Tendon-Derived Mesenchymal Stem Cells (TDSCs) as an In Vitro Model for Virological Studies in Wild Birds
Abstract
1. Introduction
2. Materials and Methods
2.1. Isolation of TDSCs
2.2. Characterization of TDSCs
2.3. Multilineage Differentiation of TDSCs
2.4. Permissivity Assays
2.5. Replication Kinetics
3. Results
3.1. Isolation of TDSCs
3.2. Molecular Characterization of TDSCs
3.3. Differentiation of TDSCs
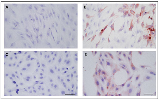
3.4. Validation of TDSCs as a Model of USUV Infection
4. Discussion
5. Conclusions
Author Contributions
Funding
Institutional Review Board Statement
Informed Consent Statement
Data Availability Statement
Acknowledgments
Conflicts of Interest
References
- Sikes, R.S.; Paul, E. Fundamental Differences between Wildlife and Biomedical Research. ILAR J. 2013, 54, 5–13. [Google Scholar] [CrossRef] [PubMed]
- Lindsjö, J.; Cvek, K.; Spangenberg, E.M.F.; Olsson, J.N.G.; Stéen, M. The Dividing Line Between Wildlife Research and Management—Implications for Animal Welfare. Front. Veter-Sci. 2019, 6, 13. [Google Scholar] [CrossRef] [PubMed]
- Soulsbury, C.; Gray, H.; Smith, L.; Braithwaite, V.; Cotter, S.; Elwood, R.W.; Wilkinson, A.; Collins, L.M. The welfare and ethics of research involving wild animals: A primer. Methods Ecol. Evol. 2020, 11, 1164–1181. [Google Scholar] [CrossRef]
- Chesnut, M.; Muñoz, L.S.; Harris, G.; Freeman, D.; Gama, L.; Pardo, C.A.; Pamies, D. In vitro and in silico Models to Study Mosquito-Borne Flavivirus Neuropathogenesis, Prevention, and Treatment. Front. Cell. Infect. Microbiol. 2019, 9, 223. [Google Scholar] [CrossRef]
- Coecke, S.; Balls, M.; Bowe, G.; Davis, J.; Gstraunthaler, G.; Hartung, T.; Hay, R.; Merten, O.-W.; Price, A.; Schechtman, L.; et al. Guidance on Good Cell Culture Practice: A Report of the Second ECVAM Task Force on Good Cell Culture Practice. ATLA Altern. Lab. Anim. 2005, 33, 261–287. [Google Scholar] [CrossRef]
- Pena, L.J.; Guarines, K.M.; Duarte Silva, A.J.; Sales Leal, L.R.; Félix, D.M.; Silva, A.; de Oliveira, S.A.; Junqueira Ayres, C.F.; Silva JúNior, A.; de Freitas, A.C. In Vitro and in Vivo Models for Studying Zika Virus Biology. J. Gen. Virol. 2018, 99, 1529–1550. [Google Scholar] [CrossRef]
- Cieśla, J.; Tomsia, M. Cadaveric Stem Cells: Their Research Potential and Limitations. Front. Genet. 2021, 12, 2603. [Google Scholar] [CrossRef]
- Dominici, M.; Le Blanc, K.; Mueller, I.; Slaper-Cortenbach, I.; Marini, F.C.; Krause, D.S.; Deans, R.J.; Keating, A.; Prockop, D.J.; Horwitz, E.M. Minimal criteria for defining multipotent mesenchymal stromal cells. The International Society for Cellular Therapy position statement. Cytotherapy 2006, 8, 315–317. [Google Scholar] [CrossRef]
