Self-Repairing Herpesvirus Saimiri Deletion Variants
Abstract
1. Introduction
2. Materials and Methods
2.1. Generation of Self-Repairing BACs
2.2. Generation of Self-Repairing Minimal Variant BACs
2.3. Cell Culture, Replication Kinetics and Titration
2.4. PCR Monitoring of the Self-Repair
2.5. Transduction and Cultivation of Native and Transformed Human T Cells
2.6. Apoptosis Induction in Transformed Human T Cells and Flow Cytometry Data
2.7. ORF9-Specific Realtime PCR and HVS Genome Copy-Number Quantitation
3. Results
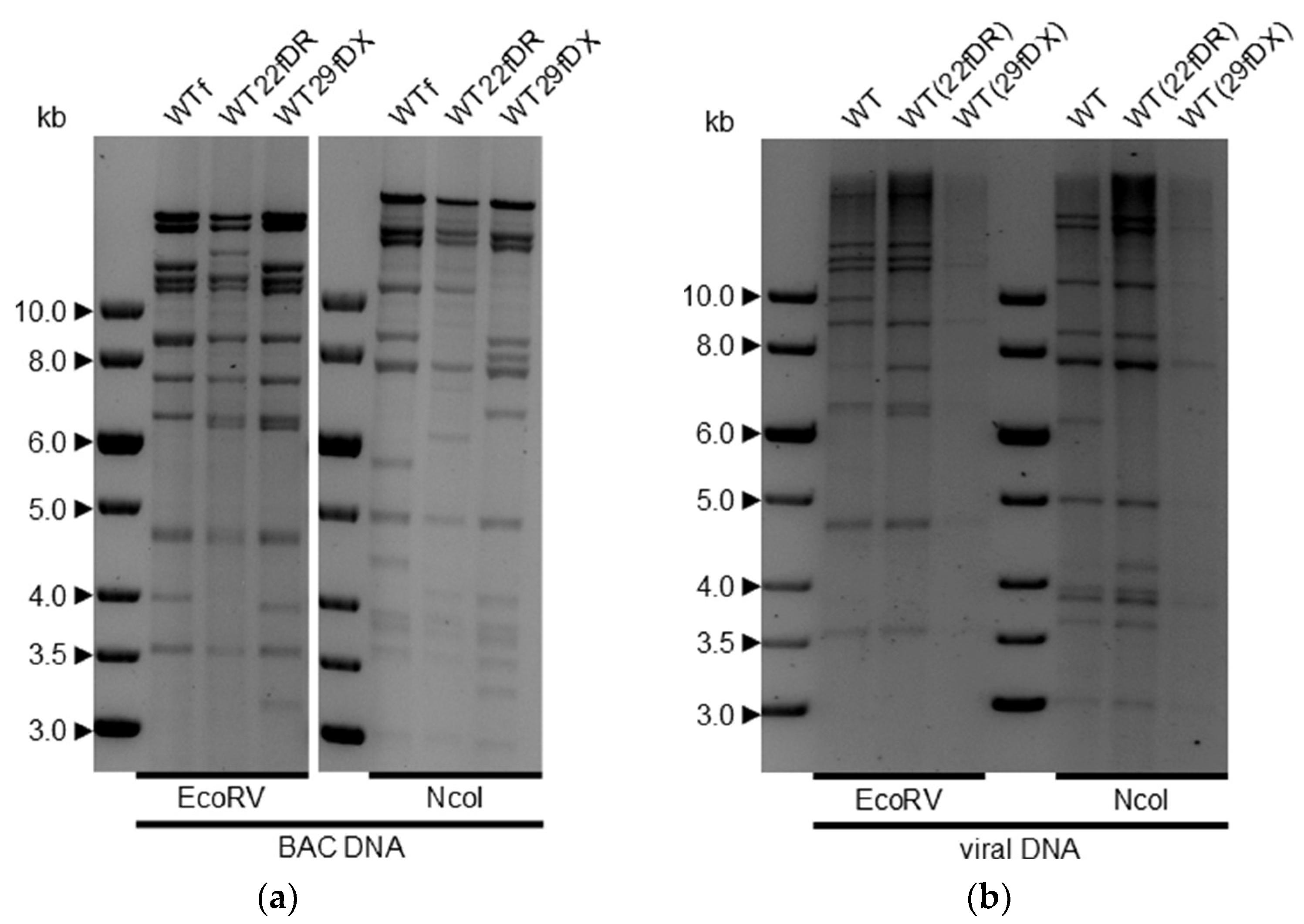
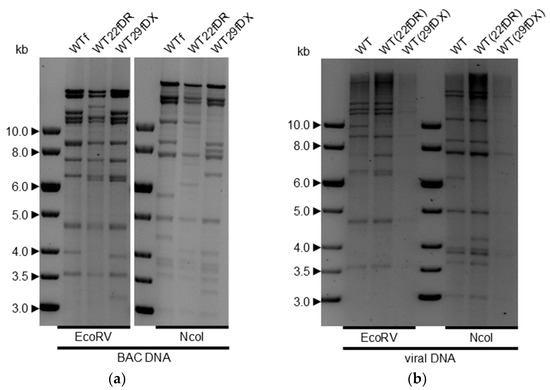
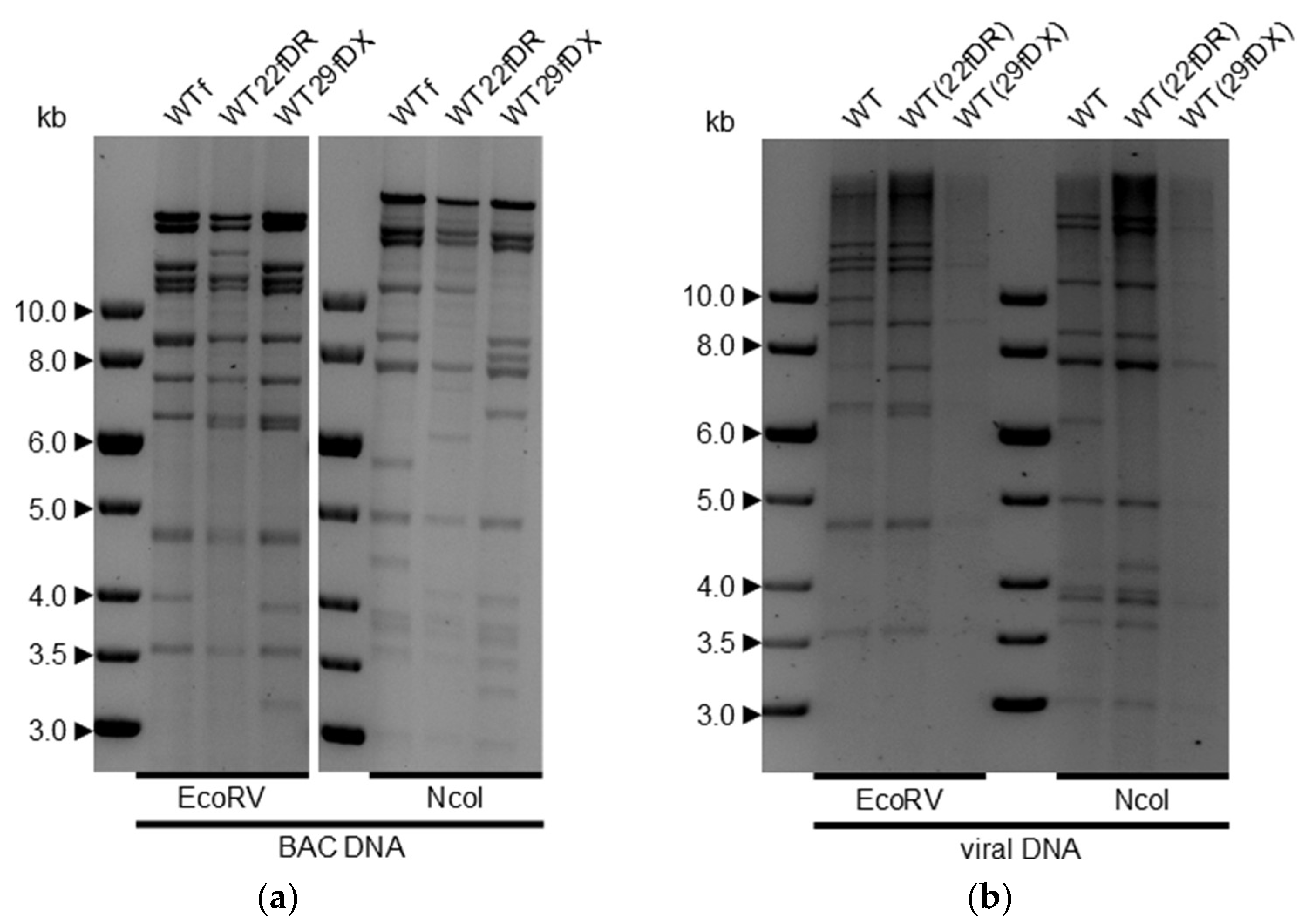
3.1. Self-Repair of Wild-Type Virus Variants WT29fDX and WT22fDR
3.2. Self-Repairing Deletion and Reporter Variants
3.3. Average Copy Numbers per Cell and Apoptosis Induction in Human T Cells Transformed with Self-Repairing HVS Deletion Variants
4. Discussion
Supplementary Materials
Author Contributions
Funding
Institutional Review Board Statement
Informed Consent Statement
Data Availability Statement
Acknowledgments
Conflicts of Interest
References
- Meléndez, L.V.; Hunt, R.D.; Daniel, M.D.; García, F.G.; Fraser, C.E. Herpesvirus Saimiri. II. Experimentally Induced Malignant Lymphoma in Primates. Lab. Anim. Care 1969, 19, 378–386. [Google Scholar] [PubMed]
- Hunt, R.D.; Meléndez, L.V. Herpesvirus Infections of Non-human Primates: A Review. Lab. Anim. Care 1969, 19, 221–234. [Google Scholar] [PubMed]
- Meléndez, L.V.; Hunt, R.D.; Daniel, M.D.; Blake, B.J.; Garcia, F.G. Acute Lymphocytic Leukemia in Owl Monkeys Inoculated with Herpesvirus Saimiri. Science 1971, 171, 1161–1163. [Google Scholar] [CrossRef] [PubMed]
- Medveczky, M.M.; Szomolanyi, E.; Hesselton, R.; DeGrand, D.; Geck, P.; Medveczky, P.G. Herpesvirus Saimiri Strains from Three DNA Subgroups Have Different Oncogenic Potentials in New Zealand White Rabbits. J. Virol. 1989, 63, 3601–3611. [Google Scholar] [CrossRef]
- Desrosiers, R.C.; Kamine, J.; Bakker, A.; Silva, D.; Woychik, R.P.; Sakai, D.D.; Rottman, F.M. Synthesis of Bovine Growth Hormone in Primates by Using a Herpesvirus Vector. Mol. Cell. Biol. 1985, 10, 2796–2803. [Google Scholar] [CrossRef]
