Isolation and Identification of Inter-Species Enterovirus Recombinant Genomes
Abstract
1. Introduction
2. Materials and Methods
2.1. Cell Culture
2.2. CRE-REP Assay, Plasmids, In Vitro RNA Transcription, and Transfection
2.3. RNA Extraction and RT-PCR
2.4. Sanger Sequencing Analysis
2.5. PCR Cloning
3. Results
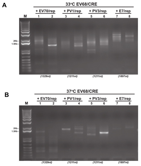
3.1. Inter-Species CRE-REP Assays
3.2. Isolation of Recombinants
3.3. Intra-Species EV68/70 Recombinant Genome Analysis
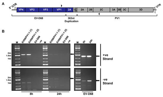
3.4. Inter-Species Recombinant Genome Analysis
3.5. Inter-Species Recombinant EV68/PV1-1 Genome Generates Negative-Strand RNA
4. Discussion
Supplementary Materials
Author Contributions
Funding
Institutional Review Board Statement
Informed Consent Statement
Data Availability Statement
Acknowledgments
Conflicts of Interest
References
- Stern, A.; Yeh, M.T.; Zinger, T.; Smith, M.; Wright, C.; Ling, G.; Nielsen, R.; Macadam, A.; Andino, R. The Evolutionary Pathway to Virulence of an RNA Virus. Cell 2017, 169, 35–46.e19. [Google Scholar] [CrossRef] [PubMed]
- Xiao, Y.; Dolan, P.; Goldstein, E.F.; Li, M.; Farkov, M.; Brodsky, L.; Andino, R. Poliovirus intrahost evolution is required to overcome tissue-specific innate immune responses. Nat. Commun. 2017, 8, 375. [Google Scholar] [CrossRef] [PubMed]
- Xiao, Y.; Rouzine, I.M.; Bianco, S.; Acevedo, A.; Goldstein, E.F.; Farkov, M.; Brodsky, L.; Andino, R. RNA Recombination Enhances Adaptability and Is Required for Virus Spread and Virulence. Cell Host Microbe 2016, 19, 493–503. [Google Scholar] [CrossRef] [PubMed]
- Kirkegaard, K.; Baltimore, D. The mechanism of RNA recombination in poliovirus. Cell 1986, 47, 433–443. [Google Scholar] [CrossRef]
- Alnaji, F.G.; Bentley, K.; Pearson, A.; Woodman, A.; Moore, J.D.; Fox, H.; Macadam, A.; Evans, D. Recombination in enteroviruses is a ubiquitous event independent of sequence homology and RNA structure. bioRxiv 2020. [Google Scholar] [CrossRef]
- Lefkowitz, E.J.; Dempsey, D.M.; Hendrickson, R.C.; Orton, R.J.; Siddell, S.G.; Smith, D.B. Virus taxonomy: The database of the International Committee on Taxonomy of Viruses (ICTV). Nucleic Acids Res. 2018, 46, D708–D717. [Google Scholar] [CrossRef]
- Cammack, N.; Phillips, A.; Dunn, G.; Patel, V.; Minor, P.D. Intertypic genomic rearrangements of poliovirus strains in vaccinees. Virology 1988, 167, 507–514. [Google Scholar] [CrossRef]
- Cuervo, N.S.; Guillot, S.; Romanenkova, N.; Combiescu, M.; Aubert-Combiescu, A.; Seghier, M.; Caro, V.; Crainic, R.; Delpeyroux, F. Genomic Features of Intertypic Recombinant Sabin Poliovirus Strains Excreted by Primary Vaccinees. J. Virol. 2001, 75, 5740–5751. [Google Scholar] [CrossRef]
- Kew, O.; Morris-Glasgow, V.; Landaverde, M.; Burns, C.; Shaw, J.; Garib, Z.; André, J.; Blackman, E.; Freeman, C.J.; Jorba, J.; et al. Outbreak of Poliomyelitis in Hispaniola Associated with Circulating Type 1 Vaccine-Derived Poliovirus. Science 2002, 296, 356–359. [Google Scholar] [CrossRef]
