Efficacy of Topically Administered Dihydroartemisinin in Treating Papillomavirus-Induced Anogenital Dysplasia in Preclinical Mouse Models
Abstract
:1. Introduction
2. Materials and Methods
2.1. Mice
2.2. 7,12 Dimethylbenz[a]anthracene (DMBA) Treatment of K14E6/E7 Transgenic Mice
2.3. Infection with MmuPV1
2.4. Dihydroartemisinin (DHA) Treatment of Mice
2.5. Lavage and qPCR for MmuPV1 DNA
2.6. Mouse Tissue Collection
2.7. Histology
2.8. Immunohistochemistry for K14E6/E7 Samples
2.9. MmuPV1-E6/E7 RNA ISH
2.10. Dual L1/K14 TSA Immunofluorescence
2.11. Statistical Analysis
3. Results
3.1. Topical DHA Treatment Did Not Reduce Severity of Anal Neoplastic Disease or Tumor-Free Survial in a K14E6/E7 Transgenic Mouse Model
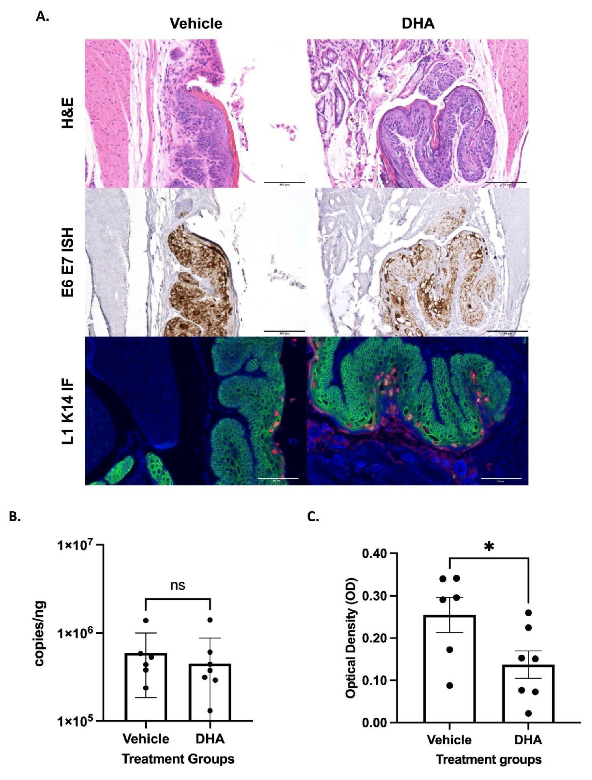
3.2. Topical DHA Treatment Did Not Reduce MmuPV1-Mediated Anal Dysplasia
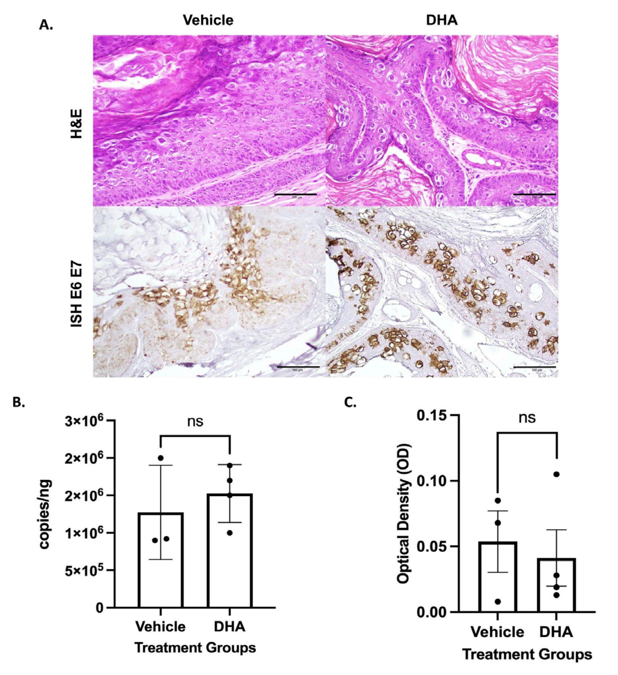
3.3. Topical DHA Treatment Did Not Reduce MmuPV1-Mediated Cervical Dysplasia
4. Discussion
5. Conclusions
Author Contributions
Funding
Institutional Review Board Statement
Informed Consent Statement
Data Availability Statement
Acknowledgments
Conflicts of Interest
References
- Braaten, K.P.; Laufer, M.R. Human Papillomavirus (HPV), HPV-Related Disease, and the HPV Vaccine. Rev. Obstet. Gynecol. 2008, 1, 2–10. [Google Scholar] [PubMed]
- Lee, J.Y.; Lensing, S.Y.; Berry-Lawhorn, J.M.; Jay, N.; Darragh, T.M.; Goldstone, S.E.; Wilkin, T.J.; Stier, E.A.; Einstein, M.; Pugliese, J.C.; et al. Design of the ANal Cancer/HSIL Outcomes Research Study (ANCHOR Study): A Randomized Study to Prevent Anal Cancer among Persons Living with HIV. Contemp. Clin. Trials 2022, 113, 106679. [Google Scholar] [CrossRef] [PubMed]
- Santesso, N.; Mustafa, R.A.; Schünemann, H.J.; Arbyn, M.; Blumenthal, P.D.; Cain, J.; Chirenje, M.; Denny, L.; De Vuyst, H.; Eckert, L.O.; et al. World Health Organization Guidelines for Treatment of Cervical Intraepithelial Neoplasia 2–3 and Screen-and-Treat Strategies to Prevent Cervical Cancer. Int. J. Gynecol. Obstet. 2016, 132, 252–258. [Google Scholar] [CrossRef] [PubMed]
- Shridhar, R.; Shibata, D.; Chan, E.; Thomas, C.R. Anal Cancer: Current Standards in Care and Recent Changes in Practice. CA Cancer J. Clin. 2015, 65, 139–162. [Google Scholar] [CrossRef] [PubMed]
- Hoffman, S.R.; Le, T.; Lockhart, A.; Sanusi, A.; Dal Santo, L.; Davis, M.; McKinney, D.A.; Brown, M.; Poole, C.; Willame, C.; et al. Patterns of persistent HPV infection after treatment for cervical intraepithelial neoplasia (CIN): A systematic review. Int. J. Cancer 2017, 141, 8–23. [Google Scholar] [CrossRef]
