Characterization of a Cytopathogenic Reporter CSFV
Abstract
1. Introduction
2. Materials and Methods
2.1. Cells and Viruses
2.2. Generation of CSFV cDNA Clones
2.3. Virus Rescue
2.4. Indirect Immunofluorescence Assay and Western Blot
2.5. Serum Virus Neutralization Assays (SVNA)
2.6. RT-qPCR
3. Results
3.1. The Cellular Insertion Cassette of BVDV CP Rit Is Active as a Processing Signal on CSFV NS3
3.2. Cp CSFV-Ubi* Is Stabilized by an Inactivation of the NS2 Protease
3.3. Cp CSFV-Ubi*-C1512A-mCherryE2 as a Stable Double Reporter Virus
3.4. Characterization of Viral Replication
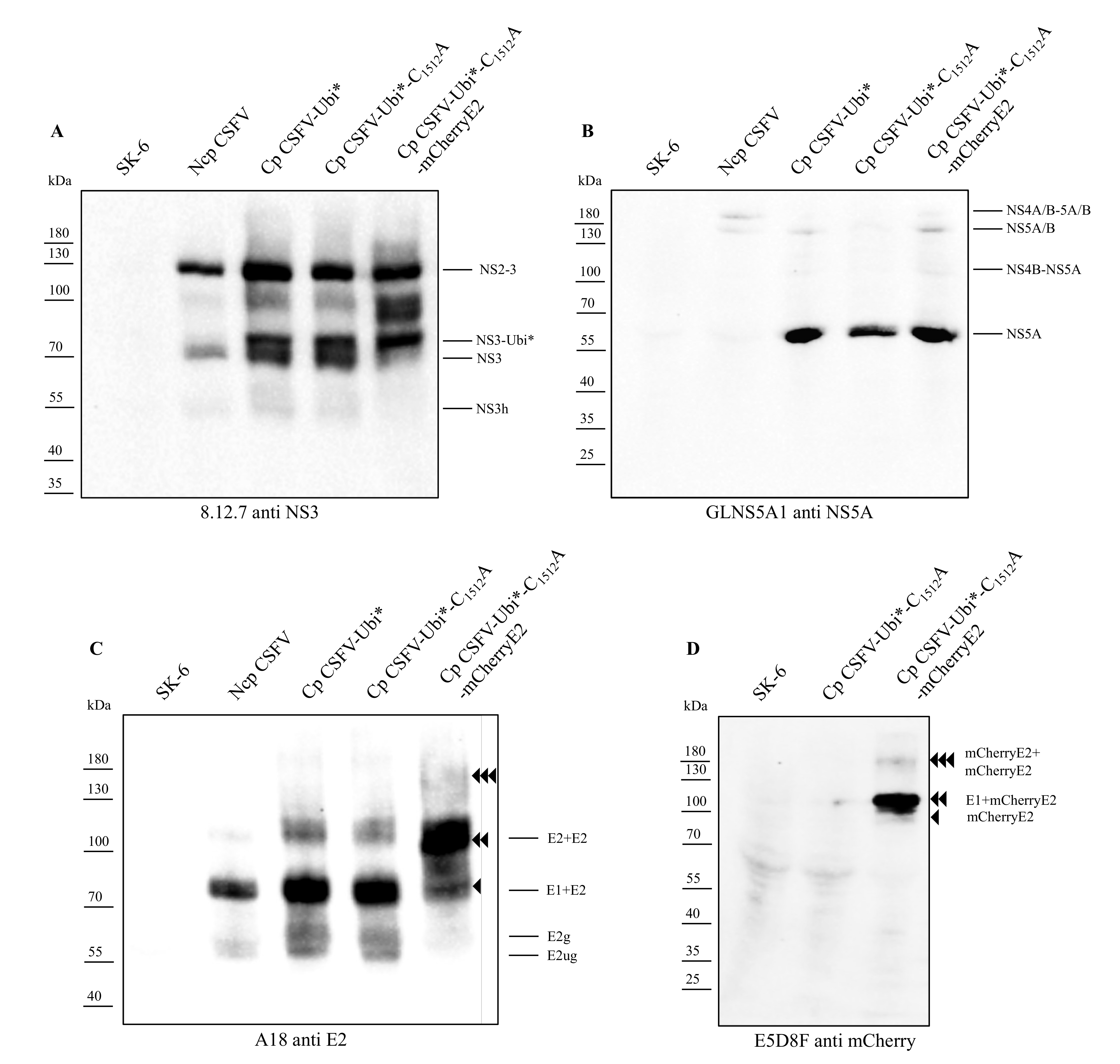
3.5. Characterization of Viral Protein Expression and Polyprotein Processing
3.6. SVNA with a Dual Reporter CSFV as a Valuable Tool for Indirect CSFV Diagnostics
4. Discussion
5. Patents
Supplementary Materials
Author Contributions
Funding
Institutional Review Board Statement
Data Availability Statement
Acknowledgments
Conflicts of Interest
References
- Edwards, S.; Fukusho, A.; Lefèvre, P.-C.; Lipowski, A.; Pejsak, Z.; Roehe, P.; Westergaard, J. Classical swine fever: The global situation. Vet. Microbiol. 2000, 73, 103–119. [Google Scholar] [CrossRef]
- Blome, S.; Staubach, C.; Henke, J.; Carlson, J.; Beer, M. Classical Swine Fever-An Updated Review. Viruses 2017, 9, 86. [Google Scholar] [CrossRef] [PubMed]
- Postel, A.; Austermann-Busch, S.; Petrov, A.; Moennig, V.; Becher, P. Epidemiology, diagnosis and control of classical swine fever: Recent developments and future challenges. Transbound. Emerg. Dis. 2018, 65 (Suppl. S1), 248–261. [Google Scholar] [CrossRef]
- Moennig, V.; Floegel-Niesmann, G.; Greiser-Wilke, I. Clinical Signs and Epidemiology of Classical Swine Fever: A Review of New Knowledge. Vet. J. 2003, 165, 11–20. [Google Scholar] [CrossRef]
- Lindenbach, B.D.; Murray, C.L.; Thiel, H.-J.; Rice, C.M. Flaviviridae. In Fields Virology; Knipe, D.M., Howley, P.M., Eds.; Lippincott Williams & Wilkins: Philadelphia, PA, USA, 2013; Volume 6. [Google Scholar]
- Thiel, H.J.; Stark, R.; Weiland, E.; Rümenapf, T.; Meyers, G. Hog cholera virus: Molecular composition of virions from a pestivirus. J. Virol. 1991, 65, 4705–4712. [Google Scholar] [CrossRef]
- Meyers, G.; Thiel, H.-J. Molecular Characterization of Pestiviruses; Elsevier: Amsterdam, The Netherlands, 1996; pp. 53–118. ISBN 9780120398478. [Google Scholar]
- Rümenapf, T. Molecular Biology of Pestiviruses. In Animal Viruses Molecular Biology Norwich; Mettenleiter, T.C., Sobrino, F., Eds.; Caister Academic Press: Rover, UK, 2008. [Google Scholar]
- Agapov, E.V.; Murray, C.L.; Frolov, I.; Qu, L.; Myers, T.M.; Rice, C.M. Uncleaved NS2-3 is required for production of infectious bovine viral diarrhea virus. J. Virol. 2004, 78, 2414–2425. [Google Scholar] [CrossRef]
