Infectious Salmon Anemia Virus Shedding from Infected Atlantic Salmon (Salmo salar L.)—Application of a Droplet Digital PCR Assay for Virus Quantification in Seawater
Abstract
:1. Introduction
2. Materials and Methods
2.1. Virus and Cell Cultures
2.2. Fish
2.3. Experimental ISAV Bath Challenge
2.4. Fish Sampling
2.5. Immunohistochemistry
2.6. Water Sampling and Concentration of ISAV in Water
2.7. RNA Extraction of Organ Tissue
2.8. RNA Extraction of Concentrated Seawater Samples
2.9. Real–Time Quantitative PCR (RT-qPCR)
2.10. Reverse Transcriptase Digital Droplet PCR (RT-ddPCR)
2.11. Statistics
3. Results
3.1. ISAV Bath Challenge and Fish Survival
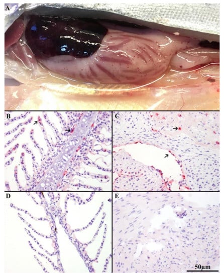
3.2. Autopsy and Clinical Signs
3.3. Immunohistochemistry (IHC)
3.4. Detection of ISAV in Fish Tissue Samples
3.5. Detection of ISAV in Seawater Samples
3.6. Comparison of ISAV Recovery from the Five Concentration Methods
4. Discussion
5. Conclusions
Author Contributions
Funding
Institutional Review Board Statement
Informed Consent Statement
Data Availability Statement
Acknowledgments
Conflicts of Interest
References
- Aldrin, M.; Lyngstad, T.M.; Kristoffersen, A.B.; Storvik, B.; Borgan, Ø.; Jansen, P.A. Modelling the spread of infectious salmon anaemia among salmon farms based on seaway distances between farms and genetic relationships between infectious salmon anaemia virus isolates. J. R. Soc. Interface 2011, 8, 1346–1356. [Google Scholar] [CrossRef]
- Gustafson, L.; Ellis, S.; Beattie, M.; Chang, B.; Dickey, D.; Robinson, T.; Marenghi, F.; Moffett, P.; Page, F. Hydrographics and the timing of infectious salmon anemia outbreaks among Atlantic salmon (Salmo salar L.) farms in the Quoddy region of Maine, USA and New Brunswick, Canada. Prev. Vet. Med. 2007, 78, 35–56. [Google Scholar] [CrossRef]
- Mardones, F.; Perez, A.; Carpenter, T. Epidemiologic investigation of the re-emergence of infectious salmon anemia virus in Chile. Dis. Aquat. Org. 2009, 84, 105–114. [Google Scholar] [CrossRef]
- Lyngstad, T.; Hjortaas, M.; Kristoffersen, A.; Markussen, T.; Karlsen, E.; Jonassen, C.; Jansen, P. Use of Molecular Epidemiology to Trace Transmission Pathways for Infectious Salmon Anaemia Virus (ISAV) in Norwegian Salmon Farming. Epidemics 2011, 3, 1–11. [Google Scholar] [CrossRef]
- Cunningham, C.O.; Gregory, A.; Black, J.; Simpson, I.; Raynard, R.S. A novel variant of the infectious salmon anaemia virus (ISAV) haemagglutinin gene suggests mechanisms for virus diversity. Bull. Eur. Assoc. Fish Pathol. B Eur. Assoc. Fish Pat. 2002, 22, 366–374. [Google Scholar]
- Mjaaland, S.; Hungnes, O.; Teig, A.; Dannevig, B.H.; Thorud, K.; Rimstad, E. Polymorphism in the Infectious Salmon Anemia Virus Hemagglutinin Gene: Importance and Possible Implications for Evolution and Ecology of Infectious Salmon Anemia Disease. Virology 2002, 304, 379–391. [Google Scholar] [CrossRef] [PubMed] [Green Version]
- Nylund, A.; Devold, M.; Plarre, H.; Isdal, E.; Aarseth, M. Emergence and maintenance of infectious salmon anaemia virus (ISAV) in Europe: A new hypothesis. Dis. Aquat. Org. 2003, 56, 11–24. [Google Scholar] [CrossRef] [PubMed] [Green Version]
