Prenatal Diagnosis of Congenital Lymphocytic Choriomeningitis Virus Infection: A Case Report
Abstract
1. Introduction
2. Materials and Methods
2.1. Patient Consent
2.2. Imaging
2.3. Sample Collection and Microbiological Investigation
2.4. Genetic Investigations
2.5. Placental and Fetal Examination
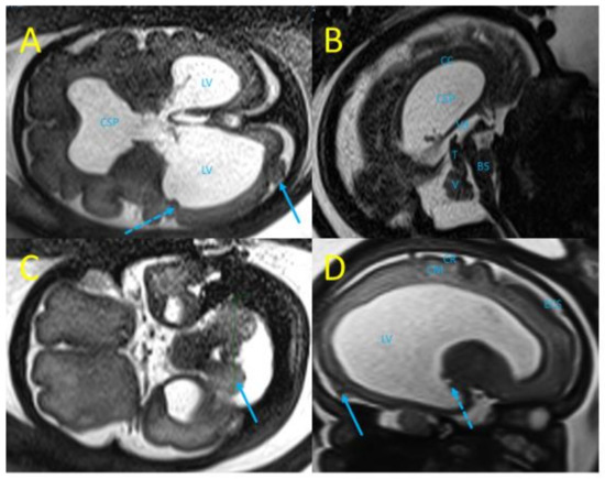
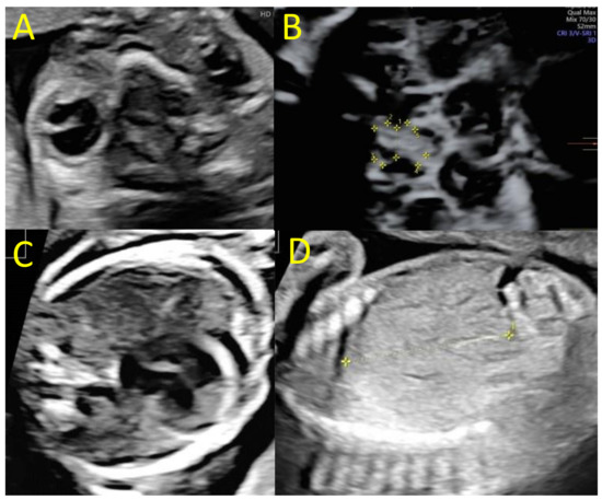
3. Case Report
4. Discussion
5. Conclusions
Author Contributions
Funding
Institutional Review Board Statement
Informed Consent Statement
Data Availability Statement
Conflicts of Interest
References
- Armstrong, C.; Lillie, R.D. Experimental Lymphocytic Choriomeningitis of Monkeys and Mice Produced by a Virus Encountered in Studies of the 1933 St. Louis Encephalitis Epidemic. Public Health Rep. 1934, 49, 1019. [Google Scholar] [CrossRef]
- Jamieson, D.J.; Kourtis, A.P.; Bell, M.; Rasmussen, S.A. Lymphocytic choriomeningitis virus: An emerging obstetric pathogen? Am. J. Obstet. Gynecol. 2006, 194, 1532–1536. [Google Scholar] [CrossRef] [PubMed]
- Bonthius, D.J. Lymphocytic Choriomeningitis Virus: A Prenatal and Postnatal Threat. Adv. Pediatr. 2009, 56, 75–86. [Google Scholar] [CrossRef] [PubMed]
- Barton, L.L.; Mets, M.B. Congenital Lymphocytic Choriomeningitis Virus Infection: Decade of Rediscovery. Clin. Infect. Dis. 2001, 33, 370–374. [Google Scholar] [CrossRef] [PubMed]
- Anderson, J.L.; Levy, P.T.; Leonard, K.B.; Smyser, C.D.; Tychsen, L.; Cole, F.S. Congenital lymphocytic choriomeningitis virus: When to consider the diagnosis. J. Child Neurol. 2014, 29, 837–842. [Google Scholar] [CrossRef]
- Delaine, M.; Weingertner, A.-S.; Nougairede, A.; Lepiller, Q.; Fafi-Kremer, S.; Favre, R.; Charrel, R. Microcephaly Caused by Lymphocytic Choriomeningitis Virus. Emerg. Infect. Dis. 2017, 23, 1548–1550. [Google Scholar] [CrossRef]
- Emonet, S.; Retornaz, K.; Gonzalez, J.-P.; De Lamballerie, X.; Charrel, R.N. Mouse-to-Human Transmission of Variant Lymphocytic Choriomeningitis Virus. Emerg. Infect. Dis. 2007, 13, 472–475. [Google Scholar] [CrossRef]
- Palacios, G.; Druce, J.; Du, L.; Tran, T.; Birch, C.; Briese, T.; Conlan, S.; Quan, P.-L.; Hui, J.; Marshall, J.; et al. A New Arenavirus in a Cluster of Fatal Transplant-Associated Diseases. N. Engl. J. Med. 2008, 358, 991–998. [Google Scholar] [CrossRef]
- Hickerson, B.T.; Westover, J.B.; Jung, K.-H.; Komeno, T.; Furuta, Y.; Gowen, B.B. Effective Treatment of Experimental Lymphocytic Choriomeningitis Virus Infection: Consideration of Favipiravir for Use with Infected Organ Transplant Recipients. J. Infect. Dis. 2018, 218, 522–527. [Google Scholar] [CrossRef]
