A Development of Rapid Whole-Genome Sequencing of Seoul orthohantavirus Using a Portable One-Step Amplicon-Based High Accuracy Nanopore System
Abstract
1. Introduction
2. Materials and Methods
2.1. Preparation of SEOV RNA
2.2. Quantitative Polymerase Chain Reaction (qPCR)
2.3. Primer Design
2.4. One-Step RT-PCR Amplification
2.5. Library Preparation and Nanopore Sequencing
2.6. Bioinformatic Analysis
3. Results
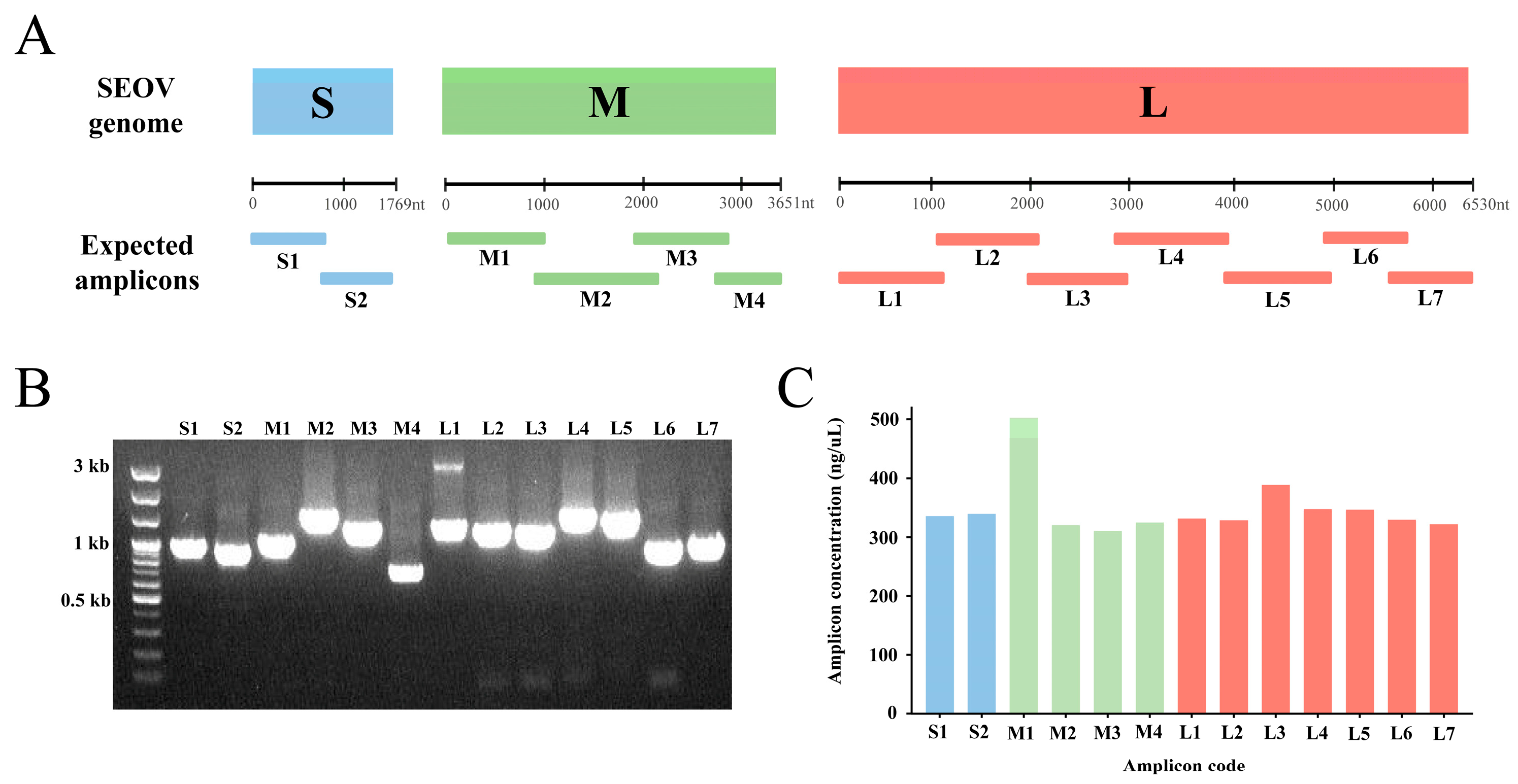
3.1. Selection of Universal Primers for SEOV
3.2. Whole-Genome Sequecning of SEOV
4. Discussion
Supplementary Materials
Author Contributions
Funding
Institutional Review Board Statement
Informed Consent Statement
Data Availability Statement
Acknowledgments
Conflicts of Interest
References
- Vaheri, A.; Henttonen, H.; Voutilainen, L.; Mustonen, J.; Sironen, T.; Vapalahti, O. Hantavirus infections in Europe and their impact on public health. Rev. Med. Virol. 2013, 23, 35–49. [Google Scholar] [CrossRef]
- Laenen, L.; Vergote, V.; Calisher, C.H.; Klempa, B.; Klingstrom, J.; Kuhn, J.H.; Maes, P. Hantaviridae: Current Classification and Future Perspectives. Viruses 2019, 11, 788. [Google Scholar] [CrossRef] [PubMed]
- Kim, Y.S.; Ahn, C.; Han, J.S.; Kim, S.; Lee, J.S.; Lee, P.W. Hemorrhagic fever with renal syndrome caused by the Seoul virus. Nephron 1995, 71, 419–427. [Google Scholar] [CrossRef] [PubMed]
- Clement, J.; LeDuc, J.W.; Lloyd, G.; Reynes, J.M.; McElhinney, L.; Van Ranst, M.; Lee, H.W. Wild Rats, Laboratory Rats, Pet Rats: Global Seoul Hantavirus Disease Revisited. Viruses 2019, 11, 652. [Google Scholar] [CrossRef] [PubMed]
- Kabwe, E.; Davidyuk, Y.; Shamsutdinov, A.; Garanina, E.; Martynova, E.; Kitaeva, K.; Malisheni, M.; Isaeva, G.; Savitskaya, T.; Urbanowicz, R.A.; et al. Orthohantaviruses, Emerging Zoonotic Pathogens. Pathogens 2020, 9, 775. [Google Scholar] [CrossRef]
- Hart, C.A.; Bennett, M. Hantavirus infections: Epidemiology and pathogenesis. Microbes Infect. 1999, 1, 1229–1237. [Google Scholar] [CrossRef]
- Radford, A.D.; Chapman, D.; Dixon, L.; Chantrey, J.; Darby, A.C.; Hall, N. Application of next-generation sequencing technologies in virology. J. Gen. Virol. 2012, 93, 1853–1868. [Google Scholar] [CrossRef] [PubMed]
