Age-Dependent Lethality in Ducks Caused by Highly Pathogenic H5N6 Avian Influenza Virus
Abstract
1. Introduction
2. Materials and Methods
2.1. Viruses and Animals
2.2. Infection of Ducks with Highly Pathogenic Avian Influenza Viruses
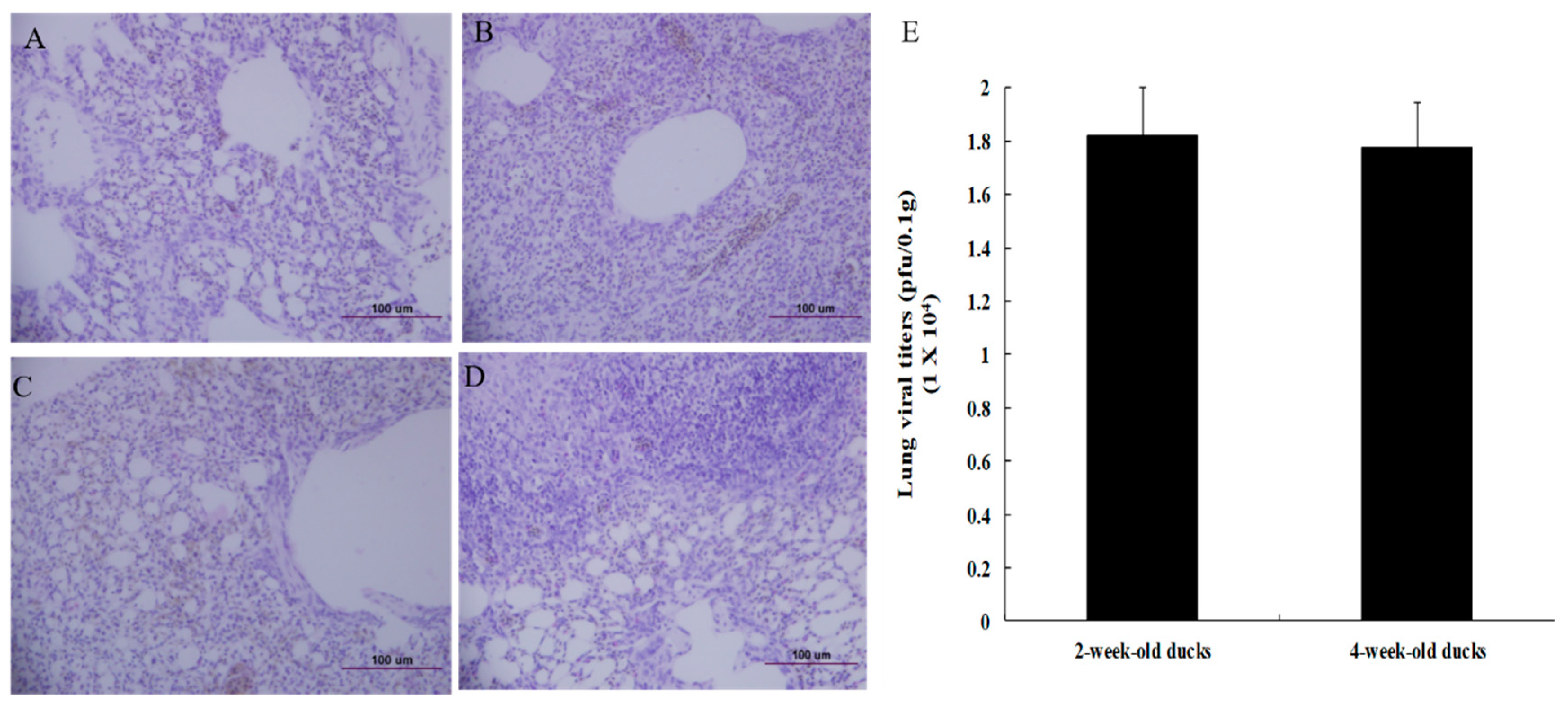
2.3. Measurement of Virus Titer in the Lungs of Ducks
2.4. Histopathology of Duck Lungs
2.5. Analysis of Gene Expression in the Lungs of Ducks Using DNA Microarray
2.6. Quantification of Duck Genes by Real-Time PCR
2.7. Measurement of Viral Titers by Plaque Forming Units (P.F.U.)
2.8. Statistical Analysis
3. Results
4. Discussion
Supplementary Materials
Author Contributions
Funding
Conflicts of Interest
References
- Bouvier, N.M.; Palese, P. The biology of influenza viruses. Vaccine 2008, 26, D49–D53. [Google Scholar] [PubMed]
- Webster, R.G.; Bean, W.J.; Gorman, O.T.; Chambers, T.M.; Kawaoka, Y. Evolution and ecology of influenza A viruses. Microbiol. Rev. 1992, 56, 152–179. [Google Scholar] [CrossRef] [PubMed]
- Fusade-Boyer, M.; Pato, P.S.; Komlan, M.; Dogno, K.; Batawui, K.; Go-Maro, E.; McKenzie, P.; Guinat, C.; Secula, A.; Paul, M.; et al. Risk Mapping of Influenza D Virus Occurrence in Ruminants and Swine in Togo Using a Spatial Multicriteria Decision Analysis Approach. Viruses 2020, 12, 128. [Google Scholar] [CrossRef] [PubMed]
- Fouchier, R.A.; Munster, V.; Wallensten, A.; Bestebroer, T.M.; Herfst, S.; Smith, D.; Rimmelzwaan, G.F.; Olsen, B.; Osterhaus, A.D. Characterization of a novel influenza A virus hemagglutinin subtype (H16) obtained from black-headed gulls. J. Virol. 2005, 79, 2814–2822. [Google Scholar] [CrossRef] [PubMed]
- Subbarao, K.; Klimov, A.; Katz, J.; Regnery, H.; Lim, W.; Hall, H.; Perdue, M.; Swayne, D.; Bender, C.; Huang, J.; et al. Characterization of an avian influenza A (H5N1) virus isolated from a child with a fatal respiratory illness. Science 1998, 279, 393–396. [Google Scholar] [CrossRef] [PubMed]
- Xu, X.; Subbarao, K.; Cox, N.J.; Guo, Y. Genetic characterization of the pathogenic influenza A/Goose/Guangdong/1/96 (H5N1) virus: Similarity of its hemagglutinin gene to those of H5N1 viruses from the 1997 outbreaks in Hong Kong. Virology 1999, 261, 15–19. [Google Scholar] [CrossRef]
- Karo-Karo, D.; Bodewes, R.; Wibawa, H.; Artika, M.; Pribadi, E.S.; Diyantoro, D.; Pratomo, W.; Sugama, A.; Hendrayani, N.; Indasari, I.; et al. Reassortments among Avian Influenza A(H5N1) Viruses Circulating in Indonesia, 2015–2016. Emerg. Infect. Dis. 2019, 25, 465–472. [Google Scholar]