- Christiansen, D.H.; Østergaard, P.S.; Snow, M.; Dale, O.B.; Falk, K. A low-pathogenic variant of infectious salmon anemia virus (ISAV-HPR0) is highly prevalent and causes a non-clinical transient infection in farmed Atlantic salmon (Salmo salar L.) in the Faroe Islands. J. Gen. Virol. 2010, 92, 909–918. [Google Scholar] [CrossRef] [PubMed]
- Kibenge, F.S.; Godoy, M.; Wang, Y.; Kibenge, M.J.; Gherardelli, V.; Mansilla, S.; Lisperger, A.; Jarpa, M.; Larroquete, G.; Avendaño, F.; et al. Infectious salmon anaemia virus (ISAV) isolated from the ISA disease outbreaks in Chile diverged from ISAV isolates from Norway around 1996 and was disseminated around 2005, based on surface glycoprotein gene sequences. Virol. J. 2009, 6, 88. [Google Scholar] [CrossRef]
- Krossøy, B.; Devold, M.; Sanders, L.; Knappskog, P.M.; Aspehaug, V.; Falk, K.; Nylund, A.; Koumans, S.; Endresen, C.; Biering, E. Cloning and identification of the infectious salmon anaemia virus haemagglutininThe GenBank accession numbers of the sequences reported in this study are AF302799–AF302803 and AF309075. J. Gen. Virol. 2001, 82, 1757–1765. [Google Scholar] [CrossRef] [PubMed]
- Falk, K.; Aspehaug, V.; Vlasak, R.; Endresen, C. Identification and Characterization of Viral Structural Proteins of Infectious Salmon Anemia Virus. J. Virol. 2004, 78, 3063–3071. [Google Scholar] [CrossRef] [PubMed] [Green Version]
- Aspehaug, V.; Mikalsen, A.B.; Snow, M.; Biering, E.; Villoing, S. Characterization of the Infectious Salmon Anemia Virus Fusion Protein. J. Virol. 2005, 79, 12544–12553. [Google Scholar] [CrossRef] [Green Version]
- Aamelfot, M.; Christiansen, D.H.; Dale, O.B.; McBeath, A.; Benestad, S.L.; Falk, K. Localised Infection of Atlantic Salmon Epithelial Cells by HPR0 Infectious Salmon Anaemia Virus. PLoS ONE 2016, 11, e0151723. [Google Scholar] [CrossRef] [PubMed]
- Aamelfot, M.; Dale, O.B.; Falk, K. Infectious salmon anaemia—Pathogenesis and tropism. J. Fish Dis. 2014, 37, 291–307. [Google Scholar] [CrossRef]
- Rimstad, E.; Dale, O.B.; Dannevig, B.H.; Falk, K. Infectious salmon anaemia. J. Fish Dis. 2011, 3, 143–165. [Google Scholar]
- Hjeltnes, B. Fish Health Report 2018; Norwegian Veterinary Institute: Oslo, Norway, 2018. (In Norwegian) [Google Scholar]
- Lyngstad, T.; Jansen, P.; Sindre, H.; Jonassen, C.; Hjortaas, M.; Johnsen, S.; Brun, E. Epidemiological investigation of infectious salmon anaemia (ISA) outbreaks in Norway 2003–2005. Prev. Vet. Med. 2008, 84, 213–227. [Google Scholar] [CrossRef]
- Qviller, L.; Kristoffersen, A.B.; Lyngstad, T.M.; Lillehaug, A. Infectious Salmon Anemia and Farm-Level Culling Strategies. Front. Veter Sci. 2020, 6, 481. [Google Scholar] [CrossRef] [Green Version]
- Bernhardt, L.-V.; Myrmel, M.; Lillehaug, A.; Qviller, L.; Weli, S.C. Concentration and detection of salmonid alphavirus in seawater during a post-smolt salmon (Salmo salar) cohabitant challenge. Dis. Aquat. Org. 2021, 144, 61–73. [Google Scholar] [CrossRef] [PubMed]
- Weli, S.C.; Tartor, H.; Spilsberg, B.; Dale, O.B.; Lillehaug, A. Short communication: Evaluation of charged membrane filters and buffers for concentration and recovery of infectious salmon anaemia virus in seawater. PLoS ONE 2021, 16, e0253297. [Google Scholar] [CrossRef] [PubMed]