- Oude Munnink, B.B.; Munger, E.; Nieuwenhuijse, D.F.; Kohl, R.; van der Linden, A.; Schapendonk, C.M.E.; van der Jeugd, H.; Kik, M.; Rijks, J.M.; Reusken, C.; et al. Genomic monitoring to understand the emergence and spread of Usutu virus in the Netherlands, 2016–2018. Sci. Rep. 2020, 10, 2798. [Google Scholar] [CrossRef]
- Neverov, A.; Chumakov, K. Massively parallel sequencing for monitoring genetic consistency and quality control of live viral vaccines. Proc. Natl. Acad. Sci. USA 2010, 107, 20063–20068. [Google Scholar] [CrossRef]
- McNaughton, A.L.; Roberts, H.E.; Bonsall, D.; de Cesare, M.; Mokaya, J.; Lumley, S.F.; Golubchik, T.; Piazza, P.; Martin, J.B.; de Lara, C.; et al. Illumina and Nanopore methods for whole genome sequencing of hepatitis B virus (HBV). Sci. Rep. 2019, 9, 7081. [Google Scholar] [CrossRef]
- Faria, N.R.; Azevedo, R.; Kraemer, M.U.G.; Souza, R.; Cunha, M.S.; Hill, S.C.; Theze, J.; Bonsall, M.B.; Bowden, T.A.; Rissanen, I.; et al. Zika virus in the Americas: Early epidemiological and genetic findings. Science 2016, 352, 345–349. [Google Scholar] [CrossRef] [PubMed]
- Gigante, C.M.; Yale, G.; Condori, R.E.; Costa, N.C.; Long, N.V.; Minh, P.Q.; Chuong, V.D.; Tho, N.D.; Thanh, N.T.; Thin, N.X.; et al. Portable Rabies Virus Sequencing in Canine Rabies Endemic Countries Using the Oxford Nanopore MinION. Viruses 2020, 12, 1255. [Google Scholar] [CrossRef] [PubMed]
- Paden, C.R.; Tao, Y.; Queen, K.; Zhang, J.; Li, Y.; Uehara, A.; Tong, S. Rapid, Sensitive, Full-Genome Sequencing of Severe Acute Respiratory Syndrome Coronavirus 2. Emerg. Infect. Dis. 2020, 26, 2401–2405. [Google Scholar] [CrossRef]
- Quick, J.; Loman, N.J.; Duraffour, S.; Simpson, J.T.; Severi, E.; Cowley, L.; Bore, J.A.; Koundouno, R.; Dudas, G.; Mikhail, A.; et al. Real-time, portable genome sequencing for Ebola surveillance. Nature 2016, 530, 228–232. [Google Scholar] [CrossRef] [PubMed]
- Greninger, A.L.; Naccache, S.N.; Federman, S.; Yu, G.; Mbala, P.; Bres, V.; Stryke, D.; Bouquet, J.; Somasekar, S.; Linnen, J.M.; et al. Rapid metagenomic identification of viral pathogens in clinical samples by real-time nanopore sequencing analysis. Genome Med. 2015, 7, 99. [Google Scholar] [CrossRef] [PubMed]
- Taylor, M.K.; Williams, E.P.; Wongsurawat, T.; Jenjaroenpun, P.; Nookaew, I.; Jonsson, C.B. Amplicon-Based, Next-Generation Sequencing Approaches to Characterize Single Nucleotide Polymorphisms of Orthohantavirus Species. Front. Cell. Infect. Microbiol. 2020, 10, 565591. [Google Scholar] [CrossRef]
