Isolation, Identification, and Pathogenicity of a Goose Astrovirus Genotype 1 Strain in Goslings in China
Abstract
1. Introduction
2. Materials and Methods
2.1. Ethics Statement
2.2. Sample Collection
2.3. Virus Isolation
2.4. Next-Generation Sequencing
2.5. Phylogenetic Analysis
2.6. Experimental Infection Study
2.7. Establishment of qRT–PCR for Detection of GAstV-1
2.8. Sample Collection
3. Results
3.1. Viral Nucleic Acids Detection in the Clinical Samples
3.2. Virus Isolation
3.3. NGS Analysis
3.4. Phylogenetic Analysis
3.5. Establishment of qRT–PCR for Detection of GAstV-1
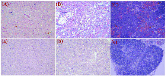
3.6. Pathogenicity of GAstV-JSXZ in Goslings
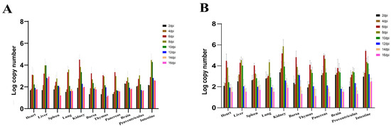
3.7. Viral Loads in Cloacal Swabs and Tissues
4. Discussion
Supplementary Materials
Author Contributions
Funding
Institutional Review Board Statement
Informed Consent Statement
Data Availability Statement
Acknowledgments
Conflicts of Interest
References
- De Benedictis, P.; Schultz-Cherry, S.; Burnham, A.; Cattoli, G. Astrovirus Infections in Humans and Animals—Molecular Biology, Genetic Diversity, and Interspecies Transmissions. Infect. Genet. Evol. 2011, 1, 1529–1544. [Google Scholar] [CrossRef] [PubMed]
 - Pantin-Jackwood, M.J.; Spackman, E.; Woolcock, P.R. Molecular Characterization and Typing of Chicken and Turkey Astroviruses Circulating in the United States: Implications for Diagnostics. Avian Dis. 2006, 50, 397–404. [Google Scholar] [CrossRef] [PubMed]
 - Jiang, B.; Monroe, S.S.; Koonin, E.V.; Stine, S.E.; Glass, R.I. RNA Sequence of Astrovirus: Distinctive Genomic Organization and a Putative Retrovirus-like Ribosomal Frameshifting Signal That Directs the Viral Replicase Synthesis. Proc. Natl. Acad. Sci. USA 1993, 90, 10539–10543. [Google Scholar] [CrossRef] [PubMed]
 - Lewis, T.L.; Greenberg, H.B.; Herrmann, J.E.; Smith, L.S.; Matsui, S.M. Analysis of Astrovirus Serotype 1 RNA, Identification of the Viral RNA-Dependent RNA Polymerase Motif, and Expression of a Viral Structural Protein. J. Virol. 1994, 68, 77–83. [Google Scholar] [CrossRef] [PubMed]
 - Arias, C.F.; Dubois, R.M. The Astrovirus Capsid: A Review. Viruses 2017, 9, 15. [Google Scholar] [CrossRef] [PubMed]
 - Jonassen, C.M.; Jonassen, T.; Sveen, T.M.; Grinde, B. Complete Genomic Sequences of Astroviruses from Sheep and Turkey: Comparison with Related Viruses. Virus Res. 2003, 91, 195–201. [Google Scholar] [CrossRef] [PubMed]
 - Liu, N.; Wang, F.; Shi, J.; Zheng, L.; Wang, X.; Zhang, D. Molecular Characterization of a Duck Hepatitis Virus 3-like Astrovirus. Vet. Microbiol. 2014, 170, 39–47. [Google Scholar] [CrossRef] [PubMed]
 - Todd, D.; Smyth, V.J.; Ball, N.W.; Donnelly, B.M.; Wylie, M.; Knowles, N.J.; Adair, B.M. Identification of Chicken Enterovirus-like Viruses, Duck Hepatitis Virus Type 2 and Duck Hepatitis Virus Type 3 as Astroviruses. Avian Pathol. 2009, 38, 21–30. [Google Scholar] [CrossRef]
