Silent Infection of Highly Pathogenic Avian Influenza Virus (H5N1) Clade 2.3.4.4b in a Commercial Chicken Broiler Flock in Italy
Abstract
:1. Introduction
2. Materials and Methods
2.1. Background
2.2. Animal Rights Statements
2.3. Clinical Inspection, Sampling of Biological Specimens and Record of the Cumulative Mortality Rate (CMR) Data
2.4. Viral Shedding in Live Birds
2.5. Serological Analyses
2.6. Study of Tissue Tropism and Pathogenesis on Carcasses
2.7. Environmental Contamination
3. Results
3.1. Clinical Inspection of Birds, Record of the CMR Data and Sampling
3.2. Viral Shedding in Live Birds
3.3. Serology for AIV by Competitive ELISA Method
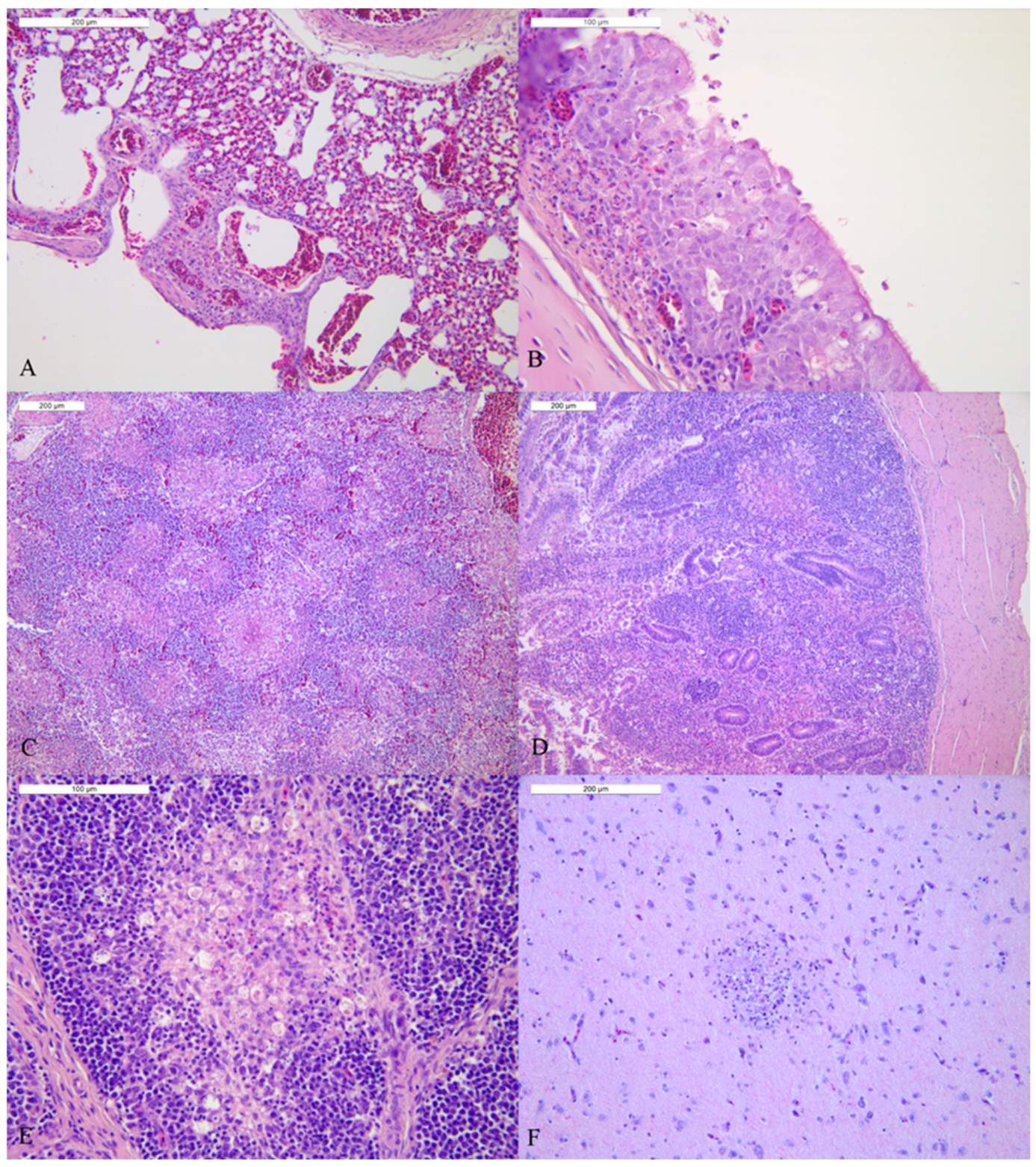
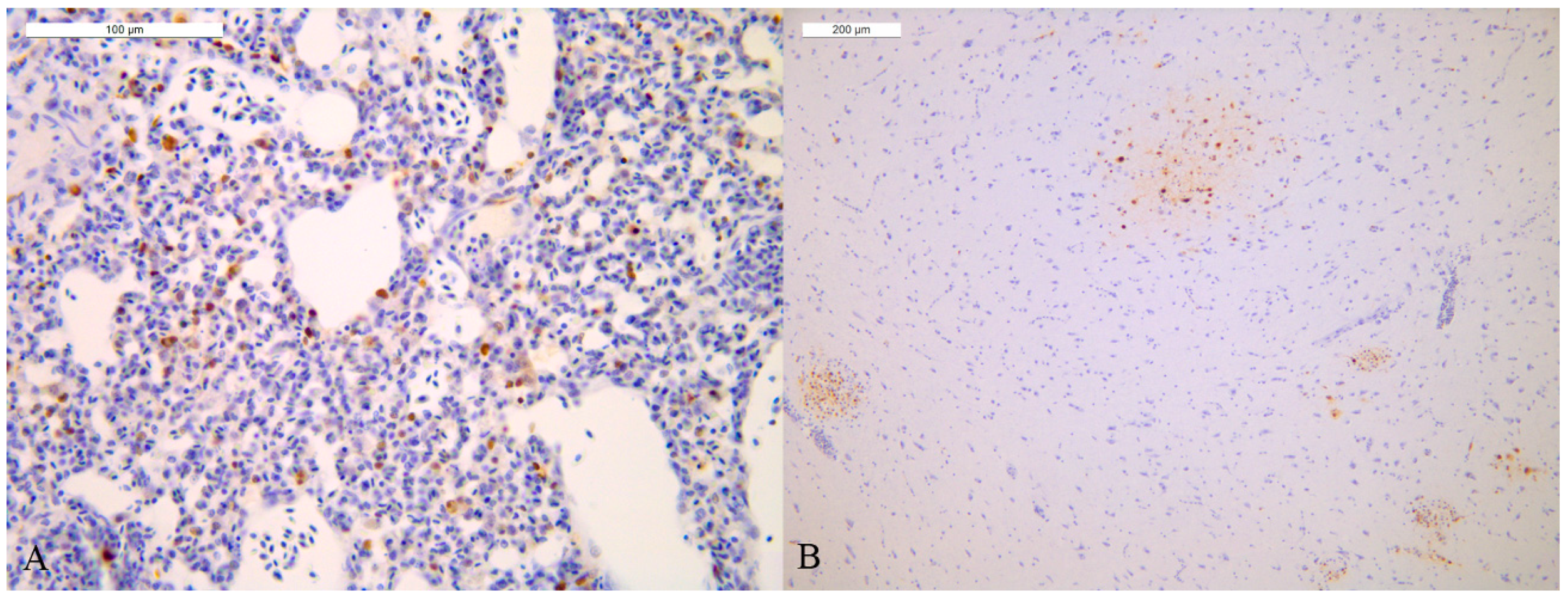
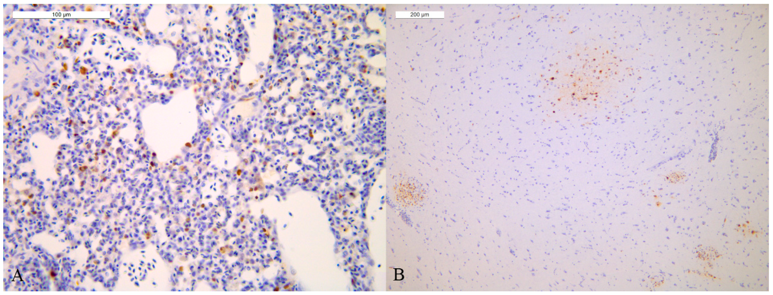
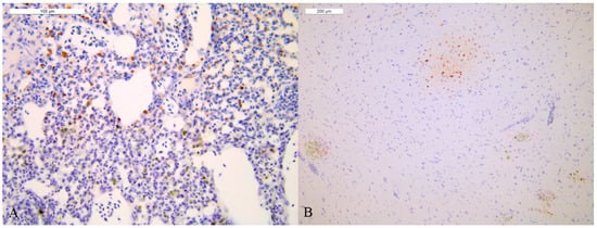
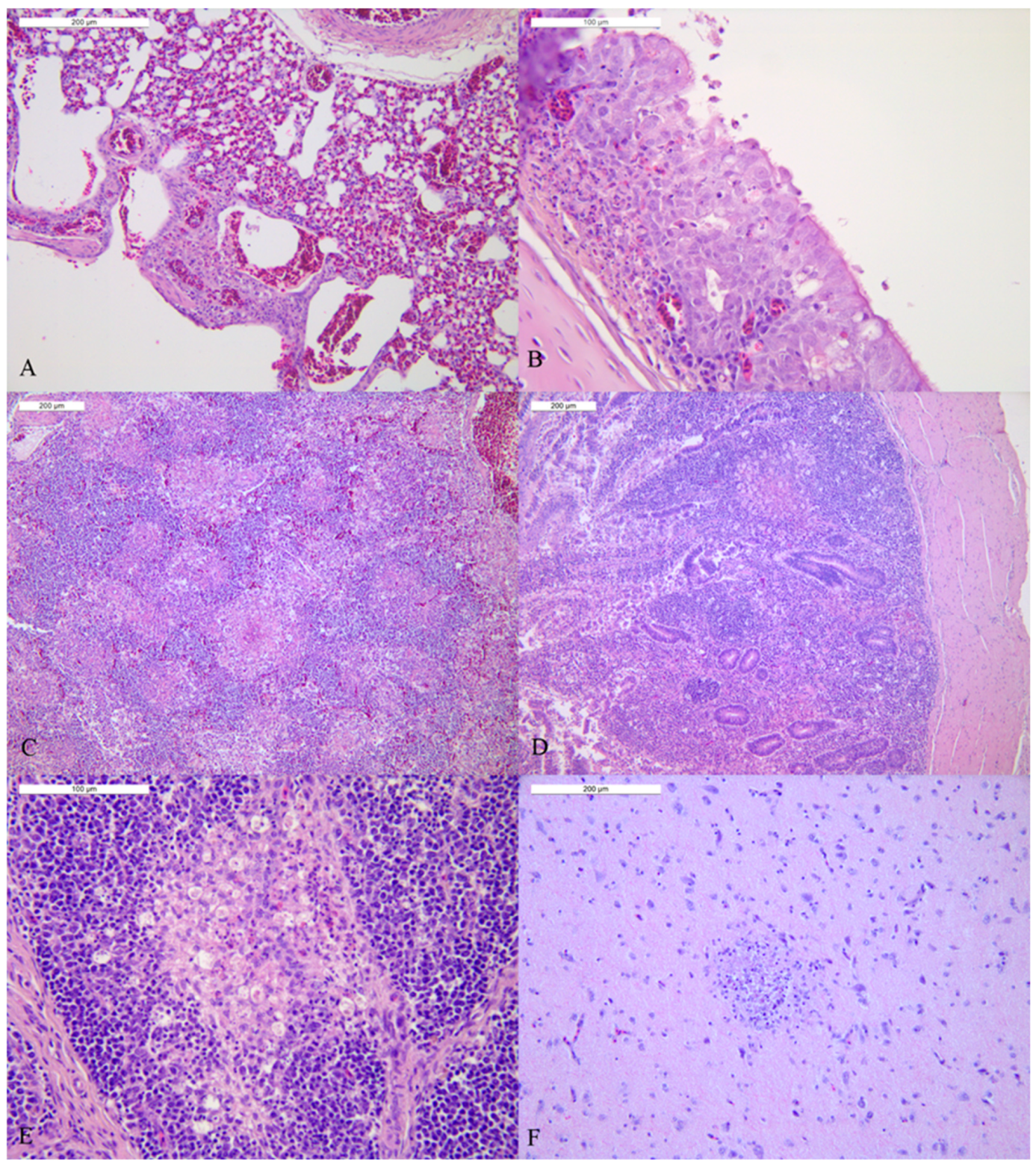
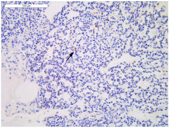
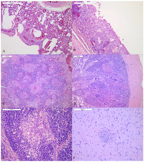
3.4. Study of Tissue Tropism and Pathogenesis (Pathobiology of HPAI Infection)
3.5. Environmental Contamination
4. Discussion
5. Conclusions
Author Contributions
Funding
Institutional Review Board Statement
Informed Consent Statement
Data Availability Statement
Acknowledgments
Conflicts of Interest
References
- Lee, D.H.; Bertran, K.; Kwon, J.H.; Swayne, D.E. Evolution, global spread, and pathogenicity of highly pathogenic avian influenza H5Nx clade 2.3.4.4. J. Vet. Sci. 2017, 18 (Suppl. S1), 269–280. [Google Scholar] [CrossRef] [PubMed]
- Adlhoch, C.; Fusaro, A.; Gonzales, J.L.; Kuiken, T.; Marangon, S.; Niqueux, E.; Staubach, C.; Terregino, C.; Aznar, I.; Guajardo, M.I.; et al. European Food Safety Authority, European Centre for Disease Prevention, Control, European Union Reference Laboratory for Avian Influenza, Avian influenza overview December 2021–March 2022. EFSA J. 2022, 20, e07289. [Google Scholar] [CrossRef] [PubMed]
