The Indirect ELISA and Monoclonal Antibody against African Swine Fever Virus p17 Revealed Efficient Detection and Application Prospects
Abstract
1. Introduction
2. Materials and Methods
2.1. Cells, Viruses, and Sera
2.2. Expression and Purification of Recombinant p17
2.3. Establishment of an Indirect ELISA against p17
2.4. Generation and Screening of the mAb against p17
2.5. Specific Detection and Subtype Identification of the mAb against p17
2.6. Mapping the B-Cell Epitope
2.7. Virus Rescue and In Vitro Analysis of Virological Characteristics
2.8. Application of the Indirect ELISA against ASFV p17
2.8.1. Coincidence Rate Experiments of Clinical Samples
2.8.2. Specificity Testing
2.8.3. Sensitivity Testing
2.8.4. Detection of Specific Humoral Immunity after vA-ASFV-p17 Vaccination
2.9. Statistical Analysis
3. Results
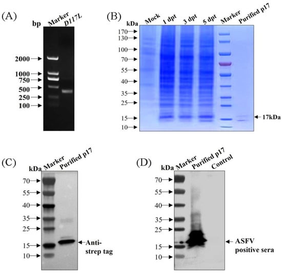
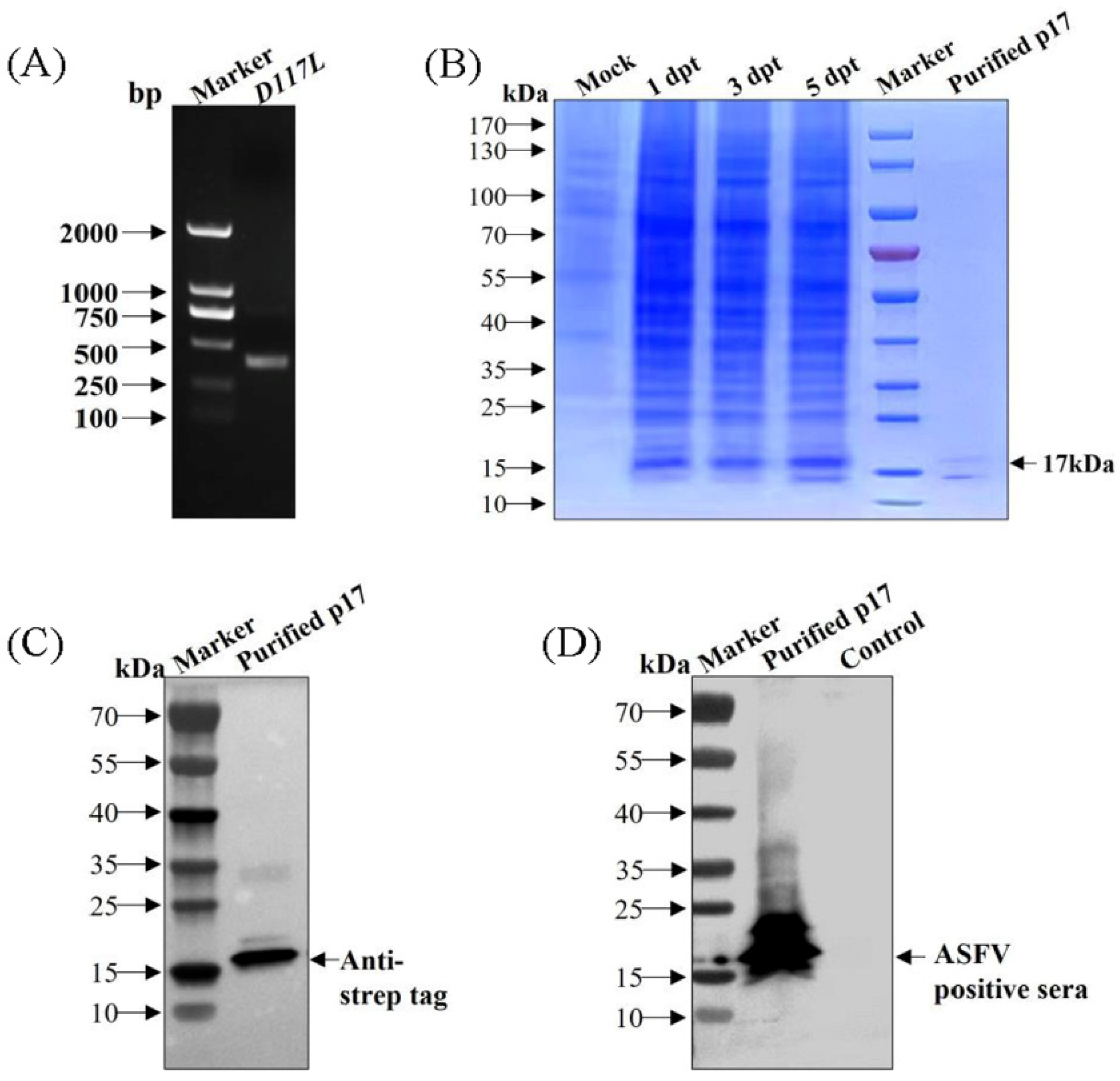
3.1. The Recombinant p17 Was Obtained Successfully from Suspension Cultured CHO Cells
3.2. The Indirect ELISA against p17 Was Established and Optimized
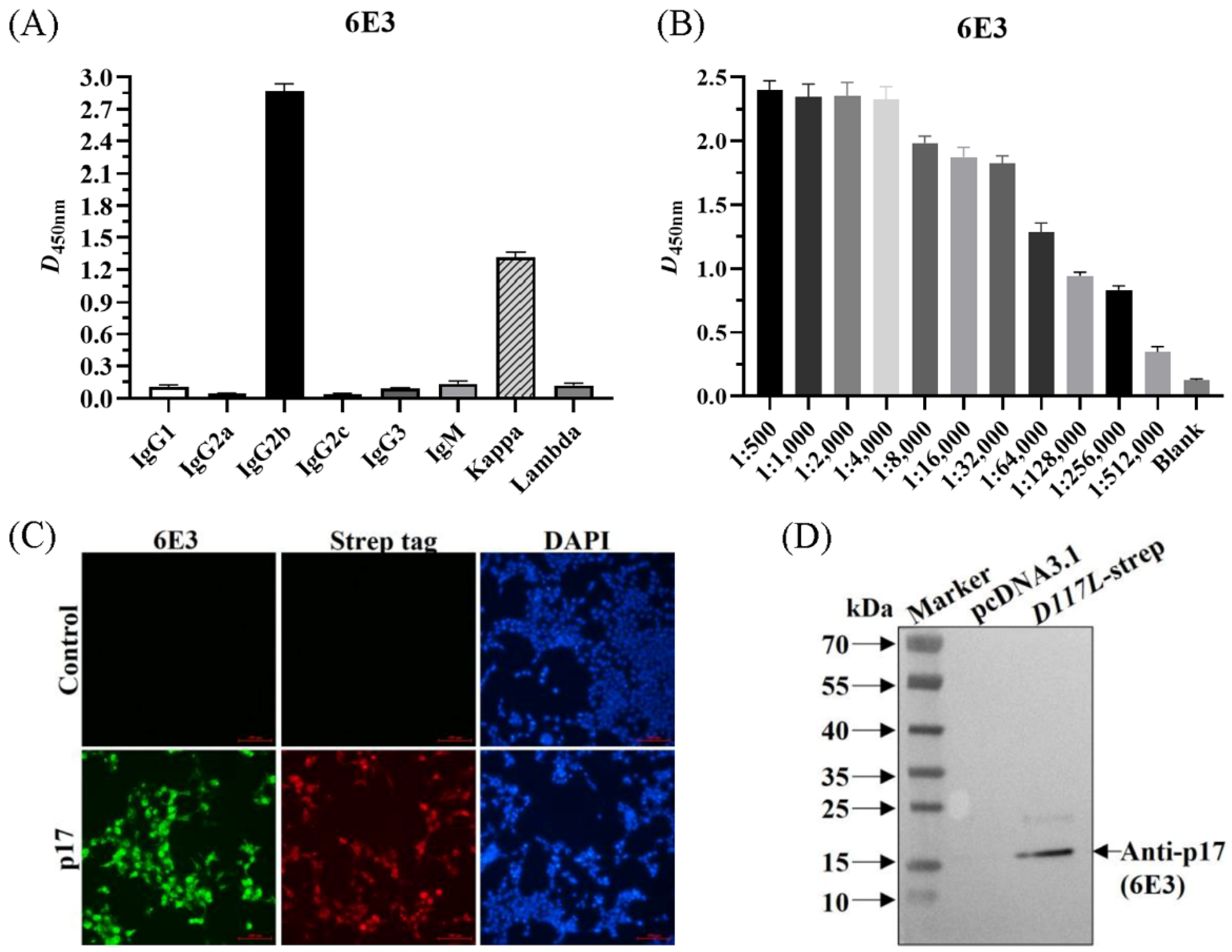
3.3. The mAb against p17 Exhibited Specific Reactivity
3.4. The mAb against p17 Recognized Specific Linear B-Cell Epitope
3.5. The Epitope Recognized by the 6E3 Was Conservative among Different Strains
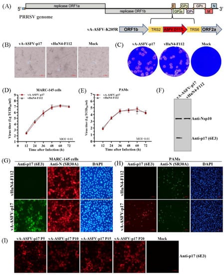
3.6. The 6E3 Specifically Recognized the Recombinant PRRSV Expressing p17
3.7. The ELISA Method Revealed Efficient Detection and Application Prospects
4. Discussion
Author Contributions
Funding
Institutional Review Board Statement
Informed Consent Statement
Data Availability Statement
Conflicts of Interest
References
- Dixon, L.K.; Sun, H.; Roberts, H. African swine fever. Antivir. Res. 2019, 165, 34–41. [Google Scholar] [CrossRef] [PubMed]
- Urbano, A.C.; Ferreira, F. African swine fever control and prevention: An update on vaccine development. Emerg. Microbes Infect. 2022, 11, 2021–2033. [Google Scholar] [CrossRef] [PubMed]
- Wu, K.; Liu, J.; Wang, L.; Fan, S.; Li, Z.; Li, Y.; Yi, L.; Ding, H.; Zhao, M.; Chen, J. Current State of Global African Swine Fever Vaccine Development under the Prevalence and Transmission of ASF in China. Vaccines 2020, 8, 531. [Google Scholar] [CrossRef] [PubMed]