- Lackner, T.; Müller, A.; Pankraz, A.; Becher, P.; Thiel, H.-J.; Gorbalenya, A.E.; Tautz, N. Temporal modulation of an autoprotease is crucial for replication and pathogenicity of an RNA virus. J. Virol. 2004, 78, 10765–10775. [Google Scholar] [CrossRef] [PubMed]
- Moulin, H.R.; Seuberlich, T.; Bauhofer, O.; Bennett, L.C.; Tratschin, J.-D.; Hofmann, M.A.; Ruggli, N. Nonstructural proteins NS2-3 and NS4A of classical swine fever virus: Essential features for infectious particle formation. Virology 2007, 365, 376–389. [Google Scholar] [CrossRef]
- Lamp, B.; Riedel, C.; Wentz, E.; Tortorici, M.-A.; Rümenapf, T. Autocatalytic cleavage within classical swine fever virus NS3 leads to a functional separation of protease and helicase. J. Virol. 2013, 87, 11872–11883. [Google Scholar] [CrossRef]
- Lee, K.M.; Gillespie, J.H. Propagation of virus diarrhea virus of cattle in tissue culture. Am. J. Vet. Res. 1957, 18, 952–953. [Google Scholar]
- Gillespie, J.H.; Baker, J.A.; McEntee, K. A cytopathogenic strain of virus diarrhea virus. Cornell Vet. 1960, 50, 73–79. [Google Scholar]
- McClurkin, A.W.; Littledike, E.T.; Cutlip, R.C.; Frank, G.H.; Coria, M.F.; Bolin, S.R. Production of cattle immunotolerant to bovine viral diarrhea virus. Can. J. Comp. Med. 1984, 48, 156–161. [Google Scholar] [PubMed]
- Mendez, E.; Ruggli, N.; Collett, M.S.; Rice, C.M. Infectious bovine viral diarrhea virus (strain NADL) RNA from stable cDNA clones: A cellular insert determines NS3 production and viral cytopathogenicity. J. Virol. 1998, 72, 4737–4745. [Google Scholar] [CrossRef]
- Vassilev, V.B.; Donis, R.O. Bovine viral diarrhea virus induced apoptosis correlates with increased intracellular viral RNA accumulation. Virus Res. 2000, 69, 95–107. [Google Scholar] [CrossRef]
- Becher, P.; Orlich, M.; Thiel, H.J. RNA recombination between persisting pestivirus and a vaccine strain: Generation of cytopathogenic virus and induction of lethal disease. J. Virol. 2001, 75, 6256–6264. [Google Scholar] [CrossRef] [PubMed]
- Donis, R.O.; Dubovi, E.J. Differences in virus-induced polypeptides in cells infected by cytopathic and noncytopathic biotypes of bovine virus diarrhea-mucosal disease virus. Virology 1987, 158, 168–173. [Google Scholar] [CrossRef]
- Pocock, D.H.; Howard, C.J.; Clarke, M.C.; Brownlie, J. Variation in the intracellular polypeptide profiles from different isolates of bovine virus diarrhoea virus. Arch. Virol. 1987, 94, 43–53. [Google Scholar] [CrossRef]
