Evaluation of Non-Vector Transmission of Usutu Virus in Domestic Canaries (Serinus canaria)
Abstract
1. Introduction
2. Materials and Methods
2.1. Virus
2.2. Canary Experiments
2.2.1. Comparison of the Intranasal and Intradermal Inoculation Routes of USUV in Canaries
2.2.2. Evaluation of the Horizontal Transmission of USUV in Co-Housed Sentinels
2.2.3. Evaluation of “Forced” Transmission of USUV in Canaries
2.3. Sample Collection
2.4. Virus Isolation and Titration
2.5. Viral Detection by RT-qPCR
2.6. Histopathology and Immunohistochemistry
2.7. USUV Antibodies Detection
2.8. Tracheal Explants
2.9. Statistical Analyses
3. Results
3.1. Susceptibility of Canaries to the Intranasal Inoculation of USUV
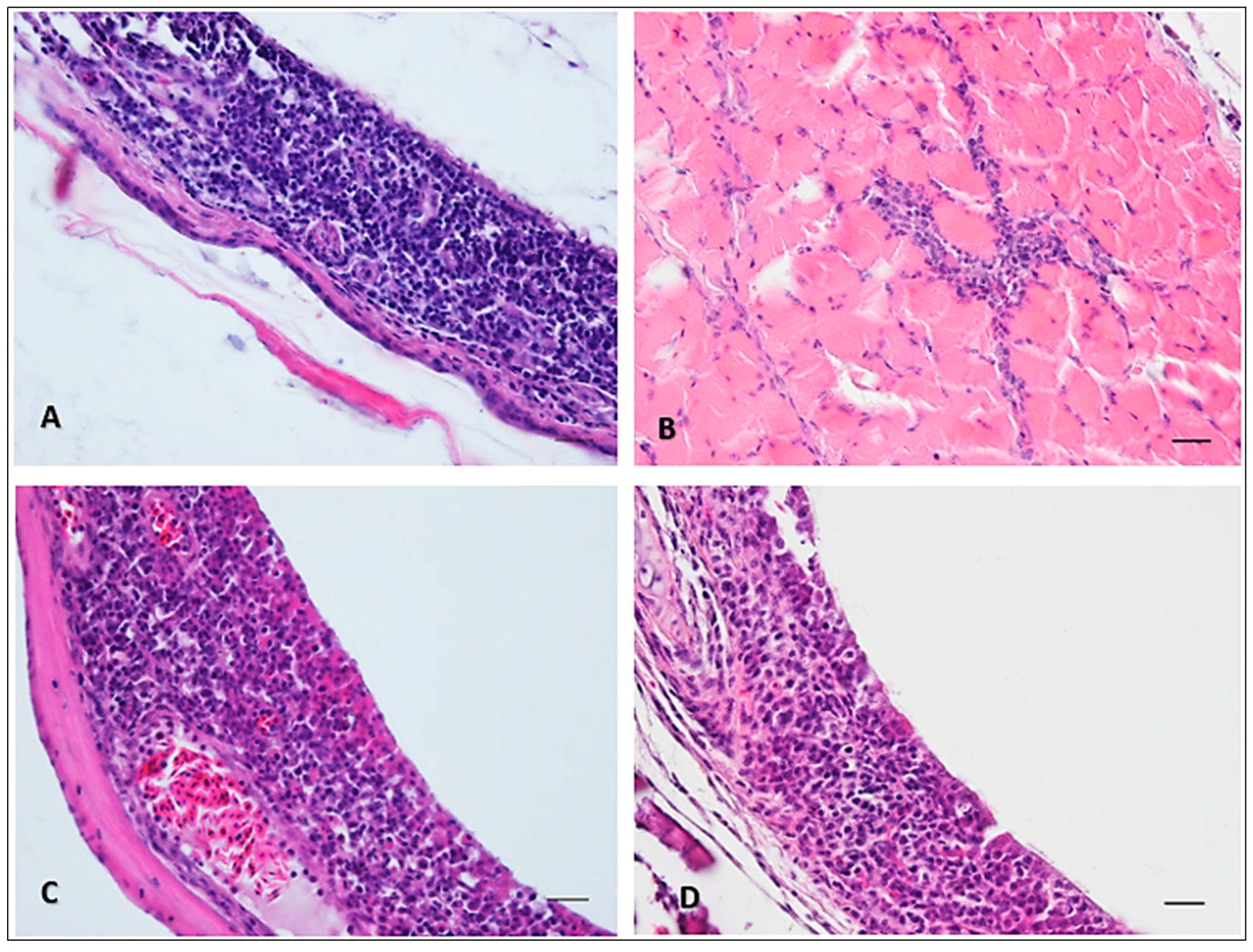
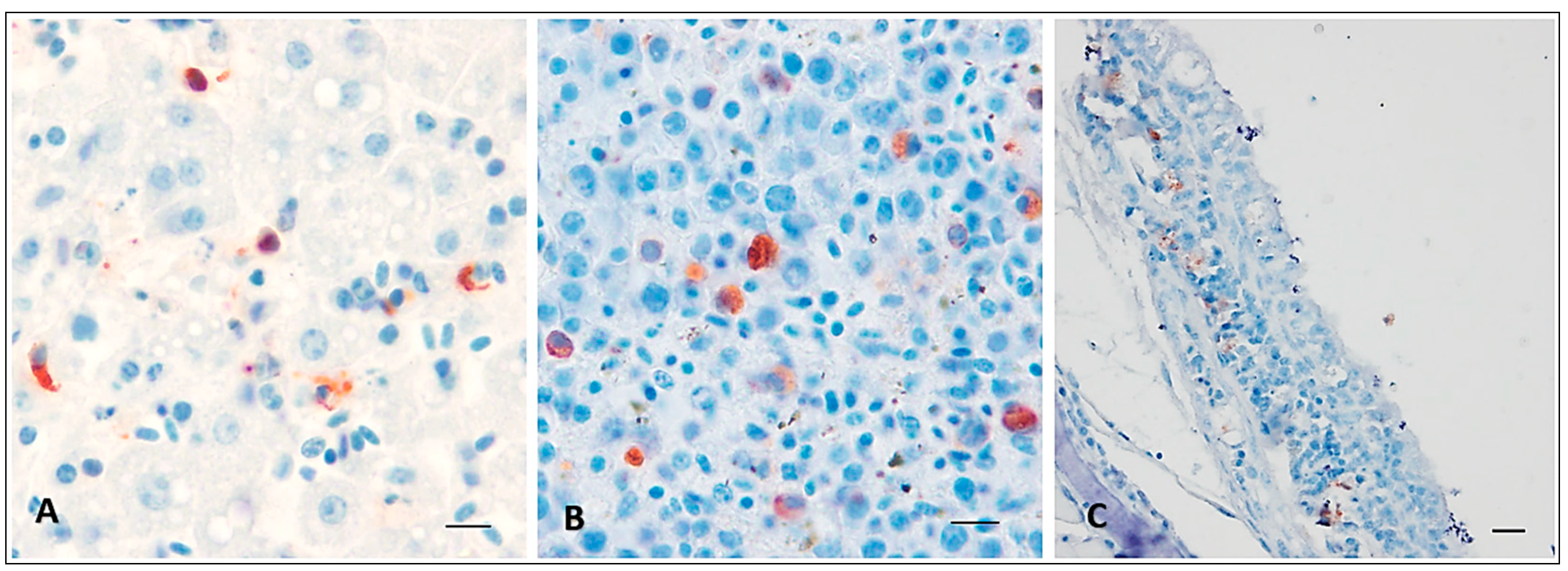
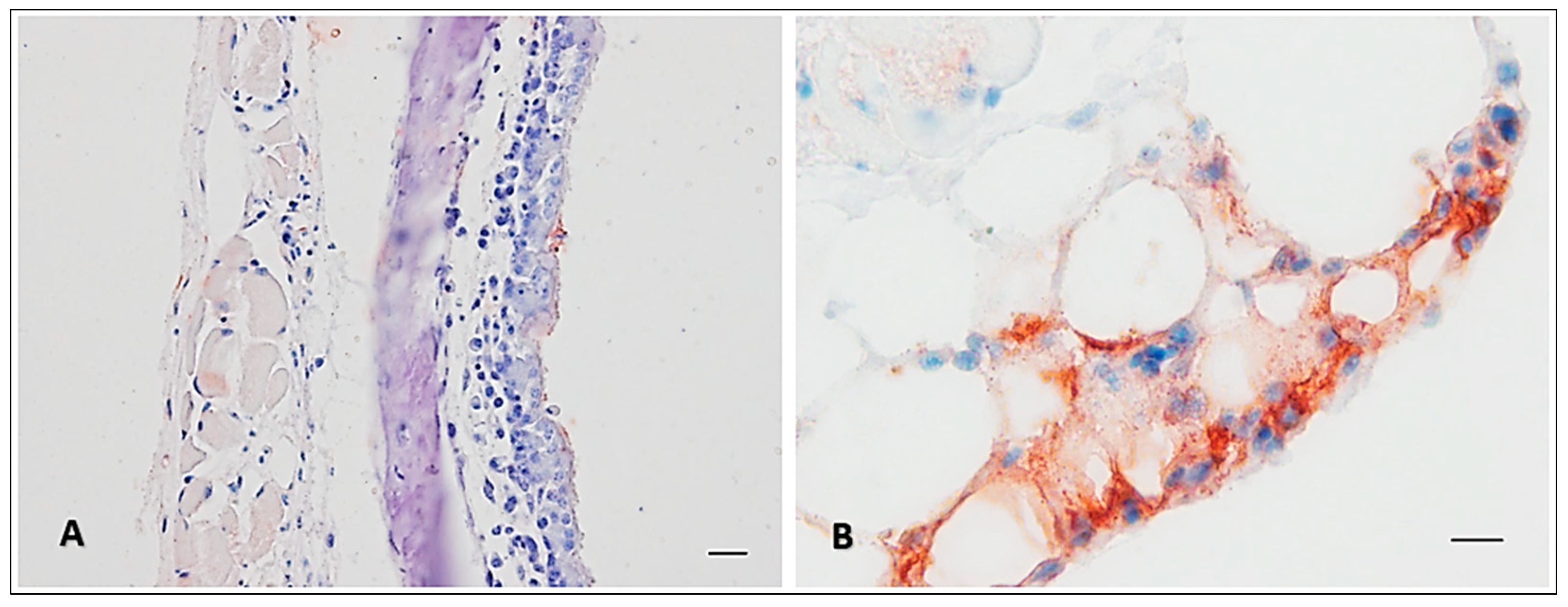
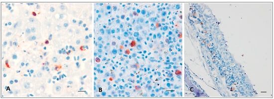
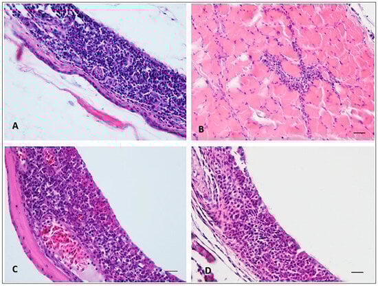
3.2. Histopathological Lesions and Cellular Tropism Are Independent of the Route of Inoculation of USUV
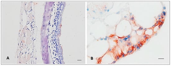
3.3. The Avian Airway Mucosa Is Only Weakly Permissive to USUV
3.4. Infected Canaries Shed Infectious USUV Particles
3.5. Evidence of Horizontal Transmission of USUV Infection to Naive Canaries
4. Discussion
5. Conclusions
Supplementary Materials
Author Contributions
Funding
Institutional Review Board Statement
Informed Consent Statement
Data Availability Statement
Acknowledgments
Conflicts of Interest
References
- Kuno, G.; Chang, G.-J.J.; Tsuchiya, K.R.; Karabatsos, N.; Cropp, C.B. Phylogeny of the Genus Flavivirus. J. Virol. 1998, 72, 73–83. [Google Scholar] [CrossRef] [PubMed]
- Weissenböck, H.; Kolodziejek, J.; Url, A.; Lussy, H.; Rebel-Bauder, B.; Nowotny, N. Emergence of Usutu Virus, an African Mosquito-Borne Flavivirus of the Japanese Encephalitis Virus Group, Central Europe. Emerg. Infect. Dis. 2002, 8, 652–656. [Google Scholar] [CrossRef] [PubMed]
- Sieg, M.; Schmidt, V.; Ziegler, U.; Keller, M.; Höper, D.; Heenemann, K.; Rückner, A.; Nieper, H.; Muluneh, A.; Groschup, M.H.; et al. Outbreak and Cocirculation of Three Different Usutu Virus Strains in Eastern Germany. Vector-Borne Zoonotic Dis. 2017, 17, 662–664. [Google Scholar] [CrossRef] [PubMed]