- Highly Pathogenic Avian Influenza in Domestic Poultry in Italy Epidemiological Situation 04 April 2022. Available online: https://www.izsvenezie.com/documents/reference-laboratories/avian-influenza/italy-updates/HPAI/2021-1/italy-outbreaks.pdf (accessed on 23 May 2022).
- Gobbo, F.; Fornasiero, D.; De Marco, M.A.; Zecchin, B.; Mulatti, P.; Delogu, M.; Terregino, C. Active Surveillance for Highly Pathogenic Avian Influenza Viruses in Wintering Waterbirds in Northeast Italy, 2020–2021. Microorganisms 2021, 9, 2188. [Google Scholar] [CrossRef]
- Avian Influenza in Italy: Update. Highly Pathogenic Avian Influenza (HPAI) in Italy. Available online: https://www.izsvenezie.com/documents/reference-laboratories/avian-influenza/italy-updates/HPAI/2021-1/italy-maps.pdf (accessed on 23 May 2022).
- Heine, H.G.; Foord, A.J.; Wang, J.; Valdeter, S.; Walker, S.; Morrissy, C.; Wong, F.Y.K.; Meehan, B. Detection of highly pathogenic zoonotic influenza virus H5N6 by reverse-transcriptase quantitative polymerase chain reaction. Virol. J. 2015, 12, 18. [Google Scholar] [CrossRef] [PubMed] [Green Version]
- Schreuder, J.; Manders, T.T.; Elbers, A.R.; van der Spek, A.N.; Bouwstra, R.J.; Stegeman, J.A.; Velkers, F.C. Highly pathogenic avian influenza subtype H5Nx clade 2.3.4.4 outbreaks in Dutch poultry farms, 2014–2018: Clinical signs and mortality. Transbound. Emerg. Dis. 2021, 68, 88–97. [Google Scholar] [CrossRef]
