Phytochemical Characterization of Olea europea Leaf Extracts and Assessment of Their Anti-Microbial and Anti-HSV-1 Activity
Abstract
1. Introduction
2. Materials and Methods
2.1. Chemicals
2.2. Sample Origin
2.3. Sample Preparation
2.4. Phytochemical Screening
2.4.1. Total Phenols
2.4.2. Flavonoids
2.5. LC-DAD-ESI-MS Analysis
2.6. Antimicrobial Assay
2.6.1. Microbial Strains and Culture Conditions
2.6.2. Susceptibility Assays
2.7. Antiviral Assay
2.7.1. Cell Lines and Viruses
2.7.2. Cell Proliferation Assay
2.7.3. Plaque Reduction Assay
2.7.4. The Binding Assay
2.8. Western Blot Analysis and Antibodies
2.9. Viral DNA Extraction and Real-Time PCR Analysis
2.10. Statistical Analysis
3. Results
3.1. Phytochemical Analyses
| Peak n. | Compound | RT 1 | λmax | [M-H]− | MW 2 | Area % 3 | |
|---|---|---|---|---|---|---|---|
| OESA | OESY | ||||||
| 1 | Dihydroxybenzoic acid hexoside pentoside | 9.083 | 296 | 447 | 448 | 4.95 | - |
| 2 | Valoneic acid dilactone | 9.9 | 256;365 | 469 | 470 | - | 8.69 |
| 3 | Dicaffeoylquinic acid | 11.7 | 218;327 | 515 | 516 | - | 5.87 |
| 4 | Gallagic acid | 13.309 | 234;296 | 603 | 604 | 0.97 | 10.38 |
| 5 | Diellagilactone | 13.831 | 252;377 | 601 | 602 | 1.00 | 0.89 |
| 6 | Decaffeoylverbascoside | 14.886 | 236;280 | 461 | 462 | - | 23.07 |
| 7 | Oleoside/Secologanoside | 14.955 | 244 | 389 | 390 | 32.68 | 0.94 |
| 8 | Epicatechin 3-p-hydroxybenzoate | 16.199 | 282;318 | 409 | 410 | - | 2.55 |
| 9 | Elenoic acid hexoside | 16.230 | 238 | 403 | 404 | 0.73 | - |
| 10 | Hydroxyoleuropein isomer I | 17.431 | 232;282 | 555 | 556 | 1.06 | 2.94 |
| 11 | Oleanolic acid | 19.461 | 232 | 454 | 455 | 11.48 | 1.91 |
| 12 | Hydroxyoleuropein isomer II | 21.390 | 232;282 | 555 | 556 | 0.58 | 3.75 |
| 13 | Luteolin-7-O-rutinoside | 24.821 | 258;344 | 593 | 594 | 13.86 | 9.84 |
| 14 | Rutin | 25.560 | 256;358 | 609 | 610 | 1.99 | 0.80 |
| 15 | Oleuropein hexoside | 26.855 | 232;282 | 701 | 702 | - | 11.07 |
| 16 | Oleuropein | 26.950 | 232;286 | 539 | 540 | 18.03 | - |
| 17 | Apigenin-7-O-rutinoside | 27.421 | 252;336 | 577 | 578 | 1.90 | 2.26 |
| 18 | Luteolin-7-O-glucoside | 28.326 | 268;342 | 447 | 448 | 6.14 | 6.92 |
| 19 | Hydroxyphloretin 2′-O-xylosylglucoside | 29.455 | 250;340 | 583 | 584 | 0.74 | 1.29 |
| 20 | Vitisin A | 30.440 | 388;510 | 560 | 561 | 0.76 | - |
| 21 | β-Sitosteryl ferulate | 32.140 | 240;294;318 | 590 | 591 | 0.84 | 0.56 |
| 22 | Lucidumoside C | 33.500 | 240;284 | 583 | 584 | 2.30 | 6.27 |
3.2. Antimicrobial Potential
3.3. Cytotoxicity of Olive Leaf Extracts on Cell Cultures
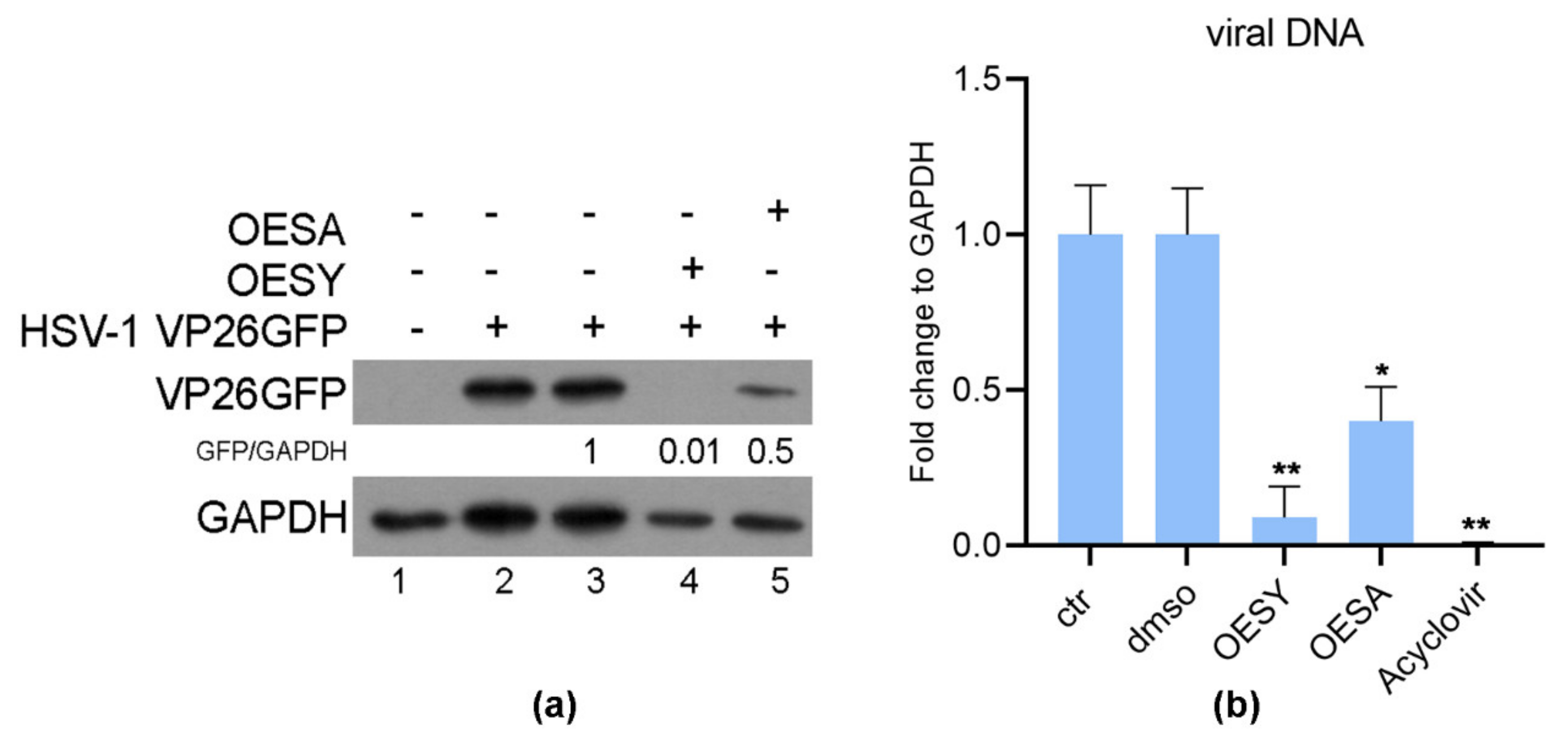
3.4. Antiviral Activity of OESA and OESY
3.5. OESA and OESY Prevent the Binding of HSV-1 on Vero Cells
4. Discussion
5. Conclusions
Author Contributions
Funding
Institutional Review Board Statement