- Greiser-Wilke, I.; Dittmar, K.E.; Liess, B.; Moennig, V. Heterogeneous expression of the non-structural protein p80/p125 in cells infected with different pestiviruses. J. Gen. Virol. 1992, 73, 47–52. [Google Scholar] [CrossRef]
- Meyers, G.; Tautz, N.; Becher, P.; Thiel, H.J.; Kümmerer, B.M. Recovery of cytopathogenic and noncytopathogenic bovine viral diarrhea viruses from cDNA constructs. J. Virol. 1996, 70, 8606–8613. [Google Scholar] [CrossRef]
- Meyers, G.; Rümenapf, T.; Thiel, H.J. Ubiquitin in a togavirus. Nature 1989, 341, 491. [Google Scholar] [CrossRef] [PubMed]
- Baroth, M.; Orlich, M.; Thiel, H.J.; Becher, P. Insertion of cellular NEDD8 coding sequences in a pestivirus. Virology 2000, 278, 456–466. [Google Scholar] [CrossRef][Green Version]
- Becher, P.; Orlich, M.; König, M.; Thiel, H.J. Nonhomologous RNA recombination in bovine viral diarrhea virus: Molecular characterization of a variety of subgenomic RNAs isolated during an outbreak of fatal mucosal disease. J. Virol. 1999, 73, 5646–5653. [Google Scholar] [CrossRef] [PubMed]
- Meyers, G.; Stoll, D.; Gunn, M. Insertion of a sequence encoding light chain 3 of microtubule-associated proteins 1A and 1B in a pestivirus genome: Connection with virus cytopathogenicity and induction of lethal disease in cattle. J. Virol. 1998, 72, 4139–4148. [Google Scholar] [CrossRef] [PubMed]
- Qi, F.; Ridpath, J.F.; Berry, E.S. Insertion of a bovine SMT3B gene in NS4B and duplication of NS3 in a bovine viral diarrhea virus genome correlate with the cytopathogenicity of the virus. Virus Res. 1998, 57, 1–9. [Google Scholar] [CrossRef]
- Meyers, G.; Stark, R.; Tautz, N.; Rümenapf, T.; Unger, G.; Thiel, H.-J. Molecular Biology of Pestiviruses and Comparison with HCV. In Viral Hepatitis and Liver Disease. In Proceedings of the International Symposium on Viral Hepatitis and Liver Disease: Molecules Today, More Cures Tomorrow, Tokyo, Japan, 10–14 May 1993; Nishioka, K., Suzuki, H., Mishiro, S., Oda, T., Eds.; Springer Japan: Tokyo, Japan, 1994; pp. 106–110, ISBN 978-4-431-68255-4. [Google Scholar]
- Kovács, F.; Magyar, T.; Rinehart, C.; Elbers, K.; Schlesinger, K.; Ohnesorge, W.C. The live attenuated bovine viral diarrhea virus components of a multi-valent vaccine confer protection against fetal infection. Vet. Microbiol. 2003, 96, 117–131. [Google Scholar] [CrossRef]
- Fairbanks, K.K.; Rinehart, C.L.; Ohnesorge, W.C.; Loughin, M.M.; Chase, C.C.L. Evaluation of fetal protection against experimental infection with type 1 and type 2 bovine viral diarrhea virus after vaccination of the dam with a bivalent modified-live virus vaccine. J. Am. Vet. Med. Assoc. 2004, 225, 1898–1904. [Google Scholar] [CrossRef]
