Fatal Bluetongue Virus Serotype 3 Infection in Female Dogs: A Case Report from Alentejo, Portugal, 2024
Abstract
1. Introduction
2. Materials and Methods
2.1. Case Descriptions
2.2. Necropsy and Histopathology
2.3. Nucleic Acid Extraction
2.4. Molecular Diagnosis
2.5. Sequencing on the MinION™ Platform
2.6. Brucella spp. Isolation
2.7. Viral Isolation
3. Results
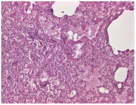
3.1. Necropsy and Histopathology Data
3.2. Microbiological Findings
3.3. Virus Isolation
Molecular Characterisation of the Viral Isolate
4. Discussion
Supplementary Materials
Author Contributions
Funding
Institutional Review Board Statement
Informed Consent Statement
Data Availability Statement
Acknowledgments
Conflicts of Interest
References
- Mertens, P.; Pedley, S.; Cowley, J.; Burroughs, J.; Corteyn, A.; Jeggo, M.; Jennings, D.; Gorman, B. Analysis of the roles of bluetongue virus outer capsid proteins VP2 and VP5 in determination of virus serotype. Virology 1989, 170, 561–565. [Google Scholar] [CrossRef]
- Ander, M.; Meiswinkel, R.; Chirico, J. Seasonal dynamics of biting midges (Diptera: Ceratopogonidae: Culicoides), the potential vectors of bluetongue virus, in Sweden. Vet. Parasitol. 2012, 184, 59–67. [Google Scholar] [CrossRef]
- Maheshwari, G. Current status of bluetongue disease, its vector and pathogenesis in India. Proc. Natl. Acad. Sci. India Sect. B Biol. Sci. 2012, 82, 463–475. [Google Scholar] [CrossRef]
- Backx, A.; Heutink, R.; van Rooij, E.; van Rijn, P. Transplacental and oral transmission of wild-type bluetongue virus serotype 8 in cattle after experimental infection. Vet. Microbiol. 2009, 138, 235–243. [Google Scholar] [CrossRef]
- Belbis, G.; Breard, E.; Cordonnier, N.; Moulin, V.; Desprat, A.; Sailleau, C.; Viarouge, C.; Doceul, V.; Zientara, S.; Millemann, Y. Evidence of transplacental transmission of bluetongue virus serotype 8 in goats. Vet. Microbiol. 2013, 166, 394–404. [Google Scholar] [CrossRef] [PubMed]
- De Clercq, K.; De Leeuw, I.; Verheyden, B.; Vandemeulebroucke, E.; Vanbinst, T.; Herr, C.; Méroc, E.; Bertels, G.; Steurbaut, N.; Miry, C. Transplacental infection and apparently immunotolerance induced by a wild-type bluetongue virus serotype 8 natural infection. Transbound. Emerg. Dis. 2008, 55, 352–359. [Google Scholar] [CrossRef]
- Menzies, F.; McCullough, S.; McKeown, I.; Forster, J.; Jess, S.; Batten, C.; Murchie, A.; Gloster, J.; Fallows, J.; Pelgrim, W. Evidence for transplacental and contact transmission of bluetongue virus in cattle. Vet. Rec. 2008, 163, 203–209. [Google Scholar] [CrossRef] [PubMed]
- Falconi, C.; Lopez-Olvera, J.R.; Gortazar, C. BTV infection in wild ruminants, with emphasis on red deer: A review. Vet. Microbiol. 2011, 151, 209–219. [Google Scholar] [CrossRef] [PubMed]
- Johnson, D.J.; Ostlund, E.N.; Stallknecht, D.E.; Goekjian, V.H.; Jenkins-Moore, M.; Harris, S.C. First report of bluetongue virus serotype 1 isolated from a white-tailed deer in the United States. J. Vet. Diagn. Investig. 2006, 18, 398–401. [Google Scholar] [CrossRef]