- Rousset, D.; Rakoto-Andrianarivelo, M.; Razafindratsimandresy, R.; Randriamanalina, B.; Guillot, S.; Balanant, J.; Mauclère, P.; Delpeyroux, F. Recombinant Vaccine–Derived Poliovirus in Madagascar. Emerg. Infect. Dis. 2003, 9, 885–887. [Google Scholar] [CrossRef]
- Schibler, M.; Gerlach, D.; Martinez, Y.; Van Belle, S.; Turin, L.; Kaiser, L.; Tapparel, C. Experimental human rhinovirus and enterovirus interspecies recombination. J. Gen. Virol. 2012, 93, 93–101. [Google Scholar] [CrossRef] [PubMed]
- Muslin, C.; Joffret, M.-L.; Pelletier, I.; Blondel, B.; Delpeyroux, F. Evolution and Emergence of Enteroviruses through Intra- and Inter-species Recombination: Plasticity and Phenotypic Impact of Modular Genetic Exchanges in the 5’ Untranslated Region. PLoS Pathog. 2015, 11, e1005266. [Google Scholar] [CrossRef]
- Yozwiak, N.L.; Skewes-Cox, P.; Gordon, A.; Saborio, S.; Kuan, G.; Balmaseda, A.; Ganem, D.; Harris, E.; DeRisi, J.L. Human Enterovirus 109: A Novel Interspecies Recombinant Enterovirus Isolated from a Case of Acute Pediatric Respiratory Illness in Nicaragua. J. Virol. 2010, 84, 9047–9058. [Google Scholar] [CrossRef] [PubMed]
- Rohll, J.B.; Percy, N.; Ley, R.; Evans, D.J.; Almond, J.W.; Barclay, W.S. The 5′-untranslated regions of picornavirus RNAs contain independent functional domains essential for RNA replication and translation. J. Virol. 1994, 68, 4384–4391. [Google Scholar] [CrossRef] [PubMed]
- Zhao, W.D.; Wimmer, E. Genetic Analysis of a Poliovirus/Hepatitis C Virus Chimera: New Structure for Domain II of the Internal Ribosomal Entry Site of Hepatitis C Virus. J. Virol. 2001, 75, 3719–3730. [Google Scholar] [CrossRef][Green Version]
- Lowry, K.; Woodman, A.; Cook, J.; Evans, D.J. Recombination in Enteroviruses Is a Biphasic Replicative Process Involving the Generation of Greater-than Genome Length ‘Imprecise’ Intermediates. PLoS Pathog. 2014, 10, e1004191. [Google Scholar] [CrossRef]
- Woodman, A.; Arnold, J.J.; Cameron, C.E.; Evans, D.J. Biochemical and genetic analysis of the role of the viral polymerase in enterovirus recombination. Nucleic Acids Res. 2016, 44, 6883–6895. [Google Scholar] [CrossRef]
- Kim, H.; Ellis, V.D., 3rd; Woodman, A.; Zhao, Y.; Arnold, J.J.; Cameron, C.E. RNA-Dependent RNA Polymerase Speed and Fidelity are not the Only Determinants of the Mechanism or Efficiency of Recombination. Genes 2019, 10, 968. [Google Scholar] [CrossRef]
- Goodfellow, I.; Chaudhry, Y.; Richardson, A.; Meredith, J.; Almond, J.W.; Barclay, W.; Evans, D.J. Identification of a cis-acting replication element within the poliovirus coding region. J. Virol. 2000, 74, 4590–4600. [Google Scholar] [CrossRef]
- Goodfellow, I.; Polacek, C.; Andino, R.; Evans, D.J. The poliovirus 2C cis-acting replication element-mediated uridylylation of VPg is not required for synthesis of negative-sense genomes. J. Gen. Virol. 2003, 84, 2359–2363. [Google Scholar] [CrossRef]