- Park, K.; Lee, S.H.; Kim, J.; Lee, J.; Lee, G.Y.; Cho, S.; Lee, S.H.; Park, K.; No, J.S.; Budhathoki, S.; et al. Multiplex PCR-Based Nanopore Sequencing and Epidemiological Surveillance of Hantaan orthohantavirus in Apodemus agrarius, Republic of Korea. Viruses 2021, 13, 847. [Google Scholar] [CrossRef]
- Park, K.; Lee, S.H.; Kim, J.; Lee, J.; Lee, G.Y.; Cho, S.; Noh, J.; Choi, J.; Park, J.; Song, D.H.; et al. A Portable Diagnostic Assay, Genetic Diversity, and Isolation of Seoul Virus from Rattus norvegicus Collected in Gangwon Province, Republic of Korea. Pathogens 2022, 11, 1047. [Google Scholar] [CrossRef]
- No, J.S.; Kim, W.K.; Cho, S.; Lee, S.H.; Kim, J.A.; Lee, D.; Song, D.H.; Gu, S.H.; Jeong, S.T.; Wiley, M.R.; et al. Comparison of targeted next-generation sequencing for whole-genome sequencing of Hantaan orthohantavirus in Apodemus agrarius lung tissues. Sci. Rep. 2019, 9, 16631. [Google Scholar] [CrossRef]
- Danecek, P.; Bonfield, J.K.; Liddle, J.; Marshall, J.; Ohan, V.; Pollard, M.O.; Whitwham, A.; Keane, T.; McCarthy, S.A.; Davies, R.M.; et al. Twelve years of SAMtools and BCFtools. Gigascience 2021, 10, giab008. [Google Scholar] [CrossRef]
- Quinlan, A.R.; Hall, I.M. BEDTools: A flexible suite of utilities for comparing genomic features. Bioinformatics 2010, 26, 841–842. [Google Scholar] [CrossRef]
- Gardy, J.L.; Loman, N.J. Towards a genomics-informed, real-time, global pathogen surveillance system. Nat. Rev. Genet. 2018, 19, 9–20. [Google Scholar] [CrossRef]
- Dupinay, T.; Pounder, K.C.; Ayral, F.; Laaberki, M.H.; Marston, D.A.; Lacote, S.; Rey, C.; Barbet, F.; Voller, K.; Nazaret, N.; et al. Detection and genetic characterization of Seoul virus from commensal brown rats in France. Virol. J. 2014, 11, 32. [Google Scholar] [CrossRef] [PubMed]
- Hu, D.; Hao, L.; Zhang, J.; Yao, P.; Zhang, Q.; Lv, H.; Gong, X.; Pan, X.; Cao, M.; Zhu, J.; et al. Development of reverse transcription loop-mediated isothermal amplification assays to detect Hantaan virus and Seoul virus. J. Virol. Methods 2015, 221, 68–73. [Google Scholar] [CrossRef] [PubMed]