- MacLachlan, N.J. The pathogenesis and immunology of bluetongue virus infection of ruminants. Comp. Immunol. Microbiol. Infect. Dis. 1994, 17, 197–206. [Google Scholar] [CrossRef]
- Robinson, R.M.; Hailey, T.L.; Livingston, C.W.; Thomas, J.W. Bluetongue in the Desert Bighorn Sheep. J. Wildl. Manag. 1967, 31, 165–168. [Google Scholar] [CrossRef]
- Alexander, K.A.; MacLachlan, N.J.; Kat, P.W.; House, C.; O’Brien, S.J.; Lerche, N.W.; Sawyer, M.; Frank, L.G.; Holekamp, K.; Smale, L.; et al. Evidence of natural bluetongue virus infection among African carnivores. Am. J. Trop. Med. Hyg. 1994, 51, 568–576. [Google Scholar] [CrossRef] [PubMed]
- Brown, C.; Rhyan, J.; Grubman, M.; Wilbur, L. Distribution of bluetongue virus in tissues of experimentally infected pregnant dogs as determined by in situ hybridization. Vet. Pathol. 1996, 33, 337–340. [Google Scholar] [CrossRef]
- Caballero-Gómez, J.; Sánchez-Sánchez, M.; Lorca-Oró, C.; de Mera, I.G.F.; Zorrilla, I.; López, G.; Rosell, R.; Grande-Gómez, R.; Montoya-Oliver, J.I.; Salcedo, J. Bluetongue Virus in the Iberian Lynx (Lynx pardinus), 2010–2022. Emerg. Infect. Dis. 2024, 30, 2169. [Google Scholar] [CrossRef]
- Dubovi, E.J.; Hawkins, M.; Griffin, R.A., Jr.; Johnson, D.J.; Ostlund, E.N. Isolation of Bluetongue virus from canine abortions. J. Vet. Diagn. Investig. 2013, 25, 490–492. [Google Scholar] [CrossRef]
- Hanekom, J.; Ebersohn, K.; Penzhorn, L.; Quan, M.; Leisewitz, A.; Guthrie, A.; Fosgate, G.T. Bluetongue Virus Infection in Farm Dogs Exposed to an Infected Sheep Flock in South Africa. Transbound. Emerg. Dis. 2024, 2024, 2446398. [Google Scholar] [CrossRef]
- Hanekom, J.; Hoepner, S.; Du Preez, K.; Leisewitz, A. The clinical presentation and management of a naturally occurring Bluetongue virus infection in a pregnant Rottweiler dog. J. S. Afr. Vet. Assoc. 2022, 93, 151–155. [Google Scholar] [CrossRef] [PubMed]
- Jauniaux, T.P.; De Clercq, K.E.; Cassart, D.E.; Kennedy, S.; Vandenbussche, F.E.; Vandemeulebroucke, E.L.; Vanbinst, T.M.; Verheyden, B.I.; Goris, N.E.; Coignoul, F.L. Bluetongue in Eurasian lynx. Emerg. Infect. Dis. 2008, 14, 1496–1498. [Google Scholar] [CrossRef] [PubMed]
- Oura, C.; El Harrak, M. Midge-transmitted bluetongue in domestic dogs. Epidemiol. Infect. 2011, 139, 1396–1400. [Google Scholar] [CrossRef]
- Barros, S.C.; Henriques, A.M.; Ramos, F.; Luís, T.; Fagulha, T.; Magalhães, A.; Caetano, I.; Abade dos Santos, F.; Correia, F.O.; Santana, C.C.; et al. Emergence of Bluetongue Virus Serotype 3 in Portugal. Viruses 2024, 16, 1845. [Google Scholar] [CrossRef]
- Holwerda, M. Bluetongue Found in Dutch Dog. Available online: https://www.wur.nl/en/research-results/research-institutes/bioveterinary-research/show-bvr/bluetongue-found-in-dutch-dog.htm (accessed on 8 October 2024).