- Creanga, A.; Hang, N.L.K.; Cuong, V.D.; Nguyen, H.T.; Phuong, H.V.M.; Thanh, L.T.; Thach, N.C.; Hien, P.T.; Tung, N.; Jang, Y.; et al. Highly Pathogenic Avian Influenza A(H5N1) Viruses at the Animal-Human Interface in Vietnam, 2003–2010. J. Infect. Dis. 2017, 216, S529–S538. [Google Scholar] [CrossRef]
- Kwon, D.; Lee, J.Y.; Choi, W.; Choi, J.H.; Chung, Y.S.; Lee, N.J.; Cheong, H.M.; Katz, J.M.; Oh, H.B.; Cho, H.; et al. Avian influenza a (H5N1) virus antibodies in poultry cullers, South Korea, 2003–2004. Emerg. Infect. Dis. 2012, 18, 986–988. [Google Scholar]
- Marquetoux, N.; Paul, M.; Wongnarkpet, S.; Poolkhet, C.; Thanapongtharm, W.; Roger, F.; Ducrot, C.; Chalvet-Monfray, K. Estimating spatial and temporal variations of the reproduction number for highly pathogenic avian influenza H5N1 epidemic in Thailand. Prev. Vet. Med. 2012, 106, 143–151. [Google Scholar] [CrossRef] [PubMed]
- Zhang, Z.; Chen, D.; Chen, Y.; Liu, W.; Wang, L.; Zhao, F.; Yao, B. Spatio-temporal data comparisons for global highly pathogenic avian influenza (HPAI) H5N1 outbreaks. PLoS ONE 2010, 5, e15314. [Google Scholar] [CrossRef] [PubMed]
- Zhou, H.; Jin, M.; Chen, H.; Huag, Q.; Yu, Z. Genome-sequence analysis of the pathogenic H5N1 avian influenza A virus isolated in China in 2004. Virus Genes 2006, 32, 85–95. [Google Scholar] [CrossRef] [PubMed]
- Smith, G.J.; Donis, R.O.; World Health Organization/World Organisation for Animal Health/Food and Agriculture Organization (WHO/OIE/FAO) H5 Evolution Working Group. Nomenclature updates resulting from the evolution of avian influenza A(H5) virus clades 2.1.3.2a, 2.2.1, and 2.3.4 during 2013–2014. Influenza Other Respir. Viruses 2015, 9, 271–276. [Google Scholar]
- Gu, M.; Zhao, G.; Zhao, K.; Zhong, L.; Huang, J.; Wan, H.; Wang, X.; Liu, W.; Liu, H.; Peng, D.; et al. Novel variants of clade 2.3.4 highly pathogenic avian influenza A(H5N1) viruses, China. Emerg. Infect. Dis. 2013, 19, 2021–2024. [Google Scholar] [CrossRef] [PubMed]
- Ku, K.B.; Park, E.H.; Yum, J.; Kim, J.A.; Oh, S.K.; Seo, S.H. Highly pathogenic avian influenza A(H5N8) virus from waterfowl, South Korea, 2014. Emerg. Infect. Dis. 2014, 20, 1587–1588. [Google Scholar] [CrossRef] [PubMed]
- Fan, S.; Zhou, L.; Wu, D.; Gao, X.; Pei, E.; Wang, T.; Gao, Y.; Xia, X. A novel highly pathogenic H5N8 avian influenza virus isolated from a wild duck in China. Influenza Other Respir. Viruses 2014, 8, 646–653. [Google Scholar]
- Kanehira, K.; Uchida, Y.; Takemae, N.; Hikono, H.; Tsunekuni, R.; Saito, T. Characterization of an H5N8 influenza A virus isolated from chickens during an outbreak of severe avian influenza in Japan in April 2014. Arch. Virol. 2015, 160, 1629–1643. [Google Scholar] [CrossRef]