- Zhao, D.; Liu, R.; Zhang, X.; Li, F.; Wang, J.; Zhang, J.; Liu, X.; Wang, L.; Zhang, J.; Wu, X.; et al. Replication and virulence in pigs of the first African swine fever virus isolated in China. Emerg. Microbes Infect. 2019, 8, 438–447. [Google Scholar] [CrossRef] [PubMed]
- Gallardo, C.; Soler, A.; Rodze, I.; Nieto, R.; Cano-Gomez, C.; Fernandez-Pinero, J.; Arias, M. Attenuated and non-haemadsorbing (non-HAD) genotype II African swine fever virus (ASFV) isolated in Europe, Latvia 2017. Transbound. Emerg. Dis. 2019, 66, 1399–1404. [Google Scholar] [CrossRef] [PubMed]
- Sun, E.; Huang, L.; Zhang, X.; Zhang, J.; Shen, D.; Zhang, Z.; Wang, Z.; Huo, H.; Wang, W.; Huangfu, H.; et al. Genotype I African swine fever viruses emerged in domestic pigs in China and caused chronic infection. Emerg. Microbes Infect. 2021, 10, 2183–2193. [Google Scholar] [CrossRef]
- Gallardo, C.; Soler, A.; Nieto, R.; Sanchez, M.A.; Martins, C.; Pelayo, V.; Carrascosa, A.; Revilla, Y.; Simon, A.; Briones, V.; et al. Experimental Transmission of African Swine Fever (ASF) Low Virulent Isolate NH/P68 by Surviving Pigs. Transbound. Emerg. Dis. 2015, 62, 612–622. [Google Scholar] [CrossRef]
- Sun, E.; Zhang, Z.; Wang, Z.; He, X.; Zhang, X.; Wang, L.; Wang, W.; Huang, L.; Xi, F.; Huangfu, H.; et al. Emergence and prevalence of naturally occurring lower virulent African swine fever viruses in domestic pigs in China in 2020. Sci. China Life Sci. 2021, 64, 752–765. [Google Scholar] [CrossRef]
- Zhao, K.; Shi, K.; Zhou, Q.; Xiong, C.; Mo, S.; Zhou, H.; Long, F.; Wei, H.; Hu, L.; Mo, M. The Development of a Multiplex Real-Time Quantitative PCR Assay for the Differential Detection of the Wild-Type Strain and the MGF505-2R, EP402R and I177L Gene-Deleted Strain of the African Swine Fever Virus. Animals 2022, 12, 1754. [Google Scholar] [CrossRef]
- Geng, R.; Sun, Y.; Li, R.; Yang, J.; Ma, H.; Qiao, Z.; Lu, Q.; Qiao, S.; Zhang, G. Development of a p72 trimer-based colloidal gold strip for detection of antibodies against African swine fever virus. Appl. Microbiol. Biotechnol. 2022, 106, 2703–2714. [Google Scholar] [CrossRef]
- Cao, Y.; Han, D.; Zhang, Y.; Zhang, K.; Du, N.; Tong, W.; Li, G.; Zheng, H.; Liu, C.; Gao, F.; et al. Identification of one novel epitope targeting p54 protein of African swine fever virus using monoclonal antibody and development of a capable ELISA. Res. Vet. Sci. 2021, 141, 19–25. [Google Scholar] [CrossRef]
