AFP = 0.5 ng/mL (1.3–8.1) | ||||||
| Bone marrow aspiration | Erythrocyte series: normal percentage; erythroid precursors with moderate dysplastic appearance. Granulocyte series: increased percentage; granulocyte precursors with dysplastic appearance. Lymphoplasmocyte series: decrease percentage. Platelet series: normal; megakaryocytes with dysplastic appearance. | ||||||
References
- Alfano, V.; Ercolano, S. The Efficacy of Lockdown Against COVID-19: A Cross-Country Panel Analysis. Appl. Health Econ. Health Policy 2020, 18, 509–517. [Google Scholar] [CrossRef] [PubMed]
- De Vincentiis, L.; Carr, R.A.; Mariani, M.P.; Ferrara, G. Cancer diagnostic rates during the 2020 ‘lockdown’, due to COVID-19 pandemic, compared with the 2018-2019: An audit study from cellular pathology. J. Clin. Pathol. 2021, 74, 187–189. [Google Scholar] [CrossRef]
- Maringe, C.; Spicer, J.; Morris, M.; Purushotham, A.; Nolte, E.; Sullivan, R.; Rachet, B.; Aggarwal, A. The impact of the COVID-19 pandemic on cancer deaths due to delays in diagnosis in England, UK: A national, population-based, modelling study. Lancet Oncol. 2020, 21, 1023–1034. [Google Scholar] [CrossRef]
- Siegler, J.E.; Heslin, M.E.; Thau, L.; Smith, A.; Jovin, T.G. Falling stroke rates during COVID-19 pandemic at a comprehensive stroke center. J. Stroke Cerebrovasc. Dis. 2020, 29, 104953. [Google Scholar] [CrossRef]
- Colivicchi, F.; Di Fusco, S.A.; Magnanti, M.; Cipriani, M.; Imperoli, G. The Impact of the Coronavirus Disease-2019 Pandemic and Italian Lockdown Measures on Clinical Presentation and Management of Acute Heart Failure. J. Card. Fail. 2020, 26, 464–465. [Google Scholar] [CrossRef]
- Nopp, S.; Janata-Schwatczek, K.; Prosch, H.; Shulym, I.; Königsbrügge, O.; Pabinger, I.; Ay, C. Pulmonary embolism during the COVID-19 pandemic: Decline in diagnostic procedures and incidence at a university hospital. Res. Pract. Thromb. Haemost. 2020, 4, 835–841. [Google Scholar] [CrossRef]
- Darcis, G.; Vaira, D.; Moutschen, M. Impact of coronavirus pandemic and containment measures on HIV diagnosis. Epidemiol. Infect. 2020, 148, e185. [Google Scholar] [CrossRef] [PubMed]
- Arbune, M.; Padurariu-Covit, M.D.; Tiutiuca, C.; Mihailov, R.; Niculet, E.; Arbune, A.A.; Tatu, A.L. Unusual Localization of AIDS-Related Kaposi’s Sarcoma in a Heterosexual Male during the COVID-19 Pandemic: A Case Report. Trop. Med. Infect. Dis. 2024, 9, 47. [Google Scholar] [CrossRef] [PubMed]
- Gaddey, H.L.; Riegel, A.M. Unexplained Lymphadenopathy: Evaluation and Differential Diagnosis. Am. Fam. Physician 2016, 94, 896–903. [Google Scholar]
- Oken, M.M.; Creech, R.H.; Tormey, D.C.; Horton, J.; Davis, T.E.; McFadden, E.T.; Carbone, P.P. Toxicity and response criteria of the Eastern Cooperative Oncology Group. Am. J. Clin. Oncol. 1982, 5, 649–655. [Google Scholar] [CrossRef]
- Xu, W.; Gu, B.; Lotter, W.E.; Kehl, K.L. Extraction and Imputation of Eastern Cooperative Oncology Group Performance Status From Unstructured Oncology Notes Using Language Models. JCO Clin. Cancer Inform. 2024, 8, e2300269. [Google Scholar] [CrossRef] [PubMed]
- CDC. 1994 Revised classification system for human immunodeficiency virus infection in children less than 13 years of age. Morb. Mortal. Wkly. Rep. 1994, 43, 1–10. Available online: https://www.cdc.gov/mmwr/pdf/rr/rr6303.pdf (accessed on 12 January 2024).