Informed Consent Statement
Conflicts of Interest
References
- Volker, S.; Rudolf, H.; Tyler, V. Medicinal Plants, Phytomedicines, and Phytotherapy. Ration. Phytother. 2004. [Google Scholar] [CrossRef]
- Babulka, P. Plantes médicinales du traitement des pathologies rhumatismales: De la médecine traditionnelle à la phytothérapie moderne. Phytotherapie 2007, 5, 137–145. [Google Scholar] [CrossRef]
- Pereira, A.; Ferreira, I.; Marcelino, F.; Valentao, P.; Andrade, P.B.; Seabra, R.; Estevinho, L.; Bento, A. Phenolic compounds and antimicrobial activity of olive (Olea europaea L. Cv. Cobranc, osa) leaves. Molecules 2007, 12, 1153–1162. [Google Scholar] [CrossRef]
- Bouaziz, M.; Chamkha, M.; Sayadi, S. Comparative study on phenolic content and antioxidant activity during maturation of the olive cultivar Chemlali from Tunisia. J. Agric. Food Chem. 2005, 52, 5476–5481. [Google Scholar] [CrossRef]
- Sedef, N.E.; Sibel, K. Olive tree (Olea europaea) leaves: Potential beneficial effects on human health. Nutr. Rev. 2009, 67, 632–638. [Google Scholar] [CrossRef]
- Borjan, D.; Leitgeb, M.; Knez, Ž.; Hrnčič, M.K. Microbiological and Antioxidant Activity of Phenolic Compounds in Olive Leaf Extract. Molecules 2020, 25, 5946. [Google Scholar] [CrossRef] [PubMed]
- Lockyer, S.; Rowland, I.; Spencer, J.P.E.; Yaqoob, P.; Stonehouse, W. Impact of phenolic-rich olive leaf extract on blood pressure, plasma lipids and inflammatory markers: A randomised controlled trial. Eur. J. Nutr. 2016, 56, 1421–1432. [Google Scholar] [CrossRef]
- Zorić, N.; Kopjar, N.; Kraljić, K.; Oršolić, N.; Tomić, S.; Kosalec, I. Olive leaf extract activity against Candida albicans and C. dubliniensis—The in vitro viability study. Acta Pharm. 2016, 66, 411–421. [Google Scholar] [CrossRef] [PubMed]
- Liu, Y.; McKeever, L.C.; Malik, N.S.A. Assessment of the Antimicrobial Activity of Olive Leaf Extract Against Foodborne Bacterial Pathogens. Front. Microbiol. 2017, 8, 113. [Google Scholar] [CrossRef]
- Benavente-Garcıa, O.; Castillo, J.; Lorente, J.; Ortuno, A.; Del Rıo, J.A. Antioxidant activity of phenolics extracted from Olea europaea L. leaves. Food Chem. 2000, 68, 457–462. [Google Scholar] [CrossRef]
- Saija, A.; Uccella, N. Olive biophenols: Functional effects on human wellbeing. TIFS 2001, 11, 357–363. [Google Scholar] [CrossRef]
- Hirschman, S.Z. Inactivation of DNA polymerases of murine leukaemia viruses by calcium elenolate. Nat. N. Biol. 1972, 238, 277–279. [Google Scholar] [CrossRef]
- Bisignano, G.; Tomaino, A.; Lo Cascio, R.; Crisafi, G.; Uccella, N.; Saija, A. On the in-vitro antimicrobial activity of oleuropein and hydroxytyrosol. J. Pharm. Pharmacol. 1999, 51, 971–974. [Google Scholar] [CrossRef] [PubMed]