- Kim, W.K.; No, J.S.; Lee, S.H.; Song, D.H.; Lee, D.; Kim, J.A.; Gu, S.H.; Park, S.; Jeong, S.T.; Kim, H.C.; et al. Multiplex PCR-Based Next-Generation Sequencing and Global Diversity of Seoul Virus in Humans and Rats. Emerg. Infect. Dis. 2018, 24, 249–257. [Google Scholar] [CrossRef] [PubMed]
- Kim, W.K.; Cho, S.; Lee, S.H.; No, J.S.; Lee, G.Y.; Park, K.; Lee, D.; Jeong, S.T.; Song, J.W. Genomic Epidemiology and Active Surveillance to Investigate Outbreaks of Hantaviruses. Front. Cell. Infect. Microbiol. 2020, 10, 532388. [Google Scholar] [CrossRef] [PubMed]
- Quick, J.; Grubaugh, N.D.; Pullan, S.T.; Claro, I.M.; Smith, A.D.; Gangavarapu, K.; Oliveira, G.; Robles-Sikisaka, R.; Rogers, T.F.; Beutler, N.A.; et al. Multiplex PCR method for MinION and Illumina sequencing of Zika and other virus genomes directly from clinical samples. Nat. Protoc. 2017, 12, 1261–1276. [Google Scholar] [CrossRef]
- Lee, J.; Park, K.; Kim, J.; Lee, S.H.; Lee, G.Y.; Cho, S.; Kim, H.C.; Klein, T.A.; Kim, J.A.; Choi, J.; et al. Whole-genome sequencing and genetic diversity of severe fever with thrombocytopenia syndrome virus using multiplex PCR-based nanopore sequencing, Republic of Korea. PLoS Negl. Trop. Dis. 2022, 16, e0010763. [Google Scholar] [CrossRef]
- Ladner, J.T.; Beitzel, B.; Chain, P.S.; Davenport, M.G.; Donaldson, E.F.; Frieman, M.; Kugelman, J.R.; Kuhn, J.H.; O’Rear, J.; Sabeti, P.C.; et al. Standards for sequencing viral genomes in the era of high-throughput sequencing. mBio 2014, 5, e01360-14. [Google Scholar] [CrossRef]
- Macalalad, A.R.; Zody, M.C.; Charlebois, P.; Lennon, N.J.; Newman, R.M.; Malboeuf, C.M.; Ryan, E.M.; Boutwell, C.L.; Power, K.A.; Brackney, D.E.; et al. Highly sensitive and specific detection of rare variants in mixed viral populations from massively parallel sequence data. PLoS Comput. Biol. 2012, 8, e1002417. [Google Scholar] [CrossRef]
- Grubaugh, N.D.; Ladner, J.T.; Lemey, P.; Pybus, O.G.; Rambaut, A.; Holmes, E.C.; Andersen, K.G. Tracking virus outbreaks in the twenty-first century. Nat. Microbiol. 2019, 4, 10–19. [Google Scholar] [CrossRef] [PubMed]
- Illumina Technical Note: Sequencing. Quality Scores for Next-Generation Sequencing. Assessing Sequencing Accuracy Using Phred Quality Scoring. Available online: https://www.illumina.com/documents/products/technotes/technote_Q-Scores.pdf (accessed on 8 March 2023).
