Additional Insertion of gC Gene Triggers Better Immune Efficacy of TK/gI/gE-Deleted Pseudorabies Virus in Mice
Abstract
1. Introduction
2. Materials and Methods
2.1. Cells, Viruses, and Plasmid
2.2. Construction of Transfer Vectors and Recombinant Viruses
2.3. Plaque Assay
2.4. Growth Kinetics
2.5. Western Blotting Analysis
2.6. Immunization and Challenge in Mice
2.7. Serum-Virus Neutralizing Test (SNT)
2.8. Enzyme-Linked Immunosorbent Assay
2.9. Statistical Analysis
3. Results
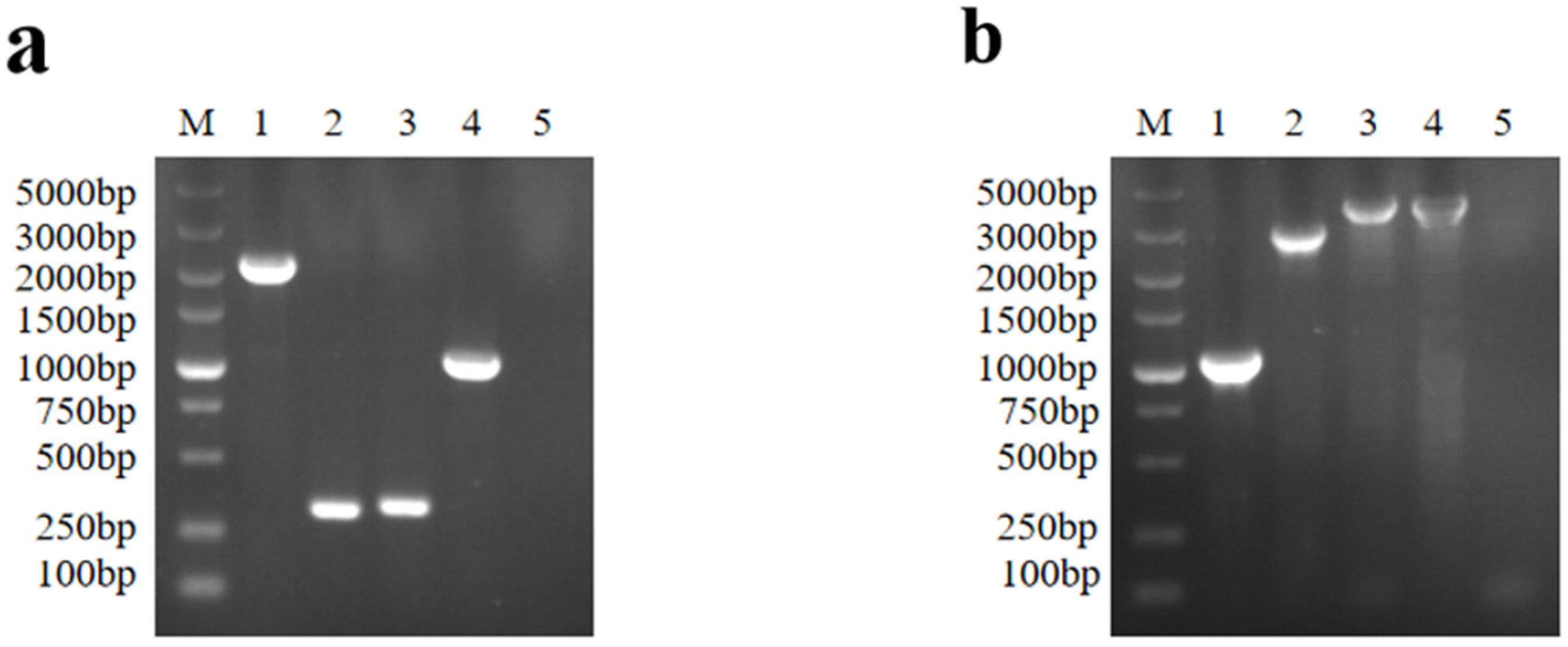
3.1. Identification of the Triple-Gene Deletion Virus and the Triple-Gene Deletion Plus gc Virus
3.2. Analysis of the Inserted gC in the Triple-Gene Deletion Plus gC Virus by Western Blotting
3.3. The Growth Kinetics of the Triple-Gene Deletion Virus and the Triple-Gene Deletion Plus gC Virus
3.4. Antibodies Induced by the Triple-Gene Deletion Virus and the Triple-Gene Deletion Plus gC Virus
3.5. Detection of Cytokines IFN-γ and IL-4 in the Sera of Immunized Mice
3.6. Protection Efficacy of the Triple-Gene Deletion Virus and the Triple-Gene Deletion Plus gC Virus
4. Discussion
5. Conclusions
Author Contributions
Funding
Institutional Review Board Statement
Informed Consent Statement
Data Availability Statement
Conflicts of Interest
References
- Mettenleiter, T.C. Aujeszky’s Disease (Pseudorabies) Virus: The Virus and Molecular Pathogenesis—State of the Art, June 1999. Vet. Res. 2000, 31, 99–115. [Google Scholar] [CrossRef]
- Lee, J.Y.; Wilson, M.R. A Review of Pseudorabies (Aujeszky’s Disease) in Pigs. Can. Vet. J. 1979, 20, 65–69. [Google Scholar] [PubMed]
- Tan, L.; Yao, J.; Yang, Y.; Luo, W.; Yuan, X.; Yang, L.; Wang, A. Current Status and Challenge of Pseudorabies Virus Infection in China. Virol. Sin. 2021, 36, 588–607. [Google Scholar] [CrossRef] [PubMed]
- Xia, L.; Sun, Q.; Wang, J.; Chen, Q.; Liu, P.; Shen, C.; Sun, J.; Tu, Y.; Shen, S.; Zhu, J.; et al. Epidemiology of Pseudorabies in Intensive Pig Farms in Shanghai, China: Herd-Level Prevalence and Risk Factors. Prev. Vet. Med. 2018, 159, 51–56. [Google Scholar] [CrossRef] [PubMed]
- Mettenleiter, T.C. Pseudorabies (Aujeszky’s Disease) Virus: State of the Art. August 1993. Acta Vet. Hung. 1994, 42, 153–177. [Google Scholar] [PubMed]
- Hugoson, G.; Rockborn, G. On the Occurrence of Pseudorabies in Sweden II. An Outbreak in Dogs Caused by Feeding Abattoir Offal. Zentralbl. Vet. B 1972, 19, 641–645. [Google Scholar] [CrossRef] [PubMed]
- Cheng, Z.; Kong, Z.; Liu, P.; Fu, Z.; Zhang, J.; Liu, M.; Shang, Y. Natural Infection of a Variant Pseudorabies Virus Leads to Bovine Death in China. Transbound. Emerg. Dis. 2019, 67, 518–522. [Google Scholar] [CrossRef] [PubMed]
