Antigenicity and Immunogenicity Analysis of the E. coli Expressed FMDV Structural Proteins; VP1, VP0, VP3 of the South African Territories Type 2 Virus
Abstract
:1. Introduction
2. Materials and Methods
2.1. Reagents, Primers, and Experimental Animals
2.2. Construction of Recombinant Fusion Proteins
2.3. Expression and Purification of the Recombinant Fusion Proteins
2.4. SDS-PAGE and Western Blotting
2.5. Ethical Approval
2.6. Immunization of Experimental Animals
2.7. Determination of Antibody Titers by ELISA
2.8. Lymphocyte Proliferation Assay
2.9. Analysis of Cytokine IFN-γ and IL-4 Expression Level
2.10. Statistical Analysis
3. Results
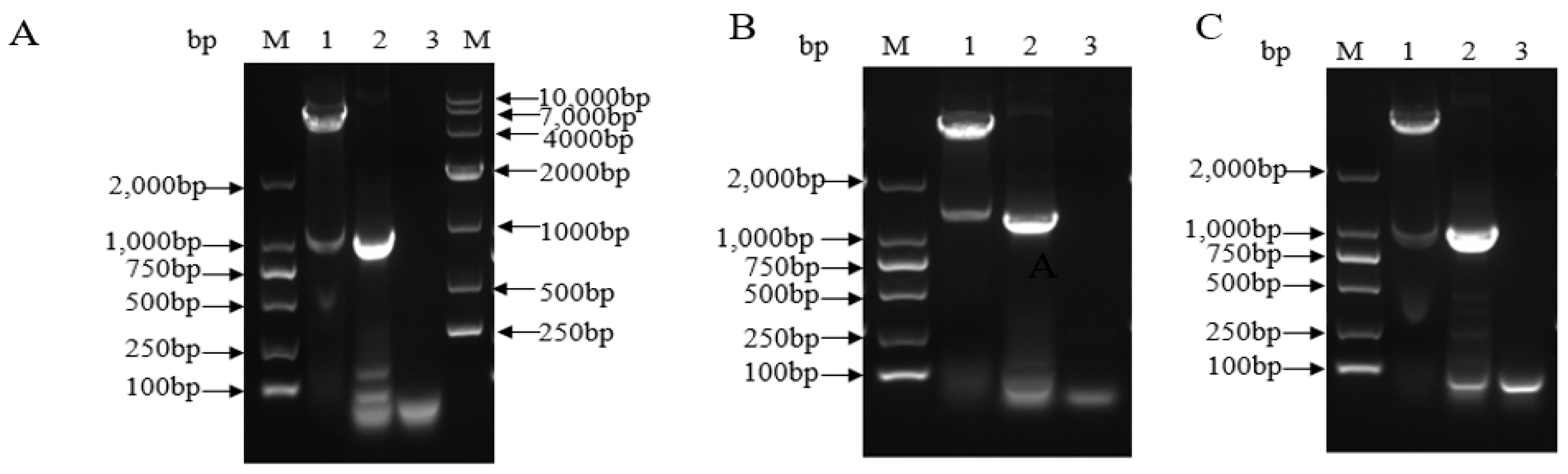
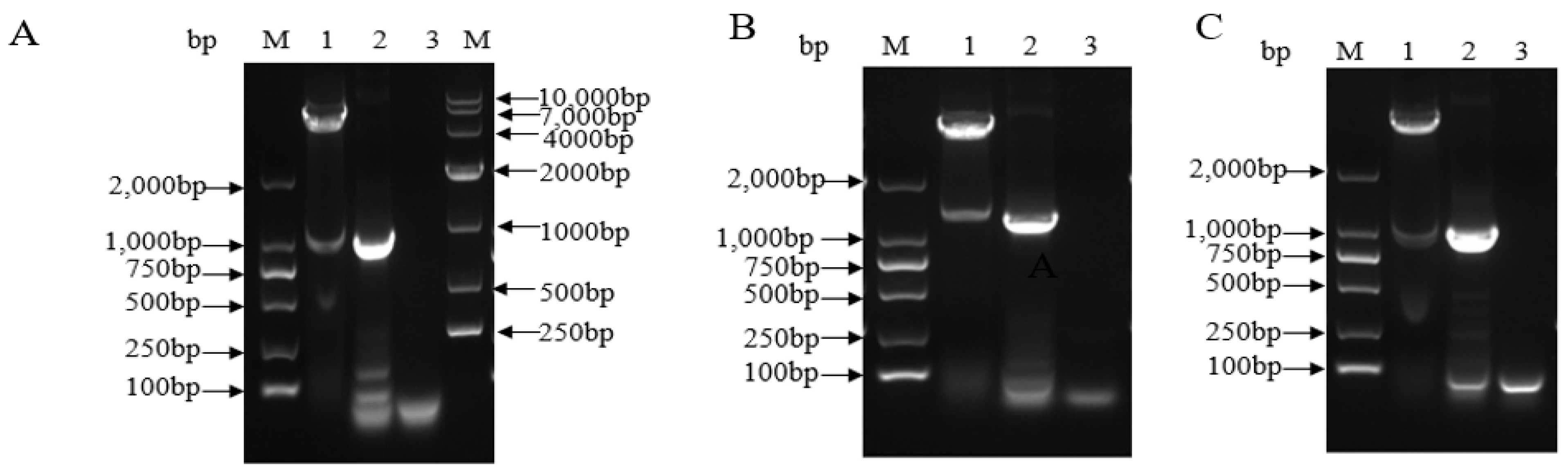
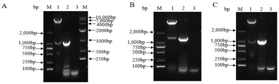
3.1. Construction of Recombinant Fusion Proteins
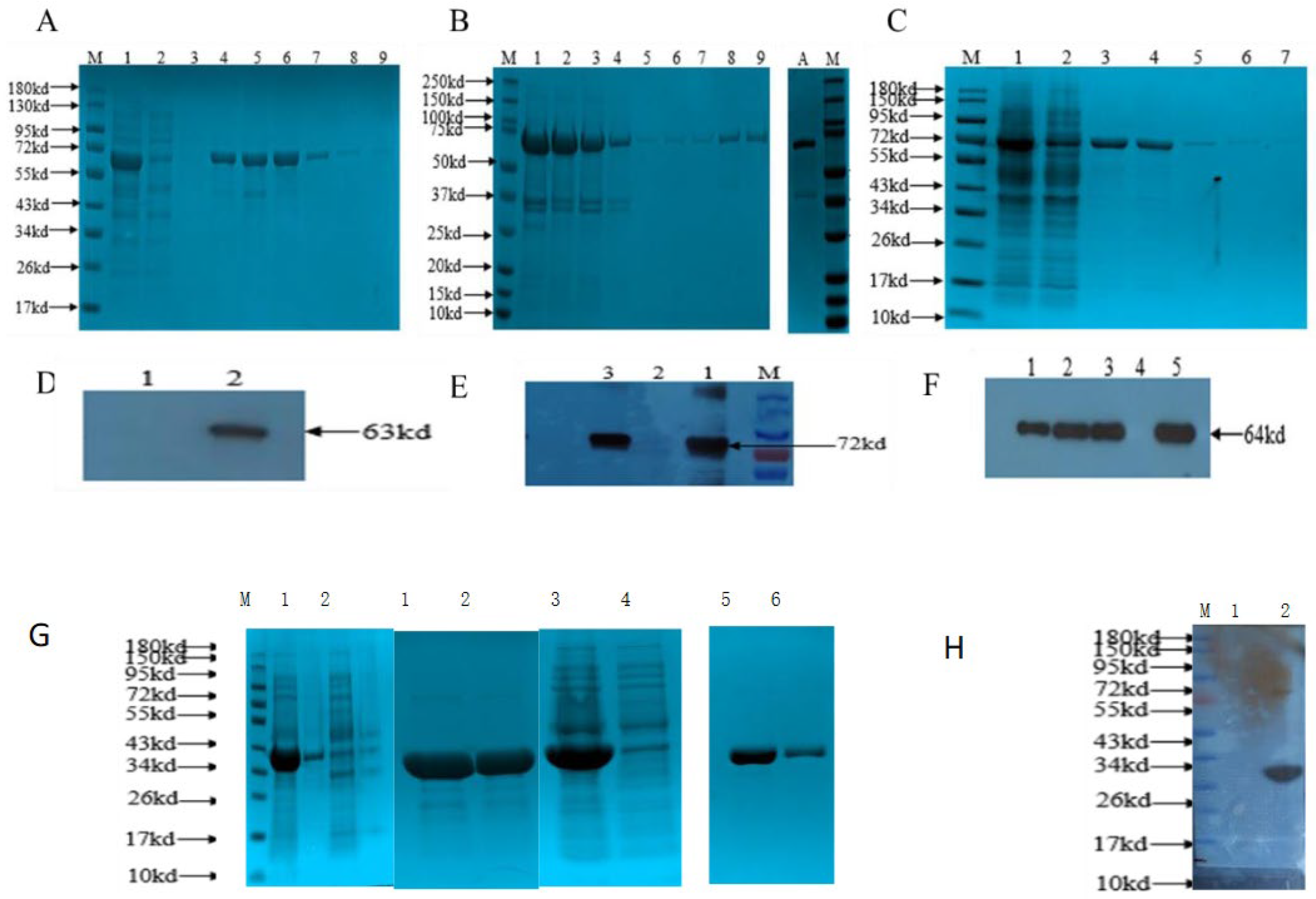
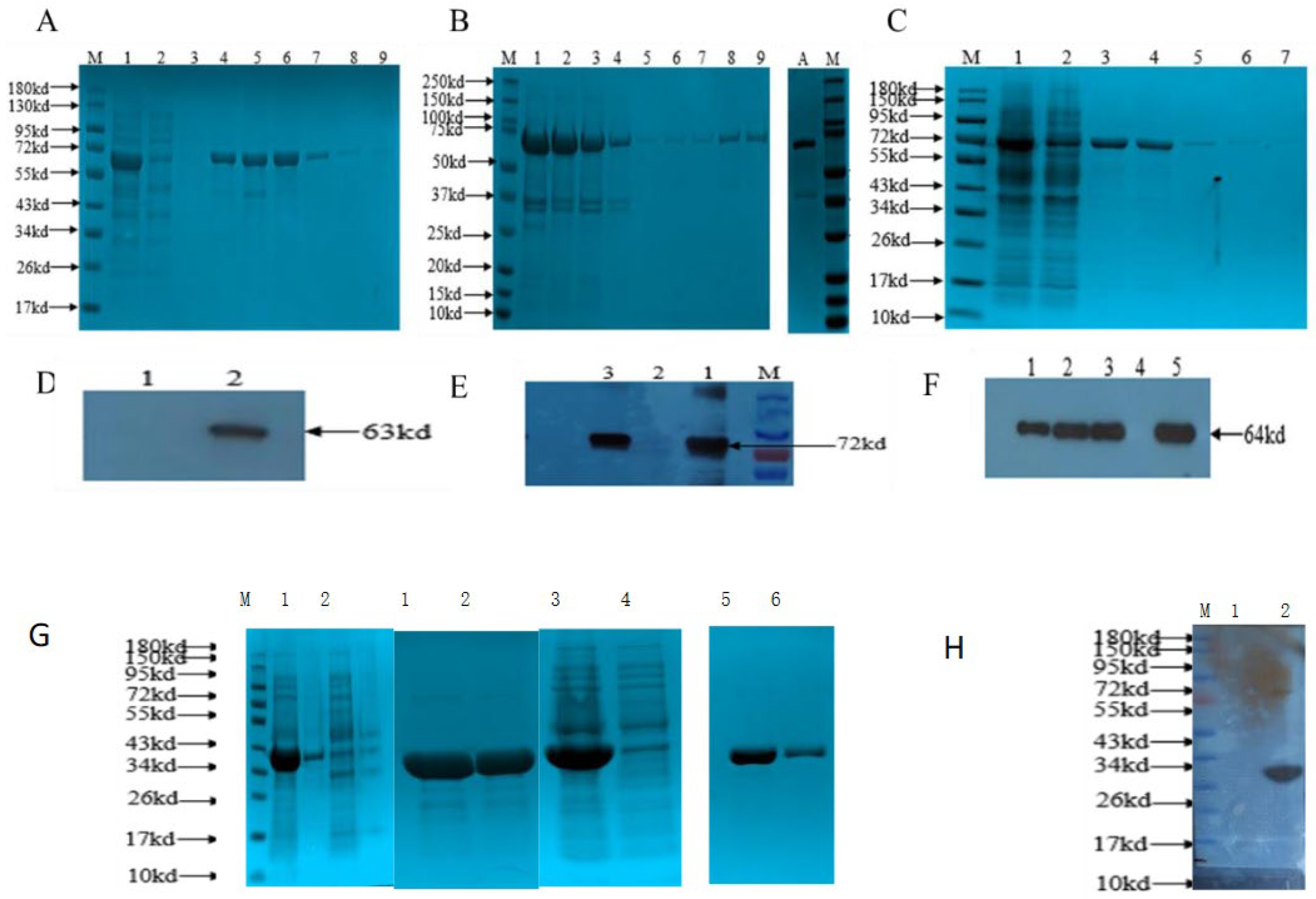
3.2. Purification of Recombinant Protein and Western Blot Analysis
3.3. Detection of Specific Antibodies in Mouse Serum
3.4. Determination of Mouse Lymphocyte Proliferation
3.5. Level of Cytokines Production
4. Discussion
5. Conclusions
Author Contributions
Funding
Institutional Review Board Statement
Informed Consent Statement
Data Availability Statement
Acknowledgments
Conflicts of Interest
Abbreviations
| FMDV | Foot and Mouth Disease Virus |
| SAT2 | Southern African Territories serotype two |
| MBP | Maltose Binding Protein |
| VP | Viral protein |
| ELISA | Enzyme Liquid Immunosorbent Assay |
| OD | Optic Density |
| IFN-γ | Interferon Gama |
| IL-2 | Interleukin two |
| OIE | World Organization For Animal Health |
| CCK | Cell counting Kit |
References
- Domingo, E.; Escarmis, C.; Baronowski, E.; Ruiz-Jarabo, C.M.; Carrillo, E.; Nunez, J.I. Evolution of Foot-and-Mouth Disease Virus. Virus Res. 2003, 91, 47–63. [Google Scholar] [CrossRef]