- Jain, M.; Tyson, J.R.; Loose, M.; Ip, C.L.C.; Eccles, D.A.; O’Grady, J.; Malla, S.; Leggett, R.M.; Wallerman, O.; Jansen, H.J.; et al. MinION Analysis and Reference Consortium: Phase 2 data release and analysis of R9.0 chemistry. F1000Research 2017, 6, 760. [Google Scholar] [CrossRef]
- Cretu Stancu, M.; van Roosmalen, M.J.; Renkens, I.; Nieboer, M.M.; Middelkamp, S.; de Ligt, J.; Pregno, G.; Giachino, D.; Mandrile, G.; Espejo Valle-Inclan, J.; et al. Mapping and phasing of structural variation in patient genomes using nanopore sequencing. Nat. Commun. 2017, 8, 1326. [Google Scholar] [CrossRef] [PubMed]
- Wick, R.R.; Judd, L.M.; Holt, K.E. Performance of neural network basecalling tools for Oxford Nanopore sequencing. Genome Biol. 2019, 20, 129. [Google Scholar] [CrossRef] [PubMed]
- Loman, N.J.; Quick, J.; Simpson, J.T. A complete bacterial genome assembled de novo using only nanopore sequencing data. Nat. Methods 2015, 12, 733–735. [Google Scholar] [CrossRef]
- Koren, S.; Walenz, B.P.; Berlin, K.; Miller, J.R.; Bergman, N.H.; Phillippy, A.M. Canu: Scalable and accurate long-read assembly via adaptive k-mer weighting and repeat separation. Genome Res. 2017, 27, 722–736. [Google Scholar] [CrossRef]


| Amplicon Code | Primer Name | Sequence (5′ to 3′) | Product Size (bp) |
|---|---|---|---|
| S1 | SEOV ONT S1F | TAG TAG TAG ACT CCC TAA ARA G | 974 |
| SEOV ONT S1R | CCA GCA AAC ACC CAT ATT GA | ||
| S2 | SEOV ONT S2F | CAA GGT GCA CTT GCA GGR ATG GAG CC | 917 |
| SEOV ONT S2R | TAG TAG TAT GCT CCC TAA AAA GAC | ||
| M1 | SEOV ONT M1F | TAG TAG TAG ACT CCG CAA G | 1017 |
| SEOV ONT M1R | GTT GAT GAG TAT GAT GGR ATR CCT GC | ||
| M2 | SEOV ONT M2F | TAC CAG ATT TCA GGG CAG ATA GAG GC | 1405 |
| SEOV ONT M2R | CAT ACT CAT AAT CTT TCT CAA AAT GRC | ||
| M3 | SEOV ONT M3F | ACA GAR ACT GCA ATT CAG GCA C | 1187 |
| SEOV ONT M3R | TGG AGC CCT ACT TTA CAA GG | ||
| M4 | SEOV ONT M4F | CCT TGT AAA GTA GGG CTC CA | 1008 |
| SEOV ONT M4R | TAG TAG TAT GCT CCG C | ||
| L1 | SEOV ONT L1F | TAG TAG TAG ACT CCG GAA G | 1227 |
| SEOV ONT L1R | ATT TTC TCK AGG TTC ATG TTG AC | ||
| L2 | SEOV ONT L2F | GCC TGC ATT CAA TTT TTA AAC CTC | 1150 |
| SEOV ONT L2R | ATA CCR CTT GCA CCA ACT GTA GA | ||
| L3 | SEOV ONT L3F | GTG CAA TCT TTG AYA ACC TAA GGT ATC | 1106 |
| SEOV ONT L3R | GTG AAT CGC CTG AAT TTH GCT G | ||
| L4 | SEOV ONT L4F | CAG AAG GCA CAA GCT AGR ATT GT | 1352 |
| SEOV ONT L4R | TCR TGC TGA AAT GTC TCA CCR G | ||
| L5 | SEOV ONT L5F | AGT AAG GTT GAG AGA TTA TAT GGG AC | 1269 |
| SEOV ONT L5R | CTT CAA ACC ATA ATG CAT GGA ACC | ||
| L6 | SEOV ONT L6F | GTT ATG TAT TGA RGT TTG GAG GTG GGC | 868 |
| SEOV ONT L6R | CAC GAT TCA TTA TTA ATG AAT AAG CAG C | ||
| L7 | SEOV ONT L7F | CAT ACT ATC CGT GAT GTT CG | 913 |
| SEOV ONT L7R | TAG TAG TAT GCT CCG GAA RAT G |
| SEOV RNA Copy Number (Copies/μL) | Raw Data Size (No. of Total Reads) | Reads Mapped to Reference Sequence (%) a | Segment | Average Depth b | Coverage Rate (%) | Accuracy (%) e | |
|---|---|---|---|---|---|---|---|
| Initial c | Polished d | ||||||
| 104 to 105 | 67.2 Mb (29,306) | 28,692 (97.9) | S | 1396.52 | 98.42 | 100 | 100 |
| M | 2068.61 | 99.23 | 100 | 100 | |||
| L | 2689.96 | 99.57 | 100 | 99.97 | |||
| 103 to 104 | 47.3 Mb (29,760) | 29,196 (98.1) | S | 1357.42 | 98.42 | 100 | 100 |