- Bonthius, D.J. Lymphocytic Choriomeningitis Virus: An Underrecognized Cause of Neurologic Disease in the Fetus, Child, and Adult. Semin. Pediatr. Neurol. 2012, 19, 89–95. [Google Scholar] [CrossRef]
- Cordey, S.; Sahli, R.; Moraz, M.-L.; Estrade, C.; Morandi, L.; Cherpillod, P.; Charrel, R.N.; Kunz, S.; Kaiser, L. Analytical validation of a lymphocytic choriomeningitis virus real-time RT-PCR assay. J. Virol. Methods 2011, 177, 118–122. [Google Scholar] [CrossRef]
- Vilibic-Cavlek, T.; Oreski, T.; Korva, M.; Kolaric, B.; Stevanovic, V.; Zidovec-Lepej, S.; Tabain, I.; Jelicic, P.; Miklausic-Pavic, B.; Savic, V.; et al. Prevalence and Risk Factors for Lymphocytic Choriomeningitis Virus Infection in Continental Croatian Regions. Trop. Med. Infect. Dis. 2021, 6, 67. [Google Scholar] [CrossRef]
- Pencole, L.; Sibiude, J.; Weingertner, A.S.; Mandelbrot, L.; Vauloup-Fellous, C.; Picone, O. Congenital lymphocytic choriomeningitis virus: A review. Prenat. Diagn. 2022, 42, 1059–1069. [Google Scholar] [CrossRef]
- Enninga, E.A.L.; Theiler, R.N. Lymphocytic Choriomeningitis Virus Infection Demonstrates Higher Replicative Capacity and Decreased Antiviral Response in the First-Trimester Placenta. J. Immunol. Res. 2019, 2019, 7375217. [Google Scholar] [CrossRef]
- Welsh, R.M.; Seedhom, M.O. LCMV: Propagation, quantitation, and storage. Curr. Protoc. Microbiol. 2008, 8, 15A-1. [Google Scholar] [CrossRef]
- Zapata, J.C.; Pauza, C.D.; Djavani, M.M.; Rodas, J.D.; Moshkoff, D.; Bryant, J.; Ateh, E.; Garcia, C.; Lukashevich, I.S.; Salvato, M.S. Lymphocytic choriomeningitis virus (LCMV) infection of macaques: A model for Lassa fever. Antivir. Res. 2011, 92, 125–138. [Google Scholar] [CrossRef]
- Bonthius, D.J.; Wright, R.; Tseng, B.; Barton, L.; Marco, E.; Karacay, B.; Larsen, P.D. Congenital lymphocytic choriomeningitis virus infection: Spectrum of disease. Ann. Neurol. 2007, 62, 347–355. [Google Scholar] [CrossRef]
- Bonthius, D.J.; Nichols, B.; Harb, H.; Mahoney, J.; Karacay, B. Lymphocytic choriomeningitis virus infection of the developing brain: Critical role of host age. Ann. Neurol. 2007, 62, 356–374. [Google Scholar] [CrossRef]
- Wright, R.; Johnson, D.; Neumann, M.; Ksiazek, T.G.; Rollin, P.; Keech, R.V.; Bonthius, D.J.; Hitchon, P.; Grose, C.; Bell, W.E.; et al. Congenital Lymphocytic Choriomeningitis Virus Syndrome: A Disease That Mimics Congenital Toxoplasmosis or Cytomegalovirus Infection. Pediatrics 1997, 100, e9. [Google Scholar] [CrossRef]
- Sheinbergas, M. Hydrocephalus due to prenatal infection with the lymphocytic choriomeningitis virus. Infection 1976, 4, 185–191. [Google Scholar] [CrossRef]