- Fry, E.E.; Lea, S.M.; Jackson, T.; Newman, J.W.; Ellard, F.M.; Blakemore, W.E.; Abu-Ghazaleh, R.; Samuel, A.; King, A.M.; Stuart, D.I. The structure and function of a foot-and-mouth disease virus-oligosaccharide receptor complex. EMBO J. 1999, 18, 543–554. [Google Scholar] [CrossRef] [Green Version]
- Domingo, E.; Pariente, N.; Airaksinen, A.; Gonzalez-Lopez, C.; Sierra, S.; Herrera, M.; Grande-Perez, A.; Lowenstein, P.R.; Manrubia, S.C.; Lazaro, E.; et al. Foot-and-mouth disease virus evolution: Exploring pathways towards virus extinction. Curr. Top. Microbiol. Immunol. 2005, 288, 149–173. [Google Scholar]
- Han, S.C.; Guo, H.C.; Sun, S.Q. Three-dimensional structure of foot-and-mouth disease virus and its biological functions. Arch. Virol. 2015, 160, 1–16. [Google Scholar] [CrossRef] [PubMed]
- Acharya, R.; Fry, E.; Stuart, D.; Fox, G.; Rowlands, D.; Brown, F. The three-dimensional structure of foot-and-mouth disease virus at 2.9 A resolution. Nature 1989, 337, 709–716. [Google Scholar] [CrossRef]
- Fry, E.E.; Newman, J.W.; Curry, S.; Najjam, S.; Jackson, T.; Blakemore, W.; Lea, S.M.; Miller, L.; Burman, A.; King, A.M.; et al. Structure of Foot-and-mouth disease virus serotype A10 61 alone and complexed with oligosaccharide receptor: Receptor conservation in the face of antigenic variation. J. Gen. Virol. 2005, 86, 1909–1920. [Google Scholar] [CrossRef]
- Lea, S.; Hernandez, J.; Blakemore, W.; Brocchi, E.; Curry, S.; Domingo, E.; Fry, E.; Abu-Ghazaleh, R.; King, A.; Newman, J. The structure and antigenicity of a type C foot-and mouth disease virus. Structure 1994, 2, 123–139. [Google Scholar] [CrossRef] [Green Version]
- Van Lierop, M.J.J.P.; Wagenaar, J.; van Noort, M.; Hensen, E.J. Sequences derived from the highly antigenic VP1 region 140 to 160 of foot-and-mouth disease virus do not prime for a bovine T-cell response against intact virus. J. Virol. 1995, 69, 4511–4514. [Google Scholar] [CrossRef] [Green Version]