- Shikh Alsook, M.K.; Gabriel, A.; Piret, J.; Waroux, O.; Tonus, C.; Connan, D.; Baise, E.; Antoine, N. Tissues from equine cadaver ligaments up to 72 hours of post-mortem: A promising reservoir of stem cells. Stem Cell Res. Ther. 2015, 6, 253. [Google Scholar] [CrossRef]
- Costa-Almeida, R.; Calejo, I.; Gomes, M.E. Mesenchymal Stem Cells Empowering Tendon Regenerative Therapies. Int. J. Mol. Sci. 2019, 20, 3002. [Google Scholar] [CrossRef]
- Tan, Q.; Po Yee Lui, P.; Feng Rui, Y.; Mei Wong, Y.; Hu, J.; Liao, H.; Ma, Z. Comparison of Potentials of Stem Cells Isolated from Tendon and Bone Marrow for Musculoskeletal Tissue Engineering. Tissue Eng. Part A 2012, 18, 840–851. [Google Scholar] [CrossRef] [PubMed]
- Liu, Q.; Zhu, Y.; Amadio, P.C.; Moran, S.L.; Gingery, A.; Zhao, C. Isolation and Characterization of Multipotent Turkey Tendon-Derived Stem Cells. Stem Cells Int. 2018, 2018, 3697971. [Google Scholar] [CrossRef] [PubMed]
- Margiana, R.; Markov, A.; Zekiy, A.O.; Hamza, M.U.; Al-Dabbagh, K.A.; Al-Zubaidi, S.H.; Hameed, N.M.; Ahmad, I.; Sivaraman, R.; Kzar, H.H.; et al. Clinical application of mesenchymal stem cell in regenerative medicine: A narrative review. Stem Cell Res. Ther. 2022, 13, 366. [Google Scholar] [CrossRef] [PubMed]
- Costa-Almeida, R.; Soares, R.; Granja, P.L. Fibroblasts as maestros orchestrating tissue regeneration. J. Tissue Eng. Regen. Med. 2018, 12, 240–251. [Google Scholar] [CrossRef]
- Uder, C.; Brückner, S.; Winkler, S.; Tautenhahn, H.-M.; Christ, B. Mammalian MSC from selected species: Features and applications. Cytom. Part A 2017, 93, 32–49. [Google Scholar] [CrossRef]
- Hmadcha, A.; Martin-Montalvo, A.; Gauthier, B.; Soria, B.; Capilla-Gonzalez, V. Therapeutic Potential of Mesenchymal Stem Cells for Cancer Therapy. Front. Bioeng. Biotechnol. 2020, 8, 43. [Google Scholar] [CrossRef]
- Rocha, J.L.M.; de Oliveira, W.C.F.; Noronha, N.C.; dos Santos, N.C.D.; Covas, D.T.; Picanço-Castro, V.; Swiech, K.; Malmegrim, K.C.R. Mesenchymal Stromal Cells in Viral Infections: Implications for COVID-19. Stem Cell Rev. Rep. 2020, 17, 71–93. [Google Scholar] [CrossRef]
- Wu, X.; Dao Thi, V.L.; Huang, Y.; Billerbeck, E.; Saha, D.; Hoffmasnn, H.-H.; Wang, Y.; Silva, L.A.V.; Sarbanes, S.; Sun, T.; et al. Intrinsic Immunity Shapes Viral Resistance of Stem Cells. Cell 2018, 172, 423–438.e25. [Google Scholar] [CrossRef]
- Benzarti, E.; Linden, A.; Desmecht, D.; Garigliany, M. Mosquito-borne epornitic flaviviruses: An update and review. J. Gen. Virol. 2019, 100, 119–132. [Google Scholar] [CrossRef]