- Becker, N.; Jöst, H.; Ziegler, U.; Eiden, M.; Höper, D.; Emmerich, P.; Fichet-Calvet, E.; Ehichioya, D.U.; Czajka, C.; Gabriel, M.; et al. Epizootic Emergence of Usutu Virus in Wild and Captive Birds in Germany. PLoS ONE 2012, 7, e32604. [Google Scholar] [CrossRef]
- Garigliany, M.; Linden, A.; Gilliau, G.; Levy, E.; Sarlet, M.; Franssen, M.; Benzarti, E.; Derouaux, A.; Francis, F.; Desmecht, D. Usutu Virus, Belgium, 2016. Infect. Genet. Evol. 2017, 48, 116–119. [Google Scholar] [CrossRef] [PubMed]
- Rijks, J.M.; Kik, M.; Slaterus, R.; Foppen, R.; Stroo, A.; Ijzer, J.; Stahl, J.; Gröne, A.; Koopmans, M.; van der Jeugd, H.; et al. Widespread Usutu Virus Outbreak in Birds in The Netherlands, 2016. Eurosurveillance 2016, 21, 30391. [Google Scholar] [CrossRef]
- Lühken, R.; Jöst, H.; Cadar, D.; Thomas, S.M.; Bosch, S.; Tannich, E.; Becker, N.; Ziegler, U.; Lachmann, L.; Schmidt-Chanasit, J. Distribution of Usutu Virus in Germany and Its Effect on Breeding Bird Populations. Emerg. Infect. Dis. 2017, 23, 1994–2001. [Google Scholar] [CrossRef]
- Lecollinet, S.; Blanchard, Y.; Manson, C.; Lowenski, S.; Laloy, E.; Quenault, H.; Touzain, F.; Lucas, P.; Eraud, C.; Bahuon, C.; et al. Dual Emergence of Usutu Virus in Common Blackbirds, Eastern France, 2015. Emerg. Infect. Dis. 2016, 22, 2225. [Google Scholar] [CrossRef]
- Hubálek, Z.; Rudolf, I.; Čapek, M.; Bakonyi, T.; Betášová, L.; Nowotny, N. Usutu Virus in Blackbirds (Turdus Merula), Czech Republic, 2011–2012. Transbound. Emerg. Dis. 2014, 61, 273–276. [Google Scholar] [CrossRef]
- Dawson, J.R.; Stone, W.B.; Ebel, G.D.; Young, D.S.; Galinski, D.S.; Pensabene, J.P.; Franke, M.A.; Eidson, M.; Kramer, L.D. Crow Deaths Caused by West Nile Virus during Winter. Emerg. Infect. Dis. 2007, 13, 1912–1914. [Google Scholar] [CrossRef]
- Montecino-Latorre, D.; Barker, C.M. Overwintering of West Nile Virus in a Bird Community with a Communal Crow Roost. Sci. Rep. 2018, 8, 6088. [Google Scholar] [CrossRef] [PubMed]
- Folly, A.J.; Sewgobind, S.; Hernández-Triana, L.M.; Mansfield, K.L.; Lean, F.Z.X.; Lawson, B.; Seilern-Moy, K.; Cunningham, A.A.; Spiro, S.; Wrigglesworth, E.; et al. Evidence for Overwintering and Autochthonous Transmission of Usutu Virus to Wild Birds Following Its Redetection in the United Kingdom. Transbound. Emerg. Dis. 2022, 69, 3684–3692. [Google Scholar] [CrossRef] [PubMed]