- Germeraad, E.A.; Sanders, P.; Hagenaars, T.J.; de Jong, M.; Beerens, N.; Gonzales, J.L. Virus shedding of avian influenza in poultry: A systematic review and meta-analysis. Viruses 2019, 11, 812. [Google Scholar] [CrossRef] [Green Version]
- Beerens, N.; Germeraad, E.A.; Venema, S.; Verheij, E.; Pritz-Verschuren, S.B.; Gonzales, J.L. Comparative pathogenicity and environmental transmission of recent highly pathogenic avian influenza H5 viruses. Emerg. Microbes Infect. 2021, 10, 97–108. [Google Scholar] [CrossRef]
- Gaide, N.; Lucas, M.N.; Delpont, M.; Croville, G.; Bouwman, K.M.; Papanikolaou, A.; van der Woude, R.; Gagarinov, A.I.; Boons, G.J.; De Vries, R.P.; et al. Pathobiology of highly pathogenic H5 avian influenza viruses in naturally infected Galliformes and Anseriformes in France during winter 2015–2016. Vet. Res. 2022, 53, 11. [Google Scholar] [CrossRef] [PubMed]
- Park, S.C.; Song, B.M.; Lee, Y.N.; Lee, E.K.; Heo, G.B.; Kye, S.J.; Lee, K.H.; Bae, Y.C.; Lee, Y.J.; Kim, B. Pathogenicity of clade 2.3.4.4 H5N6 highly pathogenic avian influenza virus in three chicken breeds from South Korea in 2016/2017. J. Vet. Sci. 2019, 20, e27. [Google Scholar] [CrossRef] [PubMed]
- Perlas, A.; Argilaguet, J.; Bertran, K.; Sánchez-González, R.; Nofrarías, M.; Valle, R.; Ramis, A.; Cortey, M.; Majó, N. Dual Host and Pathogen RNA-Seq Analysis Unravels Chicken Genes Potentially Involved in Resistance to Highly Pathogenic Avian Influenza Virus Infection. Front. Immunol. 2021, 12, 800188. [Google Scholar] [CrossRef] [PubMed]
- Nielsen, S.S.; Alvarez, J.; Bicout, D.J.; Calistri, P.; Depner, K.; Drewe, J.A.; Garin-Bastuji, B.; Gonzales Rojas, J.L.; Schmidt, C.G.; Herskin, M.; et al. EFSA AHAW Panel (EFSA Panel on Animal Health and Welfare): Scientific Opinion on the assessment of the control measures of the category A diseases of Animal Health Law: Highly Pathogenic Avian Influenza. EFSA J. 2021, 19, e06372. [Google Scholar] [CrossRef] [PubMed]