- Kiyotaki, M.; Desrosiers, R.C.; Letvin, N.L. Herpesvirus saimiri strain 11 Immortailzes a Restricted Marmoset T8 Lymphocyte Subpopulation In Vitro. J. Exp. Med. 1986, 164, 926–931. [Google Scholar] [CrossRef]
- Schirm, S.; Müller, I.; Desrosiers, R.C.; Fleckenstein, B. Herpesvirus Saimiri DNA in a Lymphoid Cell Line Established by In Vitro Transformation. J. Virol. 1984, 49, 938–946. [Google Scholar] [CrossRef]
- Biesinger, B.; Müller-Fleckenstein, I.; Simmer, B.; Lang, G.; Wittmann, S.; Platzer, E.; Desrosiers, R.C.; Fleckenstein, B. Stable Growth Transformation of Human T Lymphocytes by Herpesvirus Saimiri. Proc. Natl. Acad. Sci. USA 1992, 89, 3116–3119. [Google Scholar] [CrossRef]
- Fickenscher, H.; Fleckenstein, B. Herpesvirus Saimiri. Philos. Trans. R. Soc. Lond. B Biol. Sci. 2001, 356, 545–567. [Google Scholar] [CrossRef]
- Heyn, I. Optimisation of Rhadinoviral Vectors. Ph.D. Thesis, Christian-Albrecht University, Kiel, Germany, 2022. in submission. [Google Scholar]
- Collins, C.M.; Medveczky, M.M.; Lund, T.; Medveczky, P.G. The Terminal Repeats and Latency-Associated Nuclear Antigen of Herpesvirus Saimiri Are Essential for Episomal Persistence of the Viral Genome. J. Gen. Virol. 2002, 83, 2269–2278. [Google Scholar] [CrossRef][Green Version]
- Verma, S.C.; Robertson, E.S. ORF73 of Herpesvirus Saimiri Strain C488 Tethers the Viral Genome to Metaphase Chromosomes and Binds to Cis-Acting DNA Sequences in the Terminal Repeats. J. Virol. 2003, 77, 12494–12506. [Google Scholar] [CrossRef] [PubMed]
- White, R.E.; Calderwood, M.A.; Whitehouse, A. Generation and Precise Modification of a Herpesvirus Saimiri Bacterial Artificial Chromosome Demonstrates That the Terminal Repeats Are Required for Both Virus Production and Episomal Persistence. J. Gen. Virol. 2003, 84, 3393–3403. [Google Scholar] [CrossRef]
- Albrecht, J.-C.; Nicholas, J.; Biller, D.; Cameron, K.R.; Biesinger, B.; Newman, C.; Wittmann, S.; Craxton, M.A.; Coleman, H.; Fleckenstein, B.; et al. Primary Structure of the Herpesvirus Saimiri Genome. J. Virol. 1992, 66, 5047–5058. [Google Scholar] [CrossRef] [PubMed]
- Fleckenstein, B.; Desrosiers, R.C. Herpesvirus saimiri and Herpesvirus ateles. In The Herpesviruses; Roizman, B., Ed.; Plenum Press: New York, NY, USA, 1982; Volume 1, pp. 253–332. [Google Scholar]
