Small Molecule Compounds Inhibit Varicella-Zoster Virus Replication by Targeting the Portal Protein–Capsid Interface
Abstract
1. Introduction
1.1. VZV Treatment Options
1.2. DNA Encapsidation and the VZV Portal Protein (pORF54)
2. Materials and Methods
2.1. Bacterial Artificial Chromosomes, Plasmids, Bacterial Strains, Baculoviruses, and Oligonucleotide Primers
2.2. Cells and Viruses
2.3. DNA Mutagenesis
2.4. DNA Sequencing
2.5. Agarose Gel Electrophoresis and DNA Restriction
2.6. Recombineering ORF54 Mutants
2.7. BAC DNA Isolation and Transfection of ARPE19 Cells
2.8. Replication Kinetics
2.9. Yield Reduction Assay (For Recombinant VZVLUC and TN Insertion Viruses)
2.10. ELISA and Plaque Reduction Assays (For Ellen Resistant Isolates)
2.11. SDS PAGE, Western Blotting, and Antibodies
2.12. Purification of VZV Virions
3. Results
3.1. Isolation of an Original Panel of VZV Drug Resistant Isolates
3.2. Targeted Mutagenesis of ORF54
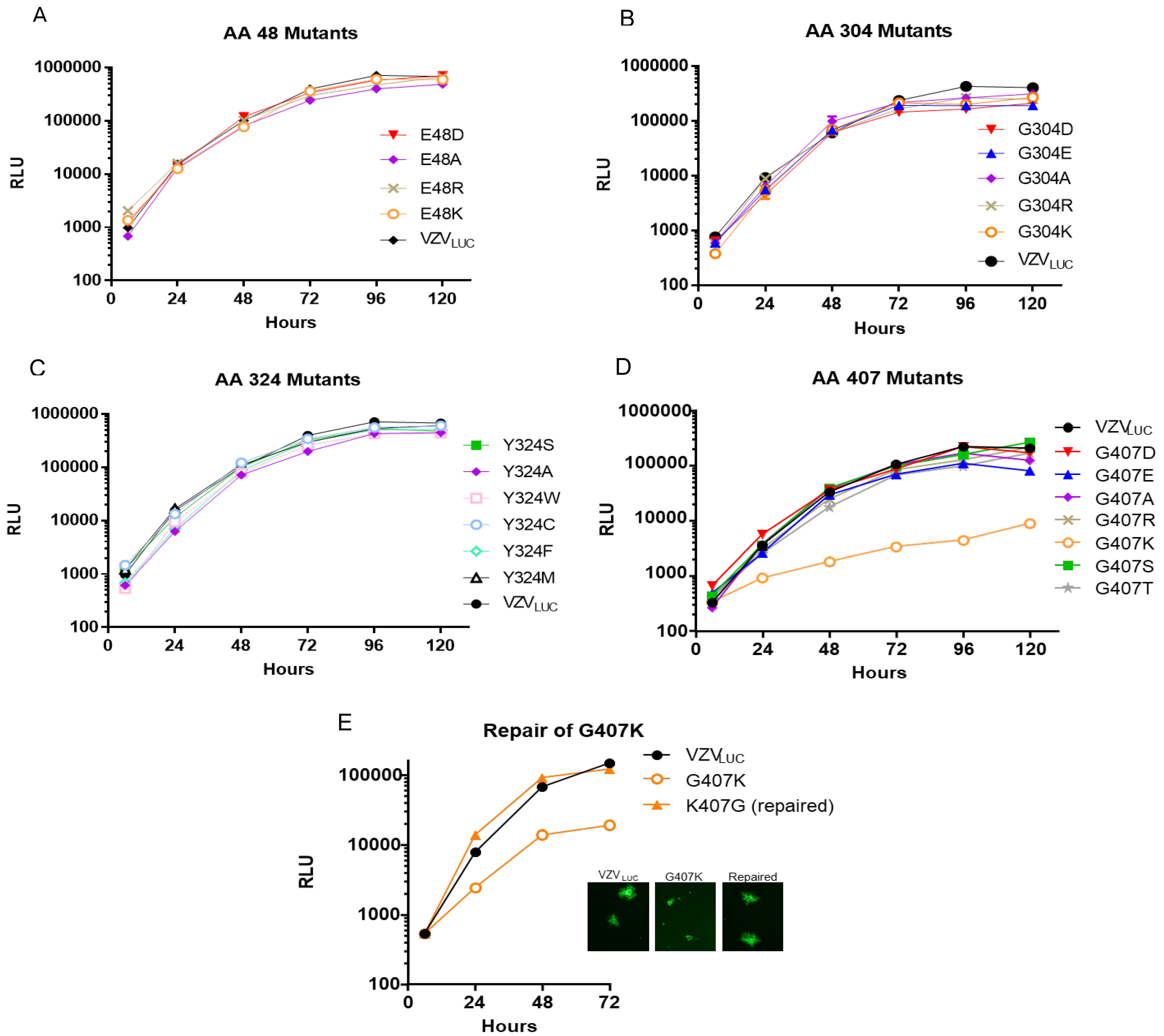
3.3. Replication Kinetics of Mutant Viruses
3.4. Activity of an α-Methylbenzyl Thiourea Compound (Comp I) Against VZV Mutants
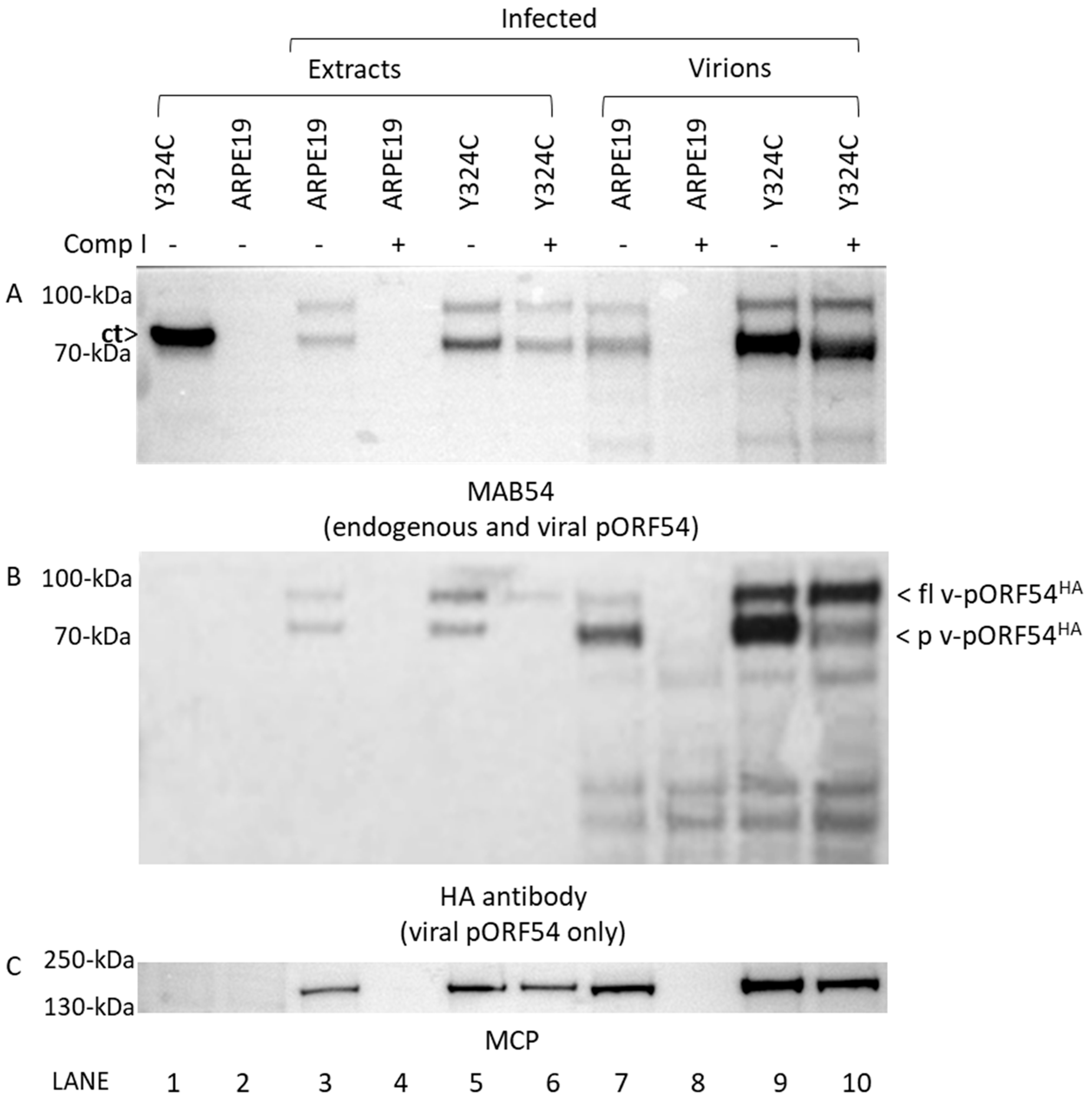
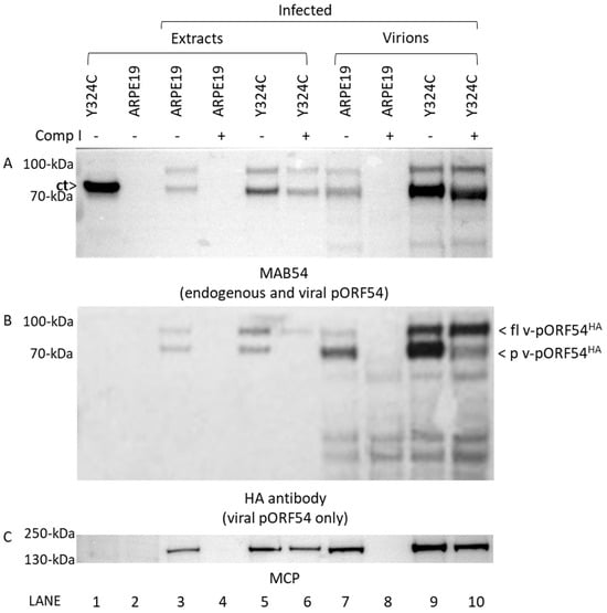
3.5. Dissecting the Mechanism of Action for Comp I
4. Discussion
Author Contributions
Funding
Data Availability Statement
Acknowledgments
Conflicts of Interest
References
- Moffat, J.; Ku, C.C.; Zerboni, L.; Sommer, M.; Arvin, A. VZV: Pathogenesis and the disease consequences of primary infection. In Human Herpesviruses: Biology, Therapy, and Immunoprophylaxis; Arvin, A., Campadelli-Fiume, G., Mocarski, E., Moore, P.S., Roizman, B., Eds.; Cambridge University Press: Cambridge, UK, 2007. [Google Scholar]
- Arvin, A.M. Human Herpesviruses: Biology, Therapy, and Immunoprophylaxis; Cambridge University Press: Cambridge, UK; New York, NY, USA, 2007; 1388p. [Google Scholar]
- Johnson, R.W. Herpes zoster and postherpetic neuralgia. Expert. Rev. Vaccines 2010, 9, 21–26. [Google Scholar] [CrossRef]
- Amlie-Lefond, C.; Gilden, D. Varicella Zoster Virus: A Common Cause of Stroke in Children and Adults. J. Stroke Cerebrovasc. Dis. 2016, 25, 1561–1569. [Google Scholar] [CrossRef]
- Gilden, D.; Cohrs, R.J.; Mahalingam, R.; Nagel, M.A. Varicella zoster virus vasculopathies: Diverse clinical manifestations, laboratory features, pathogenesis, and treatment. Lancet Neurol. 2009, 8, 731–740. [Google Scholar] [CrossRef]
- Arvin, A.M. Varicella-Zoster virus: Pathogenesis, immunity, and clinical management in hematopoietic cell transplant recipients. Biol. Blood Marrow Transplant. 2000, 6, 219–230. [Google Scholar] [CrossRef]
- Andrei, G.; Snoeck, R. Chapter Four—Advances in the Treatment of Varicella-Zoster Virus Infections. In Advances in Pharmacology; Erik De, C., Ed.; Academic Press: Cambridge, MA, USA, 2013; Volume 67, pp. 107–168. [Google Scholar]
- Kim, S.R.; Khan, F.; Tyring, S.K. Varicella zoster: An update on current treatment options and future perspectives. Expert Opin. Pharmacother. 2014, 15, 61–71. [Google Scholar] [CrossRef]
- Arvin, A.M.; Gershon, A.A. Live attenuated varicella vaccine. Annu. Rev. Microbiol. 1996, 50, 59–100. [Google Scholar] [CrossRef] [PubMed]
- Doan, H.Q.; Ung, B.; Ramirez-Fort, M.K.; Khan, F.; Tyring, S.K. Zostavax: A subcutaneous vaccine for the prevention of herpes zoster. Expert Opin. Biol. Ther. 2013, 13, 1467–1477. [Google Scholar] [CrossRef]