- Schmidt, V.; Cramer, K.; Böttcher, D.; Heenemann, K.; Rückner, A.; Harzer, M.; Ziegler, U.; Vahlenkamp, T.; Sieg, M. Usutu Virus Infection in Aviary Birds during the Cold Season. Avian Pathol. 2021, 50, 427–435. [Google Scholar] [CrossRef] [PubMed]
- Hinton, M.G.; Reisen, W.K.; Wheeler, S.S.; Townsend, A.K. West Nile Virus Activity in a Winter Roost of American Crows (Corvus Brachyrhynchos): Is Bird-to-Bird Transmission Important in Persistence and Amplification? J. Med. Entomol. 2015, 52, 683–692. [Google Scholar] [CrossRef] [PubMed]
- Nemeth, N.; Young, G.; Ndaluka, C.; Bielefeldt-Ohmann, H.; Komar, N.; Bowen, R. Persistent West Nile Virus Infection in the House Sparrow (Passer Domesticus). Arch. Virol. 2009, 154, 783–789. [Google Scholar] [CrossRef] [PubMed]
- Hartemink, N.A.; Davis, S.A.; Reiter, P.; Hubálek, Z.; Heesterbeek, J.A.P. Importance of Bird-to-Bird Transmission for the Establishment of West Nile Virus. Vector-Borne Zoonotic Dis. 2007, 7, 575–584. [Google Scholar] [CrossRef] [PubMed]
- Komar, N.; Langevin, S.; Hinten, S.; Nemeth, N.; Edwards, E.; Hettler, D.; Davis, B.; Bowen, R.; Bunning, M. Experimental Infection of North American Birds with the New York 1999 Strain of West Nile Virus. Emerg. Infect. Dis. 2003, 9, 311–322. [Google Scholar] [CrossRef] [PubMed]
- Banet-Noach, C.; Simanov, L.; Malkinson, M. Direct (Non-Vector) Transmission of West Nile Virus in Geese. Avian Pathol. 2003, 32, 489–494. [Google Scholar] [CrossRef]
- Benzarti, E.; Rivas, J.; Sarlet, M.; Franssen, M.; Desmecht, D.; Schmidt-Chanasit, J.; Savini, G.; Lorusso, A.; Van Laere, A.S.; Garigliany, M.M. Experimental Usutu Virus Infection in Domestic Canaries Serinus Canaria. Viruses 2020, 12, 164. [Google Scholar] [CrossRef]
- Kuchinsky, S.C.; Frere, F.; Heitzman-Breen, N.; Golden, J.; Vázquez, A.; Honaker, C.F.; Siegel, P.B.; Ciupe, S.M.; LeRoith, T.; Duggal, N.K. Pathogenesis and Shedding of Usutu Virus in Juvenile Chickens. Emerg. Microbes Infect. 2021, 10, 725–738. [Google Scholar] [CrossRef]
- Vielle, N.J.; García-Nicolás, O.; Oliveira Esteves, B.I.; Brügger, M.; Summerfield, A.; Alves, M.P. The Human Upper Respiratory Tract Epithelium Is Susceptible to Flaviviruses. Front. Microbiol. 2019, 10, 811. [Google Scholar] [CrossRef]
- Benzarti, E.; Sarlet, M.; Franssen, M.; Desmecht, D.; Schmidt-Chanasit, J.; Garigliany, M.M. New Insights into the Susceptibility of Immunocompetent Mice to Usutu Virus. Viruses 2020, 12, 189. [Google Scholar] [CrossRef] [PubMed]