| M | 1424.74 | 99.23 | 100 | 100 | |||
| L | 1760.08 | 99.57 | 100 | 99.97 | |||
| 102 to 103 | 52.7 Mb (28,958) | 28,376 (98.0) | S | 1229.83 | 98.42 | 100 | 100 |
| M | 1513.11 | 99.23 | 100 | 100 | |||
| L | 2523.28 | 99.57 | 100 | 99.97 | |||
| 10 to 102 | 66.5 Mb (29,234) | 28,517 (97.5) | S | 1507.81 | 98.42 | 100 | 100 |
| M | 1935.45 | 99.23 | 100 | 100 | |||
| L | 2888.58 | 99.57 | 100 | 99.95 | |||
| 1 to 10 | 62.8 Mb (29,626) | 29,231 (98.7) | S | 1461.45 | 98.42 | 100 | 100 |
| M | 1671.79 | 99.23 | 100 | 100 | |||
| L | 2851.83 | 99.57 | 100 | 99.95 | |||
| 0 to 1 | 84.6 Mb (29,527) | 28,802 (97.5) | S | 2181.32 | 98.42 | 100 | 100 |
| M | 2415.84 | 99.23 | 100 | 99.75 | |||
| L | 1970.87 | 99.57 | 100 | 99.92 | |||
| Sample (Tissue) | SEOV RNA Copy Number (Copies/μL) | Raw Data Size (No. of Total Reads) | Reads Mapped to Reference Sequence (%) a | Segment | Average Depth b | Coverage Rate (%) | Accuracy (%) e | |
|---|---|---|---|---|---|---|---|---|
| Initial c | Polished d | |||||||
| Rn18-1 (Lung) | 105 | 79.1 Mb (29,098) | 27,822 (95.6) | S | 1011.79 | 98.42 | 100 | 99.72 |
| M | 2211.09 | 99.23 | 100 | 99.62 | ||||
| L | 3241.27 | 99.57 | 100 | 99.88 | ||||
| Rn19-5 (Lung) | 105 | 47.3 Mb (29,760) | 29,196 (98.1) | S | 1357.42 | 98.42 | 100 | 99.80 |
| M | 1424.74 | 99.23 | 100 | 99.81 | ||||
| L | 1760.08 | 99.57 | 100 | 99.89 | ||||
Disclaimer/Publisher’s Note: The statements, opinions and data contained in all publications are solely those of the individual author(s) and contributor(s) and not of MDPI and/or the editor(s). MDPI and/or the editor(s) disclaim responsibility for any injury to people or property resulting from any ideas, methods, instructions or products referred to in the content. |
© 2023 by the authors. Licensee MDPI, Basel, Switzerland. This article is an open access article distributed under the terms and conditions of the Creative Commons Attribution (CC BY) license (https://creativecommons.org/licenses/by/4.0/).
Share and Cite
Park, K.; Noh, J.; Kim, K.; Kim, J.; Cho, H.-K.; Kim, S.-G.; Yang, E.; Kim, W.-K.; Song, J.-W. A Development of Rapid Whole-Genome Sequencing of Seoul orthohantavirus Using a Portable One-Step Amplicon-Based High Accuracy Nanopore System. Viruses 2023, 15, 1542. https://doi.org/10.3390/v15071542
Park K, Noh J, Kim K, Kim J, Cho H-K, Kim S-G, Yang E, Kim W-K, Song J-W. A Development of Rapid Whole-Genome Sequencing of Seoul orthohantavirus Using a Portable One-Step Amplicon-Based High Accuracy Nanopore System. Viruses. 2023; 15(7):1542. https://doi.org/10.3390/v15071542
Chicago/Turabian StylePark, Kyungmin, Juyoung Noh, Kijin Kim, Jongwoo Kim, Hee-Kyung Cho, Seong-Gyu Kim, Eunyoung Yang, Won-Keun Kim, and Jin-Won Song. 2023. "A Development of Rapid Whole-Genome Sequencing of Seoul orthohantavirus Using a Portable One-Step Amplicon-Based High Accuracy Nanopore System" Viruses 15, no. 7: 1542. https://doi.org/10.3390/v15071542
APA StylePark, K., Noh, J., Kim, K., Kim, J., Cho, H.-K., Kim, S.-G., Yang, E., Kim, W.-K., & Song, J.-W. (2023). A Development of Rapid Whole-Genome Sequencing of Seoul orthohantavirus Using a Portable One-Step Amplicon-Based High Accuracy Nanopore System. Viruses, 15(7), 1542. https://doi.org/10.3390/v15071542

