Screening and Evaluation of Novel Compounds against Hepatitis B Virus Polymerase Using Highly Purified Reverse Transcriptase Domain
Abstract
1. Introduction
2. Materials and Methods
2.1. Plasmids and Antibodies
2.2. Protein Expression and Purification
2.3. Preparation of the Template/Primer-Bound Plates
2.4. Template/Primer (T/P) Binding Assay
2.5. dUTP Substrate Binding Assay
2.6. Polymerase Binding Asay with Substrate and Template/Primer
2.7. Screening for Inhibitors of RT Protein-Specific Activity
2.8. Chemical Compounds
2.9. Cell-Based Analysis of Anti-HBV Agents
2.10. Statistical Analysis
3. Results
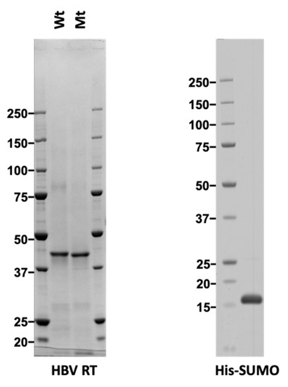
3.1. Purification of Recombinant RT Proteins
3.2. Purified RT Shows Specific T/P Binding Activity
3.3. Purified RT Shows Specific Substrate Binding Activity
3.4. Specific Binding Activity of Purified HBV RT Demonstrated by Cell-Free Assay
3.5. Pilot Screening for HBV RT Inhibitors with Purified HBV RT
3.6. Mass Screening for Novel Hit Compound
3.7. Four New Putative Inhibitory Compounds Identified Exhibited RNA Template-Specific Inhibition
3.8. Cell-Based Assay for Hit Compounds
4. Discussion
5. Conclusions
Author Contributions
Funding
Acknowledgments
Conflicts of Interest
References
- Lavanchy, D. Hepatitis B virus epidemiology, disease burden, treatment, and current and emerging prevention and control measures. J. Viral Hepat. 2004, 11, 97–107. [Google Scholar] [CrossRef]
- Lok, A.S.; McMahon, B.J. Chronic hepatitis B: Update 2009. Hepatology 2009, 50, 661–662. [Google Scholar] [CrossRef] [PubMed]
- European Association for the Study of the Liver. EASL clinical practice guidelines: Management of chronic hepatitis B virus infection. J. Hepatol. 2012, 57, 167–185. [Google Scholar] [CrossRef] [PubMed]
- Liaw, Y.F.; Kao, J.H.; Piratvisuth, T.; Chan, H.L.; Chien, R.N.; Liu, C.J.; Gane, E.; Locarnini, S.; Lim, S.G.; Han, K.H.; et al. Asian-Pacific consensus statement on the management of chronic hepatitis B: A 2012 update. Hepatol. Int. 2012, 6, 531–561. [Google Scholar] [CrossRef] [PubMed]
- Lucifora, J.; Protzer, U. Attacking hepatitis B virus cccDNA—The holy grail to hepatitis B cure. J. Hepatol. 2016, 64 (Suppl. 1), S41–S48. [Google Scholar] [CrossRef] [PubMed]
- Hui, C.K.; Cheung, W.W.; Zhang, H.Y.; Au, W.Y.; Yueng, Y.H.; Leung, A.Y.; Leung, N.; Luk, J.M.; Lie, A.K.; Kwong, Y.L.; et al. Kinetics and risk of de novo hepatitis B infection in HBsAg-negative patients undergoing cytotoxic chemotherapy. Gastroenterology 2006, 131, 59–68. [Google Scholar] [CrossRef]
- Yu, F.; Li, W.; Wang, L.; Dai, Y.; Lu, X.; Wang, Q.; Xie, L.; Jiang, S. Combining New Non-Nucleoside Reverse Transcriptase Inhibitors (RTIs) with AZT Results in Strong Synergism against Multi-RTI-Resistant HIV-1 Strains. Molecules 2018, 23, 1599. [Google Scholar] [CrossRef] [PubMed]