- Woodman, A.; Lee, K.-M.; Janissen, R.; Gong, Y.-N.; Dekker, N.H.; Shih, S.-R.; Cameron, C.E. Predicting Intraserotypic Recombination in Enterovirus 71. J. Virol. 2019, 93, e02057-18. [Google Scholar] [CrossRef]
- Tan, C.W.; Tee, H.K.; Lee, M.H.P.; Sam, I.-C.; Chan, Y.F. Enterovirus A71 DNA-Launched Infectious Clone as a Robust Reverse Genetic Tool. PLoS ONE 2016, 11, e0162771. [Google Scholar] [CrossRef]
- Rieder, E.; Paul, A.V.; Kim, D.W.; van Boom, J.H.; Wimmer, E. Genetic and Biochemical Studies of Poliovirus cis -Acting Replication Element cre in Relation to VPg Uridylylation. J. Virol. 2000, 74, 10371–10380. [Google Scholar] [CrossRef]
- Tee, H.K.; Tan, C.W.; Yogarajah, T.; Lee, M.H.P.; Chai, H.J.; Hanapi, N.A.; Yusof, S.R.; Ong, K.C.; Lee, V.S.; Sam, I.-C.; et al. Electrostatic interactions at the five-fold axis alter heparin-binding phenotype and drive enterovirus A71 virulence in mice. PLoS Pathog. 2019, 15, e1007863. [Google Scholar] [CrossRef]
- Lowry, K. The Molecular Determinants and Consequences of Recombination in the Evolution of Human Enteroviruses. Ph.D. Thesis, University of Warwick, Coventry, UK, 2011. [Google Scholar]
- Waugh, S. Enterovirus Type 70: Receptor Interactions and Cell Entry. Ph.D. Thesis, University of Glasgow, Glasgow, UK, 2007. [Google Scholar]
- Bentley, K.; Alnaji, F.G.; Woodford, L.; Jones, S.; Woodman, A.; Evans, D.J. Imprecise recombinant viruses evolve via a fitness-driven, iterative process of polymerase template-switching events. PLoS Pathog. 2021, 17, e1009676. [Google Scholar] [CrossRef] [PubMed]
- Schibler, M.; Piuz, I.; Hao, W.; Tapparel, C. Chimeric Rhinoviruses Obtained via Genetic Engineering or Artificially Induced Recombination Are Viable Only if the Polyprotein Coding Sequence Derives from the Same Species. J. Virol. 2015, 89, 4470–4480. [Google Scholar] [CrossRef] [PubMed]
- Holmblat, B.; Jégouic, S.; Muslin, C.; Blondel, B.; Joffret, M.-L.; Delpeyroux, F. Nonhomologous Recombination between Defective Poliovirus and Coxsackievirus Genomes Suggests a New Model of Genetic Plasticity for Picornaviruses. mBio 2014, 5, e01119-14. [Google Scholar] [CrossRef]
- Gmyl, A.P.; Belousov, E.V.; Maslova, S.V.; Khitrina, E.V.; Chetverin, A.B.; Agol, V.I. Nonreplicative RNA Recombination in Poliovirus. J. Virol. 1999, 73, 8958–8965. [Google Scholar] [CrossRef] [PubMed]
- Carrillo, C.; Tulman, E.R.; Delhon, G.; Lu, Z.; Carreno, A.; Vagnozzi, A.; Kutish, G.F.; Rock, D.L. Comparative Genomics of Foot-and-Mouth Disease Virus. J. Virol. 2005, 79, 6487–6504. [Google Scholar] [CrossRef]
- Molla, A.; Jang, S.K.; Paul, A.V.; Reuer, Q.; Wimmer, E. Cardioviral internal ribosomal entry site is functional in a genetically engineered dicistronic poliovirus. Nature 1992, 356, 255–257. [Google Scholar] [CrossRef]