- Morgan, D.O.; Moore, D.M. Protection of cattle and swine against foot-and-mouth disease, using biosynthetic peptide vaccines. Am. J. Vet. Res. 1990, 51, 40–45. [Google Scholar]
- Di Marchi, R.; Brooke, G.; Gale, C.; Cracknell, V.; Doel, T.; Mowat, N. Protection of cattle against foot-and-mouth disease by a synthetic peptide. Science 1986, 232, 639–641. [Google Scholar] [CrossRef] [PubMed]
- Qiu, J.; Qiu, T.; Dong, Q.; Xu, D.; Wang, X.; Zhang, Q.; Pan, J.; Liu, Q. Predicting the antigenic relationship of foot-and-mouth disease virus for vaccine selection through a computational model. IEEE/ACM Trans. Comput. Biol. Bioinform. 2019, 7, 677–685. [Google Scholar] [CrossRef] [PubMed]
- Thomas, A.A.; Woortmeijer, M.; Puijk, R.J.; Barteling, W.S.J. Antigenic sites on foot-and-mouth disease virus type A10. J. Virol. 1988, 62, 2782–2789. [Google Scholar] [CrossRef] [Green Version]
- Curry, S.; Fry, E.; Blakemore, W.; Abu-Ghazaleh, R.; Jackson, T.; King, A.; Lea, S.; Newman, J.; Rowlands, D.; Stuart, D. Perturbations in the surface structure of A22 Iraq foot-and-mouth disease virus accompanying coupled changes in host cell specificity and antigenicity. Structure 1996, 4, 135–145. [Google Scholar] [CrossRef] [Green Version]
- Malirat, V.; Neitzert, E.; Bergmann, I.E.; Maradei, E.; Beck, E.J.V.Q. Detection of cattle exposed to foot-and-mouth disease virus by means of an indirect ELISA test using bioengineered nonstructural polyprotein 3ABC. Vet. Q. 1998, 2, S24–S26. [Google Scholar] [CrossRef]
- Mateu, M.G.; Hernández, J.; Martínez, M.A.; Feigelstock, D.; Lea, S.; Pérez, J.J.; Giralt, E.; Stuart, D.; Palma, E.L.; Domingo, E. Antigenic heterogeneity of a foot-and-mouth disease virus serotype in the field is mediated by very limited sequence variation at several antigenic sites. J. Virol. 1994, 68, 1407–1417. [Google Scholar] [CrossRef] [PubMed] [Green Version]