- Lister, T.A.; Crowther, D.; Sutcliffe, S.B.; Glatstein, E.; Canellos, G.P.; Young, R.C.; Rosenberg, S.A.; Coltman, C.A.; Tubiana, M. Report of a committee convened to discuss the evaluation and staging of patients with Hodgkin’s disease: Cotswolds meeting. J. Clin. Oncol. 1989, 7, 1630–1636. [Google Scholar] [CrossRef]
- Shi, Y.; Mi, L.; Lai, Y.; Zhao, M.; Jia, L.; Du, T.; Song, Y.; Li, X. PD-L1 immunohistochemistry assay optimization to provide more comprehensive pathological information in classic Hodgkin lymphoma. J. Hematop. 2023, 16, 7–16. [Google Scholar] [CrossRef]
- Li, X. Pitfalls in the pathological diagnosis of lymphoma. Chin. Clin. Oncol. 2015, 4, 3. [Google Scholar] [CrossRef]
- Hoppe, R.T.; Advani, R.H.; Ai, W.Z.; Ambinder, R.F.; Armand, P.; Bello, C.M.; Benitez, C.M.; Chen, W.; Dabaja, B.; Daly, M.E.; et al. NCCN Guidelines® Insights: Hodgkin Lymphoma, Version 2.2022. J. Natl. Compr. Cancer Netw. 2022, 20, 322–334. [Google Scholar] [CrossRef]
- Hasenclever, D.; Diehl, V. A prognostic score for advanced Hodgkin’s disease. International Prognostic Factors Project on Advanced Hodgkin’s Disease. N. Engl. J. Med. 1998, 339, 1506–1514. [Google Scholar] [CrossRef] [PubMed]
- Noy, A. Optimizing treatment of HIV-associated lymphoma. Blood 2019, 134, 1385–1394. [Google Scholar] [CrossRef]
- Mehta, P.; McAuley, D.F.; Brown, M.; Sanchez, E.; Tattersall, R.S.; Manson, J.J.; HLH Across Speciality Collaboration, U.K. COVID-19: Consider cytokine storm syndromes and immunosuppression. Lancet 2020, 395, 1033–1034. [Google Scholar] [CrossRef]
- Mozzini, C.; Girelli, D. The role of Neutrophil Extracellular Traps in COVID-19: Only an hypothesis or a potential new field of research? Thromb. Res. 2020, 191, 26–27. [Google Scholar] [CrossRef]
- Tesoriero, J.M.; Swain, C.E.; Pierce, J.L.; Zamboni, L.; Wu, M.; Holtgrave, D.R.; Gonzalez, C.J.; Udo, T.; Morne, J.E.; Hart-Malloy, R.; et al. COVID-19 Outcomes Among Persons Living With or Without Diagnosed HIV Infection in New York State. JAMA Netw. Open 2021, 4, e2037069. [Google Scholar] [CrossRef] [PubMed]
- Ssentongo, P.; Heilbrunn, E.S.; Ssentongo, A.E.; Advani, S.; Chinchilli, V.M.; Nunez, J.J.; Du, P. Epidemiology and outcomes of COVID-19 in HIV-infected individuals: A systematic review and meta-analysis. Sci. Rep. 2021, 11, 6283. [Google Scholar] [CrossRef] [PubMed]
- Viguerie, A.; Jacobson, E.U.; Hicks, K.A.; Bates, L.; Carrico, J.; Honeycutt, A.; Lyles, C.; Farnham, P.G. Assessing the Impact of COVID-19 on HIV Outcomes in the United States: A Modeling Study. Sex. Transm. Dis. 2024, 51, 299–304. [Google Scholar] [CrossRef]
