Complement Evasion Protects FCoV from Virus Clearance Within Prototypic FIP Lesions
Abstract
1. Introduction
2. Materials and Methods
2.1. Tissue Selection and Case-Specific Metadata
2.2. Confirmative Testing
2.3. Immunohistochemical Double Staining
2.4. Microscopic Algorithm
2.5. Statistical Evaluation
3. Results
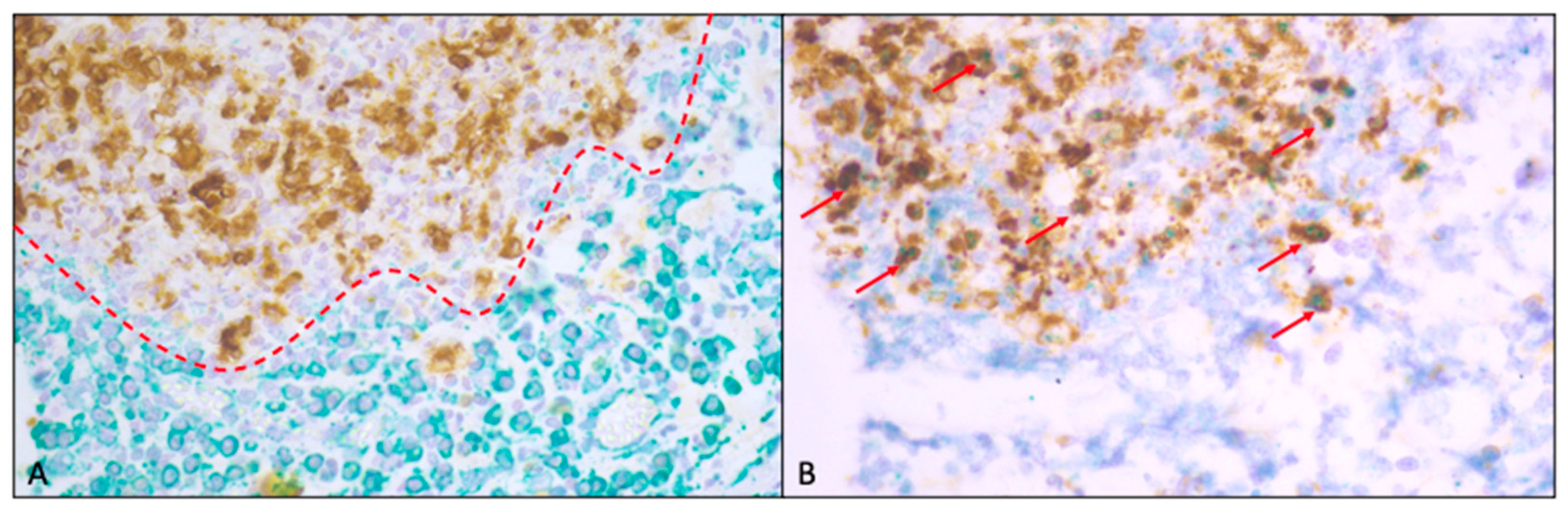
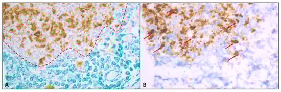
3.1. Spatial Pattern and Yield of Feline Coronavirus-Infected Cells
3.2. Expression of Complement-Activating Factors Versus Complement-Regulating Factors
3.3. Comparative Staining Pattern: Complement-Regulating Versus Complement-Activating Factors
4. Discussion
5. Conclusions
Supplementary Materials
Author Contributions
Funding
Institutional Review Board Statement
Informed Consent Statement
Data Availability Statement
Acknowledgments
Conflicts of Interest
References
- Licitra, B.N.; Millet, J.K.; Regan, A.D.; Hamilton, B.S.; Rinaldi, V.D.; Duhamel, G.E.; Whittaker, G.R. Mutation in spike protein cleavage site and pathogenesis of feline coronavirus. Emerg. Infect. Dis. 2013, 19, 1066–1073. [Google Scholar] [CrossRef] [PubMed]
- Cornelissen, E.; Dewerchin, H.L.; Van Hamme, E.; Nauwynck, H.J. Absence of antibody-dependent, complement-mediated lysis of feline infectious peritonitis virus-infected cells. Virus Res. 2009, 144, 285–289. [Google Scholar] [CrossRef] [PubMed]
- Kipar, A.; Meli, M.L. Feline infectious peritonitis: Still an enigma? Vet. Pathol. 2014, 51, 505–526. [Google Scholar] [CrossRef] [PubMed]
- Ross, S.C.; Densen, P. Complement Deficiency States and Infection: Epidemiology, Pathogenesis and Consequences of Neisserial and Other Infections in an Immune Deficiency. Medicine 1984, 63, 243–273. [Google Scholar] [CrossRef] [PubMed]
- Gassmann, M.; Lutz, T.A. 10.5.2.3 Komplementsystem. In Physiologie der Haustiere; von Engelhardt, W., Ed.; Enke: Stuttgart, Germany, 2009; p. 222. [Google Scholar]
- Liszewski, M.K.; Atkinson, J.P. Complement regulator CD46: Genetic variants and disease associations. Hum. Genom. 2015, 9, 7. [Google Scholar] [CrossRef]
- Morgan, P. Chapter 34—CD59. In The Complement FactsBook, 2nd ed.; Barnum, S., Schein, T., Eds.; Academic Press: Cambridge, MA, USA, 2018; pp. 361–367. [Google Scholar]
- Kishore, U.; Reid, K.B.M. C1q: Structure, function, and receptors. Immunopharmacology 2000, 49, 159–170. [Google Scholar] [CrossRef]
- Reid, K.B.M. Complement Component C1q: Historical Perspective of a Functionally Versatile, and Structurally Unusual, Serum Protein. Front. Immunol. 2018, 9, 764. [Google Scholar] [CrossRef]
- Rus, H.G.; Niculescu, F.I.; Shin, M.L. Role of the C5b-9 complement complex in cell cycle and apoptosis. Immunol. Rev. 2001, 180, 49–55. [Google Scholar] [CrossRef]
- Kaname, Y.; Tani, H.; Kataoka, C.; Shiokawa, M.; Taguwa, S.; Abe, T.; Moriishi, K.; Kinoshita, T.; Matsuura, Y. Acquisition of complement resistance through incorporation of CD55/decay-accelerating factor into viral particles bearing baculovirus GP64. J. Virol. 2010, 84, 3210–3219. [Google Scholar] [CrossRef]