- Medina, E.; De Castro, A.; Romero, C.; Ramírez, E.; Brenes, M. Effect of antimicrobial compounds from olive products on microorganisms related to health, food and agriculture. Microb. Pathog. Strateg. Combat. Sci. Technol. Educ. 2013, 2, 1087–1094. [Google Scholar]
- Visiol, F.; Galli, C. Antioxidant and otheir biological activities of phenols from olives and Olive oil. Med. Res. Rev. 2002, 22, 65–75. [Google Scholar] [CrossRef] [PubMed]
- Fredrickson, W.R. Method and Composition for Antiviral Therapy with Olive Leaves. U.S. Patent No. 6,117,844, 2000. [Google Scholar]
- Motamedifar, M.; Nekooeian, A.A.; Moatari, A. The Effect of Hydroalcoholic Extract of Olive Leaves against Herpes Simplex Virus Type 1. Iran. J. Med. Sci. 2007, 32, 222–227. [Google Scholar]
- Arvin, A.; Campadelli-Fiume, G.; Mocarski, E.; Moore, P.S.; Roizman, B.; Whitley, R.; Yamanishi, K. Human Herpesviruses Biology, Therapy, and Immunoprophylaxis; Cambridge University Press: Cambridge, UK, 2007; pp. 1–1408. ISBN 9780521827140. [Google Scholar]
- Bisignano, C.; Mandalari, G.; Smeriglio, A.; Trombetta, D.; Pizzo, M.M.; Pennisi, R.; Sciortino, M.T. Almond Skin Extracts Abrogate HSV-1 Replication by Blocking Virus Binding to the Cell. Viruses 2017, 9, 178. [Google Scholar] [CrossRef] [PubMed]
- Tyler, K.L. Herpes simplex virus infections of the central nervous system: Encephalitis and meningitis, including Mollaret’s. Herpes 2004, 11 (Suppl. 2), 57A–64A. [Google Scholar] [PubMed]
- Sarisky, R.T.; Crosson, P.; Cano, R.; Quail, M.R.; Nguyen, T.T.; Wittrock, R.J.; Bacon, T.H.; Sacks, S.L.; Caspers-Velu, L.; Hodinka, R.L.; et al. Comparison of methods for identifying resistant herpes simplex virus and measuring antiviral susceptibility. J. Clin. Virol. 2002, 23, 191–200. [Google Scholar] [CrossRef]
- Smeriglio, A.; Mandalari, G.; Bisignano, C.; Filocamo, A.; Barreca, D.; Bellocco, E.; Trombetta, D. Polyphenolic content and biological properties of Avola almond (Prunus dulcis Mill. D.A. Webb) skin and its industrial byproducts. Ind. Crop. Prod. 2016, 83, 283–293. [Google Scholar] [CrossRef]
- Smeriglio, A.; Denaro, M.; Barreca, D.; D’Angelo, V.; Germanò, M.P.; Trombetta, D. Polyphenolic profile and biological activities of black carrot crude extract (Daucus carota L. ssp. sativus var. atrorubens Alef.). Fitoterapia 2018, 124, 49–57. [Google Scholar] [CrossRef]
- CLSI. M100-S22: Institute Performance Standards for Antimicrobial Susceptibility Testing; Twentieth Informational Supplement; Clinical and Laboratory Standards Institute (CLSI): Wayne, PA, USA, 2012. [Google Scholar]
- Siracusano, G.; Venuti, A.; Lombardo, D.; Mastino, A.; Esclatine, A.; Sciortino, M.T. Early activation of MyD88-mediated autophagy sustains HSV-1 replication in human monocytic THP-1 cells. Sci. Rep. 2016, 6, 31302. [Google Scholar] [CrossRef] [PubMed]