- Kaneko, C.; Kaneko, Y.; Sudaryatma, P.E.; Mekata, H.; Kirino, Y.; Yamaguchi, R.; Okabayashi, T. Pseudorabies Virus Infection in Hunting Dogs in Oita, Japan: Report from a Prefecture Free from Aujeszky’s Disease in Domestic Pigs. J. Vet. Med. Sci. 2021, 83, 680–684. [Google Scholar] [CrossRef] [PubMed]
- Marcaccini, A.; López Peña, M.; Quiroga, M.I.; Bermúdez, R.; Nieto, J.M.; Alemañ, N. Pseudorabies Virus Infection in Mink: A Host-Specific Pathogenesis. Vet. Immunol. Immunopathol. 2008, 124, 264–273. [Google Scholar] [CrossRef]
- Laval, K.; Vernejoul, J.B.; Van Cleemput, J.; Koyuncu, O.O.; Enquist, L.W. Virulent Pseudorabies Virus Infection Induces a Specific and Lethal Systemic Inflammatory Response in Mice. J. Virol. 2018, 92, e01614-18. [Google Scholar] [CrossRef]
- Di Marco Lo Presti, V.; Moreno, A.; Castelli, A.; Ippolito, D.; Aliberti, A.; Amato, B.; Vitale, M.; Fiasconaro, M.; Pruiti Ciarello, F. Retrieving Historical Cases of Aujeszky’s Disease in Sicily (Italy): Report of a Natural Outbreak Affecting Sheep, Goats, Dogs, Cats and Foxes and Considerations on Critical Issues and Perspectives in Light of the Recent EU Regulation 429/2016. Pathogens 2021, 10, 1301. [Google Scholar] [CrossRef] [PubMed]
- Capua, I.; Fico, R.; Banks, M.; Tamba, M.; Calzetta, G. Isolation and Characterisation of an Aujeszky’s Disease Virus Naturally Infecting a Wild Boar (Sus scrofa). Vet. Microbiol. 1997, 55, 141–146. [Google Scholar] [CrossRef]
- Deng, J.; Wu, Z.; Liu, J.; Ji, Q.; Ju, C. The Role of Latency-Associated Transcripts in the Latent Infection of Pseudorabies Virus. Viruses 2022, 14, 1379. [Google Scholar] [CrossRef]
- Kluge, J.P.; Mare, C.J. Swine Pseudorabies: Abortion, Clinical Disease, and Lesions in Pregnant Gilts Infected with Pseudorabies Virus (Aujeszky’s Disease). Am. J. Vet. Res. 1974, 35, 991–995. [Google Scholar] [PubMed]
- Mettenleiter, T.C. Molecular Biology of Pseudorabies (Aujeszky’s Disease) Virus. Comp. Immunol. Microbiol. Infect. Dis. 1991, 14, 151–163. [Google Scholar] [CrossRef] [PubMed]
- Oliver, R. Aujeszky’s Disease. Aust. Vet. J. 1989, 66, 432–433. [Google Scholar] [CrossRef]
- Pomeranz, L.E.; Reynolds, A.E.; Hengartner, C.J. Molecular Biology of Pseudorabies Virus: Impact on Neurovirology and Veterinary Medicine. Microbiol. Mol. Biol. Rev. 2005, 69, 462–500. [Google Scholar] [CrossRef] [PubMed]
- Petrovskis, E.A.; Timmins, J.G.; Gierman, T.M.; Post, L.E. Deletions in Vaccine Strains of Pseudorabies Virus and Their Effect on Synthesis of Glycoprotein Gp63. J. Virol. 1986, 60, 1166–1169. [Google Scholar] [CrossRef] [PubMed]