- Goldstone, S.E.; Johnstone, A.A.; Moshier, E.L. Long-term outcome of ablation of anal high-grade squamous intraepithelial lesions: Recurrence and incidence of cancer. Dis. Colon Rectum 2014, 57, 316–323. [Google Scholar] [CrossRef]
- Carchman, E.H.; Matkowskyj, K.A.; Meske, L.; Lambert, P.F. Dysregulation of Autophagy Contributes to Anal Carcinogenesis. PLoS ONE 2016, 11, e0164273. [Google Scholar] [CrossRef]
- Ingle, A.; Ghim, S.; Joh, J.; Chepkoech, I.; Bennett Jenson, A.; Sundberg, J.P. Novel laboratory mouse papillomavirus (MusPV) infection. Vet. Pathol. 2011, 48, 500–505. [Google Scholar] [CrossRef]
- Meshnick, S.R. Artemisinin: Mechanisms of Action, Resistance and Toxicity. Int. J. Parasitol. 2002, 32, 1655–1660. [Google Scholar] [CrossRef]
- Bridgford, J.L.; Xie, S.C.; Cobbold, S.A.; Pasaje, C.F.A.; Herrmann, S.; Yang, T.; Gillett, D.L.; Dick, L.R.; Ralph, S.A.; Dogovski, C.; et al. Artemisinin Kills Malaria Parasites by Damaging Proteins and Inhibiting the Proteasome. Nat. Commun. 2018, 9, 3801. [Google Scholar] [CrossRef] [Green Version]
- Efferth, T.; Dunstan, H.; Sauerbrey, A.; Miyachi, H.; Chitambar, C.R. The Anti-Malarial Artesunate Is Also Active against Cancer. Int. J. Oncol. 2001, 18, 767–773. [Google Scholar] [CrossRef] [PubMed]
- Konstat-Korzenny, E.; Ascencio-Aragón, J.; Niezen-Lugo, S.; Vázquez-López, R. Artemisinin and Its Synthetic Derivatives as a Possible Therapy for Cancer. Med. Sci. 2018, 6, 19. [Google Scholar] [CrossRef] [PubMed] [Green Version]
- Goodrich, S.K.; Schlegel, C.R.; Wang, G.; Belinson, J.L. Use of Artemisinin and Its Derivatives to Treat HPV-Infected/Transformed Cells and Cervical Cancer: A Review. Future Oncol. 2014, 10, 647–654. [Google Scholar] [CrossRef] [PubMed]
- Bhaw-Luximon, A.; Jhurry, D. Artemisinin and Its Derivatives in Cancer Therapy: Status of Progress, Mechanism of Action, and Future Perspectives. Cancer Chemother. Pharmacol. 2017, 79, 451–466. [Google Scholar] [CrossRef]
- Disbrow, G.L.; Baege, A.C.; Kierpiec, K.A.; Yuan, H.; Centeno, J.A.; Thibodeaux, C.A.; Hartmann, D.; Schlegel, R. Dihydroartemisinin Is Cytotoxic to Papillomavirus-Expressing Epithelial Cells in Vitro and in Vivo. Cancer Res. 2005, 65, 10854–10861. [Google Scholar] [CrossRef] [Green Version]
- Navaratnam, V.; Mansor, S.M.; Sit, N.W.; Grace, J.; Li, Q.; Olliaro, P. Pharmacokinetics of artemisinin-type compounds. Clin. Pharmacokinet. 2000, 39, 255–270. [Google Scholar] [CrossRef]
- Trimble, C.L.; Levinson, K.; Maldonado, L.; Donovan, M.J.; Clark, K.T.; Fu, J.; Shay, M.E.; Sauter, M.E.; Sanders, S.A.; Frantz, P.S.; et al. A first-in-human proof-of-concept trial of intravaginal artesunate to treat cervical intraepithelial neoplasia 2/3 (CIN2/3). Gynecol. Oncol. 2020, 157, 188–194. [Google Scholar] [CrossRef]