- Musarra-Pizzo, M.; Pennisi, R.; Ben-Amor, I.; Smeriglio, A.; Mandalari, G.; Sciortino, M.T. In Vitro Anti-HSV-1 Activity of Polyphenol-Rich Extracts and Pure Polyphenol Compounds Derived from Pistachios Kernels (Pistacia vera L.). Plants 2020, 9, 267. [Google Scholar] [CrossRef] [PubMed]
- Bisignano, C.; Ginestra, G.; Smeriglio, A.; La Camera, E.; Crisafi, G.; Franchina, F.A.; Tranchida, P.Q.; Alibrandi, A.; Trombetta, D.; Mondello, L.; et al. Study of the Lipid Profile of ATCC and Clinical Strains of Staphylococcus aureus in Relation to Their Antibiotic Resistance. Molecules 2019, 24, 1276. [Google Scholar] [CrossRef] [PubMed]
- Briante, R.; Patumi, M.; Terenziani, S.; Bismuto, E.; Febbraio, F.; Nucci, R. Olea europaea L. leaf extract and derivatives: Antioxidant properties. J. Agric. Food Chem. 2002, 50, 4934–4940. [Google Scholar] [CrossRef] [PubMed]
- Romero, M.; Toral, M.; Gomez-Guzman, M.; Jimenez, R.; Galindo, P.; Sanchez, M.; Olivares, M.; Galvez, J.; Duarte, J. Antihypertensive effects of oleuropeinenriched olive leaf extract in spontaneously hypertensive rats. Food Funct. 2016, 7, 584–593. [Google Scholar] [CrossRef]
- Meirinhos, J.; Silva, B.M.; Valentão, P.; Seabra, R.M.; Pereira, J.A.; Dias, A.; Andrade, P.B.; Ferreres, F. Analysis and quantification of flavonoidic compounds from Portuguese olive (Olea europaea L.) leaf cultivars. Nat. Prod. Res. 2005, 19, 189–195. [Google Scholar] [CrossRef] [PubMed]
- Makowska-Wąs, J.; Galanty, A.; Gdula-Argasińska, J.; Tyszka-Czochara, M.; Szewczyk, A.; Nunes, R.; Carvalho, I.S.; Michalik, M.; Paśko, P. Identification of Predominant Phytochemical Compounds and Cytotoxic Activity of Wild Olive Leaves (Olea europaea L. ssp. sylvestris) Harvested in South Portugal. Chem. Biodivers. 2017, 14, e1600331. [Google Scholar] [CrossRef] [PubMed]
- Termentzi, A.; Halabalaki, M.; Skaltsounis, A.L. From Drupes to Olive Oil: An Exploration of Olive Key Metabolites. In Olive and Olive Oil Bioactive Constituents; AOCS Press: Cambridge, MA, USA, 2015; pp. 147–177. [Google Scholar] [CrossRef]
- Talhaoui, N.; Taamalli, A.; Gómez-Caravaca, A.M.; Fernández-Gutiérrez, A.; Segura-Carretero, A. Phenolic compounds in olive leaves: Analytical determination, biotic and abiotic influence, and health benefits. Food Res. Int. 2015, 77, 92–108. [Google Scholar] [CrossRef]
- Filocamo, A.; Bisignano, C.; Mandalari, G.; Navarra, M. In Vitro Antimicrobial Activity and Effect on Biofilm Production of a White Grape Juice (Vitis vinifera) Extract. Evid Based Complement. Altern. Med. 2015, 2015, 856243. [Google Scholar] [CrossRef] [PubMed]
- Muscarà, C.; Smeriglio, A.; Trombetta, D.; Mandalari, G.; La Camera, E.; Occhiuto, C.; Grassi, G.; Circosta, C. Antioxidant and antimicrobial activity of two standardized extracts from a new Chinese accession of non-psychotropic Cannabis sativa L. Phytother. Res. 2021, 35, 1099–1112. [Google Scholar] [CrossRef]