- Dannevig, B.H.; Falk, K.; Press, C.M. Propagation of infectious salmon anaemia (ISA) virus in cell culture. Veter. Res. 1995, 26, 438–442. [Google Scholar]
- Devold, M.; Krossøy, B.; Aspehaug, V.; Nylund, A. Use of RT-PCR for diagnosis of infectious salmon anaemia virus (ISAV) in carrier sea trout Salmo trutta after experimental infection. Dis. Aquat. Org. 2000, 40, 9–18. [Google Scholar] [CrossRef] [Green Version]
- Reed, L.; Muench, H. A SIMPLE METHOD OF ESTIMATING FIFTY PER CENT ENDPOINTS12. Am. J. Epidemiol. 1938, 27, 493–497. [Google Scholar] [CrossRef]
- Weli, S.C.; Aamelfot, M.; Dale, O.B.; Koppang, E.O.; Falk, K. Infectious salmon anaemia virus infection of Atlantic salmon gill epithelial cells. Virol. J. 2013, 10, 5. [Google Scholar] [CrossRef] [Green Version]
- Aspehaug, V.; Falk, K.; Krossøy, B.; Thevarajan, J.; Sanders, L.; Moore, L.; Endresen, C.; Biering, E. Infectious salmon anemia virus (ISAV) genomic segment 3 encodes the viral nucleoprotein (NP), an RNA-binding protein with two monopartite nuclear localization signals (NLS). Virus Res. 2004, 106, 51–60. [Google Scholar] [CrossRef]
- Weli, S.C.; Bernhardt, L.-V.; Qviller, L.; Myrmel, M.; Lillehaug, A. Development and evaluation of a method for concentration and detection of salmonid alphavirus from seawater. J. Virol. Methods 2021, 287, 113990. [Google Scholar] [CrossRef] [PubMed]
- Snow, M.; McKay, P.; A McBeath, A.J.; Black, J.; Doig, F.; Kerr, R.; Cunningham, C.O.; Nylund, A.; Devold, M. Development, application and validation of a Taqman real-time RT-PCR assay for the detection of infectious salmon anaemia virus (ISAV) in Atlantic salmon (Salmo salar). Dev. Boil. 2006, 126, 133–145. [Google Scholar]
- R Core Team. R: A Language and Environment for Statistical Computing (Version 3.1.2); R Foundation for Statistical Computing: Vienna, Austria, 2014. [Google Scholar]
- Hothorn, T.; Bretz, F.; Westfall, P. Simultaneous Inference in General Parametric Models. Biom. J. 2008, 50, 346–363. [Google Scholar] [CrossRef] [Green Version]
- Kleiber, C.; Zeileis, A. Applied Econometrics with R; Springer International Publishing: Berlin, Germany, 2008. [Google Scholar]
- Aamelfot, M.; Dale, O.B.; Weli, S.C.; Koppang, E.O.; Falk, K. Expression of the Infectious Salmon Anemia Virus Receptor on Atlantic Salmon Endothelial Cells Correlates with the Cell Tropism of the Virus. J. Virol. 2012, 86, 10571–10578. [Google Scholar] [CrossRef] [Green Version]
- Rački, N.; Morisset, D.; Gutierrez-Aguirre, I.; Ravnikar, M. One-step RT-droplet digital PCR: A breakthrough in the quantification of waterborne RNA viruses. Anal. Bioanal. Chem. 2014, 406, 661–667. [Google Scholar] [CrossRef] [Green Version]
- Cao, Y.; Raith, M.R.; Griffith, J.F. Droplet digital PCR for simultaneous quantification of general and human-associated fecal indicators for water quality assessment. Water Res. 2015, 70, 337–349. [Google Scholar] [CrossRef]