- Messerle, M.; Crnkovic, I.; Hammerschmidt, W.; Ziegler, H.; Koszinowski, U.H. Cloning and Mutagenesis of a Herpesvirus Genome as an Infectious Bacterial Artificial Chromosme. Proc. Natl. Acad. Sci. USA 1997, 94, 14759–14763. [Google Scholar] [CrossRef] [PubMed]
- Tischer, B.K.; Von Einem, J.; Kaufer, B.; Osterrieder, N. Two-Step Red-Mediated Recombination for Versatile High-Efficiency Markerless DNA Manipulation in Escherichia coli. Biotechniques 2006, 40, 191–197. [Google Scholar] [CrossRef] [PubMed]
- Tischer, B.K.; Kaufer, B.B.; Sommer, M.; Wussow, F.; Arvin, A.M.; Osterrieder, N. A Self-Excisable Infectious Bacterial Artificial Chromosome Clone of Varicella-Zoster Virus Allows Analysis of the Essential Tegument Protein Encoded by ORF9. J. Virol. 2007, 81, 13200–13208. [Google Scholar] [CrossRef]
- Wussow, F.; Fickenscher, H.; Tischer, B.K. Red-Mediated Transposition and Final Release of the Mini-f Vector of a Cloned Infectious Herpesvirus Genome. PLoS ONE 2009, 4, e8178. [Google Scholar] [CrossRef]
- Gompels, U.A.; Craxton, M.A.; Honess, R.W. Conservation of Glycoprotein H (gH) in Herpesviruses: Nucleotide Sequence of the gH Gene from Herpesvirus Saimiri. J. Gen. Virol. 1988, 69, 2819–2829. [Google Scholar] [CrossRef]
- Ensser, A.; Thurau, M.; Wittmann, S.; Fickenscher, H. The Genome of Herpesvirus Saimiri C488 Which Is Capable of Transforming Human T Cells. Virology 2003, 314, 471–487. [Google Scholar] [CrossRef]
- Spear, P.G.; Longnecker, R. Herpesvirus Entry: An Update. J. Virol. 2003, 77, 10179–10185. [Google Scholar] [CrossRef]
- Marta, N.; Mas, P.J.; Blanco, A.G.; Arnan, C.; Solà, M.; Hart, D.J.; Coll, M. Structure and Inhibition of Herpesvirus DNA Packaging Terminase Nuclease Domain. Proc. Natl. Acad. Sci. USA 2010, 107, 16078–16083. [Google Scholar] [CrossRef]
- Heming, J.D.; Conway, J.F.; Homa, F.L. Herpesvirus Capsid Assembly and DNA Packaging. Adv. Anat. Embryol. Cell Biol. 2017, 223, 119–142. [Google Scholar] [CrossRef] [PubMed]
- Lee, E.C.; Yu, D.; Martinez de Velasco, J.; Tessarollo, L.; Swing, D.A.; Court, D.L.; Jenkins, N.A.; Copeland, N.G. A highly efficient Escherichia coli-based chromosome engineering system adapted for recombinogenic targeting and subcloning of BAC DNA. Genomics 2001, 73, 56–65. [Google Scholar] [CrossRef]