- Vidaña, B.; Johnson, N.; Fooks, A.R.; Sánchez-Cordón, P.J.; Hicks, D.J.; Nuñez, A. West Nile Virus Spread and Differential Chemokine Response in the Central Nervous System of Mice: Role in Pathogenic Mechanisms of Encephalitis. Transbound. Emerg. Dis. 2020, 67, 799–810. [Google Scholar] [CrossRef] [PubMed]
- Schreier, S.; Cebulski, K. Contact-Dependent Transmission of Langat and Tick-Borne Encephalitis Virus in Type I Interferon Receptor 1-De Fi Cient Mice. J. Virol. 2021, 95, 10–1128. [Google Scholar] [CrossRef] [PubMed]
- Benzarti, E.; Sarlet, M.; Franssen, M.; Cadar, D.; Schmidt-Chanasit, J.; Rivas, J.F.; Linden, A.; Desmecht, D.; Garigliany, M. Usutu Virus Epizootic in Belgium in 2017 and 2018: Evidence of Virus Endemization and Ongoing Introduction Events. Vector-Borne Zoonotic Dis. 2020, 20, 43–50. [Google Scholar] [CrossRef] [PubMed]
- Zamree, I.; Drakes, N.; Rohani, A.; Lee, H.L. Sensitivity of Aedes Albopictus C6/36 Cells Line for the Detection and Infectivity Titration of Dengue Virus. Trop. Biomed. 2005, 22, 217–219. [Google Scholar] [PubMed]
- Teramoto, T.; Huang, X.; Armbruster, P.A.; Padmanabhan, R. Infection of Aedes Albopictus Mosquito C6/36 Cells with the WMelpop Strain of Wolbachia Modulates Dengue Virus-Induced Host Cellular Transcripts and Induces Critical Sequence Alterations in the Dengue Viral Genome. J. Virol. 2019, 93, 581–600. [Google Scholar] [CrossRef] [PubMed]
- Ciota, A.T.; Lovelace, A.O.; Ngo, K.A.; Le, A.N.; Maffei, J.G.; Franke, M.A.; Payne, A.F.; Jones, S.A.; Kauffman, E.B.; Kramer, L.D. Cell-Specific Adaptation of Two Flaviviruses Following Serial Passage in Mosquito Cell Culture. Virology 2007, 357, 165–174. [Google Scholar] [CrossRef]
- Ziegler, U.; Fast, C.; Eiden, M.; Bock, S.; Schulze, C.; Hoeper, D.; Ochs, A.; Schlieben, P.; Keller, M.; Zielke, D.E.; et al. Evidence for an Independent Third Usutu Virus Introduction into Germany. Vet. Microbiol. 2016, 192, 60–66. [Google Scholar] [CrossRef]
- García-Bocanegra, I.; Busquets, N.; Napp, S.; Alba, A.; Zorrilla, I.; Villalba, R.; Arenas, A.; Saegerman, C.; Alba-Casals, A.; Pozzo, F.D.; et al. Serosurvey of West Nile Virus and Other Flaviviruses of the Japanese Encephalitis Antigenic Complex in Birds from Andalusia, Southern Spain. Vector-Borne Zoonotic Dis. 2011, 11, 1107–1113. [Google Scholar] [CrossRef]