- Wei, Y.; Ji, Y.; Guo, H.; Zhi, X.; Han, S.; Zhang, Y.; Gao, Y.; Chang, Y.; Yan, D.; Li, K.; et al. CD59 association with infectious bronchitis virus particles protects against antibody-dependent complement-mediated lysis. J. Gen. Virol. 2017, 98, 2725–2730. [Google Scholar] [CrossRef]
- Saifuddin, M.; Parker, C.J.; Peeples, M.E.; Gorny, M.K.; Zolla-Pazner, S.; Ghassemi, M.; Rooney, I.A.; Atkinson, J.P.; Spear, G.T. Role of virion-associated glycosylphosphatidylinositol-linked proteins CD55 and CD59 in complement resistance of cell line-derived and primary isolates of HIV-1. J. Exp. Med. 1995, 182, 501–509. [Google Scholar] [CrossRef] [PubMed]
- Liszewski, M.K.; Bertram, P.; Leung, M.K.; Hauhart, R.; Zhang, L.; Atkinson, J.P. Smallpox inhibitor of complement enzymes (SPICE): Regulation of complement activation on cells and mechanism of its cellular attachment. J. Immunol. 2008, 181, 4199–4207. [Google Scholar] [CrossRef] [PubMed]
- Meli, M.L.; Spiri, A.M.; Zwicklbauer, K.; Krentz, D.; Felten, S.; Bergmann, M.; Dorsch, R.; Matiasek, K.; Alberer, M.; Kolberg, L.; et al. Fecal Feline Coronavirus RNA Shedding and Spike Gene Mutations in Cats with Feline Infectious Peritonitis Treated with GS-441524. Viruses 2022, 14, 1069. [Google Scholar] [CrossRef] [PubMed]
- Rosati, M.; Goedde, T.; Steffen, F.; Gandini, G.; De Risio, L.; Reese, S.; Matiasek, K. Developmental Changes in Voltage-Gated Calcium Channel α2δ-Subunit Expression in the Canine Dorsal Root Ganglion. Dev. Neurosci. 2012, 34, 440–448. [Google Scholar] [CrossRef] [PubMed]
- FasterCapital. Kendall’s Tau: Examining Kendall’s Tau in Nonparametric Statistics. In Kendall’s tau: Examining Kendall’s Tau in Nonparametric Statistics; Springer: Berlin/Heidelberg, Germany, 2023. [Google Scholar]
- Hohdatsu, T.; Nakamura, M.; Ishizuka, Y.; Yamada, H.; Koyama, H. A study on the mechanism of antibody-dependent enhancement of feline infectious peritonitis virus infection in feline macrophages by monoclonal antibodies. Arch. Virol. 1991, 120, 207–217. [Google Scholar] [CrossRef]
- Corapi, W.V.; Olsen, C.W.; Scott, F.W. Monoclonal antibody analysis of neutralization and antibody-dependent enhancement of feline infectious peritonitis virus. J. Virol. 1992, 66, 6695–6705. [Google Scholar] [CrossRef]
- Olsen, C.W.; Corapi, W.V.; Ngichabe, C.K.; Baines, J.D.; Scott, F.W. Monoclonal antibodies to the spike protein of feline infectious peritonitis virus mediate antibody-dependent enhancement of infection of feline macrophages. J. Virol. 1992, 66, 956–965. [Google Scholar] [CrossRef]
- Olsen, C.; Scott, F. Evaluation of antibody-dependent enhancement of feline infectious peritonitis virus infectivity using in situ hybridization. Microb. Pathog. 1993, 14, 275–285. [Google Scholar] [CrossRef]
- Corapi, W.V.; Darteil, R.J.; Audonnet, J.C.; Chappuis, G.E. Localization of antigenic sites of the S glycoprotein of feline infectious peritonitis virus involved in neutralization and antibody-dependent enhancement. J. Virol. 1995, 69, 2858–2862. [Google Scholar] [CrossRef]