- Chvala, S.; Kolodziejek, J.; Nowotny, N.; Weissenböck, H. Pathology and Viral Distribution in Fatal Usutu Virus Infections of Birds from the 2001 and 2002 Outbreaks in Austria. J. Comp. Pathol. 2004, 131, 176–185. [Google Scholar] [CrossRef]
- Benzarti, E.; Garigliany, M. In Vitro and In Vivo Models to Study the Zoonotic Mosquito-Borne Usutu Virus. Viruses 2020, 12, 1116. [Google Scholar] [CrossRef] [PubMed]
- Briant, L.; Desprès, P.; Choumet, V.; Missé, D. Role of skin immune cells on the host susceptibility to mosquito-borne viruses. Virology 2014, 464–465, 26–32. [Google Scholar] [CrossRef] [PubMed]
- Garcia, M.; Wehbe, M.; Lévêque, N.; Bodet, C. Skin innate immune response to flaviviral infection. Eur. Cytokine Netw. 2017, 28, 41–51. [Google Scholar] [CrossRef] [PubMed]
- Montes-Gómez, A.E.; García-Cordero, J.; Marcial-Juárez, E.; Shrivastava, G.; Visoso-Carvajal, G.; Juárez-Delgado, F.J.; Flores-Romo, L.; Sanchez-Torres, M.C.; Santos-Argumedo, L.; Bustos-Arriaga, J.; et al. Crosstalk between Dermal Fibroblasts and Dendritic Cells During Dengue Virus Infection. Front. Immunol. 2020, 11, 538240. [Google Scholar] [CrossRef]
- Bustos-Arriaga, J.; Mita-Mendoza, N.K.; Lopez-Gonzalez, M.; García-Cordero, J.; Juárez-Delgado, F.J.; Gromowski, G.D.; Méndez-Cruz, R.A.; Fairhurst, R.M.; Whitehead, S.S.; Cedillo-Barrón, L. Soluble mediators produced by the crosstalk between microvascular endothelial cells and dengue-infected primary dermal fibroblasts inhibit dengue virus replication and increase leukocyte transmigration. Immunol. Res. 2016, 64, 392–403. [Google Scholar] [CrossRef]
- Soundararajan, M.; Kannan, S. Fibroblasts and mesenchymal stem cells: Two sides of the same coin? J. Cell. Physiol. 2018, 233, 9099–9109. [Google Scholar] [CrossRef]
- Harper, J.M.; Wang, M.; Galecki, A.T.; Ro, J.; Williams, J.B.; Miller, R.A. Fibroblasts from long-lived bird species are resistant to multiple forms of stress. J. Exp. Biol. 2011, 214, 1902–1910. [Google Scholar] [CrossRef]
- Gao, Y.; Bai, C.; Xiong, H.; Li, Q.; Shan, Z.; Huang, L.; Ma, Y.; Guan, W. Isolation and Characterization of Chicken Dermis-Derived Mesenchymal Stem/Progenitor Cells. BioMed Res. Int. 2013, 2013, 626258. [Google Scholar] [CrossRef]
- Bai, C.; Hou, L.; Ma, Y.; Chen, L.; Zhang, M.; Guan, W. Isolation and characterization of mesenchymal stem cells from chicken bone marrow. Cell Tissue Bank. 2013, 14, 437–451. [Google Scholar] [CrossRef]
- Koglin, S.; Trense, D.; Wink, M.; Sauer-Gürth, H.; Tietze, D.T. Characterization of a de novo assembled transcriptome of the Common Blackbird (Turdus merula). PeerJ 2017, 2017, e4045. [Google Scholar] [CrossRef]
- Catharus Ustulatus (ID 814963)—BioProject—NCBI. Available online: https://www.ncbi.nlm.nih.gov/bioproject/814963 (accessed on 25 November 2022).
