Safety and Pharmacokinetics of the Substance of the Anti-Smallpox Drug NIOCH-14 after Oral Administration to Laboratory Animals
Abstract
1. Introduction
2. Materials and Methods
2.1. Samples
2.2. Animals
2.3. Identifying the Lethal Doses of the Agent
2.4. Evaluating Safety of NIOCH-14 upon Single-Dose Administration to Mice
2.5. Evaluating Safety of NIOCH-14 upon Single-Dose Administration to Rats
2.6. Evaluating Safety of the Substance NIOCH-14 upon Repeated Administration to Rats
2.7. Oral or Intravenous Administration of NIOCH-14 or ST-246 to Mice to Assess Their Bioavailability
2.8. Justification of Using a Concentration of the Active Metabolite ST-246 to Describe the Bioavailability of NIOCH-14
2.9. Sample Preparation and Extraction Procedure
- To 80 µL of blood serum, 4 µL of internal standard solution (10 µg/mL) was added. The samples were incubated for 30 min on a Mixer 5432 shaker (Eppendorf, Germany).
- Then, the 100 µL of methanol and 250 µL of acetonitrile were added in succession to precipitate proteins and extract the ST-246. Extraction was carried out by shaking samples on a Mixer 5432 (Eppendorf, Germany) for 60 min at room temperature.
- 3.
- To 80 µL of homogenate, the 5 µL of internal standard solution (10 µg/mL) was added. The samples were incubated for 30 min on a Mixer 5432 shaker (Eppendorf, Germany).
- 4.
- Then, the 120 µL of methanol and 300 µL of acetonitrile were added in succession to precipitate proteins and extract the ST-246. Extraction was carried out by shaking samples on a Mixer 5432 (Eppendorf, Germany) for 60 min at room temperature.
2.10. LC-MS Analysis in SRM and MRM Modes
2.11. Processing the Results and the Method for Calculating the Pharmacokinetic Parameters of the Active Metabolite ST-246
- Half-life of the drug T1/2 (h)—time during which drug concentration in blood (organ) decreases by 50%; this value is constant and independent of the dose or initial (maximum) drug concentration in blood (organ).
- Time to reach the maximum concentration Tmax (h)—time during which the maximum drug concentration in blood (organ) is reached.
- The maximum concentration Cmax (ng/mL)—the maximum drug concentration in blood (organ).
- AUC (h × ng/mL)—area under the curve showing changes in drug concentration as a function of time (area under the curve “Concentration-Time”) from the instant of administration (0 h) to ∞ (AUC0-inf) or in the time interval from 0 h to time t that has passed since the administration of the compound (AUC0-t), in blood (organ).
- Tissue availability (fT) for organs (%)—penetration of the compound into tissues calculated using the formula fT = AUC0-inf-T:AUC0-inf-S, where AUC0-inf-T is the area under the curve “Concentration-Time” from 0 to ∞ in the organ tissue; AUC0-inf-S is the area under the curve “Concentration-Time” from 0 to ∞ in serum.
- The absolute bioavailability (Fabs) is the portion of drug that has reached systemic circulation, calculated using the formula Fabs = (AUC0-t,p/o × Di/v):(AUC0-t,i/v × Dp/o), where AUC0-t,p/o is the area under the curve “Concentration-Time” from 0 to t (time of complete disappearance) in serum upon oral (p/o) administration of the drug; AUC0-t,i/v is the area under the curve “Concentration-Time” from 0 to t in serum upon intravenous (i/v) administration of the drug, Dp/o and Di/v are the drug doses administered p/o and i/v, respectively.
