Identification and Characterization of Linear Epitopes of Monoclonal Antibodies Against African Horse Sickness Virus Serotype 1 VP2 Protein
Abstract
1. Introduction
2. Materials and Methods
2.1. Cells, Virus and Vectors
2.2. Expression and Purification of Recombinant AHSV-1 VP2
2.3. Preparation of mAbs
2.4. iELISA
2.5. Western Blot
2.6. Immunofluorescence Assay (IFA)
2.7. Generation of rFPV-VP2
2.8. Alanine-Scanning Mutagenesis
2.9. Conservation Analysis of the Identified Epitopes
2.10. Biological Information Analysis
3. Results
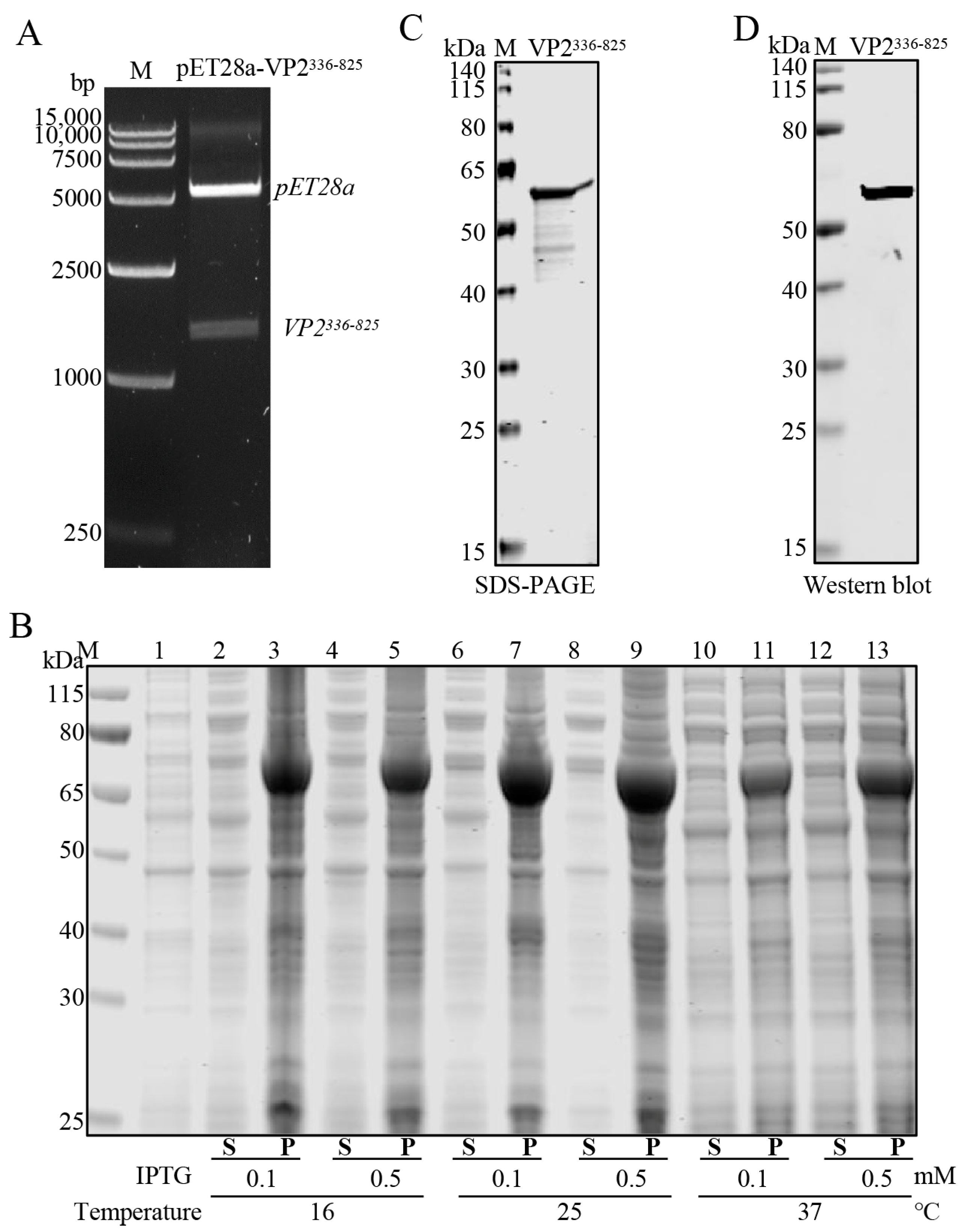
3.1. Expression and Purification of the Recombinant His-VP2336–825 Protein
3.2. Preparation and Characterization of mAbs Against AHSV-1 VP2
3.3. Identification of the Epitopes Recognized by the Three mAbs
3.4. Identification of Critical Amino Acids Within the E670–675 and E670–674 for Recognition by the mAbs
3.5. Conservative Analysis of the Epitopes
3.6. Prediction of the Spatial Structures and Biological Characteristics of VP2 Epitope E670–675
4. Discussion
Supplementary Materials
Author Contributions
Funding
Institutional Review Board Statement
Informed Consent Statement
Data Availability Statement
Conflicts of Interest
References
- Hamblin, C.; Salt, J.S.; Mellor, P.S.; Graham, S.D.; Smith, P.R.; Wohlsein, P. Donkeys as reservoirs of African horse sickness virus. Arch. Virol. 1998, 14, 37–47. [Google Scholar]
- Brian, W.J.M.; Marc, H.V.R. Encyclopedia of Virology, 3rd ed.; Academic Press: New York, NY, USA, 2008; p. 7. [Google Scholar]
- Fassi-Fihri, O.; el Harrak, M.; Fassi-Fehri, M.M. Clinical, virological and immune responses of normal and immunosuppressed donkeys (Equus asinus africanus) after inoculation with African horse sickness virus. Arch. Virol. Suppl. 1998, 14, 49–56. [Google Scholar] [PubMed]
- Barnard, B.J. Epidemiology of African horse sickness and the role of the zebra in South Africa. Arch. Virol. Suppl. 1998, 14, 13–19. [Google Scholar] [PubMed]
- Dennis, S.J.; Meyers, A.E.; Hitzeroth, I.I.; Rybicki, E.P. African Horse Sickness: A Review of Current Understanding and Vaccine Development. Viruses 2019, 11, 844. [Google Scholar] [CrossRef]
- Bunpapong, N.; Charoenkul, K.; Nasamran, C.; Chamsai, E.; Udom, K.; Boonyapisitsopa, S.; Tantilertcharoen, R.; Kesdangsakonwut, S.; Techakriengkrai, N.; Suradhat, S.; et al. African Horse Sickness Virus Serotype 1 on Horse Farm, Thailand, 2020. Emerg. Infect. Dis. 2021, 27, 2208–2211. [Google Scholar] [CrossRef]
- Malaysia, D.O.V.S. African Horse Sickness in Malaysia; Department for Environment, Food and Rural Affairs: London, UK, 2020. [Google Scholar]
- WOAH. Recognition of the African Horse Sickness Status of Members In Resolution No. 16; WOAH: Paris, France, 2023. [Google Scholar]