- Maree, F.F.; Blignaut, B.; Esterhuysen, J.J.; de Beer, T.A.P.; Theron, J.; O’Neill, H.G.; Rieder, E. Predictingantigenic sites on the foot-and-mouth disease virus capsid of the South African Territories types using virus neutralization data. J. Gen. Virol. 2011, 92, 2297–2309. [Google Scholar] [CrossRef]
- Rodriguez, L.L.; Grubman, M.J. Foot and mouth disease virus vaccines. Vaccine 2009, 27, 90–94. [Google Scholar] [CrossRef]
- Bai, J.; Chen, X.; Jiang, K.; Zeshan, B.; Jiang, P. Identification of VP1 peptides diagnostic of encephalomyocarditis virus from swine. Virol. J. 2014, 11, 226. [Google Scholar] [CrossRef] [Green Version]
- Ana, C.M.; Vanesa, R.; Yves, D. Advances in novel vaccines for foot and mouth disease: Focus on recombinant empty capsids. Crit. Rev. Biotechnol. 2019, 39, 306–320. [Google Scholar]
- Liu, Y.; Feng, L.; Zhao, B. Soluble Expression and Immune reactivity Analysis of FMDV VP3 Protein. J. Henan Agric. Sci. 2015, 44, 124–128. [Google Scholar]
- Samuel, W.; Mirjam, M.; Klepsch, S.S. Tuning Escherichia coli for membrane protein over-expression. Proc. Natl. Acad. Sci. USA 2008, 105, 14371–14376. [Google Scholar]
- Marblestone, J.G.; Edavettal, S.C.; Lim, Y.; Lim, P.; Zuo, X.; Butt, T.R. Comparison of SUMO fusion technology with traditional gene fusion systems: Enhanced expression and solubility with SUMO. Protein Sci. 2006, 15, 182–189. [Google Scholar] [CrossRef] [PubMed]
- Chen, R. Bacterial expression systems for recombinant protein production: E. coli and beyond. Biotechnol. Adv. 2012, 30, 1102–1107. [Google Scholar] [CrossRef] [PubMed]
- Li, D.; Yang, W.; Ren, J.; Ru, Y.; Zhang, K.; Fu, S.; Liu, X.; Zheng, H. The E3 Ubiquitin Ligase TBK1 Mediates the Degradation of Multiple Picornavirus VP3 Proteins by Phosphorylation and Ubiquitination. J. Viral. 2019, 93, e01438-19. [Google Scholar] [CrossRef]