- He, W.; Chen, L.; Yuan, G.; Fang, Y.; Chen, W.; Wu, D.; Liang, B.; Lu, X.; Ma, Y.; Li, L.; et al. COVID-19 in persons with haematological cancers. Leukemia 2020, 34, 1637–1645. [Google Scholar] [CrossRef]
- Regalado-Artamendi, I.; Jiménez-Ubieto, A.; Hernández-Rivas, J.; Navarro, B.; Núñez, L.; Alaez, C.; Córdoba, R.; Peñalver, F.J.; Cannata, J.; Estival, P.; et al. Risk Factors and Mortality of COVID-19 in Patients with Lymphoma: A Multicenter Study. Hemasphere 2021, 5, e538. [Google Scholar] [CrossRef] [PubMed]
- Pagano, L.; Salmanton-García, J.; Marchesi, F.; Busca, A.; Corradini, P.; Hoenigl, M.; Klimko, N.; Koehler, P.; Pagliuca, A.; Passamonti, F.; et al. COVID-19 infection in adult patients with hematological malignancies: A European Hematology Association Survey (EPICOVIDEHA). J. Hematol. Oncol. 2021, 14, 168. [Google Scholar] [CrossRef]
- Yonal-Hindilerden, I.; Hindilerden, F.; Mastanzade, M.; Tiryaki, T.O.; Tasan-Yenigun, S.; Bilen, Y.; Aksoz, S.; Cagatay, A.A.; Nalcaci, M. Case Report: Severe COVID-19 Pneumonia in a Patient With Relapsed/Refractory Hodgkin’s Lymphoma. Front. Oncol. 2021, 11, 601709. [Google Scholar] [CrossRef]
- Fakharian, A.; Ebrahimibagha, H.; Mirenayat, M.S.; Farahmandi, F. COVID-19 Reinfection in a Patient with Hodgkin Lymphoma: A Case Report. Tanaffos 2021, 20, 71–74. [Google Scholar]
- Hamed, M.; Alamoudi, D. Recurrent COVID-19 Infection in a Refractory/Classical Hodgkin’s Lymphoma Patient Undergoing Autologous Stem Cell Transplantation: A Case Report. Cureus 2023, 15, e46950. [Google Scholar] [CrossRef]
- Cartas, U.S.; González, J.L.V.; Hernandez, W.; Ríos, C.A.G. Lymphoma as a Complication of Recurrent COVID-19 Infection in Patients with Rheumatic Disease. Ann. Case Rep. 2022, 7, 1042. [Google Scholar] [CrossRef]
- Veyri, M.; Lavolé, A.; Choquet, S.; Costagliola, D.; Solas, C.; Katlama, C.; Poizot-Martin, I.; Spano, J.P. Do people living with HIV face more secondary cancers than general population: From the French CANCERVIH network. Bull. Cancer 2021, 108, 908–914. [Google Scholar] [CrossRef] [PubMed]
- Berhan, A.; Bayleyegn, B.; Getaneh, Z. HIV/AIDS Associated Lymphoma: Review. Blood Lymphat. Cancer 2022, 12, 31–45. [Google Scholar] [CrossRef]
- Dolcetti, R.; Gloghini, A.; Caruso, A.; Carbone, A. A lymphomagenic role for HIV beyond immune suppression? Blood 2016, 127, 1403–1409. [Google Scholar] [CrossRef] [PubMed]
- Navarro, J.T.; Moltó, J.; Tapia, G.; Ribera, J.M. Hodgkin Lymphoma in People Living with HIV. Cancers 2021, 13, 4366. [Google Scholar] [CrossRef]
- European AIDS Clinical Society (EACS). Guideline Version 12.0 October 2023. Available online: https://www.eacsociety.org/media/guidelines-12.0.pdf (accessed on 10 December 2024).