- Voros, J.; Urbanek, A.; Rautureau, G.J.; O’Connor, M.; Fisher, H.C.; Ashcroft, A.E.; Ferguson, N. Large-scale production and structural and biophysical characterizations of the human hepatitis B virus polymerase. J. Virol. 2014, 88, 2584–2599. [Google Scholar] [CrossRef]
- Bartenschlager, R.; Schaller, H. The amino-terminal domain of the hepadnaviral P-gene encodes the terminal protein (genome-linked protein) believed to prime reverse transcription. EMBO J. 1988, 7, 4185–4192. [Google Scholar] [CrossRef]
- Chang, L.J.; Hirsch, R.C.; Ganem, D.; Varmus, H.E. Effects of insertional and point mutations on the functions of the duck hepatitis B virus polymerase. J. Virol. 1990, 64, 5553–5558. [Google Scholar] [CrossRef]
- Radziwill, G.; Tucker, W.; Schaller, H. Mutational analysis of the hepatitis B virus P gene product: Domain structure and RNase H activity. J. Virol. 1990, 64, 613–620. [Google Scholar] [CrossRef] [PubMed]
- Xiong, Y.; Eickbush, T.H. Origin and evolution of retroelements based upon their reverse transcriptase sequences. EMBO J. 1990, 9, 3353–3362. [Google Scholar] [CrossRef] [PubMed]
- Chen, Y.; Robinson, W.S.; Marion, P.L. Selected mutations of the duck hepatitis B virus P gene RNase H domain affect both RNA packaging and priming of minus-strand DNA synthesis. J. Virol. 1994, 68, 5232–5238. [Google Scholar] [CrossRef] [PubMed]
- Bryant, F.R.; Johnson, K.A.; Benkovic, S.J. Elementary steps in the DNA polymerase I reaction pathway. Biochemistry 1983, 22, 3537–3546. [Google Scholar] [CrossRef]
- Detera, S.D.; Becerra, S.P.; Swack, J.A.; Wilson, S.H. Studies on the mechanism of DNA polymerase alpha. Nascent chain elongation, steady state kinetics, and the initiation phase of DNA synthesis. J. Biol. Chem. 1981, 256, 6933–6943. [Google Scholar]
- Iwamoto, M.; Watashi, K.; Tsukuda, S.; Aly, H.H.; Fukasawa, M.; Fujimoto, A.; Suzuki, R.; Aizaki, H.; Ito, T.; Koiwai, O.; et al. Evaluation and identification of hepatitis B virus entry inhibitors using HepG2 cells overexpressing a membrane transporter NTCP. Biochem. Biophys. Res. Commun. 2014, 443, 808–813. [Google Scholar] [CrossRef]
- Tsurimoto, T.; Fujiyama, A.; Matsubara, K. Stable expression and replication of hepatitis B virus genome in an integrated state in a human hepatoma cell line transfected with the cloned viral DNA. Proc. Natl. Acad. Sci. USA 1987, 84, 444–448. [Google Scholar] [CrossRef]
- Hirt, B. Selective extraction of polyoma DNA from infected mouse cell cultures. J. Mol. Biol. 1967, 26, 365–369. [Google Scholar] [CrossRef]
- Yan, H.; Zhong, G.; Xu, G.; He, W.; Jing, Z.; Gao, Z.; Huang, Y.; Qi, Y.; Peng, B.; Wang, H.; et al. Sodium taurocholate cotransporting polypeptide is a functional receptor for human hepatitis B and D virus. eLife 2012, 1, e00049. [Google Scholar] [CrossRef]
- Klarmann, G.J.; Smith, R.A.; Schinazi, R.F.; North, T.W.; Preston, B.D. Site-specific incorporation of nucleoside analogs by HIV-1 reverse transcriptase and the template grip mutant P157S. Template interactions influence substrate recognition at the polymerase active site. J. Biol. Chem. 2000, 275, 359–366. [Google Scholar] [CrossRef][Green Version]