- Laude, H. Virus de la peste porcine classique: Isolement d’une souche cytolytique a partir de cellules IB-RS2. Ann. Microbiol. Paris 1978, 129, 553–561. [Google Scholar]
- van Bekkum, J.G.; Barteling, S.J. Plaque production by hog cholera virus. Arch. Gesamte Virusforsch. 1970, 32, 185–200. [Google Scholar] [CrossRef]
- Aoki, H.; Ishikawa, K.; Sakoda, Y.; Sekiguchi, H.; Kodama, M.; Suzuki, S.; Fukusho, A. Characterization of classical swine fever virus associated with defective interfering particles containing a cytopathogenic subgenomic RNA isolated from wild boar. J. Vet. Med. Sci. 2001, 63, 751–758. [Google Scholar] [CrossRef]
- Kosmidou, A.; Büttner, M.; Meyers, G. Isolation and characterization of cytopathogenic classical swine fever virus (CSFV). Arch. Virol. 1998, 143, 1295–1309. [Google Scholar] [CrossRef] [PubMed]
- Meyers, G.; Thiel, H.J. Cytopathogenicity of classical swine fever virus caused by defective interfering particles. J. Virol. 1995, 69, 3683–3689. [Google Scholar] [CrossRef]
- Gallei, A.; Rümenapf, T.; Thiel, H.-J.; Becher, P. Characterization of helper virus-independent cytopathogenic classical swine fever virus generated by an in vivo RNA recombination system. J. Virol. 2005, 79, 2440–2448. [Google Scholar] [CrossRef] [PubMed]
- Gallei, A.; Blome, S.; Gilgenbach, S.; Tautz, N.; Moennig, V.; Becher, P. Cytopathogenicity of classical Swine Fever virus correlates with attenuation in the natural host. J. Virol. 2008, 82, 9717–9729. [Google Scholar] [CrossRef] [PubMed][Green Version]
- Li, Y. Reporter Classical Swine Fever Virus: A Powerful Tool to Study Virus Biology. Br. J. Virol. 2016, 3, 24–26. [Google Scholar] [CrossRef]
- Moser, C.; Tratschin, J.D.; Hofmann, M.A. A recombinant classical swine fever virus stably expresses a marker gene. J. Virol. 1998, 72, 5318–5322. [Google Scholar] [CrossRef]
- Shen, L.; Li, Y.; Chen, J.; Li, C.; Huang, J.; Luo, Y.; Sun, Y.; Li, S.; Qiu, H.-J. Generation of a recombinant classical swine fever virus stably expressing the firefly luciferase gene for quantitative antiviral assay. Antivir. Res. 2014, 109, 15–21. [Google Scholar] [CrossRef]
- Tetsuo, M.; Matsuno, K.; Tamura, T.; Fukuhara, T.; Kim, T.; Okamatsu, M.; Tautz, N.; Matsuura, Y.; Sakoda, Y. Development of a High-Throughput Serum Neutralization Test Using Recombinant Pestiviruses Possessing a Small Reporter Tag. Pathogens 2020, 9. [Google Scholar] [CrossRef]
- Li, Y.; Shen, L.; Sun, Y.; Yuan, J.; Huang, J.; Li, C.; Li, S.; Luo, Y.; Qiu, H.-J. Simplified serum neutralization test based on enhanced green fluorescent protein-tagged classical swine fever virus. J. Clin. Microbiol. 2013, 51, 2710–2712. [Google Scholar] [CrossRef]