- de Vos, C.J.; Hoek, C.A.; Nodelijk, G. Risk of introducing African horse sickness virus into the Netherlands by international equine movements. Prev. Vet. Med. 2012, 106, 108–122. [Google Scholar] [CrossRef]
- Robin, M.; Page, P.; Archer, D.; Baylis, M. African horse sickness: The potential for an outbreak in disease-free regions and current disease control and elimination techniques. Equine Vet. J. 2016, 48, 659–669. [Google Scholar] [CrossRef]
- Gao, S.; Zeng, Z.; Wang, H.; Chen, F.; Huang, L.; Wang, X. Predicting the possibility of African horse sickness (AHS) introduction into China using spatial risk analysis and habitat connectivity of Culicoides. Sci. Rep. 2022, 12, 3910. [Google Scholar] [CrossRef]
- Carpenter, S.; Mellor, P.S.; Fall, A.G.; Garros, C.; Venter, G.J. African Horse Sickness Virus: History, Transmission, and Current Status. Annu. Rev. Entomol. 2017, 62, 343–358. [Google Scholar] [CrossRef]
- Roy, P.; Mertens, P.P.; Casal, I. African horse sickness virus structure. Comp. Immunol. Microbiol. Infect. Dis. 1994, 17, 243–273. [Google Scholar] [CrossRef]
- Zwart, L.; Potgieter, C.A.; Clift, S.J.; van Staden, V. Characterising Non-Structural Protein NS4 of African Horse Sickness Virus. PLoS ONE 2015, 10, e0124281. [Google Scholar] [CrossRef] [PubMed]
- Boughan, S.; Potgieter, A.C.; van Staden, V. African horse sickness virus NS4 is a nucleocytoplasmic protein that localizes to PML nuclear bodies. J. Gen. Virol. 2020, 101, 366–384. [Google Scholar] [PubMed]
- Wall, G.V.; Wright, I.M.; Barnardo, C.; Erasmus, B.J.; van Staden, V.; Potgieter, A.C. African horse sickness virus NS4 protein is an important virulence factor and interferes with JAK-STAT signaling during viral infection. Virus Res. 2021, 298, 198407. [Google Scholar] [CrossRef] [PubMed]
- Manole, V.; Laurinmaki, P.; Van Wyngaardt, W.; Potgieter, C.A.; Wright, I.M.; Venter, G.J.; van Dijk, A.A.; Sewell, B.T.; Butcher, S.J. Structural insight into African horsesickness virus infection. J. Virol. 2012, 86, 7858–7866. [Google Scholar] [CrossRef] [PubMed]
- Zhang, X.; Boyce, M.; Bhattacharya, B.; Zhang, X.; Schein, S.; Roy, P.; Zhou, Z.H. Bluetongue virus coat protein VP2 contains sialic acid-binding domains, and VP5 resembles enveloped virus fusion proteins. Proc. Natl. Acad. Sci. USA 2010, 107, 6292–6297. [Google Scholar] [CrossRef]
- Hassan, S.S.; Roy, P. Expression and functional characterization of bluetongue virus VP2 protein: Role in cell entry. J. Virol. 1999, 73, 9832–9842. [Google Scholar] [CrossRef]