- Wang, Y.X.; Luo, C.; Zhao, D.; Beck, J.; Nassal, M. Extensive mutagenesis of the conserved box E motif in duck hepatitis B virus P protein reveals multiple functions in replication and a common structure with the primer grip in HIV-1 reverse transcriptase. J. Virol. 2012, 86, 6394–6407. [Google Scholar] [CrossRef] [PubMed]
- Albulescu, I.C.; van Hoolwerff, M.; Wolters, L.A.; Bottaro, E.; Nastruzzi, C.; Yang, S.C.; Tsay, S.C.; Hwu, J.R.; Snijder, E.J.; van Hemert, M.J. Suramin inhibits chikungunya virus replication through multiple mechanisms. Antivir. Res. 2015, 121, 39–46. [Google Scholar] [CrossRef] [PubMed]
- Balzarini, J.; Mitsuya, H.; De Clercq, E.; Broder, S. Comparative inhibitory effects of suramin and other selected compounds on the infectivity and replication of human T-cell lymphotropic virus (HTLV-III)/lymphadenopathy-associated virus (LAV). Int. J. Cancer 1986, 37, 451–457. [Google Scholar] [CrossRef] [PubMed]
- Basavannacharya, C.; Vasudevan, S.G. Suramin inhibits helicase activity of NS3 protein of dengue virus in a fluorescence-based high throughput assay format. Biochem. Biophys. Res. Commun. 2014, 453, 539–544. [Google Scholar] [CrossRef]
- Ellenbecker, M.; Lanchy, J.M.; Lodmell, J.S. Inhibition of Rift Valley fever virus replication and perturbation of nucleocapsid-RNA interactions by suramin. Antimicrob. Agents Chemother. 2014, 58, 7405–7415. [Google Scholar] [CrossRef]
- Jentsch, K.D.; Hunsmann, G.; Hartmann, H.; Nickel, P. Inhibition of human immunodeficiency virus type I reverse transcriptase by suramin-related compounds. J. Gen. Virol. 1987, 68, 2183–2192. [Google Scholar] [CrossRef]
- Mastrangelo, E.; Pezzullo, M.; Tarantino, D.; Petazzi, R.; Germani, F.; Kramer, D.; Robel, I.; Rohayem, J.; Bolognesi, M.; Milani, M. Structure-based inhibition of Norovirus RNA-dependent RNA polymerases. J. Mol. Biol. 2012, 419, 198–210. [Google Scholar] [CrossRef]
- Tsiquaye, K.N.; Collins, P.; Zuckerman, A.J. Antiviral activity of the polybasic anion, suramin and acyclovir in Hepadna virus infection. J. Antimicrob. Chemother. 1986, 18 (Suppl. B), 223–228. [Google Scholar] [CrossRef]
- Wang, Y.; Qing, J.; Sun, Y.; Rao, Z. Suramin inhibits EV71 infection. Antivir. Res. 2014, 103, 1–6. [Google Scholar] [CrossRef]
- Xu, K.; Ren, H.; Zhu, J.; Yang, Y.; Liao, F. Suramin inhibits the in vitro expression of encephalitis B virus proteins NS3 and E. J. Huazhong Univ. Sci. Technol. Med. Sci. 2003, 23, 375–379. [Google Scholar]
- Wichmann, K.; Vaheri, A.; Luukkainen, T. Inhibiting herpes simplex virus type 2 infection in human epithelial cells by gossypol, a potent spermicidal and contraceptive agent. Am. J. Obstet. Gynecol. 1982, 142, 593–594. [Google Scholar] [CrossRef]
- Polsky, B.; Segal, S.J.; Baron, P.A.; Gold, J.W.; Ueno, H.; Armstrong, D. Inactivation of human immunodeficiency virus in vitro by gossypol. Contraception 1989, 39, 579–587. [Google Scholar] [CrossRef]