2.12. Statistical Analysis
3. Results
3.1. Evaluation of Lethal Dose Values of the Substance NIOCH-14
3.2. The Effect of the Substance NIOCH-14 on Hematological Parameters of Laboratory Animals
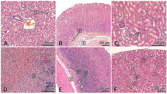
3.3. The Effect of the Substance NIOCH-14 on the Pathomorphological Structure of Internal Organs of Laboratory Rats
3.4. Determining Tissue Availability (fT) of the Substance NIOCH-14
3.5. Determining the Absolute Bioavailability (Fabs) of the Substance NIOCH-14
4. Discussion
5. Conclusions
Author Contributions
Funding
Institutional Review Board Statement
Informed Consent Statement
Data Availability Statement
Conflicts of Interest
Abbreviation
| Absolute Bioavailability of the Drug = Fabs |
| Area under the Curve “Concentration-Time” = AUC |
| Area under the Curve “Concentration-Time” from 0 to time t = AUC0-t |
| Area under the Curve “Concentration-Time” from 0 to ∞ = AUC0-inf |
| Cowpox Virus = CPXV |
| Dimethyl Sulfoxide = DMSO |
| Dose of the Drug at Intravenous (i/v) Administration = Di/v |
| Dose of the Drug at Per os (p/o) Administration = Dp/o |
| Ectromelia Virus = ECTV |
| Error of the Mean = m |
| Erythrocyte Sedimentation Rate = ESR |
| Extracellular Enveloped Virus = EEV |
| Food and Drug Administration = FDA |
| Half-life of the Drug = T1/2 |
| Intracellular Mature Virus = IMV |
| Intravenous, intravenously = i/v |
| 50% Lethal Dose = LD50 |
| Maximum Drug Concentration = Cmax |
| Mean Value = M |
| Monkeypox Virus = MPXV |
| Multiple Reaction Monitoring = MRM |
| Oral, Per os = p/o |
| Rabbitpox Virus = RPXV |
| Red Blood Cells = RBC |
| Selected Reaction Monitoring = SRM |
| Standard Deviation = SD |
| State Standard = GOST |
| Tandem Mass Spectrometry—MS/MS and Liquid Chromatography—LC = LC-MS/MS |
| Time to Reach Maximum Drug Concentration = Tmax |
| Tissue Availability of the Drug for the Organs = fT |
| Vaccinia Virus = VACV |
| Variola Virus = VARV |
| White Blood Cells = WBC |
References
- Marennikova, S.S.; Shchelkunov, S.N. Orthopoxviruses Pathogenic for Humans; KMK Scientific Press Ltd.: Russia, Moscow, 1998; 386p. (In Russian) [Google Scholar]
- Wienecke, R.; Wolff, H.; Schaller, M.; Meyer, H.; Plewig, G. Cowpox virus infection in an 11-year-old girl. J. Am. Acad. Dermatol. 2000, 42, 892–894. [Google Scholar] [CrossRef]
- Damaso, C.R.; Esposito, J.J.; Condit, R.C.; Moussatche, N. An emergent poxvirus from humans and cattle in Rio de Janeiro State: Cantagalo virus may derive from Brazilian smallpox vaccine. Virology 2000, 277, 439–449. [Google Scholar] [CrossRef] [PubMed]
- Reed, K.D.; Melski, J.W.; Graham, M.B.; Regnery, R.L.; Sotir, M.J.; Wegner, M.V.; Kazmierczak, J.J.; Stratman, E.J.; Li, Y.; Fairley, J.A.; et al. The detection of monkeypox in humans in the Western Hemisphere. N. Engl. J. Med. 2004, 350, 342–350. [Google Scholar] [CrossRef] [PubMed]
- Favier, A.-L.; Flusin, O.; Lepreux, S.; Fleury, H.; Labrèze, C.; Georges, A.; Crance, J.M.; Boralevi, F. Necrotic ulcerated lesion in a young boy caused by cowpox virus infection. Case Rep. Dermatol. 2011, 3, 186–194. [Google Scholar] [CrossRef] [PubMed]
- Borisevich, S.V.; Marennikova, S.S.; Makhlai, A.A.; Terentiev, A.I.; Loginova, S.Y.; Perekrest, V.V.; Krasnyansky, V.P.; Bondarev, V.P.; Rybak, S.I. Monkeypox: Features of spread after cancellation of mandatory pox immunization. J. Microbiol. Epidemiol. Immunobiol. 2012, 2, 69–73. (In Russian) [Google Scholar]
- Biagini, P.; Thèves, C.; Balaresque, P.; Géraut, A.; Cannet, C.; Keyser, C.; Nikolaeva, D.; Gérard, P.; Duchesne, S.; Orlando, L.; et al. Variola virus in a 300-year-old Siberian mummy. N. Engl. J. Med. 2012, 367, 2056–2064. [Google Scholar] [CrossRef] [PubMed]
- Olson, V.A.; Shchelkunov, S.N. Are we prepared in case of a possible smallpox-like disease emergence? Viruses 2017, 9, 242. [Google Scholar] [CrossRef]
- World Health Organization. Multi-Country Outbreak of Monkeypox. External Situation Report #6–21 September 2022. Available online: https://www.who.int/publications/m/item/multi-country-outbreak-of-monkeypox--external-situation-report--6---21-september-2022 (accessed on 4 October 2022).