- Casanova, T.; Van De Paar, E.; Desmecht, D.; Garigliany, M.M. Hyporeactivity of Alveolar Macrophages and Higher Respiratory Cell Permissivity Characterize DBA/2J Mice Infected by Influenza A Virus. J. Interferon Cytokine Res. 2015, 35, 808–820. [Google Scholar] [CrossRef] [PubMed]
- Dowgier, G.; Bickerton, E. The Preparation of Chicken Tracheal Organ Cultures and Their Application for Ciliostasis Test, Growth Kinetics Studies, and Virus Propagation. Methods Mol. Biol. 2020, 2203, 97–106. [Google Scholar] [CrossRef] [PubMed]
- Chvala, S.; Kolodziejek, J.; Nowotny, N.; Weissenböck, H. Pathology and Viral Distribution in Fatal Usutu Virus Infections of Birds from the 2001 and 2002 Outbreaks in Austria. J. Comp. Pathol. 2004, 131, 176–185. [Google Scholar] [CrossRef] [PubMed]
- Smith, D.R.; Hollidge, B.; Daye, S.; Zeng, X.; Blancett, C.; Kuszpit, K.; Bocan, T.; Koehler, J.W.; Coyne, S.; Minogue, T.; et al. Neuropathogenesis of Zika Virus in a Highly Susceptible Immunocompetent Mouse Model after Antibody Blockade of Type I Interferon. PLoS Negl. Trop. Dis. 2017, 11, e0005296. [Google Scholar] [CrossRef] [PubMed]
- Welte, T.; Reagan, K.; Fang, H.; Machain-Williams, C.; Zheng, X.; Mendell, N.; Chang, G.J.J.; Wu, P.; Blair, C.D.; Wang, T. Toll-like Receptor 7-Induced Immune Response to Cutaneous West Nile Virus Infection. J. Gen. Virol. 2009, 90, 2660–2668. [Google Scholar] [CrossRef] [PubMed]
- Bustos-Arriaga, J.; Mita-Mendoza, N.K.; Lopez-Gonzalez, M.; García-Cordero, J.; Juárez-Delgado, F.J.; Gromowski, G.D.; Méndez-Cruz, R.A.; Fairhurst, R.M.; Whitehead, S.S.; Cedillo-Barrón, L. Soluble Mediators Produced by the Crosstalk between Microvascular Endothelial Cells and Dengue-Infected Primary Dermal Fibroblasts Inhibit Dengue Virus Replication and Increase Leukocyte Transmigration. Immunol. Res. 2016, 64, 392–403. [Google Scholar] [CrossRef]
- Manet, C.; Roth, C.; Tawfik, A.; Cantaert, T.; Sakuntabhai, A.; Montagutelli, X. Host Genetic Control of Mosquito-Borne Flavivirus Infections. Mamm. Genome 2018, 29, 384–407. [Google Scholar] [CrossRef] [PubMed]
- Suthar, M.S.; Brassil, M.M.; Blahnik, G.; Mcmillan, A.; Ramos, H.J.; Proll, S.C.; Belisle, S.E.; Katze, M.G.; Gale, M. A Systems Biology Approach Reveals That Tissue Tropism to West Nile Virus Is Regulated by Antiviral Genes and Innate Immune Cellular Processes. PLOS Pathog. 2013, 9, e1003168. [Google Scholar] [CrossRef]