- Lomniczi, B.; Blankenship, M.L.; Ben-Porat, T. Deletions in the Genomes of Pseudorabies Virus Vaccine Strains and Existence of Four Isomers of the Genomes. J. Virol. 1984, 49, 970–979. [Google Scholar] [CrossRef]
- Sun, Y.; Liang, W.; Liu, Q.; Zhao, T.; Zhu, H.; Hua, L.; Peng, Z.; Tang, X.; Stratton, C.W.; Zhou, D.; et al. Epidemiological and Genetic Characteristics of Swine Pseudorabies Virus in Mainland China between 2012 and 2017. PeerJ 2018, 6, e5785. [Google Scholar] [CrossRef]
- Zheng, H.; Jin, Y.; Hou, C.; Li, X.; Zhao, L.; Wang, Z.; Chen, H. Seroprevalence Investigation and Genetic Analysis of Pseudorabies Virus within Pig Populations in Henan Province of China during 2018–2019. Infect. Genet. Evol. 2021, 92, 104835. [Google Scholar] [CrossRef] [PubMed]
- Sun, Y.; Luo, Y.; Wang, C.; Yuan, J.; Li, N.; Song, K.; Qiu, H. Control of Swine Pseudorabies in China: Opportunities and Limitations. Vet. Microbiol. 2016, 183, 119–124. [Google Scholar] [CrossRef]
- Lin, Y.; Tan, L.; Wang, C.; He, S.; Fang, L.; Wang, Z.; Zhong, Y.; Zhang, K.; Liu, D.; Yang, Q.; et al. Serological Investigation and Genetic Characteristics of Pseudorabies Virus in Hunan Province of China From 2016 to 2020. Front. Vet. Sci. 2021, 8, 762326. [Google Scholar] [CrossRef]
- Ren, Q.; Ren, H.; Gu, J.; Wang, J.; Jiang, L.; Gao, S. The Epidemiological Analysis of Pseudorabies Virus and Pathogenicity of the Variant Strain in Shandong Province. Front. Vet. Sci. 2022, 9, 806824. [Google Scholar] [CrossRef]
- Meeusen, E.N.T.; Walker, J.; Peters, A.; Pastoret, P.P.; Jungersen, G. Current Status of Veterinary Vaccines. Clin. Microbiol. Rev. 2007, 20, 489–510. [Google Scholar] [CrossRef]
- Freuling, C.M.; Müller, T.F.; Mettenleiter, T.C. Vaccines against Pseudorabies Virus (PrV). Vet. Microbiol. 2017, 206, 3–9. [Google Scholar] [CrossRef] [PubMed]
- van Rooij, E.M.A.; de Bruin, M.G.M.; de Visser, Y.E.; Middel, W.G.J.; Boersma, W.J.A.; Bianchi, A.T.J. Vaccine-Induced T Cell-Mediated Immunity Plays a Critical Role in Early Protection against Pseudorabies Virus (Suid Herpes Virus Type 1) Infection in Pigs. Vet. Immunol. Immunopathol. 2004, 99, 113–125. [Google Scholar] [CrossRef] [PubMed]
- Ferrari, M.; Mettenleiter, T.C.; Romanelli, M.G.; Cabassi, E.; Corradi, A.; Dal Mas, N.; Silini, R. A Comparative Study of Pseudorabies Virus (PRV) Strains with Defects in Thymidine Kinase and Glycoprotein Genes. J. Comp. Pathol. 2000, 123, 152–163. [Google Scholar] [CrossRef]