- Li, Y.; Shen, L.; Li, C.; Huang, J.; Zhao, B.; Sun, Y.; Li, S.; Luo, Y.; Qiu, H.-J. Visualization of the Npro protein in living cells using biarsenically labeling tetracysteine-tagged classical swine fever virus. Virus Res. 2014, 189, 67–74. [Google Scholar] [CrossRef]
- Chen, F.; Yang, X.; Pang, D.; Peng, Z.; Ma, T.; Ouyang, H.; Ren, L. A dark-to-bright reporter cell for classical swine fever virus infection. Antivir. Res. 2015, 117, 44–51. [Google Scholar] [CrossRef]
- Seago, J.; Goodbourn, S.; Charleston, B. The classical swine fever virus Npro product is degraded by cellular proteasomes in a manner that does not require interaction with interferon regulatory factor 3. J. Gen. Virol. 2010, 91, 721–726. [Google Scholar] [CrossRef]
- Riedel, C.; Lamp, B.; Chen, H.-W.; Heimann, M.; Rümenapf, T. Fluorophore labelled BVDV: A novel tool for the analysis of infection dynamics. Sci. Rep. 2019, 9, 5972. [Google Scholar] [CrossRef]
- Callens, N.; Brügger, B.; Bonnafous, P.; Drobecq, H.; Gerl, M.J.; Krey, T.; Roman-Sosa, G.; Rümenapf, T.; Lambert, O.; Dubuisson, J.; et al. Morphology and Molecular Composition of Purified Bovine Viral Diarrhea Virus Envelope. PLoS Pathog. 2016, 12, e1005476. [Google Scholar] [CrossRef]
- Kiesler, A.; Plankensteiner, J.; Schwarz, L.; Riedel, C.; Seitz, K.; Mötz, M.; Ladinig, A.; Lamp, B.; Rümenapf, T. Prevalence of Linda Virus Neutralizing Antibodies in the Austrian Pig Population. Viruses 2021, 13, 1001. [Google Scholar] [CrossRef] [PubMed]
- Kasza, L.; Shadduck, J.A.; Christofinis, G.J. Establishment, viral susceptibility and biological characteristics of a swine kidney cell line SK-6. Res. Vet. Sci. 1972, 13, 46–51. [Google Scholar] [CrossRef]
- Lamp, B.; Riedel, C.; Roman-Sosa, G.; Heimann, M.; Jacobi, S.; Becher, P.; Thiel, H.-J.; Rümenapf, T. Biosynthesis of classical swine fever virus nonstructural proteins. J. Virol. 2011, 85, 3607–3620. [Google Scholar] [CrossRef] [PubMed]
- Becher, P.; Orlich, M.; Thiel, H.-J. Ribosomal S27a Coding Sequences Upstream of Ubiquitin Coding Sequences in the Genome of a Pestivirus. J. Virol. 1998, 72, 8697–8704. [Google Scholar] [CrossRef]
- Fijalkowska, I.J.; Schaaper, R.M.; Jonczyk, P. DNA replication fidelity in Escherichia coli: A multi-DNA polymerase affair. FEMS Microbiol. Rev. 2012, 36, 1105–1121. [Google Scholar] [CrossRef]
- Huang, J.; Brieba, L.G.; Sousa, R. Misincorporation by wild-type and mutant T7 RNA polymerases: Identification of interactions that reduce misincorporation rates by stabilizing the catalytically incompetent open conformation. Biochemistry 2000, 39, 11571–11580. [Google Scholar] [CrossRef] [PubMed]