- García-Nicolás, O.; Lewandowska, M.; Ricklin, M.E.; Summerfield, A. Monocyte-Derived Dendritic Cells as Model to Evaluate Species Tropism of Mosquito-Borne Flaviviruses. Front. Cell Infect. Microbiol. 2019, 9, 5. [Google Scholar] [CrossRef]
- Clé, M.; Barthelemy, J.; Desmetz, C.; Foulongne, V.; Lapeyre, L.; Bolloré, K.; Tuaillon, E.; Erkilic, N.; Kalatzis, V.; Lecollinet, S.; et al. Study of Usutu Virus Neuropathogenicity in Mice and Human Cellular Models. PLoS Negl. Trop. Dis. 2020, 14, e0008223. [Google Scholar] [CrossRef]
- Vilibic-Cavlek, T.; Kaic, B.; Barbic, L.; Pem-Novosel, I.; Slavic-Vrzic, V.; Lesnikar, V.; Kurecic-Filipovic, S.; Babic-Erceg, A.; Listes, E.; Stevanovic, V.; et al. First Evidence of Simultaneous Occurrence of West Nile Virus and Usutu Virus Neuroinvasive Disease in Humans in Croatia during the 2013 Outbreak. Infection 2014, 42, 689–695. [Google Scholar] [CrossRef] [PubMed]
- Hofmeister, E.K.; Lund, M.; Shearn Bochsler, V. West Nile Virus Infection in American Singer Canaries: An Experimental Model in a Highly Susceptible Avian Species. Vet. Pathol. 2018, 55, 531–538. [Google Scholar] [CrossRef] [PubMed]
- Wichit, S.; Ferraris, P.; Choumet, V.; Missé, D. The Effects of Mosquito Saliva on Dengue Virus Infectivity in Humans. Curr. Opin. Virol. 2016, 21, 139–145. [Google Scholar] [CrossRef] [PubMed]
- Yeh, S.C.; Pompon, J. Flaviviruses Produce a Subgenomic Flaviviral RNA That Enhances Mosquito Transmission. DNA Cell Biol. 2018, 37, 154–159. [Google Scholar] [CrossRef]
- Schneider, B.S.; Mcgee, C.E.; Jordan, J.M.; Stevenson, H.L.; Soong, L. Prior Exposure to Uninfected Mosquitoes Enhances Mortality in Naturally-Transmitted West Nile Virus Infection. PLoS ONE 2007, 2, 1171. [Google Scholar] [CrossRef]
- Styer, L.M.; Lim, P.-Y.; Louie, K.L.; Albright, R.G.; Kramer, L.D.; Bernard, K.A. Mosquito Saliva Causes Enhancement of West Nile Virus Infection in Mice. J. Virol. 2011, 85, 1517–1527. [Google Scholar] [CrossRef]
- Goodman, A.G.; Yang, L.; James Conway, M.; Alout, H.; Garcia, M.; Diop, F.; Damour, A.; Bengue, M.; Weill, M.; Missé, D.; et al. Innate Immune Response of Primary Human Keratinocytes to West Nile Virus Infection and Its Modulation by Mosquito Saliva. Front. Cell. Infect. Microbiol. 2018, 1, 387. [Google Scholar] [CrossRef]