- Toptan, T. Rhadinovirus Vector-Mediated Transgene Expression and Regulation. Ph.D. Thesis, Ruprecht-Karl University, Heidelberg, Germany, 2010. [Google Scholar]
- Heyn, I. Self-Repairing Seamless Rhadinovirus Vector for Antigen Redirection of T Cells. Master’s Thesis, Christian-Albrecht University, Kiel, Germany, 2015. [Google Scholar]
- Calculator for Determining the Number of Copies of a Template. Available online: Cels.uri.edu/gsc/cndna.html (accessed on 24 June 2022).
- Full, F.; Reuter, N.; Zielke, K.; Stamminger, T.; Ensser, A. Herpesvirus Saimiri Antagonizes Nuclear Domain 10-Instituted Intrinsic Immunity via an ORF3-Mediated Selective Degradation of Cellular Protein Sp100. J. Virol. 2012, 86, 3541–3553. [Google Scholar] [CrossRef]
- Glykofrydes, D.; Niphuis, H.; Kuhn, E.M.; Rosenwirth, B.; Heeney, J.L.; Bruder, J.; Niedobitek, G.; Müller-Fleckenstein, I.; Fleckenstein, B.; Ensser, A. Herpesvirus Saimiri vFLIP Provides an Antiapoptotic Function but Is Not Essential for Viral Replication, Transformation, or Pathogenicity. J. Virol. 2000, 74, 11919–11927. [Google Scholar] [CrossRef][Green Version]
- Knappe, A.; Hiller, C.; Thurau, M.; Wittmann, S.; Hofmann, H.; Fleckenstein, B.; Fickenscher, H. The Superantigen-Homologous Viral Immediate-Early Gene Ie14/Vsag in Herpesvirus Saimiri-Transformed Human T Cells. J. Virol. 1997, 71, 9124–9133. [Google Scholar] [CrossRef] [PubMed]
- Knappe, A.; Hiller, C.; Niphuis, H.; Fossiez, F.; Thurau, M.; Wittmann, S.; Kuhn, E.-M.; Lebecque, S.; Banchereau, J.; Rosenwirth, B.; et al. The Interleukin-17 Gene of Herpesvirus Saimiri. J. Virol. 1998, 72, 5797–5801. [Google Scholar] [CrossRef] [PubMed]
- Stevenson, A.J.; Cooper, M.; Griffiths, J.C.; Gibson, P.C.; Whitehouse, A.; Jones, E.F.; Markham, A.F.; Kinsey, S.E.; Meredith, D.M. Assessment of Herpesvirus Saimiri as a Potential Human Gene Therapy Vector. J. Med. Virol. 1999, 57, 269–277. [Google Scholar] [CrossRef]
- Zingler, P. Deletion of Antiapoptotic Genes by Multi-step Homologous Recombination and its Effect on the Replication of Self-repairing Rhadinovirus Vectors. Master’s Thesis, Christian-Albrecht University, Kiel, Germany, 2015. [Google Scholar]