- Branch, C.; Parson-Martinez, J.; Cory, T.J. Drug-drug interactions in HIV-infected patients receiving chemotherapy. Expert. Opin. Drug Metab. Toxicol. 2025, 21, 15–27. [Google Scholar] [CrossRef] [PubMed]
- Zelenetz, A.D.; Gordon, L.I.; Chang, J.E.; Christian, B.; Abramson, J.S.; Advani, R.H.; Bartlett, N.L.; Budde, L.E.; Caimi, P.F.; De Vos, S.; et al. NCCN Guidelines® Insights: B-Cell Lymphomas, Version 5.2021. J. Natl. Compr. Cancer Netw. 2021, 19, 1218–1230. [Google Scholar] [CrossRef]
- Konkay, K.; Paul, T.R.; Uppin, S.G.; Rao, D.R. Hodgkin lymphoma: A clinicopathological and immunophenotypic study. Indian J. Med. Paediatr. Oncol. 2016, 37, 59–65. [Google Scholar] [CrossRef] [PubMed]
- Liu, Y.; Xie, X.; Li, J.; Xiao, Q.; He, S.; Fu, H.; Zhang, X. Immune Characteristics and Immunotherapy of HIV-Associated Lymphoma. Curr. Issues Mol. Biol. 2024, 46, 9984–9997. [Google Scholar] [CrossRef]
- Mao, X.; Li, Y.; Liu, S.; He, C.; Yi, S.; Kuang, D.; Xiao, M.; Zhu, L.; Wang, C. Multicolor flow cytometric assessment of Ki67 expression and its diagnostic value in mature B-cell neoplasms. Front. Oncol. 2023, 13, 1108837. [Google Scholar] [CrossRef]
- Verdu-Bou, M.; Tapia, G.; Hernandez-Rodriguez, A.; Navarro, J.T. Clinical and Therapeutic Implications of Epstein-Barr Virus in HIV-Related Lymphomas. Cancers 2021, 13, 5534. [Google Scholar] [CrossRef]
- Muncunill, J.; Baptista, M.J.; Hernandez-Rodríguez, Á.; Dalmau, J.; Garcia, O.; Tapia, G.; Moreno, M.; Sancho, J.M.; Martínez-Picado, J.; Feliu, E.; et al. Plasma Epstein-Barr Virus Load as an Early Biomarker and Prognostic Factor of Human Immunodeficiency Virus-related Lymphomas. Clin. Infect. Dis. 2019, 68, 834–843. [Google Scholar] [CrossRef] [PubMed]
- Grebenciucova, E.; VanHaerents, S. Interleukin 6: At the interface of human health and disease. Front. Immunol. 2023, 14, 1255533. [Google Scholar] [CrossRef] [PubMed]
- Ganapathi, K.A.; Nicolae, A.; Egan, C.; Geng, H.; Xi, L.; Pack, S.D.; McFadden, J.R.; Raffeld, M.; Jaffe, E.S.; Pittaluga, S. Peripheral T-cell lymphomas expressing CD30 and CD15 expand the spectrum of anaplastic large cell lymphoma, ALK-negative. Br. J. Haematol. 2024, 204, 1862–1871. [Google Scholar] [CrossRef]
- Zhao, H.; Cai, S.; Xiao, Y.; Xia, M.; Chen, H.; Xie, Z.; Tang, X.; He, H.; Peng, J.; Chen, J. Expression and prognostic significance of the PD-1/PD-L1 pathway in AIDS-related non-Hodgkin lymphoma. Cancer Med. 2024, 13, e7195. [Google Scholar] [CrossRef]
- Hübel, K.; Bower, M.; Aurer, I.; Bastos-Oreiro, M.; Besson, C.; Brunnberg, U.; Cattaneo, C.; Collins, S.; Cwynarski, K.; Pria, A.D.; et al. Human immunodeficiency virus-associated Lymphomas: EHA-ESMO Clinical Practice Guideline for diagnosis, treatment and follow-up. Hemasphere 2024, 8, e150. [Google Scholar] [CrossRef] [PubMed]
- Mebratie, D.Y.; Dagnaw, G.G. Review of immunohistochemistry techniques: Applications, current status, and future perspectives. Semin. Diagn. Pathol. 2024, 41, 154–160. [Google Scholar] [CrossRef]