- Te, S.H.; Chen, E.Y.; Gin, K.Y.-H. Comparison of Quantitative PCR and Droplet Digital PCR Multiplex Assays for Two Genera of Bloom-Forming Cyanobacteria, Cylindrospermopsis and Microcystis. Appl. Environ. Microbiol. 2015, 81, 5203–5211. [Google Scholar] [CrossRef] [Green Version]
- Nshimyimana, J.P.; Martin, S.L.; Flood, M.; Verhougstraete, M.P.; Hyndman, D.W.; Rose, J.B. Regional Variations of Bovine and Porcine Fecal Pollution as a Function of Landscape, Nutrient, and Hydrological Factors. J. Environ. Qual. 2018, 47, 1024–1032. [Google Scholar] [CrossRef] [Green Version]
- Jarungsriapisit, J.; Moore, L.J.; Mæhle, S.; Skår, C.; Einen, A.C.; Fiksdal, I.U.; Morton, H.C.; Stefansson, S.O.; Taranger, G.L.; Patel, S. Relationship between viral dose and outcome of infection in Atlantic salmon, Salmo salar L., post-smolts bath-challenged with salmonid alphavirus subtype 3. Veter. Res. 2016, 47, 1–13. [Google Scholar] [CrossRef] [Green Version]
- Moore, L.; Jarungsriapisit, J.; Nilsen, T.; Stefansson, S.; Taranger, G.; Secombes, C.; Morton, H.C.; Patel, S. Immune gene profiles in Atlantic salmon (salmo salar L.) post-smolts infected with SAV3 by bath-challenge show a delayed response and lower levels of gene transcription compared to injected fish. Fish Shellfish Immunol. 2017, 62, 320–331. [Google Scholar] [CrossRef] [PubMed] [Green Version]
- Larson, E.W.; Dominik, J.W.; Rowberg, A.H.; Higbee, G.A. Influenza virus population dynamics in the respiratory tract of experimentally infected mice. Infect. Immun. 1976, 13, 438–447. [Google Scholar] [CrossRef] [PubMed] [Green Version]
- Ottolini, M.G.; Blanco, J.; Eichelberger, M.C.; Porter, D.D.; Pletneva, L.; Richardson, J.Y.; Prince, G.A. The cotton rat provides a useful small-animal model for the study of influenza virus pathogenesis. J. Gen. Virol. 2005, 86, 2823–2830. [Google Scholar] [CrossRef]
- Ottolini, M.G.; Porter, D.D.; Hemming, V.G.; Hensen, S.A.; Sami, I.R.; Prince, G.A. Semi-permissive replication and functional aspects of the immune response in a cotton rat model of human parainfluenza virus type 3 infection. J. Gen. Virol. 1996, 77, 1739–1743. [Google Scholar] [CrossRef]
- Wherry, E.J.; McElhaugh, M.J.; Eisenlohr, L.C. Generation of CD8+T Cell Memory in Response to Low, High, and Excessive Levels of Epitope. J. Immunol. 2002, 168, 4455–4461. [Google Scholar] [CrossRef] [PubMed] [Green Version]
- Nordmo, R. Strengths and weaknesses of different challenge methods. Dev. Boil. Stand. 1997, 90, 303–309. [Google Scholar]
- Kristoffersen, A.; Viljugrein, H.; Kongtorp, R.; Brun, E.; Jansen, P. Risk factors for pancreas disease (PD) outbreaks in farmed Atlantic salmon and rainbow trout in Norway during 2003–2007. Prev. Vet. Med. 2009, 90, 127–136. [Google Scholar] [CrossRef]
- Stene, A.; Hellebø, A.; Viljugrein, H.; Solevåg, S.; Devold, M.; Aspehaug, V. Liquid fat, a potential abiotic vector for horizontal transmission of salmonid alphavirus? J. Fish Dis. 2016, 39, 531–537. [Google Scholar] [CrossRef]
- Middelboe, M.; Brussaard, C.P.D. Marine Viruses: Key Players in Marine Ecosystems. Viruses 2017, 9, 302. [Google Scholar] [CrossRef] [PubMed] [Green Version]