- Lee, M.S.; Chen, L.H.; Chen, Y.P.; Liu, Y.P.; Li, W.C.; Lin, Y.L.; Lee, F. Highly pathogenic avian influenza viruses H5N2, H5N3, and H5N8 in Taiwan in 2015. Vet. Microbiol. 2016, 187, 50–57. [Google Scholar] [CrossRef]
- Pasick, J.; Berhane, Y.; Joseph, T.; Bowes, V.; Hisanaga, T.; Handel, K.; Alexandersen, S. Reassortant highly pathogenic influenza A H5N2 virus containing gene segments related to Eurasian H5N8 in British Columbia, Canada, 2014. Sci. Rep. 2015, 5, 9484. [Google Scholar] [CrossRef]
- Pantin-Jackwood, M.J.; Costa-Hurtado, M.; Bertran, K.; DeJesus, E.; Smith, D.; Swayne, D.E. Infectivity, transmission and pathogenicity of H5 highly pathogenic avian influenza clade 2.3.4.4 (H5N8 and H5N2) United States index viruses in Pekin ducks and Chinese geese. Vet. Res. 2017, 48, 33. [Google Scholar] [CrossRef]
- Núñez, A.; Brookes, S.M.; Reid, S.M.; Garcia-Rueda, C.; Hicks, D.J.; Seekings, J.M.; Spencer, Y.I.; Brown, I.H. Highly Pathogenic Avian Influenza H5N8 Clade 2.3.4.4 Virus: Equivocal Pathogenicity and Implications for Surveillance Following Natural Infection in Breeder Ducks in the United Kingdom. Transbound Emerg. Dis. 2016, 63, 5–9. [Google Scholar] [CrossRef] [PubMed]
- Kwon, J.H.; Lee, D.H.; Swayne, D.E.; Noh, J.Y.; Yuk, S.S.; Erdene-Ochir, T.O.; Hong, W.T.; Jeong, J.H.; Jeong, S.; Gwon, G.B.; et al. Reassortant Clade 2.3.4.4 Avian Influenza A(H5N6) Virus in a Wild Mandarin Duck, South Korea, 2016. Emerg. Infect. Dis. 2017, 23, 822–826. [Google Scholar] [CrossRef] [PubMed]
- Jiao, P.; Cui, J.; Song, Y.; Song, H.; Zhao, Z.; Wu, S.; Qu, N.; Wang, N.; Ouyang, G.; Liao, M. New Reassortant H5N6 Highly Pathogenic Avian Influenza Viruses in Southern China, 2014. Front. Microbiol. 2016, 7, 754. [Google Scholar] [CrossRef] [PubMed]
- King, J.; Schulze, C.; Engelhardt, A.; Hlinak, A.; Lennermann, S.L.; Rigbers, K.; Skuballa, J.; Staubach, C.; Mettenleiter, T.C.; Harder, T.; et al. Novel HPAIV H5N8 Reassortant (Clade 2.3.4.4b) Detected in Germany. Viruses 2020, 12, 281. [Google Scholar] [CrossRef]
- Świętoń, E.; Śmietanka, K. Phylogenetic and molecular analysis of highly pathogenic avian influenza H5N8 and H5N5 viruses detected in Poland in 2016–2017. Transbound Emerg Dis. 2018, 65, 1664–1670. [Google Scholar] [CrossRef]
- Hiono, T.; Okamatsu, M.; Matsuno, K.; Haga, A.; Iwata, R.; Nguyen, L.T.; Suzuki, M.; Kikutani, Y.; Kida, H.; Onuma, M.; et al. Characterization of H5N6 highly pathogenic avian influenza viruses isolated from wild and captive birds in the winter season of 2016–2017 in Northern Japan. Microbiol. Immunol. 2017, 61, 387–397. [Google Scholar] [CrossRef]