- Andrei, G.; Snoeck, R. Advances and Perspectives in the Management of Varicella-Zoster Virus Infections. Molecules 2021, 26, 1132. [Google Scholar] [CrossRef] [PubMed]
- Kim, S.H. Current scenario and future applicability of antivirals against herpes zoster. Korean J. Pain. 2023, 36, 4–10. [Google Scholar] [CrossRef] [PubMed]
- Lachiewicz, A.M.; Srinivas, M.L. Varicella-zoster virus post-exposure management and prophylaxis: A review. Prev. Med. Rep. 2019, 16, 101016. [Google Scholar] [CrossRef]
- Marra, Y.; Lalji, F. Prevention of Herpes Zoster: A Focus on the Effectiveness and Safety of Herpes Zoster Vaccines. Viruses 2022, 14, 2667. [Google Scholar] [CrossRef]
- Bennett, J.E.; Dolin, R.; Blaser, M.J. Mandell, Douglas, and Bennett’s Principles and Practice of Infectious Diseases, 9th ed.; Elsevier: Philadelphia, PA, USA, 2019. [Google Scholar]
- Dunkle, L.M.; Arvin, A.M.; Whitley, R.J.; Rotbart, H.A.; Feder, H.M., Jr.; Feldman, S.; Gershon, A.A.; Levy, M.L.; Hayden, G.F.; McGuirt, P.V.; et al. A controlled trial of acyclovir for chickenpox in normal children. N. Engl. J. Med. 1991, 325, 1539–1544. [Google Scholar] [CrossRef]
- Gross, G.; Doerr, H.W. Herpes zoster guidelines of the German Dermatological Society. J. Clin. Virol. 2003, 27, 308–309. [Google Scholar] [CrossRef]
- Frobert, E.; Burrel, S.; Ducastelle-Lepretre, S.; Billaud, G.; Ader, F.; Casalegno, J.-S.; Nave, V.; Boutolleau, D.; Michallet, M.; Lina, B.; et al. Resistance of herpes simplex viruses to acyclovir: An update from a ten-year survey in France. Antivir. Res. 2014, 111, 36–41. [Google Scholar] [CrossRef]
- Piret, J.; Boivin, G. Antiviral drug resistance in herpesviruses other than cytomegalovirus. Rev. Med. Virol. 2014, 24, 186–218. [Google Scholar] [CrossRef] [PubMed]
- Brunnemann, A.-K.; Bohn-Wippert, K.; Zell, R.; Henke, A.; Walther, M.; Braum, O.; Maschkowitz, G.; Fickenscher, H.; Sauerbrei, A.; Krumbholz, A. Drug Resistance of Clinical Varicella-Zoster Virus Strains Confirmed by Recombinant Thymidine Kinase Expression and by Targeted Resistance Mutagenesis of a Cloned Wild-Type Isolate. Antimicrob. Agents Chemother. 2015, 59, 2726–2734. [Google Scholar] [CrossRef]
- Ida, M.; Kageyama, S.; Sato, H.; Kamiyama, T.; Yamamura, J.-i.; Kurokawa, M.; Morohashi, M.; Shiraki, K. Emergence of resistance to acyclovir and penciclovir in varicella-zoster virus and genetic analysis of acyclovir-resistant variants. Antivir. Res. 1999, 40, 155–166. [Google Scholar] [CrossRef]
- Bonnafous, P.; Naesens, L.; Petrella, S.; Gautheret-Dejean, A.; Boutolleau, D.; Sougakoff, W.; Agut, H. Different mutations in the HHV-6 DNA polymerase gene accounting for resistance to foscarnet. Antivir. Ther. 2007, 12, 877–888. [Google Scholar] [CrossRef]
- De Clercq, E. Discovery and development of BVDU (brivudin) as a therapeutic for the treatment of herpes zoster. Biochem. Pharmacol. 2004, 68, 2301–2315. [Google Scholar] [CrossRef] [PubMed]
- Ratz Bravo, A.E.; Hofer, S.; Krahenbuhl, S.; Ludwig, C. Fatal drug-drug interaction of brivudine and capecitabine. Acta Oncol. 2009, 48, 631–633. [Google Scholar] [CrossRef] [PubMed]
- Mottu, A.; Rubbia-Brandt, L.; Bihl, F.; Hadengue, A.; Spahr, L. Acute hepatitis due to brivudin: A case report. J. Hepatol. 2009, 51, 967–969. [Google Scholar] [CrossRef] [PubMed]