- Grassmann, R.; Fleckenstein, B. Selectable Recombinant Herpesvirus Saimiri Is Capable of Persisting in a Human T-Cell Line. J. Virol. 1989, 63, 1818–1821. [Google Scholar] [CrossRef]
- Stevenson, A.J.; Frolova-Jones, E.; Hall, K.T.; Kinsey, S.E.; Markham, A.F.; Whitehouse, A.; Meredith, D.M. A Herpesvirus Saimiri-Based Gene Therapy Vector with Potential for Use in Cancer Immunotherapy. Cancer Gene Ther. 2000, 7, 1077–1085. [Google Scholar] [CrossRef]
- Knappe, A.; Feldmann, G.; Dittmer, U.; Meinl, E.; Nisslein, T.; Wittmann, S.; Mätz-Rensing, K.; Kirchner, T.; Bodemer, W.; Fickenscher, H. Herpesvirus Saimiri-Transformed Macaque T Cells Are Tolerated and Do Not Cause Lymphoma after Autologous Reinfusion. Blood 2000, 95, 3256–3261. [Google Scholar] [CrossRef] [PubMed]
- Ginn, S.L.; Alexander, I.E.; Edelstein, M.L.; Abedi, M.R.; Wixon, J. Gene Therapy Clinical Trials Worldwide to 2012—An Update. J. Gene Med. 2013, 15, 65–77. [Google Scholar] [CrossRef] [PubMed]
- Hacein-Bey-Abina, S.; von Kalle, C.; Schmidt, M.; Le Deist, F.; Wulffraat, N.; McIntyre, E.; Radford, I.; Villeval, J.-L.; Fraser, C.C.; Cavazzana-Calvo, M.; et al. A Serious Adverse Event after Successful Gene Therapy for X-Linked Severe Combined Immunodeficiency. N. Engl. J. Med. 2003, 348, 255–256. [Google Scholar] [CrossRef] [PubMed]
- Hacein-Bey-Abina, S.; von Kalle, C.; Schmidt, M.; McCormack, M.P.; Wulfraat, N.; Leboulch, P.; Lim, A.; Osborne, C.S.; Pawliuk, R.; Morillon, E.; et al. LMO2-Associated Clonal T Cell Proliferation in Two Patients after Gene Therapy for SCID-X1. Science 2003, 302, 415–419. [Google Scholar] [CrossRef] [PubMed]
- Gene Therapy Needs A Long-Term Approach. Nat. Med. 2021, 27, 563. [CrossRef] [PubMed]
- Laufs, S.; Nagy, K.Z.; Giordano, F.A.; Hotz-Wagenblatt, A.; Zeller, W.J.; Fruehauf, S. Insertion of Retroviral Vectors in NOD/SCID Repopulating Human Peripheral Blood Progenitor Cells Occurs Preferentially in the Vicinity of Transcription Start Regions and in Introns. Mol. Ther. 2004, 10, 874–881. [Google Scholar] [CrossRef]
- Earl, C.; Bagnéris, C.; Zeman, K.; Cole, A.; Barrett, T.; Savva, R. A Structurally Conserved Motif in γ-Herpesvirus Uracil-DNA Glycosylases Elicits Duplex Nucleotide-Flipping. Nucleic Acids Res. 2018, 46, 4286–4300. [Google Scholar] [CrossRef]