- Yang, J.; Chen, G.; Li, L.L.; Pan, W.; Zhang, F.; Yang, J.; Wu, S.; Tien, P. Synthesis and anti-H5N1 activity of chiral gossypol derivatives and its analogs implicated by a viral entry blocking mechanism. Bioorg. Med. Chem. Lett. 2013, 23, 2619–2623. [Google Scholar] [CrossRef] [PubMed]
- Nakane, H.; Arisawa, M.; Fujita, A.; Koshimura, S.; Ono, K. Inhibition of HIV-reverse transcriptase activity by some phloroglucinol derivatives. FEBS Lett. 1991, 286, 83–85. [Google Scholar] [CrossRef]
- Contreras, X.; Mzoughi, O.; Gaston, F.; Peterlin, M.B.; Bahraoui, E. Protein kinase C-delta regulates HIV-1 replication at an early post-entry step in macrophages. Retrovirology 2012, 9, 37. [Google Scholar] [CrossRef]
- Barnard, D.L.; Fairbairn, D.W.; O’Neill, K.L.; Gage, T.L.; Sidwell, R.W. Anti-human cytomegalovirus activity and toxicity of sulfonated anthraquinones and anthraquinone derivatives. Antivir. Res. 1995, 28, 317–329. [Google Scholar] [CrossRef]
- Tsiquaye, K.; Zuckerman, A. Suramin inhibits duck hepatitis B virus DNA polymerase activity. J. Hepatol. 1985, 1, 663–669. [Google Scholar] [CrossRef]
- Takamatsu, S.; Shimomura, M.; Kamada, Y.; Maeda, H.; Sobajima, T.; Hikita, H.; Iijima, M.; Okamoto, Y.; Misaki, R.; Fujiyama, K.; et al. Core-fucosylation plays a pivotal role in hepatitis B pseudo virus infection: A possible implication for HBV glycotherapy. Glycobiology 2016, 26, 1180–1189. [Google Scholar] [CrossRef]
- Knoess, M.; Kurz, A.K.; Goreva, O.; Bektas, N.; Breuhahn, K.; Odenthal, M.; Schirmacher, P.; Dienes, H.P.; Bock, C.T.; Zentgraf, H.; et al. Nucleoporin 88 expression in hepatitis B and C virus-related liver diseases. World J. Gastroenterol. 2006, 12, 5870–5874. [Google Scholar] [CrossRef]
- Sekiya, K.; Takashima, H.; Ueda, N.; Kamiya, N.; Yuasa, S.; Fujimura, Y.; Ubasawa, M. 2-Amino-6-arylthio-9-[2-(phosphonomethoxy)ethyl]purine bis(2,2,2-trifluoroethyl) esters as novel HBV-specific antiviral reagents. J. Med. Chem. 2002, 45, 3138–3142. [Google Scholar] [CrossRef]
- Yamamoto, M.; Hayashi, N.; Takehara, T.; Ueda, K.; Mita, E.; Tatsumi, T.; Sasaki, Y.; Kasahara, A.; Hori, M. Intracellular single-chain antibody against hepatitis B virus core protein inhibits the replication of hepatitis B virus in cultured cells. Hepatology 1999, 30, 300–307. [Google Scholar] [CrossRef] [PubMed]
- Sudo, K.; Konno, K.; Shigeta, S.; Yokota, T. Colorimetric assay system for screening antiviral compounds against hepatitis B virus. Microbiol. Immunol. 1996, 40, 153–159. [Google Scholar] [CrossRef] [PubMed][Green Version]
- Heijtink, R.A.; De Wilde, G.A.; Kruining, J.; Berk, L.; Balzarini, J.; De Clercq, E.; Holy, A.; Schalm, S.W. Inhibitory effect of 9-(2-phosphonylmethoxyethyl)-adenine (PMEA) on human and duck hepatitis B virus infection. Antivir. Res. 1993, 21, 141–153. [Google Scholar] [CrossRef]
