Severe Fever with Thrombocytopenia Syndrome Accompanied by Invasive Pulmonary Aspergillosis: An Autopsy Case
Abstract
1. Introduction
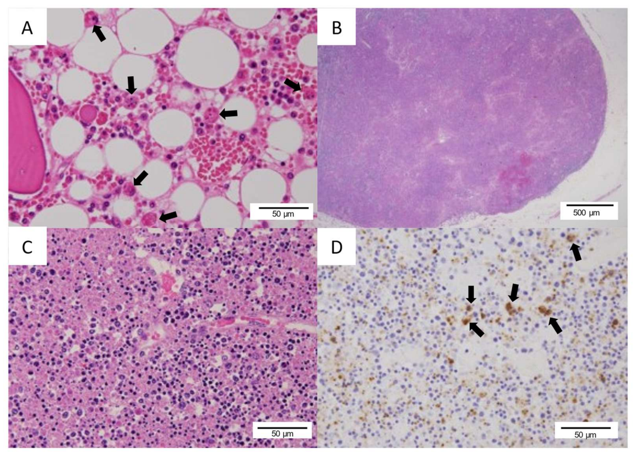
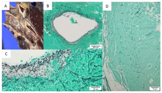
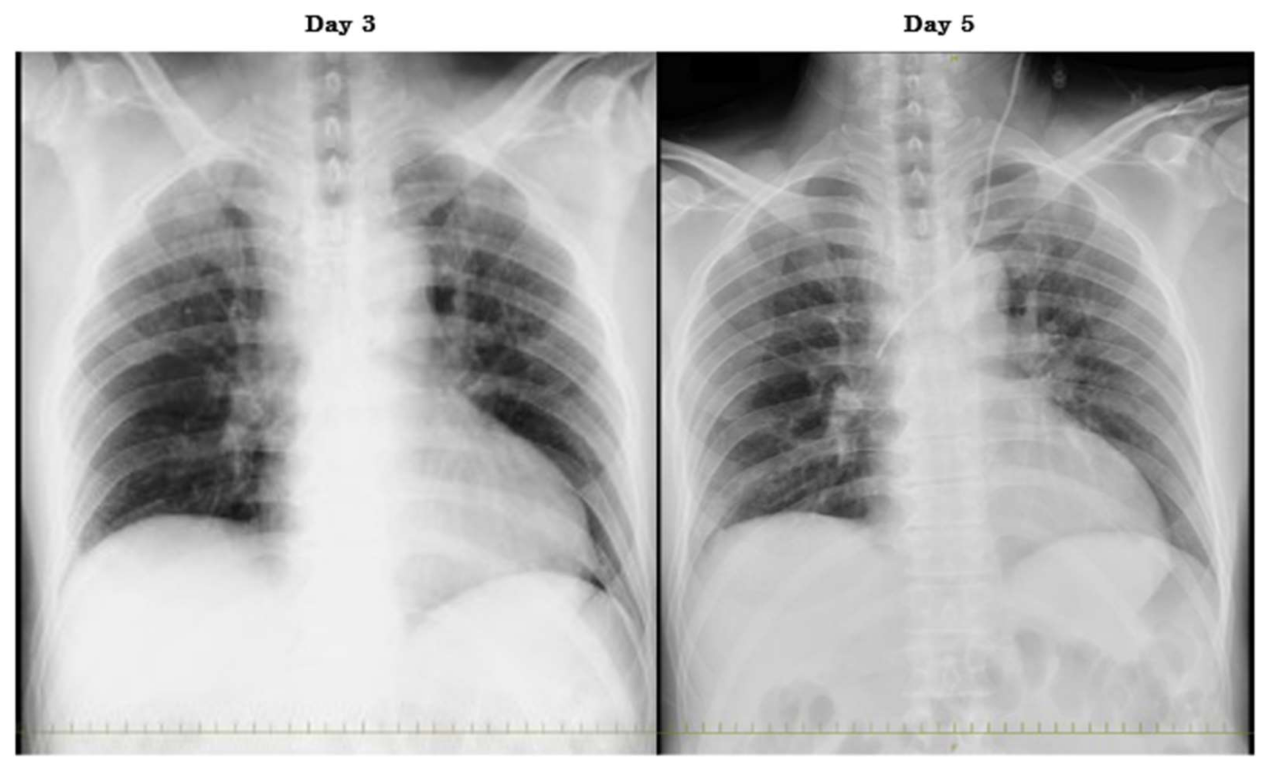
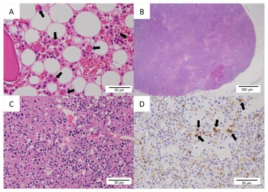
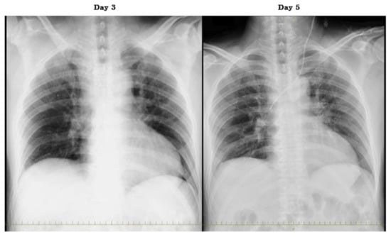
2. Case Report
3. Discussion
4. Conclusions
Author Contributions
Funding
Institutional Review Board Statement
Informed Consent Statement
Data Availability Statement
Acknowledgments
Conflicts of Interest
References
- Yu, X.J.; Liang, M.F.; Zhang, S.Y.; Liu, Y.; Li, J.D.; Sun, Y.L.; Zhang, L.; Zhang, Q.F.; Popov, V.L.; Li, C.; et al. Fever with thrombocytopenia associated with a novel bunyavirus in China. N. Engl. J. Med. 2011, 364, 1523–1532. [Google Scholar] [CrossRef]
- International Committee on Taxonomy of Viruses. Virus Taxonomy: 2018b Release. Available online: https://talk.ictvonline.org/taxonomy (accessed on 11 May 2020).