- Lamp, B.; Schwarz, L.; Högler, S.; Riedel, C.; Sinn, L.; Rebel-Bauder, B.; Weissenböck, H.; Ladinig, A.; Rümenapf, T. Novel Pestivirus Species in Pigs, Austria, 2015. Emerg. Infect. Dis. 2017, 23, 1176–1179. [Google Scholar] [CrossRef]
- Corapi, W.V.; Donis, R.O.; Dubovi, E.J. Monoclonal antibody analyses of cytopathic and noncytopathic viruses from fatal bovine viral diarrhea virus infections. J. Virol. 1988, 62, 2823–2827. [Google Scholar] [CrossRef] [PubMed]
- Shaner, N.C.; Campbell, R.E.; Steinbach, P.A.; Giepmans, B.N.G.; Palmer, A.E.; Tsien, R.Y. Improved monomeric red, orange and yellow fluorescent proteins derived from Discosoma sp. red fluorescent protein. Nat. Biotechnol. 2004, 22, 1567–1572. [Google Scholar] [CrossRef] [PubMed]
- European Commission. Commission Decision of 1 February 2002 approving a Diagnostic Manual establishing diagnostic procedures, sampling methods and criteria for evaluation of the laboratory tests for the confirmation of classical swine fever (2002/106/EC), Chapter VII. Off. J. Eur. Union Rep. Number L039 2002, 71–88. [Google Scholar]
- Hoffmann, B.; Beer, M.; Schelp, C.; Schirrmeier, H.; Depner, K. Validation of a real-time RT-PCR assay for sensitive and specific detection of classical swine fever. J. Virol. Methods 2005, 130, 36–44. [Google Scholar] [CrossRef] [PubMed]
- Lackner, T.; Thiel, H.-J.; Tautz, N. Dissection of a viral autoprotease elucidates a function of a cellular chaperone in proteolysis. Proc. Natl. Acad. Sci. USA 2006, 103, 1510–1515. [Google Scholar] [CrossRef]
- Becher, P.; Meyers, G.; Shannon, A.D.; Thiel, H.J. Cytopathogenicity of border disease virus is correlated with integration of cellular sequences into the viral genome. J. Virol. 1996, 70, 2992–2998. [Google Scholar] [CrossRef] [PubMed]
- Becher, P.; Thiel, H.-J.; Collins, M.; Brownlie, J.; Orlich, M. Cellular sequences in pestivirus genomes encoding gamma-aminobutyric acid (A) receptor-associated protein and Golgi-associated ATPase enhancer of 16 kilodaltons. J. Virol. 2002, 76, 13069–13076. [Google Scholar] [CrossRef]
- Schregel, V.; Jacobi, S.; Penin, F.; Tautz, N. Hepatitis C virus NS2 is a protease stimulated by cofactor domains in NS3. Proc. Natl. Acad. Sci. USA 2009, 106, 5342–5347. [Google Scholar] [CrossRef]
- Wei, Q.; Qi, H.; Luo, W.; Tseng, D.; Ki, S.J.; Wan, Z.; Göröcs, Z.; Bentolila, L.A.; Wu, T.-T.; Sun, R.; et al. Fluorescent imaging of single nanoparticles and viruses on a smart phone. ACS Nano 2013, 7, 9147–9155. [Google Scholar] [CrossRef]






| Name of the Oligonucleotide* | Sequence |
|---|---|
| Ubi*_forw | 5′-GAGAATGGCAAAATCAGTCGCCTTC-3′ |
| Ubi*_rev | 5′-CCCACCACGAAGTCTCAACACTAG-3′ |
| CSFV-353-Ubi*-GA_forw | 5′-ATCTCTGCTGTACATGGCACATGGAGGTACATGGCACATGGGAGAATG-3′ |