- de Groot-Mijnes, J.D.; van Dun, J.M.; van der Most, R.G.; de Groot, R.J. Natural history of a recurrent feline coronavirus infection and the role of cellular immunity in survival and disease. J. Virol. 2005, 79, 1036–1044. [Google Scholar] [CrossRef]
- Kipar, A.; Meli, M.L.; Failing, K.; Euler, T.; Gomes-Keller, M.A.; Schwartz, D.; Lutz, H.; Reinacher, M. Natural feline coronavirus infection: Differences in cytokine patterns in association with the outcome of infection. Vet. Immunol. Immunopathol. 2006, 112, 141–155. [Google Scholar] [CrossRef] [PubMed]
- Takano, T.; Katada, Y.; Moritoh, S.; Ogasawara, M.; Satoh, K.; Satoh, R.; Tanabe, M.; Hohdatsu, T. Analysis of the mechanism of antibody-dependent enhancement of feline infectious peritonitis virus infection: Aminopeptidase N is not important and a process of acidification of the endosome is necessary. J. Gen. Virol. 2008, 89, 1025–1029. [Google Scholar] [CrossRef] [PubMed]
- Zhu, C.; Song, Z.; Wang, A.; Srinivasan, S.; Yang, G.; Greco, R.; Theilhaber, J.; Shehu, E.; Wu, L.; Yang, Z.-Y.; et al. Isatuximab Acts Through Fc-Dependent, Independent, and Direct Pathways to Kill Multiple Myeloma Cells. Front. Immunol. 2020, 11 Pt 4, 1771. [Google Scholar] [CrossRef] [PubMed]
- Wang, H.; Koob, T.; Fromm, J.R.; Gopal, A.; Carter, D.; Lieber, A. CD46 and CD59 inhibitors enhance complement-dependent cytotoxicity of anti-CD38 monoclonal antibodies daratumumab and isatuximab in multiple myeloma and other B-cell malignancy cells. Cancer Biol. Ther. 2024, 25, 2314322. [Google Scholar] [CrossRef] [PubMed]
- Vassiliev, P.; Gusev, E.; Komelkova, M.; Kochetkov, A.; Dobrynina, M.; Sarapultsev, A. Computational Analysis of CD46 Protein Interaction with SARS-CoV-2 Structural Proteins: Elucidating a Putative Viral Entry Mechanism into Human Cells. Viruses 2023, 15, 2297. [Google Scholar] [CrossRef]
- Ge, X.; Yu, Z.; Guo, X.; Li, L.; Ye, L.; Ye, M.; Yuan, J.; Zhu, C.; Hu, W.; Hou, Y. Complement and complement regulatory proteins are upregulated in lungs of COVID-19 patients. Pathol.-Res. Pract. 2023, 247, 154519. [Google Scholar] [CrossRef]
- Haagmans, B.L.; Egberink, H.F.; Horzinek, M.C. Apoptosis and T-cell depletion during feline infectious peritonitis. J. Virol. 1996, 70, 8977–8983. [Google Scholar] [CrossRef]
- Takano, T.; Azuma, N.; Hashida, Y.; Satoh, R.; Hohdatsu, T. B-cell activation in cats with feline infectious peritonitis (FIP) by FIP-virus-induced B-cell differentiation/survival factors. Arch. Virol. 2009, 154, 27–35. [Google Scholar] [CrossRef]
- Stoddart, C.A.; Scott, F.W. Intrinsic resistance of feline peritoneal macrophages to coronavirus infection correlates with in vivo virulence. J. Virol. 1989, 63, 436–440. [Google Scholar] [CrossRef]
- Vermeulen, B.L.; Devriendt, B.; Olyslaegers, D.A.; Dedeurwaerder, A.; Desmarets, L.M.; Favoreel, H.W.; Dewerchin, H.L.; Nauwynck, H.J. Suppression of NK cells and regulatory T lymphocytes in cats naturally infected with feline infectious peritonitis virus. Vet. Microbiol. 2013, 164, 46–59. [Google Scholar] [CrossRef]