- Abade Dos Santos, F.A.; Carvalho, C.L.; Peleteiro, M.C.; Parra, F.; Duarte, M.D. A Versatile qPCR for Diagnosis of Leporid Gammaherpesvirus 5 Using Evagreen® or Taqman® Technologies. Viruses 2021, 13, 715. [Google Scholar] [CrossRef] [PubMed]
- Hofmann, M.; Griot, C.; Chaignat, V.; Perler, L.; Thür, B. Bluetongue disease reaches Switzerland. Schweiz. Arch. Tierheilkd. 2008, 150, 49–56. [Google Scholar] [CrossRef] [PubMed]
- Lorusso, A.; Sghaier, S.; Di Domenico, M.; Barbria, M.E.; Zaccaria, G.; Megdich, A.; Portanti, O.; Seliman, I.B.; Spedicato, M.; Pizzurro, F. Analysis of bluetongue serotype 3 spread in Tunisia and discovery of a novel strain related to the bluetongue virus isolated from a commercial sheep pox vaccine. Infect. Genet. Evol. 2018, 59, 63–71. [Google Scholar] [CrossRef]
- Decaro, N.; Elia, G.; Martella, V.; Desario, C.; Campolo, M.; Trani, L.D.; Tarsitano, E.; Tempesta, M.; Buonavoglia, C. A real-time PCR assay for rapid detection and quantitation of canine parvovirus type 2 in the feces of dogs. Vet. Microbiol. 2005, 105, 19–28. [Google Scholar] [CrossRef]
- Dowgier, G.; Mari, V.; Losurdo, M.; Larocca, V.; Colaianni, M.L.; Cirone, F.; Lucente, M.S.; Martella, V.; Buonavoglia, C.; Decaro, N. A duplex real-time PCR assay based on TaqMan technology for simultaneous detection and differentiation of canine adenovirus types 1 and 2. J. Virol. Methods 2016, 234, 1–6. [Google Scholar] [CrossRef] [PubMed]
- Decaro, N.; Amorisco, F.; Desario, C.; Lorusso, E.; Camero, M.; Bellacicco, A.L.; Sciarretta, R.; Lucente, M.S.; Martella, V.; Buonavoglia, C. Development and validation of a real-time PCR assay for specific and sensitive detection of canid herpesvirus 1. J. Virol. Methods 2010, 169, 176–180. [Google Scholar] [CrossRef]
- Nonaka, C.K.V.; Fonseca, A.A.; Guedes, E.O.; D’ Ambros, R.M.; Lima, G.K.; Camargos, M.F.; Heinemann, M.B. Different methods of real-time PCR for detection of pseudorabies virus. Ciência Rural 2017, 47, e20160342. [Google Scholar] [CrossRef]
- Bounaadja, L.; Albert, D.; Chénais, B.; Hénault, S.; Zygmunt, M.S.; Poliak, S.; Garin-Bastuji, B. Real-time PCR for identification of Brucella spp.: A comparative study of IS711, bcsp31 and per target genes. Vet. Microbiol. 2009, 137, 156–164. [Google Scholar] [CrossRef]
- Ossewaarde, J.M.; Meijer, A. Molecular evidence for the existence of additional members of the order Chlamydiales. Microbiology 1999, 145 Pt 2, 411–417. [Google Scholar] [CrossRef] [PubMed]
- Lewandowski, K.; Xu, Y.; Pullan, S.T.; Lumley, S.F.; Foster, D.; Sanderson, N.; Vaughan, A.; Morgan, M.; Bright, N.; Kavanagh, J.; et al. Metagenomic Nanopore Sequencing of Influenza Virus Direct from Clinical Respiratory Samples. J. Clin. Microbiol. 2019, 58, e00963-19. [Google Scholar] [CrossRef] [PubMed]
- Allander, T.; Tammi, M.T.; Eriksson, M.; Bjerkner, A.; Tiveljung-Lindell, A.; Andersson, B. Cloning of a human parvovirus by molecular screening of respiratory tract samples. Proc. Natl. Acad. Sci. USA 2005, 102, 12891–12896. [Google Scholar] [CrossRef] [PubMed] [PubMed Central]