- Nylund, A.; Hovland, T.; Hodneland, K.; Nilsen, F.; Lovik, P. Mechanisms for transmission of infectious salmon anaemia (ISA). Dis. Aquat. Org. 1994, 19, 95–100. [Google Scholar] [CrossRef]
- Valdes-Donoso, P.; Mardones, F.; Jarpa, M.; Ulloa, M.; Carpenter, T.; Perez, A. Co-infection patterns of infectious salmon anaemia and sea lice in farmed A tlantic salmon, Salmo salar L., in southern C hile (2007–2009). J. Fish Dis. 2013, 36, 353–360. [Google Scholar] [CrossRef] [PubMed]
- Gustafson, L.; Ellis, S.; Bartlett, C. Using expert opinion to identify risk factors important to infectious salmon-anemia (ISA) outbreaks on salmon farms in Maine, USA and New Brunswick, Canada. Prev. Vet. Med. 2005, 70, 17–28. [Google Scholar] [CrossRef]






| Tukey Hypotheses for the Concentration Methods in High Dose Tanks | Mean Difference of Log (Copy Numbers) | p-Value |
| B–A = 0 | −2.43 | p < 0.001 |
| C–A = 0 | −2.15 | p < 0.001 |
| D–A = 0 | −5.45 | p < 0.001 |
| E–A = 0 | −5.94 | p < 0.001 |
| C–B = 0 | 0.28 | p < 0.001 |
| D–B = 0 | −3.02 | p < 0.001 |
| E–B = 0 | −3.51 | p < 0.001 |
| D–C = 0 | −3.30 | p < 0.001 |
| E–C = 0 | −3.80 | p < 0.001 |
| E–D = 0 | −0.49 | p < 0.001 |
| Tukey Hypotheses for Filter and Buffer (Model 2) | Mean Difference of Log (Copy Numbers) | p-Value |
| MF[–]–MD[+] (filters) | 2.4 | p < 0.001 |
| Buffer 2–Buffer 1 = 0 | −2.15 | p < 0.001 |
| Buffer 3–Buffer 1 = 0 | −5.45 | p < 0.001 |
| Buffer 4–Buffer 1 = 0 | −3.51 | p < 0.001 |
| Buffer 3–Buffer 2 = 0 | −3.30 | p < 0.001 |
| Buffer 4–Buffer 2 = 0 | −1.36 | p < 0.001 |
| Buffer 4–Buffer 3 = 0 | 1.95 | p < 0.001 |
Publisher’s Note: MDPI stays neutral with regard to jurisdictional claims in published maps and institutional affiliations. |
© 2021 by the authors. Licensee MDPI, Basel, Switzerland. This article is an open access article distributed under the terms and conditions of the Creative Commons Attribution (CC BY) license (https://creativecommons.org/licenses/by/4.0/).
Share and Cite
Weli, S.C.; Bernhardt, L.-V.; Qviller, L.; Dale, O.B.; Lillehaug, A. Infectious Salmon Anemia Virus Shedding from Infected Atlantic Salmon (Salmo salar L.)—Application of a Droplet Digital PCR Assay for Virus Quantification in Seawater. Viruses 2021, 13, 1770. https://doi.org/10.3390/v13091770
Weli SC, Bernhardt L-V, Qviller L, Dale OB, Lillehaug A. Infectious Salmon Anemia Virus Shedding from Infected Atlantic Salmon (Salmo salar L.)—Application of a Droplet Digital PCR Assay for Virus Quantification in Seawater. Viruses. 2021; 13(9):1770. https://doi.org/10.3390/v13091770
Chicago/Turabian StyleWeli, Simon Chioma, Lisa-Victoria Bernhardt, Lars Qviller, Ole Bendik Dale, and Atle Lillehaug. 2021. "Infectious Salmon Anemia Virus Shedding from Infected Atlantic Salmon (Salmo salar L.)—Application of a Droplet Digital PCR Assay for Virus Quantification in Seawater" Viruses 13, no. 9: 1770. https://doi.org/10.3390/v13091770
APA StyleWeli, S. C., Bernhardt, L.-V., Qviller, L., Dale, O. B., & Lillehaug, A. (2021). Infectious Salmon Anemia Virus Shedding from Infected Atlantic Salmon (Salmo salar L.)—Application of a Droplet Digital PCR Assay for Virus Quantification in Seawater. Viruses, 13(9), 1770. https://doi.org/10.3390/v13091770