- Moormann, R.J.M.; de Rover, T.; Briaire, J.; Peeters, B.P.H.; Gielkens, A.L.J.; van Oirschot, J.T. Inactivation of the Thymidine Kinase Gene of a gI Deletion Mutant of Pseudorabies Virus Generates a Safe but Still Highly Immunogenic Vaccine Strain. J. General. Virol. 1990, 71, 1591–1595. [Google Scholar] [CrossRef]
- Mettenleiter, T.C. Immunobiology of Pseudorabies (Aujeszky’s Disease). Vet. Immunol. Immunopathol. 1996, 54, 221–229. [Google Scholar] [CrossRef]
- Zuckermann, F.A.; Zsak, L.; Mettenleiter, T.C.; Ben-Porat, T. Pseudorabies Virus Glycoprotein gIII Is a Major Target Antigen for Murine and Swine Virus-Specific Cytotoxic T Lymphocytes. J. Virol. 1990, 64, 802–812. [Google Scholar] [CrossRef]
- Klupp, B.G.; Hengartner, C.J.; Mettenleiter, T.C.; Enquist, L.W. Complete, Annotated Sequence of the Pseudorabies Virus Genome. J. Virol. 2004, 78, 18. [Google Scholar] [CrossRef]
- Xiang, K.; Pan, H.; Ji, Y.; Wang, Y.; Zhang, B.; Luo, Y.; Ju, C. Molecular Characteristics of Major Glycoproteins of the Novel Pseudorabies Virus Causing a Severe Epidemic in China. J. South China Agric. Univ. 2016, 37, 23–28. [Google Scholar] [CrossRef]
- Yan, Z.; Chen, M.; Tang, D.; Wu, X.; Ren, X.; Pan, H.; Li, Y.; Ji, Q.; Luo, Y.; Fan, H.; et al. Better Immune Efficacy Triggered by the Inactivated gI/gE-Deleted Pseudorabies Virus with the Additional Insertion of gC Gene in Mice and Weaned Pigs. Virus Res. 2021, 296, 198353. [Google Scholar] [CrossRef] [PubMed]
- Yan, Z.; Chen, M.; Tang, D.; Ren, X.; Wu, X.; Ji, Q.; Liu, J.; He, S.; Ju, C. Construction of Porcine Pseudorabies Virus with TK/gE/gI Gene Deletion and Evaluation of Its Immune Efficacy in Combination with Montanide Gel 01 Adjuvan. Chin. J. Vet. Sci. 2021, 41, 1697–1703. [Google Scholar] [CrossRef]
- Pan, H.; Li, Y.; Xiang, K.; Tang, D.; Cheng, Z.; Luo, Y.; Ju, C. Construction of a gE/gI-Deleted Mutant Strain of Epidemic Porcine Pseudorabies Virus and Its Biological Characteristics. J. South China Agric. Univ. 2018, 39, 9–15. [Google Scholar] [CrossRef]
- Peng, J.; An, T.; Zhao, H.; Liu, Y.; Chen, J.; Leng, C.; Sun, Y.; Chang, D.; Tian, Z.; Tong, G. Identification and Antigenic Variation of New Epidemiology of Pseudorabies Virus from Swine. Chin. J. Prev. Vet. Med. 2013, 35, 1–4. [Google Scholar] [CrossRef]
- Tong, W.; Liu, F.; Zheng, H.; Liang, C.; Zhou, Y.; Jiang, Y.; Shan, T.; Gao, F.; Li, G.; Tong, G. Emergence of a Pseudorabies Virus Variant with Increased Virulence to Piglets. Vet. Microbiol. 2015, 181, 236–240. [Google Scholar] [CrossRef] [PubMed]
- An, T.; Peng, J.; Tian, Z.; Zhao, H.; Li, N.; Liu, Y.; Chen, J.; Leng, C.; Sun, Y.; Chang, D.; et al. Pseudorabies Virus Variant in Bartha-K61–Vaccinated Pigs, China, 2012. Emerg. Infect. Dis. 2013, 19, 1749–1755. [Google Scholar] [CrossRef]