- The involvement of natural killer cells in the pathogenesis of severe acute respiratory syndrome. Am. J. Clin. Pathol. 2004, 121, 507–511. [CrossRef]
- Qin, C.; Zhou, L.; Hu, Z.; Zhang, S.; Yang, S.; Tao, Y.; Xie, C.; Ma, K.; Shang, K.; Wang, W.; et al. Dysregulation of Immune Response in Patients with Coronavirus 2019 (COVID-19) in Wuhan, China. Clin. Infect. Dis. 2020, 71, 762–768. [Google Scholar] [CrossRef] [PubMed]
- Attipa, C.; Warr, A.S.; Epaminondas, D.; O’Shea, M.; Fletcher, S.; Malbon, A.; Lyraki, M.; Hammond, R.; Hardas, A.; Zanti, A.; et al. Emergence and spread of feline infectious peritonitis due to a highly pathogenic canine/feline recombinant coronavirus. bioRxiv 2023. [Google Scholar]
- Giang, J.; Seelen, M.; van Doorn, M.; Rissmann, R.; Prens, E.; Damman, J. Complement Activation in Inflammatory Skin Diseases. Front. Immunol. 2018, 9, 639. [Google Scholar] [CrossRef]
- van den Berg, R.H.; Faber-Krol, M.; van Es, L.A.; Daha, M.R. Regulation of the function of the first component of complement by human C1q receptor. Eur. J. Immunol. 1995, 25, 2206–2210. [Google Scholar] [CrossRef]
- Mayousse, V.; Jeandel, A.; Blanchard-Gutton, N.; Escriou, C.; Gnirs, K.; Shelton, G.D.; Blot, S. Evaluation of coexisting polymyositis in feline myasthenia gravis: A case series. Neuromuscul. Disord. 2017, 27, 804–815. [Google Scholar] [CrossRef]
- Krentz, D.; Zenger, K.; Alberer, M.; Felten, S.; Bergmann, M.; Dorsch, R.; Matiasek, K.; Kolberg, L.; Hofmann-Lehmann, R.; Meli, M.L.; et al. Curing Cats with Feline Infectious Peritonitis with an Oral Multi-Component Drug Containing GS-441524. Viruses 2021, 13, 2228. [Google Scholar] [CrossRef]


| C1q | C9 | CD46 | CD59 | |
|---|---|---|---|---|
| Blocking-buffer | 1IHC-buffer plus 2.5% goat serum | |||
| Pretreatment | Protease K DAKO, S3020 Dilution: 1:100 8 min | - | Citrate buffer (pH 6) Microwave at 800 W 20 min | Citrate buffer (pH 6) Microwave at 800 W 20 min |
| Normal serum | Blocking buffer plus avidin (Avidin/Biotin Blocking Kit, SP-2001) (1:20) 30 min | |||
| 1. Antibody * | Blocking buffer with Biotin (Avidin/Biotin Blocking Kit, SP-2001) (1:20) plus Polyclonal Rabbit Anti-Human C1q Complement (DAKO, A 0136 P0260, CA 95052, USA) Dilution: 1:200 Overnight | Blocking buffer with Biotin (Avidin/Biotin Blocking Kit, SP-2001) (1:20) plus Rabbit Recombinant Monoclonal C9 (ab173302; abcam; Cambridge, CB2 0AX, UK) Dilution: 1:400 Overnight | Blocking buffer with Biotin (Avidin/Biotin Blocking Kit, SP-2001) (1:20) plus Rabbit Polyclonal CD46 antibody (ab231984; abcam; Cambridge, CB2 0AX, UK) Dilution: 1:100 Overnight | Blocking buffer with Biotin (Avidin/Biotin Blocking Kit, SP-2001) (1:20) plus Rabbit Polyclonal CD59 antibody (ab69084; abcam; Cambridge, CB2 0AX, UK) Dilution: 1:100 Overnight |
| 2. Antibody * | Blocking buffer plus Goat Anti-Rabbit IgG, Biotinylated (Vector Laboratories, BA-1000) Dilution: 1:200 50 min | |||