- Weekly Pool Sampling (“Bucket Sampling”) in Poultry Species That Often Do Not Manifest Clinical Signs When Infected with HPAI. Available online: https://www.izsvenezie.com/documents/reference-laboratories/avian-influenza/diagnostic-protocols/weekly-pool-sampling-bucket-sampling.pdf (accessed on 23 June 2022).







| House 1 Progressive Bird N° | Broiler (BRL) Identification N° | Tracheal Swab AIV rRT-PCR (Ct) | Cloacal Swabs AIV rRT-PCR (Ct) |
|---|---|---|---|
| 1 | BRL 6 | neg | 33.45 |
| 2 | BRL 7 | 39.05 | 35.65 |
| 3 | BRL 8 | 35.6 | 39.32 |
| 4 | BRL 9 | neg | 34.7 |
| 5 | BRL 10 | 34.97 | 36.04 |
| 6 | BRL 24 | 25.79 | 28.46 |
| 7 | BRL 30 | 21.27 | 23.77 |
| 8 | BRL 47 | 38.46 | neg |
| 9 | BRL 51 | 32.89 | neg |
| 10 | BRL 52 | 34.95 | neg |
| 11 | BRL 54 | 31.51 | neg |
| 12 | BRL 55 | 34.18 | neg |
| House 1 | BRL1 | BRL2 | BRL3 | BRL4 | BRL5 | ||||||
|---|---|---|---|---|---|---|---|---|---|---|---|
| Organ | rRT-PCR (Ct) | IHC Score | rRT-PCR (Ct) | IHC Score | rRT-PCR (Ct) | IHC Score | rRT-PCR (Ct) | IHC Score | rRT-PCR (Ct) | IHC Score | Predominant IHC Positive Cell Type/Tissue |
| Lung | 17.6 | +++ | 34.01 | − | 21.06 | +++ | 18.77 | +++ | 18.43 | +++ | Pneumocytes, endothelium |
| Trachea | 18.9 | + | 27.89 | − | 21.67 | ++ | 21.96 | ++ | 19.77 | +++ | Epithelial cells, macrophages, endothelium |
| Spleen | 19.07 | + | 36.13 | − | 19.81 | +++ | 22.08 | ++ | 23.32 | ++ | Macrophages, endothelium |