- Okuda, H.; Ogura, K.; Kato, A.; Takubo, H.; Watabe, T. A possible mechanism of eighteen patient deaths caused by interactions of sorivudine, a new antiviral drug, with oral 5-fluorouracil prodrugs. J. Pharmacol. Exp. Ther. 1998, 287, 791–799. [Google Scholar] [CrossRef] [PubMed]
- Caruso Brown, A.E.; Cohen, M.N.; Tong, S.; Braverman, R.S.; Rooney, J.F.; Giller, R.; Levin, M.J. Pharmacokinetics and Safety of Intravenous Cidofovir for Life-Threatening Viral Infections in Pediatric Hematopoietic Stem Cell Transplant Recipients. Antimicrob. Agents Chemother. 2015, 59, 3718–3725. [Google Scholar] [CrossRef]
- Balzarini, J.; McGuigan, C. Bicyclic pyrimidine nucleoside analogues (BCNAs) as highly selective and potent inhibitors of varicella-zoster virus replication. J. Antimicrob. Chemother. 2002, 50, 5–9. [Google Scholar] [CrossRef]
- De, S.K.; Hart, J.C.; Breuer, J. Herpes simplex virus and varicella zoster virus: Recent advances in therapy. Curr. Opin. Infect. Dis. 2015, 28, 589–595. [Google Scholar] [CrossRef] [PubMed]
- Derudas, M.; Carta, D.; Brancale, A.; Vanpouille, C.; Lisco, A.; Margolis, L.; Balzarini, J.; McGuigan, C. The application of phosphoramidate ProTide technology to acyclovir confers anti-HIV inhibition. J. Med. Chem. 2009, 52, 5520–5530. [Google Scholar] [CrossRef]
- Knechtel, M.L.; Huang, A.; Vaillancourt, V.A.; Brideau, R.J. Inhibition of clinical isolates of human cytomegalovirus and varicella zoster virus by PNU-183792, a 4-oxo-dihydroquinoline. J. Med. Virol. 2002, 68, 234–236. [Google Scholar] [CrossRef]
- Inoue, N.; Matsushita, M.; Fukui, Y.; Yamada, S.; Tsuda, M.; Higashi, C.; Kaneko, K.; Hasegawa, H.; Yamaguchi, T. Identification of a varicella-zoster virus replication inhibitor that blocks capsid assembly by interacting with the floor domain of the major capsid protein. J. Virol. 2012, 86, 12198–12207. [Google Scholar] [CrossRef]
- Visalli, R.J.; Fairhurst, J.; Srinivas, S.; Hu, W.; Feld, B.; DiGrandi, M.; Curran, K.; Ross, A.; Bloom, J.D.; van Zeijl, M.; et al. Identification of Small Molecule Compounds That Selectively Inhibit Varicella-Zoster Virus Replication. J. Virol. 2003, 77, 2349–2358. [Google Scholar] [CrossRef][Green Version]
- Keil, T.; Liu, D.; Lloyd, M.; Coombs, W.; Moffat, J.; Visalli, R. DNA Encapsidation and Capsid Assembly Are Underexploited Antiviral Targets for the Treatment of Herpesviruses. Front. Microbiol. 2020, 11, 1862. [Google Scholar] [CrossRef]
- Di Grandi, M.J.; Curran, K.J.; Feigelson, G.; Prashad, A.; Ross, A.A.; Visalli, R.; Fairhurst, J.; Feld, B.; Bloom, J.D. Thiourea inhibitors of herpesviruses. Part 3: Inhibitors of varicella zoster virus. Bioorg. Med. Chem. Lett. 2004, 14, 4157–4160. [Google Scholar] [CrossRef]
- Lamberti, C.; Weller, S.K. The Herpes Simplex Virus Type 1 UL6 Protein Is Essential for Cleavage and Packaging but Not for Genomic Inversion. Virology 1996, 226, 403–407. [Google Scholar] [CrossRef]
- Patel, A.H.; Rixon, F.J.; Cunningham, C.; Davison, A.J. Isolation and Characterization of Herpes Simplex Virus Type 1 Mutants Defective in the UL6 Gene. Virology 1996, 217, 111–123. [Google Scholar] [CrossRef] [PubMed]
- Preston, V.G.; Murray, J.; Preston, C.M.; McDougall, I.M.; Stow, N.D. The UL25 Gene Product of Herpes Simplex Virus Type 1 Is Involved in Uncoating of the Viral Genome. J. Virol. 2008, 82, 6654–6666. [Google Scholar] [CrossRef] [PubMed]