- Prum, R.O.; Berv, J.S.; Dornburg, A.; Field, D.J.; Townsend, J.P.; Lemmon, E.M.; Lemmon, A.R. A comprehensive phylogeny of birds (Aves) using targeted next-generation DNA sequencing. Nature 2015, 526, 569–573. [Google Scholar] [CrossRef] [PubMed]
- Untergasser, A.; Cutcutache, I.; Koressaar, T.; Ye, J.; Faircloth, B.C.; Remm, M.; Rozen, S.G. Primer3—New capabilities and interfaces. Nucleic Acids Res. 2012, 40, e115. [Google Scholar] [CrossRef]
- Benzarti, E.; Sarlet, M.; Franssen, M.; Cadar, D.; Schmidt-Chanasit, J.; Rivas, J.F.; Linden, A.; Desmecht, D.; Garigliany, M. Usutu Virus Epizootic in Belgium in 2017 and 2018: Evidence of Virus Endemization and Ongoing Introduction Events. Vector-Borne Zoonotic Dis. 2020, 20, 43–50. [Google Scholar] [CrossRef] [PubMed]
- Ziegler, U.; Fast, C.; Eiden, M.; Bock, S.; Schulze, C.; Hoeper, D.; Ochs, A.; Schlieben, P.; Keller, M.; Zielke, D.E.; et al. Evidence for an independent third Usutu virus introduction into Germany. Veter-Microbiol. 2016, 192, 60–66. [Google Scholar] [CrossRef] [PubMed]
- Jöst, H.; Bialonski, A.; Maus, D.; Sambri, V.; Eiden, M.; Groschup, M.H.; Günther, S.; Becker, N.; Schmidt-Chanasit, J. Isolation of Usutu virus in Germany. Am. J. Trop. Med. Hyg. 2011, 85, 551–553. [Google Scholar] [CrossRef]
- Benzarti, E.; Rivas, J.; Sarlet, M.; Franssen, M.; Desmecht, D.; Schmidt-Chanasit, J.; Savini, G.; Lorusso, A.; Van Laere, A.-S.; Garigliany, M.-M. Experimental Usutu Virus Infection in Domestic Canaries Serinus canaria. Viruses 2020, 12, 164. [Google Scholar] [CrossRef]
- The Jamovi Project Jamovi—Open Statistical Software for the Desktop and Cloud. Available online: https://www.jamovi.org/ (accessed on 1 March 2023).
- Cristofalo, V.J.; Pignolo, R.J. Replicative Senescence of Human Fibroblast-Like Cells in Culture. Physiol. Rev. 1993, 73, 617–638. [Google Scholar] [CrossRef]
- Suda, T.; Takubo, K.; Semenza, G.L. Metabolic Regulation of Hematopoietic Stem Cells in the Hypoxic Niche. Cell Stem Cell 2011, 9, 298–310. [Google Scholar] [CrossRef]
- Valente, S.; Alviano, F.; Ciavarella, C.; Buzzi, M.; Ricci, F.; Tazzari, P.L.; Pagliaro, P.; Pasquinelli, G. Human cadaver multipotent stromal/stem cells isolated from arteries stored in liquid nitrogen for 5 years. Stem Cell Res. Ther. 2014, 5, 8. [Google Scholar] [CrossRef]
- Polesskaya, A.; Seale, P.; Rudnicki, M.A. Wnt Signaling Induces the Myogenic Specification of Resident CD45+ Adult Stem Cells during Muscle Regeneration. Cell 2003, 113, 841–852. [Google Scholar] [CrossRef]
- Yeh, S.-P.; Chang, J.-G.; Lo, W.-J.; Liaw, Y.-C.; Lin, C.-L.; Lee, C.-C.; Chiu, C.-F. Induction of CD45 expression on bone marrow-derived mesenchymal stem cells. Leukemia 2006, 20, 894–896. [Google Scholar] [CrossRef] [PubMed]
- Wang, J.; Wu, X.; Zheng, Y.; Wen, H.; Ji, H.; Zhao, Y.; Guan, W. Isolation and biological characterization of mesenchymal stem cells from goose dermis. Poult. Sci. 2018, 97, 3236–3247. [Google Scholar] [CrossRef] [PubMed]
- EUR-Lex—32010L0063—EN—EUR-Lex. Available online: https://eur-lex.europa.eu/legal-content/EN/TXT/?uri=celex%3A32010L0063 (accessed on 13 December 2022).