- Farrell, I.D. The development of a new selective medium for the isolation of Brucella abortus from contaminated sources. Res Vet. Sci. 1974, 16, 280–286. [Google Scholar] [CrossRef] [PubMed]
- Alton, G.G.; Jones, L.M.; Angus, R.; Verger, J. Techniques for the Brucellosis Laboratory; INRA: Paris, France, 1988. [Google Scholar]
- Bowen, R.; Howard, T. Transmission of bluetongue virus by intrauterine inoculation or insemination of virus-containing bovine semen. Am. J. Vet. Res. 1984, 45, 1386–1388. [Google Scholar]
- Kirschvink, N.; Raes, M.; Saegerman, C. Impact of a natural bluetongue serotype 8 infection on semen quality of Belgian rams in 2007. Vet. J. 2009, 182, 244–251. [Google Scholar] [CrossRef]
- Coetzee, M.; Hunt, R.H.; Wilkerson, R.; Della Torre, A.; Coulibaly, M.B.; Besansky, N.J. Anopheles coluzzii and Anopheles amharicus, new members of the Anopheles gambiae complex. Zootaxa 2013, 3619, 246–274. [Google Scholar] [CrossRef]
- Darpel, K.E.; Batten, C.A.; Veronesi, E.; Williamson, S.; Anderson, P.; Dennison, M.; Clifford, S.; Smith, C.; Philips, L.; Bidewell, C. Transplacental transmission of bluetongue virus 8 in cattle, UK. Emerg. Infect. Dis. 2009, 15, 2025. [Google Scholar] [CrossRef] [PubMed]
- Desmecht, D.; Bergh, R.V.; Sartelet, A.; Leclerc, M.; Mignot, C.; Misse, F.; Sudraud, C.; Berthemin, S.; Jolly, S.; Mousset, B. Evidence for transplacental transmission of the current wild-type strain of bluetongue virus serotype 8 in cattle. Vet. Rec. 2008, 163, 50. [Google Scholar] [CrossRef]
- Rasmussen, L.D.; Savini, G.; Lorusso, A.; Bellacicco, A.; Palmarini, M.; Caporale, M.; Rasmussen, T.B.; Belsham, G.J.; Bøtner, A. Transplacental transmission of field and rescued strains of BTV-2 and BTV-8 in experimentally infected sheep. Vet. Res. 2013, 44, 75. [Google Scholar] [CrossRef]
- Bouwknegt, C.; van Rijn, P.A.; Schipper, J.J.; Hölzel, D.; Boonstra, J.; Nijhof, A.M.; van Rooij, E.M.A.; Jongejan, F. Potential role of ticks as vectors of blue-tongue virus. Exp. Appl. Acarol. 2010, 52, 183–192. [Google Scholar] [CrossRef] [PubMed]
- Batten, C.; Henstock, M.; Steedman, H.; Waddington, S.; Edwards, L.; Oura, C. Bluetongue virus serotype 26: Infection kinetics, pathogenesis and possible contact transmission in goats. Vet. Microbiol. 2013, 162, 62–67. [Google Scholar] [CrossRef]

| Viruses | Kit Used | Genomic Region Targeted | Size of Amplicon | Tissue Used | Reference of the Method |
|---|---|---|---|---|---|
| Bluetongue virus | One-step NZYSpeedy RT-qPCR Probe kit | NS3 gene | 97 bp | blood | [23] |
| BTV-1 | One-step NZYSpeedy RT-qPCR Probe kit | vp2 gene | 194 bp | blood | In house, unpublished |
| BTV-3 | One-step NZYSpeedy RT-qPCR Probe kit | vp2 gene | 74 bp | blood, foetus, intestine, kidney, liver, lung, spleen, uterus, | [24] |
| BTV-4 | One-step NZYSpeedy RT-qPCR Probe kit | vp2 gene | 109 bp | blood | In house, unpublished |
| BTV-8 | One-step NZYSpeedy RT-qPCR Probe kit | vp2 gene | 66 bp | blood | WOAH recommended method |
| Canine parvovirus | NZYSpeedy qPCR Probe Master Mix (2x) | vp2 gene | 93 bp | kidney, liver, lung, spleen | [25] |
| Canine distemper virus | One-step NZYSpeedy RT-qPCR Probe kit | N gene | 161 bp | blood, kidney, liver, lung, spleen | In house, unpublished |