 - Cattoli, G.; De Battisti, C.; Toffan, A.; Salviato, A.; Lavazza, A.; Cerioli, M.; Capua, I. Co-Circulation of Distinct Genetic Lineages of Astroviruses in Turkeys and Guinea Fowl. Arch. Virol. 2007, 152, 595–602. [Google Scholar] [CrossRef]
 - Zhao, W.; Zhu, A.L.; Yu, Y.; Yuan, C.L.; Zhu, C.X.; Yang, Z.B.; Cui, L.; Hua, X.G. Complete Sequence and Genetic Characterization of Pigeon Avian Nephritis Virus, a Member of the Family Astroviridae. Arch. Virol. 2011, 156, 1559–1565. [Google Scholar] [CrossRef]
 - Zhang, Q.; Cao, Y.; Wang, J.; Fu, G.; Sun, M.; Zhang, L.; Meng, L.; Cui, G.; Huang, Y.; Hu, X.; et al. Isolation and Characterization of an Astrovirus Causing Fatal Visceral Gout in Domestic Goslings Article. Emerg. Microbes Infect. 2018, 7, 71. [Google Scholar] [CrossRef]
 - Zhang, X.; Deng, T.; Song, Y.; Liu, J.; Jiang, Z.; Peng, Z.; Guo, Y.; Yang, L.; Qiao, H.; Xia, Y.; et al. Identification and Genomic Characterization of Emerging Goose Astrovirus in Central China, 2020. Transbound. Emerg. Dis. 2021, 69, 1046–1055. [Google Scholar] [CrossRef] [PubMed]
 - Niu, X.; Tian, J.; Yang, J.; Jiang, X.; Wang, H.; Chen, H.; Yi, T.; Diao, Y. Novel Goose Astrovirus Associated Gout in Gosling, China. Vet. Microbiol. 2018, 220, 53–56. [Google Scholar] [CrossRef] [PubMed]
 - Yuan, X.; Meng, K.; Zhang, Y.; Yu, Z.; Ai, W.; Wang, Y. Genome Analysis of Newly Emerging Goose-Origin Nephrotic Astrovirus in China Reveals It Belongs to a Novel Genetically Distinct Astrovirus. Infect. Genet. Evol. 2019, 67, 1–6. [Google Scholar] [CrossRef]
 - Yang, J.; Tian, J.; Tang, Y.; Diao, Y. Isolation and Genomic Characterization of Gosling Gout Caused by a Novel Goose Astrovirus. Transbound. Emerg. Dis. 2018, 13, 10565. [Google Scholar] [CrossRef]
 - Zhang, Y.; Wang, F.; Liu, N.; Yang, L.; Zhang, D. Complete Genome Sequence of a Novel Avastrovirus in Goose. Arch. Virol. 2017, 162, 2135–2139. [Google Scholar] [CrossRef] [PubMed]
 - Wei, F.; Yang, J.; Wang, Y.; Chen, H.; Diao, Y.; Tang, Y. Isolation and Characterization of a Duck-Origin Goose Astrovirus in China. Emerg. Microbes Infect. 2020, 9, 1046–1054. [Google Scholar] [CrossRef]
 - Tamura, K.; Stecher, G.; Peterson, D.; Filipski, A.; Kumar, S. MEGA6: Molecular Evolutionary Genetics Analysis Version 6.0. Mol. Biol. Evol. 2013, 15, 53. [Google Scholar] [CrossRef]
 - Wang, A.P.; Zhang, S.; Xie, J.; Gu, L.L.; Wu, S.; Wu, Z.; Liu, L.; Feng, Q.; Dong, H.Y.; Zhu, S.Y. Isolation and Characterization of a Goose Astrovirus 1 Strain Causing Fatal Gout in Goslings, China. Poult. Sci. 2021, 100, 101432. [Google Scholar] [CrossRef]