- Cavalcoli, J.D.; Baghian, A.; Homa, F.L.; Kousoulas, K.G. Resolution of Genotypic and Phenotypic Properties of Herpes Simplex Virus Type 1 Temperature-Sensitive Mutant (KOS) tsZ47: Evidence for Allelic Complementation in the UL28 Gene. Virology 1993, 197, 23–34. [Google Scholar] [CrossRef]
- Addison, C.; Rixon, F.J.; Preston, V.G. Herpes simplex virus type 1 UL28 gene product is important for the formation of mature capsids. J. General. Virol. 1990, 71, 2377–2384. [Google Scholar] [CrossRef]
- Tengelsen, L.A.; Pederson, N.E.; Shaver, P.R.; Wathen, M.W.; Homa, F.L. Herpes simplex virus type 1 DNA cleavage and encapsidation require the product of the UL28 gene: Isolation and characterization of two UL28 deletion mutants. J. Virol. 1993, 67, 3470–3480. [Google Scholar] [CrossRef] [PubMed]
- Yu, D.; Sheaffer, A.K.; Tenney, D.J.; Weller, S.K. Characterization of ICP6::lacZ insertion mutants of the UL15 gene of herpes simplex virus type 1 reveals the translation of two proteins. J. Virol. 1997, 71, 2656–2665. [Google Scholar] [CrossRef]
- Baines, J.D.; Poon, A.P.; Rovnak, J.; Roizman, B. The herpes simplex virus 1 UL15 gene encodes two proteins and is required for cleavage of genomic viral DNA. J. Virol. 1994, 68, 8118–8124. [Google Scholar] [CrossRef]
- Poon, A.P.; Roizman, B. Characterization of a temperature-sensitive mutant of the UL15 open reading frame of herpes simplex virus 1. J. Virol. 1993, 67, 4497–4503. [Google Scholar] [CrossRef]
- Cunningham, C.; Davison, A.J. A Cosmid-Based System for Constructing Mutants of Herpes Simplex Virus Type 1. Virology 1993, 197, 116–124. [Google Scholar] [CrossRef]
- Kuhn, J.; Leege, T.; Granzow, H.; Fuchs, W.; Mettenleiter, T.C.; Klupp, B.G. Analysis of pseudorabies and herpes simplex virus recombinants simultaneously lacking the pUL17 and pUL25 components of the C-capsid specific component. Virus Res. 2010, 153, 20–28. [Google Scholar] [CrossRef] [PubMed]
- Taus, N.S.; Salmon, B.; Baines, J.D. The Herpes Simplex Virus 1 UL17 Gene Is Required for Localization of Capsids and Major and Minor Capsid Proteins to Intranuclear Sites Where Viral DNA Is Cleaved and Packaged. Virology 1998, 252, 115–125. [Google Scholar] [CrossRef] [PubMed]
- Al-Kobaisi, M.F.; Rixon, F.J.; McDougall, I.; Preston, V.G. The herpes simplex virus UL33 gene product is required for the assembly of full capsids. Virology 1991, 180, 380–388. [Google Scholar] [CrossRef] [PubMed]
- Visalli, M.A.; House, B.L.; Lahrman, F.J.; Visalli, R.J. Intermolecular Complementation between Two Varicella-Zoster Virus pORF30 Terminase Domains Essential for DNA Encapsidation. J. Virol. 2015, 89, 10010–10022. [Google Scholar] [CrossRef][Green Version]
- Visalli, M.A.; House, B.L.; Selariu, A.; Zhu, H.; Visalli, R.J. The Varicella-Zoster Virus Portal Protein Is Essential for Cleavage and Packaging of Viral DNA. J. Virol. 2014, 88, 7973–7986. [Google Scholar] [CrossRef][Green Version]
- Newcomb, W.W.; Juhas, R.M.; Thomsen, D.R.; Homa, F.L.; Burch, A.D.; Weller, S.K.; Brown, J.C. The UL6 Gene Product Forms the Portal for Entry of DNA into the Herpes Simplex Virus Capsid. J. Virol. 2001, 75, 10923–10932. [Google Scholar] [CrossRef]
- Dittmer, A.; Bogner, E. Analysis of the quaternary structure of the putative HCMV portal protein PUL104. Biochemistry 2005, 44, 759–765. [Google Scholar] [CrossRef]
- Holzenburg, A.; Dittmer, A.; Bogner, E. Assembly of monomeric human cytomegalovirus pUL104 into portal structures. J. Gen. Virol. 2009, 90, 2381–2385. [Google Scholar] [CrossRef]