- Nguyen, H.D.; Chi-Ning, C.; Nguyen, P.H.; Tran, T.; Kim, D.; Le, T.; Hong, M.; Nguyen, M.A.; Nguyen, T.K.C.; Le, T.H.; et al. Expression And Purification Capsid Proteins Vp0, Vp1 And Vp3 of foot And Mouth Disease Virus Type O In Escherichia Coli. J. Sci. Technol. 2016, 54, 597–606. [Google Scholar]
- Nguyen, P.; Hoa, N.H.D.; Vu, T.T.H.; Le, T.H.M.; Nguyen, T.K.; Cuc, T.T.H.D.; Le, V.P.; Pham, V.C. Variation in genteic structure of the genes coding for envelope protein of vietnamese foot and mouth disease viruses. Vietnam J. Chem. 2015, 53, 178–182. [Google Scholar]
- Silvia, L.; Claudine, P.; Hemanta, K.; Maity, E.P.; Flavia, F.B.; Abhay, K.; Fry, E.; Jingshan, R.; David, I.S.; Holger, H.; et al. Universal detection of foot and mouth disease virus based on the conserved VP0 protein. Wellcome 2018, 3, 88. [Google Scholar]
- Guo, H.C.; Sun, S.Q.; Jin, Y. Foot-and-mouth disease virus-like particles produced by a SUMO fusion protein system in Escherichia coli induce potent protective immune responses in guinea pigs, swine and cattle. Vet. Res. 2013, 44, 48. [Google Scholar] [CrossRef] [Green Version]
- Xiao, Y.; Chen, H.Y.; Wang, Y. Large-scale production of foot-and-mouth disease virus (serotype Asia1) VLP vaccine in Escherichia coli and protection potency evaluation in cattle. BMC Biotechnol. 2016, 16, 56. [Google Scholar] [CrossRef] [Green Version]
- Li, D.; Wei, J.; Yang, F.; Liu, H.N.; Zhu, Z.X.; Cao, W.J.; Li, S.; Liu, X.T.; Zheng, H.X.; Shu, H.B. Foot-and-mouth disease virus structural protein VP3 degrades Janus kinase 1 to inhibit IFN-gamma signal transduction pathways. Cell Cycle 2016, 15, 850–860. [Google Scholar] [CrossRef] [Green Version]
- Puckette, M.; Clark, B.A.; Smith, J.D.; Turecek, T.; Martel, E.; Gabbert, L.; Pisano, M.; Hurtle, W.; Pacheco, J.M.; Barrera, J.; et al. Foot-and-mouth disease (FMD) virus 3C protease mutant L127P: Implications for FMD vaccine development. J. Virol. 2017, 91, e00924-17. [Google Scholar] [CrossRef] [PubMed] [Green Version]