- Wang, T.S.; Wong, S.W.; Korn, D. Human DNA polymerase alpha: Predicted functional domains and relationships with viral DNA polymerases. FASEB J. 1989, 3, 14–21. [Google Scholar] [CrossRef] [PubMed]
- Wang, C.C.; Yeh, L.S.; Karam, J.D. Modular organization of T4 DNA polymerase. Evidence from phylogenetics. J. Biol. Chem. 1995, 270, 26558–26564. [Google Scholar] [CrossRef] [PubMed]
- Burgers, P.M.; Koonin, E.V.; Bruford, E.; Blanco, L.; Burtis, K.C.; Christman, M.F.; Copeland, W.C.; Friedberg, E.C.; Hanaoka, F.; Hinkle, D.C.; et al. Eukaryotic DNA polymerases: Proposal for a revised nomenclature. J. Biol. Chem. 2001, 276, 43487–43490. [Google Scholar] [CrossRef]
- Loeb, L.A.; Monnat, R.J., Jr. DNA polymerases and human disease. Nat. Rev. Genet. 2008, 9, 594–604. [Google Scholar] [CrossRef]
- Braithwaite, D.K.; Ito, J. Compilation, alignment, and phylogenetic relationships of DNA polymerases. Nucleic Acids Res. 1993, 21, 787–802. [Google Scholar] [CrossRef]
- Liebl, K.; Drsata, T.; Lankas, F.; Lipfert, J.; Zacharias, M. Explaining the striking difference in twist-stretch coupling between DNA and RNA: A comparative molecular dynamics analysis. Nucleic Acids Res. 2015, 43, 10143–10156. [Google Scholar] [CrossRef]
- Herrero-Galan, E.; Fuentes-Perez, M.E.; Carrasco, C.; Valpuesta, J.M.; Carrascosa, J.L.; Moreno-Herrero, F.; Arias-Gonzalez, J.R. Mechanical identities of RNA and DNA double helices unveiled at the single-molecule level. J. Am. Chem. Soc. 2013, 135, 122–131. [Google Scholar] [CrossRef]
- Lipfert, J.; Skinner, G.M.; Keegstra, J.M.; Hensgens, T.; Jager, T.; Dulin, D.; Kober, M.; Yu, Z.; Donkers, S.P.; Chou, F.C.; et al. Double-stranded RNA under force and torque: Similarities to and striking differences from double-stranded DNA. Proc. Natl. Acad. Sci. USA 2014, 111, 15408–15413. [Google Scholar] [CrossRef] [PubMed]
- Huang, Y.; Russu, I.M. Dynamic and Energetic Signatures of Adenine Tracts in a rA-dT RNA-DNA Hybrid and in Homologous RNA-DNA, RNA-RNA, and DNA-DNA Double Helices. Biochemistry 2017, 56, 2446–2454. [Google Scholar]
- Wohrl, B.M.; Krebs, R.; Goody, R.S.; Restle, T. Refined model for primer/template binding by HIV-1 reverse transcriptase: Pre-steady-state kinetic analyses of primer/template binding and nucleotide incorporation events distinguish between different binding modes depending on the nature of the nucleic acid substrate. J. Mol. Biol. 1999, 292, 333–344. [Google Scholar]
- Schneider, J.; Montezin, G. Study of the experimental trypanocide action of suramin and pentamidine and a suramin/pentamidine salt; trial of chemophrophylaxis on T. brucei Pasteur strain; preliminary note. Bull. Soc. Pathol. Exot. Fil. 1954, 47, 249–254. [Google Scholar]
- Williamson, J.; Desowitz, R.S. Prophylactic activity of suramin complexes in animal trypanosomiasis. Nature 1956, 177, 1074–1075. [Google Scholar] [CrossRef]