- FDA Approves the First Drug with an Indication for Treatment of Smallpox, FDA News Release. 2018. Available online: https://www.fda.gov/NewsEvents/Newsroom/PressAnnouncements/ucm613496.htm (accessed on 13 July 2018).
- Yang, G.; Pevear, D.C.; Davies, M.H.; Collett, M.S.; Bailey, T.; Rippen, S.; Barone, L.; Burns, C.; Rhodes, G.; Tohan, S.; et al. An orally bioavailable antipoxvirus compound (ST-246) inhibits extracellular virus formation and protects mice from lethal orthopoxvirus Challenge. J. Virol. 2005, 79, 13139–13149. [Google Scholar] [CrossRef]
- Smee, D.F. Progress in the discovery of compounds inhibiting orthopoxviruses in animal models. Antivir. Chem. Chemother. 2008, 19, 115–124. [Google Scholar] [CrossRef] [PubMed]
- Smith, S.K.; Self, J.; Weiss, S.; Carroll, D.; Braden, Z.; Regnery, R.L.; Davidson, W.; Jordan, R.; Hruby, D.E.; Damon, I.K. Effective antiviral treatment of systemic orthopoxvirus disease: ST-246 treatment of prairie dogs infected with monkeypox virus. J. Virol. 2011, 85, 9176–9187. [Google Scholar] [CrossRef]
- Mucker, E.M.; Goff, A.J.; Shamblin, J.D.; Grosenbach, D.W.; Damon, I.K.; Mehal, J.M.; Holman, R.C.; Carroll, D.; Gallardo, N.; Olson, V.A.; et al. Efficacy of tecovirimat (ST-246) in nonhuman primates infected with variola virus (smallpox). Antimicrob. Agents Chemother. 2013, 57, 6246–6253. [Google Scholar] [CrossRef]
- Chen, Y.; Amantana, A.; Tyavanagimatt, S.R.; Zima, D.; Yan, X.S.; Kasi, G.; Weeks, M.; Stone, M.A.; Weimers, W.C.; Samuel, P.; et al. Comparison of the Safety and Pharmacokinetics of ST-246® after IV Infusion or Oral Administration in Mice, Rabbits and Monkeys. PLoS ONE 2011, 6, e23237. [Google Scholar] [CrossRef] [PubMed]
- Selivanov, B.A.; Tikhonov, A.Y.; Belanov, E.F.; Bormotov, N.I.; Balakhnin, S.M.; Serova, O.A.; Svyatchenko, V.A.; Kiselev, N.N.; Kazachinskaya, E.B.; Loktev, V.B.; et al. 7-[N’-4-trifluoromethylbenzyl)-hydrazinocarbonyl]-tricyclo[3.2.2.02.4]non-8-en-6-carboxylic Acid with Antiviral Activity. Patent RU No. 2412160, 20 February 2011. Bull. No. 5. Available online: https://patents.google.com/patent/RU2412160C1/ru (accessed on 20 February 2011). (In Russian).
- Kabanov, A.S.; Shishkina, L.N.; Mazurkov, O.Y.; Skarnovich, M.O.; Bormotov, N.I.; Serova, O.A.; Sergeev, A.A.; Sergeev, A.A.; Selivanov, B.A.; Tikhonov, A.Y.; et al. Estimation of therapeutic and prophylactic efficacy of chemical compound NIOCH-14 against ectromelia virus in vivo. J. Microbiol. Epidemiol. Immunobiol. 2015, 1, 58–65. (In Russian) [Google Scholar]
- Mazurkov, O.Y.; Kabanov, A.S.; Shishkina, L.N.; Sergeev, A.A.; Skarnovich, M.O.; Bormotov, N.I.; Skarnovich, M.A.; Ovchinnikova, A.S.; Titova, K.A.; Galahova, D.O.; et al. The new effective chemically synthesized anti-smallpox compound NIOCH-14. J. Gen. Virol. 2016, 97, 1229–1239. [Google Scholar] [CrossRef] [PubMed]
- Shishkina, L.N.; Sergeev, A.N.; Agafonov, A.P.; Sergeev, A.A.; Kabanov, A.S.; Bulychev, L.E.; Sergeev, A.A.; Gorbatovskaya, D.O.; P’yankov, O.V.; Bormotov, N.I.; et al. A Therapeutic and Prophylactic Drug against Variola Virus and Methods for Its Preparation and Use. Patent RU No. 2543338, 27 February 2015. Bull. No. 6. Available online: https://patents.google.com/patent/RU2543338C1/ru (accessed on 27 February 2015). (In Russian).