- Lehmann-Grube, F.; Kallay, M.; Ibscher, B.; Schwartz, R. Serologic diagnosis of human infections with lymphocytic choriomeningitis virus: Comparative evaluation of seven methods. J. Med. Virol. 1979, 4, 125–136. [Google Scholar] [CrossRef] [PubMed]
- Papageorghiou, A.T.; Ohuma, E.O.; Altman, D.G.; Todros, T.; Ismail, L.C.; Lambert, A.; Jaffer, Y.A.; Bertino, E.; Gravett, M.G.; Purwar, M.; et al. International standards for fetal growth based on serial ultrasound measurements: The Fetal Growth Longitudinal Study of the INTERGROWTH-21st Project. Lancet 2014, 384, 869–879. [Google Scholar] [CrossRef]
- Stirnemann, J.; Villar, J.; Salomon, L.J.; Ohuma, E.; Ruyan, P.; Altman, D.G.; Nosten, F.; Craik, R.; Munim, S.; Ismail, L.C.; et al. International estimated fetal weight standards of the INTERGROWTH-21st Project. Ultrasound Obstet. Gynecol. 2017, 49, 478–486. [Google Scholar] [CrossRef] [PubMed]
- Lindholm, K.; O’Keefe, M. Placental Cytomegalovirus Infection. Arch. Pathol. Lab. Med. 2018, 143, 639–642. [Google Scholar] [CrossRef] [PubMed]
- Prefumo, F.; Fichera, A.; Fratelli, N.; Sartori, E. Fetal anemia: Diagnosis and management. Best Prac. Res. Clin. Obstet. Gynaecol. 2019, 58, 2–14. [Google Scholar] [CrossRef]
- Abbasi, N.; Johnson, J.A.; Ryan, G. Fetal anemia. Ultrasound Obstet. Gynecol. 2017, 50, 145–153. [Google Scholar] [CrossRef]
- Arruda, V.R.; Rossi, C.L.; Nogueira, E.; Annicchino-Bizzacchi, J.M.; Costa, F.F.; Costa, S.C. Cytomegalovirus Infection as Cause of Severe Thrombocytopenia in a Nonimmunosuppressed Patient. Acta Haematol. 1997, 98, 228–230. [Google Scholar] [CrossRef]
- Delaine, M.; Weingertner, A.-S.; Nougairede, A.; Lepiller, Q.; Fafi-Kremer, S.; Favre, R.; Charrel, R. Congenital Lymphocytic Choriomeningitis Virus: A Case of Prenatal Diagnosis. J. Ultrasound Med. 2017, 37, 804–806. [Google Scholar] [CrossRef]
- Meritet, J.F.; Krivine, A.; Lewin, F.; Poissonnier, M.H.; Poizat, R.; Loget, P.; Rozenberg, F.; Lebon, P. A case of congenital lymphocytic choriomeningitis virus (LCMV) infection revealed by hydrops fetalis. Prenat. Diagn. 2009, 29, 626–627. [Google Scholar] [CrossRef]
- Alburkat, H.; Jääskeläinen, A.J.; Barakat, A.M.; Hasony, H.J.; Sironen, T.; Al-Hello, H.; Smura, T.; Vapalahti, O. Lymphocytic choriomeningitis virus infections and seroprevalence, Southern Iraq. Emerg. Infect. Dis. 2020, 26, 3002. [Google Scholar] [CrossRef]
- Mets, M.B.; Barton, L.L.; Khan, A.S.; Ksiazek, T.G. Lymphocytic choriomeningitis virus: An underdiagnosed cause of congenital chorioretinitis. Am. J. Ophthalmol. 2000, 130, 209–215. [Google Scholar] [CrossRef]