- Ono, K.; Nakane, H.; Fukushima, M. Differential inhibition of various deoxyribonucleic and ribonucleic acid polymerases by suramin. Eur. J. Biochem. 1988, 172, 349–353. [Google Scholar] [CrossRef] [PubMed]
- De Clercq, E. Suramin: A potent inhibitor of the reverse transcriptase of RNA tumor viruses. Cancer Lett. 1979, 8, 9–22. [Google Scholar] [CrossRef]
- Okabe, M.; Enomoto, M.; Maeda, H.; Kuroki, K.; Ohtsuki, K. Biochemical characterization of suramin as a selective inhibitor for the PKA-mediated phosphorylation of HBV core protein in vitro. Biol. Pharm. Bull. 2006, 29, 1810–1814. [Google Scholar] [CrossRef][Green Version]
- Enomoto, M.; Sawano, Y.; Kosuge, S.; Yamano, Y.; Kuroki, K.; Ohtsuki, K. High phosphorylation of HBV core protein by two alpha-type CK2-activated cAMP-dependent protein kinases in vitro. FEBS Lett. 2006, 580, 894–899. [Google Scholar] [CrossRef]
- Taylor, J.M.; Han, Z. Purinergic receptor functionality is necessary for infection of human hepatocytes by hepatitis delta virus and hepatitis B virus. PLoS ONE 2010, 5, e15784. [Google Scholar] [CrossRef]
- Lin, L.; Hu, J. Inhibition of hepadnavirus reverse transcriptase-epsilon RNA interaction by porphyrin compounds. J. Virol. 2008, 82, 2305–2312. [Google Scholar] [CrossRef] [PubMed]
- Iwamoto, T.; Watano, T.; Shigekawa, M. A novel isothiourea derivative selectively inhibits the reverse mode of Na+/Ca2+ exchange in cells expressing NCX1. J. Biol. Chem. 1996, 271, 22391–22397. [Google Scholar] [CrossRef] [PubMed]
- Sarafianos, S.G.; Marchand, B.; Das, K.; Himmel, D.M.; Parniak, M.A.; Hughes, S.H.; Arnold, E. Structure and function of HIV-1 reverse transcriptase: Molecular mechanisms of polymerization and inhibition. J. Mol. Biol. 2009, 385, 693–713. [Google Scholar] [CrossRef] [PubMed]
- Li, X.; Zhang, L.; Tian, Y.; Song, Y.; Zhan, P.; Liu, X. Novel HIV-1 non-nucleoside reverse transcriptase inhibitors: A patent review (2011–2014). Expert Opin. Ther. Pat. 2014, 24, 1199–1227. [Google Scholar] [CrossRef] [PubMed]
- Reynolds, C.; de Koning, C.B.; Pelly, S.C.; van Otterlo, W.A.; Bode, M.L. In search of a treatment for HIV—Current therapies and the role of non-nucleoside reverse transcriptase inhibitors (NNRTIs). Chem. Soc. Rev. 2012, 41, 4657–4670. [Google Scholar] [CrossRef]
- Jayaweera, D.; Dilanchian, P. New therapeutic landscape of NNRTIs for treatment of HIV: A look at recent data. Expert Opin. Pharmacother. 2012, 13, 2601–2612. [Google Scholar] [CrossRef]
- Asahchop, E.L.; Wainberg, M.A.; Sloan, R.D.; Tremblay, C.L. Antiviral drug resistance and the need for development of new HIV-1 reverse transcriptase inhibitors. Antimicrob. Agents Chemother. 2012, 56, 5000–5008. [Google Scholar] [CrossRef]
- Dreyer, T.; Nicholson, S.; Ely, A.; Arbuthnot, P.; Bloom, K. Improved antiviral efficacy using TALEN-mediated homology directed recombination to introduce artificial primary miRNAs into DNA of hepatitis B virus. Biochem. Biophys. Res. Commun. 2016, 478, 1563–1568. [Google Scholar] [CrossRef]