- Selivanov, B.A.; Belanov, E.F.; Bormotov, N.I.; Balakhnin, S.M.; Serova, O.A.; Svyatchenko, V.A.; Kiselev, N.N.; Kazachinskaya, E.B.; Loktev, V.B.; Tikhonov, A.Y. Tricyclo[3.2.2.02,4]non-8-en-6,7-Dicarbonic acid derivatives efficiently inhibits the replication of different orthopoxvirus species. Dokl. Biol. Sci. 2011, 441, 424–428. [Google Scholar] [CrossRef]
- Anderson, P.D.; Bokor, G. Bioterrorism: Pathogens as weapons. J. Pharm. Pract. 2012, 25, 521–529. [Google Scholar] [CrossRef] [PubMed]
- Bailey, T.R.; Rippin, S.R.; Opsitnick, E.; Burns, C.J.; Pevear, D.C.; Collett, M.S.; Rhodes, G.; Tohan, S.; Huggins, J.W.; Baker, R.O.; et al. N-(3,3a,4,4a,5,5a,6,6a-Octahydro-1,3-dioxo-4,6- ethenocycloprop[f]isoindol-2-(1H)-yl)carboxamides: Identification of novel orthopoxvirus egress inhibitors. J. Med. Chem. 2007, 50, 1442–1444. [Google Scholar] [CrossRef]
- Sanitary Rules and Norms SanR&N 3.3686-21 “Sanitary and Epidemiological Requirements for the Prevention of Infectious Diseases”; Mini Type: Rostov-on-Don, Russia; 894p.
- National Research Council of the National Academies. Guidelines on Laboratory Animal Care and Use, 8th ed.; The National Academies Press: Washington, DC, USA, 2011; 246p. Available online: https://grants.nih.gov/grants/olaw/guide-for-the-care-and-use-of-laboratory-animals.pdf (accessed on 9 January 2022).
- SIGA Technologies Inc. FDA Advisory Committee Briefing Document. Tecovirimat for the Treatment of Smallpox Disease. Antimicrobial Division Advisory Committee Meeting 1 May 2018. 83p. Final Advisory Committee Briefing Materials: Available for Public Release. Available online: https://www.fda.gov/media/112808/download (accessed on 1 May 2018).
- Mironov, A.N. (Ed.) Guidelines for Conducting Preclinical Studies of Drugs; Part one; Grif and K: Russia, Moscow, 2012; 944p. (In Russian) [Google Scholar]
- Menshikov, V.V. (Ed.) Laboratory Research Methods in the Clinic; Medicine: Russia, Moscow, 1987; 368p. (In Russian) [Google Scholar]
- Zhang, Y.; Huo, M.; Zhou, J.; Xie, S. PKSolver: An add-in program for pharmacokinetic and pharmacodynamic data analysis in Microsoft Excel. Comput. Methods Programs Biomed. 2010, 99, 306–314. [Google Scholar] [CrossRef]
- Chan-Tack, K.; Harrington, P.; Bensman, T.; Choi, S.-Y.; Donaldson, E.; O’Rear, J.; McMillan, D.; Myers, L.; Seaton, M.; Ghantous, H.; et al. Benefit-risk assessment for brincidofovir for the treatment of smallpox: U.S. Food and Drug Administration’s Evaluation. Antivir. Res. 2021, 195, 105182. [Google Scholar] [CrossRef]