- Borca, M.V.; Pacheco, J.M.; Holinka, L.G.; Carrillo, C.; Hartwig, E.; Garriga, D.; Kramer, E.; Rodriguez, L.; Piccone, M.E. Role of arginine-56 within the structural protein VP3 of foot-and-mouth disease virus (FMDV) O1 Campos in virus virulence. Virology 2012, 422, 37–45. [Google Scholar] [CrossRef] [PubMed] [Green Version]
- Robinson, L.; Knight-Jones, T.J.; Charleston, B. Global foot-and-mouth disease research update and gap analysis: 3- vaccines. Transbound Emerg. Dis. 2016, 63, 30–41. [Google Scholar] [CrossRef] [PubMed]
- Dan, L.; Wenping, Y.; Fan, Y.; Huanan, L.; Zixiang, Z.; Kaiqi, L.; Caoqi, L.; Shu, L.; Xiangtao, L.; Haixue, Z.; et al. The VP3 structural protein of foot-a nd-mouth disease virus inhibits the IFN- b signaling pathway. FASEB J. 2016, 30, 1757–1766. [Google Scholar]
- Xinsheng, L.; Jianliang, L.; Yuzhen, F.; Peng, Z.; Yanzhen, L.; Li, P.; Zhongwang, Z.; Junwu, M.; Yongguang, Z.Y.W. Expression and Immunogenicity of Two Recombinant Fusion Proteins Comprising Foot-and-Mouth Disease Virus Structural Protein VP1 and DC-SIGN-Binding Glycoproteins. Biomed Res. Int. 2017, 2017, 7658970. [Google Scholar]





| Primers | 5′-3′ Sequences | Restriction Enzymes | |
|---|---|---|---|
| VP1-F1 | 5′CGGAATTCCACCACCATCATCACCAC3′ | EcoRI- (Forward primers) Xho I- (Reverse Primers) | |
| VP1-R1 | 5′CCGCTCGAGTTACAGGGTCTGACGCTCAACG3′ | ||
| VP0-F2 | 5′CGGAATTCCATCATCATCATCATCACGGTAGC3′ | ||
| VP0-R2 | 5′CCGCTCGAGTTACTGTTTACCCGGCAGTTC3′ | ||
| VP3-F3 | 5′CGGAATTCCATCATCATCATCATCACGGTAGC-3′ | ||
| VP3-R3 | 5′CCGCTCGAGTTATTGGCGAACCGGGTCAATC-3′ | ||
| Temperature | Time | Cycle | |
| Initial denaturation | 95 ℃ | 3 min | 1 cycle |
| 1st denaturation | 95 ℃ | 30 s | |
| Annealing | 55 ℃ | 30 s | 34 cycles |
| Elongation | 72 ℃ | 1 min | |
| Final elongation | 72 ℃ | 10 min | 1 cycle |
| Groups | Antigen | Dose | |
|---|---|---|---|
| A | PBS | 100 μL/mice | mock group |
| B | His-SUMO fusion protein | 10 μg/mice | negative control |