| Duodenum | 18.35 | ++ | 31.32 | − | 22.39 | + | 21.36 | + | 20.09 | +++ | Cellular debris in the crypts, epithelium, endothelium and plexi |
| Pancreas | 17.17 | +++ | 33.57 | − | 22.19 | ++ | 22.21 | + | 18.73 | +++ | Acinar necrotic epithelium |
| Cecal tonsil | 16.81 | +++ | 25.32 | + | neg | n.d. | 22.46 | ++ | 18.29 | ++ | Cellular Debris in the crypts, epithelium, necrotic area, endothelium |
| Bursa of Fabricius | 18.19 | +++ | 32.91 | − | 20.25 | + | 21.71 | ++ | 15.15 | ++ | Macrophages |
| Brain | 13.85 | +++ | 34.6 | − | 19.83 | ++ | 17.2 | +++ | 18.94 | +++ | Neurons, glial cells, ependymal |
| House 3 | BRL1 | BRL2 | BRL3 | BRL4 | BRL5 | ||||||
|---|---|---|---|---|---|---|---|---|---|---|---|
| Organ | rRT-PCR (Ct) | IHC Score | rRT-PC (Ct) | IHC Score | rRT-PCR (Ct) | IHC Score | rRT-PCR (Ct) | IHC Score | rRT-PCR (Ct) | IHC Score | Predominant IHC Positive Cell Type/Tissue |
| Lung | neg | − | neg | n.d. | neg | n.d. | 25.03 | −/+ | 39.43 | − | Pneumocytes |
| Trachea | 37.68 | − | neg | n.d. | neg | n.d. | 23.83 | + | 38.46 | − | Epithelial cells, macrophages |
| Spleen | neg | n.d. | neg | n.d. | neg | n.d. | 23.86 | −/+ | neg | n.d. | Macrophages |
| Duodenum | neg | n.d. | neg | n.d. | neg | n.d. | 25.03 | −/+ | neg | − | Epithelium |
| Pancreas | neg | n.d. | neg | n.d. | neg | n.d. | 24.03 | −/+ | 38.31 | − | Acinar necrotic epithelium |
| Cecal tonsils | neg | n.d. | neg | n.d. | neg | n.a. | 24.05 | + | neg | n.d. | Debris in the crypts, epithelium, necrotic area, endothelium |
| Bursa of Fabricius | neg | n.d. | neg | n.d. | neg | n.a. | 22.25 | − | neg | n.a. | n.a. |
| Brain | neg | n.d. | neg | n.d. | neg | n.d. | 19.88 | + | neg | n.d. | Neurons, glial cells, ependymal |