- Duraffour, S.; Snoeck, R.; de Vos, R.; van Den Oord, J.J.; Crance, J.M.; Garin, D.; Hruby, D.E.; Jordan, R.; De Clercq, E.; Andrei, G. Activity of the anti-orthopoxvirus compound ST-246 against vaccinia, cowpox and camelpox viruses in cell monolayers and organotypic raft cultures. Antivir. Ther. 2007, 12, 1205–1216. [Google Scholar] [CrossRef]
- Quenelle, D.C.; Buller, R.M.L.; Parker, S.; Keith, K.A.; Hruby, D.E.; Jordan, R.; Kern, E.R. Efficacy of delayed treatment with ST-246 given orally against systemic orthopoxvirus infections in mice. Antimicrob. Agents Chemother. 2007, 51, 689–695. [Google Scholar] [CrossRef] [PubMed]
- Sbrana, E.; Jordan, R.; Hruby, D.E.; Mateo, R.I.; Xiao, S.Y.; Siirin, M.; Newman, P.C.; Travassos Da Rosa, A.P.A.; Tesh, R.B. Efficacy of the antipoxvirus compound ST-246 for treatment of severe orthopoxvirus infection. Am. J. Trop. Med. Hygiene 2007, 76, 768–773. [Google Scholar] [CrossRef]
- Huggins, J.; Goff, A.; Hensley, L.; Shamblin, J.; Wlazlowski, C.; Johnson, W.; Chapman, J.; Larsen, T.; Twenhafel, N.; Karem, K.; et al. Nonhuman primates are protected from smallpox virus or monkeypox virus challenges by the antiviral drug ST-246. Antimicrob. Agents Chemother. 2009, 53, 2620–2625. [Google Scholar] [CrossRef] [PubMed]
- Jordan, R.; Goff, A.; Frimm, A.; Corrado, M.L.; Hensley, L.E.; Byrd, C.M.; Mucker, E.; Shamblin, J.; Bolken, T.C.; Wlazlowski, C.; et al. ST-246 antiviral efficacy in a nonhuman primate monkeypox model: Determination of the minimal effective dose and human dose justification. Antimicrob. Agents Chemother. 2009, 53, 1817–1822. [Google Scholar] [CrossRef] [PubMed]
- Jordan, R.; Tien, D.; Bolken, T.C.; Jones, K.F.; Strasser, J.; Frimm, A.; Corrado, M.L.; Strome, P.G.; Hruby, D.E. Single-dose safety and pharmacokinetics of ST-246, a novel orthopoxvirus egress inhibitor. Antimicrob. Agents Chemother. 2008, 52, 1721–1727. [Google Scholar] [CrossRef]
- Leeds, J.M.; Fenneteau, F.; Gosselin, N.H.; Mouksassi, M.S.; Kassir, N.; Marier, J.F.; Chen, Y.; Grosenbach, D.; Frimm, A.E.; Honeychurch, K.M.; et al. Pharmacokinetic and pharmacodynamic modeling to determine the dose of ST-246 to protect against smallpox in humans. Antimicrob. Agents Chemother. 2013, 57, 1136–1143. [Google Scholar] [CrossRef] [PubMed]
- Parker, S.; Chen, N.G.; Foster, S.; Hartzler, H.; Hembrador, E.; Hruby, D.; Jordan, R.; Lanier, R.; Painter, G.; Painter, W.; et al. Evaluation of disease and viral biomarkers as triggers for therapeutic intervention in respiratory mousepox—An animal model of smallpox. Antivir. Research. 2012, 94, 44–53. [Google Scholar] [CrossRef]