- Kato, H.; Yamagishi, T.; Shimada, T.; Matsui, T.; Shimojima, M.; Saijo, M.; Oishi, K. SFTS epidemiological research group-Japan. Epidemiological and Clinical Features of Severe Fever with Thrombocytopenia Syndrome in Japan, 2013–2014. PLoS ONE 2016, 11, e0165207. [Google Scholar] [CrossRef] [PubMed]
- Hu, J.; Li, S.; Zhang, X.; Zhao, H.; Yang, M.; Xu, L.; Li, L. Correlations between clinical features and death in patients with severe fever with thrombocytopenia syndrome. Medicine 2018, 97, e10848. [Google Scholar] [CrossRef] [PubMed]
- Sakaguchi, K.; Koga, Y.; Yagi, T.; Nakahara, T.; Todani, M.; Fujita, M.; Tsuruta, R. Severe Fever with Thrombocytopenia Syndrome Complicated with Pseudomembranous Aspergillus Tracheobronchitis in a Patient without Apparent Risk Factors for Invasive Aspergillosis. Intern. Med. 2019, 58, 3589–3592. [Google Scholar] [CrossRef] [PubMed]
- Yajima, T. Viral myocarditis: Potential defense mechanisms within the cardiomyocyte against virus infection. Future Microbiol. 2011, 6, 551–566. [Google Scholar] [CrossRef] [PubMed]
- Hiraki, T.; Yoshimitsu, M.; Suzuki, T.; Goto, Y.; Higashi, M.; Yokoyama, S.; Tabuchi, T.; Futatsuki, T.; Nakamura, K.; Hasegawa, H.; et al. Two autopsy cases of severe fever with thrombocytopenia syndrome (SFTS) in Japan: A pathognomonic histological feature and unique complication of SFTS. Pathol. Int. 2014, 64, 569–575. [Google Scholar] [CrossRef]
- Uehara, N.; Yano, T.; Ishihara, A.; Saijou, M.; Suzuki, T. Fatal Severe Fever with Thrombocytopenia Syndrome: An Autopsy Case Report. Intern. Med. 2016, 55, 831–838. [Google Scholar] [CrossRef]
- Takahashi, T.; Maeda, K.; Suzuki, T.; Ishido, A.; Shigeoka, T.; Tominaga, T.; Kamei, T.; Honda, M.; Ninomiya, D.; Sakai, T.; et al. The first identification and retrospective study of Severe Fever with Thrombocytopenia Syndrome in Japan. J. Infect. Dis. 2014, 209, 816–827. [Google Scholar] [CrossRef]
- Nakamura, S.; Iwanaga, N.; Hara, S.; Shimada, S.; Kashima, Y.; Hayasaka, D.; Abe, K.; Izumikawa, K.; Yanagihara, K.; Miyazaki, Y.; et al. Viral load and inflammatory cytokine dynamics associated with the prognosis of severe fever with thrombocytopenia syndrome virus infection: An autopsy case. J. Infect. Chemother. 2019, 25, 480–484. [Google Scholar] [CrossRef]
- Nakano, A.; Ogawa, H.; Nakanishi, Y.; Fujita, H.; Mahara, F.; Shiogama, K.; Tsutsumi, Y.; Takeichi, T. Hemophagocytic Lymphohistiocytosis in a Fatal Case of Severe Fever with Thrombocytopenia Syndrome. Intern. Med. 2017, 56, 1597–1602. [Google Scholar] [CrossRef]
- Kaneko, M.; Shikata, H.; Matsukage, S.; Maruta, M.; Shinomiya, H.; Suzuki, T.; Hasegawa, H.; Shimojima, M.; Saijo, M. A patient with severe fever with thrombocytopenia syndrome and hemophagocytic lymphohistiocytosis-associated involvement of the central nervous system. J. Infect. Chemother. 2018, 24, 292–297. [Google Scholar] [CrossRef] [PubMed]
- Li, S.; Li, Y.; Wang, Q.; Yu, X.; Liu, M.; Xie, H.; Qian, L.; Ye, L.; Yang, Z.; Zhang, J.; et al. Multiple organ involvement in severe fever with thrombocytopenia syndrome: An immunohistochemical finding in a fatal case. Virol. J. 2018, 30, 97. [Google Scholar] [CrossRef]