- Liu, Y.; Wang, C.; Mueller, S.; Paul, A.V.; Wimmer, E.; Jiang, P. Direct interaction between two viral proteins, the nonstructural protein 2C and the capsid protein VP3, is required for enterovirus morphogenesis. PLoS Pathog. 2010, 6, e1001066. [Google Scholar] [CrossRef]
- Hahn, C.S.; Lustig, S.; Strauss, E.G.; Strauss, J.H. Western equine encephalitis virus is a recombinant virus. Proc. Natl. Acad. Sci. USA 1988, 85, 5997–6001. [Google Scholar] [CrossRef] [PubMed]
- Ge, X.-Y.; Li, J.-L.; Yang, X.-L.; Chmura, A.A.; Zhu, G.; Epstein, J.H.; Mazet, J.K.; Hu, B.; Zhang, W.; Peng, C.; et al. Isolation and characterization of a bat SARS-like coronavirus that uses the ACE2 receptor. Nature 2013, 503, 535–538. [Google Scholar] [CrossRef] [PubMed]
- Graham, R.L.; Baric, R.S. Recombination, Reservoirs, and the Modular Spike: Mechanisms of Coronavirus Cross-Species Transmission. J. Virol. 2010, 84, 3134–3146. [Google Scholar] [CrossRef]
- Zhu, Z.; Meng, K.; Meng, G. Genomic recombination events may reveal the evolution of coronavirus and the origin of SARS-CoV-2. Sci. Rep. 2020, 10, 21617. [Google Scholar] [CrossRef] [PubMed]
- Li, X.; Giorgi, E.E.; Marichannegowda, M.H.; Foley, B.; Xiao, C.; Kong, X.P.; Chen, Y.; Gnanakaran, S.; Korber, B.; Gao, F. Emergence of SARS-CoV-2 through recombination and strong purifying selection. Sci Adv. 2020, 6, eabb9153. [Google Scholar] [CrossRef] [PubMed]
- Bessaud, M.; Joffret, M.-L.; Blondel, B.; Delpeyroux, F. Exchanges of genomic domains between poliovirus and other cocirculating species C enteroviruses reveal a high degree of plasticity. Sci. Rep. 2016, 6, 38831. [Google Scholar] [CrossRef] [PubMed]
- Duggal, R.; Wimmer, E. Genetic recombination of poliovirus in vitro and in vivo: Temperature-dependent alteration of crossover sites. Virology 1999, 258, 30–41. [Google Scholar] [CrossRef]
- Gamarnik, A.V.; Andino, R. Interactions of viral protein 3CD and poly(rC) binding protein with the 5’ untranslated region of the poliovirus genome. J. Virol. 2000, 74, 2219–2226. [Google Scholar] [CrossRef]
- Toyoda, H.; Franco, D.; Fujita, K.; Paul, A.V.; Wimmer, E. Replication of poliovirus requires binding of the poly(rC) binding protein to the cloverleaf as well as to the adjacent C-rich spacer sequence between the cloverleaf and the internal ribosomal entry site. J. Virol. 2007, 81, 10017–10028. [Google Scholar] [CrossRef]
- Vogt, D.A.; Andino, R. An RNA Element at the 5′-End of the Poliovirus Genome Functions as a General Promoter for RNA Synthesis. PLoS Pathog. 2010, 6, e1000936. [Google Scholar] [CrossRef] [PubMed]
- Xiang, W.; Harris, K.S.; Alexander, L.; Wimmer, E. Interaction between the 5’-terminal cloverleaf and 3AB/3CDpro of poliovirus is essential for RNA replication. J. Virol. 1995, 69, 3658–3667. [Google Scholar] [CrossRef] [PubMed]
- E Pincus, S.; Diamond, D.C.; A Emini, E.; Wimmer, E. Guanidine-selected mutants of poliovirus: Mapping of point mutations to polypeptide 2C. J. Virol. 1986, 57, 638–646. [Google Scholar] [CrossRef] [PubMed]