 - Smyth, V.; Trudgett, J.; Wylie, M.; Jewhurst, H.; Conway, B.; Welsh, M.; Todd, D.; Kaukonen, E.; Perko-Mäkelä, P. Poultry Diseases Chicken Astrovirus Detected in Hatchability Problems Associated with “White Chicks”. Vet. Rec. 2013, 173, 403–404. [Google Scholar] [CrossRef]
 - Sajewicz-Krukowska, J.; Pać, K.; Lisowska, A.; Pikuła, A.; Minta, Z.; Króliczewska, B.; Domańska-Blicharz, K. Astrovirus-Induced “White Chicks” Condition—Field Observation, Virus Detection and Preliminary Characterization. Avian Pathol. 2016, 45, 2–12. [Google Scholar] [CrossRef]
 - Wei, F.; Yang, J.; He, D.; Diao, Y.; Tang, Y. Evidence of Vertical Transmission of Novel Astrovirus Virus in Goose. Vet. Microbiol. 2020, 244, 108657. [Google Scholar] [CrossRef] [PubMed]
 - Liu, N.; Jiang, M.; Wang, M.; Wang, F.; Zhang, B.; Zhang, D. Isolation and Detection of Duck Astrovirus CPH: Implications for Epidemiology and Pathogenicity. Avian Pathol. 2016, 45, 221–227. [Google Scholar] [CrossRef] [PubMed]
 - Duan, P.; You, G. Short-Term Regulation of Organic Anion Transporters. Pharmacol. Ther. 2010, 125, 55–61. [Google Scholar] [CrossRef] [PubMed][Green Version]
 - Bataille, A.M.; Maffeo, C.L.; Larry Renfro, J. Avian Renal Proximal Tubule Urate Secretion Is Inhibited by Cellular Stress-Induced AMP-Activated Protein Kinase. Am. J. Physiol. Ren. Physiol. 2011, 300, F1327–F1338. [Google Scholar] [CrossRef] [PubMed]
 - Yin, D.; Tian, J.; Yang, J.; Tang, Y.; Diao, Y. Pathogenicity of Novel Goose-Origin Astrovirus Causing Gout in Goslings. BMC Vet. Res. 2021, 17, 40. [Google Scholar] [CrossRef]
 - Bosch, A.; Pintó, R.M.; Guix, S. Human Astroviruses. Clin. Microbiol. Rev. 2014, 27, 1048–1074. [Google Scholar] [CrossRef]
 








| Date | Location | Host | Tissue | Nucleic Acid Detection | 
|---|---|---|---|---|
| March 2022 | Sichuan (Chengdu) | Langdes goose | liver | H9 (7/20), GAstV-2 (17/20) | 
| March 2022 | Shandong (Jining) | Wulong goose | liver, kidney | GAstV-2 (13/20) | 
| May 2022 | Shandong (Liaocheng) | Shitou goose | liver | H9 (4/15), GRV (6/15) | 
| March 2022 | Shandong (Heze) | Wulong goose | embryo | GAstV-1 (17/35), GAstV-2 (33/35) | 
| September 2022 | Jiangsu (Xuzhou) | Langdes goose | liver | GAstV-1 (10/12) | 
| November 2022 | Jiangsu (Suqian) | Zhedong goose | liver, kidney | GAstV-2 (9/15) | 
| April 2022 | Henan (Xiangcheng) | Taihu goose | liver, kidney | H9 (9/20), GRV (11/20) | 
| November 2022 | Jiangxi (Zhuzhou) | Shitou goose | liver, kidney | GRV (9/20), GAstV-2 (16/20) | 
| December 2022 | Jilin (Changchun) | Wulong goose | liver, kidney | GAstV-2 (17/20) | 
| November 2022 | Hebei (Xingtai) | Langdes goose | liver, kidney | H9 (13/15), GAstV-2 (14/15) | 
| Name | Sequence of Primers (5′ to 3′)  | Length of the Amplification Products (bp) | 
|---|---|---|
| GAstV -F | TGAACAGCGTTGATGGAGAT | 110 bp | 
| GAstV -Probe | FAM-TCTTCTTCGGACAGCCAATCGCAACCA-BHQ | |