- Poen, M.J.; Venkatesh, D.; Bestebroer, T.M.; Vuong, O.; Scheuer, R.D.; Oude Munnink, B.B.; de Meulder, D.; Richard, M.; Kuiken, T.; Koopmans, M.P.G.; et al. Co-circulation of genetically distinct highly pathogenic avian influenza A clade 2.3.4.4 (H5N6) viruses in wild waterfowl and poultry in Europe and East Asia, 2017–2018. Virus Evol. 2019, 5, vez004. [Google Scholar] [CrossRef]
- Burggraaf, S.; Karpala, A.J.; Bingham, J.; Lowther, S.; Selleck, P.; Kimpton, W.; Bean, A.G. H5N1 infection causes rapid mortality and high cytokine levels in chickens compared to ducks. Virus Res. 2014, 185, 23–31. [Google Scholar] [CrossRef]
- Jeong, O.M.; Kim, M.C.; Kim, M.J.; Kang, H.M.; Kim, H.R.; Kim, Y.J.; Joh, S.J.; Kwon, J.H.; Lee, Y.J. Experimental infection of chickens, ducks and quails with the highly pathogenic H5N1 avian influenza virus. J. Vet. Sci. 2009, 10, 53–60. [Google Scholar] [CrossRef]
- Mundt, E.; Gay, L.; Jones, L.; Saavedra, G.; Tompkins, S.M.; Tripp, R.A. Replication and pathogenesis associated with H5N1, H5N2, and H5N3 low-pathogenic avian influenza virus infection in chickens and ducks. Arch. Virol. 2009, 154, 1241–1248. [Google Scholar] [CrossRef]
- Kuchipudi, S.V.; Dunham, S.P.; Chang, K.C. DNA microarray global gene expression analysis of influenza virus-infected chicken and duck cells. Genom. Data 2015, 4, 60–64. [Google Scholar] [PubMed]
- Gaush, C.R.; Smith, T.F. Replication and plaque assay of influenza virus in an established line of canine kidney cells. Appl. Microbiol. 1968, 16, 588–594. [Google Scholar]
- Pantin-Jackwood, M.J.; Smith, D.M.; Wasilenko, J.L.; Cagle, C.; Shepherd, E.; Sarmento, L.; Kapczynski, D.R.; Afonso, C.L. Effect of age on the pathogenesis and innate immune responses in Pekin ducks infected with different H5N1 highly pathogenic avian influenza viruses. Virus Res. 2012, 167, 196–206. [Google Scholar] [CrossRef] [PubMed]
- Costa, T.P.; Brown, J.D.; Howerth, E.W.; Stallknecht, D.E. The effect of age on avian influenza viral shedding in mallards (Anas platyrhynchos). Avian Dis. 2010, 54, 581–585. [Google Scholar] [CrossRef]
- Ducatez, M.; Sonnberg, S.; Crumpton, J.C.; Rubrum, A.; Phommachanh, P.; Douangngeun, B.; Peiris, M.; Guan, Y.; Webster, R.; Webby, R. Highly pathogenic avian influenza H5N1 clade 2.3.2.1 and clade 2.3.4 viruses do not induce a clade-specific phenotype in mallard ducks. J. Gen. Virol. 2017, 98, 1232–1244. [Google Scholar] [CrossRef]