- Brunnemann, A.-K. Aciclovir Resistance Phenotype of Clinical Isolates Proven by Targeted Mutagenesis of Recombinant Herpes Simplex and Varicella Zoster Viruses. Ph.D. Thesis, Christian-Albrecht University, Kiel, Germany, 2016. [Google Scholar]
- Cannon, J.S.; Hamzeh, F.; Moore, S.; Nicholas, J.; Ambinder, R.F. Human Herpesvirus 8-Encoded Thymidine Kinase and Phosphotransferase Homologues Confer Sensitivity to Ganciclovir. J. Virol. 1999, 73, 4786–4793. [Google Scholar] [CrossRef]
- Cornick, J.; Martens, J.; Martens, R.; Crandell, R.; McConnell, S.; Kit, S. Safety and Efficacy of a Thymidine Kinase Negative Equine Herpesvirus-1 Vaccine in Young Horses. Can. J. Vet. Res. 1990, 54, 260–266. [Google Scholar]
- Costes, B.; Fournier, G.; Michel, B.; Delforge, C.; Raj, V.S.; Dewals, B.; Gillet, L.; Drion, P.; Body, A.; Schynts, F.; et al. Cloning of the Koi Herpesvirus Genome as an Infectious Bacterial Artificial Chromosome Demonstrates That Disruption of the Thymidine Kinase Locus Induces Partial Attenuation in Cyprinus Carpio Koi. J. Virol. 2008, 82, 4955–4964. [Google Scholar] [CrossRef]
- Xie, Y.; Wu, L.; Wang, M.; Cheng, A.; Yang, Q.; Wu, Y.; Jia, R.; Zhu, D.; Zhao, X.; Chen, S.; et al. Alpha-Herpesvirus Thymidine Kinase Genes Mediate Viral Virulence and Are Potential Therapeutic Targets. Front. Microbiol. 2019, 10, 1–17. [Google Scholar] [CrossRef] [PubMed]
- Hiller, C.; Tamgüney, G.; Stolte, N.; Mätz-Rensing, K.; Lorenzen, D.; Hör, S.; Thurau, M.; Wittmann, S.; Slavin, S.; Fickenscher, H. Herpesvirus Saimiri Pathogenicity Enhanced by Thymidine Kinase of Herpes Simplex Virus. Virology 2000, 278, 445–455. [Google Scholar] [CrossRef] [PubMed]
- Nava, V.E.; Cheng, E.H.Y.; Veliuona, M.; Zou, S.; Clem, R.J.; Mayer, M.L.; Hardwick, J.M. Herpesvirus Saimiri Encodes a Functional Homolog of the Human Bcl-2 Oncogene. J. Virol. 1997, 71, 4118–4122. [Google Scholar] [CrossRef] [PubMed]
- Desrosiers, R.C.; Burghoff, R.L.; Bakker, A.; Kamine, J. Construction of Replication-Competent Herpesvirus Saimiri Deletion Mutants. J. Virol. 1984, 49, 343–348. [Google Scholar] [CrossRef] [PubMed]
- Jung, J.U.; Choi, J.; Ensser, A.; Biesinger, B. Herpesvirus Saimiri as a Model for Gammaherpesvirus Oncogenesis. Semin. Cancer Biol. 1999, 9, 231–239. [Google Scholar] [CrossRef]