- Vreede, F.T.; Huismans, H. Cloning, characterization and expression of the gene that encodes the major neutralization-specific antigen of African horsesickness virus serotype 3. J. Gen. Virol. 1994, 75 Pt 12, 3629–3633. [Google Scholar] [CrossRef]
- Aksular, M.; Calvo-Pinilla, E.; Marin-Lopez, A.; Ortego, J.; Chambers, A.C.; King, L.A.; Castillo-Olivares, J. A single dose of African horse sickness virus (AHSV) VP2 based vaccines provides complete clinical protection in a mouse model. Vaccine 2018, 36, 7003–7010. [Google Scholar] [CrossRef]
- Calvo-Pinilla, E.; Gubbins, S.; Mertens, P.; Ortego, J.; Castillo-Olivares, J. The immunogenicity of recombinant vaccines based on modified Vaccinia Ankara (MVA) viruses expressing African horse sickness virus VP2 antigens depends on the levels of expressed VP2 protein delivered to the host. Antiviral. Res. 2018, 154, 132–139. [Google Scholar] [CrossRef]
- WOAH. Terrestrial manual-SECTION 3.6. In Equidae-Chapter 3.6.1-African Horse SICKNESS (Infection with African Horse Sickness Virus); WOAH: Paris, France, 2019. [Google Scholar]
- Manning, N.M.; Bachanek-Bankowska, K.; Mertens, P.P.C.; Castillo-Olivares, J. Vaccination with recombinant Modified Vaccinia Ankara (MVA) viruses expressing single African horse sickness virus VP2 antigens induced cross-reactive virus neutralising antibodies (VNAb) in horses when administered in combination. Vaccine 2017, 35, 6024–6029. [Google Scholar] [CrossRef]
- Kanai, Y.; van Rijn, P.A.; Maris-Veldhuis, M.; Kaname, Y.; Athmaram, T.N.; Roy, P. Immunogenicity of recombinant VP2 proteins of all nine serotypes of African horse sickness virus. Vaccine 2014, 32, 4932–4937. [Google Scholar] [CrossRef] [PubMed]
- Alberca, B.; Bachanek-Bankowska, K.; Cabana, M.; Calvo-Pinilla, E.; Viaplana, E.; Frost, L.; Gubbins, S.; Urniza, A.; Mertens, P.; Castillo-Olivares, J. Vaccination of horses with a recombinant modified vaccinia Ankara virus (MVA) expressing African horse sickness (AHS) virus major capsid protein VP2 provides complete clinical protection against challenge. Vaccine 2014, 32, 3670–3674. [Google Scholar] [CrossRef] [PubMed]
- Martinez-Torrecuadrada, J.L.; Langeveld, J.P.M.; Meloen, R.H.; Casal, J.I. Definition of neutralizing sites on African horse sickness virus serotype 4 VP2 at the level of peptides. J. Gen. Virol. 2001, 82 Pt 10, 2415–2424. [Google Scholar] [CrossRef] [PubMed][Green Version]
- Martinez-Torrecuadrada, J.L.; Casal, J.I. Identification of a linear neutralization domain in the protein VP2 of African horse sickness virus. Virology 1995, 210, 391–399. [Google Scholar] [CrossRef] [PubMed][Green Version]
- Bentley, L.; Fehrsen, J.; Jordaan, F.; Huismans, H.; du Plessis, D.H. Identification of antigenic regions on VP2 of African horsesickness virus serotype 3 by using phage-displayed epitope libraries. J. Gen. Virol. 2000, 81 Pt 4, 993–1000. [Google Scholar] [CrossRef] [PubMed]