- Lowy, F.D. Staphylococcus aureus infections. N. Engl. J. Med. 1998, 339, 520–532. [Google Scholar] [CrossRef] [PubMed]
- Karygianni, L.; Cecere, M.; Skaltsounis, A.L.; Argyropoulou, A.; Hellwig, E.; Aligiannis, N.; Wittmer, A.; Al-Ahmad, A. High-level antimicrobial efficacy of representative mediterranean natural plant extracts against oral microorganisms. Bio. Med. Res. Int. 2014, 2014, 839019. [Google Scholar] [CrossRef]
- Brahmi, F.; Flamini, G.; Issaoui, M.; Dhibi, M.; Dabbou, S.; Mastouri, M.; Hammami, M. Chemical composition and biological activities of volatile fractions from three Tunisian cultivars of olive leaves. Med. Chem. Res. 2012, 21, 2863–2872. [Google Scholar] [CrossRef]
- Khalil, M.M.; Ismail, E.H.; El-Baghdady, K.Z.; Mohamed, D. Green synthesis of silver nanoparticles using olive leaf extract and its antibacterial activity. Arab. J. Chem. 2014, 7, 1131–1139. [Google Scholar] [CrossRef]
- Bao, J.; Zhang, D.W.; Zhang, J.Z.; Huang, P.L.; Huang, P.L.; Lee-Huang, S. Computational study of bindings of olive leaf extract (OLE) to HIV-1 fusion protein gp41. FEBS Lett. 2007, 581, 2737–2742. [Google Scholar] [CrossRef] [PubMed]
- Lee-Huang, S.; Zhang, L.; Huang, P.L.; Chang, Y.T.; Huang, P.L. Anti-HIV activity of olive leaf extract (OLE) and modulation of host cell gene expression by HIV-1infection and OLE treatment. Biochem. Biophys. Res. Commun. 2003, 307, 1029–1037. [Google Scholar] [CrossRef]
- Lee-Huang, S.; Huang, P.L.; Zhang, D.; Lee, J.W.; Bao, J.; Sun, Y.; Chang, Y.T.; Zhang, J.; Huang, P.L. Discovery of small-molecule HIV-1 fusion and integrase inhibitors oleuropein and hydroxytyrosol: Part I. Fusion inhibition. Biochem. Biophys. Res. Commun. 2007, 354, 872–878. [Google Scholar] [CrossRef]
- Lee-Huang, S.; Huang, P.L.; Zhang, D.; Lee, J.W.; Bao, J.; Sun, Y.; Chang, Y.T.; Zhang, J.; Huang, P.L. Discovery of small-molecule HIV-1 fusion and integrase inhibitors oleuropein and hydroxytyrosol. Part II. Integrase inhibition. Biochem. Biophys. Res. Commun. 2007, 354, 879–884. [Google Scholar] [CrossRef] [PubMed]
- Ma, S.C.; He, Z.D.; Deng, X.L.; But, P.P.; Ooi, V.E.; Xu, H.X.; Lee, S.H.; Lee, S.F. In vitro evaluation of secoiridoid glucosides from the fruits of Ligustrum lucidum as antiviral agents. Chem. Pharm. Bull. 2001, 49, 1471–1473. [Google Scholar] [CrossRef] [PubMed]
- Micol, V.; Caturla, N.; Pérez-Fons, L.; Más, V.; Pérez, L.; Estepa, A. The olive leaf extract exhibits antiviral activity against viral haemorrhagic septicaemia rhabdovirus (VHSV). Antivir. Res. 2005, 66, 129–136. [Google Scholar] [CrossRef] [PubMed]
- Isaacs, C.E.; Wen, G.Y.; Xu, W.; Jia, J.H.; Rohan, L.; Corbo, C.; Di Maggio, V.; Jenkins, E.C., Jr.; Hillier, S. Epigallocatechin gallate inactivates clinical isolates of herpes simplex virus. Antimicrob. Agents Chemother. 2008, 52, 962–970. [Google Scholar] [CrossRef] [PubMed]