- Yu, X.; Zhu, X.; Chen, X.; Li, D.; Xu, Q.; Yao, L.; Sun, Q.; Ghonaim, A.H.; Ku, X.; Fan, S.; et al. Establishment of a Blocking ELISA Detection Method for Against African Swine Fever Virus p30 Antibody. Front. Vet. Sci. 2021, 8, 781373. [Google Scholar] [CrossRef]
- Dixon, L.K.; Chapman, D.A.; Netherton, C.L.; Upton, C. African swine fever virus replication and genomics. Virus Res. 2013, 173, 3–14. [Google Scholar] [CrossRef]
- Suarez, C.; Gutierrez-Berzal, J.; Andres, G.; Salas, M.L.; Rodriguez, J.M. African swine fever virus protein p17 is essential for the progression of viral membrane precursors toward icosahedral intermediates. J. Virol. 2010, 84, 7484–7499. [Google Scholar] [CrossRef]
- Zheng, W.; Xia, N.; Zhang, J.; Cao, Q.; Jiang, S.; Luo, J.; Wang, H.; Chen, N.; Zhang, Q.; Meurens, F.; et al. African Swine Fever Virus Structural Protein p17 Inhibits cGAS-STING Signaling Pathway Through Interacting With STING. Front. Immunol. 2022, 13, 941579. [Google Scholar] [CrossRef]
- Munoz, A.L.; Tabares, E. Characteristics of the major structural proteins of African swine fever virus: Role as antigens in the induction of neutralizing antibodies. A review. Virology 2022, 571, 46–51. [Google Scholar] [CrossRef]
- Fischer, S.; Handrick, R.; Otte, K. The art of CHO cell engineering: A comprehensive retrospect and future perspectives. Biotechnol. Adv. 2015, 33, 1878–1896. [Google Scholar] [CrossRef]
- Reed, L.J.; Muench, H. A simple method of estimating fifty percent endpoints. Am. J. Hyg. 1938, 27, 493–497. [Google Scholar]
- Gao, F.; Jiang, Y.; Li, G.; Zhou, Y.; Yu, L.; Li, L.; Tong, W.; Zheng, H.; Zhang, Y.; Yu, H.; et al. Porcine reproductive and respiratory syndrome virus expressing E2 of classical swine fever virus protects pigs from a lethal challenge of highly-pathogenic PRRSV and CSFV. Vaccine 2018, 36, 3269–3277. [Google Scholar] [CrossRef]
- Wang, N.; Zhao, D.; Wang, J.; Zhang, Y.; Wang, M.; Gao, Y.; Li, F.; Wang, J.; Bu, Z.; Rao, Z.; et al. Architecture of African swine fever virus and implications for viral assembly. Science 2019, 366, 640–644. [Google Scholar] [CrossRef]