- Yu, Z.; Tong, W.; Zheng, H.; Li, L.; Li, G.; Gao, F.; Wang, T.; Liang, C.; Ye, C.; Wu, J.; et al. Variations in Glycoprotein B Contribute to Immunogenic Difference between PRV Variant JS-2012 and Bartha-K61. Vet. Microbiol. 2017, 208, 97–105. [Google Scholar] [CrossRef]
- Papageorgiou, K.V.; Michailidou, M.; Grivas, I.; Petridou, E.; Stamelou, E.; Efraimidis, K.; Chen, L.; Drew, T.W.; Kritas, S.K. Bartha-K61 Vaccine Protects Nursery Pigs against Challenge with Novel European and Asian Strains of Suid Herpesvirus 1. Vet. Res. 2022, 53, 47. [Google Scholar] [CrossRef]
- Zhou, J.; Li, S.; Wang, X.; Zou, M.; Gao, S. Bartha-K61 Vaccine Protects Growing Pigs against Challenge with an Emerging Variant Pseudorabies Virus. Vaccine 2017, 35, 1161–1166. [Google Scholar] [CrossRef]
- Wang, J.; Cui, X.; Wang, X.; Wang, W.; Gao, S.; Liu, X.; Kai, Y.; Chen, C. Efficacy of the Bartha-K61 Vaccine and a gE−/gI−/TK− Prototype Vaccine against Variant Porcine Pseudorabies Virus (vPRV) in Piglets with Sublethal Challenge of vPRV. Res. Vet. Sci. 2020, 128, 16–23. [Google Scholar] [CrossRef]
- Morenkov, O.S.; Fodor, N.; Sobko, Y.A.; Fodor, I. Immunological Characterisation of Glycoprotein E of Aujeszky’s Disease Virus. Virus Res. 1997, 51, 65–79. [Google Scholar] [CrossRef]
- Jacobs, L.; Mulder, W.A.M.; Van Oirschot, J.T.; Gielkens, A.L.J.; Kimman, T.G. Deleting Two Amino Acids in Glycoprotein gI of Pseudorabies Virus Decreases Virulence and Neurotropism for Pigs, but Does Not Affect Immunogenicity. J. General. Virol. 1993, 74, 2201–2206. [Google Scholar] [CrossRef]
- Zhang, C.; Liu, Y.; Chen, S.; Qiao, Y.; Guo, M.; Zheng, Y.; Xu, M.; Wang, Z.; Hou, J.; Wang, J. A gD&gC-Substituted Pseudorabies Virus Vaccine Strain Provides Complete Clinical Protection and Is Helpful to Prevent Virus Shedding against Challenge by a Chinese Pseudorabies Variant. BMC Vet. Res. 2019, 15, 2. [Google Scholar] [CrossRef]
- Schijns, V.; Haagmans, B.; Horzinek, M. IL-12 Stimulates an Antiviral Type 1 Cytokine Response but Lacks Adjuvant Activity in IFN-γ-Receptor-Deficient Mice. J. Immunol. (Baltim. Md. 1950) 1995, 155, 2525–2532. [Google Scholar] [CrossRef]
- Schijns, V.E.; Haagmans, B.L.; Rijke, E.O.; Huang, S.; Aguet, M.; Horzinek, M.C. IFN-Gamma Receptor-Deficient Mice Generate Antiviral Th1-Characteristic Cytokine Profiles but Altered Antibody Responses. J. Immunol. 1994, 153, 2029–2037. [Google Scholar] [CrossRef]
- Dong, Z.; Xiao, L.; Fu, T.; He, Z.; Zhang, W.; Ji, Z.; Shao, Z. Research Progress in Inflammatory Factor-Mediated HBV Infection. Chin. J. Mult. Organ. Dis. Elder. 2022, 21, 704–706. [Google Scholar] [CrossRef]