| Strain | OESY | OESA |
|---|---|---|
| E. coli ATCC 10536 | NA | NA |
| S. aureus ATCC 6538 | 7.81–15.62 | 15.62–31.25 |
| S. aureus ATCC 43300 | 500–1000 | 1000 |
| P. aeruginosa ATCC 9027 | NA | NA |
| C. albicans ATCC 10231 | NA | NA |
| Strain | OESY | OESA |
|---|---|---|
| S. aureus strain 3 | NA | NA |
| S. aureus strain 6 | 1000 | 2000 |
| S. aureus strain 8 | NA | NA |
| S. aureus strain 14 | NA | NA |
| S. aureus strain 26 | NA | NA |
| S. aureus strain 32 | NA | NA |
| S. aureus strain 84 | NA | NA |
| S. aureus strain 526 | NA | NA |
| S. aureus strain 531 | NA | NA |
| S. aureus strain 550 | NA | NA |
| S. aureus strain 808 | 1000 | 2000 |
| S. aureus strain 814 | NA | NA |
| Extract | CC50 (mg/mL) | EC50 (mg/mL) | SI |
|---|---|---|---|
| OESA | |||
| pre-infection | 0.2 | 0.12 | 1.6 |
| post-infection | 0.2 | 0.15 | 1.3 |
| OESY | |||
| pre-infection | 0.82 | 0.11 | 7.4 |
| post-infection | 0.82 | 0.2 | 4.1 |
Publisher’s Note: MDPI stays neutral with regard to jurisdictional claims in published maps and institutional affiliations. |
© 2021 by the authors. Licensee MDPI, Basel, Switzerland. This article is an open access article distributed under the terms and conditions of the Creative Commons Attribution (CC BY) license (https://creativecommons.org/licenses/by/4.0/).
Share and Cite
Ben-Amor, I.; Musarra-Pizzo, M.; Smeriglio, A.; D’Arrigo, M.; Pennisi, R.; Attia, H.; Gargouri, B.; Trombetta, D.; Mandalari, G.; Sciortino, M.T. Phytochemical Characterization of Olea europea Leaf Extracts and Assessment of Their Anti-Microbial and Anti-HSV-1 Activity. Viruses 2021, 13, 1085. https://doi.org/10.3390/v13061085
Ben-Amor I, Musarra-Pizzo M, Smeriglio A, D’Arrigo M, Pennisi R, Attia H, Gargouri B, Trombetta D, Mandalari G, Sciortino MT. Phytochemical Characterization of Olea europea Leaf Extracts and Assessment of Their Anti-Microbial and Anti-HSV-1 Activity. Viruses. 2021; 13(6):1085. https://doi.org/10.3390/v13061085
Chicago/Turabian StyleBen-Amor, Ichrak, Maria Musarra-Pizzo, Antonella Smeriglio, Manuela D’Arrigo, Rosamaria Pennisi, Hammadi Attia, Bochra Gargouri, Domenico Trombetta, Giuseppina Mandalari, and Maria Teresa Sciortino. 2021. "Phytochemical Characterization of Olea europea Leaf Extracts and Assessment of Their Anti-Microbial and Anti-HSV-1 Activity" Viruses 13, no. 6: 1085. https://doi.org/10.3390/v13061085
APA StyleBen-Amor, I., Musarra-Pizzo, M., Smeriglio, A., D’Arrigo, M., Pennisi, R., Attia, H., Gargouri, B., Trombetta, D., Mandalari, G., & Sciortino, M. T. (2021). Phytochemical Characterization of Olea europea Leaf Extracts and Assessment of Their Anti-Microbial and Anti-HSV-1 Activity. Viruses, 13(6), 1085. https://doi.org/10.3390/v13061085