- Donaldson, J.; Kleinjan, D.J.; Rosser, S. Synthetic biology approaches for dynamic CHO cell engineering. Curr. Opin. Biotechnol. 2022, 78, 102806. [Google Scholar] [CrossRef] [PubMed]
- Muangkram, Y.; Sukmak, M.; Wajjwalku, W. Phylogeographic analysis of African swine fever virus based on the p72 gene sequence. Genet. Mol. Res. 2015, 14, 4566–4574. [Google Scholar] [CrossRef] [PubMed]
- Rock, D.L. Thoughts on African Swine Fever Vaccines. Viruses 2021, 13, 943. [Google Scholar] [CrossRef] [PubMed]
- Zhu, J.J. African Swine Fever Vaccinology: The Biological Challenges from Immunological Perspectives. Viruses 2022, 14, 2021. [Google Scholar] [CrossRef]
- Teklue, T.; Wang, T.; Luo, Y.; Hu, R.; Sun, Y.; Qiu, H.J. Generation and Evaluation of an African Swine Fever Virus Mutant with Deletion of the CD2v and UK Genes. Vaccines 2020, 8, 763. [Google Scholar] [CrossRef]
- Zhang, Y.; Ke, J.; Zhang, J.; Yang, J.; Yue, H.; Zhou, X.; Qi, Y.; Zhu, R.; Miao, F.; Li, Q.; et al. African Swine Fever Virus Bearing an I226R Gene Deletion Elicits Robust Immunity in Pigs to African Swine Fever. J. Virol. 2021, 95, e0119921. [Google Scholar] [CrossRef]
- Zhou, P.; Li, L.F.; Zhang, K.; Wang, B.; Tang, L.; Li, M.; Wang, T.; Sun, Y.; Li, S.; Qiu, H.J. Deletion of the H240R Gene of African Swine Fever Virus Decreases Infectious Progeny Virus Production Due to Aberrant Virion Morphogenesis and Enhances Inflammatory Cytokine Expression in Porcine Macrophages. J. Virol. 2022, 96, e0166721. [Google Scholar] [CrossRef]
- Chen, W.; Zhao, D.; He, X.; Liu, R.; Wang, Z.; Zhang, X.; Li, F.; Shan, D.; Chen, H.; Zhang, J.; et al. A seven-gene-deleted African swine fever virus is safe and effective as a live attenuated vaccine in pigs. Sci. China Life Sci. 2020, 63, 623–634. [Google Scholar] [CrossRef]
- Ramirez-Medina, E.; Vuono, E.; Silva, E.; Rai, A.; Valladares, A.; Pruitt, S.; Espinoza, N.; Velazquez-Salinas, L.; Borca, M.V.; Gladue, D.P. Evaluation of the Deletion of MGF110-5L-6L on Swine Virulence from the Pandemic Strain of African Swine Fever Virus and Use as a DIVA Marker in Vaccine Candidate ASFV-G-DeltaI177L. J. Virol. 2022, 96, e0059722. [Google Scholar] [CrossRef]