- Zhu, W.; Xie, K.; Xu, Y.; Wang, L.; Chen, K.; Zhang, L.; Fang, J. CRISPR/Cas9 produces anti-hepatitis B virus effect in hepatoma cells and transgenic mouse. Virus Res. 2016, 217, 125–132. [Google Scholar] [CrossRef]
- Chen, J.; Zhang, W.; Lin, J.; Wang, F.; Wu, M.; Chen, C.; Zheng, Y.; Peng, X.; Li, J.; Yuan, Z. An efficient antiviral strategy for targeting hepatitis B virus genome using transcription activator-like effector nucleases. Mol. Ther. 2014, 22, 303–311. [Google Scholar] [CrossRef]
- Bloom, K.; Ely, A.; Mussolino, C.; Cathomen, T.; Arbuthnot, P. Inactivation of hepatitis B virus replication in cultured cells and in vivo with engineered transcription activator-like effector nucleases. Mol. Ther. 2013, 21, 1889–1897. [Google Scholar] [CrossRef] [PubMed]
- Lin, S.R.; Yang, H.C.; Kuo, Y.T.; Liu, C.J.; Yang, T.Y.; Sung, K.C.; Lin, Y.Y.; Wang, H.Y.; Wang, C.C.; Shen, Y.C.; et al. The CRISPR/Cas9 System Facilitates Clearance of the Intrahepatic HBV Templates In Vivo. Mol. Ther. Nucleic Acids 2014, 3, e186. [Google Scholar] [CrossRef] [PubMed]
- Weber, N.D.; Stone, D.; Sedlak, R.H.; De Silva Feelixge, H.S.; Roychoudhury, P.; Schiffer, J.T.; Aubert, M.; Jerome, K.R. AAV-mediated delivery of zinc finger nucleases targeting hepatitis B virus inhibits active replication. PLoS ONE 2014, 9, e97579. [Google Scholar] [CrossRef] [PubMed]








| Compound | % Inhibition 1 | Target Viruses 2 | Refs. | |
|---|---|---|---|---|
| 100 µM | 10 µM | |||
| Suramin | 97 | 69 | HTLV, DHBV, HIV-1, DENV, RVFV, NV, EV71, encephalitis B virus, CHIKV | [20,21,22,23,24,25,26,27,28] |
| NF023 | 96 | 26 | NV | [25] |
| Gossypol | 97 | 92 | HSV-2, HIV-1, Influenza virus | [29,30,31] |
| Rottlerin | 98 | 35 | HIV-1 | [32,33] |
| Reactive blue 2 | 100 | 53 | HCMV | [34] |
© 2020 by the authors. Licensee MDPI, Basel, Switzerland. This article is an open access article distributed under the terms and conditions of the Creative Commons Attribution (CC BY) license (http://creativecommons.org/licenses/by/4.0/).
Share and Cite
Ohsaki, E.; Ueda, K. Screening and Evaluation of Novel Compounds against Hepatitis B Virus Polymerase Using Highly Purified Reverse Transcriptase Domain. Viruses 2020, 12, 840. https://doi.org/10.3390/v12080840
Ohsaki E, Ueda K. Screening and Evaluation of Novel Compounds against Hepatitis B Virus Polymerase Using Highly Purified Reverse Transcriptase Domain. Viruses. 2020; 12(8):840. https://doi.org/10.3390/v12080840
Chicago/Turabian StyleOhsaki, Eriko, and Keiji Ueda. 2020. "Screening and Evaluation of Novel Compounds against Hepatitis B Virus Polymerase Using Highly Purified Reverse Transcriptase Domain" Viruses 12, no. 8: 840. https://doi.org/10.3390/v12080840
APA StyleOhsaki, E., & Ueda, K. (2020). Screening and Evaluation of Novel Compounds against Hepatitis B Virus Polymerase Using Highly Purified Reverse Transcriptase Domain. Viruses, 12(8), 840. https://doi.org/10.3390/v12080840