Publisher’s Note: MDPI stays neutral with regard to jurisdictional claims in published maps and institutional affiliations. |
© 2022 by the authors. Licensee MDPI, Basel, Switzerland. This article is an open access article distributed under the terms and conditions of the Creative Commons Attribution (CC BY) license (https://creativecommons.org/licenses/by/4.0/).
Share and Cite
Gobbo, F.; Zanardello, C.; Bottinelli, M.; Budai, J.; Bruno, F.; De Nardi, R.; Patregnani, T.; Catania, S.; Terregino, C. Silent Infection of Highly Pathogenic Avian Influenza Virus (H5N1) Clade 2.3.4.4b in a Commercial Chicken Broiler Flock in Italy. Viruses 2022, 14, 1600. https://doi.org/10.3390/v14081600
Gobbo F, Zanardello C, Bottinelli M, Budai J, Bruno F, De Nardi R, Patregnani T, Catania S, Terregino C. Silent Infection of Highly Pathogenic Avian Influenza Virus (H5N1) Clade 2.3.4.4b in a Commercial Chicken Broiler Flock in Italy. Viruses. 2022; 14(8):1600. https://doi.org/10.3390/v14081600
Chicago/Turabian StyleGobbo, Federica, Claudia Zanardello, Marco Bottinelli, Jane Budai, Francesca Bruno, Roberta De Nardi, Tommaso Patregnani, Salvatore Catania, and Calogero Terregino. 2022. "Silent Infection of Highly Pathogenic Avian Influenza Virus (H5N1) Clade 2.3.4.4b in a Commercial Chicken Broiler Flock in Italy" Viruses 14, no. 8: 1600. https://doi.org/10.3390/v14081600
APA StyleGobbo, F., Zanardello, C., Bottinelli, M., Budai, J., Bruno, F., De Nardi, R., Patregnani, T., Catania, S., & Terregino, C. (2022). Silent Infection of Highly Pathogenic Avian Influenza Virus (H5N1) Clade 2.3.4.4b in a Commercial Chicken Broiler Flock in Italy. Viruses, 14(8), 1600. https://doi.org/10.3390/v14081600