| Signal amplification | Streptavidin–biotin complex method (VECTASTAIN ABC Kit; Vector Laboratories) | |||
| Staining | HistoGreen (HISTOPRIME®, Biozol Diagnostica Vertrieb GmbH; 85386 Eching, Germany) | |||
| FCoV*-positive cells | |
| No immunopositive cells | 0 |
| Individual immunopositive cells | 1 |
| Individual aggregates of 10–30 cells per lesion | 2 |
| Multiple hotspots with >30 cells | 3 |
| Intrafocal, marginal and extrafocal immunostaining of CD46, CD59, C1q and C9 in lesions with FCoV*-positive cells | |
| No immunopositive signal in the described area | 0 |
| Some cells and slight coloration in the described area | 1 |
| Some cells with medium staining in the described area | 2 |
| Very many cells with high-grade staining in the area described above | 3 |
| FCoV*-positive cells in relation to CD46 and CD59 | |
| No colocalization | 0 |
| Weak and/or sporadic colocalization with FCoV* | 1 |
| Strong and/or predominant colocalization with FCoV* | 2 |
| FCoV*-positive cells in relation to C1q and C9 | |
| Separate expression with partly small or blurred distance (1–2 cell layers) to FCoV*-positive cells | 1 |
| Separate expression exclusively at a clear distance from FCoV*-positive cells | 2 |
Disclaimer/Publisher’s Note: The statements, opinions and data contained in all publications are solely those of the individual author(s) and contributor(s) and not of MDPI and/or the editor(s). MDPI and/or the editor(s) disclaim responsibility for any injury to people or property resulting from any ideas, methods, instructions or products referred to in the content. |
© 2024 by the authors. Licensee MDPI, Basel, Switzerland. This article is an open access article distributed under the terms and conditions of the Creative Commons Attribution (CC BY) license (https://creativecommons.org/licenses/by/4.0/).
Share and Cite
Hönl, A.; Felten, S.; Erber, K.; Bergmann, M.; Reese, S.; Hofmann-Lehmann, R.; Meli, M.L.; Spiri, A.M.; Hartmann, K.; Matiasek, K. Complement Evasion Protects FCoV from Virus Clearance Within Prototypic FIP Lesions. Viruses 2024, 16, 1685. https://doi.org/10.3390/v16111685
Hönl A, Felten S, Erber K, Bergmann M, Reese S, Hofmann-Lehmann R, Meli ML, Spiri AM, Hartmann K, Matiasek K. Complement Evasion Protects FCoV from Virus Clearance Within Prototypic FIP Lesions. Viruses. 2024; 16(11):1685. https://doi.org/10.3390/v16111685
Chicago/Turabian StyleHönl, Anne, Sandra Felten, Katharina Erber, Michèle Bergmann, Sven Reese, Regina Hofmann-Lehmann, Marina L. Meli, Andrea M. Spiri, Katrin Hartmann, and Kaspar Matiasek. 2024. "Complement Evasion Protects FCoV from Virus Clearance Within Prototypic FIP Lesions" Viruses 16, no. 11: 1685. https://doi.org/10.3390/v16111685
APA StyleHönl, A., Felten, S., Erber, K., Bergmann, M., Reese, S., Hofmann-Lehmann, R., Meli, M. L., Spiri, A. M., Hartmann, K., & Matiasek, K. (2024). Complement Evasion Protects FCoV from Virus Clearance Within Prototypic FIP Lesions. Viruses, 16(11), 1685. https://doi.org/10.3390/v16111685

