Evidence of BK Polyomavirus Infection in Urothelial but not Renal Tumors from a Single Center Cohort of Kidney Transplant Recipients
Abstract
1. Introduction
2. Materials and Methods
2.1. Study Design, Inclusion Criteria, and Samples
2.2. Immunohistochemistry and Fluorescent in Situ Hybridization (FISH)
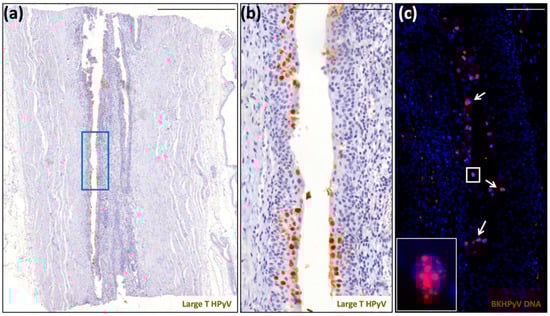
3. Results and Discussion
Author Contributions
Funding
Institutional Review Board Statement
Informed Consent Statement
Data Availability Statement
Acknowledgments
Conflicts of Interest
References
- Vajdic, C.M.; Van Leeuwen, M.T. Cancer incidence and risk factors after solid organ transplantation. Int. J. Cancer 2009, 125, 1747–1754. [Google Scholar] [CrossRef] [PubMed]
- Sherston, S.N.; Carroll, R.P.; Harden, P.N.; Wood, K.J. Predictors of Cancer Risk in the Long-Term Solid-Organ Transplant Recipient. Transplantation 2014, 97, 605–611. [Google Scholar] [CrossRef] [PubMed]
- Wątorek, E.; Boratyńska, M.; Smolska, D.; Patrzalek, D.; Klinger, M. Malignancy after renal transplantation in the new era of immunosuppression. Ann. Transplant. 2011, 16, 14–18. [Google Scholar] [PubMed]
- Schulz, T.F. Cancer and viral infections in immunocompromised individuals. Int. J. Cancer 2009, 125, 1755–1763. [Google Scholar] [CrossRef]
- Geissler, E.K. Post-transplantation malignancies: Here today, gone tomorrow? Nat. Rev. Clin. Oncol. 2015, 12, 705–717. [Google Scholar] [CrossRef]
- Grulich, A.E.; Van Leeuwen, M.T.; Falster, M.O.; Vajdic, C.M. Incidence of cancers in people with HIV/AIDS compared with immunosuppressed transplant recipients: A meta-analysis. Lancet 2007, 370, 59–67. [Google Scholar] [CrossRef]
- Hall, E.C.; Pfeiffer, R.M.; Segev, D.L.; Engels, E.A. Cumulative incidence of cancer after solid organ transplantation. Cancer 2013, 119, 2300–2308. [Google Scholar] [CrossRef]
- Ettorre, G.M.; Piselli, P.; Galatioto, L.; Rendina, M.; Nudo, F.; Sforza, D.; Miglioresi, L.; Fantola, G.; Cimaglia, C.; Vennarecci, G.; et al. De Novo Malignancies Following Liver Transplantation: Results From a Multicentric Study in Central and Southern Italy, 1990–2008. Transplant. Proc. 2013, 45, 2729–2732. [Google Scholar] [CrossRef]
- Piselli, P.; Serraino, D.; Segoloni, G.P.; Sandrini, S.; Piredda, G.B.; Scolari, M.P.; Rigotti, P.; Busnach, G.; Messa, P.; Donati, D.; et al. Risk of de novo cancers after transplantation: Results from a cohort of 7217 kidney transplant recipients, Italy 1997–2009. Eur. J. Cancer 2013, 49, 336–344. [Google Scholar] [CrossRef]
- Madeleine, M.M.; Finch, J.L.; Lynch, C.F.; Goodman, M.T.; Engels, E.A. HPV-Related Cancers After Solid Organ Transplantation in the United States. Arab. Archaeol. Epigr. 2013, 13, 3202–3209. [Google Scholar] [CrossRef]
- Madeleine, M.M.; Johnson, L.G.; Daling, J.R.; Schwartz, S.M.; Carter, J.J.; Berg, D.; Nelson, K.; Davis, C.L.; Galloway, D.A. Cohort profile: The skin cancer after organ transplant study. Int. J. Epidemiol. 2012, 42, 1669–1677. [Google Scholar] [CrossRef] [PubMed]
- Einollahi, B.; Simforoosh, N.; Lessan-Pezeshki, M.; Basiri, A.; Nafar, M.; Gholi, F.P.-R.; Firouzan, A.; Ahmadpour, P.; Makhdomi, K.; Ghafari, A.; et al. Genitourinary Tumor Following Kidney Transplantation: A Multicenter Study. Transplant. Proc. 2009, 41, 2848–2849. [Google Scholar] [CrossRef] [PubMed]
- Proby, C.; Harwood, C.A.; Neale, R.E.; Green, A.C.; Euvrard, S.; Naldi, L.; Tessari, G.; Feltkamp, M.C.W.; De Koning, M.N.C.; Quint, W.G.V.; et al. A Case-Control Study of Betapapillomavirus Infection and Cutaneous Squamous Cell Carcinoma in Organ Transplant Recipients. Arab. Archaeol. Epigr. 2011, 11, 1498–1508. [Google Scholar] [CrossRef] [PubMed]