- Weissenböck, H.; Bakonyi, T.; Rossi, G.; Mani, P.; Nowotny, N. Usutu Virus, Italy, 1996. Emerg. Infect. Dis. 2013, 19, 274–277. [Google Scholar] [CrossRef] [PubMed]
- Lühken, R.; Jöst, H.; Cadar, D.; Thomas, S.M.; Bosch, S.; Tannich, E.; Becker, N.; Ziegler, U.; Lachmann, L.; Schmidt-Chanasit, J. Distribution of Usutu Virus in Germany and Its Effect on Breeding Bird Populations. Emerg. Infect. Dis. 2017, 23, 1991–1998. [Google Scholar] [CrossRef]
- Garcia-Tapia, D.; Loiacono, C.M.; Kleiboeker, S.B. Replication of West Nile virus in equine peripheral blood mononuclear cells. Veter-Immunol. Immunopathol. 2006, 110, 229–244. [Google Scholar] [CrossRef] [PubMed]
- García-Nicolás, O.; Lewandowska, M.; Ricklin, M.E.; Summerfield, A. Monocyte-Derived Dendritic Cells as Model to Evaluate Species Tropism of Mosquito-Borne Flaviviruses. Front. Cell. Infect. Microbiol. 2019, 9, 5. [Google Scholar] [CrossRef] [PubMed]
- Ma, Y.; Liang, Y.; Wang, N.; Cui, L.; Chen, Z.; Wu, H.; Zhu, C.; Wang, Z.; Liu, S.; Li, H. Avian Flavivirus Infection of Monocytes/Macrophages by Extensive Subversion of Host Antiviral Innate Immune Responses. J. Virol. 2019, 93, 978–997. [Google Scholar] [CrossRef]
- Cheeran, M.C.J.; Hu, S.; Sheng, W.S.; Rashid, A.; Peterson, P.K.; Lokensgard, J.R. Differential responses of human brain cells to West Nile virus infection. J. Neuro. Virol. 2005, 11, 512–524. [Google Scholar] [CrossRef]
- Riccetti, S.; Sinigaglia, A.; Desole, G.; Nowotny, N.; Trevisan, M.; Barzon, L. Modelling West Nile Virus and Usutu Virus Pathogenicity in Human Neural Stem Cells. Viruses 2020, 12, 882. [Google Scholar] [CrossRef]
- Saalbach, A.; Klein, C.; Sleeman, J.; Sack, U.; Kauer, F.; Gebhardt, C.; Averbeck, M.; Anderegg, U.; Simon, J.C. Dermal Fibroblasts Induce Maturation of Dendritic Cells. J. Immunol. 2007, 178, 4966–4974. [Google Scholar] [CrossRef]
- Chvala, S.; Bakonyi, T.; Hackl, R.; Hess, M.; Nowotny, N.; Weissenböck, H. Limited pathogenicity of Usutu virus for the domestic chicken (Gallus domesticus). Avian Pathol. 2005, 34, 392–395. [Google Scholar] [CrossRef] [PubMed]
- Chvala, S.; Bakonyi, T.; Hackl, R.; Hess, M.; Nowotny, N.; Weissenbock, H. Limited Pathogenicity of Usutu Virus for the Domestic Goose (Anser anser f. domestica) Following Experimental Inoculation. J. Vet. Med. Ser. B 2006, 53, 171–175. [Google Scholar] [CrossRef] [PubMed]
- Dang, J.; Tiwari, S.K.; Lichinchi, G.; Qin, Y.; Patil, V.S.; Eroshkin, A.M.; Rana, T.M. Zika Virus Depletes Neural Progenitors in Human Cerebral Organoids through Activation of the Innate Immune Receptor TLR3. Cell Stem Cell 2016, 19, 258–265. [Google Scholar] [CrossRef] [PubMed]
- Gabriel, E.; Ramani, A.; Karow, U.; Gottardo, M.; Natarajan, K.; Gooi, L.M.; Goranci-Buzhala, G.; Krut, O.; Peters, F.; Nikolic, M.; et al. Recent Zika Virus Isolates Induce Premature Differentiation of Neural Progenitors in Human Brain Organoids. Cell Stem Cell 2017, 20, 397–406.e5. [Google Scholar] [CrossRef] [PubMed]
- Benzarti, E.; Rivas, J.; Sarlet, M.; Franssen, M.; Moula, N.; Savini, G.; Lorusso, A.; Desmecht, D.; Garigliany, M.-M. Usutu Virus Infection of Embryonated Chicken Eggs and a Chicken Embryo-Derived Primary Cell Line. Viruses 2020, 12, 531. [Google Scholar] [CrossRef]