| Groups of Mice, Drug, Dose | Hemoglobin, g/L | RBC Count, 1012/L | Hematocrit, % | Platelet Count, 109/L | ESR, mm/h | WBC Count, 109/L | WBC Differential, % | ||||
|---|---|---|---|---|---|---|---|---|---|---|---|
| Eosinophils | Neutrophils | Monocytes | Lymphocytes | ||||||||
| Band | Segmented | ||||||||||
| Males | |||||||||||
| Control 1 | 154.6 ± 8.5 | 8.3 ± 0.3 | 44.3 ± 2.6 | 1117 ± 68 | 1.2 ± 0.2 | 6.4 ± 0.4 | 3.6 ± 1.6 | 1.6 ± 0.9 | 46.8 ± 4.8 | 2.6 ± 0.7 | 45.4 ± 5.1 |
| Control 2 | 153.2 ± 3.1 | 8.1 ± 0.1 | 45.3 ± 1.2 | 1029 ± 63 | 1.0 ± 0.0 | 5.9 ± 0.4 | 3.4 ± 0.9 | 1.0 ± 0.3 | 43.4 ± 4.2 | 4.4 ± 1.0 | 47.8 ± 3.8 |
| NIOCH-14, 150 µg/g | 152.0 ± 5.8 | 8.2 ± 0.2 | 44.5 ± 1.8 | 1101 ± 69 | 1.2 ± 0.2 | 4.9 ± 0.3 * | 2.6 ± 1.2 | 1.0 ± 0.4 | 44.6 ± 7.1 | 3.0 ± 0.6 | 48.8 ± 7.7 |
| Females | |||||||||||
| Control 1 | 163.0 ± 2.4 | 8.9 ± 0.2 | 46.1 ± 1.0 | 751 ± 28 | 1.2 ± 0.2 | 6.1 ± 0.5 | 4.4 ± 1.1 | 0.6 ± 0.2 | 30.6 ± 6.0 | 2.8 ± 0.7 | 61.6 ± 6.5 |
| Control 2 | 156.6 ± 5.6 | 8.3 ± 0.3 | 44.5 ± 1.8 | 909 ± 53 | 1.4 ± 0.2 | 7.1 ± 0.6 | 2.6 ± 0.9 | 1.4 ± 0.2 | 28.0 ± 1.8 | 3.6 ± 0.9 | 51.4 ± 2.5 |
| NIOCH-14, 150 µg/g | 162.2 ± 3.4 | 8.7 ± 0.3 | 40.2 ± 6.1 | 964 ± 35 * | 1.4 ± 0.2 | 7.1 ± 1.0 | 3.4 ± 1.1 | 0.6 ± 0.4 | 24.0 ± 1.8 | 5.0 ± 0.6 | 68.2 ± 3.0 |
| Groups of Rats, Drug, Dose | Hemoglobin, g/L | RBC Count, 1012/L | Hematocrit, % | Platelet Count, 109/L | ESR, mm/h | WBC Count, 109/L | WBC Differential, % | ||||
|---|---|---|---|---|---|---|---|---|---|---|---|
| Eosinophils | Neutrophils | Monocytes | Lymphocytes | ||||||||
| Band | Segmented | ||||||||||
| Males | |||||||||||
| Control 1 | 140.0 ± 2.2 | 6.8 ± 0.1 | 38.2 ± 0.8 | 678 ± 32 | 1.0 ± 0 | 10.7 ± 1.2 | 2.0 ± 0.3 | 0.8 ± 0.2 | 33.6 ± 6.9 | 5.2 ± 1.3 | 58.4 ± 6.4 |
| Control 2 | 137.2 ± 3.0 | 6.5 ± 0.1 | 37.1 ± 0.7 | 743 ± 73 | 3.8 ± 1.6 | 6.96 ± 0.5 | 3.8 ± 0.7 | 1.4 ± 0.2 | 37.6 ± 6.3 | 4.4 ± 0.7 | 52.8 ± 6.3 |
| NIOCH-14, 150 µg/g | 129.0 ± 6.4 | 6.47 ± 0.3 | 34.7 ± 1.6 | 668 ± 69 | 3.4 ± 1.2 | 10.4 ± 1.9 | 1.8 ± 1.4 | 1.6 ± 0.9 | 40.6 ± 3.1 | 6.8 ± 1.2 | 49.2 ± 3.3 |
| Females | |||||||||||
| Control 1 | 143.2 ± 2.4 | 6.6 ± 0.2 | 37.5 ± 0.7 | 767 ± 55 | 2.8 ± 1.4 | 9.76 ± 0.5 | 1.6 ± 0.8 | 1.0 ± 0.3 | 25.6 ± 5.7 | 4.2 ± 0.2 | 67.6 ± 5.4 |
| Control 2 | 137.8 ± 3.5 | 6.5 ± 0.2 | 35.9 ± 0.6 | 802 ± 31 | 5.2 ± 1.8 | 10.0 ± 0.6 | 3.2 ± 0.7 | 1.2 ± 0.7 | 37.6 ± 7.4 | 4.4 ± 0.9 | 53.6 ± 8.1 |