- Karunajeewa, H.A.; Kemiki, A.; Alpers, M.P.; Lorry, K.; Batty, K.T.; Ilett, K.F.; Davis, T.M. Safety and therapeutic efficacy of artesunate suppositories for treatment of malaria in children in Papua New Guinea. Pediatr. Infect. Dis. J. 2003, 22, 251–256. [Google Scholar] [CrossRef]
- Song, S.; Pitot, H.C.; Lambert, P.F. The human papillomavirus type 16 E6 gene alone is sufficient to induce carcinomas in transgenic animals. J. Virol. 1999, 73, 5887–5893. [Google Scholar] [CrossRef] [Green Version]
- Herber, R.; Liem, A.; Pitot, H.; Lambert, P.F. Squamous epithelial hyperplasia and carcinoma in mice transgenic for the human papillomavirus type 16 E7 oncogene. J. Virol. 1996, 70, 1873–1881. [Google Scholar] [CrossRef] [Green Version]
- Stelzer, M.K.; Pitot, H.C.; Liem, A.; Schweizer, J.; Mahoney, C.; Lambert, P.F. A Mouse Model for Human Anal Cancer. Cancer Prev. Res. 2010, 3, 1534–1541. [Google Scholar] [CrossRef] [PubMed] [Green Version]
- Blaine-Sauer, S.; Shin, M.-K.; Matkowskyj, K.A.; Ward-Shaw, E.; Lambert, P.F. A Novel Model for Papillomavirus-Mediated Anal Disease and Cancer Using the Mouse Papillomavirus. mBio 2021, 12, e0161121. [Google Scholar] [CrossRef] [PubMed]
- Spurgeon, M.E.; Uberoi, A.; McGregor, S.M.; Wei, T.; Ward-Shaw, E.; Lambert, P.F. A Novel In Vivo Infection Model To Study Papillomavirus-Mediated Disease of the Female Reproductive Tract. mBio 2019, 10, e00180-19. [Google Scholar] [CrossRef] [Green Version]
- Hu, J.; Budgeon, L.R.; Cladel, N.M.; Balogh, K.; Myers, R.; Cooper, T.K.; Christensen, N.D. Tracking Vaginal, Anal and Oral Infection in a Mouse Papillomavirus Infection Model. J. Gen. Virol. 2015, 96, 3554–3565. [Google Scholar] [CrossRef]
- Xue, X.Y.; Majerciak, V.; Uberoi, A.; Kim, B.H.; Gotte, D.; Chen, X.; Cam, M.; Lambert, P.F.; Zheng, Z.M. The full transcription map of mouse papillomavirus type 1 (MmuPV1) in mouse wart tissues. PLoS Pathog. 2017, 13, e1006715. [Google Scholar] [CrossRef] [PubMed]
- Torres, A.D.; Spurgeon, M.E.; Bilger, A.; Blaine-Sauer, S.; Uberoi, A.; Buehler, D.; McGregor, S.M.; Ward-Shaw, E.; Lambert, P.F. The Human Papillomavirus 16 E5 Gene Potentiates MmuPV1-Dependent Pathogenesis. Virology 2020, 541, 1–12. [Google Scholar] [CrossRef]
- Symer, M.M.; Yeo, H.L. Recent advances in the management of anal cancer. F1000Res 2018, 7, 1572. [Google Scholar] [CrossRef] [Green Version]
- Chesson, H.W.; Ekwueme, D.U.; Saraiya, M.; Watson, M.; Lowy, D.R.; Markowitz, L.E. Estimates of the annual direct medical costs of the prevention and treatment of disease associated with human papillomavirus in the United States. Vaccine 2012, 30, 6016–6019. [Google Scholar] [CrossRef]