| CSFV-5163-Ubi*-GA_rev | 5′-CTTGCAAACAGCTGGCCCCCCACCACGAAGTCTCAAC-3′ |
| CSFV-378_rev | 5′-CTCCATGTGCCATGTACAGCAGAGAT-3′ |
| CSFV-5140_forw | 5′-GGGCCAGCTGTTTGCAAGAAGG-3′ |
| BAC-SP6_rev | 5′-GTATAGTGTCACCTAAATCGTTACAATTCACTGGCCGTCG-3′ |
| CSFV-12271-BAC-GA_forw | 5′-GACTAAGGTAATTTCCTAACGGCCCTAAATAGCTTGGCGTAATCATGGTC-3′ |
| SP6_forw | 5′-ACGATTTAGGTGACACTATAG-3′ |
| Ubi*-CSFV-7776-GA_rev | 5′-GAAGGCGACTGATTTTGCCATTCTCTTGTTGTGTTTCTGTGTCTCCTG-3′ |
| CSFV-12295_rev | 5′-GGGCCGTTAGGAAATTACCTTAGTC-3′ |
| CSFV-4891-A1512_forw | 5′-GGACCACCAGTGGTCGCCGGTATGACCCTAGCCGATTTC-3′ |
| CSFV-2442_rev | 5′-CCGCCCTTGTGCCCCGGTCACCAGCAGCAGCC-3′ |
| CSFV-2443_forw | 5′-CTAGCCTGTAAGGAAGACTACAGGTATGCGATC-3′ |
| CSFV-2424-mCherry-GA_forw | 5′-GACCGGGGCACAAGGGCGGGTGAGCAAGGGCGAGGAGGATAAC-3′ |
| CSFV-2465-mCherry-GA_rev | 5′-CTGTAGTCTTCCTTACAGGCTAGCTTGTACAGCTCGTCCATGCCG-3′ |
| CSFV-RT-qPCR-99_forw (Hoffmann et al. 2005) | 5′-ATGCCCAYAGTAGGACTAGCA-3′ |
| CSFV-140-probe_forw (Hoffmann et al. 2005) | FAM-5′-TGGCGAGCTCCCTGGGTGGTCTAAGT-3′-TAMRA |
| CSFV-RT-qPCR-191_rev (Hoffmann et al. 2005) | 5′-CTACTGACGACTGTCCTGTAC-3′ |
| CSFV-5694_rev | 5′-GAGCTTGGTTGGTTTGGAATCC-3′ |
| CSFV-7381_forw | 5′-GCTCAGGGGGATGTGCAGAGATGTG-3′ |
| CSFV-8421_rev | 5′- TAGCTGGCGAATTTTTCCCTCAC-3′ |
| mCherry_forw | 5′-ATGGTGAGCAAGGGCGAGGAG-3′ |
| mCherry_rev | 5′-CTTGTACAGCTCGTCCATGC-3′ |
| Serum ID | SND50/mL Ncp CSFV Alfort-Tübingen | SND50/mL Cp CSFV-Ubi*-C1512A-mCherryE2 |
|---|---|---|
| 2016/01/0441/027 | 1/370 | 1/370 |
| 2008/03/0225/032 | 1/370 | 1/370 |
| 2006/07/0056/086 | 1/20,500 | 1/20,500 |
| Neg. control serum | n.d. * | n.d. * |
Publisher’s Note: MDPI stays neutral with regard to jurisdictional claims in published maps and institutional affiliations. |
© 2021 by the authors. Licensee MDPI, Basel, Switzerland. This article is an open access article distributed under the terms and conditions of the Creative Commons Attribution (CC BY) license (https://creativecommons.org/licenses/by/4.0/).
Share and Cite
Reuscher, C.M.; Schmidt, L.; Netsch, A.; Lamp, B. Characterization of a Cytopathogenic Reporter CSFV. Viruses 2021, 13, 1209. https://doi.org/10.3390/v13071209
Reuscher CM, Schmidt L, Netsch A, Lamp B. Characterization of a Cytopathogenic Reporter CSFV. Viruses. 2021; 13(7):1209. https://doi.org/10.3390/v13071209
Chicago/Turabian StyleReuscher, Carina Maria, Lisa Schmidt, Anette Netsch, and Benjamin Lamp. 2021. "Characterization of a Cytopathogenic Reporter CSFV" Viruses 13, no. 7: 1209. https://doi.org/10.3390/v13071209
APA StyleReuscher, C. M., Schmidt, L., Netsch, A., & Lamp, B. (2021). Characterization of a Cytopathogenic Reporter CSFV. Viruses, 13(7), 1209. https://doi.org/10.3390/v13071209