| Name of Primer | Sequence of Primer |
|---|---|
| TK-UA-Forward | CCGGAATTCACGTCGTTCTTGGCGATCTG |
| TK-UA-Reverse | TGTCCGTGTCGAACAGAGTGC |
| TK-DA-Forward | AAACTGCAGGATATCGCCTTCACGTCGGAGATGG |
| TK-DA-Reverse | CCCAAGCTTCTCGGCGGAGATGATGACC |
| gE-UA-Forward | CCGGAATTCACCAGCACCGCACGTACAAGTT |
| gE-UA-Reverse | CAGCAGCGTCCCGTCTATCGT |
| gE-DA-Forward | AAACTGCAGGATATCCGGAAGTGACGAATGG |
| gE-DA-Reverse | CTCGGTGGTGATGTAGAAAAGCTTGGG |
| EGFP-Forward | AACGATATCGTTTAAACGTTCTTTCCTGCGTTATCC |
| EGFP-Reverse | AACGATATCAACCCTATCTCGGTCTATTCT |
| gC-Forward | CCAAGCTTTTAAATCCGTTTCCTG |
| gC-Reverse | CGGGATCCCCCGACGACCAATA |
| TKdet-Forward | CAGGCGTTCGTAGAAG |
| TKdet-Reverse | GGGATGACATACACATGGC |
| gEdet-Forward | CGTGAACATCCTCACCGACTTC |
| gEdet-Reverse | GGTCAAACGTGTCCATGTCG |
Disclaimer/Publisher’s Note: The statements, opinions and data contained in all publications are solely those of the individual author(s) and contributor(s) and not of MDPI and/or the editor(s). MDPI and/or the editor(s) disclaim responsibility for any injury to people or property resulting from any ideas, methods, instructions or products referred to in the content. |
© 2024 by the authors. Licensee MDPI, Basel, Switzerland. This article is an open access article distributed under the terms and conditions of the Creative Commons Attribution (CC BY) license (https://creativecommons.org/licenses/by/4.0/).
Share and Cite
Wu, Z.; Deng, J.; Chen, M.; Lu, P.; Yan, Z.; Wu, X.; Ji, Q.; Fan, H.; Luo, Y.; Ju, C. Additional Insertion of gC Gene Triggers Better Immune Efficacy of TK/gI/gE-Deleted Pseudorabies Virus in Mice. Viruses 2024, 16, 706. https://doi.org/10.3390/v16050706
Wu Z, Deng J, Chen M, Lu P, Yan Z, Wu X, Ji Q, Fan H, Luo Y, Ju C. Additional Insertion of gC Gene Triggers Better Immune Efficacy of TK/gI/gE-Deleted Pseudorabies Virus in Mice. Viruses. 2024; 16(5):706. https://doi.org/10.3390/v16050706
Chicago/Turabian StyleWu, Zhuoyun, Jiahuan Deng, Meijing Chen, Peiqi Lu, Zhibin Yan, Xiaoyan Wu, Qiuyun Ji, Huiying Fan, Yongwen Luo, and Chunmei Ju. 2024. "Additional Insertion of gC Gene Triggers Better Immune Efficacy of TK/gI/gE-Deleted Pseudorabies Virus in Mice" Viruses 16, no. 5: 706. https://doi.org/10.3390/v16050706
APA StyleWu, Z., Deng, J., Chen, M., Lu, P., Yan, Z., Wu, X., Ji, Q., Fan, H., Luo, Y., & Ju, C. (2024). Additional Insertion of gC Gene Triggers Better Immune Efficacy of TK/gI/gE-Deleted Pseudorabies Virus in Mice. Viruses, 16(5), 706. https://doi.org/10.3390/v16050706