- Jung, J.-W.; Overgaard, N.H.; Burke, M.M.T.; Isbel, N.; Frazer, I.H.; Simpson, F.; Wells, J.W. Does the nature of residual immune function explain the differential risk of non-melanoma skin cancer development in immunosuppressed organ transplant recipients? Int. J. Cancer 2015, 138, 281–292. [Google Scholar] [CrossRef] [PubMed]
- DeCaprio, J.A.; Garcea, R.L. A cornucopia of human polyomaviruses. Nat. Rev. Genet. 2013, 11, 264–276. [Google Scholar] [CrossRef] [PubMed]
- Dalianis, T.; Hirsch, H.H. Human polyomaviruses in disease and cancer. Virology 2013, 437, 63–72. [Google Scholar] [CrossRef]
- Nickeleit, V.; Singh, H.K. Polyomaviruses and disease. Curr. Opin. Organ Transplant. 2015, 20, 348–358. [Google Scholar] [CrossRef]
- Papadimitriou, J.C.; Randhawa, P.; Rinaldo, C.H.; Drachenberg, C.B.; Alexiev, B.A.; Hirsch, H.H. BK Polyomavirus Infection and Renourinary Tumorigenesis. Arab. Archaeol. Epigr. 2016, 16, 398–406. [Google Scholar] [CrossRef]
- Alexiev, B.A.; Drachenberg, C.; Papadimitriou, J.C. Polyomavirus-Cystitis Associated With In Situ and Invasive Urothelial Carcinoma in a Heart Transplant Recipient. Transplantion 2015, 99, e3–e4. [Google Scholar] [CrossRef]
- Verhalen, B.; Starrett, G.J.; Harris, R.S.; Jiang, M. Functional Upregulation of the DNA Cytosine Deaminase APOBEC3B by Polyomaviruses. J. Virol. 2016, 90, 6379–6386. [Google Scholar] [CrossRef]
- Peretti, A.; Geoghegan, E.M.; Pastrana, D.V.; Smola, S.; Feld, P.; Sauter, M.; Lohse, S.; Ramesh, M.; Lim, E.S.; Wang, D.; et al. Characterization of BK Polyomaviruses from Kidney Transplant Recipients Suggests a Role for APOBEC3 in Driving In-Host Virus Evolution. Cell Host Microbe 2018, 23, 628–635.E7. [Google Scholar] [CrossRef] [PubMed]
- Roelofs, P.A.; Goh, C.Y.; Chua, B.H.; Jarvis, M.C.; Stewart, T.A.; McCann, J.L.; McDougle, R.M.; Carpenter, M.A.; Martens, J.W.M.; Span, P.N.; et al. Characterization of the mechanism by which the RB/E2F pathway controls expression of the cancer genomic DNA deaminase APOBEC3B. eLife 2020, 9, e61287. [Google Scholar] [CrossRef] [PubMed]
- Starrett, G.J.; Serebrenik, A.A.; Roelofs, P.A.; McCann, J.L.; Verhalen, B.; Jarvis, M.C.; Stewart, T.A.; Law, E.K.; Krupp, A.; Jiang, M.; et al. Polyomavirus T Antigen InducesAPOBEC3BExpression Using an LXCXE-Dependent and TP53-Independent Mechanism. mBio 2019, 10, e02690-18. [Google Scholar] [CrossRef] [PubMed]
- Kuppachi, S.; Holanda, D.; Michael, E.; Tyler, A.J.; Wissel, M.C.; Kleiboeker, S.B.; Alexiev, B.; Thomas, C.P. An Unexpected Surge in Plasma BKPyV Viral Load Heralds the Development of BKPyV-Associated Metastatic Bladder Cancer in a Lung Transplant Recipient With BKPyV Nephropathy. Arab. Archaeol. Epigr. 2016, 17, 813–818. [Google Scholar] [CrossRef]
- Bialasiewicz, S.; Cho, Y.; Rockett, R.; Preston, J.; Wood, S.; Fleming, S.; Shepherd, B.; Barraclough, K.; Sloots, T.; Isbel, N. Association of micropapillary urothelial carcinoma of the bladder and BK viruria in kidney transplant recipients. Transpl. Infect. Dis. 2013, 15, 283–289. [Google Scholar] [CrossRef]
- Alexiev, B.A.; Papadimitriou, J.C.; Chai, T.C.; Ramos, E.; Staats, P.N.; Drachenberg, C. Polyomavirus (BK)-associated pleomorphic giant cell carcinoma of the urinary bladder: A case report. Pathol. Res. Pr. 2013, 209, 255–259. [Google Scholar] [CrossRef]