- Pantin-Jackwood, M.J.; Suarez, D.L.; Spackman, E.; Swayne, D.E. Age at infection affects the pathogenicity of Asian highly pathogenic avian influenza H5N1 viruses in ducks. Virus Res. 2007, 130, 151–161. [Google Scholar]
- Löndt, B.Z.; Núñez, A.; Banks, J.; Alexander, D.J.; Russell, C.; Richard-Löndt, A.C.; Brown, I.H. The effect of age on the pathogenesis of a highly pathogenic avian influenza (HPAI) H5N1 virus in Pekin ducks (Anas platyrhynchos) infected experimentally. Influenza Other Respir. Viruses 2010, 4, 17–25. [Google Scholar]
- Kishida, N.; Sakoda, Y.; Isoda, N.; Matsuda, K.; Eto, M.; Sunaga, Y.; Umemura, T.; Kida, H. Pathogenicity of H5 influenza viruses for ducks. Arch. Virol. 2005, 150, 1383–1392. [Google Scholar]
- Kwon, Y.K.; Joh, S.J.; Kim, M.C.; Sung, H.W.; Lee, Y.J.; Choi, J.G.; Lee, E.K.; Kim, J.H. Highly pathogenic avian influenza (H5N1) in the commercial domestic ducks of South Korea. Avian Pathol. 2005, 34, 367–370. [Google Scholar]
- Crowley, T.M.; Haring, V.R.; Burggraaf, S.; Moore, R.J. Application of chicken microarrays for gene expression analysis in other avian species. BMC Genom. 2009, 10, S3. [Google Scholar] [CrossRef]





| Primer Name | Sequence |
|---|---|
| ND2_775_F | GGCTTCATGCCAAAATGACT |
| ND2_972_R | GGGGGTGTTTAGGGTTTTGT |
| CIDEA_47_F | GTATCCGTGGGAGCATCTGT |
| CIDEA_270_R | GTGTCCACAACTGTGCCATC |
| SLC25A4_226_F | CAGATCACAGCGGAGAAACA |
| SLC25A4_377_R | TTGTCCTTGAAGGCGAAGTT |
| NR4A3_2658_F | GTCTTTTCTGGCGCTTTGTC |
| NR4A3_2849_R | ACTGCTGCTGGGATAGCATT |
| ACER3_6035_F | TGGCTACTGTGCAGAAATGC |
| ACER3_6218_R | TTGCTTGACTGGTGTGCTTC |
| GAPDH_F | TGTCTGGCAAAGTCCAAGTG |
| GAPDH_R | TCTCCATGGTGGTGAAGACA |
© 2020 by the authors. Licensee MDPI, Basel, Switzerland. This article is an open access article distributed under the terms and conditions of the Creative Commons Attribution (CC BY) license (http://creativecommons.org/licenses/by/4.0/).
Share and Cite
Jang, Y.; Seo, S.H. Age-Dependent Lethality in Ducks Caused by Highly Pathogenic H5N6 Avian Influenza Virus. Viruses 2020, 12, 591. https://doi.org/10.3390/v12060591
Jang Y, Seo SH. Age-Dependent Lethality in Ducks Caused by Highly Pathogenic H5N6 Avian Influenza Virus. Viruses. 2020; 12(6):591. https://doi.org/10.3390/v12060591
Chicago/Turabian StyleJang, Yunyueng, and Sang Heui Seo. 2020. "Age-Dependent Lethality in Ducks Caused by Highly Pathogenic H5N6 Avian Influenza Virus" Viruses 12, no. 6: 591. https://doi.org/10.3390/v12060591
APA StyleJang, Y., & Seo, S. H. (2020). Age-Dependent Lethality in Ducks Caused by Highly Pathogenic H5N6 Avian Influenza Virus. Viruses, 12(6), 591. https://doi.org/10.3390/v12060591