- Turrell, S.J.; Macnab, S.A.; Rose, A.; Melcher, A.A.; Whitehouse, A. A Herpesvirus Saimiri-Based Vector Expressing TRAIL Induces Cell Death in Human Carcinoma Cell Lines and Multicellular Spheroid Cultures. Int. J. Oncol. 2012, 40, 2081–2089. [Google Scholar] [CrossRef]
- Calderwood, M.; White, R.E.; Griffiths, R.A.; Whitehouse, A. Open Reading Frame 73 Is Required for Herpesvirus Saimiri A11-S4 Episomal Persistence. J. Gen. Virol. 2005, 86, 2703–2708. [Google Scholar] [CrossRef]
- Schäfer, A.; Lengenfelder, D.; Grillhösl, C.; Wieser, C.; Fleckenstein, B.; Ensser, A. The Latency-Associated Nuclear Antigen Homolog of Herpesvirus Saimiri Inhibits Lytic Virus Replication. J. Virol. 2003, 77, 5911–5925. [Google Scholar] [CrossRef]
- Kraft, M.S.; Henning, G.; Fickenscher, H.; Lengenfelder, D.; Tschopp, J.; Fleckenstein, B.; Meinl, E. Herpesvirus Saimiri Transforms Human T-Cell Clones to Stable Growth without Inducing Resistance to Apoptosis. J. Virol. 1998, 72, 3138–3145. [Google Scholar] [CrossRef]
- Wade-Martins, R.; White, R.E.; Kimura, H.; Cook, P.R.; James, M.R. Stable Correction of a Genetic Deficiency in Human Cells by an Episome Carrying a 115 Kb Genomic Transgene. Nat. Biotechnol. 2000, 18, 1311–1314. [Google Scholar] [CrossRef]





| WT | Self-Repaired WT(29fDX), p10 | ||||
|---|---|---|---|---|---|
| Site of Alteration | ORF | Exchange Frequency (% of Reads) | Site of Alteration | ORF | Exchange Frequency (% of Reads) |
| 46,379 G > A Leu216Leu | ORF26, capsid protein VP23 | 32 | |||
| 55,412 T > G Leu402Leu | ORF36, protein kinase | 30 | |||
| 66,446 C > T Asp65Asn | ORF46, DNA glycosylase | 100 | 66,446 C > T Asp65Asn | ORF46, DNA glycosylase | 100 |
| 66,884 G > A Ala50Val | ORF47, glycoprotein L | 50 | 66,884 G > A Ala50Val | ORF47, glycoprotein L | 50 |
| 106,869 C > T Gly149Glu | ORF73, LANA homolog | 22 | 106,869 C > T Gly149Glu | ORF73, LANA homolog | 36 |
| 106,872 T > C Glu148Gly | ORF73, LANA homolog | 30 | |||
| ORF | Function/Protein [21] | Essential for | Size (kb) | Source |
|---|---|---|---|---|
| 1 | stpC/Tip | transformation | 1.4 | [51,52] |
| 3 | vFGARAT, induction of proteosomal degradation of Sp100 | 3.7 | [29] | |