| Canine adenovirus | NZYSpeedy qPCR Probe Master Mix (2x) | hexon gene | 80 bp | blood, spleen, lung, liver, kidney | [26] |
| Canine herpesvirus | NZYSpeedy qPCR Probe Master Mix (2x) | gB gene | 136 bp | blood, spleen, lung, liver, kidney | [27] |
| Aujeszky’s disease virus | NZYSpeedy qPCR Probe Master Mix (2x) | gB | 96 bp | blood, spleen, liver, lung, kidney | [28] |
| gE | 136 bp | ||||
| Brucella spp. | TaqMan Universal PCR Master Mix | bcsp31 | 224 bp | blood, spleen, placenta | [29] |
| Chlamydia spp. | GoTaq® G2 DNA Polymerase (Promega, Madison, WI, USA) | 16S rDNA | 270 pb | placenta | [30] |
| Coxiella spp. | AdiaLyo Coxiella (BioX Diagnostics, Rochefort, Belgium) | IS1111 | undisclosed | placenta | commercial ADL14Y1-100-ADIALYO kit |
| Dog ID | Biological Matrix | Ct Value |
|---|---|---|
| 1 | liver | 20.86 |
| spleen | 18.74 | |
| lung | 23.27 | |
| kidney | 22.32 | |
| 2 | blood | 17.40 |
| spleen | 18.59 | |
| foetus (liver and heart) | 27.57 | |
| placenta | 16.33 | |
| 3 | blood | 23.93 |
| uterus | 28.26 | |
| liver | 22.12 | |
| spleen | 22.05 | |
| lung | 25.15 | |
| kidney | 24.72 | |
| 4 | blood | 25.28 |
Disclaimer/Publisher’s Note: The statements, opinions and data contained in all publications are solely those of the individual author(s) and contributor(s) and not of MDPI and/or the editor(s). MDPI and/or the editor(s) disclaim responsibility for any injury to people or property resulting from any ideas, methods, instructions or products referred to in the content. |
© 2025 by the authors. Licensee MDPI, Basel, Switzerland. This article is an open access article distributed under the terms and conditions of the Creative Commons Attribution (CC BY) license (https://creativecommons.org/licenses/by/4.0/).
Share and Cite
Barros, S.C.; Maroco, D.; Henriques, A.M.; Costa, M.L.; Alves, A.; Ramos, F.; Duarte, A.; Fagulha, T.; Varanda, I.C.; Santos, F.A.d.; et al. Fatal Bluetongue Virus Serotype 3 Infection in Female Dogs: A Case Report from Alentejo, Portugal, 2024. Viruses 2025, 17, 159. https://doi.org/10.3390/v17020159
Barros SC, Maroco D, Henriques AM, Costa ML, Alves A, Ramos F, Duarte A, Fagulha T, Varanda IC, Santos FAd, et al. Fatal Bluetongue Virus Serotype 3 Infection in Female Dogs: A Case Report from Alentejo, Portugal, 2024. Viruses. 2025; 17(2):159. https://doi.org/10.3390/v17020159
Chicago/Turabian StyleBarros, Sílvia C., Diogo Maroco, Ana M. Henriques, Maria L. Costa, Alexandra Alves, Fernanda Ramos, Ana Duarte, Teresa Fagulha, Inês C. Varanda, Fábio Abade dos Santos, and et al. 2025. "Fatal Bluetongue Virus Serotype 3 Infection in Female Dogs: A Case Report from Alentejo, Portugal, 2024" Viruses 17, no. 2: 159. https://doi.org/10.3390/v17020159
APA StyleBarros, S. C., Maroco, D., Henriques, A. M., Costa, M. L., Alves, A., Ramos, F., Duarte, A., Fagulha, T., Varanda, I. C., Santos, F. A. d., Ferreira, A. C., Barahona, M. J., Carvalho, P. M., Orvalho, M., & Duarte, M. D. (2025). Fatal Bluetongue Virus Serotype 3 Infection in Female Dogs: A Case Report from Alentejo, Portugal, 2024. Viruses, 17(2), 159. https://doi.org/10.3390/v17020159