- Pfeiffer, J.K.; Kirkegaard, K. Increased Fidelity Reduces Poliovirus Fitness and Virulence under Selective Pressure in Mice. PLoS Pathog. 2005, 1, e11. [Google Scholar] [CrossRef] [PubMed]






| Template Type | Name | Virus | Species | Reference |
|---|---|---|---|---|
| Donor | EV71/rep | EV-A71 | A | Tee et al. (2016) [24]. |
| E7/rep | E7 | B | Lowry (2011) [25]. | |
| PV1/rep | PV1 | C | Lowry et al. (2014) [16]. | |
| PV3/rep | PV3 | C | Lowry et al. (2014) [16]. | |
| EV70/rep | EV-D70 | D | Waugh (2007) [26]. | |
| Acceptor | EV71/CRE | EV-A71 | A | Tan et al. (2016) [22] and this paper (see Section 2). |
| E7/CRE | E7 | B | Lowry (2011) [25]. | |
| PV3/CRE | PV3 | C | Lowry et al. (2014) [16]. | |
| EV68/CRE | EV-D68 | D | This paper (see M&M). |
| Recombinant | Cell Line | Temp (°C) | 5′ nt a | 3′ nt b | Imprecise | Ambiguity |
|---|---|---|---|---|---|---|
| EV68/EV70-1 | MRC-5 | 33 | 3432 | 2277 | +420 | 3 |
| EV68/EV70-2 | MRC-5 | 33 | 3258 | 2160 | +363 | 0 |
| EV68/EV70-3 | MRC-5 | 33 | 3415 | 2470 | +210 | 0 |
| EV68/E7-1 | MRC-5 | 33 | 3360 | 1954 | +702 | 0 |
| EV68/E7-2 | MRC-5 | 33 | 3404 | 2580 | +120 | 0 |
| EV68/E7-3 | MRC-5 | 33 | 3429 | 2197 | +528 | 1 |
| EV68/E7-4 | MRC-5 | 33 | 3472 | 2156 | +612 | 1 |
| E7/PV1-1 | H1299 | 37 | 3840 | 2425 | +165 | 0 |
| EV68/PV1-1 | MRC-5 | 37 | 3572 | 2334 | +363 | 0 |
| EV71/E7-1 | MRC-5 | 33 | 3438 | 2456 | +261 | 0 |
| E7/PV3-1 | MRC-5 | 33 | 2904 | 2220 | −147 | 2 |
Publisher’s Note: MDPI stays neutral with regard to jurisdictional claims in published maps and institutional affiliations. |
© 2021 by the authors. Licensee MDPI, Basel, Switzerland. This article is an open access article distributed under the terms and conditions of the Creative Commons Attribution (CC BY) license (https://creativecommons.org/licenses/by/4.0/).
Share and Cite
Bentley, K.; Tee, H.K.; Pearson, A.; Lowry, K.; Waugh, S.; Jones, S.; Chan, Y.F.; Evans, D.J. Isolation and Identification of Inter-Species Enterovirus Recombinant Genomes. Viruses 2021, 13, 2390. https://doi.org/10.3390/v13122390
Bentley K, Tee HK, Pearson A, Lowry K, Waugh S, Jones S, Chan YF, Evans DJ. Isolation and Identification of Inter-Species Enterovirus Recombinant Genomes. Viruses. 2021; 13(12):2390. https://doi.org/10.3390/v13122390
Chicago/Turabian StyleBentley, Kirsten, Han Kang Tee, Ashley Pearson, Kym Lowry, Sheila Waugh, Siân Jones, Yoke Fun Chan, and David J. Evans. 2021. "Isolation and Identification of Inter-Species Enterovirus Recombinant Genomes" Viruses 13, no. 12: 2390. https://doi.org/10.3390/v13122390
APA StyleBentley, K., Tee, H. K., Pearson, A., Lowry, K., Waugh, S., Jones, S., Chan, Y. F., & Evans, D. J. (2021). Isolation and Identification of Inter-Species Enterovirus Recombinant Genomes. Viruses, 13(12), 2390. https://doi.org/10.3390/v13122390