- Styer, L.M.; Bernard, K.A.; Kramer, L.D. Enhanced Early West Nile Virus Infection in Young Chickens Infected by Mosquito Bite: Effect of Viral Dose. Am. J. Trop. Med. Hyg. 2006, 75, 337–345. [Google Scholar] [CrossRef]
- Styer, L.M.; Kent, K.A.; Albright, R.G.; Bennett, C.J.; Kramer, L.D.; Bernard, K.A. Mosquitoes Inoculate High Doses of West Nile Virus as They Probe and Feed on Live Hosts. PLoS Pathog. 2007, 3, 1262–1270. [Google Scholar] [CrossRef]
- Farouk, S.M.; Hassan, S.A.; Emam, M.A. Histochemical and Surface Ultrastructural Characteristics of the Nasal Cavity of Laughing Dove. Anat. Histol. Embryol. 2017, 46, 592–599. [Google Scholar] [CrossRef]
- Balthazart, J.; Taziaux, M. The Underestimated Role of Olfaction in Avian Reproduction? Behav. Brain Res. 2009, 200, 248–259. [Google Scholar] [CrossRef] [PubMed]
- Nochi, T.; Jansen, C.A.; Toyomizu, M.; Eden, W. van The Well-Developed Mucosal Immune Systems of Birds and Mammals Allow for Similar Approaches of Mucosal Vaccination in Both Types of Animals. Front. Nutr. 2018, 5, 60. [Google Scholar] [CrossRef] [PubMed]
- Śmiałek, M.; Tykałowski, B.; Stenzel, T.; Koncicki, A. Local Immunity of the Respiratory Mucosal System in Chickens and Turkeys. Pol. J. Vet. Sci. 2011, 14, 291–297. [Google Scholar] [CrossRef] [PubMed]
- Platten, M.; Hoffmann, D.; Grosser, R.; Wisplinghoff, F.; Wisplinghoff, H.; Wiesmüller, G.; Schildgen, O.; Schildgen, V. SARS-CoV-2, CT-Values, and Infectivity—Conclusions to Be Drawn from Side Observations. Viruses 2021, 13, 1459. [Google Scholar] [CrossRef]
- La Scola, B.; Le Bideau, M.; Andreani, J.; Hoang, V.T.; Grimaldier, C.; Colson, P.; Gautret, P.; Raoult, D. Viral RNA Load as Determined by Cell Culture as a Management Tool for Discharge of SARS-CoV-2 Patients from Infectious Disease Wards. Eur. J. Clin. Microbiol. Infect. Dis. 2020, 39, 1059–1061. [Google Scholar] [CrossRef]
- Mellor, E.; Brilot, B.; Collins, S. Abnormal Repetitive Behaviours in Captive Birds: A Tinbergian Review. Appl. Anim. Behav. Sci. 2018, 198, 109–120. [Google Scholar] [CrossRef]
- Crawley, J.N. What’s Wrong with My Mouse? Behavioral Phenotyping of Transgenic and Knockout Mice, 2nd ed.; Wiley: New York, NY, USA, 2006; ISBN 9780471471929. [Google Scholar]









| Spleen | Liver | Brain | Heart | Lung | Kidney | Eye | |
|---|---|---|---|---|---|---|---|