- Roberts, I.S.D.; Besarani, D.; Mason, P.; Turner, G.; Friend, P.J.; Newton, R. Polyoma virus infection and urothelial carcinoma of the bladder following renal transplantation. Br. J. Cancer 2008, 99, 1383–1386. [Google Scholar] [CrossRef]



| Patient | Birth Year | KTx Date | Tumor Type and Grade | Pathological Stage | PyVAN | Notes |
|---|---|---|---|---|---|---|
| 1M | 1952 | 2008 | 2010: Clear cell RCC FG 2 | T1a | No | 2010: Graft failure /second transplant 2010: Acute promyelocytic leukemia 2015: Death |
| 2M | 1969 | 2008 | 2010: Clear cell RCC FG 3 | T1b | No | |
| 3M | 1948 | 2003 | 2004: Clear cell RCC FG 2 | T1a | No | 2020: Death |
| 4M | 1954 | 2008 | 2008: Papillary RCC type 1 FG 2 | T1a | No | |
| 5M | 1965 | 2005 | 2006: Clear cell RCC FG 3 | T1a | No | 2011: Acute HBV infection |
| 6F | 1969 | 2006 | 2011: Clear cell RCC FG 4 (graft) | T3b N2 | 2007 | 2007 and 2011: CIN 2011: Graft failure |
| 7M | 1954 | 2007 | 2009: Clear cell RCC FG 2 | T3a | No | 2009: Graft failure 2010: Death |
| 8M | 1969 | 2001 | 2007: Clear cell RCC FG 2 (graft) | T1a M1 | No | 2006: Viral enteritis |
| 9M | 1949 | 2003 | 2004: Clear cell RCC FG 2 | T1a | 2004 | 2004: Graft failure 2010: Death |
| 10M | 1942 | 2006 | 2006: Clear cell RCC FG 2 | T1a | No | 2006: Pneumonia and CMV reactivation 2006: Death |
| 11M | 1948 | 2000 | 2010: LG urothelial carcinoma | Ta | No | 2001: CMV disease (hematological) 2002: Skin cancer and VZV reactivation 2006: Skin cancer 2007: MGUS IgG-k (plasma cells at BMB: 5%) 2014: Sepsis 2018: Death |
| 12M | 1940 | 2001 | 2001: HG In situ urothelial carcinoma | No | 2005: Prostatic cancer (Gleason 6) 2009: Graft failure | |
| 13M | 1954 | 2000 | 2010: LG Urothelial carcinoma | T1 | 2001 | |
| 14M | 1947 | 2018 | 2020: HG Urothelial carcinoma | No | ||
| 15F | 1954 | 2005 | 2020: HG Urothelial carcinoma | T3a N2 | No | 2020: Death |
Publisher’s Note: MDPI stays neutral with regard to jurisdictional claims in published maps and institutional affiliations. |
© 2021 by the authors. Licensee MDPI, Basel, Switzerland. This article is an open access article distributed under the terms and conditions of the Creative Commons Attribution (CC BY) license (http://creativecommons.org/licenses/by/4.0/).
Share and Cite
Borgogna, C.; Albertini, S.; Martuscelli, L.; Poletti, F.; Volpe, A.; Merlotti, G.; Cantaluppi, V.; Boldorini, R.; Gariglio, M. Evidence of BK Polyomavirus Infection in Urothelial but not Renal Tumors from a Single Center Cohort of Kidney Transplant Recipients. Viruses 2021, 13, 56. https://doi.org/10.3390/v13010056
Borgogna C, Albertini S, Martuscelli L, Poletti F, Volpe A, Merlotti G, Cantaluppi V, Boldorini R, Gariglio M. Evidence of BK Polyomavirus Infection in Urothelial but not Renal Tumors from a Single Center Cohort of Kidney Transplant Recipients. Viruses. 2021; 13(1):56. https://doi.org/10.3390/v13010056
Chicago/Turabian StyleBorgogna, Cinzia, Silvia Albertini, Licia Martuscelli, Filippo Poletti, Alessandro Volpe, Guido Merlotti, Vicenzo Cantaluppi, Renzo Boldorini, and Marisa Gariglio. 2021. "Evidence of BK Polyomavirus Infection in Urothelial but not Renal Tumors from a Single Center Cohort of Kidney Transplant Recipients" Viruses 13, no. 1: 56. https://doi.org/10.3390/v13010056
APA StyleBorgogna, C., Albertini, S., Martuscelli, L., Poletti, F., Volpe, A., Merlotti, G., Cantaluppi, V., Boldorini, R., & Gariglio, M. (2021). Evidence of BK Polyomavirus Infection in Urothelial but not Renal Tumors from a Single Center Cohort of Kidney Transplant Recipients. Viruses, 13(1), 56. https://doi.org/10.3390/v13010056