| GAstV -R | TCACATTTGTTCCCATAGC | 
| Sequence Identity (%) | ||||||||
|---|---|---|---|---|---|---|---|---|
| ORF1a | ORF1b | ORF2 | ||||||
| Species | GenBank  Accession Numbers  | Virus  Strain  | nt | aa | nt | aa | nt | aa | 
| GAstV-1 | NC_034567 | FLX | 98.3 | 99.5 | 99.1 | 98.2 | 98.8 | 99.4 | 
| MW353015 | TZ03 | 98.4 | 99.4 | 92.3 | 98.8 | 95.8 | 97.0 | |
| OL762471 | JXGZ | 98.2 | 99.7 | 92.8 | 98.4 | 75.0 | 81.0 | |
| OL762472 | JXYC | 98.1 | 99.7 | 92.8 | 98.6 | 74.9 | 80.7 | |
| MH410610 | AHDY | 98.8 | 99.5 | 99.3 | 99.8 | 74.6 | 80.7 | |
| MW340534 | SCCD | 98.3 | 99.4 | 93.0 | 98.4 | 74.7 | 80.8 | |
| OK571391 | ZJC14 | 98.6 | 99.6 | 93.5 | 98.8 | 74.8 | 80.8 | |
| GAstV-2 | MK125058 | JSHA | 54.1 | 47.8 | 64.6 | 60.8 | 54.9 | 42.5 | 
| OL762473 | JXGZ | 57.1 | 47.5 | 64.1 | 60.8 | 54.7 | 42.2 | |
| DAstV | FJ919227 | DA08 | 58.8 | 55.3 | 64.2 | 63.7 | 46.8 | 37.9 | 
| KF753805 | SL2 | 54.9 | 48.5 | 65.8 | 66.1 | 51.7 | 52.5 | |
| JX624774 | YP2 | 52.1 | 43.5 | 61.9 | 59.6 | 46.8 | 38.4 | |
| KJ020899 | CPH | 54.6 | 48.7 | 64.3 | 63.4 | 45.5 | 36.5 | |
| TAstV | NC002470 | TA1 | 50.4 | 41.2 | 59.1 | 57.2 | 55.2 | 48.7 | 
| EU143849 | PA01 | 55.8 | 48.2 | 63.8 | 63.7 | 47.3 | 39.0 | |
| CAstV | JF414802 | GA2011 | 55.3 | 50.7 | 64.4 | 66.5 | 48.8 | 39.2 | 
Disclaimer/Publisher’s Note: The statements, opinions and data contained in all publications are solely those of the individual author(s) and contributor(s) and not of MDPI and/or the editor(s). MDPI and/or the editor(s) disclaim responsibility for any injury to people or property resulting from any ideas, methods, instructions or products referred to in the content.  | 
© 2024 by the authors. Licensee MDPI, Basel, Switzerland. This article is an open access article distributed under the terms and conditions of the Creative Commons Attribution (CC BY) license (https://creativecommons.org/licenses/by/4.0/).
Share and Cite
Wei, F.; He, D.; Wu, B.; Diao, Y.; Tang, Y. Isolation, Identification, and Pathogenicity of a Goose Astrovirus Genotype 1 Strain in Goslings in China. Viruses 2024, 16, 541. https://doi.org/10.3390/v16040541
Wei F, He D, Wu B, Diao Y, Tang Y. Isolation, Identification, and Pathogenicity of a Goose Astrovirus Genotype 1 Strain in Goslings in China. Viruses. 2024; 16(4):541. https://doi.org/10.3390/v16040541
Chicago/Turabian StyleWei, Feng, Dalin He, Bingrong Wu, Youxiang Diao, and Yi Tang. 2024. "Isolation, Identification, and Pathogenicity of a Goose Astrovirus Genotype 1 Strain in Goslings in China" Viruses 16, no. 4: 541. https://doi.org/10.3390/v16040541
APA StyleWei, F., He, D., Wu, B., Diao, Y., & Tang, Y. (2024). Isolation, Identification, and Pathogenicity of a Goose Astrovirus Genotype 1 Strain in Goslings in China. Viruses, 16(4), 541. https://doi.org/10.3390/v16040541
        