| Intranasal infection | |||||||
| Canary 106 TCID50 8 dpi | 8.78 ± 0.02 | 8.76 ± 0.02 | 6.45 ± 0.01 | 7.89 ± 0.01 | 8.84 ± 0.02 | 7.95 ± 0.02 | 8.06 ± 0.01 |
| Canary 104 TCID50 9 dpi | 6.06 ± 0.01 | 5.70 ± 0.01 | 4.57 ± 0.01 | 5.72 ± 0.02 | 6.90 ± 0.01 | 5.25 ± 0.01 | 6.92 ± 0.02 |
| Intradermal infection | |||||||
| Canary 6 dpi | 8.75 ± 0.02 | 8.86 ± 0,01 | 5.78 ± 0.01 | 7.20 ± 0.02 | 8.21 ± 0.01 | 7.33 ± 0.03 | 8.21 ± 0.02 |
| Canary 7 dpi | 5.74 ± 0.03 | 5.01 ± 0.03 | 2.26 ± 0.04 | 4.37 ± 0.02 | 5.76 ± 0.01 | 3.41 ± 0.03 | 5.92 ± 0.02 |
Disclaimer/Publisher’s Note: The statements, opinions and data contained in all publications are solely those of the individual author(s) and contributor(s) and not of MDPI and/or the editor(s). MDPI and/or the editor(s) disclaim responsibility for any injury to people or property resulting from any ideas, methods, instructions or products referred to in the content. |
© 2024 by the authors. Licensee MDPI, Basel, Switzerland. This article is an open access article distributed under the terms and conditions of the Creative Commons Attribution (CC BY) license (https://creativecommons.org/licenses/by/4.0/).
Share and Cite
Blanquer, A.; Rivas, F.; Gérardy, M.; Sarlet, M.; Moula, N.; Ziegler, U.; Groschup, M.H.; Desmecht, D.; Marichal, T.; Garigliany, M. Evaluation of Non-Vector Transmission of Usutu Virus in Domestic Canaries (Serinus canaria). Viruses 2024, 16, 79. https://doi.org/10.3390/v16010079
Blanquer A, Rivas F, Gérardy M, Sarlet M, Moula N, Ziegler U, Groschup MH, Desmecht D, Marichal T, Garigliany M. Evaluation of Non-Vector Transmission of Usutu Virus in Domestic Canaries (Serinus canaria). Viruses. 2024; 16(1):79. https://doi.org/10.3390/v16010079
Chicago/Turabian StyleBlanquer, Aude, Felipe Rivas, Mazarine Gérardy, Michaël Sarlet, Nassim Moula, Ute Ziegler, Martin H. Groschup, Daniel Desmecht, Thomas Marichal, and Mutien Garigliany. 2024. "Evaluation of Non-Vector Transmission of Usutu Virus in Domestic Canaries (Serinus canaria)" Viruses 16, no. 1: 79. https://doi.org/10.3390/v16010079
APA StyleBlanquer, A., Rivas, F., Gérardy, M., Sarlet, M., Moula, N., Ziegler, U., Groschup, M. H., Desmecht, D., Marichal, T., & Garigliany, M. (2024). Evaluation of Non-Vector Transmission of Usutu Virus in Domestic Canaries (Serinus canaria). Viruses, 16(1), 79. https://doi.org/10.3390/v16010079