- Insinga, R.P.; Dasbach, E.J.; Elbasha, E.H. Assessing the annual economic burden of preventing and treating anogenital human papillomavirus-related disease in the US: Analytic framework and review of the literature. PharmacoEconomics 2005, 23, 1107–1122. [Google Scholar] [CrossRef]
- Awad, M.I.; Alkadru, A.M.; Behrens, R.H.; Baraka, O.Z.; Eltayeb, I.B. Descriptive study on the efficacy and safety of artesunate suppository in combination with other antimalarials in the treatment of severe malaria in Sudan. Am. J. Trop. Med. Hyg. 2003, 63, 153–158. [Google Scholar] [CrossRef] [Green Version]
- Barnes, K.I.; Mwenechanya, J.; Tembo, M.; McIlleron, H.; Folb, P.I.; Ribeiro, I.; Little, F.; Gomes, M.; Molyneux, M.E. Efficacy of rectal artesunate compared with parenteral quinine in initial treatment of moderately severe malaria in African children and adults: A randomised study. Lancet 2004, 363, 1598–1605. [Google Scholar] [CrossRef]
- Halpaap, B.; Ndjave, M.; Paris, M.; Benakis, A.; Kremsner, P.G. Plasma levels of artesunate and dihydroartemisinin in children with Plasmodium falciparum malaria in Gabon after administration of 50-milligram artesunate suppositories. Am. J. Trop. Med. Hyg. 1998, 58, 365–368. [Google Scholar] [CrossRef] [Green Version]
- Siegel, E.M.; Patel, N.; Lu, B.; Lee, J.H.; Nyitray, A.G.; Huang, X.; Villa, L.L.; Franco, E.L.; Giuliano, A.R. Circulating biomarkers of iron storage and clearance of incident human papillomavirus infection. Cancer Epidemiol. Biomark. Prev. 2012, 21, 859–865. [Google Scholar] [CrossRef] [PubMed] [Green Version]
- Dixon, S.J.; Stockwell, B.R. The Role of Iron and Reactive Oxygen Species in Cell Death. Nat. Chem. Biol. 2014, 10, 9–17. [Google Scholar] [CrossRef] [PubMed]
- Ooko, E.; Saeed, M.E.M.; Kadioglu, O.; Sarvi, S.; Colak, M.; Elmasaoudi, K.; Janah, R.; Greten, H.J.; Efferth, T. Artemisinin Derivatives Induce Iron-Dependent Cell Death (Ferroptosis) in Tumor Cells. Phytomedicine 2015, 22, 1045–1054. [Google Scholar] [CrossRef]
- Torti, S.V.; Torti, F.M. Iron and Cancer: More Ore to Be Mined. Nat. Rev. Cancer 2013, 13, 342–355. [Google Scholar] [CrossRef] [Green Version]
- Shterman, N.; Kupfer, B.; Moroz, C. Comparison of Transferrin Receptors, Iron Content and Isoferritin Profile in Normal and Malignant Human Breast Cell Lines. Pathobiology 1991, 59, 19–25. [Google Scholar] [CrossRef]
- Bogdan, A.R.; Miyazawa, M.; Hashimoto, K.; Tsuji, Y. Regulators of Iron Homeostasis: New Players in Metabolism, Cell Death, and Disease. Trends Biochem. Sci. 2016, 41, 274–286. [Google Scholar] [CrossRef] [Green Version]