- Howard, A.J.; Sherman, D.M.; Visalli, M.A.; Burnside, D.M.; Visalli, R.J. The Varicella-zoster virus ORF54 gene product encodes the capsid portal protein, pORF54. Virus Res. 2012, 167, 102–105. [Google Scholar] [CrossRef]
- Visalli, R.J.; Howard, A.J. Non-axial view of the varicella-zoster virus portal protein reveals conserved crown, wing and clip architecture. Intervirology 2014, 57, 121–125. [Google Scholar] [CrossRef]
- Visalli, R.J.; Schwartz, A.M.; Patel, S.; Visalli, M.A. Identification of the Epstein Barr Virus portal. Virology 2019, 529, 152–159. [Google Scholar] [CrossRef]
- McElwee, M.; Vijayakrishnan, S.; Rixon, F.; Bhella, D. Structure of the herpes simplex virus portal-vertex. PLoS Biol. 2018, 16, e2006191. [Google Scholar] [CrossRef]
- Rochat, R.H.; Liu, X.; Murata, K.; Nagayama, K.; Rixon, F.J.; Chiu, W. Seeing the portal in herpes simplex virus type 1 B capsids. J. Virol. 2011, 85, 1871–1874. [Google Scholar] [CrossRef]
- Chang, J.T.; Schmid, M.F.; Rixon, F.J.; Chiu, W. Electron cryotomography reveals the portal in the herpesvirus capsid. J. Virol. 2007, 81, 2065–2068. [Google Scholar] [CrossRef]
- Cardone, G.; Winkler, D.C.; Trus, B.L.; Cheng, N.; Heuser, J.E.; Newcomb, W.W.; Brown, J.C.; Steven, A.C. Visualization of the herpes simplex virus portal in situ by cryo-electron tomography. Virology 2007, 361, 426–434. [Google Scholar] [CrossRef]
- Cao, L.; Wang, N.; Lv, Z.; Chen, W.; Chen, Z.; Song, L.; Sha, X.; Wang, G.; Hu, Y.; Lian, X.; et al. Insights into varicella-zoster virus assembly from the B- and C-capsid at near-atomic resolution structures. hLife 2024, 2, 11. [Google Scholar] [CrossRef]
- Li, Z.; Pang, J.; Dong, L.; Yu, X. Structural basis for genome packaging, retention, and ejection in human cytomegalovirus. Nat. Commun. 2021, 12, 4538. [Google Scholar] [CrossRef] [PubMed]
- Li, Z.; Pang, J.; Gao, R.; Wang, Q.; Zhang, M.; Yu, X. Cryo-electron microscopy structures of capsids and in situ portals of DNA-devoid capsids of human cytomegalovirus. Nat. Commun. 2023, 14, 2025. [Google Scholar] [CrossRef] [PubMed]
- Li, Z.; Zhang, X.; Dong, L.; Pang, J.; Xu, M.; Zhong, Q.; Zeng, M.S.; Yu, X. CryoEM structure of the tegumented capsid of Epstein-Barr virus. Cell Res. 2020, 30, 873–884. [Google Scholar] [CrossRef] [PubMed]
- Liu, W.; Cui, Y.; Wang, C.; Li, Z.; Gong, D.; Dai, X.; Bi, G.Q.; Sun, R.; Zhou, Z.H. Structures of capsid and capsid-associated tegument complex inside the Epstein-Barr virus. Nat. Microbiol. 2020, 5, 1285–1298. [Google Scholar] [CrossRef]
- Deng, B.; O’Connor, C.M.; Kedes, D.H.; Zhou, Z.H. Direct visualization of the putative portal in the Kaposi’s sarcoma-associated herpesvirus capsid by cryoelectron tomography. J. Virol. 2007, 81, 3640–3644. [Google Scholar] [CrossRef]
- Visalli, R.J.; van Zeijl, M. DNA encapsidation as a target for anti-herpesvirus drug therapy. Antivir. Res. 2003, 59, 73–87. [Google Scholar] [CrossRef] [PubMed]
- Zhang, Z.; Rowe, J.; Wang, W.; Sommer, M.; Arvin, A.; Moffat, J.; Zhu, H. Genetic analysis of varicella-zoster virus ORF0 to ORF4 by use of a novel luciferase bacterial artificial chromosome system. J. Virol. 2007, 81, 9024–9033. [Google Scholar] [CrossRef][Green Version]
- Visalli, M.A.; Nale Lovett, D.J.; Kornfeind, E.M.; Herrington, H.; Xiao, Y.T.; Lee, D.; Plair, P.; Wilder, S.G.; Garza, B.K.; Young, A.; et al. Mutagenesis and functional analysis of the varicella-zoster virus portal protein. J. Virol. 2024, 98, e0060323. [Google Scholar] [CrossRef] [PubMed]