- Miyamoto, S.; Ito, T.; Terada, S.; Eguchi, T.; Furubeppu, H.; Kawamura, H.; Yasuda, T.; Kakihana, Y. Fulminant myocarditis associated with severe fever with thrombocytopenia syndrome: A case report. BMC Infect. Dis. 2019, 19, 266. [Google Scholar] [CrossRef]
- Kawaguchi, T.; Matsuda, M.; Takajo, I.; Kawano, A.; Kariya, Y.; Kubo, K.; Miyauchi, S.; Umekita, K.; Nagatomo, Y.; Yano, T.; et al. Severe fever with thrombocytopenia syndrome with myocardial dysfunction and encephalopathy: A case report. J. Infect. Chemother. 2016, 22, 633–637. [Google Scholar] [CrossRef]
- Bassetti, M.; Garnacho-Montero, J.; Calandra, T.; Kullberg, B.; Dimopoulos, G.; Azoulay, E.; Chakrabarti, A.; Kett, D.; Leon, C.; Ostrosky-Zeichner, L.; et al. Intensive care medicine research agenda on invasive fungal infection in critically ill patients. Intensive. Care Med. 2017, 43, 1225–1238. [Google Scholar] [CrossRef]
- Kemper, C.A.; Hostetler, J.S.; Follansbee, S.E.; Ruane, P.; Covington, D.; Leong, S.S.; Deresinski, S.C.; Stevens, D.A. Ulcerative and plaque-like tracheobronchitis due to infection with Aspergillus in patients with AIDS. Clin. Infect. Dis. 1993, 17, 344–352. [Google Scholar] [CrossRef]
- Wald, A.; Leisenring, W.; van Burik, J.A.; Bowden, R.A. Epidemiology of Aspergillus infections in a large cohort of patients undergoing bone marrow transplantation. J. Infect. Dis. 1997, 75, 1459–1466. [Google Scholar] [CrossRef]
- Choi, Y.; Park, S.J.; Sun, Y.; Yoo, J.S.; Pudupakam, R.S.; Foo, S.S.; Shin, W.J.; Chen, S.B.; Tsichlis, P.N.; Lee, W.J.; et al. Severe fever with thrombocytopenia syndrome phlebovirus non-structural protein activates TPL2 signalling pathway for viral immunopathogenesis. Nat. Microbiol. 2019, 4, 429–437. [Google Scholar] [CrossRef] [PubMed]
- Liu, Q.; He, B.; Huang, S.Y.; Wei, F.; Zhu, X.Q. Severe fever with thrombocytopenia syndrome, an emerging tick-borne zoonosis. Lancet Infect. Dis. 2014, 14, 763–772. [Google Scholar] [CrossRef]
- Saijo, M. Pathophysiology of severe fever with thrombocytopenia syndrome and development of specific antiviral therapy. J. Infect. Chemother. 2018, 24, 773–781. [Google Scholar] [CrossRef] [PubMed]
- Gai, Z.T.; Zhang, Y.; Liang, M.F.; Jin, C.; Zhang, S.; Zhu, C.B.; Li, C.; Li, X.Y.; Zhang, Q.F.; Wang, B.; et al. Clinical progress and risk factors for death in severe fever with thrombocytopenia syndrome patients. J. Infect. Dis. 2012, 206, 1095–1102. [Google Scholar] [CrossRef] [PubMed]
- Franquet, T.; Müller, N.L.; Oikonomou, A.; Flint, J.D. Aspergillus infection of the airways: Computed tomography and pathologic findings. J. Comput. Assist. Tomogr. 2004, 28, 10–16. [Google Scholar] [CrossRef] [PubMed]
- Xu, Y.; Shao, M.; Liu, N.; Tang, J.; Gu, Q.; Dong, D. Invasive pulmonary aspergillosis is a frequent complication in patients with severe fever with thrombocytopenia syndrome: A retrospective study. Int. J. Infect. Dis. 2021, 105, 646–652. [Google Scholar] [CrossRef] [PubMed]


: died.