- Magaki, S.; Hojat, S.A.; Wei, B.; So, A.; Yong, W.H. An Introduction to the Performance of Immunohistochemistry. Methods Mol. Biol. 2019, 1897, 289–298. [Google Scholar] [CrossRef]
- Yimpak, P.; Bumroongkit, K.; Tantiworawit, A.; Rattanathammethee, T.; Aungsuchawan, S.; Daroontum, T. Immunohistochemistry-based investigation of MYC, BCL2, and Ki-67 protein expression and their clinical impact in diffuse large B-cell lymphoma in upper Northern Thailand. PLoS ONE 2024, 19, e0307253. [Google Scholar] [CrossRef]
- Höft, M.A.; Burgers, W.A.; Riou, C. The immune response to SARS-CoV-2 in people with HIV. Cell Mol. Immunol. 2024, 21, 184–196. [Google Scholar] [CrossRef]
- Narita, K.; Nakaji, S.; Tabata, R.; Terao, T.; Kuzume, A.; Tsushima, T.; Ikeda, D.; Fukumoto, A.; Miura, D.; Takeuchi, M.; et al. Antibody response to COVID-19 vaccination in patients with lymphoma. Int. J. Hematol. 2022, 115, 728–736. [Google Scholar] [CrossRef]
- Hall, V.G.; Teh, B.W. COVID-19 Vaccination in Patients with Cancer and Patients Receiving HSCT or CAR-T Therapy: Immune Response, Real-World Effectiveness, and Implications for the Future. J. Infect. Dis. 2023, 228 (Suppl. S1), S55–S69. [Google Scholar] [CrossRef] [PubMed]


|
Disclaimer/Publisher’s Note: The statements, opinions and data contained in all publications are solely those of the individual author(s) and contributor(s) and not of MDPI and/or the editor(s). MDPI and/or the editor(s) disclaim responsibility for any injury to people or property resulting from any ideas, methods, instructions or products referred to in the content. |
© 2025 by the authors. Licensee MDPI, Basel, Switzerland. This article is an open access article distributed under the terms and conditions of the Creative Commons Attribution (CC BY) license (https://creativecommons.org/licenses/by/4.0/).
Share and Cite
Padurariu-Covit, M.-D.; Andreescu, M.; Niculet, E.; Plesea-Condratovici, A.; Arbune, M. Managing HIV-Associated Hodgkin Lymphoma During the COVID-19 Pandemic: Case Report and Literature Review. Viruses 2025, 17, 404. https://doi.org/10.3390/v17030404
Padurariu-Covit M-D, Andreescu M, Niculet E, Plesea-Condratovici A, Arbune M. Managing HIV-Associated Hodgkin Lymphoma During the COVID-19 Pandemic: Case Report and Literature Review. Viruses. 2025; 17(3):404. https://doi.org/10.3390/v17030404
Chicago/Turabian StylePadurariu-Covit, Monica-Daniela, Mihaela Andreescu, Elena Niculet, Alina Plesea-Condratovici, and Manuela Arbune. 2025. "Managing HIV-Associated Hodgkin Lymphoma During the COVID-19 Pandemic: Case Report and Literature Review" Viruses 17, no. 3: 404. https://doi.org/10.3390/v17030404
APA StylePadurariu-Covit, M.-D., Andreescu, M., Niculet, E., Plesea-Condratovici, A., & Arbune, M. (2025). Managing HIV-Associated Hodgkin Lymphoma During the COVID-19 Pandemic: Case Report and Literature Review. Viruses, 17(3), 404. https://doi.org/10.3390/v17030404