- Warming, S.; Costantino, N.; Court, D.L.; Jenkins, N.A.; Copeland, N.G. Simple and highly efficient BAC recombineering using galK selection. Nucleic Acids Res. 2005, 33, e36. [Google Scholar] [CrossRef]
- Lenac Rovis, T.; Bailer, S.M.; Pothineni, V.R.; Ouwendijk, W.J.; Simic, H.; Babic, M.; Miklic, K.; Malic, S.; Verweij, M.C.; Baiker, A.; et al. Comprehensive analysis of varicella-zoster virus proteins using a new monoclonal antibody collection. J. Virol. 2013, 87, 6943–6954. [Google Scholar] [CrossRef]
- Yeung, Y.G.; Stanley, E.R. A solution for stripping antibodies from polyvinylidene fluoride immunoblots for multiple reprobing. Anal. Biochem. 2009, 389, 89–91. [Google Scholar] [CrossRef] [PubMed]
- Abramson, J.; Adler, J.; Dunger, J.; Evans, R.; Green, T.; Pritzel, A.; Ronneberger, O.; Willmore, L.; Ballard, A.J.; Bambrick, J.; et al. Accurate structure prediction of biomolecular interactions with AlphaFold 3. Nature 2024, 630, 493–500. [Google Scholar] [CrossRef]
- Grit, G.F.; Martson, A.G.; Knoester, M.; Toren-Wielema, M.L.; Touw, D.J. Shedding a Light on Acyclovir Pharmacodynamics: A Retrospective Analysis on Pharmacokinetic/Pharmacodynamic Modelling of Acyclovir for the Treatment of Varicella Zoster Virus Infection in Immunocompromised Patients: A Pilot Study. Pharmaceutics 2022, 14, 2311. [Google Scholar] [CrossRef]
- Sauerbrei, A. Diagnosis, antiviral therapy, and prophylaxis of varicella-zoster virus infections. Eur. J. Clin. Microbiol. Infect. Dis. 2016, 35, 723–734. [Google Scholar] [CrossRef]
- Chono, K.; Katsumata, K.; Kontani, T.; Kobayashi, M.; Sudo, K.; Yokota, T.; Konno, K.; Shimizu, Y.; Suzuki, H. ASP2151, a novel helicase-primase inhibitor, possesses antiviral activity against varicella-zoster virus and herpes simplex virus types 1 and 2. J. Antimicrob. Chemother. 2010, 65, 1733–1741. [Google Scholar] [CrossRef] [PubMed]
- Majewska, A.; Mlynarczyk-Bonikowska, B. 40 Years after the Registration of Acyclovir: Do We Need New Anti-Herpetic Drugs? Int. J. Mol. Sci. 2022, 23, 3431. [Google Scholar] [CrossRef] [PubMed]
- Shiraki, K.; Takemoto, M.; Daikoku, T. Emergence of varicella-zoster virus resistance to acyclovir: Epidemiology, prevention, and treatment. Expert. Rev. Anti Infect. Ther. 2021, 19, 1415–1425. [Google Scholar] [CrossRef] [PubMed]
- Jordan, Z.; Rowland, E. Parental perceptions of chickenpox and the varicella vaccine: A qualitative systematic review. Vaccine 2024, 42, 75–83. [Google Scholar] [CrossRef]







| Reagent | Description | Source, Reference or Sequence a |
|---|---|---|
| Bacterial Artificial Chromosomes (BACs) | ||
| VZVLUC | VZV pOKA containing firefly luciferase and green fluorescent protein | Zhang et al., 2007 [68] |
| D54S | galK cassette in place of ORF54 bp 301 to 1574 in VZVLUC | Visalli et al., 2014 [50] |
| D54L | galK cassette in place of entire ORF54 bp in VZVLUC | Visalli et al., 2014 [50] |
| VZVLUC54HA | VZV pOKA containing a N-terminal HA epitope tag | Visalli et al., 2024 [69] |
| Plasmids | ||
| pgalK | Used to make galK cassette with flanking ORF54 homology arms | Warming et al., 2005 [70] |
| pJET1.2 | Used to clone ORF54 amplicons for sequencing | Thermo |