| 4 | complement control protein CCPH | 1.0 | [33] | |
| 11 | homolog to Raji LF2 of Epstein Barr virus | 1.2 | [32] | |
| 12 | putative regulatory function | 0.5 | [32] | |
| 13 | viral interleukin 17 | 0.5 | [32] | |
| 14 | viral superantigen | 0.8 | [31,32] | |
| 15 | complement control protein, viral CD59 | 0.4 | [53] | |
| 16 | viral Bcl-2, apoptosis inhibition | 0.5 | [33] | |
| 21 | thymidine kinase | 0.9 | ||
| 45 | unknown | replication | 0.8 | |
| 49 | unknown | replication | 0.9 | |
| 52 | unknown | replication | 0.3 | |
| 62 | probable capsid assembly and maturation protein | (replication) | 1.0 | |
| 63 | tegument protein, NLR homolog | (replication) | 2.7 | |
| 64 | large tegument protein | replication | 7.4 | |
| 69 | unknown | replication | 0.8 | |
| 70 | thymidylate synthase | replication | 0.9 | |
| 71 | viral FLICE interacting protein, apoptosis inhibition | 0.5 | [30] | |
| 72 | viral cyclin, inhibition of cell cycle arrest | 0.8 | [54] | |
| 73 | latency-associated nuclear antigen homolog | persistence in proliferating cells | 1.5 | [54] |
| 74 | constitutively active G-protein coupled receptor | 1.0 | [52,55] | |
| 75 | vFGARAT | 3.9 | [26] |
Publisher’s Note: MDPI stays neutral with regard to jurisdictional claims in published maps and institutional affiliations. |
© 2022 by the authors. Licensee MDPI, Basel, Switzerland. This article is an open access article distributed under the terms and conditions of the Creative Commons Attribution (CC BY) license (https://creativecommons.org/licenses/by/4.0/).
Share and Cite
Heyn, I.; Bremer, L.; Zingler, P.; Fickenscher, H. Self-Repairing Herpesvirus Saimiri Deletion Variants. Viruses 2022, 14, 1525. https://doi.org/10.3390/v14071525
Heyn I, Bremer L, Zingler P, Fickenscher H. Self-Repairing Herpesvirus Saimiri Deletion Variants. Viruses. 2022; 14(7):1525. https://doi.org/10.3390/v14071525
Chicago/Turabian StyleHeyn, Ines, Linda Bremer, Philipp Zingler, and Helmut Fickenscher. 2022. "Self-Repairing Herpesvirus Saimiri Deletion Variants" Viruses 14, no. 7: 1525. https://doi.org/10.3390/v14071525
APA StyleHeyn, I., Bremer, L., Zingler, P., & Fickenscher, H. (2022). Self-Repairing Herpesvirus Saimiri Deletion Variants. Viruses, 14(7), 1525. https://doi.org/10.3390/v14071525