- Faber, E.; van Schalkwyk, A.; Ivy Tshilwane, S.; Van Kleef, M.; Pretorius, A. Identification of T cell and linear B cell epitopes on African horse sickness virus serotype 4 proteins VP1-1, VP2, VP4, VP7 and NS3. Vaccine 2024, 42, 136–145. [Google Scholar] [CrossRef]
- Mathebula, E.M.; Faber, F.E.; Van Wyngaardt, W.; Van Schalkwyk, A.; Pretorius, A.; Fehrsen, J. B-cell epitopes of African horse sickness virus serotype 4 recognised by immune horse sera. Onderstepoort J. Vet. Res. 2017, 84, e1–e12. [Google Scholar] [CrossRef][Green Version]
- Ma, X.; Gao, M.; Zhang, X.; Ma, W.; Xue, F.; Wang, X.F.; Wang, X. Identification and characterization of linear epitopes of monoclonal antibodies against the capsid proteins of small ruminant lentiviruses. Front. Microbiol. 2024, 15, 1452063. [Google Scholar] [CrossRef]
- Ting, Q. Molecular Epidemiologic Surveillance of Equine Influenza Virus in China and Primary Study of Fowlpox Virus-Vectored Vaccine Against EIV. Ph.D. Thesis, Chinese Academy of Agricultural Sciences, Beijing, China, 2011. [Google Scholar]
- Qiao, C.L.; Yu, K.Z.; Jiang, Y.P.; Jia, Y.Q.; Tian, G.B.; Liu, M.; Deng, G.H.; Wang, X.R.; Meng, Q.W.; Tang, X.Y. Protection of chickens against highly lethal H5N1 and H7N1 avian influenza viruses with a recombinant fowlpox virus co-expressing H5 haemagglutinin and N1 neuraminidase genes. Avian Pathol. 2003, 32, 25–32. [Google Scholar] [CrossRef]
- Van Wyngaardt, W.; Du Plessis, D.H.; Van Wyngaardt, S.; Verschoor, J.A. Production and properties of monoclonal antibodies against African horsesickness virus, serotype 3. Onderstepoort J. Vet. Res. 1992, 59, 129–133. [Google Scholar]
- Ranz, A.I.; Miguet, J.G.; Anaya, C.; Venteo, A.; Cortes, E.; Vela, C.; Sanz, A. Diagnostic methods for African horsesickness virus using monoclonal antibodies to structural and non-structural proteins. Vet. Microbiol. 1992, 33, 143–153. [Google Scholar] [CrossRef] [PubMed]
- Wang, X.; Fan, Y.; Hu, X.; Xu, J.; Zhang, H.; Tian, Z.; Gou, H.; Zheng, Y.; Guan, G.; Luo, J.; et al. Truncated expression and immunogenicity analysis of VP2 protein of African horse sickness virus. Chin. Vet. Sci. 2024, 54, 1087–1095. [Google Scholar]
- Potgieter, A.C.; Cloete, M.; Pretorius, P.J.; van Dijk, A.A. A first full outer capsid protein sequence data-set in the Orbivirus genus (family Reoviridae): Cloning, sequencing, expression and analysis of a complete set of full-length outer capsid VP2 genes of the nine African horsesickness virus serotypes. J. Gen. Virol. 2003, 84 Pt 5, 1317–1326. [Google Scholar] [CrossRef] [PubMed]