- Gao, F.; Jiang, Y.; Li, G.; Zhang, Y.; Zhao, K.; Zhu, H.; Li, L.; Yu, L.; Zheng, H.; Zhou, Y.; et al. Immune duration of a recombinant PRRSV vaccine expressing E2 of CSFV. Vaccine 2020, 38, 7956–7962. [Google Scholar] [CrossRef]
- Gao, F.; Jiang, Y.; Li, G.; Li, L.; Zhang, Y.; Yu, L.; Zheng, H.; Tong, W.; Zhou, Y.; Liu, C.; et al. Evaluation of immune efficacy of recombinant PRRSV vectored vaccine rPRRSV-E2 in piglets with maternal derived antibodies. Vet. Microbiol. 2020, 248, 108833. [Google Scholar] [CrossRef]






| Name | Sequences (5′-3′) |
|---|---|
| P17-F | CAGTGTGGTGGAATTCATGGACACAGAAACATCACCG |
| P17-R | GTGCTGGATATCTGCATCACTTTTCGAATTGTGGATGGGACCAAGAATGTGCCAGCTCCGCCA |
| pCold-TF-1-60-F | GGGTACCATGGACACAGAAACATCA |
| pCold-TF-1-60-R | GGAATTCTTAGTAGTACACGATGGCAAC |
| pCold-TF-50-117-F | GGGTACCATCTTGATTATCGTTGCC |
| pCold-TF-50-117-R | GGAATTCTTAAGAATGTGCCAGCTCCGC |
| pCold-TF-1-25-F | CGGGTACCATGGACACAGAAACATCA |
| pCold-TF-1-25-R | GGAATTCTTATCCTTGGGTGCTTTGCTT |
| pCold-TF-15-42-F | GGGTACCACTAGAGAAGGTATCAAG |
| pCold-TF-15-42-R | GGAATTCTTAAAGTAAAATAGCAGTGGT |
| pCold-TF-32-60-F | GGGTACCGCCAAGTACCCAGGCACC |
| pCold-TF-32-60-R | GGGAATTCTTAGTAGTACACGATGGCAAC |
| NO. | Isolate | Country | Year | Accession No. | Genotype |
|---|---|---|---|---|---|
| 1 | ASFV SY18 | China | 2021 | MH766894.1 | II |
| 2 | ASFV Wuhan 2019-1 | China | 2019 | MN393476.1 | II |
| 3 | ASFV CADC_HN09 | China | 2019 | MZ614662.1 | II |
| 4 | ASFV Pig/HLJ/2018 | China | 2018 | MK333180 | II |
| 5 | ASFV China/2018/AnhuiXCGQ | China | 2018 | MK128995.1 | II |
| 6 | ASFV SY-1 | China | 2022 | OM161110.1 | II |
| 7 | ASFV Belgium 2018 | Belgium | 2018 | LR536725.1 | II |
| 8 | ASFV Georgia 2007/1 | Georgia | 2007 | FR682468.2 | II |
| 9 | ASFV Tanzania/Rukwa/2017 | Tanzania | 2017 | LR813622.1 | II |
| 10 | ASFV CAS19-01-2019 | China | 2020 | MN172368.1 | II |
| 11 | ASFV NHV | Portugal | 1968 | NC_044943.1 | I |
| 12 | ASFV LH60 | Portugal | 1960 | NC_044941 | I |
| 13 | ASFV E75 | Spain | 1975 | NC_044958 | I |
| 14 | ASFV Benin 97/1 | Benin | 1997 | NC_044956 | I |
| 15 | ASFV OURT | Portugal | 1988 | NC_044957 | I |
| 16 | ASFV 25185_2008 | Italy | 2008 | MW788410.1 | I |
| 17 | ASFV30322 | Italy | 2013 | MW736600.1 | I |
| 18 | ASFV Nu1979 | Italy | 1979 | MW723481.1 | I |
| 19 | ASFV SD-DY-I-2021 | China | 2021 | MZ945537.1 | I |