| NIOCH-14, 150 µg/g | 137.6 ± 4.0 | 6.4 ± 0.2 | 35.7 ± 0.9 | 756 ± 47 | 2.2 ± 0.4 | 8.68 ± 0.7 | 2.8 ± 0.7 | 1.2 ± 0.5 | 29.4 ± 2.0 | 6.4 ± 1.1 | 60.2 ± 2.5 |
| Groups of Rats, Drug, Dose | Hemoglobin, g/L | RBC Count, 1012/L | Hematocrit, % | Platelet Count, 109/L | ESR, mm/h | WBC Count, 109/L | WBC Differential, % | ||||
|---|---|---|---|---|---|---|---|---|---|---|---|
| Eosinophils | Neutrophils | Monocytes | Lymphocytes | ||||||||
| Band | Segmented | ||||||||||
| Males | |||||||||||
| Control 1 | 144.8 ± 4.9 | 7.0 ± 0.2 | 38.2 ± 1.3 | 725 ± 36 | 2.6 ± 0.2 | 10.6 ± 0.9 | 1.2 ± 0.5 | 0.8 ± 0.4 | 39.0 ± 3.4 | 4.6 ± 0.8 | 54.4 ± 3.7 |
| Control 2 | 158.6 ± 2.1 | 7.6 ± 0.2 | 42.3 ± 0.5 | 828 ± 51 | 2.4 ± 0.2 | 6.8 ± 0.5 | 4.2 ± 1.0 | 2.2 ± 1.1 | 44.4 ± 3.1 | 6.0 ± 1.0 | 43.2 ± 4.1 |
| NIOCH-14, 50 µg/g | 144.3 ± 3.2 | 7.0 ± 0.1 | 38.2 ± 0.9 | 795 ± 24 | 1.8 ± 0.3 | 7.4 ± 0.3 | 3.2 ± 1.4 | 1.3 ± 0.4 | 41.8 ± 2.8 | 5.5 ± 0.8 | 48.2 ± 4.0 |
| NIOCH-14, 150 µg/g | 146.0 ± 2.6 | 6.9 ± 0.2 | 38.1 ± 0.8 | 723 ± 34 | 1.8 ± 0.3 | 9.1 ± 0.8 | 2.3 ± 0.6 | 1.0 ± 0.6 | 38.2 ± 5.3 | 3.8 ± 0.8 | 54.7 ± 5.6 |
| Females | |||||||||||
| Control 1 | 144.4 ± 2.0 | 6.7 ± 0.2 | 37.0 ± 0.7 | 793 ± 54 | 1.6 ± 0.2 | 6.5 ± 0.7 | 3.8 ± 1.2 | 0.6 ± 0.4 | 52.8 ±4.7 | 4.2 ± 0.4 | 38.6 ± 5.2 |
| Control 2 | 141.4 ± 1.3 | 6.7 ± 0.1 | 37.6 ± 0.4 | 712 ± 40 | 1.6 ± 0.4 | 7.2 ± 0.8 | 4.8 ± 0.9 | 1.0 ± 0.6 | 40.8 ± 3.5 | 4.2 ± 0.4 | 49.2 ± 3.8 |
| NIOCH-14, 50 µg/g | 146.3 ± 1.0 | 6.9 ± 0.1 | 38.7 ± 0.3 | 701 ± 47 | 1.3 ± 0.2 | 6.6 ± 0.5 | 3.5 ± 1.1 | 0.5 ± 0.3 | 41.3 ± 4.0 | 4.7 ± 1.0 | 49.8 ± 3.0 |
| NIOCH-14, 150 µg/g | 141.5 ± 2.9 | 6.7 ± 0.1 | 37.4 ± 0.8 | 742 ± 39 | 1.7 ± 0.3 | 6.1 ± 0.6 | 1.8 ± 0.5 | 0.8 ± 0.3 | 45.2 ± 1.7 | 6.2 ± 0.5 | 46.0 ± 1.6 |
| Parameters (Measurement Units) | Blood Serum | Lungs | Liver | Spleen | Brain | Kidneys |
|---|---|---|---|---|---|---|
| T1/2 (h) | 4.2 | 12.5 | 5.6 | 8.5 | 13.2 | 5.5 |
| Tmax (h) | 6 | 9 | 6 | 9 | 9 | 6 |
| Cmax (ng/mL) | 2058 ± 641 | 2009 ± 1746 | 1043 ± 514 | 286 ± 158 | 252 ± 38 | 1072 ± 453 |
| AUC0-t (ng/mL) × h | 22,666 | 21,880 | 15,026 | 3989 | 4277 | 13,813 |
| AUC0-inf (ng/mL) × h | 23,551 | 23,972 | 16,391 | 4786 | 6314 | 14,910 |
| fT (%) | - | 100 | 69.6 | 20.3 | 26.8 | 63.3 |
| Parameters (Units of Measurement) | Administration of NIOCH-14 | Administration of ST-246 | ||
|---|---|---|---|---|
| i/v, 2 µg/g | p/o, 50 µg/g | i/v, 2 µg/g | p/o, 50 µg/g | |
| T1/2 (h) | 2.3 | 5.7 | 2.0 | 3.4 |
| Tmax (h) | 0.25 | 6 | 0.25 | 3 |