- Guthrie, A.J.; Quan, M.; Lourens, C.W.; Audonnet, J.C.; Minke, J.M.; Yao, J.; He, L.; Nordgren, R.; Gardner, I.A.; Maclachlan, N.J. Protective immunization of horses with a recombinant canarypox virus vectored vaccine co-expressing genes encoding the outer capsid proteins of African horse sickness virus. Vaccine 2009, 27, 4434–4438. [Google Scholar] [CrossRef]
- Chiam, R.; Sharp, E.; Maan, S.; Rao, S.; Mertens, P.; Blacklaws, B.; Davis-Poynter, N.; Wood, J.; Castillo-Olivares, J. Induction of antibody responses to African horse sickness virus (AHSV) in ponies after vaccination with recombinant modified vaccinia Ankara (MVA). PLoS ONE 2009, 4, e5997. [Google Scholar] [CrossRef]
- Burrage, T.G.; Trevejo, R.; Stone-Marschat, M.; Laegreid, W.W. Neutralizing epitopes of African horsesickness virus serotype 4 are located on VP2. Virology 1993, 196, 799–803. [Google Scholar] [CrossRef]






Disclaimer/Publisher’s Note: The statements, opinions and data contained in all publications are solely those of the individual author(s) and contributor(s) and not of MDPI and/or the editor(s). MDPI and/or the editor(s) disclaim responsibility for any injury to people or property resulting from any ideas, methods, instructions or products referred to in the content. |
© 2024 by the authors. Licensee MDPI, Basel, Switzerland. This article is an open access article distributed under the terms and conditions of the Creative Commons Attribution (CC BY) license (https://creativecommons.org/licenses/by/4.0/).
Share and Cite
Ma, X.; Zhang, Y.; Na, L.; Qi, T.; Ma, W.; Guo, X.; Wang, X.-F.; Wang, X. Identification and Characterization of Linear Epitopes of Monoclonal Antibodies Against African Horse Sickness Virus Serotype 1 VP2 Protein. Viruses 2024, 16, 1780. https://doi.org/10.3390/v16111780
Ma X, Zhang Y, Na L, Qi T, Ma W, Guo X, Wang X-F, Wang X. Identification and Characterization of Linear Epitopes of Monoclonal Antibodies Against African Horse Sickness Virus Serotype 1 VP2 Protein. Viruses. 2024; 16(11):1780. https://doi.org/10.3390/v16111780
Chicago/Turabian StyleMa, Xiaohua, Yingzhi Zhang, Lei Na, Ting Qi, Weiwei Ma, Xing Guo, Xue-Feng Wang, and Xiaojun Wang. 2024. "Identification and Characterization of Linear Epitopes of Monoclonal Antibodies Against African Horse Sickness Virus Serotype 1 VP2 Protein" Viruses 16, no. 11: 1780. https://doi.org/10.3390/v16111780
APA StyleMa, X., Zhang, Y., Na, L., Qi, T., Ma, W., Guo, X., Wang, X.-F., & Wang, X. (2024). Identification and Characterization of Linear Epitopes of Monoclonal Antibodies Against African Horse Sickness Virus Serotype 1 VP2 Protein. Viruses, 16(11), 1780. https://doi.org/10.3390/v16111780