- Kinori, M.; Schwartzstein, H.; Zeid, J.L.; Kurup, S.P.; Mets, M.B. Congenital lymphocytic choriomeningitis virus—An underdiagnosed fetal teratogen. J. Am. Assoc. Pediatr. Ophthalmol. Strabismus 2018, 22, 79–81.e1. [Google Scholar] [CrossRef]
- Yu, J.T.; Culican, S.M.; Tychsen, L. Aicardi-like Chorioretinitis and Maldevelopment of the Corpus Callosum in Congenital Lymphocytic Choriomeningitis Virus. J. Am. Assoc. Pediatr. Ophthalmol. Strabismus 2006, 10, 58–60. [Google Scholar] [CrossRef]
- Pomar, L.; Ochoa, J.; Cabet, S.; Huisman, T.A.G.M.; Paladini, D.; Klaritsch, P.; Galmiche, A.; Prayer, F.; Gacio, S.; Haratz, K.; et al. Prenatal diagnosis of Aicardi syndrome based on a suggestive imaging pattern: A multicenter case-series. Prenat. Diagn. 2022, 42, 484–494. [Google Scholar] [CrossRef]




| Sample | IgG Titer | IgM Titer |
|---|---|---|
| Fetal blood | Positive (1:128) | Positive (1:20) |
| Cerebrospinal fluid | Negative | Positive (1:16) |
| Finding | Retinopathy | Hydrocephaly | Microcephaly | Intracranial Calcifications | Myocarditis/Cardiac Manifestation | Systemic Manifestations | Anemia | Hydrops |
|---|---|---|---|---|---|---|---|---|
| LCMV | +++ | +++ | +++ | +++ | + | + | + | + |
| Toxoplasmosis | +++ | + | + | ++ | + | ++ | + | |
| Parvovirus B19 | + | ++ | ++ | + | ||||
| Rubella | + | + | + | +− | +++ | +++ | +− | |
| CMV | + | + | +++ | ++ | + | +++ | + | + |
| Syphilis | + | +− | ++ | + | + | |||
| Zika | + | + | +++ | +++ | + | + | + | +− |
| Aicardi–Goutières | + | + | +++ | + | ||||
| Aicardi | +++ | ++ | + |
Publisher’s Note: MDPI stays neutral with regard to jurisdictional claims in published maps and institutional affiliations. |
© 2022 by the authors. Licensee MDPI, Basel, Switzerland. This article is an open access article distributed under the terms and conditions of the Creative Commons Attribution (CC BY) license (https://creativecommons.org/licenses/by/4.0/).
Share and Cite
Tevaearai, F.; Moser, L.; Pomar, L. Prenatal Diagnosis of Congenital Lymphocytic Choriomeningitis Virus Infection: A Case Report. Viruses 2022, 14, 2586. https://doi.org/10.3390/v14112586
Tevaearai F, Moser L, Pomar L. Prenatal Diagnosis of Congenital Lymphocytic Choriomeningitis Virus Infection: A Case Report. Viruses. 2022; 14(11):2586. https://doi.org/10.3390/v14112586
Chicago/Turabian StyleTevaearai, Fanny, Laureline Moser, and Léo Pomar. 2022. "Prenatal Diagnosis of Congenital Lymphocytic Choriomeningitis Virus Infection: A Case Report" Viruses 14, no. 11: 2586. https://doi.org/10.3390/v14112586
APA StyleTevaearai, F., Moser, L., & Pomar, L. (2022). Prenatal Diagnosis of Congenital Lymphocytic Choriomeningitis Virus Infection: A Case Report. Viruses, 14(11), 2586. https://doi.org/10.3390/v14112586