: died.


| Urinalysis | Chemistry (Reference Range) | ||
|---|---|---|---|
| Protein | ++++ | Creatinine (0.65–1.07) | 0.79 mg/dL |
| Sugar | - | Blood urea nitrogen (8–20) | 18.1 mg/dL |
| Occult blood | +++ | Sodium (138–145) | 137 mmol/L |
| Complete blood count (reference range) | Potassium (3.4–4.8) | 3.5 mmol/L | |
| White blood cell (3.3–8.6) | 0.8 × 109/L | Chloride (101–108) | 107 mmol/L |
| Neutrophil | 58.6% | Total bilirubin (0.4–1.5) | 0.5 mg/dL |
| Lymphocyte | 38.7% | Aspartate aminotransferase (13–30) | 564 U/L |
| Monocyte | 2.7% | Alanine aminotransferase (10–42) | 131 U/L |
| Eosinophil | 0.0% | Lactate dehydrogenase (124–222) | 1295 U/L |
| Basophil | 0.0% | Creatine kinase (59–248) | 18,419 U/L |
| Red blood cell (4.35–5.55) | 4.92 × 1012/L | Total protein (6.6–8.1) | 5.45 g/dL |
| Platelet (158–348) | 45 × 109/L | Albumin (4.1–5.1) | 2.93 g/dL |
| Coagulation system (reference range) | C-reactive protein (0–0.14) | 0.72 mg/dL | |
| PT-INR | 1.34 | Brain natriuretic peptide (0–18.4) | 215 pg/mL |
| aPTT (25–35) | 140.9 sec | Serology (reference range) | |
| Fibrinogen (200–400) | 206 mg/dL | β-d glucan (0–11) | <6.0 pg/mL |
| FDP (0–5) | 49.4 μg/dL |
Publisher’s Note: MDPI stays neutral with regard to jurisdictional claims in published maps and institutional affiliations. |
© 2021 by the authors. Licensee MDPI, Basel, Switzerland. This article is an open access article distributed under the terms and conditions of the Creative Commons Attribution (CC BY) license (https://creativecommons.org/licenses/by/4.0/).
Share and Cite
Iwao, K.; Kawaguchi, T.; Kimura, M.; Iwao, C.; Rikitake, M.; Aizawa, A.; Kariya, Y.; Matsuda, M.; Miyauchi, S.; Takajo, I.; et al. Severe Fever with Thrombocytopenia Syndrome Accompanied by Invasive Pulmonary Aspergillosis: An Autopsy Case. Viruses 2021, 13, 1086. https://doi.org/10.3390/v13061086
Iwao K, Kawaguchi T, Kimura M, Iwao C, Rikitake M, Aizawa A, Kariya Y, Matsuda M, Miyauchi S, Takajo I, et al. Severe Fever with Thrombocytopenia Syndrome Accompanied by Invasive Pulmonary Aspergillosis: An Autopsy Case. Viruses. 2021; 13(6):1086. https://doi.org/10.3390/v13061086
Chicago/Turabian StyleIwao, Kosho, Takeshi Kawaguchi, Masatoshi Kimura, Chihiro Iwao, Mao Rikitake, Ayako Aizawa, Yumi Kariya, Motohiro Matsuda, Syunichi Miyauchi, Ichiro Takajo, and et al. 2021. "Severe Fever with Thrombocytopenia Syndrome Accompanied by Invasive Pulmonary Aspergillosis: An Autopsy Case" Viruses 13, no. 6: 1086. https://doi.org/10.3390/v13061086
APA StyleIwao, K., Kawaguchi, T., Kimura, M., Iwao, C., Rikitake, M., Aizawa, A., Kariya, Y., Matsuda, M., Miyauchi, S., Takajo, I., Kiwaki, T., Fukushima, T., Kataoka, H., Suzuki, T., Okayama, A., & Umekita, K. (2021). Severe Fever with Thrombocytopenia Syndrome Accompanied by Invasive Pulmonary Aspergillosis: An Autopsy Case. Viruses, 13(6), 1086. https://doi.org/10.3390/v13061086