| 20 | ASFV SPEC_57 | South Africa | 1985 | MN394630.3 | VIII |
| 21 | ASFV R35 | Uganda | 2018 | MH025920.1 | IX |
| 22 | ASFV Uvira B53 | Congo | 2021 | MT956648.1 | X |
| 23 | ASFV Zaire | Zaire | 1977 | MN630494 | XX |
| 24 | ASFV RSA_2_2008 | South Africa | 2008 | MN336500 | XXII |
| Samples | Developed ELISA | Commercial ELISA |
|---|---|---|
| Positive | 50 | 50 |
| Negative | 105 | 105 |
Disclaimer/Publisher’s Note: The statements, opinions and data contained in all publications are solely those of the individual author(s) and contributor(s) and not of MDPI and/or the editor(s). MDPI and/or the editor(s) disclaim responsibility for any injury to people or property resulting from any ideas, methods, instructions or products referred to in the content. |
© 2022 by the authors. Licensee MDPI, Basel, Switzerland. This article is an open access article distributed under the terms and conditions of the Creative Commons Attribution (CC BY) license (https://creativecommons.org/licenses/by/4.0/).
Share and Cite
Li, L.; Qiao, S.; Li, G.; Tong, W.; Dong, S.; Liu, J.; Guo, Z.; Zheng, H.; Zhao, R.; Tong, G.; et al. The Indirect ELISA and Monoclonal Antibody against African Swine Fever Virus p17 Revealed Efficient Detection and Application Prospects. Viruses 2023, 15, 50. https://doi.org/10.3390/v15010050
Li L, Qiao S, Li G, Tong W, Dong S, Liu J, Guo Z, Zheng H, Zhao R, Tong G, et al. The Indirect ELISA and Monoclonal Antibody against African Swine Fever Virus p17 Revealed Efficient Detection and Application Prospects. Viruses. 2023; 15(1):50. https://doi.org/10.3390/v15010050
Chicago/Turabian StyleLi, Liwei, Sina Qiao, Guoxin Li, Wu Tong, Shishan Dong, Jiachen Liu, Ziqiang Guo, Haihong Zheng, Ran Zhao, Guangzhi Tong, and et al. 2023. "The Indirect ELISA and Monoclonal Antibody against African Swine Fever Virus p17 Revealed Efficient Detection and Application Prospects" Viruses 15, no. 1: 50. https://doi.org/10.3390/v15010050
APA StyleLi, L., Qiao, S., Li, G., Tong, W., Dong, S., Liu, J., Guo, Z., Zheng, H., Zhao, R., Tong, G., Zhou, Y., & Gao, F. (2023). The Indirect ELISA and Monoclonal Antibody against African Swine Fever Virus p17 Revealed Efficient Detection and Application Prospects. Viruses, 15(1), 50. https://doi.org/10.3390/v15010050