- Baege, A.; Posner, G.; Schlegel, R.; Fink, D. Artemisinin and its Derivatives—Novel Treatment Options for HPV-infection and Cervical Dysplasia. Geburtshilfe Frauenheilkd 2008, 68, s-0028-1089012. [Google Scholar] [CrossRef]



| Group | Non-Dysplastic | Low-Grade Dysplasia | High-Grade Dysplasia | Squamous Cell Carcinoma | Total |
|---|---|---|---|---|---|
| No treatment | 2 | 5 | 5 | 0 | 12 |
| DHA only | 0 | 4 | 5 | 0 | 9 |
| DMBA only | 0 | 0 | 3 | 9 | 12 |
| DHA + DMBA | 0 | 0 | 1 | 11 | 12 |
| Group | Non-Dysplastic | Low-Grade Dysplasia | High-Grade Dysplasia | Squamous Cell Carcinoma | Total |
|---|---|---|---|---|---|
| Vehicle | 0 | 0 | 6 | 0 | 6 |
| DHA | 0 | 0 | 8 | 0 | 8 |
| Group | Non-Dysplastic | Low-Grade Dysplasia | High-Grade Dysplasia | Squamous Cell Carcinoma | Total |
|---|---|---|---|---|---|
| Vehicle | 0 | 3 | 0 | 0 | 3 |
| DHA | 0 | 4 | 0 | 0 | 4 |
Publisher’s Note: MDPI stays neutral with regard to jurisdictional claims in published maps and institutional affiliations. |
© 2022 by the authors. Licensee MDPI, Basel, Switzerland. This article is an open access article distributed under the terms and conditions of the Creative Commons Attribution (CC BY) license (https://creativecommons.org/licenses/by/4.0/).
Share and Cite
Gunder, L.C.; Blaine-Sauer, S.; Johnson, H.R.; Shin, M.-K.; Auyeung, A.S.; Zhang, W.; Leverson, G.E.; Ward-Shaw, E.T.; King, R.E.; McGregor, S.M.; et al. Efficacy of Topically Administered Dihydroartemisinin in Treating Papillomavirus-Induced Anogenital Dysplasia in Preclinical Mouse Models. Viruses 2022, 14, 1632. https://doi.org/10.3390/v14081632
Gunder LC, Blaine-Sauer S, Johnson HR, Shin M-K, Auyeung AS, Zhang W, Leverson GE, Ward-Shaw ET, King RE, McGregor SM, et al. Efficacy of Topically Administered Dihydroartemisinin in Treating Papillomavirus-Induced Anogenital Dysplasia in Preclinical Mouse Models. Viruses. 2022; 14(8):1632. https://doi.org/10.3390/v14081632
Chicago/Turabian StyleGunder, Laura C., Simon Blaine-Sauer, Hillary R. Johnson, Myeong-Kyun Shin, Andrew S. Auyeung, Wei Zhang, Glen E. Leverson, Ella T. Ward-Shaw, Renee E. King, Stephanie M. McGregor, and et al. 2022. "Efficacy of Topically Administered Dihydroartemisinin in Treating Papillomavirus-Induced Anogenital Dysplasia in Preclinical Mouse Models" Viruses 14, no. 8: 1632. https://doi.org/10.3390/v14081632
APA StyleGunder, L. C., Blaine-Sauer, S., Johnson, H. R., Shin, M.-K., Auyeung, A. S., Zhang, W., Leverson, G. E., Ward-Shaw, E. T., King, R. E., McGregor, S. M., Matkowskyj, K. A., Lambert, P. F., & Carchman, E. H. (2022). Efficacy of Topically Administered Dihydroartemisinin in Treating Papillomavirus-Induced Anogenital Dysplasia in Preclinical Mouse Models. Viruses, 14(8), 1632. https://doi.org/10.3390/v14081632