| pJET54 | Used for mutagenesis of ORF54; Contains full-length ORF54 (2310) flanked by ORF53 (248 bp) and ORF55 (413 bp) sequences | Visalli et al., 2024 [69] |
| Bacterial Strains | ||
| SW102 | Used to propagate/manipulate VZV BAC clones | Warming et al., 2005 [70] |
| NEB 5-alpha | Competent cells for cloning | New England Biolabs |
| Primers b | ||
| MU31 | Reverse partner to create amplicons with ORF55 flanks for recombineering | CGGACGACTCGCATAAGCCGTTGATAACTTA |
| MU23 | Forward partner to create amplicons with ORF53 flanks for recombineering | CCGTATACACCCTATCTTCAACCGCAGTT |
| MU193 | Reverse phosphorylated partner used to modify AA E48 | ATATCGAACATGTTCTTGTATTGGTCATTTG |
| MU190 | Forward phosphorylated partner used to modify AA E48D | ATACTGGAATGAcTACGCCCCGG |
| MU191 | Forward phosphorylated partner used to modify AA E48R | ATACTGGAATagGTACGCCCCGG |
| MU192 | Forward phosphorylated partner used to modify AA E48A | ATACTGGAATGcGTACGCCCCGG |
| UA634 | Forward phosphorylated partner used to modify AA E48K | ATACTGGAATaAGTACGCCCCGG |
| MU148 | Reverse phosphorylated partner used to modify AA G304 | CGGCCACACGACCAAACACT |
| MU137 | Forward phosphorylated partner used to modify AA G304E | CCCGTTGTATGTGaGGAGGGTGTAG |
| MU150 | Forward phosphorylated partner used to modify AA G304D | CCCGTTGTATGTGacGAGGGTGTAG |
| MU151 | Forward phosphorylated partner used to modify AA G304R | CCCGTTGTATGTaGGGAGGGTGTAG |
| MU149 | Forward phosphorylated partner used to modify AA G304K | CCCGTTGTATGTaaGGAGGGTGTAG |
| MU147 | Forward phosphorylated partner used to modify AA G304A | CCCGTTGTATGTGcGGAGGGTGTAG |
| MU198 | Reverse phosphorylated partner used to modify AA Y324 | ACCTCCCCAGAAAGCCGCT |
| MU194 | Forward phosphorylated partner used to modify AA Y324F | GTTGGCCTGTTtTGCATTACGTG |
| MU195 | Forward phosphorylated partner used to modify AA Y324W | GTTGGCCTGTTggGCATTACGTG |
| MU196 | Forward phosphorylated partner used to modify AA Y324M | GTTGGCCTGTatgGCATTACGTG |
| MU210 | Forward phosphorylated partner used to modify AA Y324S | GTTGGCCTGTTcTGCATTACGTG |
| MU209 | Forward phosphorylated partner used to modify AA Y324C | GTTGGCCTGTTgTGCATTACGTG |
| MU197 | Forward phosphorylated partner used to modify AA Y324A | GTTGGCCTGTgcTGCATTACGTG |
| MU233 | Reverse phosphorylated partner used to modify AA G407 N408 | TAGATAGGAACGTACGGTTTCG |
| MU222 | Forward phosphorylated partner used to modify AA G407A | GAAGAAACGGcCAATCACATTCTG |
| MU223 | Forward phosphorylated partner used to modify AA G407S | GAAGAAACGaGCAATCACATTCTG |
| MU224 | Forward phosphorylated partner used to modify AA G407T | GAAGAAACGacCAATCACATTCTG |
| MU225 | Forward phosphorylated partner used to modify AA G407E | GAAGAAACGGagAATCACATTCTG |
| MU226 | Forward phosphorylated partner used to modify AA G407R | GAAGAAACGcGCAATCACATTCTG |
| MU227 | Forward phosphorylated partner used to modify AA G407K | GAAGAAACGaagAATCACATTCTG |
| MU228 | Forward phosphorylated partner used to modify AA N408G | GAAGAAACGGGCggTCACATTCTG |
| MU229 | Forward phosphorylated partner used to modify AA N408A | GAAGAAACGGGCgcTCACATTCTG |
| MU230 | Forward phosphorylated partner used to modify AA N408S | GAAGAAACGGGCAgTCACATTCTG |
| MU231 | Forward phosphorylated partner used to modify AA N408E | GAAGAAACGGGCgAaCACATTCTG |
| MU232 | Forward phosphorylated partner used to modify AA N408R | GAAGAAACGGGCAgaCACATTCTG |
| MU221 | Forward phosphorylated partner used to modify AA G407D N408D | GAAGAAACGGaCgATCACATTCTG |