- Matskevich, A.A.; Jung, J.-S.; Schümann, M.; Cascallo, M.; Moelling, K. Vero Cells as a Model to Study the Effects of Adenoviral Gene Delivery Vectors on the RNAi System in Context of Viral Infection. J. Innate Immun. 2009, 1, 389–394. [Google Scholar] [CrossRef]





| mRNA | Accession Number | Primer | Primer Sequence | Amplicon Size (bp) |
|---|---|---|---|---|
| CD29 | BK064246 | CD29F | CATTCCCATTGTAGCCGGTG | 151 |
| CD29R | TTCACCCGTATCCCACTTGG | |||
| CD44 | BK064237 | CD44F | CCTTCTGGGTGCTGACAAAC | 158 |
| CD44R | ATTTCCCCTGGTGTGGATCA | |||
| CD71 | BK064244 | CD71F | AGATGACTCCTACTGCGTCG | 200 |
| CD71R | GGCAGCGTTCTCATCTTCAG | |||
| CD73 | BK064243 | CD73F | CCCATTGATGAGCAGAGCAC | 211 |
| CD73R | CTGGGGCTTTGGAGAGATCA | |||
| CD90 | BK064242 | CD90F | TCTCCGAGAACATCTACCGC | 221 |
| CD90R | CCACGAGGTGTTCTGGATCA | |||
| CD105 | BK064241 | CD105F | GCTGACTTCAAGGCACAACA | 245 |
| CD105R | ATGGTGTAGGTGAAGCGGAA | |||
| CD14 | BK064239 | CD14F | GTCGCCAGCTCAGTACCA | 224 |
| CD14R | GGACACCAAGCACAGGGA | |||
| CD34 | BK064238 | CD34F | GGCAGGAATTTGGGTGTGAG | 233 |
| CD34R | TCATGTCCCTGCTCATCCTG | |||
| CD45 | BK064245 | CD45F | TGACACCATTGCCAGTACCT | 156 |
| CD45R | GTTTTCTCTGGCTGTGGTGG | |||
| GAPDH | BK064240 | GAPDH_F | TCTCTGTTGTGGACCTGACC | 169 |
| GAPDH_R | TCAAAGGTGGAGGAATGGCT |
Disclaimer/Publisher’s Note: The statements, opinions and data contained in all publications are solely those of the individual author(s) and contributor(s) and not of MDPI and/or the editor(s). MDPI and/or the editor(s) disclaim responsibility for any injury to people or property resulting from any ideas, methods, instructions or products referred to in the content. |
© 2023 by the authors. Licensee MDPI, Basel, Switzerland. This article is an open access article distributed under the terms and conditions of the Creative Commons Attribution (CC BY) license (https://creativecommons.org/licenses/by/4.0/).
Share and Cite
Rivas, J.; Dubois, A.; Blanquer, A.; Gérardy, M.; Ziegler, U.; Groschup, M.H.; Grobet, L.; Garigliany, M.-M. Tendon-Derived Mesenchymal Stem Cells (TDSCs) as an In Vitro Model for Virological Studies in Wild Birds. Viruses 2023, 15, 1455. https://doi.org/10.3390/v15071455
Rivas J, Dubois A, Blanquer A, Gérardy M, Ziegler U, Groschup MH, Grobet L, Garigliany M-M. Tendon-Derived Mesenchymal Stem Cells (TDSCs) as an In Vitro Model for Virological Studies in Wild Birds. Viruses. 2023; 15(7):1455. https://doi.org/10.3390/v15071455
Chicago/Turabian StyleRivas, José, Axel Dubois, Aude Blanquer, Mazarine Gérardy, Ute Ziegler, Martin H. Groschup, Luc Grobet, and Mutien-Marie Garigliany. 2023. "Tendon-Derived Mesenchymal Stem Cells (TDSCs) as an In Vitro Model for Virological Studies in Wild Birds" Viruses 15, no. 7: 1455. https://doi.org/10.3390/v15071455
APA StyleRivas, J., Dubois, A., Blanquer, A., Gérardy, M., Ziegler, U., Groschup, M. H., Grobet, L., & Garigliany, M.-M. (2023). Tendon-Derived Mesenchymal Stem Cells (TDSCs) as an In Vitro Model for Virological Studies in Wild Birds. Viruses, 15(7), 1455. https://doi.org/10.3390/v15071455