| Cmax (ng/mL) | 9515 ± 3903 | 15,439 ± 3373 | 13,200 ± 4287 | 15,495 ± 3227 |
| AUC0-t (ng/mL) × h | 24,918 | 141,883 | 34,254 | 103,661 |
| AUC0-inf (ng/mL) × h | 25,038 | 142,220 | 34,318 | 105,405 |
| Fabs (%) | - | 22.8 | - | 12.1 |
Disclaimer/Publisher’s Note: The statements, opinions and data contained in all publications are solely those of the individual author(s) and contributor(s) and not of MDPI and/or the editor(s). MDPI and/or the editor(s) disclaim responsibility for any injury to people or property resulting from any ideas, methods, instructions or products referred to in the content. |
© 2023 by the authors. Licensee MDPI, Basel, Switzerland. This article is an open access article distributed under the terms and conditions of the Creative Commons Attribution (CC BY) license (https://creativecommons.org/licenses/by/4.0/).
Share and Cite
Shishkina, L.N.; Mazurkov, O.Y.; Bormotov, N.I.; Skarnovich, M.O.; Serova, O.A.; Mazurkova, N.A.; Skarnovich, M.A.; Chernonosov, A.A.; Selivanov, B.A.; Tikhonov, A.Y.; et al. Safety and Pharmacokinetics of the Substance of the Anti-Smallpox Drug NIOCH-14 after Oral Administration to Laboratory Animals. Viruses 2023, 15, 205. https://doi.org/10.3390/v15010205
Shishkina LN, Mazurkov OY, Bormotov NI, Skarnovich MO, Serova OA, Mazurkova NA, Skarnovich MA, Chernonosov AA, Selivanov BA, Tikhonov AY, et al. Safety and Pharmacokinetics of the Substance of the Anti-Smallpox Drug NIOCH-14 after Oral Administration to Laboratory Animals. Viruses. 2023; 15(1):205. https://doi.org/10.3390/v15010205
Chicago/Turabian StyleShishkina, Larisa N., Oleg Yu. Mazurkov, Nikolai I. Bormotov, Maksim O. Skarnovich, Olga A. Serova, Natalia A. Mazurkova, Maria A. Skarnovich, Alexander A. Chernonosov, Boris A. Selivanov, Alexey Ya. Tikhonov, and et al. 2023. "Safety and Pharmacokinetics of the Substance of the Anti-Smallpox Drug NIOCH-14 after Oral Administration to Laboratory Animals" Viruses 15, no. 1: 205. https://doi.org/10.3390/v15010205
APA StyleShishkina, L. N., Mazurkov, O. Y., Bormotov, N. I., Skarnovich, M. O., Serova, O. A., Mazurkova, N. A., Skarnovich, M. A., Chernonosov, A. A., Selivanov, B. A., Tikhonov, A. Y., Gamaley, S. G., Shimina, G. G., Sysoyeva, G. M., Taranov, O. S., Danilenko, E. D., Agafonov, A. P., & Maksyutov, R. A. (2023). Safety and Pharmacokinetics of the Substance of the Anti-Smallpox Drug NIOCH-14 after Oral Administration to Laboratory Animals. Viruses, 15(1), 205. https://doi.org/10.3390/v15010205