| Amino Acid Change | EC50 (μg/mL) * | Fold Increase | Phenotype | Substitution | Characteristics | Comments | ||
|---|---|---|---|---|---|---|---|---|
| n/a (VZVLUC–OKA) | 0.09 ± 0.002 | n/a | S | n/a | ||||
| E48K | 1.92 ± 0.15 | 21 | R | NC | Neg > Pos | Negative charge important | ||
| E48R | 1.86 ± 0.05 | 21 | R | NC | Neg > Pos | |||
| E48D | 0.11 ± 0.003 | 1.2 | S | C | Neg > Neg | |||
| E48A | 1.41 ± 0.03 | 16 | R | NC | Neg > Uncharged | |||
| G304E | >2 | 22 | R | NC | Uncharged > Pos | Glycine important for loop from lower wing that extends into the portal ledge | ||
| G304K | 1.31 ± 0.03 | 15 | R | NC | Uncharged > Neg | |||
| G304R | 1.34 ± 0.06 | 15 | R | NC | Uncharged > Neg | |||
| G304D | 0.57 ± 0.08 | 6 | R | NC | Uncharged > Pos | |||
| G304A | 0.40 ± 0.02 | 4 | R | C/NC | Uncharged > Pos | |||
| Y324C | >2 | 22 | R | NC | Aro > n/a | Less bulky aromatic important | ||
| Y324F | 0.15 ± 0.01 | 1.7 | S | C | Aro > Aro | |||
| Y324W | >2 | 22 | R | C | Aro > Aro | |||
| Y324S | >2 | 22 | R | NC | Aro > n/a | |||
| Y324M | >2 | 22 | R | NC | Aro > n/a | |||
| Y324A | >2 | 22 | R | NC | Aro > n/a | |||
| G407K | 0.015 ± 0.001 | 0.2 | hS | NC | Uncharged > Pos | Hypersensitivity conveyed by diverse substitutions; negative charge yields resistant phenotype | ||
| G407R | 0.021 ± 0.001 | 0.2 | hS | NC | Uncharged > Pos | |||
| G407D | 1.56 ± 0.14 | 17 | R | NC | Uncharged > Neg | |||
| G407E | 0.40 ± 0.02 | 4 | R | NC | Uncharged > Neg | |||
| G407A | 0.02 ± 0.001 | 0.2 | hS | C/NC | NP > NP | |||
| G407T | 0.015 ± 0.001 | 0.2 | hS | NC | NP > P | |||
| G407S | 0.082 ± 0.003 | 0.9 | S | C/NC | NP > P | |||
Disclaimer/Publisher’s Note: The statements, opinions and data contained in all publications are solely those of the individual author(s) and contributor(s) and not of MDPI and/or the editor(s). MDPI and/or the editor(s) disclaim responsibility for any injury to people or property resulting from any ideas, methods, instructions or products referred to in the content. |
© 2025 by the authors. Licensee MDPI, Basel, Switzerland. This article is an open access article distributed under the terms and conditions of the Creative Commons Attribution (CC BY) license (https://creativecommons.org/licenses/by/4.0/).
Share and Cite
Svensmark, J.; Polk, E.; Kornfeind, E.; Lane, W.; Visalli, M.A.; Visalli, R.J. Small Molecule Compounds Inhibit Varicella-Zoster Virus Replication by Targeting the Portal Protein–Capsid Interface. Viruses 2025, 17, 1496. https://doi.org/10.3390/v17111496
Svensmark J, Polk E, Kornfeind E, Lane W, Visalli MA, Visalli RJ. Small Molecule Compounds Inhibit Varicella-Zoster Virus Replication by Targeting the Portal Protein–Capsid Interface. Viruses. 2025; 17(11):1496. https://doi.org/10.3390/v17111496
Chicago/Turabian StyleSvensmark, Julius, Emily Polk, Ellyn Kornfeind, Whitney Lane, Melissa A. Visalli, and Robert J. Visalli. 2025. "Small Molecule Compounds Inhibit Varicella-Zoster Virus Replication by Targeting the Portal Protein–Capsid Interface" Viruses 17, no. 11: 1496. https://doi.org/10.3390/v17111496
APA StyleSvensmark, J., Polk, E., Kornfeind, E., Lane, W., Visalli, M. A., & Visalli, R. J. (2025). Small Molecule Compounds Inhibit Varicella-Zoster Virus Replication by Targeting the Portal Protein–Capsid Interface. Viruses, 17(11), 1496. https://doi.org/10.3390/v17111496