| C | His-SUMO-VP1 fusion protein | 10 μg/mice | treatment groups |
| D | His-SUMO-VP0 fusion protein | 10 μg/mice | |
| E | His-SUMO-VP3 fusion protein | 10 μg/mice |
Publisher’s Note: MDPI stays neutral with regard to jurisdictional claims in published maps and institutional affiliations. |
© 2021 by the authors. Licensee MDPI, Basel, Switzerland. This article is an open access article distributed under the terms and conditions of the Creative Commons Attribution (CC BY) license (https://creativecommons.org/licenses/by/4.0/).
Share and Cite
Li, G.; Wubshet, A.K.; Ding, Y.; Li, Q.; Dai, J.; Wang, Y.; Hou, Q.; Chen, J.; Ma, B.; Szczotka-Bochniarz, A.; et al. Antigenicity and Immunogenicity Analysis of the E. coli Expressed FMDV Structural Proteins; VP1, VP0, VP3 of the South African Territories Type 2 Virus. Viruses 2021, 13, 1005. https://doi.org/10.3390/v13061005
Li G, Wubshet AK, Ding Y, Li Q, Dai J, Wang Y, Hou Q, Chen J, Ma B, Szczotka-Bochniarz A, et al. Antigenicity and Immunogenicity Analysis of the E. coli Expressed FMDV Structural Proteins; VP1, VP0, VP3 of the South African Territories Type 2 Virus. Viruses. 2021; 13(6):1005. https://doi.org/10.3390/v13061005
Chicago/Turabian StyleLi, Guoxiu, Ashenafi Kiros Wubshet, Yaozhong Ding, Qian Li, Junfei Dai, Yang Wang, Qian Hou, Jiao Chen, Bing Ma, Anna Szczotka-Bochniarz, and et al. 2021. "Antigenicity and Immunogenicity Analysis of the E. coli Expressed FMDV Structural Proteins; VP1, VP0, VP3 of the South African Territories Type 2 Virus" Viruses 13, no. 6: 1005. https://doi.org/10.3390/v13061005
APA StyleLi, G., Wubshet, A. K., Ding, Y., Li, Q., Dai, J., Wang, Y., Hou, Q., Chen, J., Ma, B., Szczotka-Bochniarz, A., Szathmary, S., Zhang, Y., & Zhang, J. (2021). Antigenicity and Immunogenicity Analysis of the E. coli Expressed FMDV Structural Proteins; VP1, VP0, VP3 of the South African Territories Type 2 Virus. Viruses, 13(6), 1005. https://doi.org/10.3390/v13061005

